Usefulness of Lung Ultrasound in Paediatric Respiratory Diseases
Abstract
:1. Introduction
2. Materials and Methods
3. LUS in Neonatal Diseases
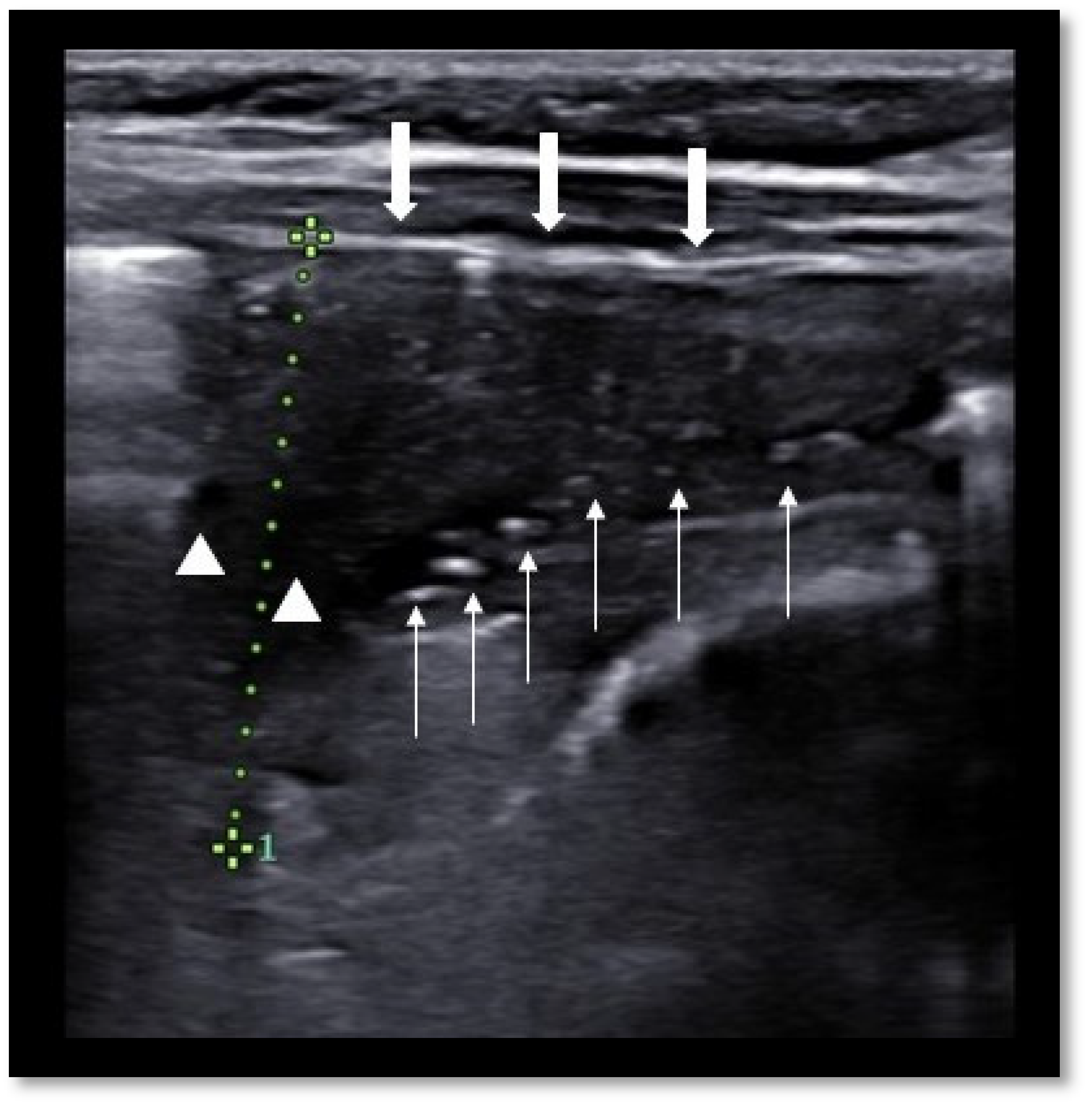
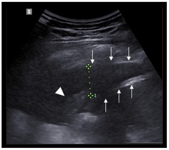
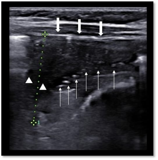
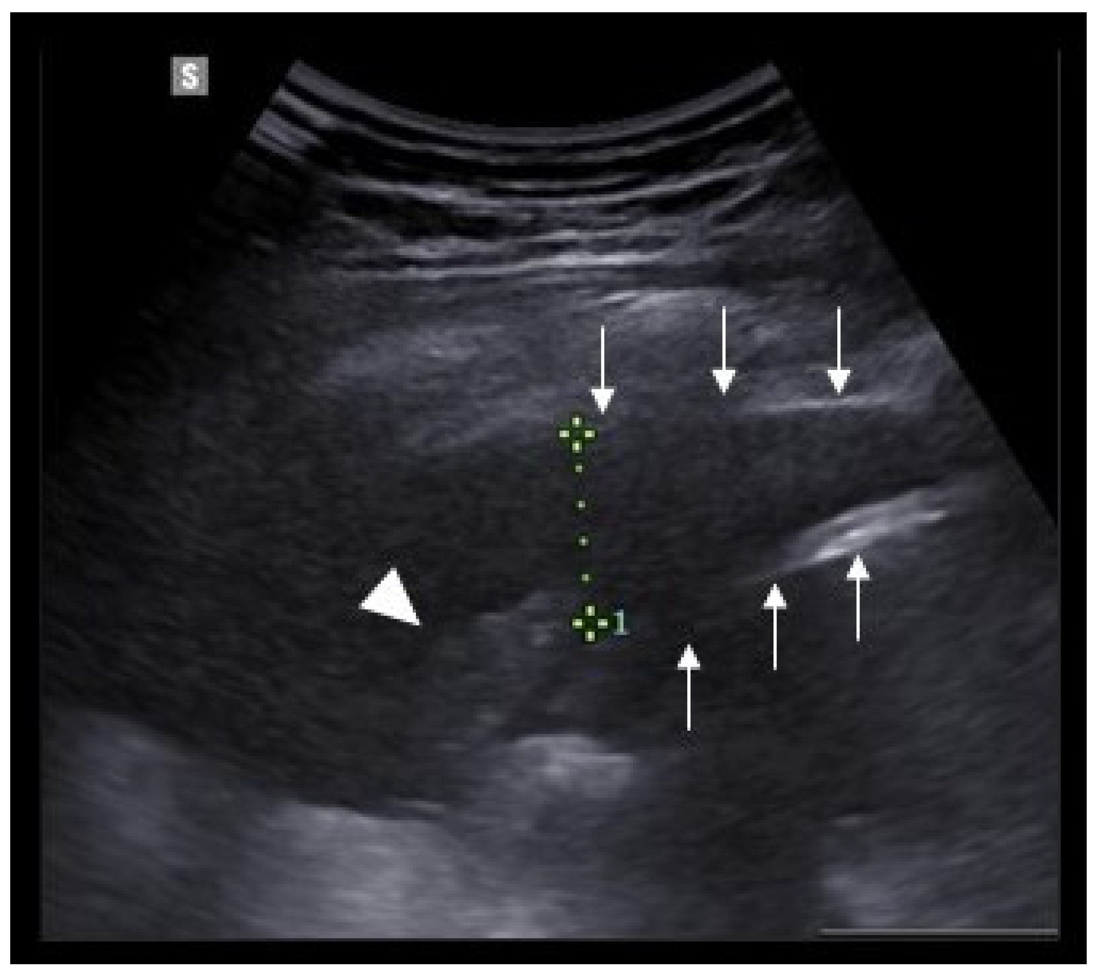
4. LUS in Pneumonia
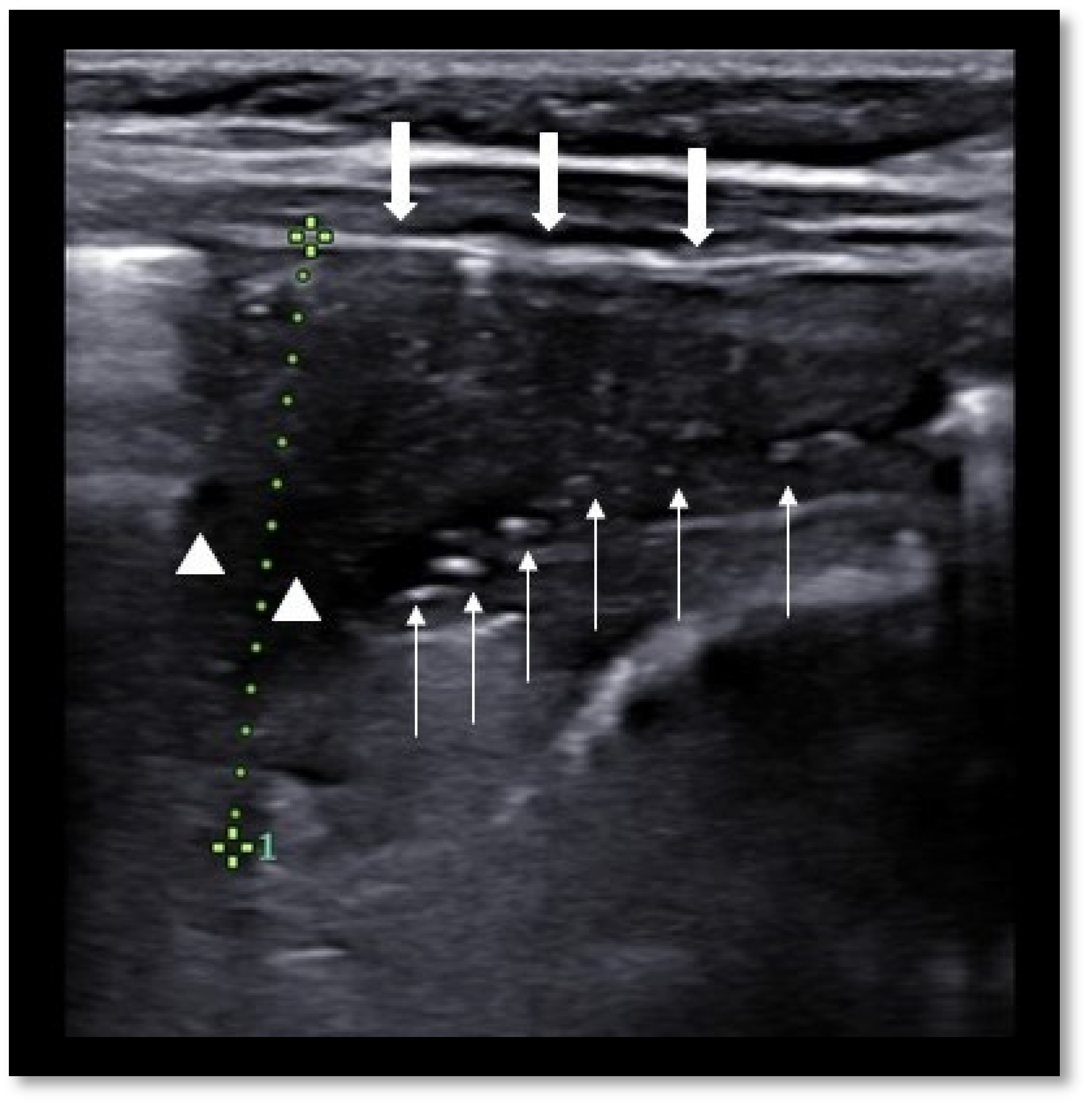
5. LUS in Bronchiolitis, Pneumothorax and Other Paediatric Respiratory Diseases
6. LUS in COVID-19
7. Strengths and Limits of LUS in Children
8. Future Perspectives
Funding
Data Availability Statement
Conflicts of Interest
References
- World Health Organization Pneumonia World Health Organization. Available online: https://www.who.int/news-room/fact-sheets/detail/pneumonia (accessed on 20 September 2021).
