Diagnosis of Organizing Pneumonia with an Ultrathin Bronchoscope and Cone-Beam CT: A Case Report
Abstract
1. Introduction
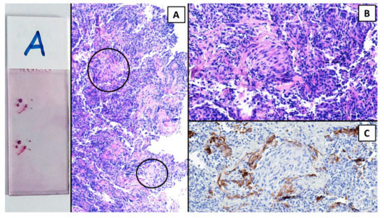
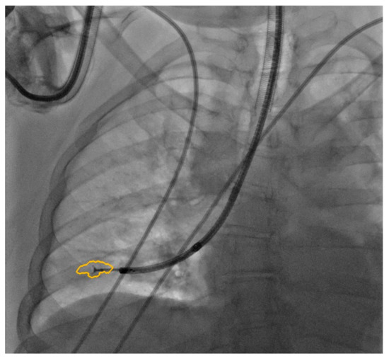
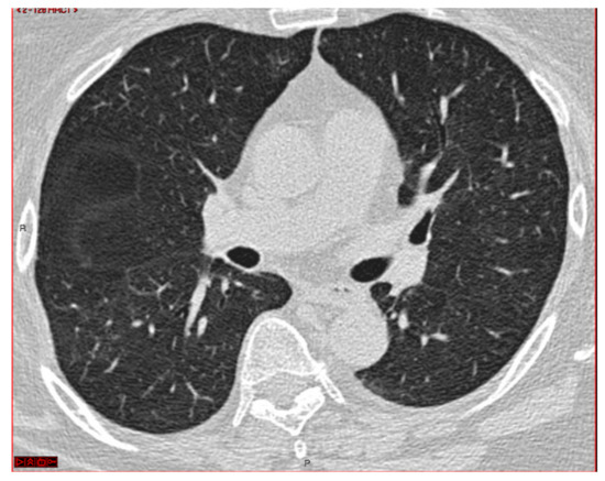
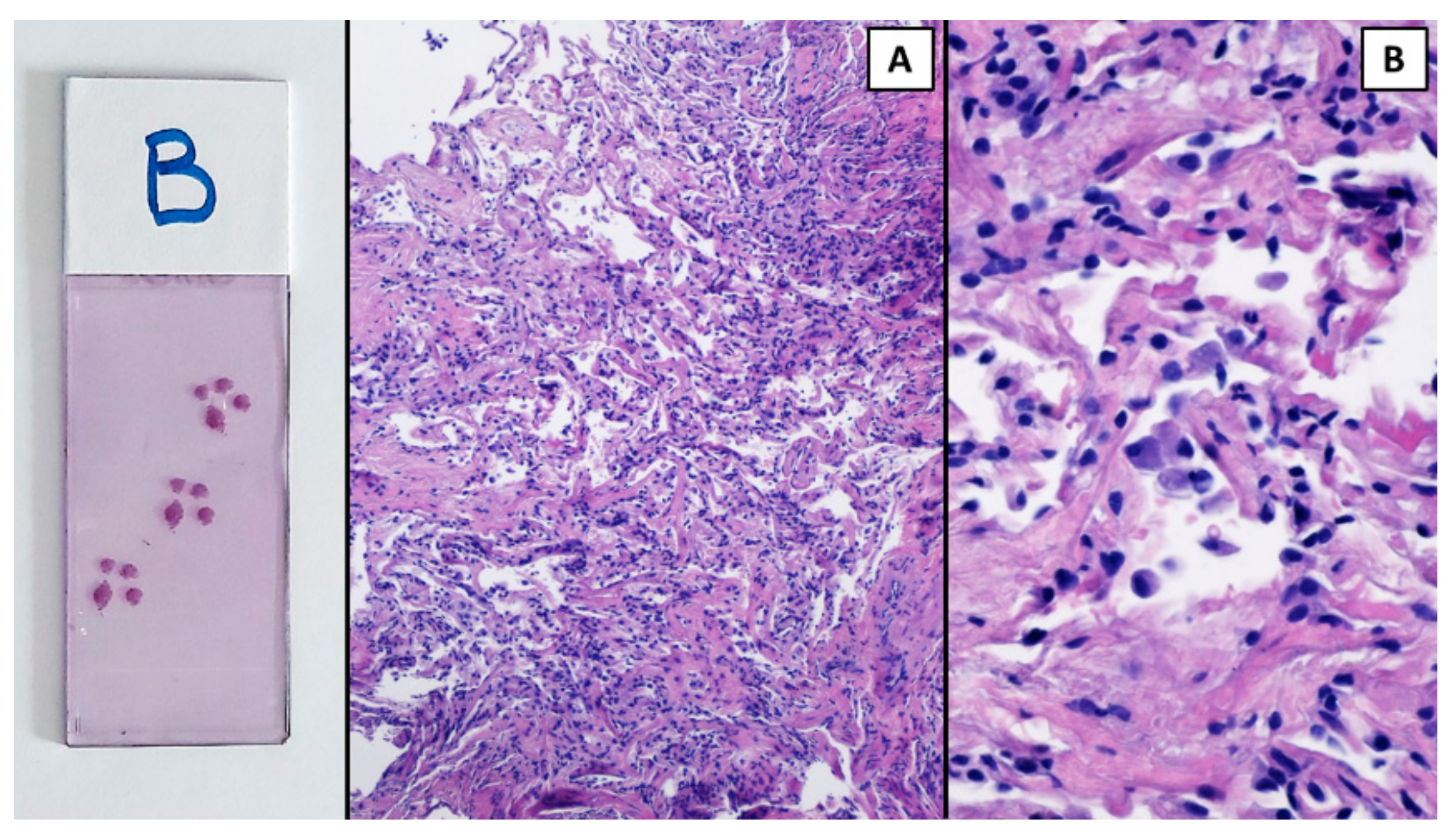
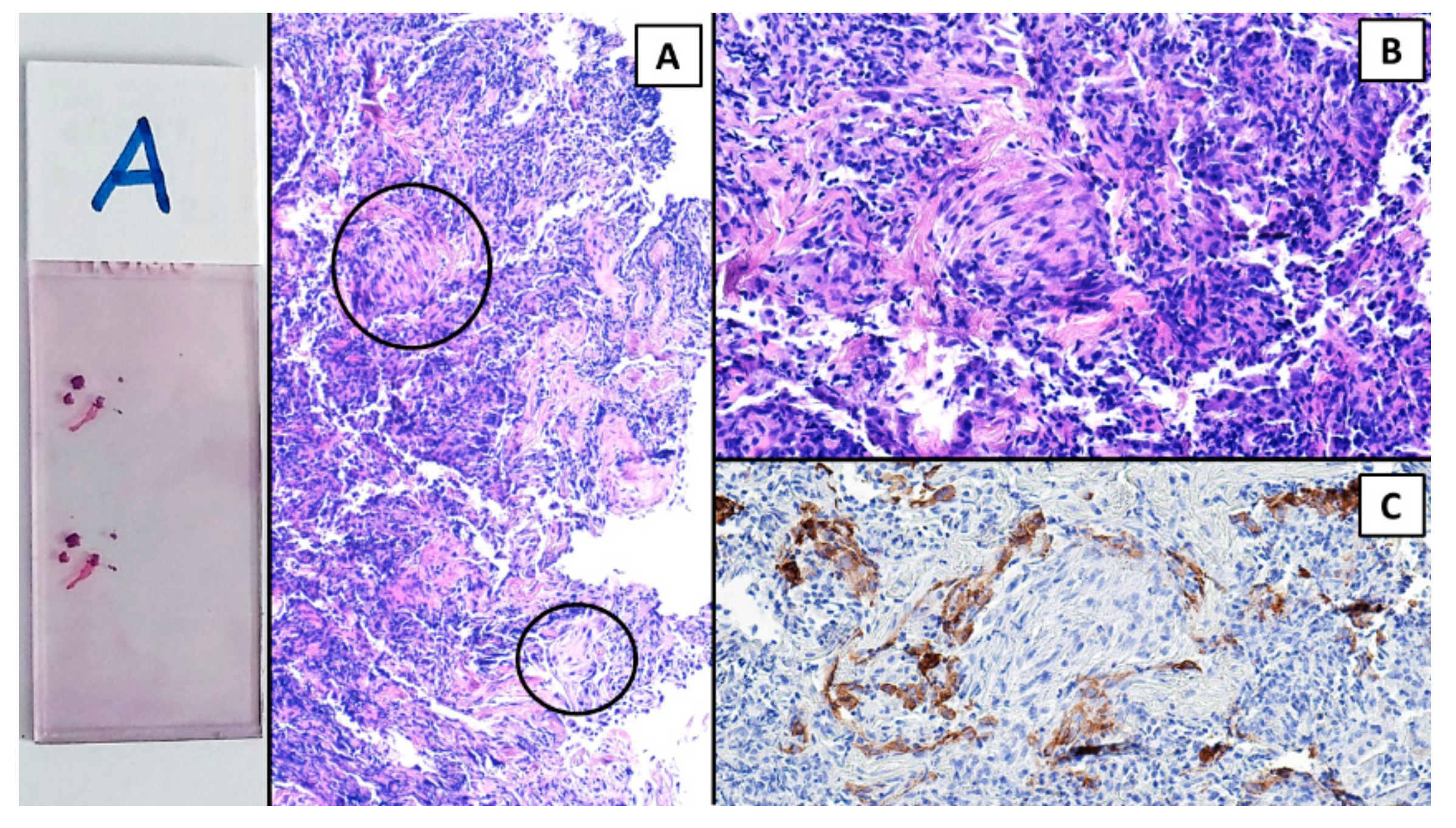
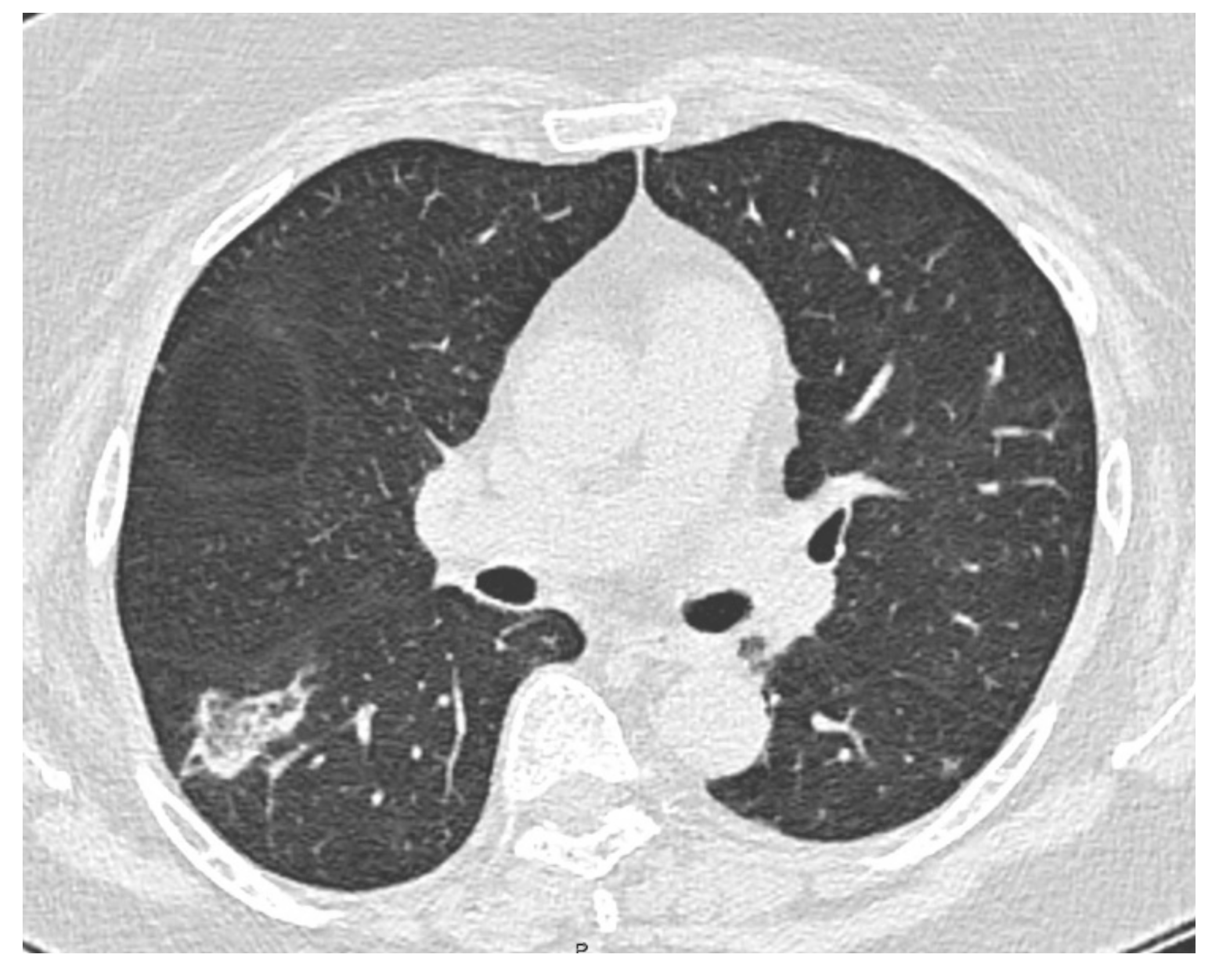
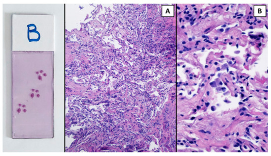
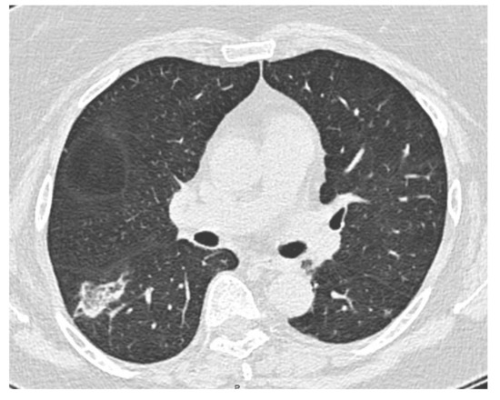
2. Case Presentation
3. Discussion
4. Conclusions
Supplementary Materials
Author Contributions
Funding
Institutional Review Board Statement
Informed Consent Statement
Data Availability Statement
Acknowledgments
Conflicts of Interest
References
- Raghu, G.; Meyer, K.C. Cryptogenic Organising Pneumonia: Current Understanding of an Enigmatic Lung Disease. Eur. Respir. Rev. 2021, 30, 210094. [Google Scholar] [CrossRef]
- King, T.E.; Lee, J.S. Cryptogenic Organizing Pneumonia. N. Engl. J. Med. 2022, 386, 1058–1069. [Google Scholar] [CrossRef] [PubMed]
- Drakopanagiotakis, F.; Paschalaki, K.; Abu-Hijleh, M.; Aswad, B.; Karagianidis, N.; Kastanakis, E.; Braman, S.S.; Polychronopoulos, V. Cryptogenic and Secondary Organizing Pneumonia: Clinical Presentation, Radiographic Findings, Treatment Response, and Prognosis. Chest 2011, 139, 893–900. [Google Scholar] [CrossRef] [PubMed]
- Cherian, S.V.; Patel, D.; Machnicki, S.; Naidich, D.; Stover, D.; Travis, W.D.; Brown, K.K.; Naidich, J.J.; Mahajan, A.; Esposito, M.; et al. Algorithmic Approach to the Diagnosis of Organizing Pneumonia. Chest 2022, 162, 156–178. [Google Scholar] [CrossRef] [PubMed]
- Poletti, V.; Cazzato, S.; Minicuci, N.; Zompatori, M.; Burzi, M.; Schiattone, M.L. The Diagnostic Value of Bronchoalveolar Lavage and Transbronchial Lung Biopsy in Cryptogenic Organizing Pneumonia. Eur. Respir. J. 1996, 9, 2513–2516. [Google Scholar] [CrossRef] [PubMed]
- Travis, W.D.; King, T.E.; Bateman, E.D.; Lynch, D.A.; Capron, F.; Center, D.; Colby, T.V.; Cordier, J.F.; DuBois, R.M.; Galvin, J.; et al. American Thoracic Society/European Respiratory Society International Multidisciplinary Consensus Classification of the Idiopathic Interstitial Pneumonias. Am. J. Respir. Crit. Care Med. 2002, 165, 277–304. [Google Scholar]
