A Carrier Female Manifesting an Unusual X-Linked Retinoschisis Phenotype Associated with the Pathogenic Variant c.266delA, p.(Tyr89LeufsTer37) in RS1, and Skewed X-Inactivation
Abstract
1. Introduction
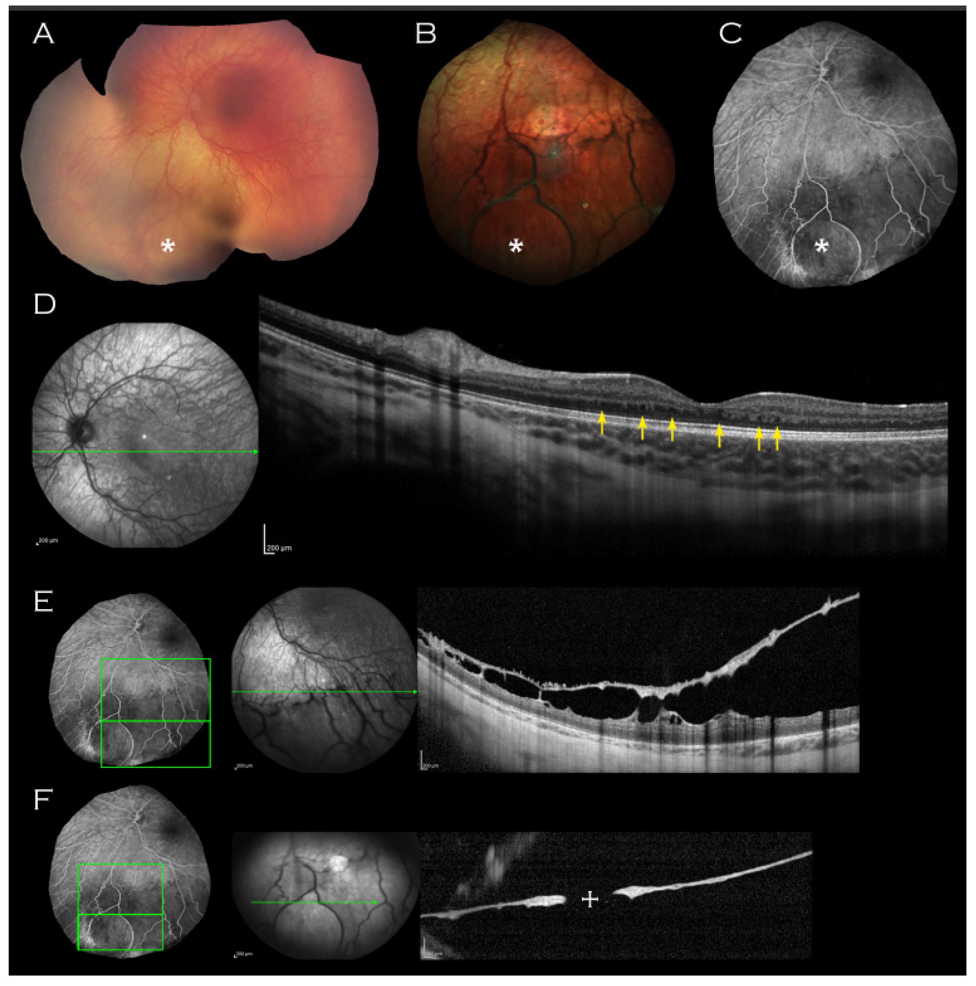
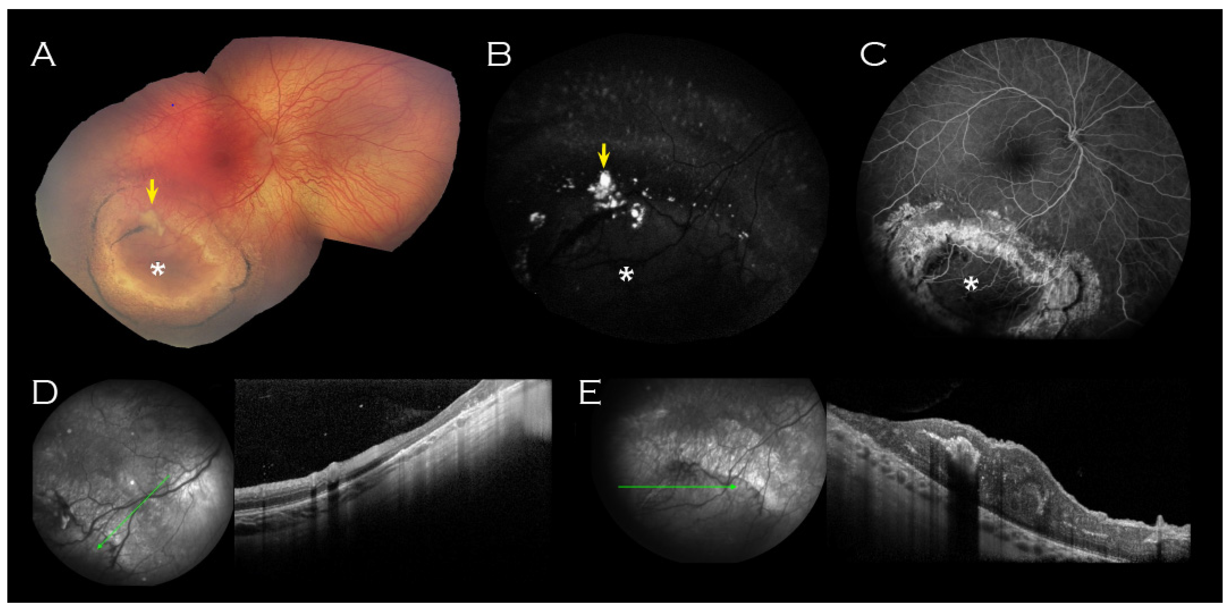
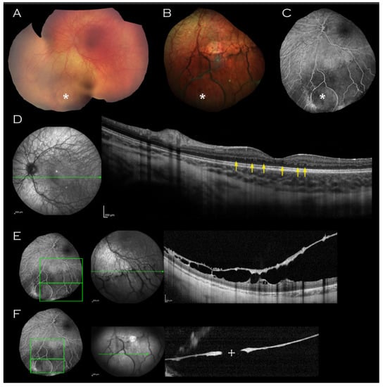
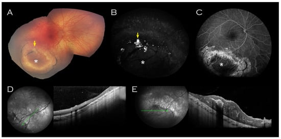
2. Case Report
3. Discussion
4. Conclusions
Supplementary Materials
Author Contributions
Funding
Institutional Review Board Statement
Informed Consent Statement
Data Availability Statement
Acknowledgments
Conflicts of Interest
References
- Sauer, C.G.; Gehrig, A.; Warneke-Wittstock, R.; Marquardt, A.; Ewing, C.C.; Gibson, A.; Lorenz, B.; Jurklies, B.; Weber, B.H. Positional cloning of the gene associated with X-linked juvenile retinoschisis. Nat. Genet. 1997, 17, 164–170. [Google Scholar] [CrossRef]
- Molday, R.S.; Kellner, U.; Weber, B.H. X-linked juvenile retinoschisis: Clinical diagnosis, genetic analysis, and molecular mechanisms. Prog. Retin. Eye Res. 2012, 31, 195–212. [Google Scholar] [CrossRef]
- Forsius, H.; Krause, U.; Helve, J.; Vuopala, V.; Mustonen, E.; Vainio-Mattila, B.; Fellman, J.; Eriksson, A.W. Visual acuity in 183 cases of X-chromosomal retinoschisis. Can. J. Ophthalmol. 1973, 8, 385–393. [Google Scholar] [PubMed]
- Sikkink, S.; Biswas, S.; Parry, N.R.A.; Stanga, P.E.; Trump, D. X-linked retinoschisis: An update. J. Med. Genet. 2007, 44, 225–232. [Google Scholar] [CrossRef] [PubMed]
- George, N.D.L.; Yates, J.R.W.; Moore, A.T. Clinical Features in Affected Males With X-Linked Retinoschisis. Arch. Ophthalmol. 1996, 114, 274–280. [Google Scholar] [CrossRef] [PubMed]
- Alfonso-Muñoz, E.A.; Català-Mora, J.; Díaz-Cascajosa, J. X-Linked Retinoschisis without Macular Retinoschisis: A New RS1 Mutation. Ophthalmol. Retin. 2020, 4, 719. [Google Scholar] [CrossRef] [PubMed]
- Saldana, M.; Thompson, J.; Monk, E.; Trump, D.; Long, V.; Sheridan, E. X-linked retinoschisis in a female with a heterozygousRS1 missense mutation. Am. J. Med. Genet. Part A 2007, 143A, 608–609. [Google Scholar] [CrossRef] [PubMed]
- George, N.D.; Yates, J.R.; Bradshaw, K.; Moore, A.T. Infantile presentation of X linked retinoschisis. Br. J. Ophthalmol. 1995, 79, 653–657. [Google Scholar] [CrossRef] [PubMed]
- Garg, S.J.; Lee, H.C.; Grand, M.G. Bilateral Macular Detachments in X-linked Retinoschisis. Arch. Ophthalmol. 2006, 124, 1053. [Google Scholar] [CrossRef]
