Monkeypox Diagnosis by Cutaneous and Mucosal Findings
Abstract
:1. Introduction
2. Materials and Methods
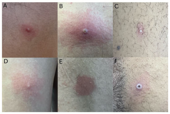
3. Results
4. Discussion
5. Conclusions
Supplementary Materials
Author Contributions
Funding
Institutional Review Board Statement
Informed Consent Statement
Data Availability Statement
Acknowledgments
Conflicts of Interest
References
- Hutin, Y.J.F.; Williams, R.J.; Malfait, P.; Pebody, R.; Loparev, V.N.; Ropp, S.L.; Rodriguez, M.; Knight, J.C.; Tshioko, F.K.; Khan, A.S.; et al. Outbreak of Human Monkeypox, Democratic Republic of Congo, 1996 to 1997. Emerg. Infect. Dis. 2001, 7, 434–438. [Google Scholar] [CrossRef] [PubMed]
- Wilson, M.E.; Hughes, J.M.; McCollum, A.M.; Damon, I.K. Human Monkeypox. Clin. Infect. Dis. Clin. Infect. Dis. 2014, 58, 260–267. Available online: https://pubmed.ncbi.nlm.nih.gov/24158414/ (accessed on 3 June 2022).
- Reed, K.D.; Melski, J.W.; Graham, M.B.; Regnery, R.L.; Sotir, M.J.; Wegner, M.V.; Kazmierczak, J.J.; Stratman, E.J.; Li, Y.; Fairley, J.A.; et al. The detection of Monkeypox in humans in the Western Hemisphere. N. Engl. J. Med. 2004, 350, 342–350. Available online: https://pubmed.ncbi.nlm.nih.gov/14736926/ (accessed on 3 June 2022). [CrossRef]
- Di Giulio, D.B.; Eckburg, P.B. Human Monkeypox: An emerging zoonosis. Lancet Infect. Dis. 2004, 4, 15–25. Available online: https://pubmed.ncbi.nlm.nih.gov/14720564/ (accessed on 3 June 2022). [CrossRef]
- World Health Organization. Multi-Country Outbreak of Monkeypox, External Situation Report #3–10 August 2022. Available online: https://www.who.int/publications/m/item/multi-country-outbreak-of-monkeypox--external-situation-report--3---10-august-2022 (accessed on 11 August 2022).
- World Health Organization. Second Meeting of the International Health Regulations (2005) (IHR) Emergency Committee Regarding the Multi-Country Outbreak of Monkeypox. 2022. Available online: https://www.who.int/news/item/23-07-2022-second-meeting-of-the-international-health-regulations-(2005)-(ihr)-emergency-committee-regarding-the-multi-country-outbreak-of-monkeypox (accessed on 24 July 2022).
- DGS. Infeção Humana por Vírus Monkeypox em Portugal. Available online: https://www.dgs.pt/em-destaque/informacao-semanal-sobre-infecao-humana-por-virus-monkeypox-n-002-pdf.aspx (accessed on 11 August 2022).
- Huhn, G.D.; Bauer, A.M.; Yorita, K.; Graham, M.B.; Sejvar, J.; Likos, A.; Damon, I.K.; Reynolds, M.G.; Kuehnert, M.J. Clinical characteristics of human monkeypox, and risk factors for severe disease. Clin. Infect. Dis. 2005, 41, 1742–1751. Available online: https://pubmed.ncbi.nlm.nih.gov/16288398/ (accessed on 6 June 2022). [CrossRef] [PubMed]
- Thornhill, J.P.; Barkati, S.; Walmsley, S.; Rockstroh, J.; Antinori, A.; Harrison, L.B.; Palich, R.; Nori, A.; Reeves, I.; Habibi, M.S.; et al. Monkeypox Virus Infection in Humans across 16 Countries—April–June 2022. N. Engl. J. Med. 2022, 387, 679–691. Available online: https://pubmed.ncbi.nlm.nih.gov/35866746/ (accessed on 24 July 2022). [CrossRef]
- Adler, H.; Gould, S.; Hine, P.; Snell, L.B.; Wong, W.; Houlihan, C.F.; Osborne, J.C.; Rampling, T.; Beadsworth, M.B.; Duncan, C.J.; et al. Clinical features and management of human monkeypox: A retrospective observational study in the UK. Lancet Infect. Dis. 2022, 22, 1153–1162. Available online: http://www.ncbi.nlm.nih.gov/pubmed/35623380 (accessed on 6 June 2022). [CrossRef]
- Català, A.; Clavo Escribano, P.; Riera, J.; Martín-Ezquerra, G.; Fernandez-Gonzalez, P.; Revelles-Peñas, L.; Simon-Gozalbo, A.; Rodríguez-Cuadrado, F.J.; Castells, V.G.; de la Torre Gomar, F.J.; et al. Monkeypox outbreak in Spain: Clinical and epidemiological findings in a prospective cross-sectional study of 185 cases. Br. J. Dermatol. 2022. online ahead of print. Available online: https://pubmed.ncbi.nlm.nih.gov/35917191/ (accessed on 10 August 2022). [CrossRef] [PubMed]
- de Sousa, D.; Patrocínio, J.; Frade, J.; Correia, C.; Borges-Costa, J.; Filipe, P. Human monkeypox coinfection with acute HIV: An exuberant presentation. Int. J. STD AIDS 2022, 33, 095646242211149. Available online: https://pubmed.ncbi.nlm.nih.gov/35822910/ (accessed on 10 August 2022). [CrossRef] [PubMed]
