An RGD-Containing Peptide Derived from Wild Silkworm Silk Fibroin Promotes Cell Adhesion and Spreading
Abstract
1. Introduction
2. Materials and Methods
2.1. Protein Expression
2.2. Protein Purification
2.3. Determination of Expression Yield
2.4. Cleavage of Fusion Proteins
2.5. Molecular Weight Determination
2.6. Charge Assay
2.7. Circular Dichroism (CD) Assay
2.8. Preparation of (–RGD–)n-Modified Mulberry Silk Fibroin Films
2.9. Cell Adhesion Assay
2.10. Cell Viability Evaluation
3. Results
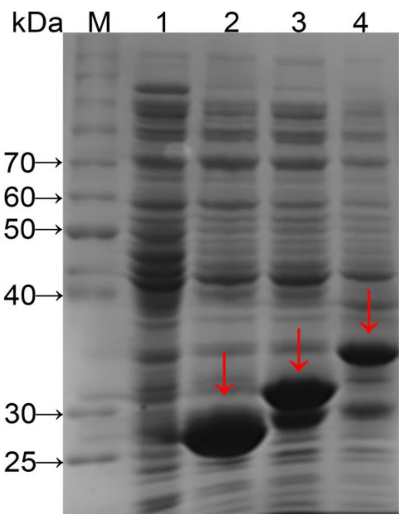
3.1. SDS-Page Analysis of Total Protein from E. coli BL21 Cells
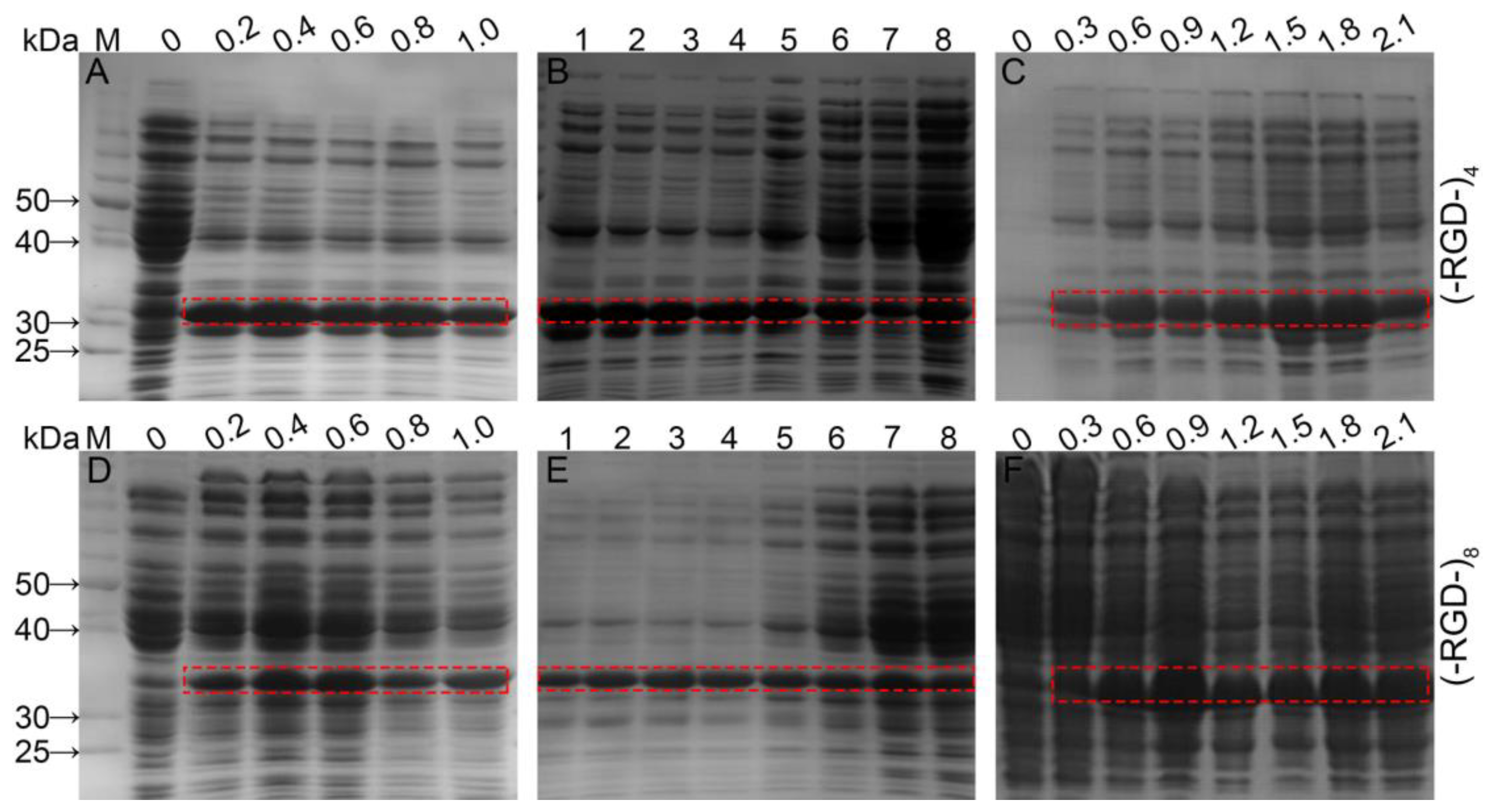
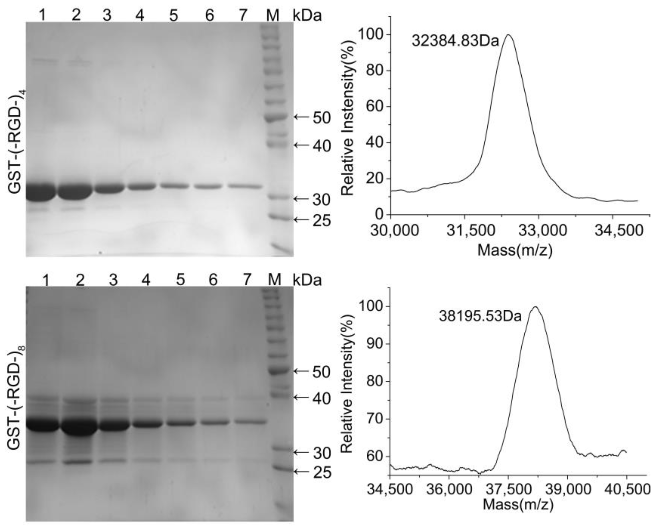
3.2. SDS-PAGE and MS Analysis of Purified Fusion Proteins
3.3. SDS-PAGE and MS Analysis of Released Peptides
3.4. CD Analysis of Released Peptides
3.5. Charge Analysis of Released Peptides
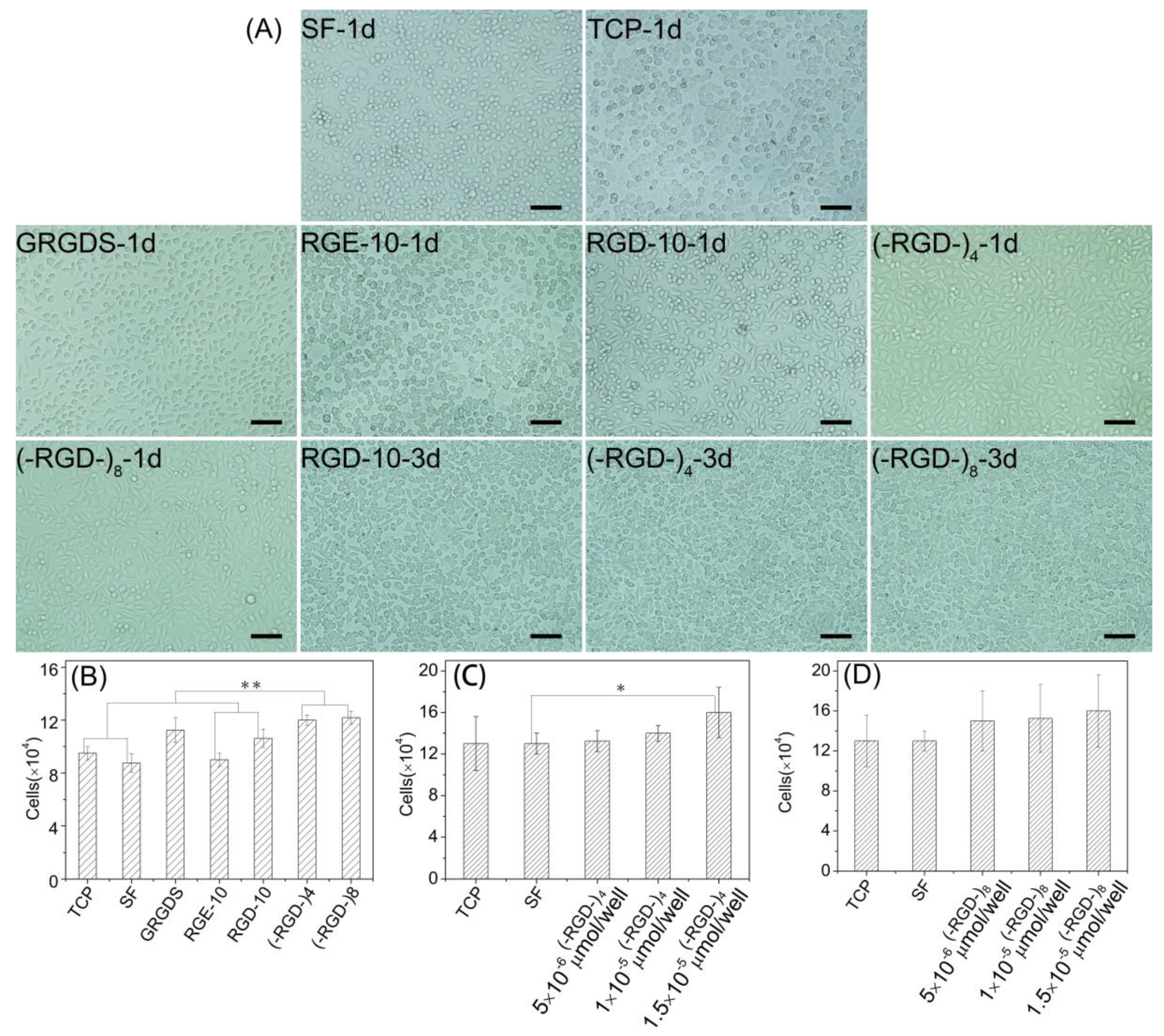
3.6. Cell Adhesion and Proliferation
4. Discussion
5. Conclusions
Author Contributions
Funding
Acknowledgments
Conflicts of Interest
Abbreviations
| Amino Acids | |
| G | Gly |
| S | Ser |
| A | Ala |
| R | Arg |
| D | Asp |
| Y | Tyr |
References
- Tu, F.F.; Liu, Y.F.; Li, H.L.; Shi, P.G.; Hao, Y.X.; Wu, Y.; Yi, H.G.; Yin, Y.; Wang, J.N. Vascular cell co-culture on silk fibroin matrix. Polymers 2018, 10, 39. [Google Scholar] [CrossRef]
- Wang, Q.Y.; Tu, F.F.; Liu, Y.F.; Zhang, Y.J.; Li, H.L.; Kang, Z.; Yin, Y.; Wang, J.N. The effect of hirudin modification of silk fibroin on cell growth and antithrombogenicity. Mater. Sci. Eng. C 2017, 75, 237–246. [Google Scholar] [CrossRef] [PubMed]
- Sun, D.; Hao, Y.X.; Yang, G.Q.; Wang, J.N. Hemocompatibility and cytocompatibility of the hirudin-modified silk fibroin. Biomed. Mater. Res. Part B 2015, 103, 556–562. [Google Scholar] [CrossRef] [PubMed]