- Gieser, E.P.; Falls, H.F. Hereditary Retinoschisis*. Am. J. Ophthalmol. 1961, 51, 1193–1200. [Google Scholar] [CrossRef]
- Sabates, F.N. Juvenile retinoschisis. Am. J. Ophthalmol. 1966, 62, 683–688. [Google Scholar] [CrossRef]
- Wu, G.; Cotlier, E.; Brodie, S. A carrier state of X-linked juvenile retinoschisis. Ophthalmic Paediatr. Genet. 1985, 5, 13–17. [Google Scholar] [CrossRef] [PubMed]
- Kaplan, J.; Pelet, A.; Hentati, H.; Jeanpierre, M.; Briard, M.L.; Journel, H.; Munnich, A.; Dufier, J.L. Contribution to carrier detection and genetic counselling in X linked retinoschisis. J. Med. Genet. 1991, 28, 383–388. [Google Scholar] [CrossRef] [PubMed]
- Ali, S.; Seth, R. X-linked Juvenile Retinoschisis in Females and Response to Carbonic Anhydrase Inhibitors: Case Report and Review of the Literature. Semin. Ophthalmol. 2013, 28, 50–54. [Google Scholar] [CrossRef] [PubMed]
- Ali, A.; Feroze, A.H.; Rizvi, Z.H.; Rehman, T.-U. Consanguineous marriage resulting in homozygous occurrence of X-linked retinoschisis in girls. Am. J. Ophthalmol. 2003, 136, 767–769. [Google Scholar] [CrossRef]
- Rodríguez, F.J.; Rodríguez, A.; Mendoza-Londoño, R.; Tamayo, M.L. X-Linked Retinoschisis in Three Females from the Same Family: A Phenotype–Genotype Correlation. Retina 2005, 25, 69–74. [Google Scholar] [CrossRef]
- Saleheen, D.; Ali, A.; Khanum, S.; Ozair, M.Z.; Zaidi, M.; Sethi, M.J.; Khan, N.; Frossard, P. Molecular analysis of the XLRS1 gene in 4 females affected with X-linked juvenile retinoschisis. Can. J. Ophthalmol. 2008, 43, 596–599. [Google Scholar] [CrossRef]
- Gliem, M.; Holz, F.G.; Stohr, H.; Weber, B.H.F.; Issa, P.C. X-linked juvenile retinoschisis in a consanguineous family: Phenotypic variability and report of a homozygous female patient. Retina 2014, 34, 2472–2478. [Google Scholar] [CrossRef]
- Staffieri, S.E.; Rose, L.; Chang, A.; De Roach, J.N.; McLaren, T.L.; Mackey, D.A.; Hewitt, A.W.; Lamey, T.M. Clinical and molecular characterization of females affected by X-linked retinoschisis. Clin. Exp. Ophthalmol. 2015, 43, 643–647. [Google Scholar] [CrossRef]
- Khan, A.O.; El-Ghrably, I.A. Overlapping retinal phenotypes in a consanguineous family harboring mutations in CRB1 and RS1. Ophthalmic Genet. 2019, 40, 17–21. [Google Scholar] [CrossRef]