- Harris, M.; Clark, J.; Coote, N.; Fletcher, P.; Harnden, A.; McKean, M.; Thomson, A. British Thoracic Society Community Acquired Pneumonia in Children Guideline Group. Guidelines of the management of community acquired pneumonia in children: Update 2011. Thorax 2011, 66, ii2–ii23. [Google Scholar] [CrossRef] [Green Version]
- Bradley, J.S.; Byington, C.L.; Shah, S.S.; Alverson, B.; Carter, E.R.; Harrison, C.; Kaplan, S.L.; Mace, S.E.; McCracken, G.H., Jr.; Moore, M.R.; et al. The management of community-acquired pneumonia in infants and children older than 3 months of age: Clinical practice guidelines by the Pediatric Infectious Diseases Society and the Infectious Diseases Society of America. Clin. Infect. Dis. 2011, 53, e25–e76. [Google Scholar] [CrossRef] [PubMed] [Green Version]
- Chiumello, D.; Papa, G.F.S.; Artigas, A.; Bouhemad, B.; Grgic, A.; Heunks, L.; Markstaller, K.; Pellegrino, G.M.; Pisani, L.; Rigau, D.; et al. ERS statement on chest imaging in acute respiratory failure. Eur. Respir. J. 2019, 54, 1900435. [Google Scholar] [CrossRef] [Green Version]
- Brenner, D.J.; Elliston, C.D.; Hall, E.J.; Berdon, W.E. Estimated Risks of Radiation-Induced Fatal Cancer from Pediatric CT. Am. J. Roentgenol. 2001, 176, 289–296. [Google Scholar] [CrossRef] [PubMed] [Green Version]
- Balk, D.S.; Lee, C.; Schafer, J.; Welwarth, J.; Hardin, J.; Novack, V.; Yarza, S.; Hoffmann, B. Lung ultrasound compared to chest X-ray for diagnosis of pediatric pneumonia: A meta-analysis. Pediatr. Pulmonol. 2018, 53, 1130–1139. [Google Scholar] [CrossRef] [PubMed]
- Lovrenski, J. Pediatric lung ultrasound—Pros and potentials. Pediatr. Radiol. 2020, 50, 306–313. [Google Scholar] [CrossRef]
- World Health Organization. Standardization of Interpretation Chest Radiographs for the Diagnosis of Pneumonia in Children; World Health Organization: Geneva, Switzerland, 2001. [Google Scholar]
- Gravel, C.A.; Monuteaux, M.C.; Levy, J.A.; Miller, A.F.; Vieira, R.L.; Bachur, R.G. Interrater reliability of pediatric point-of-care lung ultrasound findings. Am. J. Emerg. Med. 2020, 38, 1–6. [Google Scholar] [CrossRef]
- Ambroggio, L.; Sucharew, H.; Rattan, M.S.; O’Hara, S.M.; Babcock, D.S.; Clohessy, C.; Steinhoff, M.C.; Macaluso, M.; Shah, S.S.; Coley, B.D. Lung Ultrasonography: A Viable Alternative to Chest Radiography in Children with Suspected Pneumonia? J. Pediatr. 2016, 176, 93–98.e7. [Google Scholar] [CrossRef]
- Papa, G.F.S.; Mondoni, M.; Volpicelli, G.; Carlucci, P.; Di Marco, F.; Parazzini, E.M.; Reali, F.; Pellegrino, G.M.; Fracasso, P.; Papa, S.S.; et al. Point-of-Care Lung Sonography: An Audit of 1150 Examinations. J. Ultrasound Med. 2017, 36, 1687–1692. [Google Scholar] [CrossRef] [Green Version]
- Norbedo, S.; Blaivas, M.; Raffaldi, I.; Caroselli, C. Lung Ultrasound Point-of-View in Pediatric and Adult COVID-19 Infection. J. Ultrasound Med. 2021, 40, 899–908. [Google Scholar] [CrossRef]
- Rea, G.; Sperandeo, M.; Di Serafino, M.; Vallone, G.; Toma, P. Neonatal and pediatric thoracic ultrasonography. J. Ultrasound 2019, 22, 121–130. [Google Scholar] [CrossRef]
- Kurepa, D.; Zaghloul, N.; Watkins, L.; Liu, J. Neonatal lung ultrasound exam guidelines. J. Perinatol. 2018, 38, 11–22. [Google Scholar] [CrossRef] [PubMed]
- Chen, S.-W.; Fu, W.; Liu, J.; Wang, Y. Routine application of lung ultrasonography in the neonatal intensive care unit. Medicine 2017, 96, e5826. [Google Scholar] [CrossRef] [PubMed]
- Sharma, D.; Farahbakhsh, N. Role of chest ultrasound in neonatal lung disease: A review of current evidences. J. Matern. Neonatal Med. 2019, 32, 310–316. [Google Scholar] [CrossRef] [PubMed]
- Rachuri, H.; Oleti, T.P.; Murki, S.; Subramanian, S.; Nethagani, J. Diagnostic Performance of Point of Care Ultrasonography in Identifying the Etiology of Respiratory Distress in Neonates. Indian J. Pediatr. 2017, 84, 267–270. [Google Scholar] [CrossRef]
- Copetti Roberto, L.C. The “double lung point”: An ultrasound sign diagnostic of transient tachypnea of the newborn. Neonatology 2007, 91, 203–209. [Google Scholar] [CrossRef] [PubMed]
- Woods, P.L. Utility of lung ultrasound scanning in neonatology. Arch. Dis. Child. 2019, 104, 909–915. [Google Scholar] [CrossRef]
- Papa, G.F.S.; Pellegrino, G.M.; Volpicelli, G.; Papa, S.S.; Di Marco, F.; Mondoni, M.; Centanni, S. Lung Ultrasound B Lines: Etiologies and Evolution with Age. Respiration 2017, 94, 313–314. [Google Scholar] [CrossRef]
- Liu, J.; Cao, H.-Y.; Fu, W. Lung ultrasonography to diagnose meconium aspiration syndrome of the newborn. J. Int. Med. Res. 2016, 44, 1534–1542. [Google Scholar] [CrossRef] [Green Version]