- Wang, J.N.; Wei, Y.L.; Yi, H.G.; Liu, Z.W.; Sun, D.; Zhao, H.R. Cytocompatibility of a silk fibroin tubular scaffold. Mater. Sci. Eng. C 2014, 34, 429–436. [Google Scholar] [CrossRef] [PubMed]
- Liu, Y.F.; Tu, F.F.; Li, H.L.; Shi, P.G.; Yin, Y.; Dong, F.L.; Wang, J.N. Cytocompatibility of a silk fibroin tubular scaffold. Mater. Technol. Adv. Perform. Mater. 2018, 33, 227–234. [Google Scholar]
- Gil, E.S.; Panilaitis, B.; Bellas, E.; Kaplan, D.L. Functionalized silk biomaterials for wound healing. Adv. Healthc. Mater. 2013, 2, 206–217. [Google Scholar] [CrossRef] [PubMed]
- Singh, Y.P.; Bhardwaj, N.; Mandal, B.B. Potential of agarose/silk fibroin blended hydrogel for in vitro cartilage tissue engineering. ACS Appl. Mater. Interfaces 2016, 8, 21236–21249. [Google Scholar] [CrossRef] [PubMed]
- Hwang, J.S.; Lee, J.S.; Goo, T.W.; Yun, E.Y.; Lee, K.S.; Kim, Y.S.; Jin, B.R.; Lee, S.M.; Kim, K.Y.; Kang, S.W.; et al. Cloning of the fibroin gene from the oak silkworm, Antheraea yamamai and its complete sequence. Biotechnol. Lett. 2001, 23, 1321–1326. [Google Scholar] [CrossRef]
- Sezutsu, H.; Yukuhiro, K. Dynamic rearrangement within the Antheraea pernyi silk fibroin gene is associated with four types of repetitive units. J. Mol. Evol. 2000, 51, 329–338. [Google Scholar] [CrossRef] [PubMed]
- Datta, A.; Ghosh, A.K.; Kundu, S.C. Differential expression of the fibroin gene in developmental stages of silkworm, Antheraea mylitta (Saturniidae). Comp. Biochem. Phys. B 2001, 129, 197–204. [Google Scholar] [CrossRef]
- Gupta, P.; Kumar, M.; Bhardwaj, N.; Kumar, J.P.; Krishnamurthy, C.S.; Nandi, S.K.; Mandal, B.B. Mimicking form and function of native small diameter vascular conduits using mulberry and non-mulberry patterned silk films. ACS Appl. Mater. Interfaces 2016, 8, 15874–15888. [Google Scholar] [CrossRef] [PubMed]
