Fanconi Syndrome Leading to Hypophosphatemic Osteomalacia Related to Tenofovir Use
Abstract
1. Introduction
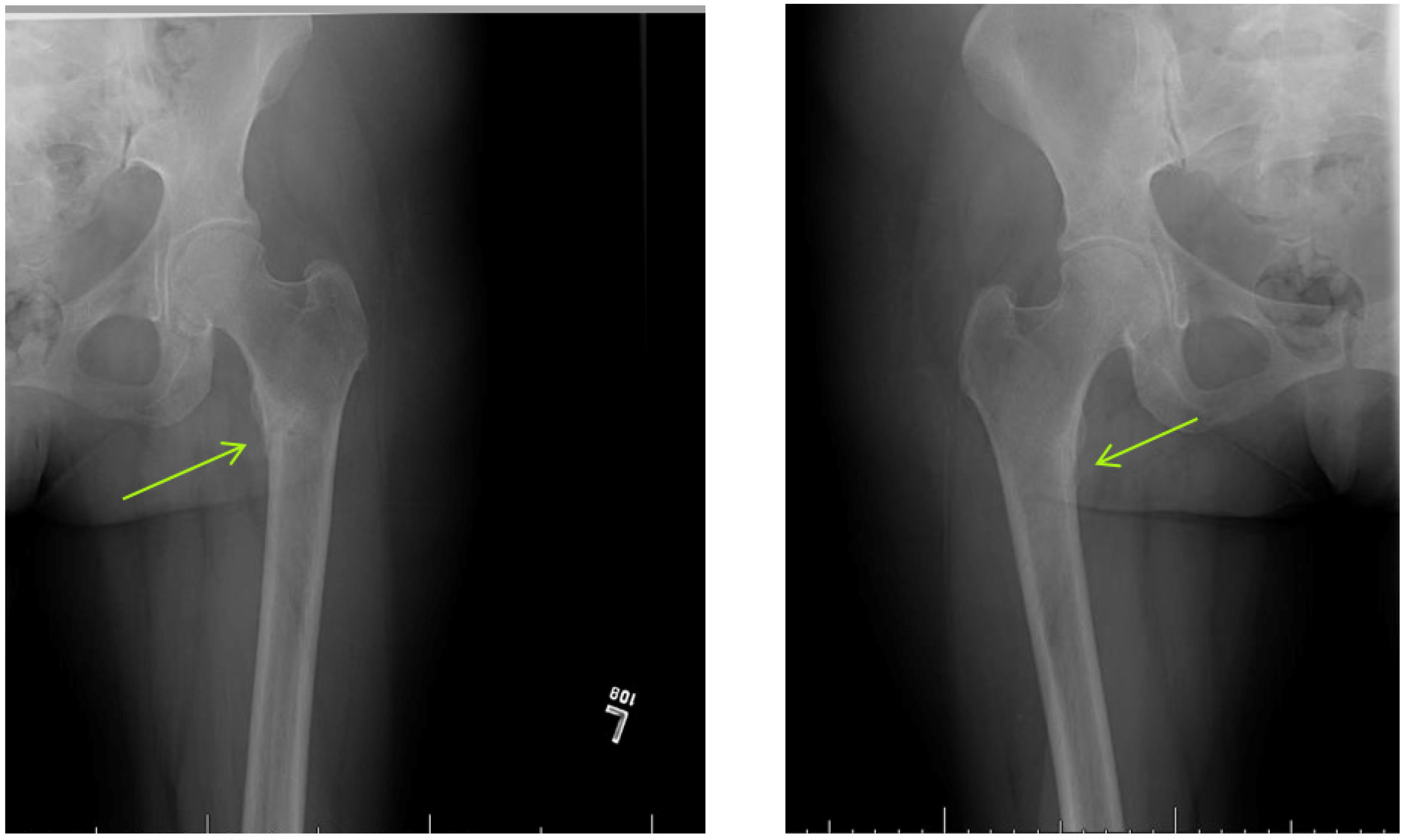
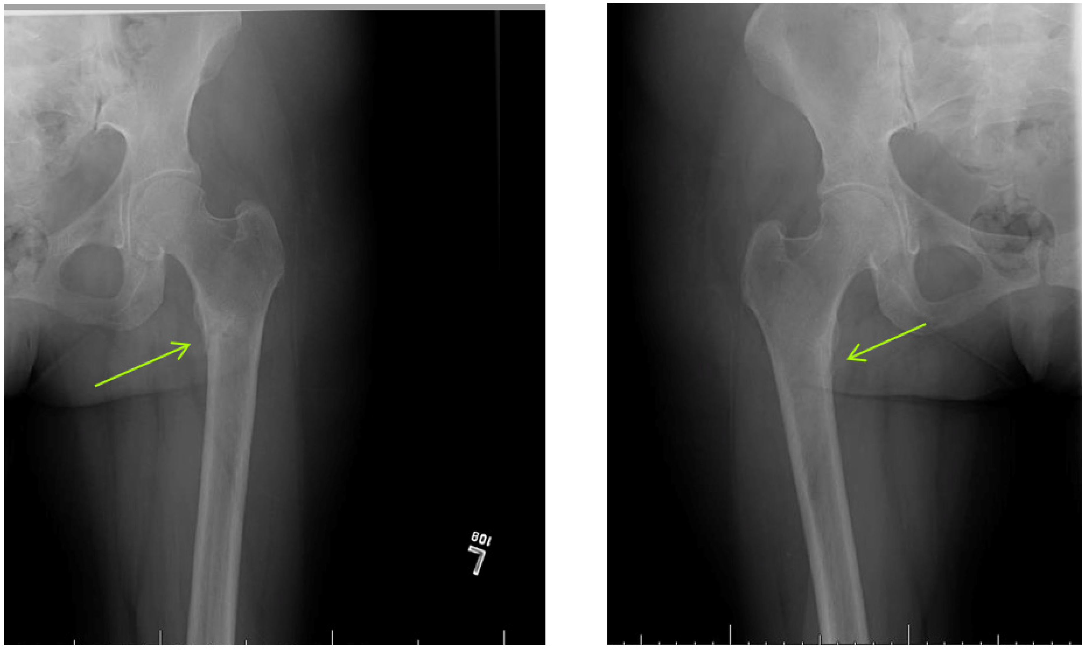
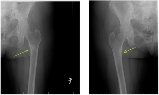
2. Case Presentation
3. Discussion
4. Conclusions
Author Contributions
Funding
Institutional Review Board Statement
Informed Consent Statement
Data Availability Statement
Acknowledgments
Conflicts of Interest
References
- Ending the Aids Epide Micfact Sheet–World Aids Day 2020. Available online: http://www.unaids.org/sites/default/files/media_asset/UNAIDS_FactSheet_en.pdf (accessed on 1 December 2020).
- Updated Recommendations on First-Line And Second-Line Antiretroviral Regimens and Post-Exposure Prophylaxis and Recommendations On Early Infant Diagnosis Of Hiv: Interim Guidance. Available online: http://www.who.int/hiv/pub/guidelines/ARV2018update/en/ (accessed on 1 January 2018).
- Sax, P.E.; Wohl, D.; Yin, M.T.; Post, F.; DeJesus, E.; Saag, M.; Pozniak, A.; Thompson, M.; Podzamczer, D.; Molina, J.M.; et al. Tenofovir alafenamide versus tenofovir disoproxil fumarate, coformulated with elvitegravir, cobicistat, and emtricitabine, for initial treatment of HIV-1 infection: Two randomised, double-blind, phase 3, non-inferiority trials. Lancet 2015, 385, 2606–2615. [Google Scholar] [CrossRef]
- Medland, N.A.; Chow, E.P.; Walker, R.G.; Chen, M.; Read, T.R.; Fairley, C.K. Incidence of renal Fanconi syndrome in patients taking antiretroviral therapy including tenofovir disoproxil fumarate. Int. J. STD AIDS 2018, 29, 227–236. [Google Scholar] [CrossRef] [PubMed]
