Detailed Courses and Pathological Findings of Colonic Perforation without Diverticula in Sisters with Musculocontractural Ehlers–Danlos Syndrome Caused by Pathogenic Variant in CHST14 (mcEDS-CHST14)
Abstract
1. Introduction
2. Materials and Methods
2.1. Case Presentation
2.2. Pathological Investigation
3. Results
3.1. Detailed Course of Colonic Perforation


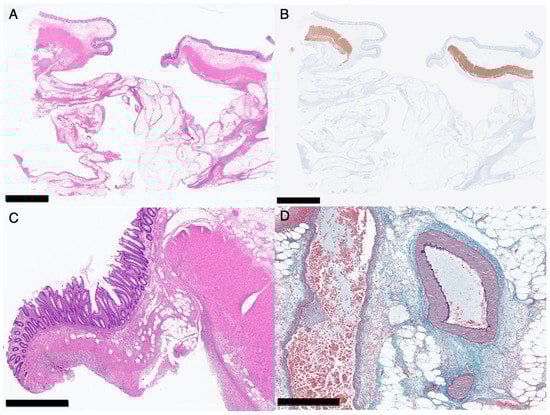
3.2. Pathological Investigation
4. Discussion
5. Conclusions
Author Contributions
Funding
Institutional Review Board Statement
Informed Consent Statement
Data Availability Statement
Acknowledgments
Conflicts of Interest
References
- Malfait, F.; Francomano, C.; Byers, P.; Belmont, J.; Berglund, B.; Black, J.; Bloom, L.; Bowen, J.M.; Brady, A.F.; Burrows, N.P.; et al. The 2017 International Classification of the Ehlers-Danlos Syndromes. Am. J. Med. Genet. C Semin. Med. Genet. 2017, 175, 8–26. [Google Scholar] [CrossRef] [PubMed]
- Brady, A.F.; Demirdas, S.; Fournel-Gigleux, S.; Ghali, N.; Giunta, C.; Kapferer-Seebacher, I.; Kosho, T.; Mendoza-Londono, R.; Pope, M.F.; Rohrbach, M.; et al. The Ehlers-Danlos Syndromes, Rare Types. Am. J. Med. Genet. C Semin. Med. Genet. 2017, 175, 70–115. [Google Scholar] [CrossRef] [PubMed]
- Malfait, F.; Castori, M.; Francomano, C.A.; Giunta, C.; Kosho, T.; Byers, P.H. The Ehlers-Danlos Syndromes. Nat. Rev. Dis. Prim. 2020, 6, 64. [Google Scholar] [CrossRef] [PubMed]
- Minatogawa, M.; Unzaki, A.; Morisaki, H.; Syx, D.; Sonoda, T.; Janecke, A.R.; Slavotinek, A.; Voermans, N.C.; Lacassie, Y.; Mendoza-Londono, R.; et al. Clinical and Molecular Features of 66 Patients with Musculocontractural Ehlers-Danlos Syndrome Caused by Pathogenic Variants in CHST14 (mcEDS-CHST14). J. Med. Genet. 2022, 59, 865–877. [Google Scholar] [CrossRef] [PubMed]
- Qian, H.; Zhou, T.; Zheng, N.; Lu, Q.; Han, Y. Case Report: Multiple Gastrointestinal Perforations in a Rare Musculocontractural Ehlers-Danlos Syndrome with Multiple Organ Dysfunction. Front. Genet. 2022, 13, 846529. [Google Scholar] [CrossRef] [PubMed]
- Minatogawa, M.; Hirose, T.; Mizumoto, S.; Yamaguchi, T.; Nagae, C.; Taki, M.; Yamada, S.; Watanabe, T.; Kosho, T. Clinical and Pathophysiological Delineation of Musculo-contractural Ehlers-Danlos Syndrome Caused by Dermatan Sulfate Epimerase Deficiency (mcEDS-DSE): A Detailed and Comprehensive Glycobiological and Pathological Investigation in a Novel Patient. Hum. Mutat. 2022, 43, 1829–1836. [Google Scholar] [CrossRef] [PubMed]
- Kosho, T. CHST14/D4ST1 Deficiency: New Form of Ehlers-Danlos Syndrome. Pediatr. Int. 2016, 58, 88–99. [Google Scholar] [CrossRef] [PubMed]
- Janecke, A.R.; Li, B.; Boehm, M.; Krabichler, B.; Rohrbach, M.; Müller, T.; Fuchs, I.; Golas, G.; Katagiri, Y.; Ziegler, S.G.; et al. The Phenotype of the Musculocontractural Type of Ehlers-Danlos Syndrome Due to CHST14 Mutations. Am. J. Med. Genet. A 2016, 170A, 103–115. [Google Scholar] [CrossRef] [PubMed]
