Thermostable Esterase from Thermophilic Laceyella sacchari: Gene Identification, Heterologous Expression, and Biocatalytic Characterization
Abstract
1. Introduction
2. Materials and Methods
2.1. Isolation, Cultivation, and Identification of Strain HS49-1
2.2. Genomic Sequencing of L. sacchari HS49-1
2.3. Construction of a Genomic Shotgun Library from L. sacchari HS49-1
2.4. Construction of Esterase Expression Plasmids
2.5. Overexpression and Identification of Esterases in E. coli
2.6. Recombinant Esterase Proteins Purification
2.7. Enzymatic Activity Assay of the Esterase
2.8. Thermostability of the Esterase
2.9. Effect of Various Reagents on the Esterase
2.10. Data Statistical Analysis
2.11. Accession Numbers
3. Results
3.1. Identification and Characterization of Strain HS49-1
3.2. Draft Genome Sequence of L. sacchari HS49-1
3.3. Esterase Activity Screening Using Genomic Shotgun Library
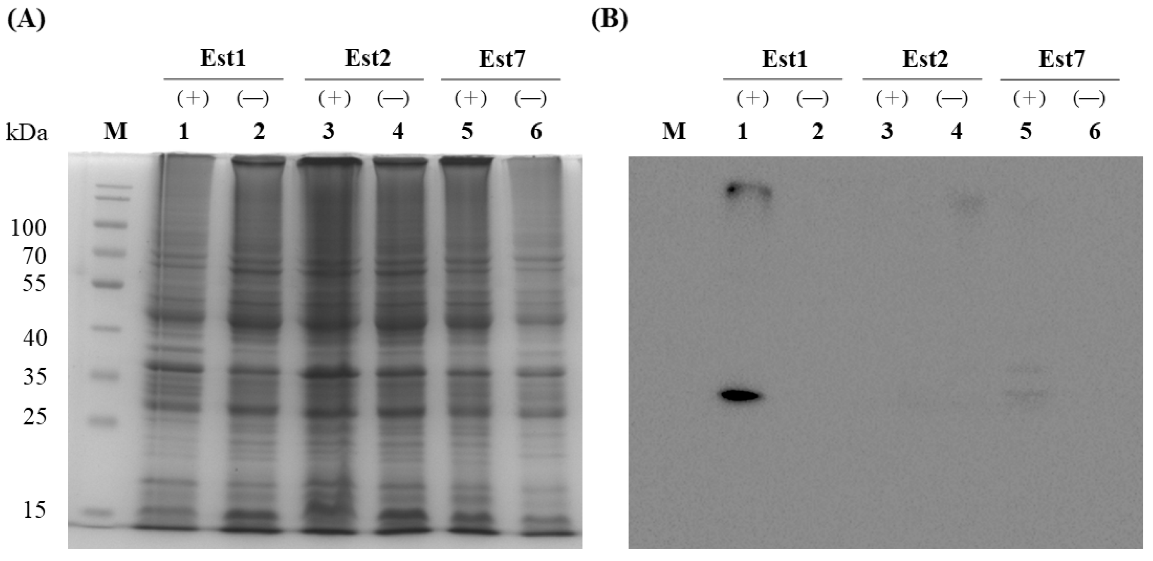
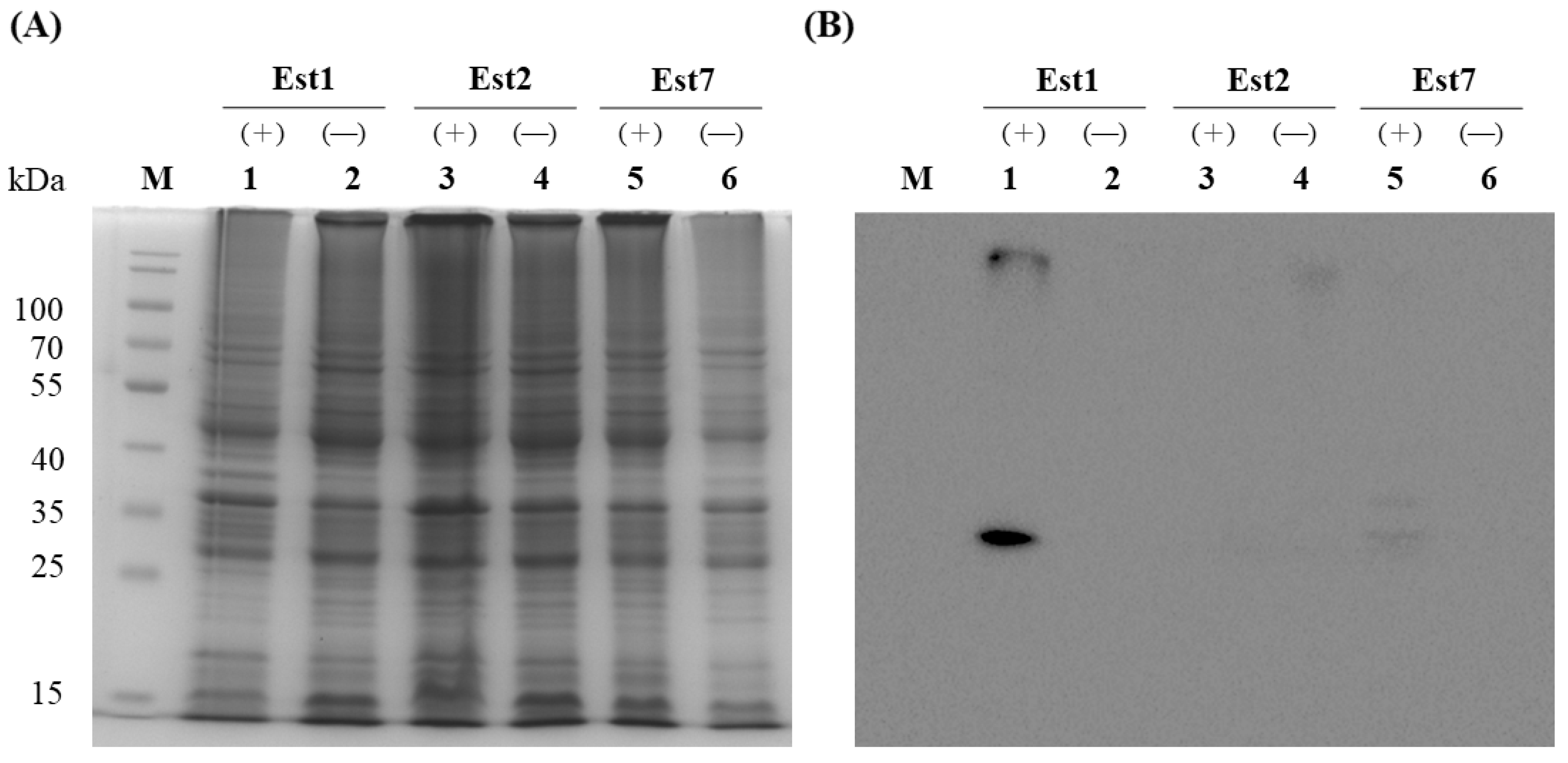
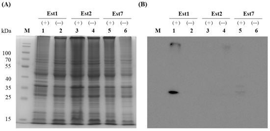
3.4. Construction and Overexpression of Recombinant Esterases in E. coli
3.5. Characterization of the Recombinant Esterase, Est1
3.6. Thermostable Assay of the Recombinant Esterase, Est1
3.7. Impact of Chemical Reagents on the Recombinant Esterase, Est1, Activity
4. Discussion
5. Conclusions
Supplementary Materials
Author Contributions
Funding
Institutional Review Board Statement
Informed Consent Statement
Data Availability Statement
Conflicts of Interest
References
- Zan, X.; Li, A.; Xu, Y.; Meng, Q.; Luo, T.; Sun, L.; Sun, W.; Cui, F. Lipases from bacteria and fungi: Classification, subcellular localization, and regulation of activity. J. Agric. Food Chem. 2025, 73, 16697–16714. [Google Scholar] [CrossRef]
- Lipase Market Size & Share Analysis—Growth Trends and Forecast (2025–2030). Available online: https://www.mordorintelligence.com/industry-reports/lipase-market (accessed on 26 October 2025).
