Development of a Multiplex Polymerase Chain Reaction-Based DNA Lateral Flow Assay as a Point-of-Care Diagnostic for Fast and Simultaneous Detection of MRSA and Vancomycin Resistance in Bacteremia
Abstract
1. Introduction
2. Materials and Methods
2.1. Bacterial Strains and Culture Conditions
2.2. Primer Design
2.3. Conventional Multiplex PCR Development
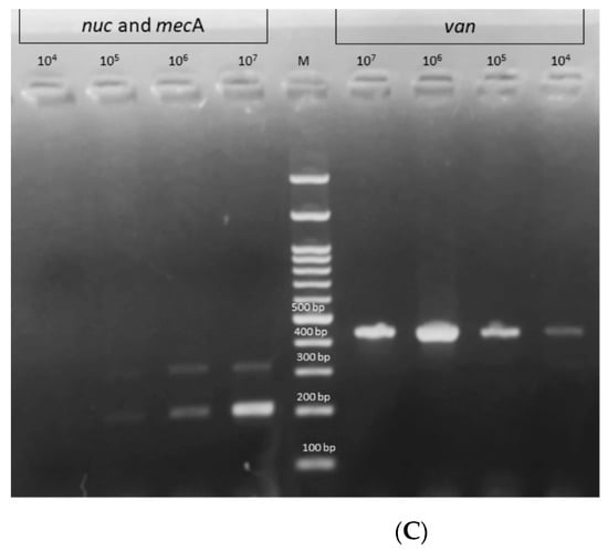
2.4. Sensitivity and Limit of Detection (LOD) of the Developed mPCR
2.5. Specificity of the Developed mPCR
2.6. Development of the mPCR-Based DNA Lateral Flow Assay (MBDLFA)
2.7. Detection of MRSA and Vancomycin Resistance in Artificially Spiked Blood Samples Using the MBDLFA
3. Results
3.1. Development of mPCR for the Detection of S. aureus, Methicillin Resistance and Vancomycin Resistance
3.2. The Developed mPCR Is Specific
3.3. Detection of MRSA and Vancomycin Resistance Using the MBDLFA
3.4. Detection of MRSA and Vancomycin Resistance in Artificially Inoculated Blood Using the MBDLFA
4. Discussion
5. Conclusions
Supplementary Materials
Author Contributions
Funding
Institutional Review Board Statement
Informed Consent Statement
Data Availability Statement
Acknowledgments
Conflicts of Interest
References
- Laupland, K.B. Incidence of Bloodstream Infection: A Review of Population-Based Studies. Clin. Microbiol. Infect. 2013, 19, 492–500. [Google Scholar] [CrossRef] [PubMed]
- Goto, M.; Al-Hasan, M.N. Overall Burden of Bloodstream Infection and Nosocomial Bloodstream Infection in North America and Europe. Clin. Microbiol. Infect. 2013, 19, 501–509. [Google Scholar] [CrossRef] [PubMed]
- Kern, W.V.; Rieg, S. Burden of Bacterial Bloodstream Infection—A Brief Update on Epidemiology and Significance of Multidrug-Resistant Pathogens. Clin. Microbiol. Infect. 2020, 26, 151–157. [Google Scholar] [CrossRef] [PubMed]
- Nambiar, K.; Seifert, H.; Rieg, S.; Kern, W.V.; Scarborough, M.; Gordon, N.C.; Bin Kim, H.; Song, K.-H.; Tilley, R.; Gott, H.; et al. Survival Following Staphylococcus aureus Bloodstream Infection: A Prospective Multinational Cohort Study Assessing the Impact of Place of Care. J. Infect. 2018, 77, 516–525. [Google Scholar] [CrossRef] [PubMed]
- del Rio, A.; Cervera, C.; Moreno, A.; Moreillon, P.; Miró, J.M. Patients at Risk of Complications of Staphylococcus aureus Bloodstream Infection. Clin. Infect. Dis. 2009, 48, S246–S253. [Google Scholar] [CrossRef]
- Buonomini, A.R.; Riva, E.; di Bonaventura, G.; Gherardi, G. Rapid Detection of Methicillin-Resistant Staphylococcus aureus Directly from Blood for the Diagnosis of Bloodstream Infections: A Mini-Review. Diagnostics 2020, 10, 830. [Google Scholar] [CrossRef]
- van Hal, S.J.; Jensen, S.O.; Vaska, V.L.; Espedido, B.A.; Paterson, D.L.; Gosbell, I.B. Predictors of Mortality in Staphylococcus aureus Bacteremia. Clin. Microbiol. Rev. 2012, 25, 362–386. [Google Scholar] [CrossRef]
- Cusumano, J.A.; Dupper, A.C.; Malik, Y.; Gavioli, E.M.; Banga, J.; Caban, A.B.; Nadkarni, D.; Obla, A.; Vasa, C.V.; Mazo, D.; et al. Staphylococcus aureus Bacteremia in Patients Infected With COVID-19: A Case Series. Open Forum Infect. Dis. 2020, 7, ofaa518. [Google Scholar] [CrossRef]