- Konwarh, R.; Bhunia, B.K.; Mandal, B.B. Opportunities and challenges in exploring Indian nonmulberry silk for biomedical applications. Proc. Indian Natl. Sci. Acad. 2017, 83, 85–101. [Google Scholar]
- Zhou, C.Z.; Confalonieri, F.; Jacquet, M.; Perasso, R.; Li, Z.G.; Janin, J. Silk fibroin: Structural implications of a remarkable amino acid sequence. Proteins 2001, 44, 119–122. [Google Scholar] [CrossRef] [PubMed]
- Ruoslahti, E.; Pierschbacher, M.D. New perspectives in cell adhesion: RGD and integrins. Science 1987, 238, 491–497. [Google Scholar] [CrossRef] [PubMed]
- Wang, J.N.; Yi, H.G.; Wei, Y.Q. Preliminary biocompatibility evaluation of regenerated Antheraea yamamai silk fibroin in vito. Wuhan Univ. Technol. Mater. Sci. Ed. 2011, 26, 1044–1048. [Google Scholar] [CrossRef]
- Mandal, B.B.; Kundu, S.C. Osteogenic and adipogenic differentiation of rat bone marrow cells on non-mulberry and mulberry silk gland fibroin 3D scaffolds. Biomaterials 2009, 30, 5019–5030. [Google Scholar] [CrossRef] [PubMed]
- Chouhan, D.; Janani, G.; Chakraborty, B.; Nandi, S.K.; Mandal, B.B. Functionalized PVA–silk blended nanofibrous mats promote diabetic wound healing via regulation of extracellular matrix and tissue remodeling. J. Tissue Eng. Regen. Med. 2018, 12, 1559–1570. [Google Scholar] [CrossRef] [PubMed]
- Wang, J.N.; Yan, S.Q.; Lu, C.D.; Bai, L. Biosynthesis and characterization of typical fibroin crystalline polypeptides of silkworm bombyx mori. Mater. Sci. Eng. C 2009, 29, 1321–1325. [Google Scholar] [CrossRef]
- Zhao, H.R.; Yang, Y.X.; Yi, H.G.; Yang, G.Q.; Wang, J.N. Biosynthesis of a potentially functional polypeptide derived from silk fibroin. Biomed. Mater. Eng. 2014, 24, 2057–2064. [Google Scholar] [PubMed]
