Peripheral Anomalies in USH2A Cause Central Auditory Anomalies in a Mouse Model of Usher Syndrome and CAPD
Abstract
1. Introduction
2. Materials and Methods
2.1. Subject Generation
2.2. Behavioral Testing
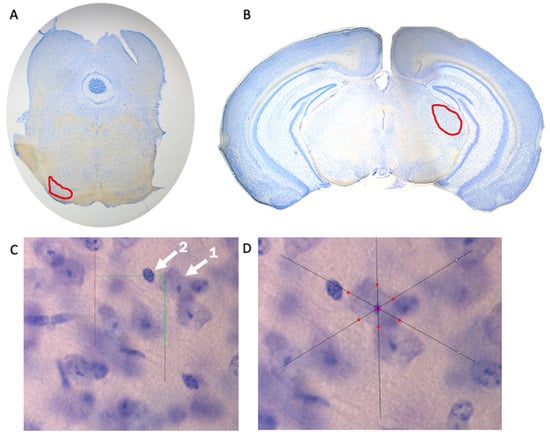
2.3. Histology
2.4. Stereological Measurements
2.5. Statistical Analysis
2.6. Ethics
3. Results
3.1. SOC Volumetric Analysis
3.2. MGN Volumetric Analysis
3.3. SOC Cellular Analysis
3.4. MGN Cellular Analysis
4. Discussion
Neuroanatomical Differences between HT and KO Subjects
5. Conclusions
Author Contributions
Funding
Institutional Review Board Statement
Informed Consent Statement
Data Availability Statement
Acknowledgments
Conflicts of Interest
References
- American Speech-Language-Hearing Association. (Central) Auditory Processing Disorders; American Speech-Language-Hearing Association: Rockville, MD, USA, 2005. [Google Scholar]
- Heine, C.; O’Halloran, R. Central Auditory Processing Disorder: A systematic search and evaluation of clinical practice guidelines. J. Eval. Clin. Pr. 2015, 21, 988–994. [Google Scholar] [CrossRef] [PubMed]
- Moore, D.R.; Rosen, S.; Bamiou, D.-E.; Campbell, N.G.; Sirimanna, T. Evolving concepts of developmental auditory processing disorder (APD): A British Society of Audiology APD special interest group ‘white paper’. Int. J. Audiol. 2013, 52, 3–13. [Google Scholar] [CrossRef] [PubMed]
- British Society of Audiology. Position Statement on Auditory Processing Disorder. 2011. Available online: https://www.thebsa.org.uk/wp-content/uploads/2011/04/OD104-39-Position-Statement-APD-2011-1.pdf (accessed on 14 April 2020).
- Dawes, P.; Bishop, D. Auditory processing disorder in relation to developmental disorders of language, communication and attention: A review and critique. Int. J. Lang. Commun. Disord. 2009, 44, 440–465. [Google Scholar] [CrossRef] [PubMed]
- American Academy of Audiology. American Academy of Audiology Clinical Practice Guidelines. Guidelines for the Diagnosis, Treatment and Management of Children and Adults with Central Auditory Processing Disorder. 2010. Available online: https://audiology-web.s3.amazonaws.com/migrated/CAPD%20Guidelines%208-2010.pdf_539952af956c79.73897613.pdf (accessed on 16 April 2020).
- Canadian Intreorganizational Steering Group for Speech-language Pathology and Audiology. The Canadian Guidelines on Auditory Processing Disorder in Children and Adults: Assessment and Intervention. 2012. Available online: https://www.acslpa.ca/wp-content/uploads/2019/05/Canadian-Guidelines-on-Auditory-Processing-Disorder-in-Children-and-Adults-English-Final-2012-V-2.pdf (accessed on 16 April 2020).
