Anchoring Apparatus of Long Head of the Biceps Tendon: Ultrasonographic Anatomy and Pathologic Conditions
Abstract
1. Introduction
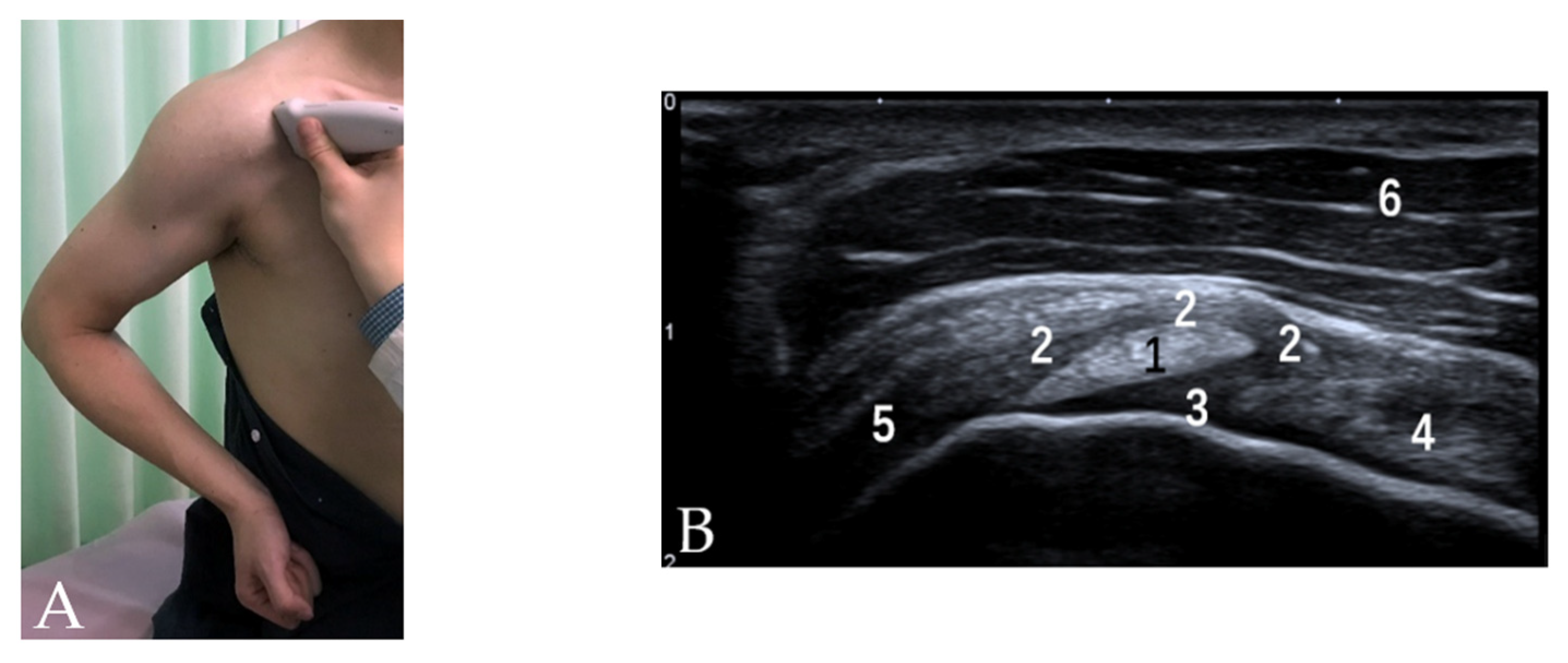
2. General Consideration of US
3. Anatomy and US Technique
3.1. Rotator Interval, CHL and SGHL
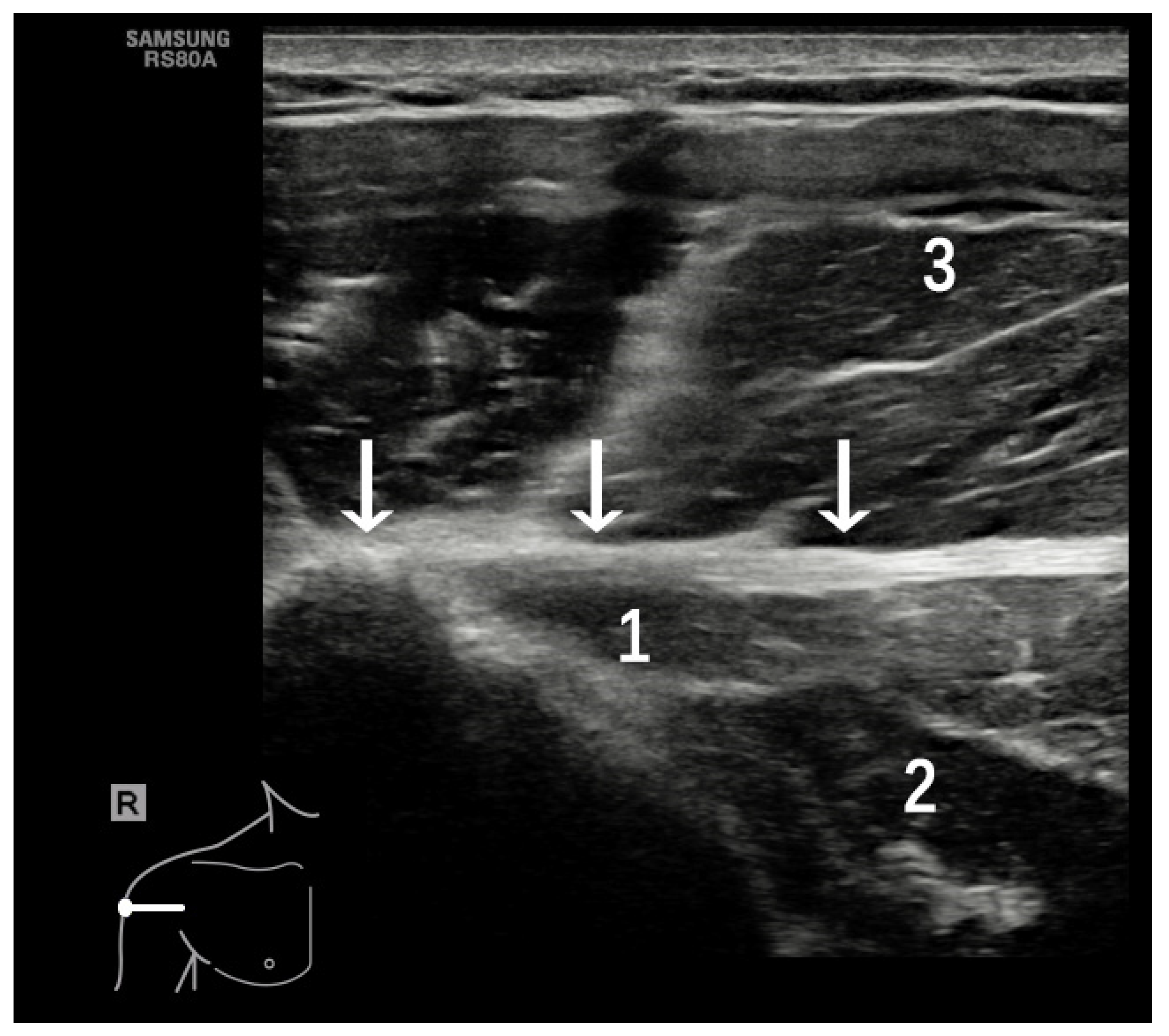
3.2. Bicipital Groove Morphology and Cross-Sectional Area
3.3. SSC and SSP Tendons
3.4. Tendon of PM
3.5. Tendons of LD and TM
4. Pathologic Conditions
4.1. Biceps Pulley Lesions
4.2. Adhesive Capsulitis (AC)
4.3. Chronic Pathology of the SSC and SSP Tendons
4.4. PM Tendon Tears
4.5. Injuries to the LD and TM
5. Conclusions
Author Contributions
Funding
Institutional Review Board Statement
Informed Consent Statement
Data Availability Statement
Conflicts of Interest
References
- Elser, F.; Braun, S.; Dewing, C.B.; Giphart, J.E.; Millett, P.J. Anatomy, function, injuries, and treatment of the long head of the biceps brachii tendon. Arthroscopy 2011, 27, 581–592. [Google Scholar] [CrossRef] [PubMed]
- Zappia, M.; Reginelli, A.; Russo, A.; D’Agosto, G.F.; Di Pietto, F.; Genovese, E.A.; Coppolino, F.; Brunese, L. Long head of the biceps tendon and rotator interval. Musculoskelet Surg. 2013, 97 (Suppl. 2), S99–S108. [Google Scholar] [CrossRef] [PubMed]
- Mellano, C.R.; Shin, J.J.; Yanke, A.B.; Verma, N.N. Disorders of the long head of the biceps tendon. Instr Course Lect 2015, 64, 567–576. [Google Scholar] [PubMed]
- Morag, Y.; Bedi, A.; Jamadar, D.A. The rotator interval and long head biceps tendon: Anatomy, function, pathology, and magnetic resonance imaging. Magn. Reson. Imaging Clin. N. Am. 2012, 20, 229–259. [Google Scholar] [CrossRef] [PubMed]
- Werner, A.; Mueller, T.; Boehm, D.; Gohlke, F. The stabilizing sling for the long head of the biceps tendon in the rotator cuff interval. A histoanatomic study. Am. J. Sports Med. 2000, 28, 28–31. [Google Scholar] [CrossRef] [PubMed]
- Nazarian, L.N. The top 10 reasons musculoskeletal sonography is an important complementary or alternative technique to MRI. AJR Am. J. Roentgenol. 2008, 190, 1621–1626. [Google Scholar] [CrossRef]