- Yang, G.Q.; Wu, M.Y.; Yi, H.G.; Wang, J.N. Biosynthesis and characterization of a non-repetitive polypeptide derived from silk fibroin heavy chain. Mater. Sci. Eng. C 2016, 59, 278–285. [Google Scholar] [CrossRef] [PubMed]
- Wu, Y.; Kang, Z.; Tian, Z.F.; Wu, M.Y.; Wang, J.N. Biosynthesis and characterization of recombinant silk-like polypeptides derived from the heavy chain of silk fibrion. Polymers 2017, 9, 669. [Google Scholar] [CrossRef]
- Wei, Y.L.; Sun, D.; Yi, H.G.; Wang, J.N. Characterization of a PEG-DE cross-linked tubular silk scaffold. Text. Res. J. 2014, 84, 959–967. [Google Scholar] [CrossRef]
- Pham, T.K.; Yoo, J.; Kim, Y.W. Comparison of Oct-2-enyl and Oct-4-enyl Staples for Their Formation and α-Helix Stabilizing Effects. Bull. Korean Chem. Soc. 2013, 34, 2640–2644. [Google Scholar] [CrossRef]
- Zhang, X.W.; Yan, X.G.; Beltranena, E.; Yu, P.Q. Molecular spectroscopic investigation on fractionation-induced changes on biomacromolecule of co-products from bioethanol processing to explore protein metabolism in ruminants. Spectrochim. Acta Part A 2014, 122, 591–597. [Google Scholar] [CrossRef] [PubMed]
- Hersel, U.; Dahmen, C.; Kessler, H. Biomaterials for stimulated cell adhesion and beyond. Biomaterials 2003, 24, 4385–4415. [Google Scholar] [CrossRef]
- Yang, C.L.; Cheng, K.; Weng, W.J.; Yang, C.Y. Immobilization of RGD peptide on HA coating through a chemical bonding approach. J. Mater. Sci. Mater. Med. 2009, 20, 2349–2352. [Google Scholar] [CrossRef] [PubMed]
- Yan, J.; Chen, F.; Amsden, B.G. Cell sheets prepared via gel–sol transition of calcium RGD–alginate. Acta Biomater. 2016, 30, 277–284. [Google Scholar] [CrossRef] [PubMed]
- Vidal, G.; Blanchi, T.; Mieszawska, A.J.; Calabrese, R.; Rossi, C.; Vigneron, P.; Duval, J.L.; Kaplan, D.L.; Egles, C. Enhanced cellular adhesion on titanium by silk functionalized with titanium binding and RGD peptides. Acta Biomater. 2013, 9, 4935–4943. [Google Scholar] [CrossRef] [PubMed]