- Travis, W.D.; Costabel, U.; Hansell, D.M.; King, T.E.; Lynch, D.A.; Nicholson, A.G.; Ryerson, C.J.; Ryu, J.H.; Selman, M.; Wells, A.U.; et al. An Official American Thoracic Society/European Respiratory Society Statement: Update of the International Multidisciplinary Classification of the Idiopathic Interstitial Pneumonias. Am. J. Respir. Crit. Care Med. 2013, 188, 733–748. [Google Scholar] [CrossRef]
- Imasaki, T.; Yoshii, A.; Tanaka, S.; Ogura, T.; Ishikawa, A.; Takahashi, T. Polymyositis and Sjögren’s Syndrome Associated with Bronchiolitis Obliterans Organizing Pneumonia. Intern. Med. 1996, 35, 231–235. [Google Scholar] [CrossRef]
- Henriet, A.C.; Diot, E.; Marchand-Adam, S.; de Muret, A.; Favelle, O.; Crestani, B.; Diot, P. Organising Pneumonia Can Be the Inaugural Manifestation in Connective Tissue Diseases, Including Sjögren’s Syndrome. Eur. Respir. Rev. 2010, 19, 161–163. [Google Scholar] [CrossRef]
- Ramos-Casals, M.; Tzioufas, A.G.; Font, J. Primary Sjögren’s Syndrome: New Clinical and Therapeutic Concepts. Ann. Rheum. Dis. 2005, 64, 347–354. [Google Scholar] [CrossRef]
- Mariette, X.; Criswell, L.A. Primary Sjögren’s Syndrome. N. Engl. J. Med. 2018, 378, 931–939. [Google Scholar] [CrossRef] [PubMed]
- Ito, I.; Nagai, S.; Kitaichi, M.; Nicholson, A.G.; Johkoh, T.; Noma, S.; Dong, S.K.; Handa, T.; Izumi, T.; Mishima, M. Pulmonary Manifestations of Primary Sjögren’s Syndrome: A Clinical, Radiologic, and Pathologic Study. Am. J. Respir. Crit. Care Med. 2005, 171, 632–638. [Google Scholar] [CrossRef] [PubMed]
- Flament, T.; Bigot, A.; Chaigne, B.; Henique, H.; Diot, E.; Marchand-Adam, S. Pulmonary Manifestations of Sjögren’s Syndrome. Eur. Respir. Rev. 2016, 25, 110–123. [Google Scholar] [CrossRef]
- Sambataro, G.; Ferro, F.; Orlandi, M.; Sambataro, D.; Torrisi, S.E.; Quartuccio, L.; Vancheri, C.; Baldini, C.; Matucci Cerinic, M. Clinical, Morphological Features and Prognostic Factors Associated with Interstitial Lung Disease in Primary Sjögren’s Syndrome: A Systematic Review from the Italian Society of Rheumatology. Autoimmun. Rev. 2020, 19, 102447. [Google Scholar] [CrossRef]