- Petchprapa, C.N.; Beltran, L.S.; Jazrawi, L.M.; Kwon, Y.W.; Babb, J.S.; Recht, M.P. The rotator interval: A review of anatomy, function, and normal and abnormal MRI appearance. AJR Am. J. Roentgenol. 2010, 195, 567–576. [Google Scholar] [CrossRef]
- Lee, J.C.; Sykes, C.; Saifuddin, A.; Connell, D. Adhesive capsulitis: Sonographic changes in the rotator cuff interval with arthroscopic correlation. Skelet. Radiol. 2005, 34, 522–527. [Google Scholar] [CrossRef]
- Tandon, A.; Dewan, S.; Bhatt, S.; Jain, A.K.; Kumari, R. Sonography in diagnosis of adhesive capsulitis of the shoulder: A case-control study. J. Ultrasound 2017, 20, 227–236. [Google Scholar] [CrossRef]
- Martinoli, C.; Bianchi, S.; Prato, N.; Pugliese, F.; Zamorani, M.P.; Valle, M.; Derchi, L.E. US of the shoulder: Non-rotator cuff disorders. Radiographics 2003, 23, 381–401. [Google Scholar] [CrossRef]
- Urita, A.; Funakoshi, T.; Amano, T.; Matsui, Y.; Kawamura, D.; Kameda, Y.; Iwasaki, N. Predictive factors of long head of the biceps tendon disorders—The bicipital groove morphology and subscapularis tendon tear. J. Shoulder Elbow Surg. 2016, 25, 384–389. [Google Scholar] [CrossRef] [PubMed]
- Yoo, J.C.; Iyyampillai, G.; Park, D.; Koh, K.H. The influence of bicipital groove morphology on the stability of the long head of the biceps tendon. J. Orthop. Surg. 2017, 25, 2309499017717195. [Google Scholar] [CrossRef] [PubMed]
- Ulucakoy, C.; Kaptan, A.Y.; Yapar, A.; Orhan, O.; Ozer, M.; Kanatli, U. The effect of bicipital groove morphology on the stability of the biceps long head tendon. Arch. Orthop. Trauma Surg. 2021, 141, 1325–1330. [Google Scholar] [CrossRef] [PubMed]
- Cardoso, A.; Freire, G.; Alonso, R.; Afonso, P.D.; Pires, L. Bicipital groove cross-sectional area on ultrasonography: Does a correlation to intra-articular tendon pathology exist? Orthop. Traumatol. Surg. Res. 2021, 107, 102747. [Google Scholar] [CrossRef] [PubMed]
- Moosikasuwan, J.B.; Miller, T.T.; Burke, B.J. Rotator cuff tears: Clinical, radiographic, and US findings. Radiographics 2005, 25, 1591–1607. [Google Scholar] [CrossRef] [PubMed]
- Jacobson, J.A. Shoulder US: Anatomy, technique, and scanning pitfalls. Radiology 2011, 260, 6–16. [Google Scholar] [CrossRef]