- Shin, Y.M.; Jo, S.Y.; Park, J.S.; Gwon, H.J.; Jeong, S.I.; Lim, Y.M. Synergistic Effect of Dual-Functionalized Fibrous Scaffold with BCP and RGD Containing Peptide for Improved Osteogenic Differentiation. Macromol. Biosci. 2014, 14, 1190–1198. [Google Scholar] [CrossRef] [PubMed]
- Grigore, A.; Sarker, B.; Fabry, B.; Boccaccini, A.R.; Detsch, R. Behavior of encapsulated MG-63 cells in RGD and gelatine-modified alginate hydrogels. Tissue Eng. Part A 2014, 20, 2140–2150. [Google Scholar] [CrossRef] [PubMed]
- Lee, K.Y.; Alsberg, E.; Hsiong, S.; Comisar, W.; Linderman, J.; Ziff, R.; Mooney, D. Nanoscale adhesion ligand organization regulates osteoblast proliferation and differentiation. Nano Lett. 2004, 4, 1501–1506. [Google Scholar] [CrossRef] [PubMed]
- Lam, J.; Segura, T. The modulation of MSC integrin expression by RGD presentation. Biomaterials 2013, 34, 3938–3947. [Google Scholar] [CrossRef] [PubMed]
- Katsamakas, S.; Chatzisideri, T.; Thysiadis, S.; Sarli, V. RGD-mediated delivery of small-molecule drugs. Future Med. Chem. 2017, 9, 579–604. [Google Scholar] [CrossRef] [PubMed]
- Sakurai, Y.; Kajimoto, K.; Harashima, H. Anti-angiogenic nanotherapy via active targeting systems to tumors and adipose tissue vasculature. Biomater. Sci. 2015, 3, 1253–1265. [Google Scholar] [CrossRef] [PubMed]
- Ma, L.; Wang, C.; He, Z.; Cheng, B.; Zheng, L.; Huang, K. Peptide-Drug conjugate: A novel drug design approach. Curr. Med. Chem. 2017, 24, 3373–3396. [Google Scholar] [CrossRef] [PubMed]
- Amschler, K.; Erpenbeck, L.; Kruss, S.; Schön, M.P. Nanoscale integrin ligand patterns determine melanoma cell behavior. ACS Nano 2014, 8, 9113–9125. [Google Scholar] [CrossRef] [PubMed]