- Luppi, F.; Sebastiani, M.; Silva, M.; Sverzellati, N.; Cavazza, A.; Salvarani, C.; Manfredi, A. Interstitial Lung Disease in Sjögren’s Syndrome: A Clinical Review. Clin. Exp. Rheumatol. 2021, 38 (Suppl. S126), 291–300. [Google Scholar]
- Kelly, C.; Gardiner, P.; Pal, B.; Griffiths, I. Lung Function in Primary Sjogren’s Syndrome: A Cross Sectional and Longitudinal Study. Thorax 1991, 46, 180–183. [Google Scholar] [CrossRef] [PubMed]
- Shiboski, C.H.; Shiboski, S.C.; Seror, R.; Criswell, L.A.; Labetoulle, M.; Lietman, T.M.; Rasmussen, A.; Scofield, H.; Vitali, C.; Bowman, S.J.; et al. 2016 American College of Rheumatology/European League Against Rheumatism Classification Criteria for Primary Sjögren’s Syndrome: A Consensus and Data-Driven Methodology Involving Three International Patient Cohorts. Arthritis Rheumatol. 2017, 76, 9–16. [Google Scholar] [CrossRef] [PubMed]
- Lohrmann, C.; Uhl, M.; Warnatz, K.; Ghanem, N.; Kotter, E.; Schaefer, O.; Langer, M. High-Resolution CT Imaging of the Lung for Patients with Primary Sjögren’s Syndrome. Eur. J. Radiol. 2004, 52, 137–143. [Google Scholar] [CrossRef]
- Fischer, A.; Strek, M.E.; Cottin, V.; Dellaripa, P.F.; Bernstein, E.J.; Brown, K.K.; Danoff, S.K.; Distler, O.; Hirani, N.; Jones, K.D.; et al. Proceedings of the American College of Rheumatology/Association of Physicians of Great Britain and Ireland Connective Tissue Disease–Associated Interstitial Lung Disease Summit: A Multidisciplinary Approach to Address Challenges and Opportunities. Arthritis Rheumatol. 2019, 71, 182–195. [Google Scholar] [CrossRef]
- Piro, R.; Fontana, M.; Casalini, E.; Taddei, S.; Bertolini, M.; Iori, M.; Facciolongo, N. Cone Beam CT Augmented Fluoroscopy Allows Safe and Efficient Diagnosis of a Difficult Lung Nodule. BMC Pulm. Med. 2021, 21, 1–6. [Google Scholar] [CrossRef]
- Oki, M.; Saka, H.; Ando, M.; Asano, F.; Kurimoto, N.; Morita, K.; Kitagawa, C.; Kogure, Y.; Miyazawa, T. Ultrathin Bronchoscopy with Multimodal Devices for Peripheral Pulmonary Lesions: A Randomized Trial. Am. J. Respir. Crit. Care Med. 2015, 192, 468–476. [Google Scholar] [CrossRef] [PubMed]