- Joshi, P.; Vasishta, A.; Gupta, M. Ultrasound of the pediatric chest. Br. J. Radiol. 2019, 92, 20190058. [Google Scholar] [CrossRef]
- Corsini, I.; Parri, N.; Coviello, C.; Leonardi, V.; Dani, C. Lung ultrasound findings in congenital diaphragmatic hernia. Eur. J. Nucl. Med. Mol. Imaging 2019, 178, 491–495. [Google Scholar] [CrossRef] [PubMed]
- Corsini, I.; Parri, N.; Ficial, B.; Dani, C. Lung ultrasound in the neonatal intensive care unit: Review of the literature and future perspectives. Pediatr. Pulmonol. 2020, 55, 1550–1562. [Google Scholar] [CrossRef] [PubMed]
- Brat, R.; Yousef, N.; Klifa, R.; Reynaud, S.; Aguilera, S.S.; De Luca, D. Lung Ultrasonography Score to Evaluate Oxygenation and Surfactant Need in Neonates Treated with Continuous Positive Airway Pressure. JAMA Pediatr. 2015, 169, e151797. [Google Scholar] [CrossRef] [PubMed] [Green Version]
- Liu, J. The Lung Ultrasound Score Cannot Accurately Evaluate the Severity of Neonatal Lung Disease. J. Ultrasound Med. 2020, 39, 1015–1020. [Google Scholar] [CrossRef] [PubMed]
- Liu, J.; Copetti, R.; Sorantin, E.; Lovrenski, J.; Rodriguez-Fanjul, J.; Kurepa, D.; Feng, X.; Cattaross, L.; Zhang, H.; Yeh, T.F.; et al. Protocol and Guidelines for Point-of-Care Lung Ultrasound in Diagnosing Neonatal Pulmonary Diseases Based on International Expert Consensus. J. Vis. Exp. 2019, e58990. [Google Scholar] [CrossRef]
- King, A.; Blank, D.; Bhatia, R.; Marzbanrad, F.; Malhotra, A. Tools to assess lung aeration in neonates with respiratory distress syndrome. Acta Paediatr. 2020, 109, 667–678. [Google Scholar] [CrossRef]
- Lodha, A.; Bhandari, V. Use of Lung Ultrasound to Improve Timeliness of Surfactant Replacement in Respiratory Distress Syndrome: Are we Ready? J. Pediatr. 2019, 212, 8–10. [Google Scholar] [CrossRef]
- Perri, A.; Tana, M.; Riccardi, R.; Iannotta, R.; Giordano, L.; Rubortone, S.A.; Priolo, F.; Di Molfetta, D.V.; Zecca, E.; Vento, G. Neonatal lung ultrasonography score after surfactant in preterm infants: A prospective observational study. Pediatr. Pulmonol. 2020, 55, 116–121. [Google Scholar] [CrossRef]
- Claes, A.-S.; Clapuyt, P.; Menten, R.; Michoux, N.; Dumitriu, D. Performance of chest ultrasound in pediatric pneumonia. Eur. J. Radiol. 2017, 88, 82–87. [Google Scholar] [CrossRef] [Green Version]
- Hajalioghli, P.; Nemati, M.; Saleh, L.D.; Fouladi, D.F. Can Chest Computed Tomography Be Replaced by Lung Ultrasonography with or without Plain Chest Radiography in Pediatric Pneumonia? J. Thorac. Imaging 2016, 31, 247–252. [Google Scholar] [CrossRef]
- Iorio, G.; Capasso, M.; Prisco, S.; De Luca, G.; Mancusi, C.; Laganà, B.; Piscopo, M.A.; Comune, V. Lung Ultrasound Findings Undetectable by Chest Radiography in Children with Community-Acquired Pneumonia. Ultrasound Med. Biol. 2018, 44, 1687–1693. [Google Scholar] [CrossRef] [PubMed]
- Yan, J.-H.; Yu, N.; Wang, Y.-H.; Gao, Y.-B.; Pan, L. Lung ultrasound vs chest radiography in the diagnosis of children pneumonia: Systematic evidence. Medicine 2020, 99, e23671. [Google Scholar] [CrossRef] [PubMed]
- Lissaman, C.; Kanjanauptom, P.; Ong, C.; Tessaro, M.; Long, E.; O’Brien, A. Prospective observational study of point-of-care ultrasound for diagnosing pneumonia. Arch. Dis. Child. 2019, 104, 12–18. [Google Scholar] [CrossRef]
- Man, S.C.; Fufezan, O.; Sas, V.; Schnell, C. Performance of lung ultrasonography for the diagnosis of communityacquired pneumonia in hospitalized children. Med. Ultrason. 2017, 19, 276–281. [Google Scholar] [CrossRef] [Green Version]
- Stadler, J.A.M.; Andronikou, S.; Zar, H.J. Lung ultrasound for the diagnosis of community-acquired pneumonia in children. Pediatr. Radiol. 2017, 47, 1412–1419. [Google Scholar] [CrossRef] [PubMed] [Green Version]
- Tripathi, S.; Ganatra, H.; Martinez, E.; Mannaa, M.; Peters, J. Accuracy and reliability of bedside thoracic ultrasound in detecting pulmonary pathology in a heterogeneous pediatric intensive care unit population. J. Clin. Ultrasound 2019, 47, 63–70. [Google Scholar] [CrossRef] [PubMed]
- Yadav, K.K.; Awasthi, S.; Parihar, A. Lung Ultrasound is Comparable with Chest Roentgenogram for Diagnosis of Community-Acquired Pneumonia in Hospitalised Children. Indian J. Pediatr. 2017, 84, 499–504. [Google Scholar] [CrossRef]
- Samson, F.; Gorostiza, I.; González, A.; Landa, M.; Ruiz, L.; Grau, M. Prospective evaluation of clinical lung ultrasonography in the diagnosis of community-acquired pneumonia in a pediatric emergency department. Eur. J. Emerg. Med. 2018, 25, 65–70. [Google Scholar] [CrossRef]