- Perez Duque, M.; Ribeiro, S.; Martins, J.V.; Casaca, P.; Leite, P.P.; Tavares, M.; Mansinho, K.; Duque, L.M.; Fernandes, C.; Cordeiro, R.; et al. Ongoing monkeypox virus outbreak, Portugal, Apr 29 to May 23, 2022. Eurosurveillance 2022, 27, 2200424. Available online: https://pubmed.ncbi.nlm.nih.gov/35656830/ (accessed on 3 June 2022). [CrossRef] [PubMed]
- Alpalhão, M.; Frade, J.; Sousa, D.; Patrocínio, J.; Garrido, P.; Correia, C.; Brazão, C.; Mancha, D.; Borrego, M.; Filipe, P. Monkeypox: A new (sexually transmissible) epidemic? J. Eur. Acad. Dermatol. Venereol. 2022. Available online: https://onlinelibrary.wiley.com/doi/full/10.1111/jdv.18424 (accessed on 25 July 2022). [CrossRef] [PubMed]
- Edwards, S.; Boffa, M.; Janier, M.; Calzavara-Pinton, P.; Rovati, C.; Salavastru, C.; Rongioletti, F.; Wollenberg, A.; Butacu, A.; Skerlev, M.; et al. 2020 European guideline on the management of genital molluscum contagiosum. J. Eur. Acad. Dermatol. Venereol. 2020, 35, 17–26. Available online: https://onlinelibrary.wiley.com/doi/full/10.1111/jdv.16856 (accessed on 12 September 2022). [CrossRef] [PubMed]
- Gross, G.E.; Eisert, L.; Doerr, H.W.; Fickenscher, H.; Knuf, M.; Maier, P.; Maschke, M.; Müller, R.; Pleyer, U.; Schäfer, M.; et al. S2k guidelines for the diagnosis and treatment of herpes zoster and postherpetic neuralgia. JDDG J. Dtsch. Dermatol. Ges. 2019, 18, 55–78. Available online: https://pubmed.ncbi.nlm.nih.gov/31951098/ (accessed on 12 September 2022). [CrossRef] [PubMed]
- Bayer-Garner, I.B. Monkeypox virus: Histologic, immunohistochemical and electron-microscopic findings. J. Cutan. Pathol. 2005, 32, 28–34. Available online: https://pubmed.ncbi.nlm.nih.gov/15660652/ (accessed on 11 August 2022). [CrossRef] [PubMed]
- Tarín-Vicente, E.J.; Alemany, A.; Agud-Dios, M.; Ubals, M.; Suñer, C.; Antón, A.; Arando, M.; Arroyo-Andrés, J.; Calderón-Lozano, L.; Casañ, C. Clinical presentation and virological assessment of confirmed human monkeypox virus cases in Spain: A prospective observational cohort study. Lancet 2022, 400, 661–669. Available online: http://www.thelancet.com/article/S0140673622014362/fulltext (accessed on 12 September 2022). [CrossRef]



| Age | M (SD) |
|---|---|
| Years of age | 35.1 (8.7) |
| Gender | n (%) |
| Men | 47 (100) |
| Sexual orientation | n (%) |
| MSM | 39 (83.0) |
| Heterosexual | 4 (8.5) |
| Bisexual | 3 (6.4) |
| Missing data | 1 (2.1) |
| HIV status | n (%) |
| Positive | 21 (44.7) |
| Unknown/Negative | 28 (55.3) |
| Number of sexual partners in the last six months | n (%) |
| <10 | 38 (80.8) |
| >10 | 6 (12.7) |
| Missing data | 3 (6.4) |
Publisher’s Note: MDPI stays neutral with regard to jurisdictional claims in published maps and institutional affiliations. |
© 2022 by the authors. Licensee MDPI, Basel, Switzerland. This article is an open access article distributed under the terms and conditions of the Creative Commons Attribution (CC BY) license (https://creativecommons.org/licenses/by/4.0/).
Share and Cite
de Sousa, D.; Patrocínio, J.; Frade, J.; Brazão, C.; Mancha, D.; Correia, C.; Borges-Costa, J.; Filipe, P. Monkeypox Diagnosis by Cutaneous and Mucosal Findings. Infect. Dis. Rep. 2022, 14, 759-764. https://doi.org/10.3390/idr14050077
de Sousa D, Patrocínio J, Frade J, Brazão C, Mancha D, Correia C, Borges-Costa J, Filipe P. Monkeypox Diagnosis by Cutaneous and Mucosal Findings. Infectious Disease Reports. 2022; 14(5):759-764. https://doi.org/10.3390/idr14050077
Chicago/Turabian Stylede Sousa, Diogo, João Patrocínio, Joana Frade, Claúdia Brazão, Dora Mancha, Catarina Correia, João Borges-Costa, and Paulo Filipe. 2022. "Monkeypox Diagnosis by Cutaneous and Mucosal Findings" Infectious Disease Reports 14, no. 5: 759-764. https://doi.org/10.3390/idr14050077
APA Stylede Sousa, D., Patrocínio, J., Frade, J., Brazão, C., Mancha, D., Correia, C., Borges-Costa, J., & Filipe, P. (2022). Monkeypox Diagnosis by Cutaneous and Mucosal Findings. Infectious Disease Reports, 14(5), 759-764. https://doi.org/10.3390/idr14050077