- Dawes, P.; Bishop, D.V. Psychometric profile of children with auditory processing disorder and children with dyslexia. Arch. Dis. Child. 2010, 95, 432–436. [Google Scholar] [CrossRef]
- Cook, J.R.; Mausbach, T.; Burd, L.; Gascon, G.G.; Slotnick, H.B.; Patterson, B.; Johnson, R.D.; Hankey, B.; Reynolds, B.W. A preliminary study of the relationship between central auditory processing disorder and attention deficit disorder. J. Psychiatry Neurosci. 1993, 18, 130. [Google Scholar]
- Gascon, G.G.; Johnson, R.; Burd, L. Central auditory processing and attention deficit disorders. J. Child Neurol. 1986, 1, 27–33. [Google Scholar] [CrossRef]
- Witton, C. Childhood auditory processing disorder as a developmental disorder: The case for a multi-professional approach to diagnosis and management. Int. J. Audiol. 2010, 49, 83–87. [Google Scholar] [CrossRef]
- Brewer, C.C.; Zalewski, C.K.; King, K.A.; Zobay, O.; Riley, A.; Ferguson, M.A.; Bird, J.E.; McCabe, M.M.; Hood, L.J.; Drayna, D.; et al. Heritability of non-speech auditory processing skills. Eur. J. Hum. Genet. 2016, 24, 1137–1144. [Google Scholar] [CrossRef]
- Eudy, J.D.; Weston, M.D.; Yao, S.; Hoover, D.M.; Rehm, H.L.; Ma-Edmonds, M.; Yan, D.; Ahmad, I.; Cheng, J.J.; Ayuso, C.; et al. Mutation of a gene encoding a protein with extracellular matrix motifs in Usher syndrome type IIa. Science 1998, 280, 1753–1757. [Google Scholar] [CrossRef]
- Boughman, J.A.; Vernon, M.; Shaver, K.A. Usher syndrome: Definition and estimate of prevalence from two high-risk populations. J. Chronic. Dis. 1983, 36, 595–603. [Google Scholar] [CrossRef]
- Keats, B.J.; Corey, D.P. The usher syndromes. Am. J. Med. Genet. 1999, 89, 158–166. [Google Scholar] [CrossRef]
- Weston, M.D.; Luijendijk, M.W.J.; Humphrey, K.D.; Möller, C.; Kimberling, W.J. Mutations in the VLGR1 gene implicate G-protein signaling in the pathogenesis of Usher syndrome type II. Am. J. Hum. Genet. 2004, 74, 357–366. [Google Scholar] [CrossRef] [PubMed]
- Ebermann, I.; Scholl, H.P.N.; Charbel Issa, P.; Becirovic, E.; Lamprecht, J.; Jurklies, B.; Millán, J.M.; Aller, E.; Mitter, D.; Bolz, H. A novel gene for Usher syndrome type 2: Mutations in the long isoform of whirlin are associated with retinitis pigmentosa and sensorineural hearing loss. Hum. Genet. 2007, 121, 203–211. [Google Scholar] [CrossRef] [PubMed]
- Pearsall, N.; Bhattacharya, G.; Wisecarver, J.; Adams, J.; Cosgrove, D.; Kimberling, W. Usherin expression is highly conserved in mouse and human tissues. Hear Res. 2002, 174, 55–63. [Google Scholar] [CrossRef]
- Liu, X.; Bulgakov, O.V.; Darrow, K.N.; Pawlyk, B.; Adamian, M.; Liberman, M.C.; Li, T. Usherin is required for maintenance of retinal photoreceptors and normal development of cochlear hair cells. Proc. Natl. Acad. Sci. USA 2007, 104, 4413–4418. [Google Scholar] [CrossRef] [PubMed]
- De Haas, E.B.H.; Van Lith, G.H.M.; Rijnders, J.; Rümke, A.M.L.; Volmer, C.H. Usher’s syndrome. Doc. Ophthalmol. 1970, 28, 166–190. [Google Scholar] [CrossRef]
- Kloepfer, H.W.; Laguaite, J.K.; Mclaurin, J.W. The hereditary snydrome of congenital deafness and retinitis pigmentosa. Laryngoscope 1966, 76, 850–862. [Google Scholar] [CrossRef]
