Next Article in Journal
Correction: Fraik et al. The Impacts of Dam Construction and Removal on the Genetics of Recovering Steelhead (Oncorhynchus mykiss) Populations across the Elwha River Watershed. Genes 2021, 12, 89
Next Article in Special Issue
MSTN Regulatory Network in Mongolian Horse Muscle Satellite Cells Revealed with miRNA Interference Technologies
Previous Article in Journal
C-to-U RNA Editing: A Site Directed RNA Editing Tool for Restoration of Genetic Code
 
 
Due to scheduled maintenance work on our servers, there may be short service disruptions on this website between 11:00 and 12:00 CEST on March 28th.
Font Type:
Arial Georgia Verdana
Font Size:
Aa Aa Aa
Line Spacing:
Column Width:
Background:
Article

An Integrated Analysis of Lactation-Related miRNA and mRNA Expression Profiles in Donkey Mammary Glands

1
Department of Animal Genetics, Breeding and Reproduction, College of Animal Science and Veterinary Medicine, Shenyang Agricultural University, Shenyang 110866, China
2
Department of Basic Veterinary Medicine, College of Animal Science and Veterinary Medicine, Shenyang Agricultural University, Shenyang 110866, China
*
Author to whom correspondence should be addressed.
These authors contributed equally to this work.
Genes 2022, 13(9), 1637; https://doi.org/10.3390/genes13091637
Submission received: 13 August 2022 / Revised: 7 September 2022 / Accepted: 8 September 2022 / Published: 12 September 2022
(This article belongs to the Special Issue Equine Genetics and Genomics)

Abstract

:
Donkey milk is consumed by humans for its nutritional and therapeutic properties. MicroRNAs (miRNAs) and messenger RNAs (mRNAs) have been implicated in the regulation of milk component synthesis and mammary gland development. However, the regulatory profile of the miRNAs and mRNAs involved in lactation in donkeys is unclear. We performed mRNA-seq and miRNA-seq and constructed coexpression regulatory networks for the mammary glands during the lactating and nonlactating period of jennies. We identified 3144 differentially expressed (DE) mRNAs (987 upregulated mRNAs and 2157 downregulated mRNAs) and 293 DE miRNAs (231 upregulated miRNAs and 62 downregulated miRNAs) in the lactating group compared to the nonlactating group. The DE miRNA target mRNA were significantly associated with pathways related to RNA polymerase, glycosphingolipid biosynthesis, mRNA surveillance, ribosome biogenesis in eukaryotes, glycerophospholipid metabolism, Ras signaling, and the fly hippo signaling pathway. The mRNA–miRNA coregulation analysis showed that novel-m0032-3p, miR-195, miR-26-5p, miR-23-3p, miR-674-3p, and miR-874-3p are key miRNAs that target mRNAs involved in immunity and milk lipid, protein, and vitamin metabolism in the jenny mammary gland. Our results improve the current knowledge of the molecular mechanisms regulating bioactive milk component metabolism in the mammary glands and could be used to improve milk production in donkeys.

Graphical Abstract

1. Introduction

Donkeys are an important domesticated species across the world, and the use of dairy products from donkeys has been widely documented [1]. The protein and lactose contents of donkey milk are close to those of human milk, and the total solids and fat contents are lower than those of human and cow milk [2]. Donkey milk shows antimicrobial and anticancer properties, and its consumption and demand are increasing, especially in Italy and China [3,4].
The mammary gland of jennies is characterized by small volumes, and milk is mainly alveolar [5]. The mammary gland is a complex organ, which synthesizes, secretes, stores, and releases milk; these physiological functions constitute “lactation performance”, which is regulated by an unusually high level of postnatal development during puberty and the reproductive cycle [6]. Mammary gland development includes cyclical periods of growth, differentiation, lactation, and regression, which are modulated by the proliferation and apoptosis of mammary epithelial cells [7]. The production of milk is mainly dependent on the metabolic activity and performance of mammary epithelial cells [8]. During the lactation period, the number and secretory activity of mammary epithelial cells increase, decrease gradually, stop, and remodel. In jennies, the milk yield remains constant for 9–10 months of lactation [9,10]. Peak lactation occurs at about 40–60 d from parturition [10], and the highest test-day milk yield ranges from 1.85 kg/d to 3.80 kg/d [11,12]. After lactation, the mammary gland enters the dry (nonlactating) period with the cessation of milk synthesis and secretion, coupled with energy storage and mammary gland cells remodeling to prepare for the next lactation cycle [13].
Mammary gland development and lactation processes are closely associated with various hormones, regulatory factors, and genes [14,15]. With the development of high-throughput sequencing technology, RNA sequencing (mRNA-seq and small RNA-seq) has emerged as a powerful tool to identify and characterize the genes and microRNAs (miRNA) expressed in mammary glands. Mammary gland development, lactation, and involution and the synthesis of milk ingredients are regulated by several genes [16,17]. However, the genes that control lactation in donkeys and the mechanisms regulating their expression are relatively unknown.
miRNAs are a class of small noncoding RNAs (approximately 18–25 nucleotides) that act post-transcriptionally and negatively regulate gene expression by facilitating the degradation or translational repression of target messenger RNAs (mRNAs) by binding to their 3′ untranslated regions [18,19]. Numerous miRNAs modulate the regulation of mammary gland development, lactation, and involution and the synthesis of milk ingredients by regulating gene expression in murine and domestic animals [20,21,22,23]. However, few studies have used a comprehensive approach based on the integrative analysis of miRNA and mRNA expression profiles in the mammary gland during lactating and nonlactating periods in animals including donkeys. Considering the increasing demand for dairy products from donkeys, it is important to understand the molecular regulatory networks involved in the lactation physiology of donkeys.
In this study, we performed an integrative analysis of the miRNA–mRNA expression profiles in the mammary gland tissues of donkeys in the lactating and nonlactating periods to identify the molecular mechanisms involved in lactation. Further, our results could improve our understanding of the post-transcriptional regulation mechanisms of miRNAs and target gene expression in the mammary glands and facilitate strategies to improve lactation production in donkeys.

2. Materials and Methods

2.1. Ethical Statement

Animals were handled humanely for biological sample collection. The experimental procedures in this study were approved by the Animal Care and Use Committee of Shenyang Agricultural University (approval no. 202001007).

2.2. Tissue Sample Collection

Six Chinese Liaoxi jennies (Lvxianyuan Breeding Farm, Fuxin, Liaoning) aged 6.3 ± 1.2 years with a mean live weight of 280.3 ± 20.1 kg and 2.1 ± 0.4 parities were used in this study. The animals were clinically evaluated following the recommended standards of the donkey sanctuary and were diagnosed as healthy [24] and without a history of mastitis. They were housed in a stable with collective paddocks, had free access to food and water, and were bred and managed under the same conditions. Approximately 100 mg of mammary gland tissue was collected by surgical biopsy (general anesthesia by intramuscular injection of xylazine hydrochloride) from the mid-region of the right mammary gland of each jenny during lactation (60 days postpartum; n = 3; L group) and the dry period (nonlactating, nonpregnant; n = 3; D group). All mammary gland tissue samples were obtained under sterile conditions. After removing the connective and adipose tissue, all samples were washed three times with ice-cold PBS. Part of the tissue was immediately stored in 4% paraformaldehyde for histological examination, and the remaining tissue was snap-frozen in liquid nitrogen and stored at −80 °C for subsequent RNA extraction.

2.3. Histological Examination

Blocks of mammary gland tissue were fixed in 4% paraformaldehyde for 48 h and processed and embedded into paraffin blocks using routine procedures [25]. The tissues were embedded in paraffin blocks, and sections of 3–6 μm were cut from each specimen. Oven-dried sections were deparaffinized with xylene, dehydrated through a graded series of ethanol (100%, 95%, and 80% ethanol) and distilled water, and stained with hematoxylin and eosin. Hematoxylin–eosin-stained sections were analyzed using a light microscope (Leica DM4 B, Wetzlar, Germany) equipped with a Leica DFC7000 T digital camera utilizing the Leica Application Suite X imaging software (Leica Biosystems, Wetzlar, Germany).