- Orso, D.; Ban, A.; Guglielmo, N. Lung ultrasound in diagnosing pneumonia in childhood: A systematic review and meta-analysis. J. Ultrasound 2018, 21, 183–195. [Google Scholar] [CrossRef]
- Berce, V.; Tomazin, M.; Gorenjak, M.; Berce, T.; Lovrenčič, B. The Usefulness of Lung Ultrasound for the Aetiological Diagnosis of Community-Acquired Pneumonia in Children. Sci. Rep. 2019, 9, 17957. [Google Scholar] [CrossRef]
- Malla, D.; Rathi, V.; Gomber, S.; Upreti, L. Can lung ultrasound differentiate between bacterial and viral pneumonia in children? J. Clin. Ultrasound 2021, 49, 91–100. [Google Scholar] [CrossRef] [PubMed]
- Buonsenso, D.; Brancato, F.; Valentini, P.; Curatola, A.; Supino, M.; Musolino, A.M. The Use of Lung Ultrasound to Monitor the Antibiotic Response of Community-Acquired Pneumonia in Children: A Preliminary Hypothesis. J. Ultrasound Med. 2020, 39, 817–826. [Google Scholar] [CrossRef]
- Musolino, A.M.; Tomà, P.; Supino, M.C.; Scialanga, B.; Mesturino, A.; Scateni, S.; Battaglia, M.; Pirozzi, N.; Bock, C.; Buonsenso, D. Lung ultrasound features of children with complicated and noncomplicated community acquired pneumonia: A prospective study. Pediatr. Pulmonol. 2019, 54, 1479–1486. [Google Scholar] [CrossRef] [PubMed]
- Deganello, A.; Rafailidis, V.; Sellars, M.E.; Ntoulia, A.; Kalogerakou, K.; Ruiz, G.; Cosgrove, D.O.; Sidhu, P.S. Intravenous and Intracavitary Use of Contrast-Enhanced Ultrasound in the Evaluation and Management of Complicated Pediatric Pneumonia. J. Ultrasound Med. 2017, 36, 1943–1954. [Google Scholar] [CrossRef] [PubMed]
- James, C.A.; Braswell, L.E.; Pezeshkmehr, A.H.; Roberson, P.K.; Parks, J.A.; Moore, M.B. Stratifying fibrinolytic dosing in pediatric parapneumonic effusion based on ultrasound grade correlation. Pediatr. Radiol. 2017, 47, 89–95. [Google Scholar] [CrossRef]
- Meissner, H.C. Viral bronchiolitis in children. N. Engl. J. Med. 2016, 374, 62–72. [Google Scholar] [CrossRef] [PubMed]
- Vandini, S.; Biagi, C.; Lanari, M. Respiratory Syncytial Virus: The Influence of Serotype and Genotype Variability on Clinical Course of Infection. Int. J. Mol. Sci. 2017, 18, 1717. [Google Scholar] [CrossRef] [PubMed]
- Ralston, S.L.; Lieberthal, A.S.; Meissner, H.C.; Alverson, B.K.; Baley, J.E.; Gadomski, A.M.; Johnson, D.W.; Light, M.J.; Maraqa, N.F.; Mendonca, E.A.; et al. Clinical Practice Guideline: The Diagnosis, Management, and Prevention of Bronchiolitis. Pediatrics 2014, 134, e1474–e1502. [Google Scholar] [CrossRef] [PubMed] [Green Version]
- Baumer, J.H. SIGN guideline on bronchiolitis in children. Arch. Disease Child.–Educ. Pract. 2017, 92, 149–151. [Google Scholar]
- John, H.; McCrossin, T. Infants and Children—Acute Management of Bronchiolitis Infants and Children—Acute. NSW Goverment Guidelines. 2018. Available online: https://www1.health.nsw.gov.au/pds/ActivePDSDocuments/GL2018_001.pdf (accessed on 20 September 2021).
- Biagi, C.; Pierantoni, L.; Baldazzi, M.; Greco, L.; Dormi, A.; Dondi, A.; Faldella, G.; Lanari, M. Lung ultrasound for the diagnosis of pneumonia in children with acute bronchiolitis. BMC Pulm. Med. 2018, 18, 1–10. [Google Scholar] [CrossRef] [Green Version]
- Ingelse, S.A.; Pisani, L.; Westdorp, M.H.A.; Almakdase, M.; Schultz, M.J.; Woensel, J.B.M.; Bem, R.A. Lung ultrasound scoring in invasive mechanically ventilated children with severe bronchiolitis. Pediatr. Pulmonol. 2020, 55, 2799–2805. [Google Scholar] [CrossRef]
- Supino, M.C.; Buonsenso, D.; Musolino, A.M. Correspondence on “Ultrasound as diagnosis tool for grading bronchiolitis. Where are your limits lost?”. Eur. J. Nucl. Med. Mol. Imaging 2019, 178, 1447. [Google Scholar] [CrossRef] [Green Version]
- Thakur, A.; Kler, N.; Garg, P. Lung Ultrasound for Detection of Pneumothorax in Neonates. Indian J. Pediatr. 2019, 86, 1148. [Google Scholar] [CrossRef] [Green Version]
- Alrajab, S.; Youssef, A.M.; Akkus, N.I.; Caldito, G. Pleural ultrasonography versus chest radiography for the diagnosis of pneumothorax: Review of the literature and meta-analysis. Crit. Care 2013, 17, R208. [Google Scholar] [CrossRef] [PubMed] [Green Version]
- Raimondi, F.; Fanjul, J.R.; Aversa, S.; Chirico, G.; Yousef, N.; De Luca, D.; Corsini, I.; Dani, C.; Grappone, L.; Orfeo, L.; et al. Lung Ultrasound for Diagnosing Pneumothorax in the Critically Ill Neonate. J. Pediatr. 2016, 175, 74–78.e1. [Google Scholar] [CrossRef] [PubMed]