- Onen, M.; Zor, K.; Kucuk, E.; Iildirim, G. X-Linked Retinoschisis in Females in a Consanguineous Family: A Rare Entity. Turk. J. Ophthalmol. 2020, 50, 252–254. [Google Scholar] [CrossRef]
- Altun, A. A Female Case of X-Linked Retinoschisis with Macular Hole Bilaterally. Case Rep. Ophthalmol. Med. 2020, 2020, 8824995. [Google Scholar] [CrossRef] [PubMed]
- Sato, M.; Oshika, T.; Kaji, Y.; Nose, H. Three Novel Mutations in the X-Linked Juvenile Retinoschisis (XLRS1) Gene in 6 Japanese Patients, 1 of Whom Had Turner’s Syndrome. Ophthalmic Res. 2003, 35, 295–300. [Google Scholar] [CrossRef] [PubMed]
- George, N.D.; Yates, J.R.; Moore, A.T. X linked retinoschisis. Br. J. Ophthalmol. 1995, 79, 697–702. [Google Scholar] [CrossRef] [PubMed]
- Shah, M.; Shanks, M.; Packham, E.; Williams, J.; Haysmoore, J.; MacLaren, R.E.; Németh, A.H.; Clouston, P.; Downes, S.M. Next generation sequencing using phenotype-based panels for genetic testing in inherited retinal diseases. Ophthalmic Genet. 2020, 41, 331–337. [Google Scholar] [CrossRef]
- Al-Khuzaei, S.; Broadgate, S.; Halford, S.; Jolly, J.K.; Shanks, M.; Clouston, P.; Downes, S.M. Novel Pathogenic Sequence Variants in NR2E3 and Clinical Findings in Three Patients. Genes 2020, 11, 1288. [Google Scholar] [CrossRef]
- Richards, S.; Aziz, N.; Bale, S.; Bick, D.; Das, S.; Gastier-Foster, J.; Grody, W.W.; Hegde, M.; Lyon, E.; Spector, E.; et al. Standards and guidelines for the interpretation of sequence variants: A joint consensus recommendation of the American College of Medical Genetics and Genomics and the Association for Molecular Pathology. ACMG Laboratory Quality Assurance Committee. Genet. Med. 2015, 17, 405–424. [Google Scholar] [CrossRef]
- Plenge, R.M.; Hendrich, B.D.; Schwartz, C.; Arena, J.F.; Naumova, A.; Sapienza, C.; Winter, R.M.; Willard, H.F. A promoter mutation in the XIST gene in two unrelated families with skewed X-chromosome inactivation. Nat. Genet. 1997, 17, 353–356. [Google Scholar] [CrossRef]
- Fahim, A.T.; Daiger, S.P. The Role of X-Chromosome Inactivation in Retinal Development and Disease. Adv. Exp. Med. Biol. 2016, 854, 325–331. [Google Scholar]
- Carrel, L.; Willard, H.F. X-inactivation profile reveals extensive variability in X-linked gene expression in females. Nature 2005, 434, 400–404. [Google Scholar] [CrossRef]