- Kaasch, A.J.; Barlow, G.; Edgeworth, J.D.; Fowler, V.G.; Hellmich, M.; Hopkins, S.; Kern, W.V.; Llewelyn, M.J.; Rieg, S.; Rodriguez-Baño, J.; et al. Staphylococcus aureus Bloodstream Infection: A Pooled Analysis of Five Prospective, Observational Studies. J. Infect. 2014, 68, 242–251. [Google Scholar] [CrossRef]
- Liu, C.; Bayer, A.; Cosgrove, S.E.; Daum, R.S.; Fridkin, S.K.; Gorwitz, R.J.; Kaplan, S.L.; Karchmer, A.W.; Levine, D.P.; Murray, B.E.; et al. Clinical Practice Guidelines by the Infectious Diseases Society of America for the Treatment of Methicillin-Resistant Staphylococcus aureus Infections in Adults and Children. Clin. Infect. Dis. 2011, 52, e18–e55. [Google Scholar] [CrossRef]
- Kimmig, A.; Hagel, S.; Weis, S.; Bahrs, C.; Löffler, B.; Pletz, M.W. Management of Staphylococcus aureus Bloodstream Infections. Front. Med. 2021, 7, 616524. [Google Scholar] [CrossRef] [PubMed]
- Timbrook, T.T.; Morton, J.B.; McConeghy, K.W.; Caffrey, A.R.; Mylonakis, E.; LaPlante, K.L. The Effect of Molecular Rapid Diagnostic Testing on Clinical Outcomes in Bloodstream Infections: A Systematic Review and Meta-Analysis. Clin. Infect. Dis. 2017, 64, 15–23. [Google Scholar] [CrossRef] [PubMed]
- Castro-Escarpulli, G.; AlonsoAguilar, N.M.; Sánchez, G.R.; Bocanegra-Garcia, V.; Guo, X.; Juárez-Enríquez, S.R.; Luna-Herrera, J.; Martínez, C.M.; Guadalupe, A.-A.M. Identification and Typing Methods for the Study of Bacterial Infectons: A Brief Review and Mycobacterial as Case of Study. Arch. Clin. Microbiol. 2015, 7, 1–10. [Google Scholar]
- Sharp, P.A.; Sugden, B.; Sambrook, J. Detection of Two Restriction Endonuclease Activities in Haemophilus Parainfluenzae Using Analytical Agarose-Ethidium Bromide Electrophoresis. Biochemistry 1973, 12, 3055–3063. [Google Scholar] [CrossRef] [PubMed]
- Tian, L.; Sato, T.; Niwa, K.; Kawase, M.; Tanner, A.C.R.; Takahashi, N. Rapid and Sensitive PCR-Dipstick DNA Chromatography for Multiplex Analysis of the Oral Microbiota. Biomed. Res. Int. 2014, 2014, 180323. [Google Scholar] [CrossRef]
- Sajid, M.; Kawde, A.-N.; Daud, M. Designs, Formats and Applications of Lateral Flow Assay: A Literature Review. J. Saudi Chem. Soc. 2015, 19, 689–705. [Google Scholar] [CrossRef]
- Kosack, C.S.; Page, A.-L.; Klatser, P.R. A Guide to Aid the Selection of Diagnostic Tests. Bull World Health Organ. 2017, 95, 639–645. [Google Scholar] [CrossRef]
- Henderson, W.A.; Xiang, L.; Fourie, N.H.; Abey, S.K.; Ferguson, E.G.; Diallo, A.F.; Kenea, N.D.; Kim, C.H. Simple Lateral Flow Assays for Microbial Detection in Stool. Anal. Methods 2018, 10, 5358–5363. [Google Scholar] [CrossRef]
- Doyle, J.; Uthicke, S. Sensitive Environmental DNA Detection via Lateral Flow Assay (Dipstick)—A Case Study on Corallivorous Crown-of-thorns Sea Star (Acanthaster Cf. Solaris) Detection. Environ. DNA 2021, 3, 323–342. [Google Scholar] [CrossRef]
- Shanmugakani, R.K.; Akeda, Y.; Yamamoto, N.; Sakamoto, N.; Hagiya, H.; Yoshida, H.; Takeuchi, D.; Sugawara, Y.; Kodera, T.; Kawase, M.; et al. PCR-Dipstick Chromatography for Differential Detection of Carbapenemase Genes Directly in Stool Specimens. Antimicrob. Agents Chemother. 2017, 61, e00067-17. [Google Scholar] [CrossRef]