- Miao, L.; Wang, Y.; Li, Y.; Ding, J.; Chen, L.; Dai, J.; Cai, H.; Xiao, Y.; Cao, M.; Huang, M.; et al. Lesion with Morphologic Feature of Organizing Pneumonia (OP) in CT-Guided Lung Biopsy Samples for Diagnosis of Bronchiolitis Obliterans Organizing Pneumonia (BOOP): A Retrospective Study of 134 Cases in a Single Center. J. Thorac. Dis. 2014, 6, 1251–1260. [Google Scholar] [CrossRef] [PubMed]
- Wiener, R.S.; Schwartz, L.M.; Woloshin, S.; Gilbert Welch, H. Population-Based Risk for Complications after Transthoracic Needle Lung Biopsy of a Pulmonary Nodule: An Analysis of Discharge Records. Ann. Intern. Med. 2011, 155, 137–144. [Google Scholar] [CrossRef]
- Tomiyama, N.; Yasuhara, Y.; Nakajima, Y.; Adachi, S.; Arai, Y.; Kusumoto, M.; Eguchi, K.; Kuriyama, K.; Sakai, F.; Noguchi, M.; et al. CT-Guided Needle Biopsy of Lung Lesions: A Survey of Severe Complication Based on 9783 Biopsies in Japan. Eur. J. Radiol. 2006, 59, 60–64. [Google Scholar] [CrossRef] [PubMed]
- Gould, M.K.; Donington, J.; Lynch, W.R.; Mazzone, P.J.; Midthun, D.E.; Naidich, D.P.; Wiener, R.S. Evaluation of Individuals with Pulmonary Nodules: When Is It Lung Cancer? Diagnosis and Management of Lung Cancer, 3rd Ed: American College of Chest Physicians Evidence-Based Clinical Practice Guidelines. Chest 2013, 143, e93S–e120S. [Google Scholar] [CrossRef] [PubMed]
- Ernst, A.; Simoff, M.; Ost, D.; Michaud, G.; Chandra, D.; Herth, F.J.F. A Multicenter, Prospective, Advanced Diagnostic Bronchoscopy Outcomes Registry. Chest 2010, 138, 165–170. [Google Scholar] [CrossRef] [PubMed]
- Asano, F.; Aoe, M.; Ohsaki, Y.; Okada, Y.; Sasada, S.; Sato, S.; Suzuki, E.; Senba, H.; Fujino, S.; Ohmori, K. Deaths and Complications Associated with Respiratory Endoscopy: A Survey by the Japan Society for Respiratory Endoscopy in 2010. Respirology 2012, 17, 478–485. [Google Scholar] [CrossRef]
- Ost, D.E.; Ernst, A.; Lei, X.; Kovitz, K.L.; Benzaquen, S.; Diaz-Mendoza, J.; Greenhill, S.; Toth, J.; Feller-Kopman, D.; Puchalski, J.; et al. Diagnostic Yield and Complications of Bronchoscopy for Peripheral Lung Lesions: Results of the AQuIRE Registry. Am. J. Respir. Crit. Care Med. 2016, 193, 68–77. [Google Scholar] [CrossRef] [PubMed]