- Weaver, J.S.; Jacobson, J.A.; Jamadar, D.A.; Theisen, S.E.; Ebrahim, F.; Kalume-Brigido, M. Sonographic findings of pectoralis major tears with surgical, clinical, and magnetic resonance imaging correlation in 6 patients. J. Ultrasound Med. 2005, 24, 25–31. [Google Scholar] [CrossRef]
- Lee, Y.K.; Skalski, M.R.; White, E.A.; Tomasian, A.; Phan, D.D.; Patel, D.B.; Matcuk, G.R., Jr.; Schein, A.J. US and MR Imaging of Pectoralis Major Injuries. Radiographics 2017, 37, 176–189. [Google Scholar] [CrossRef]
- Fung, L.; Wong, B.; Ravichandiran, K.; Agur, A.; Rindlisbacher, T.; Elmaraghy, A. Three-dimensional study of pectoralis major muscle and tendon architecture. Clin. Anat. 2009, 22, 500–508. [Google Scholar] [CrossRef]
- Erickson, B.J.; Petronico, N.; Romeo, A.A. Approach to Latissimus Dorsi and Teres Minor Injuries in the Baseball Pitcher. Curr. Rev. Musculoskelet. Med. 2019, 12, 24–29. [Google Scholar] [CrossRef]
- George, M.S.; Khazzam, M. Latissimus Dorsi Tendon Rupture. J. Am. Acad. Orthop. Surg. 2019, 27, 113–118. [Google Scholar] [CrossRef] [PubMed]
- Donohue, B.F.; Lubitz, M.G.; Kremchek, T.E. Sports Injuries to the Latissimus Dorsi and Teres Major. Am. J. Sports Med. 2017, 45, 2428–2435. [Google Scholar] [CrossRef] [PubMed]
- Meyer, P.; Pele, E.; Pesquer, L.; Adolphe, J.; Bard, H.; Brasseur, J.L.; Courthaliac, C.; Cyteval, C.; Guerini, H.; Huot, P.; et al. Unknown Tendons, Muscles and Nerves of the Shoulder: Proposal for a Standardized Ultrasound-guided Examination, a “mini GEL” Experience. J. Belg. Soc. Radiol. 2015, 99, 3–12. [Google Scholar] [CrossRef] [PubMed][Green Version]
- Nakata, W.; Katou, S.; Fujita, A.; Nakata, M.; Lefor, A.T.; Sugimoto, H. Biceps pulley: Normal anatomy and associated lesions at MR arthrography. Radiographics 2011, 31, 791–810. [Google Scholar] [CrossRef]
- Hunt, S.A.; Kwon, Y.W.; Zuckerman, J.D. The rotator interval: Anatomy, pathology, and strategies for treatment. J. Am. Acad. Orthop. Surg. 2007, 15, 218–227. [Google Scholar] [CrossRef]
- Zappia, M.; Carfora, M.; Romano, A.M.; Reginelli, A.; Brunese, L.; Rotondo, A.; Castagna, A. Sonography of chondral print on humeral head. Skeletal Radiol. 2016, 45, 35–40. [Google Scholar] [CrossRef]