- Brakstad, O.G.; Aasbakk, K.; Maeland, J.A. Detection of Staphylococcus aureus by Polymerase Chain Reaction Amplification of the Nuc Gene. J. Clin. Microbiol. 1992, 30, 1654–1660. [Google Scholar] [CrossRef] [PubMed]
- Anand, K.B.; Agrawal, P.; Kumar, S.; Kapila, K. Comparison of Cefoxitin Disc Diffusion Test, Oxacillin Screen Agar, and PCR for MecA Gene for Detection of MRSA. Indian J. Med. Microbiol. 2009, 27, 27–29. [Google Scholar] [CrossRef]
- Saber, T.; Samir, M.; El-Mekkawy, R.M.; Ariny, E.; El-Sayed, S.R.; Enan, G.; Abdelatif, S.H.; Askora, A.; Merwad, A.M.A.; Tartor, Y.H. Methicillin- and Vancomycin-Resistant Staphylococcus aureus From Humans and Ready-To-Eat Meat: Characterization of Antimicrobial Resistance and Biofilm Formation Ability. Front. Microbiol. 2022, 12, 735494. [Google Scholar] [CrossRef]
- Igbinosa, E.; Beshiru, A.; Akporehe, L.; Oviasogie, F.; Igbinosa, O. Prevalence of Methicillin-Resistant Staphylococcus aureus and Other Staphylococcus Species in Raw Meat Samples Intended for Human Consumption in Benin City, Nigeria: Implications for Public Health. Int. J. Environ. Res. Public Health 2016, 13, 949. [Google Scholar] [CrossRef] [PubMed]
- Vali, L.; Davies, S.E.; Lai, L.L.G.; Dave, J.; Amyes, S.G.B. Frequency of Biocide Resistance Genes, Antibiotic Resistance and the Effect of Chlorhexidine Exposure on Clinical Methicillin-Resistant Staphylococcus aureus Isolates. J. Antimicrob. Chemother. 2008, 61, 524–532. [Google Scholar] [CrossRef]
- Helmy, O.M.; Ragab, Y.M.; Hussein, M.M.M. Multiplex Polymerase Chain Reaction (PCR) for the Detection of Diarrheagenic Escherichia coli and Shigella Directly from Stool. Afr. J. Microbiol. Res. 2013, 7, 4368–4372. [Google Scholar]
- Mohamed, S.A.; Samir, T.M.; Helmy, O.M.; Elhosseiny, N.M.; Ali, A.A.; El-Kholy, A.A.; Attia, A.S. A Novel Surface-Exposed Polypeptide Is Successfully Employed as a Target for Developing a Prototype One-Step Immunochromatographic Strip for Specific and Sensitive Direct Detection of Staphylococcus aureus Causing Neonatal Sepsis. Biomolecules 2020, 10, 1580. [Google Scholar] [CrossRef]
- Opota, O.; Jaton, K.; Greub, G. Microbial Diagnosis of Bloodstream Infection: Towards Molecular Diagnosis Directly from Blood. Clin. Microbiol. Infect. 2015, 21, 323–331. [Google Scholar] [CrossRef]
- Maes, N.; Magdalena, J.; Rottiers, S.; de Gheldre, Y.; Struelens, M.J. Evaluation of a Triplex PCR Assay To Discriminate Staphylococcus aureus from Coagulase-Negative Staphylococci and Determine Methicillin Resistance from Blood Cultures. J. Clin. Microbiol. 2002, 40, 1514–1517. [Google Scholar] [CrossRef]
- Larsen, A.R.; Stegger, M.; Sørum, M. Spa Typing Directly from a MecA, Spa and Pvl Multiplex PCR Assay—A Cost-Effective Improvement for Methicillin-Resistant Staphylococcus aureus Surveillance. Clin. Microbiol. Infect. 2008, 14, 611–614. [Google Scholar] [CrossRef]
- Wellinghausen, N.; Kochem, A.-J.; Disqué, C.; Mühl, H.; Gebert, S.; Winter, J.; Matten, J.; Sakka, S.G. Diagnosis of Bacteremia in Whole-Blood Samples by Use of a Commercial Universal 16S RRNA Gene-Based PCR and Sequence Analysis. J. Clin. Microbiol. 2009, 47, 2759–2765. [Google Scholar] [CrossRef] [PubMed]