- Liu, J.; Chi, J.-H.; Ren, X.-L.; Li, J.; Chen, Y.-J.; Lu, Z.-L.; Liu, Y.; Fu, W.; Xia, R.-M. Lung ultrasonography to diagnose pneumothorax of the newborn. Am. J. Emerg. Med. 2017, 35, 1298–1302. [Google Scholar] [CrossRef]
- Vasquez, D.G.; Berg, G.M.; Srour, S.G.; Ali, K. Lung ultrasound for detecting pneumothorax in injured children: Preliminary experience at a community-based Level II pediatric trauma center. Pediatr. Radiol. 2020, 50, 329–337. [Google Scholar] [CrossRef] [PubMed]
- Angi, A.; Papa, S.S.; Di Pillo, S.; Chiarelli, F.; Attanasi, M. A 17-Year-Old Male Subject with Chest Pain, Worsening Dyspnea, and a Rare Complication. Chest 2020, 158, e257–e262. [Google Scholar] [CrossRef] [PubMed]
- Heuvelings, C.C.; Bélard, S.; Andronikou, S.; Lederman, H.; Moodley, H.; Grobusch, M.P.; Zar, H.J. Chest ultrasound compared to chest X-ray for pediatric pulmonary tuberculosis. Pediatr. Pulmonol. 2019, 54, 1914–1920. [Google Scholar] [CrossRef] [Green Version]
- Bélard, S.; Heuvelings, C.C.; Heller, T.; Grobusch, M.P.; Zar, H.J. Point-of-Care Ultrasound for Pulmonary and Extra-Pulmonary Tuberculosis in Children. Pediatr. Infect. Dis. J. 2019, 38, e110. [Google Scholar] [CrossRef]
- Daswani, D.D.; Shah, V.P.; Avner, J.R.; Manwani, D.G.; Kurian, J.; Rabiner, J.E. Accuracy of Point-of-care Lung Ultrasonography for Diagnosis of Acute Chest Syndrome in Pediatric Patients with Sickle Cell Disease and Fever. Acad. Emerg. Med. 2016, 23, 932–940. [Google Scholar] [CrossRef] [PubMed] [Green Version]
- Giorno, E.; Preto-Zamperlini, M.; Weerdenburg, K.; Ferraz, I.D.S.; Leite, M.M.; Farhat, S.C.L.; Schvartsman, C. Point-Of-Care Ultrasound for Lung Assessment in Patients with Severe Scoliosis and Chest Deformities: An Emergency Department Case Series. J. Emerg. Med. 2020, 58, 775–780. [Google Scholar] [CrossRef] [PubMed]
- De Rose, C.; Valentini, P.; Curatola, A.; Morello, R.; Musolino, A.M.; Piastra, M.; Buonsenso, D. Lung Ultrasound in Congenital Cardiac Abnormality: ALCAPA. Indian J. Pediatr. 2021, 88, 161–164. [Google Scholar] [CrossRef] [PubMed]
- Dankoff, S.; Li, P.; Shapiro, A.; Varshney, T.; Dubrovsky, A.S. Point of care lung ultrasound of children with acute asthma exacerbations in the pediatric ED. Am. J. Emerg. Med. 2017, 35, 615–622. [Google Scholar] [CrossRef] [PubMed]
- Urbankowska, E.; Urbankowski, T.; Drobczyński, Ł.; Griese, M.; Lange, J.; Brzewski, M.; Kulus, M.; Krenke, K. Lung ultrasound—A new diagnostic modality in persistent tachypnea of infancy. Pediatr. Pulmonol. 2020, 55, 1028–1036. [Google Scholar] [CrossRef]
- Ullmann, N.; D’Andrea, M.L.; Gioachin, A.; Papia, B.; Testa, M.B.C.; Cherchi, C.; Bock, C.; Tomà, P.; Cutrera, R. Lung ultrasound: A useful additional tool in clinician’s hands to identify pulmonary atelectasis in children with neuromuscular disease. Pediatr. Pulmonol. 2020, 55, 1490–1494. [Google Scholar] [CrossRef]
- Peixoto, A.O.; Al Marson, F.; Dertkigil, S.S.; Dertkigil, R.P.; Souza, T.H.; Fraga, A.M.; Ribeiro, A.F.; Toro, A.A.; Ribeiro, J.D. The Use of Ultrasound as a Tool to Evaluate Pulmonary Disease in Cystic Fibrosis. Respir. Care 2020, 65, 293–303. [Google Scholar] [CrossRef]
- Strzelczuk–Judka, L.; Wojsyk–Banaszak, I.; Zakrzewska, A.; Jończyk–Potoczna, K. Diagnostic value of chest ultrasound in children with cystic fibrosis—Pilot study. PLoS ONE 2019, 14, e0215786. [Google Scholar] [CrossRef] [Green Version]
- Zu, Z.Y.; Jiang, M.D.; Xu, P.P.; Chen, W.; Ni, Q.Q.; Lu, G.M.; Zhang, L.J. Coronavirus disease 2019 (COVID-19): A perspective from China. Radiology 2020, 296, E15–E25. [Google Scholar] [CrossRef] [Green Version]
- Xie, X.; Zhong, Z.; Zhao, W.; Zheng, C.; Wang, F.; Liu, J. Chest CT for typical coronavirus disease 2019 (COVID-19) pneumonia: Relationship to negative RT-PCR testing. Radiology 2020, 296, E41–E45. [Google Scholar] [CrossRef] [Green Version]
- Caro-Dominguez, P.; Shelmerdine, S.C.; Toso, S.; Secinaro, A.; Toma, P.; Damasio, M.B.; Navallas, M.; Riaza-Martin, L.; Gomez-Pastrana, D.; Mahani, M.G.; et al. Thoracic imaging of coronavirus disease 2019 (COVID-19) in children: A series of 91 cases. Pediatr. Radiol. 2020, 50, 1354–1368. [Google Scholar] [CrossRef]
- Buonsenso, D.; Piano, A.; Raffaelli, F.; Bonadia, N.; Donati, K.D.G.; Franceschi, F. Point-of-care lung ultrasound findings in novel coronavirus disease-19 pnemoniae: A case report and potential applications during COVID-19 outbreak. Eur. Rev. Med. Pharmacol. Sci. 2020, 24, 2776–2780. [Google Scholar] [PubMed]