- Sondheimer, S.; Fishman, G.A.; Young, R.S.; Vasquez, V.A. Dark adaptation testing in heterozygotes of Usher’s syndrome. Br. J. Ophthalmol. 1979, 63, 547–550. [Google Scholar] [CrossRef]
- van Aarem, A.; Cremers, C.W.; Pinckers, A.J.; Huygen, P.L.; Hombergen, G.C.; Kimberling, B.J. The Usher syndrome type 2A: Clinical findings in obligate carriers. Int. J. Pediatr. Otorhinolaryngol. 1995, 31, 159–174. [Google Scholar] [CrossRef]
- Perrino, P.A.; Talbot, L.; Kirkland, R.; Hill, A.; Rendall, A.R.; Mountford, H.S.; Taylor, J.; Buscarello, A.N.; Lahiri, N.; Saggar, A.; et al. Multi-level evidence of an allelic hierarchy of USH2A variants in hearing, auditory processing and speech/language outcomes. Commun. Biol. 2020, 3, 1–14. [Google Scholar] [CrossRef]
- Walter, K.; Min, J.L.; Huang, J.; Crooks, L.; Memari, Y.; McCarthy, S.; Perry, J.R.B.; Xu, C.; Futema, M.; Lawson, D.; et al. The UK10K project identifies rare variants in health and disease. Nature 2015, 526, 82–90. [Google Scholar] [CrossRef] [PubMed]
- Fitch, R.H.; Threlkeld, S.W.; McClure, M.M.; Peiffer, A.M. Use of a modified prepulse inhibition paradigm to assess complex auditory discrimination in rodents. Brain Res. Bull. 2008, 76, 1–7. [Google Scholar] [CrossRef] [PubMed]
- Paxinos, G.; Franklin, K.B.J. Paxinos and Franklin’s the Mouse Brain in Stereotaxic Coordinates; Academic Press: Cambridge, MA, USA, 2019; ISBN 978-0-12-816158-6. [Google Scholar]
- Fox, J.; Weisberg, S. An R Companion to Applied Regression, 3rd ed.; Sage: Newcastle upon Tyne, UK, 2019. [Google Scholar]
- R Core Team. R: A Language and Environment for Statistical Computing; R Foundationfor Statistical Computing: Vienna, Austria, 2013. [Google Scholar]
- Council, N.R. Guide for the Care and Use of Laboratory Animals, 8th ed.; National Academies Press: Washington, DC, USA, 2010; ISBN 978-0-309-15400-0. [Google Scholar]
- du Sert, N.P.; Hurst, V.; Ahluwalia, A.; Alam, S.; Avey, M.T.; Baker, M.; Browne, W.J.; Clark, A.; Cuthill, I.C.; Dirnagl, U.; et al. The ARRIVE guidelines 2.0: Updated guidelines for reporting animal research. PLoS Biol. 2020, 18, e3000410. [Google Scholar] [CrossRef] [PubMed]
- Pannese, A.; Grandjean, D.; Frühholz, S. Subcortical processing in auditory communication. Hear Res. 2015, 328, 67–77. [Google Scholar] [CrossRef] [PubMed]
- Jenkins, W.M.; Masterton, R.B. Sound localization: Effects of unilateral lesions in central auditory system. J. Neurophysiol. 1982, 47, 987–1016. [Google Scholar] [CrossRef]
- Masterton, B.; Diamond, I.T.; Harrison, J.M.; Beecher, M.D. Medial Superior Olive and Sound Localization. Science 1967, 155, 1696–1697. [Google Scholar] [CrossRef][Green Version]
- Moore, J.K. Organization of the human superior olivary complex. Microsc. Res. Tech. 2000, 51, 403–412. [Google Scholar] [CrossRef]
- Kitzes, L.M.; Semple, M.N. Single-unit responses in the inferior colliculus: Effects of neonatal unilateral cochlear ablation. J. Neurophysiol. 1985, 53, 1483–1500. [Google Scholar] [CrossRef]