2.4. RNA Extraction, Library Preparation, and Sequencing

Total RNA was extracted from the mammary gland tissue using ice-cold TRIzol reagent (Invitrogen, Carlsbad, CA, USA) following the manufacturer’s instruction.
For RNA-seq library construction, 10 µg of the total RNA extracted was used. mRNA was enriched with magnetic beads containing Oligo(dT). Double-stranded cDNA was synthesized, and short fragments were cleaved. After adaptor ligation, the cDNAs were amplified. During the quality control (QC) steps, the Agilent 2100 Bioanalyzer (Agilent, Santa Clara, CA, USA) and ABI StepOnePlus Real-Time PCR System (Perkin-Elmer Applied Biosystems, Foster City, CA, USA) were used for the quantification and qualification of the sample library. Samples with RNA integrity numbers (RIN) ≥ 7 were subjected to the subsequent analysis. The obtained cDNA libraries were then sequenced using an Illumina HiSeq 2500 sequencer (Illumina, San Diego, CA, USA).
For small RNA library construction, 3 µg of total RNA was used. In brief, RNAs were ligated to a 5′ adaptor and 3′ adaptor and reverse-transcribed by PCR amplification. Subsequently, fragments between 140 bp and 160 bp in length were enriched to generate a cDNA library. The QC steps were performed as described above. The constructed high-quality cDNA libraries were sequenced using the Illumina HiSeq Xten platform (Illumina, San Diego, CA, USA).

2.5. mRNA and miRNA Raw Data Analysis

The quality of the raw data was evaluated using the fastp (version 0.18.0) program. Joint-containing, null, and low-quality sequences were removed, and the original readings were filtered to obtain clean reads. Clean reads were aligned to the reference donkey genome, ASM303372v1, and the equine genome database in the National Center for Biotechnology Information GenBank by Bowtie2 (version 2.2.8, Johns Hopkins University, Baltimore, MD, USA), and HISAT2 (version 2.2.4, Johns Hopkins University, Baltimore, MD, USA) software was used to compare the net sequencing to the genome sequence of the donkeys. Transcript abundance estimation was performed using StringTie (version 1.3.1, Johns Hopkins University, Baltimore, USA).
After removing low-quality reads, the remaining sequences (clean reads) were mapped to the donkey genome using the short oligonucleotide alignment program (SOAP) (http://soap.genomics.org.cn) (accessed on 21 December 2021) with a tolerance of one mismatch. The matched sequences were blasted against Rfam database 11.0 (http://www.sanger.ac.uk/software/Rfam) (accessed on 21 December 2021) and NCBI GenBank database 209.0 (http://blast.ncbi.nlm.nih.gov/) (accessed on 21 December 2021) to identify and remove rRNA, scRNA, snoRNA, snRNA, and tRNA sequences. The remaining reads mapped to genomic repeats and known transcripts (exonic and intronic). Clean reads were processed for computational analysis and compared using miRBase 22.0 to obtain known miRNAs. Sequences that were not mapped to any of the conserved miRNAs were further explored to find novel miRNAs using miRDeep2 (version 2.0.0.7, Berlin Institute for Medical Systems Biology, Berlin-Buch 13125, Germany).

2.6. Differential Expression Analysis of mRNA and miRNA

The expression levels of all transcripts were estimated as the fragments per kilobase million (FPKM) index. The normalization index simplified the comparison of expressed mRNAs within a sample. Therefore, the FPKM index was used to determine the differentially expressed (DE) mRNAs. The mRNAs that significantly differed between the two groups were identified with two counts based on the methods in R packages including edgeR and DESeq2. A false discovery rate < 0.05 and a fold change (FC) ≥ 2.0 was set as the threshold for DE mRNAs. The correlation and clustering analysis was performed with the R package pheatmap (version 1.0.8, AT&T Bell Laboratories, New York, USA). The screening criteria for differentially expressed miRNAs (DE miRNAs) were as follows: FC ≥ 2.0 and p-value < 0.05.

2.7. miRNA Target Gene Prediction

Because miRNAs function by interacting with target genes, target gene prediction is essential when studying miRNA function. TargetScan (version 7.0, Whitehead Institute, Cambridge, MA, USA) and MiRanda (version 3.3a, Memorial Sloan-Kettering Cancer Center, New York, NY, USA) software were used to predict potential target genes of the DE miRNAs. The data predicted by both algorithms were combined, and the intersecting elements were included as candidate target genes.

2.8. Gene Ontology (GO) and Pathway Analyses

According to the differential gene test results, a functional enrichment analysis was performed on gene ontology (GO) terms in the molecular function (MF), cellular component (CC), and biological process (BP) categories (http://www.geneontology.org/) (accessed on 15 January 2022). Through a comparison with the Kyoto Encyclopedia of Genes and Genomes (KEGG) database (http://www.genome.jp/kegg/) (accessed on 15 January 2022), pathways that were significantly enriched in DE mRNAs were identified. GO and KEGG analyses were performed with DAVID 6.8 (https://david.ncifcrf.gov/) (accessed on 20 January 2022) and KOBAS 3.0 (http://kobas.cbi.pku.edu.cn/genelist/) (accessed on 20 January 2022) using R based on the hypergeometric distribution. The GO and KEGG pathway enrichment statistics were performed using Fisher’s exact test with a cut-off q value < 0.05 considered as significant for both GO terms and pathways.

2.9. Integrative Analysis of miRNA–mRNA Pairs

Since mRNAs and miRNAs have potential negative regulatory relationships, we assessed the expression correlation between an miRNA and its predicted target gene using the Pearson correlation coefficient (PCC). Subsequently, the negatively coexpressed miRNA–mRNA pairs with PCC < −0.7 and p value < 0.05 were screened to construct miRNA–mRNA networks. The key potential regulatory networks of associated miRNAs and mRNAs were visualized using the Cytoscape software (version 3.8.0, Cytoscape Consortium, San Diego, CA, USA).

2.10. Quantitative Real-Time PCR Validation of Differentially Expressed mRNAs and miRNAs

The expression of differentially expressed mRNAs and miRNAs was determined using qRT-PCR. Total RNA was extracted from the mammary gland tissues of six jennies at the same period (three of them in a lactating period and the others in a nonlactating period) and used for cDNA synthesis. cDNA was generated from 1 μg of total RNA using the PrimeScript RT reagent Kit (TaKaRa, Tokyo, Japan), and qRT-PCR was performed using SYBR Premix Ex Taq (TaKaRa, Tokyo, Japan). For miRNA detection, reverse transcription followed by qRT-PCR was performed according to the manufacturer’s protocols using the miRNA First Strand cDNA Synthesis (Tailing Reaction; Shenggong, Shanghai, China). The quantification of miRNA was performed with an MiRNA qPCR Kit (SYBR Green Method) (Shenggong, Shanghai, China). Fluorescent quantitative primers were designed with primer5 (Table S1). GAPDH and U6 snRNA were selected as the internal controls. The LightCycler 96 System (Roche, Basel, Switzerland) was applied to qRT-PCR. For each mRNA and miRNA in the two groups, every reaction was performed in triplicate. FCs were determined by the threshold cycle (CT). The FCs of miRNA expression were calculated using the 2−ΔΔCt method [26]. Finally, the relative expression results were compared with the RNA-seq data.

2.11. Statistical Analyses

Comparisons of the relative expression values between the two groups in qRT-PCR were analyzed using the independent-samples t-test and SPSS 22.0 (SPSS, Inc., Chicago, IL, USA). The results are expressed as means ± standard deviations (SD). Significant differences between the two groups were considered in terms of the associated p-value relative to p < 0.05 and p < 0.01.

