Long Term Evaluation of Biodegradation and Biocompatibility In-Vivo the Mg-0.5Ca-xZr Alloys in Rats
Abstract
1. Introduction
2. Materials and Methods
2.1. Experimental Animals and Model
2.2. Surgical Procedure
3. Results and Discussions
3.1. Clinical Results
3.2. Imagistic Results
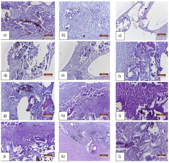
3.3. Histological Results
3.4. Scanning Electron Microscopy Results
4. Conclusions
Author Contributions
Funding
Institutional Review Board Statement
Informed Consent Statement
Conflicts of Interest
References
- Ayers, R.A.; Burger, E.L.; Kleck, C.J.; Patel, V. Metallurgy of Spinal Instrumentation. In Advances in Metallic Biomaterials; Niinomi, M., Narushima, T., Nakai, M., Eds.; Springer: Berlin/Heidelberg, Germany, 2015; Volume 3. [Google Scholar]
- Bostman, O.; Pihlajamaki, H. Routine implant removal after fracture surgery: A potentially reducible consumer of hospital resources in trauma units. J. Trauma 1996, 41, 846–849. [Google Scholar] [CrossRef] [PubMed]
- Brooks, E.K.; Ehrensberg, M.T. Bio-Corrosion of Magnesium Alloys for Orthopaedic Applications. J. Funct. Biomater. 2017, 8, 38. [Google Scholar] [CrossRef] [PubMed]
- Franz, S.; Rammelt, S.; Scharnwebwr, D.; Simon, J.C. Immune responses to implanta—A review of the implications for the design of immunomodulatory biomaterials. Biomaterials 2011, 32, 6692–6709. [Google Scholar] [CrossRef] [PubMed]
- Witte, F.; Kaese, V.; Haferkamp, H.; Switzer, E.; Meyer-Lindenberg, A.; Wirth, C.J.; Windhagen, H. In vivo corrosion of four magnesium alloys and the associated bone response. Biomaterials 2005, 26, 3557–3563. [Google Scholar] [CrossRef] [PubMed]
- Witte, F.; Ulrich, H.; Palm, C.; Willbold, E. Biodegradable magnesium scaffolds: Part II: Peri-implant bone remodeling. J. Biomed. Mater. Res. A 2007, 81, 757–765. [Google Scholar] [CrossRef] [PubMed]
- Castellani, C.; Lindtner, R.A.; Hausbrandt, P.; Tschegg, E.; Stanzl-Tschegg, S.E.; Zanoni, G.; Beck, S.; Weinberg, A.M. Bone-implant interface strength and osseointegration: Biodegradable magnesium alloy versus standard titanium control. Acta Biomater. 2011, 7, 432–440. [Google Scholar] [CrossRef] [PubMed]
- Atrens, A.; Song, G.-L.; Liu, M.; Shi, Z.; Cao, F.; Dargusch, M.S. Review of recent developments in the field of magnesium corrosion. Adv. Eng. Mater. 2015, 17, 400–453. [Google Scholar] [CrossRef]
- Kirkland, N.T. Magnesium biomaterials: Past, present and future. Corros. Eng. Sci. Technol. 2012, 47, 322–328. [Google Scholar] [CrossRef]
- Gu, X.N.; Xie, X.H.; Li, N.; Zheng, Y.F.; Qin, L. In vitro and in vivo studies on a Mg-Sr binary alloy system developed as a new kind of biodegradable metal. Acta Biomater. 2012, 8, 2360–2374. [Google Scholar] [CrossRef]
- Aghion, E.; Levy, G.; Ovadia, S. In vivo behavior of biodegrardable Mg-Nd-Y-Zr-Ca alloy. J. Mater. Sci. Mater. Med. 2012, 2, 805–812. [Google Scholar] [CrossRef]
- Park, R.S.; Kim, Y.K.; Lee, S.J.; Jang, Y.S.; Park, S.; Yun, Y.H.; Bae, T.S.; Lee, M.H. Corrosion behaviour and cytotoxicity of Mg-35Zn-3Ca alloy for surface modified biodegradable implant material. J. Biomed. Mater. Res. B 2012, 100, 911–923. [Google Scholar] [CrossRef] [PubMed]