- Pegoraro, E.; Vettori, A.; Valentino, M.L.; Molon, A.; Mostacciuolo, M.L.; Howell, N.; Carelli, V. X-inactivation pattern in multiple tissues from two Leber’s hereditary optic neuropathy (LHON) patients. Am. J. Med. Genet. A 2003, 119, 37–40. [Google Scholar] [CrossRef] [PubMed]




| Authors | Age | Zygosity | RS1 Variant | BCVA | Macular Findings | Retinal Findings |
|---|---|---|---|---|---|---|
| Kirkby et al. 2023 | 2 years old | Heterozygous | c.266delA, p.(Tyr89LeufsTer37) | Unavailable | Thickened retinae with absence laminal structure. Mild foveal hypoplasia. Minute intraretinal hyporeflective cystic lesions; no foveal schisis. | Inferior peripheral retinoschisis (left). Inferotemporal RPE atrophy (right, with associated concentric rings of pigment enclosing a schitic-appearing area and yellow material). |
| Saldana et al. [7] | 5 years old | Heterozygous | c.305G>A; p.(Arg102Gln) | 20/30 and 20/40 | RPE changes; no foveal schisis. | Bilateral inferotemporal peripheral retinoschisis. |
| Gieser et al. 1961 [10] | 13 years old | Obligate carrier | Unavailable | 20/25 (Central scotomas) | Foveal schisis with “pigment mottling and few verrucae in sharply punched-out macular area.” | |
| Sabates 1966 [11] | 41 years old | Obligate carrier | Unavailable | Unavailable | Temporal (right) and inferotemporal (left) retinoschisis. Two areas midperipheral “pigment clumping.” | |
| Wu et al. 1985 [12] | 56 years old | Obligate carrier | Unavailable | Unavailable | Radial wrinkling around fovea, internal limiting membrane; no foveal schisis | |
| Kaplan et at 1991 [13] | Unavailable | 5 x Obligate carriers | Unavailable | Unavailable | None had macular findings | Peripheral lesions (“mild greyish-white spots or dendrite-like areas,” “aberrant zones of underdeveloped capillaries,” inferotemporal retinoschisis). Two had previous childhood cryocoagulation. |
| Ali, S et al. 2013 [14] | 54 years old | Obligate carrier | Unavailable | Unavailable | Inferior retinoschisis, outer retinal hole with lattice degeneration in one eye. | |
| Ali, A et al. 2003 [15] | Proband (unavailable) | Presumed homozygous or compound heterozygous | Unavailable | LP (Bilateral nystagmus) | Bilateral total retinal detachment. | |
| 10 years old | Presumed homozygous or compound heterozygous | Unavailable | 6/60 and 3/60 | Foveal schisis. | Bilateral longstanding inferior retinoschisis extending to inferior arcades. | |