3. Results

3.1. Morphological Structure

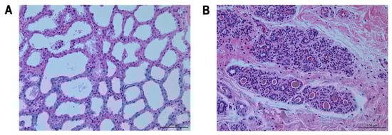
H&E staining showed a variety of cell shapes, large and dilated alveoli containing milk secretion, and a small amount of connective tissue between the alveoli in the lactating mammary glands (Figure 1A). In contrast, small alveoli with narrow lumens lined by small cuboidal cells were observed in the nonlactating mammary glands. In addition, an apparent increase in stromal, connective, and fatty tissue and a thicker alveolar septum were observed in the nonlactating mammary glands (Figure 1B).

3.2. Identification of Differentially Expressed mRNAs

Six cDNA libraries from three jennies in lactation and three jennies in the nonlactating period were sequenced from mammary gland tissues. For each library, clean reads were obtained and ranged from 98.49% to 98.89% after quality filtering. Approximately 90% of the clean reads could be mapped to the donkey reference genome, with a unique match ratio of 86.80–89.58% (Table 1). A principal component analysis (PCA) was performed, which showed that the samples from the L and N groups separated into two distinct clusters (Figure 2A), indicating that the sequencing data qualified for further analysis. A total of 3144 DE mRNAs were identified, of which 987 were upregulated and 2157 were downregulated (|FC| ≥ 2.0, FDR < 0.05) in the lactating group compared to the nonlactating group (Table S2A). A volcano plot was drawn to illustrate significant differences (Figure 2B) according to the FC and FDR values between the two groups. Furthermore, 536 novel mRNAs were identified in the sequencing data.

3.3. Identification of Differentially Expressed miRNAs

In the miRNA sequencing data, after removing low-quality reads and sequences shorter than 20 nucleotides and longer than 30 nucleotides in length, 11,161,279–14,222,917 (99.40–99.69% of raw reads) clean reads were obtained (Table 2). Of the clean reads, 62.71%−73.57% of the reads from the two groups were mapped to the reference sequence. The sample correlation heat map from the miRNA expression profiles indicated that three replicate samples from each group had good repeatability (Figure 3A). A total of 293 miRNAs, including 231 upregulated and 62 downregulated miRNAs (|FC| ≥ 2.0 and p-value < 0.05), were differentially expressed in the lactating group and nonlactating groups (Table S2B), in which 227 known miRNAs and 66 novel miRNAs were identified (Figure 3B). Among the 293 DE miRNAs, 35 and 4 DE miRNAs were uniquely expressed in the lactating and nonlactating groups, respectively (Figure 3C).

3.4. Functional Enrichment Analysis of Differentially Expressed mRNAs

To improve our understanding of the DE mRNAs in the lactating and nonlactating periods, we performed classification and enrichment analyses using the GO and KEGG pathways of the DE mRNAs. The GO and KEGG enrichment analyses showed that most of the DE mRNAs were mainly involved in biological processes and pathways related to development, morphogenesis, cellular processes, signal transduction, diseases, and metabolism. The 3144 DE mRNAs were classified into three categories through GO enrichment analysis. In the BP category, multicellular organismal processes, developmental processes, system development, anatomical structure morphogenesis, and cell surface receptor signaling pathways were dominantly enriched. The most enriched CCs were in the extracellular category, including the extracellular region, extracellular space, extracellular matrix, and plasma membrane. In the MF category, DE mRNAs were mainly involved in protein binding, signaling receptor binding, glycosaminoglycan binding, and sulfur compound binding (Figure 4A and Table S3A).
The 3144 DE mRNAs were related to 340 KEGG pathways (Table S3B); the top 20 significantly enriched pathways are shown in Figure 4B. The most prevalent pathways associated with DE mRNAs were associated with ECM-receptor interaction, the PI3K-Akt signaling pathway, breast cancer, complement and coagulation cascades, protein digestion and absorption, and arachidonic acid metabolism.

3.5. Target Gene Prediction and Functional Enrichment Analysis of DE miRNA

A total of 2979 target DE mRNAs corresponding to the 293 DE miRNAs were analyzed (Table S4). Multiple GO terms and pathways were related to mRNAs targeted by the DE miRNAs in the mammary glands obtained from the two groups. Several targeted DE mRNAs were mainly enriched in the regulation of metabolic processes, cellular metabolic processes, and the regulation of macromolecule metabolic processes of BP (Figure 5A, Table S5A). The KEGG pathway analysis revealed that the targeted DE mRNAs were most significantly associated with RNA polymerase, glycosphingolipid biosynthesis, mRNA surveillance, ribosome biogenesis in eukaryotes, glycerophospholipid metabolism, the Ras signaling pathway, and the fly hippo signaling pathway (Figure 5B and Table S5B).

3.6. Integrated Analysis of mRNAs and miRNAs

To identify potential miRNA target mRNAs involved in immunity and milk lipid, protein, and vitamin metabolism in the jenny mammary gland, the expression profiles of the DE miRNAs and mRNAs were combined for further correlation analysis. We obtained 850 DE mRNAs as putative targets for 293 DE miRNAs through an integrated analysis, presenting a negatively correlated expression pattern (Table S6). The key potential regulatory networks of the miRNA target mRNAs involved in the regulation of immune defense and milk lipid, protein, and vitamin metabolism in the jenny mammary gland were constructed (Table S7). A total of 35 mRNAs were potentially targeted by 20 miRNAs, of which novel m0032-3p, miR-195, miR-26-5p, miR-23-3p, miR-674-3p, and miR-874-3p were key miRNAs, connected by nine, eleven, three, four, five, and three target mRNAs, respectively (Figure 6).

3.7. Validation of Differentially Expressed mRNAs and miRNAs by qRT-PCR

We randomly selected nine mRNAs and nine miRNAs for qRT-PCR verification. The results showed that the relative expression levels of all the selected mRNAs and miRNAs were significantly different between the two groups (p < 0.05; Figure 7A,B). Overall, the expression trends of the selected mRNAs and miRNA obtained from the qRT-PCR data were consistent with that from the sequencing data (Figure 7C,D), indicating high reliability of the sequencing results.