- Pierschbacher, M.D.; Ruoslahti, E. Cell attachment activity of fibronectin can be duplicated by small synthetic fragments of the molecule. Nature 1984, 309, 30–33. [Google Scholar] [CrossRef] [PubMed]
- Terranova, V.P.; Liotta, L.A.; Russo, R.G.; Martin, G.R. Role of laminin in the attachment and metastasis of murine tumor cells. Cancer Res. 1982, 42, 2265–2269. [Google Scholar] [PubMed]
- Couchman, J.R.; Höök, M.; Rees, D.A.; Timpl, R. Adhesion, growth, and matrix production by fibroblasts on laminin substrates. J. Cell Biol. 1983, 96, 177–183. [Google Scholar] [CrossRef] [PubMed]









© 2018 by the authors. Licensee MDPI, Basel, Switzerland. This article is an open access article distributed under the terms and conditions of the Creative Commons Attribution (CC BY) license (http://creativecommons.org/licenses/by/4.0/).
Share and Cite
Kang, Z.; Wang, Y.; Xu, J.; Song, G.; Ding, M.; Zhao, H.; Wang, J. An RGD-Containing Peptide Derived from Wild Silkworm Silk Fibroin Promotes Cell Adhesion and Spreading. Polymers 2018, 10, 1193. https://doi.org/10.3390/polym10111193
Kang Z, Wang Y, Xu J, Song G, Ding M, Zhao H, Wang J. An RGD-Containing Peptide Derived from Wild Silkworm Silk Fibroin Promotes Cell Adhesion and Spreading. Polymers. 2018; 10(11):1193. https://doi.org/10.3390/polym10111193
Chicago/Turabian StyleKang, Zhao, Yining Wang, Jingjing Xu, Guangzhou Song, Mengyao Ding, Huanrong Zhao, and Jiannan Wang. 2018. "An RGD-Containing Peptide Derived from Wild Silkworm Silk Fibroin Promotes Cell Adhesion and Spreading" Polymers 10, no. 11: 1193. https://doi.org/10.3390/polym10111193
APA StyleKang, Z., Wang, Y., Xu, J., Song, G., Ding, M., Zhao, H., & Wang, J. (2018). An RGD-Containing Peptide Derived from Wild Silkworm Silk Fibroin Promotes Cell Adhesion and Spreading. Polymers, 10(11), 1193. https://doi.org/10.3390/polym10111193