- Arunrut, N.; Kiatpathomchai, W.; Ananchaipattana, C. Multiplex PCR Assay and Lyophilization for Detection of Salmonella Spp., Staphylococcus aureus and Bacillus cereus in Pork Products. Food Sci. Biotechnol. 2018, 27, 867–875. [Google Scholar] [CrossRef] [PubMed]
- Liu, Y.; Zhang, J.; Ji, Y. PCR-Based Approaches for the Detection of Clinical Methicillin-Resistant Staphylococcus aureus. Open Microbiol. J. 2016, 10, 45–56. [Google Scholar] [CrossRef] [PubMed]
- Shariati, A.; Dadashi, M.; Moghadam, M.T.; van Belkum, A.; Yaslianifard, S.; Darban-Sarokhalil, D. Global Prevalence and Distribution of Vancomycin Resistant, Vancomycin Intermediate and Heterogeneously Vancomycin Intermediate Staphylococcus aureus Clinical Isolates: A Systematic Review and Meta-Analysis. Sci. Rep. 2020, 10, 12689. [Google Scholar] [CrossRef] [PubMed]
- Rocchetti, T.T.; Martins, K.B.; Martins, P.Y.F.; de Oliveira, R.A.; Mondelli, A.L.; Fortaleza, C.M.C.B.; Cunha, M.D.L.R.D.S.D. Detection of the Mec A Gene and Identification of Staphylococcus Directly from Blood Culture Bottles by Multiplex Polymerase Chain Reaction. Braz. J. Infect. Dis. 2018, 22, 99–105. [Google Scholar] [CrossRef] [PubMed]
- Wiriyachaiporn, S.; Howarth, P.H.; Bruce, K.D.; Dailey, L.A. Evaluation of a Rapid Lateral Flow Immunoassay for Staphylococcus aureus Detection in Respiratory Samples. Diagn. Microbiol. Infect. Dis. 2013, 75, 28–36. [Google Scholar] [CrossRef]
- Zhang, K.; Sparling, J.; Chow, B.L.; Elsayed, S.; Hussain, Z.; Church, D.L.; Gregson, D.B.; Louie, T.; Conly, J.M. New Quadriplex PCR Assay for Detection of Methicillin and Mupirocin Resistance and Simultaneous Discrimination of Staphylococcus aureus from Coagulase-Negative Staphylococci. J. Clin. Microbiol. 2004, 42, 4947–4955. [Google Scholar] [CrossRef]
- McClure, J.-A.; Conly, J.M.; Obasuyi, O.; Ward, L.; Ugarte-Torres, A.; Louie, T.; Zhang, K. A Novel Assay for Detection of Methicillin-Resistant Staphylococcus aureus Directly from Clinical Samples. Front. Microbiol. 2020, 11, 1295. [Google Scholar] [CrossRef]
- Okolie, C.E.; Wooldridge, K.G.; Turner, D.P.J.; Cockayne, A.; James, R. Development of a Heptaplex PCR Assay for Identification of Staphylococcus aureus and CoNS with Simultaneous Detection of Virulence and Antibiotic Resistance Genes. BMC Microbiol. 2015, 15, 157. [Google Scholar] [CrossRef]
- Banada, P.P.; Chakravorty, S.; Shah, D.; Burday, M.; Mazzella, F.M.; Alland, D. Highly Sensitive Detection of Staphylococcus aureus Directly from Patient Blood. PLoS ONE 2012, 7, e31126. [Google Scholar] [CrossRef]
- Hirschhorn, J.W.; Schandl, C.A.; Nolte, F.S. Polymerase Chain Reaction And Other Nucleic Acid Amplification Technology. In Henry’s Clinical Diagnosis and Management by Laboratory Methods; McPherson, R.A., Pincus, M.R., Eds.; Elsevier: Philadelphia, PA, USA, 2022; pp. 1387–1400. [Google Scholar]
- Peters, R.P.H.; van Agtmael, M.A.; Gierveld, S.; Danner, S.A.; Groeneveld, A.B.J.; Vandenbroucke-Grauls, C.M.J.E.; Savelkoul, P.H.M. Quantitative Detection of Staphylococcus aureus and Enterococcus Faecalis DNA in Blood To Diagnose Bacteremia in Patients in the Intensive Care Unit. J. Clin. Microbiol. 2007, 45, 3641–3646. [Google Scholar] [CrossRef]