- Kral, A.; Hartmann, R.; Tillein, J.; Heid, S.; Klinke, R. Congenital auditory deprivation reduces synaptic activity within the auditory cortex in a layer-specific manner. Cereb. Cortex 2000, 10, 714–726. [Google Scholar] [CrossRef]
- Moore, D.R.; Russell, F.A.; Cathcart, N.C. Lateral superior olive projections to the inferior colliculus in normal and unilaterally deafened ferrets. J. Comp. Neurol. 1995, 357, 204–216. [Google Scholar] [CrossRef]
- de Villers-Sidani, E.; Merzenich, M.M. Lifelong plasticity in the rat auditory cortex: Basic mechanisms and role of sensory experience. Prog. Brain Res. 2011, 191, 119–131. [Google Scholar] [CrossRef] [PubMed]
- Kilgard, M.P.; Pandya, P.K.; Vazquez, J.; Gehi, A.; Schreiner, C.E.; Merzenich, M.M. Sensory input directs spatial and temporal plasticity in primary auditory cortex. J. Neurophysiol. 2001, 86, 326–338. [Google Scholar] [CrossRef] [PubMed]
- Shrestha, B.R.; Chia, C.; Wu, L.; Kujawa, S.G.; Liberman, M.C.; Goodrich, L.V. Sensory Neuron Diversity in the Inner Ear Is Shaped by Activity. Cell 2018, 174, 1229–1246.e17. [Google Scholar] [CrossRef] [PubMed]
- Galaburda, A.M.; Menard, M.T.; Rosen, G.D. Evidence for aberrant auditory anatomy in developmental dyslexia. Proc. Natl. Acad. Sci. USA 1994, 91, 8010–8013. [Google Scholar] [CrossRef] [PubMed]
- Herman, A.E.; Galaburda, A.M.; Fitch, R.H.; Carter, A.R.; Rosen, G.D. Cerebral microgyria, thalamic cell size and auditory temporal processing in male and female rats. Cereb. Cortex 1997, 7, 453–464. [Google Scholar] [CrossRef][Green Version]
- Rosen, G.D.; Herman, A.E.; Galaburda, A.M. Sex Differences in the Effects of Early Neocortical Injury on Neuronal Size Distribution of the Medial Geniculate Nucleus in the Rat Are Mediated by Perinatal Gonadal Steroids. Cereb. Cortex 1999, 9, 27–34. [Google Scholar] [CrossRef][Green Version]
- Szalkowski, C.E.; Booker, A.B.; Truong, D.T.; Threlkeld, S.W.; Rosen, G.D.; Fitch, R.H. Knockdown of the Candidate Dyslexia Susceptibility Gene Homolog Dyx1c1 in Rodents: Effects on Auditory Processing, Visual Attention, and Cortical and Thalamic Anatomy. Dev. Neurosci. 2013, 35, 50–68. [Google Scholar] [CrossRef]
- Cohen-Mimran, R.; Sapir, S. Auditory temporal processing deficits in children with reading disabilities. Dyslexia 2007, 13, 175–192. [Google Scholar] [CrossRef]
- Fitch, R.H.; Tallal, P. Neural Mechanisms of Language-Based Learning Impairments: Insights from Human Populations and Animal Models. Behav. Cogn. Neurosci. Rev. 2003, 2, 155–178. [Google Scholar] [CrossRef]
- Vandermosten, M.; Boets, B.; Luts, H.; Poelmans, H.; Wouters, J.; Ghesquière, P. Impairments in speech and nonspeech sound categorization in children with dyslexia are driven by temporal processing difficulties. Res. Dev. Disabil. 2011, 32, 593–603. [Google Scholar] [CrossRef]
- Benasich, A.A.; Thomas, J.J.; Choudhury, N.; Leppänen, P.H.T. The importance of rapid auditory processing abilities to early language development: Evidence from converging methodologies. Dev. Psychobiol. 2002, 40, 278–292. [Google Scholar] [CrossRef] [PubMed]