| 5 years old | Presumed homozygous or compound heterozygous | Unavailable | 6/36 and 6/60 | Foveal schisis with pigmentary changes. | Bilateral inferior scars and retinoschisis with pigmentary changes. | |
| 1 year old | Presumed homozygous or compound heterozygous | Unavailable | Unavailable | “Macular involvement” of retinoschisis. | Bilateral retinal detachment, and retinoschisis. Secondary changes in areas of detachment, markedly atrophic retinae. | |
| Rodriguez, F.J. et al., 2005 [16] | 10 years old | Homozygous | c.639delG | 20/20 and 20/30 | Foveal schisis. | Mid-retinal cyst inferotemporal quadrant. Pale optic discs. |
| 37 years old | Homozygous | c.639delG | 20/100 and 20/400 | “Modified” foveal schisis | Previous cryotherapy inferotemporally. Pale optic discs. | |
| 37 years old | Homozygous | c.639delG | 20/60 and 20/400 | “Modified” foveal schisis | Peripheral retinoschisis. Pale optic discs. | |
| Saleheen, D. et al. 2008 [17] | 1 year old | Homozygous | c.579dupC | Unavailable | “Macular involvement” of retinoschisis. | Bilateral retinal detachment. |
| 3 years old | Homozygous | c.579dupC | LP (Bilateral nystagmus) | Bilateral complete retinal detachment. | ||
| 10 years old | Homozygous | c.579dupC | 6/60 and 3/60 | Foveal schisis radiating to inferior arcades. | ||
| 5 years old | Homozygous | c.579dupC | 6/36 and 6/60 | Foveal schisis. | Bilateral inferior scars with pigmentary changes accompanying peripheral retinoschisis. | |
| Gliem, M. et al. 2014 [18] | 59 years old | Homozygous | c.293C>A, p.(Ala98Glu) | Unavailable | Atrophic macula. | Hyperpigmentary changes and chorioretinal scarring towards periphery. Prior cryotherapy. |
| Staffieri, S.E. et al., 2015 [19] | 9 years old | Homozygous | c.304C>T (rs61752067) | Sensory nystagmus | ||
| 11 years old | Homozygous | c.304C>T (rs61752067) | Sensory nystagmus | Foveal schisis. | ||
| Khan, A.O. et al., 2019 [20] | Unavailable | Homozygous | c.304C>T p.(Arg102Trp) | “Poor since childhood” | Foveal schisis | Peripheral retinoschisis. |
| Onen, M. et al. 2020 [21] | 4 years old | Presumed homozygous or compound heterozygous | Not specified | 20/50 | Foveal schisis. | |
| 15 years old | Presumed homozygous or compound heterozygous | Not specified | 20/40 | Foveal schisis. | ||
| 17 years old | Presumed homozygous or compound heterozygous | Not specified | 20/100 | Atrophic macula with RPE changes. | ||