4. Discussion

Donkey mammary gland miRNAs and their corresponding target genes have not been identified, and their functionality has therefore not been studied. In this study, we used high-throughput RNA sequencing to determine the interaction patterns of mRNAs and miRNAs in the lactating and nonlactating jenny mammary gland. The miRNA target mRNAs are involved in the regulation of immunity and milk lipid and protein metabolism. To our knowledge, this is the first report of an miRNA–mRNA interaction analysis in lactating and nonlactating jenny mammary gland tissues. Our findings contribute significantly to a better understanding of the molecular regulatory mechanisms governing lactation physiology in donkeys.
Donkey milk has potential antibacterial and immunoprotective effects that could prove useful for protecting vulnerable newborns or promoting adaptive immunity in infants [27,28]. In this study, we identified several immunoprotection-related genes that were upregulated in the lactating jenny mammary gland but not during the nonlactating period. Among these genes, β-lactoglobulin II variant B (LGB2; 152.15-FC), immunoglobulin heavy constant mu (IGHM; 8.24-FC), polymeric immunoglobulin receptor (PIGR; 7.32-FC), MHC class I polypeptide-related sequence B-like (MSTRG.19336; 213.1-FC), zona pellucida sperm-binding protein 3 receptor-like isoform X2 (C4BPA; 79.11-FC), and lipopolysaccharide-induced tumor necrosis factor-α (TNF-α) factor (LITAF; 2.24-FC) were highly expressed and cotargeted by novel-m0032-3p. LGB2 encodes a whey protein called β-lactoglobulin II, which is involved in the maintenance of the fetomaternal immune system and shows allergy-preventive as well as allergy-reducing effects [29,30]. IGHM is considered an indicator of immunoglobulin mu (IgM). IgM antibodies play a vital role in primary defense mechanisms by recognizing antigens [31]. PIGR plays a vital role in immunoglobulin transportation and can transport polymeric immunoglobulins (such as polymeric IgA and pentameric IgM) from the basolateral surface onto the apical surface of epithelial cells by transcytosis [32,33].
A novel gene, MSTRG.19336, was described as major histocompatibility complexes (MHC) class I polypeptide-related sequence B-like. MHC class I is involved in antigen processing and presentation and is upregulated in donkey colostrum whey [34]. It is crucial in protecting newborns from bacterial and other microbial infections [35,36]. In our study, MSTRG.19336 was upregulated 213.1-fold in lactating mammary glands compared with those during the nonlactating period. C4BPA is a coregulator of immunity and fat metabolism in bovine mammary epithelial cells and is primarily associated with critical inflammatory and coagulation processes [37]. Further, LITAF is involved in the immune response against bacterial and viral infections and can regulate TNF-α transcription, inflammation, proliferation, and apoptosis [38]. Our findings revealed that novel m0032-3p and its targeted genes participated in the innate immune regulation of the jenny mammary gland in lactation and could possibly explain the low prevalence of intramammary infections (i.e., mastitis) in donkeys [39].
Our results showed the significant upregulation of milk protein genes such as α S1 casein isoform X1 (CSN1S1; 18.13-FC), α S1 casein isoform X3 (CSN1S2; 16.85-FC), cathepsin B (CTSB; 4.28-FC), and cathepsin D (CTSD; 3.98-FC) in jenny mammary glands during peak-lactation compared to the nonlactating period. Previous studies have identified two types of caseins, αs1-Cn and αs2-Cn, whose encoding genes (CSN1S1 and CSN1S2, respectively) are associated with effects on milk yield, protein, and fat percentages [40]. They have also been related to milk coagulation properties such as rennet coagulation time and curd firmness [41]. CTSB and CTSD are cathepsin genes involved in the proteolysis of dairy products [42]. Cathepsins are among the principal endogenous proteases and have a significant effect on the physicochemical characteristics and quality of dairy products [43]. In bovine milk, CTSB and CTSD gene expression increase during lactation [44]. These milk protein genes were predicted to be cotargeted by miR-195, which has anticancer effects and suppresses genes related to cell proliferation, migration, and the invasion of breast cancer cells [45]. Donkey milk can form a weak coagulum under acidic conditions; the high expression of intramammary milk protein genes in lactation suggest that donkey milk could have unique properties suited to the production of yogurt-type products [46].
The synthesis of milk lipid involves multiple complex biological processes and cellular events that are regulated in part by gene expression and affected by miRNAs in the mammary epithelial cells [47]. In this study, twinfilin1 (TWF1) was upregulated (2.05-FC) in the lactating jenny mammary glands. TWF1 is an actin monomer-binding gene that is ubiquitous in eukaryotes from yeast to mammals. It enhances milk triglyceride and casein synthesis and the proliferation of bovine mammary epithelial cells via the mTOR signaling pathway [48]. TWF1 is predicted to be targeted by putative DE miRNAs, such as miR-26-5p and miR-23-3p. The expression of miR-26 directly regulated genes related to milk triacylglycerol accumulation and unsaturated fatty acid synthesis [49], and the miR-26 family targets members of the PI3K-Akt, MAPK, and fatty acid biosynthesis pathways in goat mammary epithelial cells [50]. miR-23a is involved in the regulation of the mRNA expression of genes associated with milk lipid synthesis in goat mammary gland epithelial cells [51].
TWF1 was also identified as a predicted target of miR-674-3p, which was significantly upregulated in radiation-induced rat mammary cancer compared to normal mammary tissues [52]. Although the role of miR-674-3p during normal lactation is unclear, the current study showed that it could potentially target four key lipid-metabolism-related genes: TWF1, sterol regulatory element binding transcription factor 1 (SREBF1; 2.36-FC), cell death-inducing DFFA-like effector A (CIDEA; 26.16-FC), and xanthine dehydrogenase (XDH; 2.02-FC). SREBF1 is a key lipogenic transcriptional factor that regulates genes that are involved in milk lipid synthesis [53]. It participates in the AMPK and mTOR signaling pathways that regulate lipid synthesis in bovine mammary epithelial cells [54]. CIDEA, a lipid droplet coat gene, plays a positive role in the de novo synthesis and secretion of milk fat. High levels of CIDEA are expressed in milk-secreting epithelial cells of lactating murine and bovine mammary tissues [55,56]. In this study, we found a similar trend of high CIDEA expression in lactating jenny mammary glands. Another crucial mediator of milk lipid droplet formation, XDH, is enriched in the milk fat globule membrane [57]. Compared to that in the nonlactating period, the expression of XDH in the mammary glands of dairy cows was significantly upregulated at the onset of lactation [58]. Furthermore, CIDEA positively regulated the expression of SREBF1 and XDH in milk lipid accumulation in ruminants [59,60].
miR-874-3p is an important factor in regulating lactogenesis and cell proliferation [61]. Our results revealed that the upregulated genes targeted by miR-874-3p in the lactating jenny mammary gland were transcobalamin 2 (TCN2; 2.30-FC), CD320 molecule (3.51-FC), and cytochrome b561 family member A3 (CYB561A3; 2.66-FC). These genes are all related to vitamin metabolism and transport. In donkey milk, the B-complex vitamin content is higher than that of human milk, and the vitamin C content is higher than that in dairy cow milk, showing a great similarity with human milk [62]. TCN2 is essential in the transport of vitamin B12 from the blood to various tissues and organs [63]. CD320 is expressed in mammary epithelial cells and shows a high affinity for the transcobalamin—vitamin B12 complex [64]. CD320 regulates transcobalamin degradation in the cell and free vitamin B12 transportation to milk [65]. CYB561A3, a member of the CYB561 family, acts as a monodehydroascorbate reductase and is involved in stress defense, iron metabolism, and various neurological processes [66]. These findings indicate that the higher content of B-complex and vitamin C in donkey milk is likely associated with the increased expression of vitamin-related genes in lactating jenny mammary glands.

5. Conclusions

To the best of our knowledge, this is the first systematic report on the expression patterns of miRNAs and target mRNAs related to lactation in the mammary glands of jennies. A total of 3144 DE mRNAs and 293 DE miRNAs were identified in the lactating group compared with the nonlactating group. The mRNA–miRNA coregulation analysis showed that the miRNA target mRNAs were mainly involved in immune defense and milk lipid, protein, and vitamin metabolism in the jenny mammary gland. These findings provide a better understanding of the molecular mechanisms regulating bioactive milk component metabolism in the mammary glands and could be used to improve milk production in donkeys.

Supplementary Materials

The following supporting information can be downloaded at: https://www.mdpi.com/article/10.3390/genes13091637/s1, Table S1: Primer information of mRNAs and miRNAs used for qRT-PCR; Table S2: Significant differentially expressed (DE) mRNAs were identified between L and N groups (A), significant DE miRNAs were identified between L and N groups (B). L, lactating mammary glands of jennies; N, nonlactating mammary glands of jennies; Table S3: Go enrichment analyses of significant differentially expressed (DE) mRNAs identified between L and N groups (A), KEGG pathway enrichment analysis of significant DE mRNAs identified between L and N groups (B). L, lactating mammary glands of jennies; N, nonlactating mammary glands of jennies; Table S4: Differentially expressed (DE) miRNAs and their target DE mRNAs were identified between L and N groups. L, lactating mammary glands of jennies; N, nonlactating mammary glands of jennies; Table S5: Go enrichment analyses of significant differentially expressed (DE) miRNA target mRNAs identified between L and N groups (A), KEGG pathway enrichment analysis of significant DE miRNA target mRNAs identified between L and N groups (B). L, lactating mammary glands of jennies; N, nonlactating mammary glands of jennies; Table S6: All differentially expressed (DE) miRNA-DE mRNAs target pairs were identified between L and N groups through integrated analysis. L, lactating mammary glands of jennies; N, nonlactating mammary glands of jennies; Table S7: Interaction network of differentially expressed (DE) mRNAs and DE miRNAs.