- Huehnerschulte, T.A.; Reifenrath, J.; von Rechenberg, B.; Dziuba, D.; Seitz, J.M.; Bormann, D.; Windhagen, H.; Meyer-Lindenberg, A. In vivo assessment of the host reactions to the biodegradation of the two novel magnesium alloys ZEK100 and AX30 in an animal model. Biomed. Eng. Online 2012, 11, 14. [Google Scholar] [CrossRef] [PubMed]
- Zhang, E.; Xu, L.; Yu, G.; Pan, F.; Yang, K. In vivo evaluation of biodegradable magnesium alloy bone implant in the first 6 months implantation. J. Biomed. Mater. Res. A 2009, 90, 882–893. [Google Scholar] [CrossRef] [PubMed]
- Wang, H.; Guan, S.; Wang, Y.; Wang, L.; Ren, C.; Zhu, S.; Chen, K. In vivo degradation behavior of Ca-deficient hydroxyapetite coated Mg-Zn-Ca alloy for bone implant application. Colloids Surf. B. Biointerfaces 2011, 8, 254–259. [Google Scholar] [CrossRef]
- Dziuba, D.; Meyer-Lindenberg, A.; Seitz, J.M.; Waizy, H.; Angrisani, N.; Reifenrath, J. Long-term in vivo degradation behaviour and biocompatibility of the magnesium alloy ZEK100 for use as a biodegradable bone implant. Acta Biomater. 2013, 9, 8548–8560. [Google Scholar] [CrossRef]
- Berglund, I.S.; Jacobs, B.Y.; Allen, K.D.; Kim, S.E.; Pozzi, A.; Allen, J.B.; Manuel, M.V. Peri-implant tissue response and biodegradation performance of a Mg–1.0Ca–0.5Sr alloy in rat tibia. Mater. Sci. Eng. 2016, 62, 79–85. [Google Scholar] [CrossRef]
- Istrate, B.; Munteanu, C.; Lupescu, S.; Chelariu, R.; Vlad, M.D.; Vizureanu, P. Electrochemical Analysis and In Vitro Assay of Mg-0.5Ca-xY Biodegradable Alloys. Materials 2020, 13, 3082. [Google Scholar] [CrossRef]
- Kuhlmann, J.; Bartsch, I.; Willbold, E.; Schuchardt, S.; Holz, O.; Hort, N.; Höche, D.; Heineman, W.R.; Witte, F. Fast Escape of Hydrogen from Gas Cavities Around Corroding Magnesium Implants. Acta Biomater. 2013, 9, 8714–8721. [Google Scholar] [CrossRef]
- Makkar, P.; Sarkar, S.K.; Padalhin, A.P.; Moon, B.G.; Lee, Y.S.; Lee, B.T. In vitro and in vivo assessment of biomedical Mg-Ca alloys for bone implant applications. J. Appl. Biomater. Funct. Mater. 2018, 16, 126–136. [Google Scholar] [CrossRef]
- Mushahary, D.; Sravanthi, R.; Li, Y.; Kumar, M.J.; Harishankar, N.; Hodgson, P.D.; Wen, C.; Pande, G. Zirconium, calcium, and strontium contents in magnesium based biodegradable alloys modulate the efficiency of implant-induced osseointegration. Int. J. Nanomed. 2013, 8, 2887–2902. [Google Scholar]
- Chou, D.T.; Hong, D.; Oksuz, S.; Schweizer, R.; Roy, A.; Lee, B.; Shridhar, P.; Gorantla, V.; Kumta, P.N. Corrosion and bone healing of Mg-Y-Zn-Zr-Ca alloy implants: Comparative in vivo study in a non-immobilized rat femoral fracture model. J. Biomater. Appl. 2019, 33, 1178–1194. [Google Scholar] [CrossRef] [PubMed]
- Liu, C.; Ren, Z.; Xu, Y.D.; Pang, S.; Zhao, X.B.; Zhao, Y. Biodegradable Magnesium Alloys Developed as Bone Repair Materials: A Review. Hindawi Scanning 2018, 2018, 9216314. [Google Scholar] [CrossRef] [PubMed]