- Zimmermann, A.E.; Pizzoferrato, T.; Bedford, J.; Morris, A.; Hoffman, R.; Braden, G. Tenofovir-associated acute and chronic kidney disease: A case of multiple drug interactions. Clin. Infect. Dis. 2006, 42, 283. [Google Scholar] [CrossRef] [PubMed]
- Lucas, G.M.; Ross, M.J.; Stock, P.G.; Shlipak, M.G.; Wyatt, C.M.; Gupta, S.K.; Atta, M.G.; Wools-Kaloustian, K.K.; Pham, P.A.; Bruggeman, L.A.; et al. Clinical Practice Guideline for the Management of Chronic Kidney Disease in Patients Infected With HIV: 2014 Update by the HIV Medicine Association of the Infectious Diseases Society of America. Clin. Infect. Dis. 2014, 59, e96. [Google Scholar] [CrossRef] [PubMed]
- Tourret, J.; Deray, G.; Isnard-Bagnis, C. Tenofovir effect on the kidneys of HIV-infected patients: A double-edged sword? J. Am. Soc. Nephrol. 2013, 24, 1519–1527. [Google Scholar] [CrossRef]
- Knights, M.J.; Finlay, E. The effects of sodium valproate on the renal function of children with epilepsy. Pediatr. Nephrol. 2014, 29, 1131–1138. [Google Scholar] [CrossRef] [PubMed]
- Hall, A.M.; Bass, P.; Unwin, R.J. Drug-induced renal Fanconi syndrome. QJM Int. J. Med. 2014, 107, 261–269. [Google Scholar] [CrossRef]
- Chuang, G.T.; Tsai, I.J.; Tsau, Y.K.; Lu, M.Y. Transfusion-dependent thalassaemic patients with renal Fanconi syndrome due to deferasirox use. Nephrology 2015, 20, 931–935. [Google Scholar] [CrossRef]
- Gifre, L.; Peris, P.; Monegal, A.; Martinez de Osaba, M.J.; Alvarez, L.; Guañabens, N. Osteomalacia revisited: A report on 28 cases. Clin. Rheumatol. 2011, 30, 639. [Google Scholar] [CrossRef] [PubMed]
- Bhan, A.; Rao, A.D.; Rao, D.S. Osteomalacia as a result of vitamin D deficiency. Endocrinol. Metab. Clin. N. Am. 2010, 39, 321. [Google Scholar] [CrossRef]