- Rivera, M.P.; Mehta, A.C.; Wahidi, M.M. Establishing the Diagnosis of Lung Cancer: Diagnosis and Management of Lung Cancer, 3rd Ed: American College of Chest Physicians Evidence-Based Clinical Practice Guidelines. Chest 2013, 143, e142S–e165S. [Google Scholar] [CrossRef]
- Mondoni, M.; Sotgiu, G.; Bonifazi, M.; Dore, S.; Parazzini, E.M.; Carlucci, P.; Gasparini, S.; Centanni, S. Transbronchial Needle Aspiration in Peripheral Pulmonary Lesions: A Systematic Review and Meta-Analysis. Eur. Respir. J. 2016, 48, 196–204. [Google Scholar] [CrossRef]
- Facciolongo, N.; Piro, R.; Menzella, F.; Lusuardi, M.; Salio, M.; Agli, L.L.; Patelli, M. Training and Practice in Bronchoscopy: A National Survey in Italy. Monaldi Arch. Chest Dis. Pulm. Ser. 2013, 79, 128–133. [Google Scholar] [CrossRef] [PubMed]
- Wells, A.U.; Hirani, N. Interstitial Lung Disease Guideline: The British Thoracic Society in Collaboration with the Thoracic Society of Australia and New Zealand and the Irish Thoracic Society. Thorax 2008, 63, v1–v58. [Google Scholar] [CrossRef] [PubMed]
- Korevaar, D.A.; Colella, S.; Fally, M.; Camuset, J.; Colby, T.V.; Hagmeyer, L.; Hetzel, J.; Maldonado, F.; Morais, A.; Ravaglia, C.; et al. European Respiratory Society Guidelines on Transbronchial Lung Cryobiopsy in the Diagnosis of Interstitial Lung Diseases. Eur. Respir. J. 2022, 2022, 2200425. [Google Scholar] [CrossRef] [PubMed]
- Raghu, G.; Remy-Jardin, M.; Richeldi, L.; Thomson, C.C.; Antoniou, K.M.; Bissell, B.D.; Bouros, D.; Buendia-Roldan, I.; Caro, F.; Crestani, B.; et al. Idiopathic Pulmonary Fibrosis (an Update) and Progressive Pulmonary Fibrosis in Adults: An Official ATS/ERS/JRS/ALAT Clinical Practice Guideline. Am. J. Respir. Crit. Care Med. 2022, 205, E18–E47. [Google Scholar] [CrossRef]
- Ravaglia, C.; Bonifazi, M.; Wells, A.U.; Tomassetti, S.; Gurioli, C.; Piciucchi, S.; Dubini, A.; Tantalocco, P.; Sanna, S.; Negri, E.; et al. Safety and Diagnostic Yield of Transbronchial Lung Cryobiopsy in Diffuse Parenchymal Lung Diseases: A Comparative Study versus Video-Assisted Thoracoscopic Lung Biopsy and a Systematic Review of the Literature. Respiration 2016, 91, 215–227. [Google Scholar] [CrossRef]