- Wellinghausen, N.; Siegel, D.; Gebert, S.; Winter, J. Rapid Detection of Staphylococcus aureus Bacteremia and Methicillin Resistance by Real-Time PCR in Whole Blood Samples. Eur. J. Clin. Microbiol. Infect. Dis. 2009, 28, 1001–1005. [Google Scholar] [CrossRef] [PubMed]
- Rohrman, B.A.; Leautaud, V.; Molyneux, E.; Richards-Kortum, R.R. A Lateral Flow Assay for Quantitative Detection of Amplified HIV-1 RNA. PLoS ONE 2012, 7, e45611. [Google Scholar] [CrossRef] [PubMed]
- Ohshiro, T.; Miyagi, C.; Tamaki, Y.; Mizuno, T.; Ezaki, T. Development of a Rapid Diagnostic Method for Identification of Staphylococcus aureus and Antimicrobial Resistance in Positive Blood Culture Bottles Using a PCR-DNA-Chromatography Method. J. Infect. Chemother. 2016, 22, 372–376. [Google Scholar] [CrossRef] [PubMed]
- Noguera, P.; Posthuma-Trumpie, G.A.; van Tuil, M.; van der Wal, F.J.; de Boer, A.; Moers, A.P.H.A.; van Amerongen, A. Carbon Nanoparticles in Lateral Flow Methods to Detect Genes Encoding Virulence Factors of Shiga Toxin-Producing Escherichia coli. Anal. Bioanal. Chem. 2011, 399, 831–838. [Google Scholar] [CrossRef]
- Wang, Y.; Yan, W.; Fu, S.; Hu, S.; Wang, Y.; Xu, J.; Ye, C. Multiple Cross Displacement Amplification Coupled With Nanoparticles-Based Lateral Flow Biosensor for Detection of Staphylococcus aureus and Identification of Methicillin-Resistant S. aureus. Front. Microbiol. 2018, 9, 907. [Google Scholar] [CrossRef]
- Mason, W.J.; Blevins, J.S.; Beenken, K.; Wibowo, N.; Ojha, N.; Smeltzer, M.S. Multiplex PCR Protocol for the Diagnosis of Staphylococcal Infection. J. Clin. Microbiol. 2001, 39, 3332–3338. [Google Scholar] [CrossRef]
- Khatib, R.; Riederer, K.; Saeed, S.; Johnson, L.B.; Fakih, M.G.; Sharma, M.; Tabriz, M.S.; Khosrovaneh, A. Time to Positivity in Staphylococcus aureus Bacteremia: Possible Correlation with the Source and Outcome of Infection. Clin. Infect. Dis. 2005, 41, 594–598. [Google Scholar] [CrossRef]
- Afshari, A.; Schrenzel, J.; Ieven, M.; Harbarth, S. Bench-to-Bedside Review: Rapid Molecular Diagnostics for Bloodstream Infection—A New Frontier? Crit. Care 2012, 16, 222. [Google Scholar] [CrossRef]
- Chen, K.; Malik, A.A.; Sheng, Y.-J.; Ahmed, S.; Sun, C.; Deng, C.-L.; Ojha, S.C. Clinical Utility of Molecular Tests for Guiding Therapeutic Decisions in Bloodstream Staphylococcal Infections: A Meta-Analysis. Front. Pediatr. 2021, 9, 713447. [Google Scholar] [CrossRef]
- Peker, N.; Couto, N.; Sinha, B.; Rossen, J.W. Diagnosis of Bloodstream Infections from Positive Blood Cultures and Directly from Blood Samples: Recent Developments in Molecular Approaches. Clin. Microbiol. Infect. 2018, 24, 944–955. [Google Scholar] [CrossRef] [PubMed]
- Towns, M.L.; Jarvis, W.R.; Hsueh, P.-R. Guidelines on Blood Cultures. J. Microbiol. Immunol. Infect. 2010, 43, 347–349. [Google Scholar] [CrossRef]
- Wheeler, J.; Murphy, O.M.; Freeman, R.; Kearns, A.M.; Steward, M.; Lee, M.J.S. PCR Can Add to Detection of Pneumococcal Disease in Pneumonic Patients Receiving Antibiotics at Admission. J. Clin. Microbiol. 2000, 38, 3907. [Google Scholar] [CrossRef] [PubMed]
- Bauer, K.A.; West, J.E.; Balada-Llasat, J.; Pancholi, P.; Stevenson, K.B.; Goff, D.A. An Antimicrobial Stewardship Program’s Impact with Rapid Polymerase Chain Reaction Methicillin-Resistant Staphylococcus aureus/S. aureus Blood Culture Test in Patients with S. aureus Bacteremia. Clin. Infect. Dis. 2010, 51, 1074–1080. [Google Scholar] [CrossRef]