- Guitart, C.; Suárez, R.; Girona, M.; Bobillo-Perez, S.; Hernández, L.; Balaguer, M.; Cambra, F.J.; Jordan, I. Lung ultrasound findings in pediatric patients with COVID-19. Eur. J. Nucl. Med. Mol. Imaging 2020, 180, 1117–1123. [Google Scholar] [CrossRef] [PubMed]
- Li, W.; Fu, M.; Qian, C.; Liu, X.; Zeng, L.; Peng, X.; Hong, Y.; Zhou, H.; Yuan, L. Quantitative assessment of COVID-19 pneumonia in neonates using lung ultrasound score. Pediatr. Pulmonol. 2021, 56, 1419–1426. [Google Scholar] [CrossRef] [PubMed]
- Hizal, M.; Aykac, K.; Yayla, B.C.C.; Yilmaz, A.; Altun, D.; Akkaya, H.E.; Bayhan, G.I.; Kurt, A.N.C.; Karakaya, J.; Ozsurekci, Y.; et al. Diagnostic value of lung ultrasonography in children with COVID-19. Pediatr. Pulmonol. 2021, 56, 1018–1025. [Google Scholar] [CrossRef]
- Gregori, G.; Sacchetti, R. Lung ultrasound in outpatient approach to children with suspected COVID 19. Ital. J. Pediatr. 2020, 46, 1–4. [Google Scholar] [CrossRef]
- Türe, E.; Korkmaz, M.F.; Aksoy, F.D.; Demirbaş, B.C.; Menekşe, B.; Çiftçi, M.; Korkmaz, M. Point-of-care lung ultrasound findings in the pediatric emergency clinic during the COVID-19 pandemic. J. Clin. Ultrasound 2020, 49, 85–90. [Google Scholar] [CrossRef]
- Sainz, T.; Udaondo, C.; Méndez-Echevarría, A.; Calvo, C. Lung Ultrasound for Evaluation of COVID-19 in Children. Arch. De Bronconeumol. 2021, 57, 94. [Google Scholar] [CrossRef]
- Scheier, E.; Guri, A.; Balla, U. Lung ultrasound cannot be used to screen for Covid-19 in children. Eur. Rev. Med. Pharmacol. Sci. 2020, 24, 4623–4624. [Google Scholar] [CrossRef]
- Musolino, A.M.; Supino, M.C.; Buonsenso, D.; Papa, R.E.; Chiurchiù, S.; Magistrelli, A.; Barbieri, M.A.; Raponi, M.; D’Argenio, P.; Villani, A.; et al. Lung ultrasound in the diagnosis and monitoring of 30 children with coronavirus disease 2019. Pediatr. Pulmonol. 2021, 56, 1045–1052. [Google Scholar] [CrossRef]
- Kharasch, S.; Duggan, N.M.; Cohen, A.R.; Shokoohi, H. Lung Ultrasound in Children with Respiratory Tract Infections: Viral, Bacterial or COVID-19? A Narrative Review. Open Access Emerg. Med. 2020, 12, 275–285. [Google Scholar] [CrossRef] [PubMed]
- Musolino, A.M.; Boccuzzi, E.; Supino, M.C.; Scialanga, B.; De Sanctis, F.; Buonsenso, D.; Sinibaldi, S.; Tomà, P. Point-of-care lung ultrasound in the diagnosis and monitoring of paediatric patients with spontaneous pneumothorax in SARS-CoV-2 infection. J. Paediatr. Child Health 2021, 57, 604–606. [Google Scholar] [CrossRef] [PubMed]
- Rubin, G.D.; Ryerson, C.J.; Haramati, L.B.; Sverzellati, N.; Kanne, J.P.; Raoof, S.; Schluger, N.W.; Volpi, A.; Yim, J.-J.; Martin, I.B.; et al. The Role of Chest Imaging in Patient Management During the COVID-19 Pandemic: A Multinational Consensus Statement from the Fleischner Society. Chest 2020, 158, 106–116. [Google Scholar] [CrossRef] [PubMed]
- Ord, H.L.; Griksaitis, M.J. Fifteen-minute consultation: Using point of care ultrasound to assess children with respiratory failure. Arch. Dis. Child. Educ. Pr. Ed. 2019, 104, 2–10. [Google Scholar] [CrossRef]
- Harel-Sterling, M.; Diallo, M.; Rn, S.S.; Maxim, T.; Tessaro, M. Emergency Department Resource Use in Pediatric Pneumonia: Point-of-Care Lung Ultrasonography versus Chest Radiography. J. Ultrasound Med. 2019, 38, 407–414. [Google Scholar] [CrossRef] [Green Version]
- Singh, Y.; Tissot, C.; Fraga, M.V.; Yousef, N.; Cortes, R.G.; Lopez, J.; Sanchez-De-Toledo, J.; Brierley, J.; Mayordomo-Colunga, J.; Raffaj, D.; et al. International evidence-based guidelines on Point of Care Ultrasound (POCUS) for critically ill neonates and children issued by the POCUS Working Group of the European Society of Paediatric and Neonatal Intensive Care (ESPNIC). Crit. Care 2020, 24, 65. [Google Scholar] [CrossRef] [Green Version]
- Hopkins, A.; Doniger, S.J. Point-of-Care Ultrasound for the Pediatric Hospitalist’s Practice. Hosp. Pediatr. 2019, 9, 707–718. [Google Scholar] [CrossRef]
- Denina, M.; Scolfaro, C.; Silvestro, E.; Pruccoli, G.; Mignone, F.; Zoppo, M.; Ramenghi, U.; Garazzino, S. Lung Ultrasound in Children with COVID-19. Pediatrics 2020, 146, e20201157. [Google Scholar] [CrossRef] [Green Version]
- Sperandeo, M.; Quarato, C.M.I.; Frongillo, E.; Tinti, M.G.; Carpagnano, E. Ultrasound lung surface: Basic considerations of ultrasound physics. Australas. J. Ultrasound Med. 2019, 22, 225–226. [Google Scholar] [CrossRef]
- Frongillo, E.; Rea, G.; Tinti, M.G.; Sperandeo, M. Limitations of Focused Assessment with Sonography in Trauma (FAST) Protocols in Transthoracic US. Radiology 2017, 285, 693–694. [Google Scholar] [CrossRef] [Green Version]