- Rooney, C.P.; Wolf, K.; McLennan, G. Ultrathin Bronchoscopy as an Adjunct to Standard Bronchoscopy in the Diagnosis of Peripheral Lung Lesions: A Preliminary Report. Respiration 2002, 69, 63–68. [Google Scholar] [CrossRef]
- Oki, M.; Saka, H.; Kitagawa, C.; Tanaka, S.; Shimokata, T.; Mori, K.; Kajikawa, S. Novel Thin Bronchoscope with a 1.7-Mm Working Channel for Peripheral Pulmonary Lesions. Eur. Respir. J. 2008, 32, 465–471. [Google Scholar] [CrossRef]
- Oki, M.; Yatabe, Y.; Saka, H.; Kitagawa, C.; Kogure, Y.; Ichihara, S.; Moritani, S. Feasibility and Accuracy of Molecular Testing in Specimens Obtained with Small Biopsy Forceps: Comparison with the Results of Surgical Specimens. Respiration 2015, 89, 235–242. [Google Scholar] [CrossRef]
- Tanner, N.T.; Yarmus, L.; Chen, A.; Wang Memoli, J.; Mehta, H.J.; Pastis, N.J.; Lee, H.; Jantz, M.A.; Nietert, P.J.; Silvestri, G.A. Standard Bronchoscopy with Fluoroscopy vs. Thin Bronchoscopy and Radial Endobronchial Ultrasound for Biopsy of Pulmonary Lesions: A Multicenter, Prospective, Randomized Trial. Chest 2018, 154, 1035–1043. [Google Scholar] [CrossRef]
- Asano, F.; Eberhardt, R.; Herth, F.J.F. Virtual Bronchoscopic Navigation for Peripheral Pulmonary Lesions. Respiration 2014, 88, 430–440. [Google Scholar] [CrossRef]
- Casal, R.F.; Sarkiss, M.; Jones, A.K.; Stewart, J.; Tam, A.; Grosu, H.B.; Ost, D.E.; Jimenez, C.A.; Eapen, G.A. Cone Beam Computed Tomography-Guided Thin/Ultrathin Bronchoscopy for Diagnosis of Peripheral Lung Nodules: A Prospective Pilot Study. J. Thorac. Dis. 2018, 10, 6950–6959. [Google Scholar] [CrossRef] [PubMed]
- Orth, R.C.; Wallace, M.J.; Kuo, M.D. C-Arm Cone-Beam CT: General Principles and Technical Considerations for Use in Interventional Radiology. J. Vasc. Interv. Radiol. 2008, 19, 814–820. [Google Scholar] [CrossRef] [PubMed]
- Setser, R.; Chintalapani, G.; Bhadra, K.; Casal, R. Cone Beam CT Imaging for Bronchoscopy: A Technical Review. J. Thorac. Dis. 2020, 12, 7416–7428. [Google Scholar] [CrossRef] [PubMed]