- Sandoval, G.; Herrera-López, E.J. Lipase, phospholipase, and esterase biosensors (Review). Methods Mol. Biol. 2018, 1835, 391–425. [Google Scholar] [PubMed]
- Hitch, T.C.A.; Clavel, T. A proposed update for the classification and description of bacterial lipolytic enzymes. PeerJ 2019, 7, e7249. [Google Scholar] [CrossRef]
- Zan, X.; Cui, F.; Sun, J.; Zhou, S.; Song, Y. Novel dual-functional enzyme Lip10 catalyzes lipase and acyltransferase activities in the oleaginous fungus Mucor circinelloides. J. Agric. Food Chem. 2019, 67, 13176–13184. [Google Scholar] [CrossRef]
- Yasutake, Y.; Konishi, K.; Muramatsu, S.; Yoshida, K.; Aburatani, S.; Sakasegawa, S.I.; Tamura, T. Bacterial triacylglycerol lipase is a potential cholesterol esterase: Identification of a key determinant for sterol-binding specificity. Int. J. Biol. Macromol. 2021, 167, 578–586. [Google Scholar] [CrossRef]
- Rodríguez-Mejía, J.L.; Hidalgo-Manzano, I.A.; Muriel-Millán, L.F.; Rivera-Gomez, N.; Sahonero-Canavesi, D.X.; Castillo, E.; Pardo-López, L. A novel thermo-alkaline stable GDSL/SGNH esterase with broad substrate specificity from a deep-sea Pseudomonas sp. Mar. Biotechnol. 2024, 26, 447–459. [Google Scholar]
- Curci, N.; Strazzulli, A.; De Lise, F.; Iacono, R.; Maurelli, L.; Dal Piaz, F.; Cobucci-Ponzano, B.; Moracci, M. Identification of a novel esterase from the thermophilic bacterium Geobacillus thermodenitrificans NG80-2. Extremophiles 2019, 23, 407–419. [Google Scholar] [CrossRef]
- Levisson, M.; van der Oost, J.; Kengen, S.W. Carboxylic ester hydrolases from hyperthermophiles. Extremophiles 2009, 13, 567–581. [Google Scholar] [CrossRef] [PubMed]
- Ming, H.; Ji, W.L.; Li, S.; Zhao, Z.L.; Zhang, L.Y.; Meng, X.L.; Zhou, E.M.; Nie, G.X.; Li, W.J. Laceyella thermophila sp. nov., a thermophilic bacterium isolated from a hot spring. Int. J. Syst. Evol. Microbiol. 2017, 67, 2953–2958. [Google Scholar] [CrossRef]
- Chen, J.J.; Lin, L.B.; Zhang, L.L.; Zhang, J.; Tang, S.K.; Wei, Y.L.; Li, W.J. Laceyella sediminis sp. nov., a thermophilic bacterium isolated from a hot spring. Int. J. Syst. Evol. Microbiol. 2012, 62, 38–42. [Google Scholar] [CrossRef] [PubMed]
- Zhang, J.; Tang, S.K.; Zhang, Y.Q.; Yu, L.Y.; Klenk, H.P.; Li, W.J. Laceyella tengchongensis sp. nov., a thermophile isolated from soil of a volcano. Int. J. Syst. Evol. Microbiol. 2010, 60, 2226–2230. [Google Scholar] [CrossRef]
- Li, D.; Huang, W.; Wang, C.; Qiu, S. The complete genome sequence of the thermophilic bacterium Laceyella sacchari FBKL4.010 reveals the basis for tetramethylpyrazine biosynthesis in Moutai-flavor Daqu. MicrobiologyOpen 2019, 8, e922. [Google Scholar] [CrossRef]
- Yoon, J.H.; Kim, I.G.; Shin, Y.K.; Park, Y.H. Proposal of the genus Thermoactinomyces sensu stricto and three new genera, Laceyella, Thermoflavimicrobium and Seinonella, on the basis of phenotypic, phylogenetic and chemotaxonomic analyses. Int. J. Syst. Evol. Microbiol. 2005, 55, 395–400. [Google Scholar] [CrossRef] [PubMed]
- Jørgensen, C.M.; Madsen, S.M.; Vrang, A.; Hansen, O.C.; Johnsen, M.G. Recombinant expression of Laceyella sacchari thermitase in Lactococcus lactis. Protein Expr. Purif. 2013, 92, 148–155. [Google Scholar] [CrossRef]