Author Contributions

Conceptualization, L.D.; methodology, Y.F., Y.G. and Q.L.; software, Y.F. and L.Z.; validation, L.D. and L.Z.; formal analysis Y.F., Y.G., B.L. and M.B.; investigation, Q.L. and Z.L.; data curation, Y.F. and N.L.; writing—original draft preparation, Y.F., Y.G. and L.D.; writing—review and editing, L.D.; visualization, Y.F. and Z.L.; supervision, L.D.; project administration, L.D.; funding acquisition, L.D. All authors have read and agreed to the published version of the manuscript.

Funding

This work was supported by the Foundation from the Department of Education of Liaoning Province, China, (LSNFW201904) to Liang Deng.

Institutional Review Board Statement

The collection of biological samples and the experimental procedures involved in this study were approved by the Animal Care and Use Committee of Shenyang Agricultural University (approval no. 202001007).

Informed Consent Statement

Not applicable.

Data Availability Statement

All data needed to evaluate the conclusions in this paper are present either in the main text or the Supplementary Materials.

Acknowledgments

We thank Luhai Cheng at the Lvxianyuan breeding farm for sampling.

Conflicts of Interest

The authors declare no conflict of interest.

References

  1. Altomonte, I.; Salari, F.; Licitra, R.; Martini, M. Donkey and human milk: Insights into their compositional similarities. Int. Dairy J. 2019, 89, 111–118. [Google Scholar] [CrossRef]
  2. Miraglia, N.; Salimei, E.; Fantuz, F. Equine Milk Production and Valorization of Marginal Areas—A Review. Animals 2020, 10, 353. [Google Scholar] [CrossRef] [PubMed]
  3. Zhang, X.; Zhao, L.; Jiang, L.; Dong, M.; Ren, F. The antimicrobial activity of donkey milk and its microflora changes during storage. Food Control 2008, 19, 1191–1195. [Google Scholar] [CrossRef]
  4. Seyiti, S.; Kelimu, A. Donkey Industry in China: Current Aspects, Suggestions and Future Challenges. J. Equine Vet. Sci. 2021, 102, 103642. [Google Scholar] [CrossRef] [PubMed]
  5. D’Alessandro, A.; Mariano, M.; Martemucci, G. Udder characteristics and effects of pulsation rate on milking machine efficiency in donkeys. J. Dairy Res. 2015, 82, 121–128. [Google Scholar] [CrossRef] [PubMed]
  6. Hughes, K.; Watson, C.J. The spectrum of STAT functions in mammary gland development. Jak-Stat 2012, 1, 151–158. [Google Scholar] [CrossRef]
  7. Inman, J.L.; Robertson, C.; Mott, J.D.; Bissell, M.J. Mammary gland development: Cell fate specification, stem cells and the microenvironment. Development 2015, 142, 1028–1042. [Google Scholar] [CrossRef]
  8. Boutinaud, M.; Guinard-Flament, J.; Jammes, H. The number and activity of mammary epithelial cells, determining factors for milk production. Reprod. Nutr. Dev. 2004, 44, 499–508. [Google Scholar] [CrossRef]
  9. Martini, M.; Altomonte, I.; Salari, F.; Caroli, A.M. Short communication: Monitoring nutritional quality of Amiata donkey milk: Effects of lactation and productive season. J. Dairy Sci. 2014, 97, 6819–6822. [Google Scholar] [CrossRef]
  10. Malacarne, M.; Criscione, A.; Franceschi, P.; Bordonaro, S.; Formaggioni, P.; Marletta, D.; Summer, A. New Insights into Chemical and Mineral Composition of Donkey Milk throughout Nine Months of Lactation. Animals 2019, 9, 1161. [Google Scholar] [CrossRef] [Green Version]
  11. Bordonaro, S.; Dimauro, C.; Criscione, A.; Marletta, D.; Macciotta, N.P.P. The mathematical modeling of the lactation curve for dairy traits of the donkey (Equus asinus). J. Dairy Sci. 2013, 96, 4005–4014. [Google Scholar] [CrossRef] [PubMed]
  12. Muhatai, G.; Cheng, L.; Rugoho, I.; Xiao, G.; Chen, G.; Hodge, S.; Zhou, X. Effect of parity, milking time and stage of lactation on milk yield of Jiangyue donkey (Equus asinus) in North West China. J. Dairy Res. 2017, 84, 23–26. [Google Scholar] [CrossRef] [PubMed]
  13. Collier, R.J.; Annen-Dawson, E.L.; Pezeshki, A. Effects of continuous lactation and short dry periods on mammary function and animal health. Animal 2012, 6, 403–414. [Google Scholar] [CrossRef]
  14. Chavatte-Palmer, P. Lactation in the mare. Equine Vet. Educ. 1997, 9, 62–67. [Google Scholar] [CrossRef]
  15. Mapes, J.; Li, Q.; Kannan, A.; Anandan, L.; Laws, M.; Lydon, J.P.; Bagchi, I.C.; Bagchi, M.K. CUZD1 is a critical mediator of the JAK/STAT5 signaling pathway that controls mammary gland development during pregnancy. PLoS Genet. 2017, 13, e1006654. [Google Scholar] [CrossRef] [PubMed]
  16. Li, C.; Cai, W.; Zhou, C.; Yin, H.; Zhang, Z.; Loor, J.J.; Sun, D.; Zhang, Q.; Liu, J.; Zhang, S. RNA-Seq reveals 10 novel promising candidate genes affecting milk protein concentration in the Chinese Holstein population. Sci. Rep. 2016, 6, 26813. [Google Scholar] [CrossRef]
  17. Mu, T.; Hu, H.; Ma, Y.; Feng, X.; Zhang, J.; Gu, Y. Regulation of Key Genes for Milk Fat Synthesis in Ruminants. Front. Nutr. 2021, 8, 765147. [Google Scholar] [CrossRef]
  18. Bartel, D.P. MicroRNAs: Genomics, biogenesis, mechanism, and function. Cell 2004, 116, 281–297. [Google Scholar] [CrossRef]
  19. Valencia-Sanchez, M.A.; Liu, J.; Hannon, G.J.; Parker, R. Control of translation and mRNA degradation by miRNAs and siRNAs. Genes Dev. 2006, 20, 515–524. [Google Scholar] [CrossRef]
  20. Li, Z.; Liu, H.; Jin, X.; Lo, L.; Liu, J. Expression profiles of microRNAs from lactating and non-lactating bovine mammary glands and identification of miRNA related to lactation. BMC Genomics 2012, 13, 731. [Google Scholar] [CrossRef] [Green Version]
  21. Kayo, H.; Kiga, K.; Fukuda-Yuzawa, Y.; Hedlund, S.; Murakami, K.; De La Rosa-Velazquez, I.A.; Kimura, T.; Shimoda, K.; Tanabe, M.; Fukao, T. miR-212 and miR-132 are dispensable for mouse mammary gland development. Nat. Genet. 2014, 46, 802–804. [Google Scholar] [CrossRef] [PubMed]
  22. Cai, X.; Liu, Q.; Zhang, X.; Ren, Y.; Lei, X.; Li, S.; Chen, Q.; Deng, K.; Wang, P.; Zhang, H.; et al. Identification and analysis of the expression of microRNA from lactating and nonlactating mammary glands of the Chinese swamp buffalo. J. Dairy Sci. 2017, 100, 1971–1986. [Google Scholar] [CrossRef]
  23. Ji, Z.; Liu, Z.; Chao, T.; Hou, L.; Fan, R.; He, R.; Wang, G.; Wang, J. Screening of miRNA profiles and construction of regulation networks in early and late lactation of dairy goat mammary glands. Sci. Rep. 2017, 7, 11933. [Google Scholar] [CrossRef]
  24. Evans, L.; Crane, M. The Donkey Sanctuary. The clinical examination. In The Clinical Companion of the Donkey; Leicester: Troubador, CA, USA, 2018; p. 256. [Google Scholar]
  25. Ozawa, A.; Sakaue, M. New decolorization method produces more information from tissue sections stained with hematoxylin and eosin stain and masson-trichrome stain. Ann. Anat.-Anat. Anz. 2020, 227, 151431. [Google Scholar] [CrossRef] [PubMed]
  26. Livak, K.J.; Schmittgen, T.D. Analysis of relative gene expression data using real-time quantitative PCR and the 2−ΔΔCt Method. Methods 2001, 25, 402–408. [Google Scholar] [CrossRef] [PubMed]
  27. Spada, V.; Ferranti, P.; Chianese, L.; Salimei, E.; Addeo, F.; Picariello, G. Antibacterial potential of donkey’s milk disclosed by untargeted proteomics. J. Proteomics 2021, 231, 104007. [Google Scholar] [CrossRef] [PubMed]
  28. Martini, M.; Altomonte, I.; Tricò, D.; Lapenta, R.; Salari, F. Current Knowledge on Functionality and Potential Therapeutic Uses of Donkey Milk. Animals 2021, 11, 1382. [Google Scholar] [CrossRef]
  29. Chatterton, D.E.; Nguyen, D.N.; Bering, S.B.; Sangild, P.T. Anti-inflammatory mechanisms of bioactive milk proteins in the intestine of newborns. Int. J. Biochem. Cell Biol. 2013, 45, 1730–1747. [Google Scholar] [CrossRef]
  30. Mayerhofer, H.; Zednik, K.; Pali-Schöll, I. The extended farm effect: The milk protein β-lactoglobulin in stable dust protects against allergies. Allergol. Sel. 2022, 6, 111–117. [Google Scholar] [CrossRef]
  31. Boes, M. Role of natural and immune IgM antibodies in immune responses. Mol. Immunol. 2000, 37, 1141–1149. [Google Scholar] [CrossRef]
  32. Emmerson, C.D.; van der Vlist, E.J.; Braam, M.R.; Vanlandschoot, P.; Merchiers, P.; de Haard, H.J.; Verrips, C.T.; van Bergen en Henegouwen, P.M.; Dolk, E. Enhancement of polymeric immunoglobulin receptor transcytosis by biparatopic VHH. PLoS ONE 2011, 6, e26299. [Google Scholar] [CrossRef] [PubMed]
