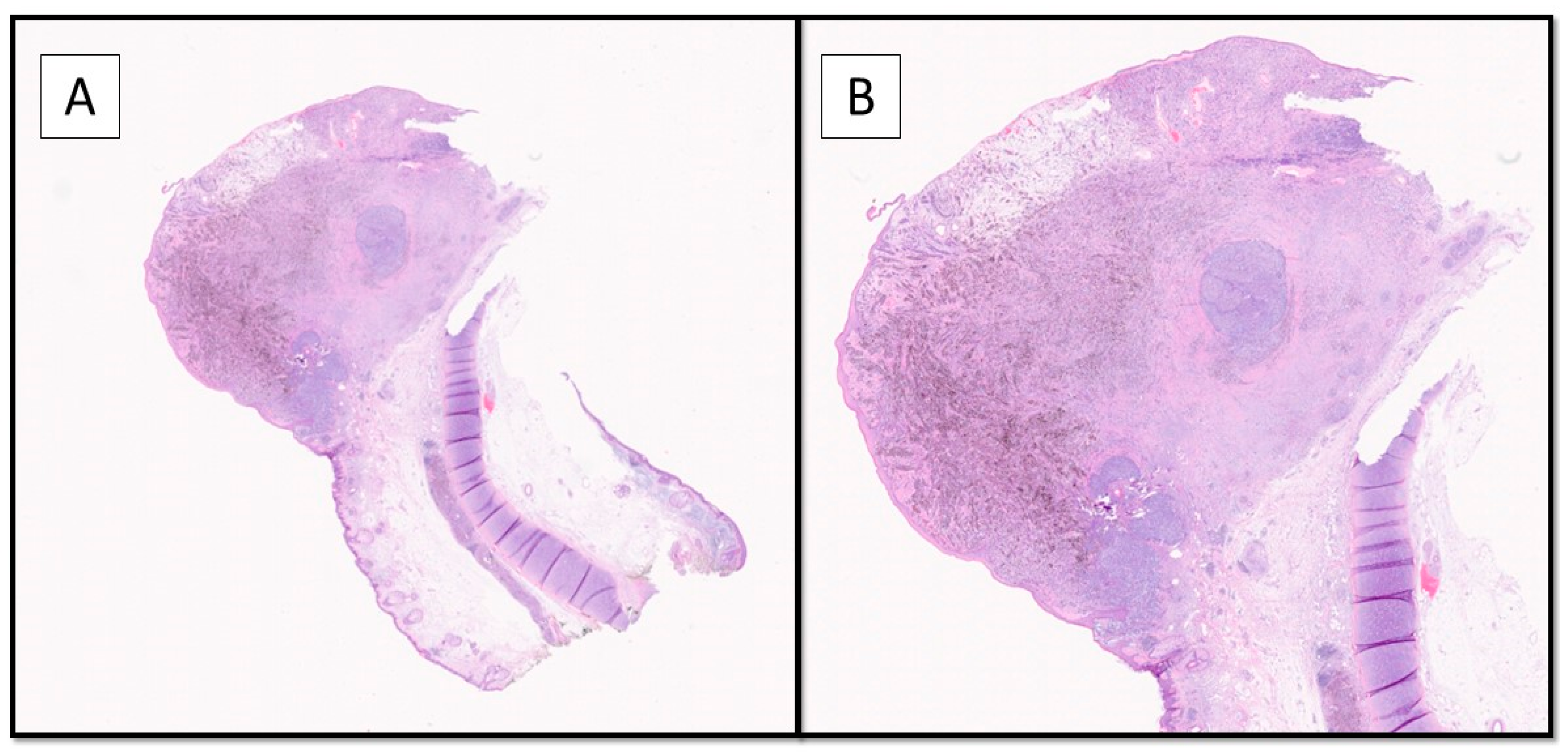
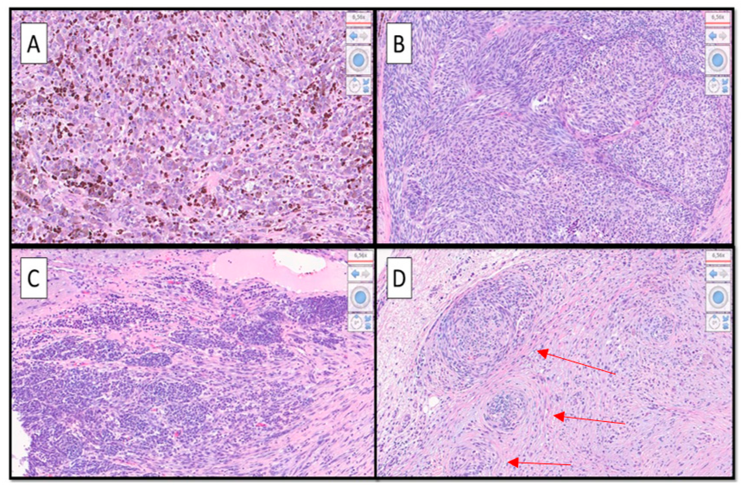
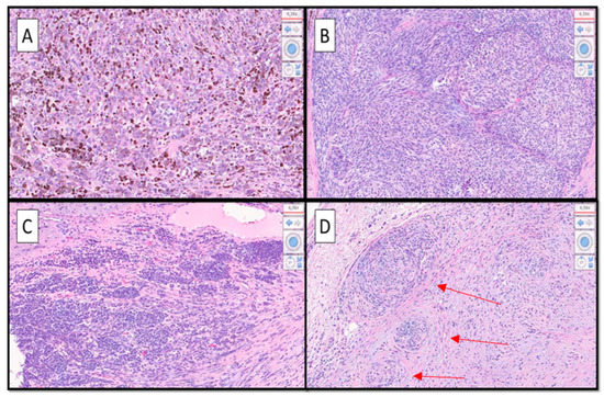
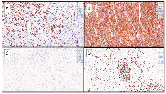
Polymorphic Malignant Melanoma (PMM) of the Left Helix: Case Report with Clinical-Pathological Correlations
Abstract




Author Contributions
Funding
Institutional Review Board Statement
Informed Consent Statement
Data Availability Statement
Acknowledgments
Conflicts of Interest
References
- Massi, D.; Mihic-Probst, D.; Schadendorf, D.; Dummer, R.; Mandalà, M. Dedifferentiated melanomas: Morpho-phenotypic profile, genetic reprogramming and clinical implications. Cancer Treat Rev. 2020, 88, 102060. [Google Scholar] [CrossRef] [PubMed]
- Klebanov, N.; Gunasekera, N.S.; Lin, W.M.; Hawryluk, E.B.; Miller, D.M.; Reddy, B.Y.; Christman, M.P.; Beaulieu, D.; Rajadurai, S.; Duncan, L.M.; et al. Clinical spectrum of cutaneous melanoma morphology. J. Am. Acad. Dermatol. 2019, 80, 178–188.e3. [Google Scholar] [CrossRef] [PubMed]
- Magro, C.M.; Crowson, A.N.; Mihm, M.C. Unusual variants of malignant melanoma. Mod. Pathol. 2006, 19 (Suppl. S2), S41–S70. [Google Scholar] [CrossRef] [PubMed]
- Cazzato, G.; Colagrande, A.; Cimmino, A.; Demarco, A.; Lospalluti, L.; Arezzo, F.; Resta, L.; Ingravallo, G. The Great Mime: Three Cases of Melanoma with Carcinoid-Like and Paraganglioma-Like Pattern with Emphasis on Differential Diagnosis. Dermatopathology 2021, 8, 130–134. [Google Scholar] [CrossRef] [PubMed]
- Cabrera, R.; Recule, F. Unusual Clinical Presentations of Malignant Melanoma: A Review of Clinical and Histologic Features with Special Emphasis on Dermatoscopic Findings. Am. J. Clin. Dermatol. 2018, 19 (Suppl. S1), 15–23. [Google Scholar] [CrossRef] [PubMed]
- MacKie, R.M. Malignant melanoma: Clinical variants and prognostic indicators. Clin. Exp. Dermatol. 2000, 25, 471–475. [Google Scholar] [CrossRef] [PubMed]