- Hanphakphoom, S.; Maneewong, N.; Sukkhum, S.; Tokuyama, S.; Kitpreechavanich, V. Characterization of poly(L-lactide)-degrading enzyme produced by thermophilic filamentous bacteria Laceyella sacchari LP175. J. Gen. Appl. Microbiol. 2014, 60, 13–22. [Google Scholar] [CrossRef] [PubMed]
- Kobayashi, T.; Uchimura, K.; Kubota, T.; Nunoura, T.; Deguchi, S. Biochemical and genetic characterization of β-1,3 glucanase from a deep subseafloor Laceyella putida. Appl. Microbiol. Biotechnol. 2016, 100, 203–214. [Google Scholar] [CrossRef] [PubMed]
- Zhu, W.; Li, Y.; Jia, H.; Wei, P.; Zhou, H.; Jiang, M. Expression, purification and characterization of a thermostable leucine dehydrogenase from the halophilic thermophile Laceyella sacchari. Biotechnol. Lett. 2016, 38, 855–861. [Google Scholar] [CrossRef]
- El-Sayed, A.K.A.; Abou-Dobara, M.I.; El-Fallal, A.A.; Omar, N.F. Heterologous expression, purification, immobilization and characterization of recombinant α-amylase AmyLa from Laceyella sp. DS3. Int. J. Biol. Macromol. 2019, 132, 1274–1281. [Google Scholar] [CrossRef]
- Bolger, A.M.; Lohse, M.; Usadel, B. Trimmomatic: A flexible trimmer for Illumina sequence data. Bioinformatics 2014, 30, 2114–2120. [Google Scholar] [CrossRef]
- Seemann, T. Prokka: Rapid prokaryotic genome annotation. Bioinformatics 2014, 30, 2068–2069. [Google Scholar] [CrossRef]
- Galperin, M.Y.; Vera Alvarez, R.; Karamycheva, S.; Makarova, K.S.; Wolf, Y.I.; Landsman, D.; Koonin, E.V. COG database update 2024. Nucleic Acids Res. 2025, 53, D356–D363. [Google Scholar] [CrossRef] [PubMed]
- Aleksander, S.A.; Balhoff, J.; Carbon, S.; Cherry, J.M.; Drabkin, H.J.; Ebert, D.; Feuermann, M.; Gaudet, P.; Harris, N.L.; Hill, D.P.; et al. The Gene Ontology knowledgebase in 2023. Genetics 2023, 224, iyad031. [Google Scholar] [CrossRef]
- Kanehisa, M.; Goto, S. KEGG: Kyoto encyclopedia of genes and genomes. Nucleic Acids Res. 2000, 28, 27–30. [Google Scholar] [CrossRef]
- Kanehisa, M.; Furumichi, M.; Sato, Y.; Kawashima, M.; Ishiguro-Watanabe, M. KEGG for taxonomy-based analysis of pathways and genomes. Nucleic Acids Res. 2023, 51, D587–D592. [Google Scholar] [CrossRef]
- Gibson, D.G.; Young, L.; Chuang, R.Y.; Venter, J.C.; Hutchison, C.A., 3rd; Smith, H.O. Enzymatic assembly of DNA molecules up to several hundred kilobases. Nat. Methods 2009, 6, 343–345. [Google Scholar] [CrossRef]
- Waterhouse, A.; Bertoni, M.; Bienert, S.; Studer, G.; Tauriello, G.; Gumienny, R.; Heer, F.T.; de Beer, T.A.P.; Rempfer, C.; Bordoli, L.; et al. SWISS-MODEL: Homology modelling of protein structures and complexes. Nucleic Acids Res. 2018, 46, W296–W303. [Google Scholar] [CrossRef]
- Son, H.F.; Cho, I.J.; Joo, S.; Seo, H.; Sagong, H.-Y.; Choi, S.Y.; Lee, S.Y.; Kim, K.-J. Rational protein engineering of thermo-stable PETase from Ideonella sakaiensis for highly efficient PET degradation. ACS Catal. 2019, 9, 3519–3526. [Google Scholar] [CrossRef]
- Liu, Y.; Yang, X.; Gan, J.; Chen, S.; Xiao, Z.X.; Cao, Y. CB-Dock2: Improved protein-ligand blind docking by integrating cavity detection, docking and homologous template fitting. Nucleic Acids Res. 2022, 50, W159–W164. [Google Scholar] [CrossRef] [PubMed]
- Alias, F.L.; Nezhad, N.G.; Normi, Y.M.; Ali, M.S.M.; Budiman, C.; Leow, T.C. Recent advances in overexpression of functional recombinant lipases. Mol. Biotechnol. 2023, 65, 1737–1749. [Google Scholar] [CrossRef] [PubMed]