- Tsatsanis, K.D.; Rourke, B.P.; Klin, A.; Volkmar, F.R.; Cicchetti, D.; Schultz, R.T. Reduced thalamic volume in high-functioning individuals with autism. Biol. Psychiatry 2003, 53, 121–129. [Google Scholar] [CrossRef]
- Müller, R.-A.; Chugani, D.C.; Behen, M.E.; Rothermel, R.D.; Muzik, O.; Chakraborty, P.K.; Chugani, H.T. Impairment of dentato-thalamo-cortical pathway in autistic men: Language activation data from positron emission tomography. Neurosci. Lett. 1998, 245, 1–4. [Google Scholar] [CrossRef]
- Truong, D.T.; Rendall, A.R.; Castelluccio, B.C.; Eigsti, I.-M.; Fitch, R.H. Auditory processing and morphological anomalies in medial geniculate nucleus of Cntnap2 mutant mice. Behav. Neurosci. 2015, 129, 731–743. [Google Scholar] [CrossRef] [PubMed]
- Levy, S.E.; Giarelli, E.; Lee, L.-C.; Schieve, L.A.; Kirby, R.S.; Cunniff, C.; Nicholas, J.; Reaven, J.; Rice, C.E. Autism spectrum disorder and co-occurring developmental, psychiatric, and medical conditions among children in multiple populations of the United States. J. Dev. Behav. Pediatr. 2010, 31, 267–275. [Google Scholar] [CrossRef] [PubMed]
- Chi, J.G.; Dooling, E.C.; Gilles, F.H. Left-right asymmetries of the temporal speech areas of the human fetus. Arch Neurol. 1977, 34, 346–348. [Google Scholar] [CrossRef]
- Szaflarski, J.P.; Rajagopal, A.; Altaye, M.; Byars, A.W.; Jacola, L.; Schmithorst, V.J.; Schapiro, M.B.; Plante, E.; Holland, S.K. Left-Handedness and Language Lateralization in Children. Brain Res. 2012, 1433C, 85–97. [Google Scholar] [CrossRef]
- Sininger, Y.S.; Bhatara, A. Laterality of Basic Auditory Perception. Laterality 2012, 17, 129–149. [Google Scholar] [CrossRef]
- Levy, R.B.; Marquarding, T.; Reid, A.P.; Pun, C.M.; Renier, N.; Oviedo, H.V. Circuit asymmetries underlie functional lateralization in the mouse auditory cortex. Nat. Commun. 2019, 10, 2783. [Google Scholar] [CrossRef]



Publisher’s Note: MDPI stays neutral with regard to jurisdictional claims in published maps and institutional affiliations. |
© 2021 by the authors. Licensee MDPI, Basel, Switzerland. This article is an open access article distributed under the terms and conditions of the Creative Commons Attribution (CC BY) license (http://creativecommons.org/licenses/by/4.0/).
Share and Cite
Perrino, P.A.; Newbury, D.F.; Fitch, R.H. Peripheral Anomalies in USH2A Cause Central Auditory Anomalies in a Mouse Model of Usher Syndrome and CAPD. Genes 2021, 12, 151. https://doi.org/10.3390/genes12020151
Perrino PA, Newbury DF, Fitch RH. Peripheral Anomalies in USH2A Cause Central Auditory Anomalies in a Mouse Model of Usher Syndrome and CAPD. Genes. 2021; 12(2):151. https://doi.org/10.3390/genes12020151
Chicago/Turabian StylePerrino, Peter A., Dianne F. Newbury, and R. Holly Fitch. 2021. "Peripheral Anomalies in USH2A Cause Central Auditory Anomalies in a Mouse Model of Usher Syndrome and CAPD" Genes 12, no. 2: 151. https://doi.org/10.3390/genes12020151
APA StylePerrino, P. A., Newbury, D. F., & Fitch, R. H. (2021). Peripheral Anomalies in USH2A Cause Central Auditory Anomalies in a Mouse Model of Usher Syndrome and CAPD. Genes, 12(2), 151. https://doi.org/10.3390/genes12020151