| Primer Name | Target Gene | Sequence (5′-3′) | Product Size | Source |
|---|---|---|---|---|
| 1 NucF | nuc | GCGATTGATGGTGATACGGTT | 192 | [24] |
| 1 NucR | TGACCTTTGTCAAACTCGACTTC | This study | ||
| 1 MecAF | mecA | GTAGAAATGACTGAACGTCCGATA | 310 | [25] |
| 1 MecAR | CCAATTCCACATTGTTTCGGTCTA | [25] | ||
| 1 VanF | vanA/B | ATCGTTGACATACATCGTTGCG | 421 | This study |
| 1 VanR | CTGTATCCGTCCTCGCTCCT | This study | ||
| 2 Tag1-NucF | nuc | [Tag1]-spacer-GCGATTGATGGTGATACGGTT | 192 | This study |
| 2 Biotin-NucR | [Biotin]-TGACCTTTGTCAAACTCGACTTC | This study | ||
| 2 Tag2-MecAF | mecA | [Tag2]-spacer-GTAGAAATGACTGAACGTCCGATA | 310 | This study |
| 2 Biotin-MecAR | [Biotin]-CCAATTCCACATTGTTTCGGTCTA | This study | ||
| 2 Tag3-VanF | vanA/B | [Tag3]-spacer-ATCGTTGACATACATCGTTGCG | 421 | This study |
| 2 Biotin-VanR | [Biotin]-CTGTATCCGTCCTCGCTCCT | This study |
| Tested Method | Limit of Detection (CFU/mL) | Time for Detection | Specificity | ||
|---|---|---|---|---|---|
| nuc | mecA | vanA/B | |||
| Conventional mPCR followed by gel electrophoresis | 107 | 107 | 105 | 3 h * or more depending on the number of samples. | Specific |
| MBDLFA on DNA extracted from artificially spiked blood followed by gel electrophoresis | 105 | 105 | 104 | 3 h * or more depending on the number of samples | Specific |
| MBDLFA on DNA extracted from artificially spiked blood followed by using C-PAS | 107 | 108 | 104 | 2 h * | Specific |
Publisher’s Note: MDPI stays neutral with regard to jurisdictional claims in published maps and institutional affiliations. |
© 2022 by the authors. Licensee MDPI, Basel, Switzerland. This article is an open access article distributed under the terms and conditions of the Creative Commons Attribution (CC BY) license (https://creativecommons.org/licenses/by/4.0/).
Share and Cite
Kashef, M.T.; Helmy, O.M. Development of a Multiplex Polymerase Chain Reaction-Based DNA Lateral Flow Assay as a Point-of-Care Diagnostic for Fast and Simultaneous Detection of MRSA and Vancomycin Resistance in Bacteremia. Diagnostics 2022, 12, 2691. https://doi.org/10.3390/diagnostics12112691
Kashef MT, Helmy OM. Development of a Multiplex Polymerase Chain Reaction-Based DNA Lateral Flow Assay as a Point-of-Care Diagnostic for Fast and Simultaneous Detection of MRSA and Vancomycin Resistance in Bacteremia. Diagnostics. 2022; 12(11):2691. https://doi.org/10.3390/diagnostics12112691
Chicago/Turabian StyleKashef, Mona T., and Omneya M. Helmy. 2022. "Development of a Multiplex Polymerase Chain Reaction-Based DNA Lateral Flow Assay as a Point-of-Care Diagnostic for Fast and Simultaneous Detection of MRSA and Vancomycin Resistance in Bacteremia" Diagnostics 12, no. 11: 2691. https://doi.org/10.3390/diagnostics12112691
APA StyleKashef, M. T., & Helmy, O. M. (2022). Development of a Multiplex Polymerase Chain Reaction-Based DNA Lateral Flow Assay as a Point-of-Care Diagnostic for Fast and Simultaneous Detection of MRSA and Vancomycin Resistance in Bacteremia. Diagnostics, 12(11), 2691. https://doi.org/10.3390/diagnostics12112691