- Enomoto, T.; Ohtake, K.; Senda, N.; Kiga, D. correlation between in vitro and in vivo gene-expression strengths is dependent on bottleneck process. New Gener. Comput. 2024, 42, 271–281. [Google Scholar] [CrossRef]
- Behloul, N.; Wei, W.; Baha, S.; Liu, Z.; Wen, J.; Meng, J. Effects of mRNA secondary structure on the expression of HEV ORF2 proteins in Escherichia coli. Microb. Cell Fact. 2017, 16, 200. [Google Scholar] [CrossRef]
- Yang, B.; Pu, M.; Khan, H.M.; Friedman, L.; Reuter, N.; Roberts, M.F.; Gershenson, A. Quantifying transient interactions between Bacillus phosphatidylinositol-specific phospholipase-C and phosphatidylcholine-rich vesicles. J. Am. Chem. Soc. 2015, 137, 14–17. [Google Scholar] [CrossRef]
- Yu, Q.; Fan, L.; Duan, Z. Five individual polyphenols as tyrosinase inhibitors: Inhibitory activity, synergistic effect, action mechanism, and molecular docking. Food Chem. 2019, 297, 124910. [Google Scholar] [CrossRef]
- Cheng, W.; Nian, B. Computer-aided lipase engineering for improving their stability and activity in the food industry: State of the art. Molecules 2023, 28, 5848. [Google Scholar] [CrossRef]
- Sürmeli, Y.; Durmuş, N.; Şanlı-Mohamed, G. Exploring the structural insights of thermostable Geobacillus esterases by computational characterization. ACS Omega 2024, 9, 32931–32941. [Google Scholar] [CrossRef]
- Tomazini, A.; Carvalho, M.; Murakami, M.T.; Viviani, V.R. Effect of pH on the secondary structure and thermostability of beetle luciferases: Structural origin of pH-insensitivity. Photochem. Photobiol. Sci. 2023, 22, 893–904. [Google Scholar] [CrossRef] [PubMed]
- Niu, C.; Zhu, L.; Zhu, P.; Li, Q. Lysine-based site-directed mutagenesis increased rigid β-sheet structure and thermostability of mesophilic 1,3-1,4-β-glucanase. J. Agric. Food Chem. 2015, 63, 5249–5256. [Google Scholar] [CrossRef]
- Navone, L.; Vogl, T.; Luangthongkam, P.; Blinco, J.A.; Luna-Flores, C.H.; Chen, X.; von Hellens, J.; Mahler, S.; Speight, R. Disulfide bond engineering of AppA phytase for increased thermostability requires co-expression of protein disulfide isomerase in Pichia pastoris. Biotechnol. Biofuels 2021, 14, 80. [Google Scholar] [CrossRef]
- Tang, Y.; Lin, Z.; Ren, L.; Feng, C.; Wang, Y.; Wang, F. Enhancing the thermostability of phospholipase C by structural-based proline incorporation to improve its degumming performance. Appl. Biochem. Biotechnol. 2025, 197, 4837–4849. [Google Scholar] [CrossRef] [PubMed]
- Kim, Y.O.; Park, I.S.; Nam, B.H.; Kim, D.G.; Jee, Y.J.; Lee, S.J.; An, C.M. A novel esterase from Paenibacillus sp. PBS-2 is a new member of the β-lactamase belonging to the family VIII lipases/esterases. J. Microbiol. Biotechnol. 2014, 24, 1260–1268. [Google Scholar] [CrossRef] [PubMed]
- Nan, F.; Jiang, J.; Wu, S.; Zhang, Y.; Qiu, J.; Qiao, B.; Li, S.; Xin, Z. A novel VIII carboxylesterase with high hydrolytic activity against ampicillin from a soil metagenomic library. Mol. Biotechnol. 2019, 61, 892–904. [Google Scholar] [CrossRef]
- Park, J.M.; Won, S.M.; Kang, C.H.; Park, S.; Yoon, J.H. Characterization of a novel carboxylesterase belonging to family VIII hydrolyzing β-lactam antibiotics from a compost metagenomic library. Int. J. Biol. Macromol. 2020, 164, 4650–4661. [Google Scholar] [CrossRef] [PubMed]
- Park, J.E.; Jeong, G.S.; Lee, H.W.; Kim, H. Molecular characterization of novel family IV and VIII esterases from a compost metagenomic library. Microorganisms 2021, 9, 1614. [Google Scholar] [CrossRef] [PubMed]