Publisher’s Note: MDPI stays neutral with regard to jurisdictional claims in published maps and institutional affiliations. |
© 2022 by the authors. Licensee MDPI, Basel, Switzerland. This article is an open access article distributed under the terms and conditions of the Creative Commons Attribution (CC BY) license (https://creativecommons.org/licenses/by/4.0/).
Share and Cite
Cazzato, G.; Colagrande, A.; Maruccia, M.; Nacchiero, E.; Lupo, C.; Casatta, N.; Ingravallo, G.; Maiorano, E.; Marzullo, A.; Giudice, G.; et al. Polymorphic Malignant Melanoma (PMM) of the Left Helix: Case Report with Clinical-Pathological Correlations. Diagnostics 2022, 12, 2713. https://doi.org/10.3390/diagnostics12112713
Cazzato G, Colagrande A, Maruccia M, Nacchiero E, Lupo C, Casatta N, Ingravallo G, Maiorano E, Marzullo A, Giudice G, et al. Polymorphic Malignant Melanoma (PMM) of the Left Helix: Case Report with Clinical-Pathological Correlations. Diagnostics. 2022; 12(11):2713. https://doi.org/10.3390/diagnostics12112713
Chicago/Turabian StyleCazzato, Gerardo, Anna Colagrande, Michele Maruccia, Eleonora Nacchiero, Carmelo Lupo, Nadia Casatta, Giuseppe Ingravallo, Eugenio Maiorano, Andrea Marzullo, Giuseppe Giudice, and et al. 2022. "Polymorphic Malignant Melanoma (PMM) of the Left Helix: Case Report with Clinical-Pathological Correlations" Diagnostics 12, no. 11: 2713. https://doi.org/10.3390/diagnostics12112713
APA StyleCazzato, G., Colagrande, A., Maruccia, M., Nacchiero, E., Lupo, C., Casatta, N., Ingravallo, G., Maiorano, E., Marzullo, A., Giudice, G., & Resta, L. (2022). Polymorphic Malignant Melanoma (PMM) of the Left Helix: Case Report with Clinical-Pathological Correlations. Diagnostics, 12(11), 2713. https://doi.org/10.3390/diagnostics12112713