- Volpicelli, G.; Elbarbary, M.; Blaivas, M.; Lichtenstein, D.A.; Mathis, G.; Kirkpatrick, A.W.; Melniker, L.; Gargani, L.; Noble, V.E.; Via, G.; et al. International evidence-based recommendations for point-of-care lung ultrasound. Intensive Care Med. 2012, 38, 577–591. [Google Scholar] [CrossRef] [PubMed] [Green Version]
- Lovrenski, J. Pediatric lung ultrasound cons—Are they really strong enough? Pediatr. Radiol. 2020, 50, 321–322. [Google Scholar] [CrossRef] [PubMed] [Green Version]
- Elemraid, M.A.; Muller, M.; Spencer, D.A.; Rushton, S.P.; Gorton, R.; Thomas, M.F.; Eastham, K.M.; Hampton, F.; Gennery, A.R.; Clark, J.E.; et al. Accuracy of the Interpretation of Chest Radiographs for the Diagnosis of Paediatric Pneumonia. PLoS ONE 2014, 9, e106051. [Google Scholar] [CrossRef] [Green Version]
- Neuman, M.I.; Lee, E.Y.; Bixby, S.; Diperna, S.; Hellinger, J.; Markowitz, R.; Servaes, S.; Monuteaux, M.C.; Shah, S.S. Variability in the interpretation of chest radiographs for the diagnosis of pneumonia in children. J. Hosp. Med. 2012, 7, 294–298. [Google Scholar] [CrossRef]
- de Souza, T.H.; Nadal, J.A.H.; Peixoto, A.O.; Pereira, R.M.; Giatti, M.P.; Soub, A.C.S.; Brandao, M. Lung ultrasound in children with pneumonia: Interoperator agreement on specific thoracic regions. Eur. J. Nucl. Med. Mol. Imaging 2019, 178, 1369–1377. [Google Scholar] [CrossRef] [PubMed]
- Chen, A.E. Point-of-care lung ultrasonography for pneumonia in children: Does size really matter? Arch. Dis. Child. 2019, 104, 2–3. [Google Scholar] [CrossRef]
- Pervaiz, F.; Hossen, S.; Chavez, M.A.; Miele, C.H.; Moulton, L.H.; McCollum, E.D.; Roy, A.D.; Chowdhury, N.H.; Ahmed, S.; Begum, N.; et al. Training and standardization of general practitioners in the use of lung ultrasound for the diagnosis of pediatric pneumonia. Pediatr. Pulmonol. 2019, 54, 1753–1759. [Google Scholar] [CrossRef] [Green Version]
- Tsou, P.; Chen, K.P.; Wang, Y.; Fishe, J.; Gillon, J.; Lee, C.-C.; Deanehan, J.K.; Kuo, P.; Yu, D.T.Y. Diagnostic Accuracy of Lung Ultrasound Performed by Novice Versus Advanced Sonographers for Pneumonia in Children: A Systematic Review and Meta-analysis. Acad. Emerg. Med. 2019, 26, 1074–1088. [Google Scholar] [CrossRef]
- Buonsenso, D.; Musolino, A.M.; Gatto, A.; Lazzareschi, I.; Curatola, A.; Valentini, P. Lung ultrasound in infants with bronchiolitis. BMC Pulm. Med. 2019, 19, 159. [Google Scholar] [CrossRef] [PubMed]
- Ellington, L.E.; Gilman, R.H.; Chavez, M.A.; Pervaiz, F.; Marin-concha, J.; Compen-chang, P.; Riedel, S.; Rodriguez, S.J.; Gaydos, C.; May, E.A.; et al. Lung ultrasound as a diagnostic tool for radiographically-confirmed pneumonia in low resource settings. Respir. Med. 2017, 128, 57–64. [Google Scholar] [CrossRef] [Green Version]


| Neonatal Lung Diseases | Main LUS Findings |
|---|---|
| Transient tachypnoea of the newborn |
|
| Neonatal respiratory distress syndrome |
|
| Meconium aspiration syndrome |
|
| Congenital pulmonary malformations |
|
| Pulmonary Diseases | Main LUS Findings |
|---|---|
| Bronchiolitis |
|
| Pneumothorax |
|
| Pneumomediastinum |
|
| Tuberculosis |
|
| Severe scoliosis |
|
| NEHI |
|
| Cystic fibrosis |
|
| LUS Advantages | LUS Limits |
|---|---|
|
|
Publisher’s Note: MDPI stays neutral with regard to jurisdictional claims in published maps and institutional affiliations. |
© 2021 by the authors. Licensee MDPI, Basel, Switzerland. This article is an open access article distributed under the terms and conditions of the Creative Commons Attribution (CC BY) license (https://creativecommons.org/licenses/by/4.0/).
Share and Cite
Sansone, F.; Attanasi, M.; Di Filippo, P.; Sferrazza Papa, G.F.; Di Pillo, S.; Chiarelli, F. Usefulness of Lung Ultrasound in Paediatric Respiratory Diseases. Diagnostics 2021, 11, 1783. https://doi.org/10.3390/diagnostics11101783
Sansone F, Attanasi M, Di Filippo P, Sferrazza Papa GF, Di Pillo S, Chiarelli F. Usefulness of Lung Ultrasound in Paediatric Respiratory Diseases. Diagnostics. 2021; 11(10):1783. https://doi.org/10.3390/diagnostics11101783
Chicago/Turabian StyleSansone, Francesco, Marina Attanasi, Paola Di Filippo, Giuseppe Francesco Sferrazza Papa, Sabrina Di Pillo, and Francesco Chiarelli. 2021. "Usefulness of Lung Ultrasound in Paediatric Respiratory Diseases" Diagnostics 11, no. 10: 1783. https://doi.org/10.3390/diagnostics11101783
APA StyleSansone, F., Attanasi, M., Di Filippo, P., Sferrazza Papa, G. F., Di Pillo, S., & Chiarelli, F. (2021). Usefulness of Lung Ultrasound in Paediatric Respiratory Diseases. Diagnostics, 11(10), 1783. https://doi.org/10.3390/diagnostics11101783