- Fields, B.K.K.; Skalski, M.R.; Patel, D.B.; White, E.A.; Tomasian, A.; Gross, J.S.; Matcuk, G.R., Jr. Adhesive capsulitis: Review of imaging findings, pathophysiology, clinical presentation, and treatment options. Skeletal. Radiol. 2019, 48, 1171–1184. [Google Scholar] [CrossRef]
- Lewis, J. Frozen shoulder contracture syndrome—Aetiology, diagnosis and management. Man. Ther. 2015, 20, 2–9. [Google Scholar] [CrossRef]
- Hanchard, N.C.; Goodchild, L.; Thompson, J.; O’Brien, T.; Davison, D.; Richardson, C. Evidence-based clinical guidelines for the diagnosis, assessment and physiotherapy management of contracted (frozen) shoulder: Quick reference summary. Physiotherapy 2012, 98, 117–120. [Google Scholar] [CrossRef]
- Homsi, C.; Bordalo-Rodrigues, M.; da Silva, J.J.; Stump, X.M. Ultrasound in adhesive capsulitis of the shoulder: Is assessment of the coracohumeral ligament a valuable diagnostic tool? Skelet. Radiol. 2006, 35, 673–678. [Google Scholar] [CrossRef]
- Michelin, P.; Delarue, Y.; Duparc, F.; Dacher, J.N. Thickening of the inferior glenohumeral capsule: An ultrasound sign for shoulder capsular contracture. Eur. Radiol. 2013, 23, 2802–2806. [Google Scholar] [CrossRef] [PubMed]
- Kim, D.H.; Cho, C.H.; Sung, D.H. Ultrasound measurements of axillary recess capsule thickness in unilateral frozen shoulder: Study of correlation with MRI measurements. Skelet. Radiol. 2018, 47, 1491–1497. [Google Scholar] [CrossRef] [PubMed]
- Wu, H.; Tian, H.; Dong, F.; Liang, W.; Song, D.; Zeng, J.; Ding, Z.; Shi, Y.; Luo, H.; Xu, J. The role of grey-scale ultrasound in the diagnosis of adhesive capsulitis of the shoulder: A systematic review and meta-analysis. Med. Ultras. 2020, 22, 305–312. [Google Scholar] [CrossRef] [PubMed]
- Yip, M.; Francis, A.M.; Roberts, T.; Rokito, A.; Zuckerman, J.D.; Virk, M.S. Treatment of Adhesive Capsulitis of the Shoulder: A Critical Analysis Review. JBJS Rev. 2018, 6, e5. [Google Scholar] [CrossRef]
- Redondo-Alonso, L.; Chamorro-Moriana, G.; Jimenez-Rejano, J.J.; Lopez-Tarrida, P.; Ridao-Fernandez, C. Relationship between chronic pathologies of the supraspinatus tendon and the long head of the biceps tendon: Systematic review. BMC Musculoskelet Disord. 2014, 15, 377. [Google Scholar] [CrossRef]