- Hirose, T.; Takahashi, N.; Tangkawattana, P.; Minaguchi, J.; Mizumoto, S.; Yamada, S.; Miyake, N.; Hayashi, S.; Hatamochi, A.; Nakayama, J.; et al. Structural Alteration of Glycosaminoglycan Side Chains and Spatial Disorganization of Collagen Networks in the Skin of Patients with mcEDS-CHST14. Biochim. Biophys. Acta Gen. Subj. 2019, 1863, 623–631. [Google Scholar] [CrossRef] [PubMed]
- Kosho, T.; Mizumoto, S.; Watanabe, T.; Yoshizawa, T.; Miyake, N.; Yamada, S. Recent Advances in the Pathophysiology of Musculocontractural Ehlers-Danlos Syndrome. Genes 2020, 11, 43. [Google Scholar] [CrossRef] [PubMed]

Disclaimer/Publisher’s Note: The statements, opinions and data contained in all publications are solely those of the individual author(s) and contributor(s) and not of MDPI and/or the editor(s). MDPI and/or the editor(s) disclaim responsibility for any injury to people or property resulting from any ideas, methods, instructions or products referred to in the content. |
© 2023 by the authors. Licensee MDPI, Basel, Switzerland. This article is an open access article distributed under the terms and conditions of the Creative Commons Attribution (CC BY) license (https://creativecommons.org/licenses/by/4.0/).
Share and Cite
Kobayashi, T.; Fujishima, F.; Tokodai, K.; Sato, C.; Kamei, T.; Miyake, N.; Matsumoto, N.; Kosho, T. Detailed Courses and Pathological Findings of Colonic Perforation without Diverticula in Sisters with Musculocontractural Ehlers–Danlos Syndrome Caused by Pathogenic Variant in CHST14 (mcEDS-CHST14). Genes 2023, 14, 1079. https://doi.org/10.3390/genes14051079
Kobayashi T, Fujishima F, Tokodai K, Sato C, Kamei T, Miyake N, Matsumoto N, Kosho T. Detailed Courses and Pathological Findings of Colonic Perforation without Diverticula in Sisters with Musculocontractural Ehlers–Danlos Syndrome Caused by Pathogenic Variant in CHST14 (mcEDS-CHST14). Genes. 2023; 14(5):1079. https://doi.org/10.3390/genes14051079
Chicago/Turabian StyleKobayashi, Tomoko, Fumiyoshi Fujishima, Kazuaki Tokodai, Chiaki Sato, Takashi Kamei, Noriko Miyake, Naomichi Matsumoto, and Tomoki Kosho. 2023. "Detailed Courses and Pathological Findings of Colonic Perforation without Diverticula in Sisters with Musculocontractural Ehlers–Danlos Syndrome Caused by Pathogenic Variant in CHST14 (mcEDS-CHST14)" Genes 14, no. 5: 1079. https://doi.org/10.3390/genes14051079
APA StyleKobayashi, T., Fujishima, F., Tokodai, K., Sato, C., Kamei, T., Miyake, N., Matsumoto, N., & Kosho, T. (2023). Detailed Courses and Pathological Findings of Colonic Perforation without Diverticula in Sisters with Musculocontractural Ehlers–Danlos Syndrome Caused by Pathogenic Variant in CHST14 (mcEDS-CHST14). Genes, 14(5), 1079. https://doi.org/10.3390/genes14051079