- Lin, K.; Simossis, V.A.; Taylor, W.R.; Heringa, J. A simple and fast secondary structure prediction method using hidden neural networks. Bioinformatics 2005, 21, 152–159. [Google Scholar] [CrossRef]
- Gottfredsen, R.H.; Larsen, U.G.; Enghild, J.J.; Petersen, S.V. Hydrogen peroxide induce modifications of human extracellular superoxide dismutase that results in enzyme inhibition. Redox Biol. 2013, 1, 24–31. [Google Scholar] [CrossRef]
- Rasmussen, H.; Wollenberg, D.T.W.; Wang, H.; Andersen, K.K.; Oliveira, C.L.P.; Jørgensen, C.I.; Jørgensen, T.J.D.; Otzen, D.E.; Pedersen, J.S. The changing face of SDS denaturation: Complexes of Thermomyces lanuginosus lipase with SDS at pH 4.0, 6.0 and 8.0. J. Colloid Interface Sci. 2022, 614, 214–232. [Google Scholar] [CrossRef]
- Kumar, A.; Verma, V.; Dubey, V.K.; Srivastava, A.; Garg, S.K.; Singh, V.P.; Arora, P.K. Industrial applications of fungal lipases: A review. Front. Microbiol. 2023, 14, 1142536. [Google Scholar] [CrossRef] [PubMed]











| Substrates | Binding Energy (kcal/mol) | π–π | π–Cation | H-Bond | Hydrophobic Interaction |
|---|---|---|---|---|---|
| C4 | −6.2 | 0 | 1 | 5 | 4 |
| C5 | −6.0 | 0 | 1 | 5 | 5 |
| C8 | −6.3 | 0 | 1 | 5 | 8 |
| C10 | −6.2 | 0 | 1 | 4 | 12 |
| C12 | −6.6 | 0 | 1 | 2 | 15 |
| C14 | −6.5 | 1 | 1 | 5 | 14 |
| C16 | −6.6 | 1 | 1 | 5 | 17 |
Disclaimer/Publisher’s Note: The statements, opinions and data contained in all publications are solely those of the individual author(s) and contributor(s) and not of MDPI and/or the editor(s). MDPI and/or the editor(s) disclaim responsibility for any injury to people or property resulting from any ideas, methods, instructions or products referred to in the content. |
© 2025 by the authors. Licensee MDPI, Basel, Switzerland. This article is an open access article distributed under the terms and conditions of the Creative Commons Attribution (CC BY) license (https://creativecommons.org/licenses/by/4.0/).
Share and Cite
Chen, Y.-P.; Zeng, X.; Peng, H.-J.; Tu, C.-Y.; Tseng, M.; Liaw, L.-L.; Wu, H.; Chen, F.; Kuo, Y.-C. Thermostable Esterase from Thermophilic Laceyella sacchari: Gene Identification, Heterologous Expression, and Biocatalytic Characterization. Genes 2025, 16, 1330. https://doi.org/10.3390/genes16111330
Chen Y-P, Zeng X, Peng H-J, Tu C-Y, Tseng M, Liaw L-L, Wu H, Chen F, Kuo Y-C. Thermostable Esterase from Thermophilic Laceyella sacchari: Gene Identification, Heterologous Expression, and Biocatalytic Characterization. Genes. 2025; 16(11):1330. https://doi.org/10.3390/genes16111330
Chicago/Turabian StyleChen, Yu-Pei, Xingru Zeng, Hsuan-Jung Peng, Ching-Yu Tu, Min Tseng, Li-Ling Liaw, Hongtan Wu, Fangfang Chen, and Yang-Cheng Kuo. 2025. "Thermostable Esterase from Thermophilic Laceyella sacchari: Gene Identification, Heterologous Expression, and Biocatalytic Characterization" Genes 16, no. 11: 1330. https://doi.org/10.3390/genes16111330
APA StyleChen, Y.-P., Zeng, X., Peng, H.-J., Tu, C.-Y., Tseng, M., Liaw, L.-L., Wu, H., Chen, F., & Kuo, Y.-C. (2025). Thermostable Esterase from Thermophilic Laceyella sacchari: Gene Identification, Heterologous Expression, and Biocatalytic Characterization. Genes, 16(11), 1330. https://doi.org/10.3390/genes16111330