- Chen, C.H.; Chen, C.H.; Chang, C.H.; Su, C.I.; Wang, K.C.; Wang, I.C.; Liu, H.T.; Yu, C.M.; Hsu, K.Y. Classification and analysis of pathology of the long head of the biceps tendon in complete rotator cuff tears. Chang Gung Med. J. 2012, 35, 263–270. [Google Scholar] [CrossRef]
- Chen, C.H.; Hsu, K.Y.; Chen, W.J.; Shih, C.H. Incidence and severity of biceps long head tendon lesion in patients with complete rotator cuff tears. J. Trauma 2005, 58, 1189–1193. [Google Scholar] [CrossRef]
- Chang, K.V.; Chen, W.S.; Wang, T.G.; Hung, C.Y.; Chien, K.L. Quantitative ultrasound facilitates the exploration of morphological association of the long head biceps tendon with supraspinatus tendon full thickness tear. PLoS ONE 2014, 9, e113803. [Google Scholar] [CrossRef]
- Patten, R.M. Tears of the anterior portion of the rotator cuff (the subscapularis tendon): MR imaging findings. AJR Am. J. Roentgenol. 1994, 162, 351–354. [Google Scholar] [CrossRef]
- Lafosse, L.; Reiland, Y.; Baier, G.P.; Toussaint, B.; Jost, B. Anterior and posterior instability of the long head of the biceps tendon in rotator cuff tears: A new classification based on arthroscopic observations. Arthroscopy 2007, 23, 73–80. [Google Scholar] [CrossRef]
- Okoroha, K.R.; Mehran, N.; Duncan, J.; Washington, T.; Spiering, T.; Bey, M.J.; Van Holsbeeck, M.; Moutzouros, V. Characterization of Rotator Cuff Tears: Ultrasound Versus Magnetic Resonance Imaging. Orthopedics 2017, 40, e124–e130. [Google Scholar] [CrossRef] [PubMed]
- Saraya, S.; Bakry, R.E. Ultrasound: Can it replace MRI in the evaluation of the rotator cuff tears? Egypt. J. Radiol. Nucl. Med. 2016, 47, 193–201. [Google Scholar] [CrossRef]
- Fischer, C.A.; Weber, M.A.; Neubecker, C.; Bruckner, T.; Tanner, M.; Zeifang, F. Ultrasound vs. MRI in the assessment of rotator cuff structure prior to shoulder arthroplasty. J. Orthop. 2015, 12, 23–30. [Google Scholar] [CrossRef] [PubMed]
- Potter, B.K.; Lehman, R.A., Jr.; Doukas, W.C. Pectoralis major ruptures. Am. J. Orthop. 2006, 35, 189–195. [Google Scholar]
- Provencher, M.T.; Handfield, K.; Boniquit, N.T.; Reiff, S.N.; Sekiya, J.K.; Romeo, A.A. Injuries to the pectoralis major muscle: Diagnosis and management. Am. J. Sports Med. 2010, 38, 1693–1705. [Google Scholar] [CrossRef]