- Kawamura, N.; Nakao, Y.; Ishikawa, R.; Tsuchida, D.; Iijima, M. Degradation and Biocompatibility of AZ31 Magnesium Alloy Implants In Vitro and In Vivo: A Micro-Computed Tomography Study in Rats. J. Biomater. Appl. 2019, 33, 473. [Google Scholar] [CrossRef] [PubMed]
- Wong, S.S.; Chan, L.C.; Lai, C.P.; Ip, W.Y.; Lu, Y.F. Magnesium-Alloy for Orthopedic Application: Long Term Evaluation on Bone Compatibility and Degradation Under In Vivo Environment. Biomed. J. Sci. Tech. Res. 2019, 16, 1–5. [Google Scholar]
- Sato, T.; Shimizu, Y.; Odashima, K.; Sano, Y.; Yamamoto, A.; Mukai, T.; Ikeo, N.; Takahashi, T.; Kumamoto, H. In vitro and in vivo analysis of the biodegradable behavior of a magnesium alloy for biomedical applications. Dent. Mater J. 2018, 38, 11–21. [Google Scholar] [CrossRef]










| Lumbar Region | The Femoral Region | |||||||||
|---|---|---|---|---|---|---|---|---|---|---|
| Alloys | 24 h | 1 week | 2 week | 4 week | 8 week | 24 h | 1 week | 2 week | 4 week | 8 week |
| Zr1 | + | + | − | − | − | + | + | − | − | − |
| Zr2 | ++ | ++ | ++ | + | − | ++ | ++ | + | + | − |
| Zr3 | ++ | + | − | − | − | + | + | − | − | − |
| Zr4 | ++ | ++ | + | + | − | ++ | + | + | − | − |
| Zr5 | + | + | − | − | − | + | + | − | − | − |
| Alloys | Mg (wt%) | Ca (wt%) | Zr (wt%) | O (wt%) | Ag (wt%) | C (wt%) | N (wt%) |
|---|---|---|---|---|---|---|---|
| Mg alloy after 2 weeks | 10.30 | 16.89 | 44.75 | 28.07 | 0.00 | 0.00 | 0.00 |
| Mg alloy after 4 weeks | 5.19 | 4.74 | 21.76 | 31.05 | 0.96 | 35.27 | 1.05 |
| Mg alloy after 8 weeks | 13.47 | 9.81 | 18.04 | 35.17 | 0.75 | 22.76 | 0.00 |
Publisher’s Note: MDPI stays neutral with regard to jurisdictional claims in published maps and institutional affiliations. |
© 2021 by the authors. Licensee MDPI, Basel, Switzerland. This article is an open access article distributed under the terms and conditions of the Creative Commons Attribution (CC BY) license (http://creativecommons.org/licenses/by/4.0/).
Share and Cite
Sindilar, E.-V.; Munteanu, C.; Pasca, S.A.; Mihai, I.; Henea, M.E.; Istrate, B. Long Term Evaluation of Biodegradation and Biocompatibility In-Vivo the Mg-0.5Ca-xZr Alloys in Rats. Crystals 2021, 11, 54. https://doi.org/10.3390/cryst11010054
Sindilar E-V, Munteanu C, Pasca SA, Mihai I, Henea ME, Istrate B. Long Term Evaluation of Biodegradation and Biocompatibility In-Vivo the Mg-0.5Ca-xZr Alloys in Rats. Crystals. 2021; 11(1):54. https://doi.org/10.3390/cryst11010054
Chicago/Turabian StyleSindilar, Eusebiu-Viorel, Corneliu Munteanu, Sorin Aurelian Pasca, Iuliana Mihai, Madalina Elena Henea, and Bogdan Istrate. 2021. "Long Term Evaluation of Biodegradation and Biocompatibility In-Vivo the Mg-0.5Ca-xZr Alloys in Rats" Crystals 11, no. 1: 54. https://doi.org/10.3390/cryst11010054
APA StyleSindilar, E.-V., Munteanu, C., Pasca, S. A., Mihai, I., Henea, M. E., & Istrate, B. (2021). Long Term Evaluation of Biodegradation and Biocompatibility In-Vivo the Mg-0.5Ca-xZr Alloys in Rats. Crystals, 11(1), 54. https://doi.org/10.3390/cryst11010054