| Altun, A. et al. 2020 [22] | 18 years old | Presumed homozygous or compound heterozygous | Not specified | CF | Bilateral macula holes. | |
| Sato, M. et al. 2003 [23] | 29 years old | Turners syndrome | c.(522+1G>A) | 60/200 | Foveal schisis (diagnosed at 10 years old). |
Disclaimer/Publisher’s Note: The statements, opinions and data contained in all publications are solely those of the individual author(s) and contributor(s) and not of MDPI and/or the editor(s). MDPI and/or the editor(s) disclaim responsibility for any injury to people or property resulting from any ideas, methods, instructions or products referred to in the content. |
© 2023 by the authors. Licensee MDPI, Basel, Switzerland. This article is an open access article distributed under the terms and conditions of the Creative Commons Attribution (CC BY) license (https://creativecommons.org/licenses/by/4.0/).
Share and Cite
Kirkby, J.; Halford, S.; Shanks, M.; Moore, A.; Gait, A.; Jenkins, L.; Clouston, P.; Patel, C.K.; Downes, S.M. A Carrier Female Manifesting an Unusual X-Linked Retinoschisis Phenotype Associated with the Pathogenic Variant c.266delA, p.(Tyr89LeufsTer37) in RS1, and Skewed X-Inactivation. Genes 2023, 14, 1193. https://doi.org/10.3390/genes14061193
Kirkby J, Halford S, Shanks M, Moore A, Gait A, Jenkins L, Clouston P, Patel CK, Downes SM. A Carrier Female Manifesting an Unusual X-Linked Retinoschisis Phenotype Associated with the Pathogenic Variant c.266delA, p.(Tyr89LeufsTer37) in RS1, and Skewed X-Inactivation. Genes. 2023; 14(6):1193. https://doi.org/10.3390/genes14061193
Chicago/Turabian StyleKirkby, Jennifer, Stephanie Halford, Morag Shanks, Anthony Moore, Anthony Gait, Lucy Jenkins, Penny Clouston, Chetan K. Patel, and Susan M. Downes. 2023. "A Carrier Female Manifesting an Unusual X-Linked Retinoschisis Phenotype Associated with the Pathogenic Variant c.266delA, p.(Tyr89LeufsTer37) in RS1, and Skewed X-Inactivation" Genes 14, no. 6: 1193. https://doi.org/10.3390/genes14061193
APA StyleKirkby, J., Halford, S., Shanks, M., Moore, A., Gait, A., Jenkins, L., Clouston, P., Patel, C. K., & Downes, S. M. (2023). A Carrier Female Manifesting an Unusual X-Linked Retinoschisis Phenotype Associated with the Pathogenic Variant c.266delA, p.(Tyr89LeufsTer37) in RS1, and Skewed X-Inactivation. Genes, 14(6), 1193. https://doi.org/10.3390/genes14061193