  33. Pausder, A.; Fricke, J.; Schughart, K.; Schreiber, J.; Strowig, T.; Bruder, D.; Boehme, J.D. Exogenous and Endogenous Triggers Differentially Stimulate Pigr Expression and Antibacterial Secretory Immunity in the Murine Respiratory Tract. Lung 2022, 200, 119–128. [Google Scholar] [CrossRef] [PubMed]
  34. Li, W.; Li, M.; Cao, X.; Han, H.; Kong, F.; Yue, X. Comparative analysis of whey proteins in donkey colostrum and mature milk using quantitative proteomics. Food Res. Int. 2020, 127, 108741. [Google Scholar] [CrossRef] [PubMed]
  35. Ugolini, S.; Vivier, E. Multifaceted roles of MHC class I and MHC class I–like molecules in T cell activation. Nat. Immunol. 2001, 2, 198–200. [Google Scholar] [CrossRef] [PubMed]
  36. Souroullas, K.; Aspri, M.; Papademas, P. Donkey milk as a supplement in infant formula: Benefits and technological challenges. Food Res. Int. 2018, 109, 416–425. [Google Scholar] [CrossRef]
  37. Iqbal, A.; Ziyi, P.; Yu, H.; Jialing, L.; Haochen, W.; Jing, F.; Ping, J.; Zhihui, Z. C4BPA: A Novel Co-Regulator of Immunity and Fat Metabolism in the Bovine Mammary Epithelial Cells. Front. Genet. 2022, 12, 830566. [Google Scholar] [CrossRef]
  38. Chen, K.; Tian, J.; Wang, J.; Jia, Z.; Zhang, Q.; Huang, W.; Zhao, X.; Gao, Z.; Gao, Q.; Zou, J. Lipopolysaccharide-Induced TNF α Factor (LITAF) Promotes Inflammatory Responses and Activates Apoptosis in Zebra fish Danio Rerio. Gene 2021, 780, 145487. [Google Scholar] [CrossRef]
  39. Pilla, R.; Daprà, V.; Zecconi, A.; Piccinini, R. Hygienic and health characteristics of donkey milk during a follow-up study. J. Dairy Res. 2010, 77, 392–397. [Google Scholar] [CrossRef]
  40. Corral, J.M.; Padilla, J.A.; Izquierdo, M. Associations between milk protein genetic polymorphisms and milk production traits in Merino sheep breed. Livest. Sci. 2010, 129, 73–79. [Google Scholar] [CrossRef]
  41. Noce, A.; Pazzola, M.; Dettori, M.L.; Amills, M.; Castelló, A.; Cecchinato, A.; Bittante, G.; Vacca, G.M. Variations at regulatory regions of the milk protein genes are associated with milk traits and coagulation properties in the Sarda sheep. Anim. Genet. 2016, 47, 717–726. [Google Scholar] [CrossRef]
  42. Considine, T.; Healy, Á.; Kelly, A.L.; McSweeney, P.L.H. Hydrolysis of bovine caseins by cathepsin B, a cysteine proteinase indigenous to milk. Int. Dairy J. 2004, 14, 117–124. [Google Scholar] [CrossRef]
  43. McSweeney, P.L.H. Biochemistry of cheese ripening. Int. J. Dairy Technol. 2004, 57, 127–144. [Google Scholar] [CrossRef]
  44. Wickramasinghe, S.; Rincon, G.; Islas-Trejo, A.; Medrano, J.F. Transcriptional profiling of bovine milk using RNA sequencing. BMC Genomics 2012, 13, 45. [Google Scholar] [CrossRef] [PubMed]
  45. Singh, R.; Yadav, V.; Kumar, S.; Saini, N. MicroRNA-195 inhibits proliferation, invasion and metastasis in breast cancer cells by targeting FASN, HMGCR, ACACA and CYP27B1. Sci. Rep. 2015, 5, 17454. [Google Scholar] [CrossRef] [PubMed]
  46. Aspri, M.; Economou, N.; Papademas, P. Donkey milk: An overview on functionality, technology, and future prospects. Food Rev. Int. 2017, 33, 316–333. [Google Scholar] [CrossRef]
  47. Harvatine, K.J.; Boisclair, Y.R.; Bauman, D.E. Recent advances in the regulation of milk fat synthesis. Animal 2009, 3, 40–54. [Google Scholar] [CrossRef]
  48. Li, L.; Liu, L.; Qu, B.; Li, X.; Gao, X.; Zhang, M. Twinfilin 1 enhances milk bio-synthesis and proliferation of bovine mammary epithelial cells via the mTOR signaling pathway. Biochem. Biophys. Res. Commun. 2017, 492, 289–294. [Google Scholar] [CrossRef]
  49. Wang, H.; Luo, J.; Zhang, T.; Tian, H.; Ma, Y.; Xu, H.; Yao, D.; Loor, J.J. MicroRNA-26a/b and their host genes synergistically regulate triacylglycerol synthesis by targeting the INSIG1 gene. RNA Biol. 2016, 13, 500–510. [Google Scholar] [CrossRef]
  50. Wang, H.; Zhu, J.; He, Q.; Loor, J.J.; Luo, J. Association between the expression of miR-26 and goat milk fatty acids. Reprod. Domest. Anim. 2018, 53, 1478–1482. [Google Scholar] [CrossRef]
  51. Lin, X.; Luo, J.; Zhang, L.; Zhu, J. MicroRNAs synergistically regulate milk fat synthesis in mammary gland epithelial cells of dairy goats. Gene Expr. 2013, 16, 1–13. [Google Scholar] [CrossRef]
  52. Iizuka, D.; Imaoka, T.; Nishimura, M.; Kawai, H.; Suzuki, F.; Shimada, Y. Aberrant microRNA expression in radiation-induced rat mammary cancer: The potential role of miR-194 overexpression in cancer cell proliferation. Radiat. Res. 2013, 179, 151–159. [Google Scholar] [CrossRef] [PubMed]
  53. Bionaz, M.; Loor, J.J. Gene networks driving bovine milk fat synthesis during the lactation cycle. BMC Genom. 2008, 9, 366. [Google Scholar] [CrossRef] [PubMed]
  54. Jing, Y.; Chen, Y.; Wang, S.; Ouyang, J.; Hu, L.; Yang, Q.; Wang, M.; Zhang, B.; Loor, J.J. Circadian Gene PER2 Silencing Downregulates PPARG and SREBF1 and Suppresses Lipid Synthesis in Bovine Mammary Epithelial Cells. Biology 2021, 10, 1226. [Google Scholar] [CrossRef] [PubMed]
  55. Wang, W.; Lv, N.; Zhang, S.; Shui, G.; Qian, H.; Zhang, J.; Chen, Y.; Ye, J.; Xie, Y.; Shen, Y.; et al. Cidea is an essential transcriptional coactivator regulating mammary gland secretion of milk lipids. Nat. Med. 2012, 18, 235–243. [Google Scholar] [CrossRef]
  56. Yonezawa, T.; Haga, S.; Kobayashi, Y.; Katoh, K.; Obara, Y. Saturated fatty acids stimulate and insulin suppresses CIDE-A expression in bovine mammary epithelial cells. Biochem. Biophys. Res. Commun. 2009, 384, 535–539. [Google Scholar] [CrossRef]
  57. Ishii, T.; Aoki, N.; Noda, A.; Adachi, T.; Nakamura, R.; Matsuda, T. Carboxy-terminal cytoplasmic domain of mouse butyrophilin specifically associates with a 150-kDa protein of mammary epithelial cells and milk fat globule membrane. Biochim. Biophys. Acta 1995, 1245, 285–292. [Google Scholar] [CrossRef]
  58. Jedrzejczak, M.; Szatkowska, I. Bovine mammary epithelial cell cultures for the study of mammary gland functions. Vitr. Cell. Dev. Biol.-Anim. 2014, 50, 389–398. [Google Scholar] [CrossRef]
  59. Wang, R.; Kong, X.; Cui, A.; Liu, X.; Xiang, R.; Yang, Y.; Guan, Y.; Fang, F.; Chang, Y. Sterol-regulatory-element-binding protein 1c mediates the effect of insulin on the expression of Cidea in mouse hepatocytes. Biochem. J. 2010, 430, 245–254. [Google Scholar] [CrossRef]
  60. Sun, X.; Wang, Y.; Loor, J.J.; Bucktrout, R.; Shu, X.; Jia, H.; Dong, J.; Zuo, R.; Liu, G.; Li, X.; et al. High expression of cell death-inducing DFFA-like effector a (CIDEA) promotes milk fat content in dairy cows with clinical ketosis. J. Dairy Sci. 2019, 102, 1682–1692. [Google Scholar] [CrossRef]
  61. Zhao, X.; Do, D.; Ibeagha-Awemu, E. Non-coding RNAs in bovine mammary glands. J. Anim. Sci. 2018, 96 (Suppl. 3), 369–370. [Google Scholar] [CrossRef]
  62. Vincenzetti, S.; Santini, G.; Polzonetti, V.; Pucciarelli, S.; Klimanova, Y.; Polidori, P. Vitamins in Human and Donkey Milk: Functional and Nutritional Role. Nutrients 2021, 13, 1509. [Google Scholar] [CrossRef] [PubMed]
  63. Boachie, J.; Adaikalakoteswari, A.; Goljan, I.; Samavat, J.; Cagampang, F.R.; Saravanan, P. Intracellular and Tissue Levels of Vitamin B12 in Hepatocytes Are Modulated by CD320 Receptor and TCN2 Transporter. Int. J. Mol. Sci. 2021, 22, 3089. [Google Scholar] [CrossRef] [PubMed]
  64. Quadros, E.V.; Nakayama, Y.; Sequeira, J.M. The protein and the gene encoding the receptor for the cellular uptake of transcobalamin-bound cobalamin. Blood 2009, 113, 186–192. [Google Scholar] [CrossRef] [PubMed]
  65. Beedholm-Ebsen, R.; van de Wetering, K.; Hardlei, T.; Nexø, E.; Borst, P.; Moestrup, S.K. Identification of multidrug resistance protein 1 (MRP1/ABCC1) as a molecular gate for cellular export of cobalamin. Blood 2010, 115, 1632–1639. [Google Scholar] [CrossRef]
  66. Asard, H.; Barbaro, R.; Trost, P.; Bérczi, A. Cytochromes b561: Ascorbate-mediated trans-membrane electron transport. Antioxid. Redox Signal. 2013, 19, 1026–1035. [Google Scholar] [CrossRef] [Green Version]
Figure 1. Morphological characteristics of the mammary gland in jennies observed after H & E staining (40×). (A) Paraffin section of jenny mammary gland during lactation. (B) Paraffin section of jenny mammary gland during the nonlactating period. Nuclei are dyed blue by hematoxylin, and the cytoplasm is stained pink by eosin.