- Verhoeven, R.L.J.; Fütterer, J.J.; Hoefsloot, W.; Van Der Heijden, E.H.F.M. Cone-Beam CT Image Guidance with and without Electromagnetic Navigation Bronchoscopy for Biopsy of Peripheral Pulmonary Lesions. J. Bronchol. Interv. Pulmonol. 2021, 28, 60–69. [Google Scholar] [CrossRef]
- Pritchett, M.A.; Schampaert, S.; De Groot, J.A.H.; Schirmer, C.C.; Van Der Bom, I. Cone-Beam CT with Augmented Fluoroscopy Combined with Electromagnetic Navigation Bronchoscopy for Biopsy of Pulmonary Nodules. J. Bronchol. Interv. Pulmonol. 2018, 25, 274–282. [Google Scholar] [CrossRef]
- Pritchett, M.A.; Bhadra, K.; Mattingley, J.S. Electromagnetic Navigation Bronchoscopy with Tomosynthesis-Based Visualization and Positional Correction: Three-Dimensional Accuracy as Confirmed by Cone-Beam Computed Tomography. J. Bronchol. Interv. Pulmonol. 2021, 25, 274–282. [Google Scholar] [CrossRef]
- Ali, E.A.A.; Takizawa, H.; Kawakita, N.; Sawada, T.; Tsuboi, M.; Toba, H.; Takashima, M.; Matsumoto, D.; Yoshida, M.; Kawakami, Y.; et al. Transbronchial Biopsy Using an Ultrathin Bronchoscope Guided by Cone-Beam Computed Tomography and Virtual Bronchoscopic Navigation in the Diagnosis of Pulmonary Nodules. Respiration 2019, 98, 321–328. [Google Scholar] [CrossRef]
- Asano, F.; Shinagawa, N.; Ishida, T.; Shindoh, J.; Anzai, M.; Tsuzuku, A.; Oizumi, S.; Morita, S. Virtual Bronchoscopic Navigation Combined with Ultrathin Bronchoscopy a Randomized Clinical Trial. Am. J. Respir. Crit. Care Med. 2013, 188, 327–333. [Google Scholar] [CrossRef]
- Gex, G.; Pralong, J.A.; Combescure, C.; Seijo, L.; Rochat, T.; Soccal, P.M. Diagnostic Yield and Safety of Electromagnetic Navigation Bronchoscopy for Lung Nodules: A Systematic Review and Meta-Analysis. Respiration 2014, 87, 165–176. [Google Scholar] [CrossRef]
- Lin, J.; Ost, D.E. Robotic Bronchoscopy for Peripheral Pulmonary Lesions: A Convergence of Technologies. Curr. Opin. Pulm. Med. 2021, 27, 229–239. [Google Scholar] [CrossRef]
- Chaddha, U.; Kovacs, S.P.; Manley, C.; Kyle Hogarth, D.; Cumbo-Nacheli, G.; Bhavani, S.V.; Kumar, R.; Shende, M.; Egan III, J.P.; Murgu, S. Robot-Assisted Bronchoscopy for Pulmonary Lesion Diagnosis: Results from the Initial Multicenter Experience. BMC Pulm. Med. 2019, 19, 243. [Google Scholar] [CrossRef] [PubMed]