- Haley, C.A.; Zacchilli, M.A. Pectoralis major injuries: Evaluation and treatment. Clin. Sports Med. 2014, 33, 739–756. [Google Scholar] [CrossRef]
- Nagda, S.H.; Cohen, S.B.; Noonan, T.J.; Raasch, W.G.; Ciccotti, M.G.; Yocum, L.A. Management and outcomes of latissimus dorsi and teres major injuries in professional baseball pitchers. Am. J. Sports Med. 2011, 39, 2181–2186. [Google Scholar] [CrossRef]
- Schickendantz, M.S.; Kaar, S.G.; Meister, K.; Lund, P.; Beverley, L. Latissimus dorsi and teres major tears in professional baseball pitchers: A case series. Am. J. Sports Med. 2009, 37, 2016–2020. [Google Scholar] [CrossRef]
- Pedret, C.; Balius, R.; Idoate, F. Sonography and MRI of latissimus dorsi strain injury in four elite athletes. Skelet. Radiol. 2011, 40, 603–608. [Google Scholar] [CrossRef]













Publisher’s Note: MDPI stays neutral with regard to jurisdictional claims in published maps and institutional affiliations. |
© 2022 by the authors. Licensee MDPI, Basel, Switzerland. This article is an open access article distributed under the terms and conditions of the Creative Commons Attribution (CC BY) license (https://creativecommons.org/licenses/by/4.0/).
Share and Cite
Xue, H.; Bird, S.; Jiang, L.; Jiang, J.; Cui, L. Anchoring Apparatus of Long Head of the Biceps Tendon: Ultrasonographic Anatomy and Pathologic Conditions. Diagnostics 2022, 12, 659. https://doi.org/10.3390/diagnostics12030659
Xue H, Bird S, Jiang L, Jiang J, Cui L. Anchoring Apparatus of Long Head of the Biceps Tendon: Ultrasonographic Anatomy and Pathologic Conditions. Diagnostics. 2022; 12(3):659. https://doi.org/10.3390/diagnostics12030659
Chicago/Turabian StyleXue, Heng, Stephen Bird, Ling Jiang, Jie Jiang, and Ligang Cui. 2022. "Anchoring Apparatus of Long Head of the Biceps Tendon: Ultrasonographic Anatomy and Pathologic Conditions" Diagnostics 12, no. 3: 659. https://doi.org/10.3390/diagnostics12030659
APA StyleXue, H., Bird, S., Jiang, L., Jiang, J., & Cui, L. (2022). Anchoring Apparatus of Long Head of the Biceps Tendon: Ultrasonographic Anatomy and Pathologic Conditions. Diagnostics, 12(3), 659. https://doi.org/10.3390/diagnostics12030659