Figure 1. Morphological characteristics of the mammary gland in jennies observed after H & E staining (40×). (A) Paraffin section of jenny mammary gland during lactation. (B) Paraffin section of jenny mammary gland during the nonlactating period. Nuclei are dyed blue by hematoxylin, and the cytoplasm is stained pink by eosin.
Genes 13 01637 g001
Figure 2. Differential gene expression analysis between L and N groups determined by RNA-seq. (A) Principal component analysis (PCA) of differentially expressed (DE) mRNAs. (B) Volcano plot of DE mRNAs in jenny mammary glands between L and N groups. The upregulated and downregulated DE mRNAs are indicated by red and green dots, respectively, while the DE mRNAs with no significant difference in the two groups are indicated by black dots. L, lactating mammary glands of jennies; N, nonlactating mammary glands of jennies.
Figure 2. Differential gene expression analysis between L and N groups determined by RNA-seq. (A) Principal component analysis (PCA) of differentially expressed (DE) mRNAs. (B) Volcano plot of DE mRNAs in jenny mammary glands between L and N groups. The upregulated and downregulated DE mRNAs are indicated by red and green dots, respectively, while the DE mRNAs with no significant difference in the two groups are indicated by black dots. L, lactating mammary glands of jennies; N, nonlactating mammary glands of jennies.
Genes 13 01637 g002
Figure 3. Differential miRNA expression analysis between the L and N groups by miRNA-seq. (A) Sample correlation heatmap of miRNAs. (B) The histogram shows the number of differentially expressed (DE) miRNAs identified in jenny mammary glands in the L and N groups. (C) Venn diagram representation of the common and group-specific DE miRNAs identified in jenny mammary glands of the L and N groups. L, lactating mammary glands of jennies; N, nonlactating mammary glands of jennies.
Figure 3. Differential miRNA expression analysis between the L and N groups by miRNA-seq. (A) Sample correlation heatmap of miRNAs. (B) The histogram shows the number of differentially expressed (DE) miRNAs identified in jenny mammary glands in the L and N groups. (C) Venn diagram representation of the common and group-specific DE miRNAs identified in jenny mammary glands of the L and N groups. L, lactating mammary glands of jennies; N, nonlactating mammary glands of jennies.
Genes 13 01637 g003
Figure 4. Functional annotation and enrichment analysis for differentially expressed (DE) mRNAs in the mammary glands of the lactating and nonlactating groups. (A) GO annotation results of DE mRNAs. The outermost circle shows the items most significantly enriched among the DE mRNAs. The second circle indicates the number of background DE mRNAs and the levels of Q-values. The third circle, consisting of bar graphs, shows the ratio of upregulated DE mRNAs to downregulated ones associated with each GO term, in which yellow represents the upregulated portion and green indicates the downregulated portion. The innermost (fourth) circle indicates the rich factor value for each GO term (the number of DE mRNAs versus the number of non-DE mRNAs associated with the GO term). Each gridline represents 0.1. (B) Top 20 significant pathways of KEGG enrichment analysis of DE mRNAs. The ordinate is the pathway, and the abscissa is the enrichment factor.
Figure 4. Functional annotation and enrichment analysis for differentially expressed (DE) mRNAs in the mammary glands of the lactating and nonlactating groups. (A) GO annotation results of DE mRNAs. The outermost circle shows the items most significantly enriched among the DE mRNAs. The second circle indicates the number of background DE mRNAs and the levels of Q-values. The third circle, consisting of bar graphs, shows the ratio of upregulated DE mRNAs to downregulated ones associated with each GO term, in which yellow represents the upregulated portion and green indicates the downregulated portion. The innermost (fourth) circle indicates the rich factor value for each GO term (the number of DE mRNAs versus the number of non-DE mRNAs associated with the GO term). Each gridline represents 0.1. (B) Top 20 significant pathways of KEGG enrichment analysis of DE mRNAs. The ordinate is the pathway, and the abscissa is the enrichment factor.
Genes 13 01637 g004
Figure 5. Functional annotation and enrichment analysis for DE miRNA target mRNAs in jenny mammary gland between the lactating and nonlactating groups. (A) GO annotation results of differentially expressed (DE) miRNA target mRNAs. The abscissa is the second-level GO term, and the ordinate is the number of DE miRNA target mRNAs in the term. (B) Top 20 significant pathways of KEGG enrichment analysis of DE miRNA target mRNAs. The ordinate is the pathway, and the abscissa is the enrichment factor.
Figure 5. Functional annotation and enrichment analysis for DE miRNA target mRNAs in jenny mammary gland between the lactating and nonlactating groups. (A) GO annotation results of differentially expressed (DE) miRNA target mRNAs. The abscissa is the second-level GO term, and the ordinate is the number of DE miRNA target mRNAs in the term. (B) Top 20 significant pathways of KEGG enrichment analysis of DE miRNA target mRNAs. The ordinate is the pathway, and the abscissa is the enrichment factor.
Genes 13 01637 g005
Figure 6. Integrated miRNA-target negative correlation regulatory network. The differentially expressed miRNAs are displayed as red triangles, and the target mRNAs are shown as blue circles. The sizes of blue circles indicate the fold changes in the lactating period compared to the nonlactating period.
Figure 6. Integrated miRNA-target negative correlation regulatory network. The differentially expressed miRNAs are displayed as red triangles, and the target mRNAs are shown as blue circles. The sizes of blue circles indicate the fold changes in the lactating period compared to the nonlactating period.
Genes 13 01637 g006
Figure 7. Verification of DE mRNAs and DE miRNAs by qRT-PCR. (A) qRT-PCR analysis of nine randomly selected mRNAs. Data represent the means ± SD. (B) qRT-PCR analysis of nine randomly selected miRNAs. Data represent the means ± SD. (C) Comparison of mRNA expression in terms of Log2 (fold change) as assessed by mRNA sequencing and qRT-PCR. (D) Comparison of miRNA expression in terms of the Log2 (fold change) as assessed by miRNA sequencing and qRT-PCR. L, lactating mammary glands of jennies; N, nonlactating mammary glands of jennies. * p < 0.05; ** p < 0.01; *** p < 0.001.
Figure 7. Verification of DE mRNAs and DE miRNAs by qRT-PCR. (A) qRT-PCR analysis of nine randomly selected mRNAs. Data represent the means ± SD. (B) qRT-PCR analysis of nine randomly selected miRNAs. Data represent the means ± SD. (C) Comparison of mRNA expression in terms of Log2 (fold change) as assessed by mRNA sequencing and qRT-PCR. (D) Comparison of miRNA expression in terms of the Log2 (fold change) as assessed by miRNA sequencing and qRT-PCR. L, lactating mammary glands of jennies; N, nonlactating mammary glands of jennies. * p < 0.05; ** p < 0.01; *** p < 0.001.
Genes 13 01637 g007
Table 1. Overview of the reads and quality control of the mRNA sequencing libraries from jenny mammary glands.
Table 1. Overview of the reads and quality control of the mRNA sequencing libraries from jenny mammary glands.
SampleRaw ReadsClean ReadsClean Reads RatioGC (%)Q20 (%)Mapped Reads (%)Unique Reads (%)
L152,449,62851,868,32098.8949.8697.7689.67 86.80
L239,737,12439,285,11898.8649.7297.9590.37 87.46
L342,857,29642,258,60498.6050.1298.0590.04 87.10
N140,434,89639,953,50298.8149.0098.0591.73 89.58
N249,086,80448,434,36098.6749.0698.0591.41 89.22
N343,879,15243,217,91898.4949.6798.0291.39 89.07
Table 2. Overview of the reads and quality control of the miRNA sequencing libraries from jenny mammary glands.
Table 2. Overview of the reads and quality control of the miRNA sequencing libraries from jenny mammary glands.
SampleRaw ReadsClean ReadsClean Reads RatioMapped ReadsMapped Reads RatioKnown miRNANovel miRNA
L114,446,33314,222,91799.458,919,63962.71710153
L212,710,96312,510,34599.407,907,07063.20720158
L312,474,76512,322,10999.487,935,03964.40718155
N113,844,47513,694,49099.699,895,21472.26702126
N211,290,13311,161,27999.688,136,51372.90682101
N313,671,23013,486,89699.689,922,82873.57697126
Publisher’s Note: MDPI stays neutral with regard to jurisdictional claims in published maps and institutional affiliations.