- Chen, A.C.; Pastis, N.J.; Mahajan, A.K.; Khandhar, S.J.; Simoff, M.J.; Machuzak, M.S.; Cicenia, J.; Gildea, T.R.; Silvestri, G.A. Robotic Bronchoscopy for Peripheral Pulmonary Lesions A Multicenter Pilot and Feasibility Study (BENEFIT). Chest 2021, 159, 845–852. [Google Scholar] [CrossRef] [PubMed]
- Shen, Y.C.; Chen, C.H.; Tu, C.Y. Advances in Diagnostic Bronchoscopy. Diagnostics 2021, 11, 1984. [Google Scholar] [CrossRef] [PubMed]





Publisher’s Note: MDPI stays neutral with regard to jurisdictional claims in published maps and institutional affiliations. |
© 2022 by the authors. Licensee MDPI, Basel, Switzerland. This article is an open access article distributed under the terms and conditions of the Creative Commons Attribution (CC BY) license (https://creativecommons.org/licenses/by/4.0/).
Share and Cite
Casalini, E.; Piro, R.; Fontana, M.; Rossi, L.; Ghinassi, F.; Taddei, S.; Mengoli, M.C.; Magnani, L.; Beghè, B.; Facciolongo, N. Diagnosis of Organizing Pneumonia with an Ultrathin Bronchoscope and Cone-Beam CT: A Case Report. Diagnostics 2022, 12, 2813. https://doi.org/10.3390/diagnostics12112813
Casalini E, Piro R, Fontana M, Rossi L, Ghinassi F, Taddei S, Mengoli MC, Magnani L, Beghè B, Facciolongo N. Diagnosis of Organizing Pneumonia with an Ultrathin Bronchoscope and Cone-Beam CT: A Case Report. Diagnostics. 2022; 12(11):2813. https://doi.org/10.3390/diagnostics12112813
Chicago/Turabian StyleCasalini, Eleonora, Roberto Piro, Matteo Fontana, Laura Rossi, Federica Ghinassi, Sofia Taddei, Maria Cecilia Mengoli, Luca Magnani, Bianca Beghè, and Nicola Facciolongo. 2022. "Diagnosis of Organizing Pneumonia with an Ultrathin Bronchoscope and Cone-Beam CT: A Case Report" Diagnostics 12, no. 11: 2813. https://doi.org/10.3390/diagnostics12112813
APA StyleCasalini, E., Piro, R., Fontana, M., Rossi, L., Ghinassi, F., Taddei, S., Mengoli, M. C., Magnani, L., Beghè, B., & Facciolongo, N. (2022). Diagnosis of Organizing Pneumonia with an Ultrathin Bronchoscope and Cone-Beam CT: A Case Report. Diagnostics, 12(11), 2813. https://doi.org/10.3390/diagnostics12112813