Share and Cite

MDPI and ACS Style

Fei, Y.; Gai, Y.; Liao, Q.; Zhang, L.; Li, Z.; Li, B.; Bai, M.; Li, N.; Deng, L. An Integrated Analysis of Lactation-Related miRNA and mRNA Expression Profiles in Donkey Mammary Glands. Genes 2022, 13, 1637. https://doi.org/10.3390/genes13091637

AMA Style

Fei Y, Gai Y, Liao Q, Zhang L, Li Z, Li B, Bai M, Li N, Deng L. An Integrated Analysis of Lactation-Related miRNA and mRNA Expression Profiles in Donkey Mammary Glands. Genes. 2022; 13(9):1637. https://doi.org/10.3390/genes13091637

Chicago/Turabian Style

Fei, Yaqi, Yedan Gai, Qingchao Liao, Linxi Zhang, Zheng Li, Bojiang Li, Man Bai, Na Li, and Liang Deng. 2022. "An Integrated Analysis of Lactation-Related miRNA and mRNA Expression Profiles in Donkey Mammary Glands" Genes 13, no. 9: 1637. https://doi.org/10.3390/genes13091637

APA Style

Fei, Y., Gai, Y., Liao, Q., Zhang, L., Li, Z., Li, B., Bai, M., Li, N., & Deng, L. (2022). An Integrated Analysis of Lactation-Related miRNA and mRNA Expression Profiles in Donkey Mammary Glands. Genes, 13(9), 1637. https://doi.org/10.3390/genes13091637

Note that from the first issue of 2016, this journal uses article numbers instead of page numbers. See further details here.

Article Metrics

Back to TopTop