- Basha, B.; Rao, D.; Han, Z.-H.; Parfitt, A. Osteomalacia due to vitamin D depletion: A neglected consequence of intestinal malabsorption. Am. J. Med. 2000, 108, 296. [Google Scholar] [CrossRef]
- Bhambri, R.; Naik, V.; Malhotra, N.; Taneja, S.; Rastogi, S.; Ravishanker, U.; Mithal, A. Changes in Bone Mineral Density Following Treatment of Osteomalacia. J. Clin. Densitom. 2006, 9, 120. [Google Scholar] [CrossRef] [PubMed]
- Grigsby, I.F.; Pham, L.; Mansky, L.M.; Gopalakrishnan, R.; Mansky, K.C. Tenofovir-associated bone density loss. Ther. Clin. Risk Manag. 2010, 6, 41–47. [Google Scholar] [PubMed]
- Wang, B.-F.; Wang, Y.; Wang, B.-Y.; Sun, F.-R.; Zhang, D.; Chen, Y.-S. Osteomalacia and Fanconi’s syndrome caused by long-term low-dose adefovir dipivoxil. J. Clin. Pharm. Ther. 2015, 40, 345–348. [Google Scholar] [CrossRef]
- Lin, Q.; Pan, F.; Hong, F.; Pan, C. Hypophosphatemic osteomalacia and renal Fanconi syndrome induced by adefovir in a patient with chronic hepatitis B. Zhonghua Gan Zang Bing Za Zhi. 2014, 22, 779–780. [Google Scholar]
- Iizuka, Y.; Sakai, H.; Kobayashi, K.; Iizuka, K.; Ito, E.; Mochizuki, N.; Asahina, Y.; Watanabe, M. A case of chronic hepatitis B managed with continued adefovir despite treatment-related Fanconi syndrome and osteomalacia. Nihon Shokakibyo Gakkai Zasshi. 2014, 111, 1618–1623. [Google Scholar]
- Cho, J.; Cheung, P.P. Osteomalacia due to drug-induced Fanconi syndrome. Arthritis Rheumatol. 2018, 70, 1168. [Google Scholar] [CrossRef]
- Gou, M.; Ma, Z. Osteomalacia, renal Fanconi syndrome, and bone tumor. J. Int. Med. Res. 2018, 46, 3487–3490. [Google Scholar] [CrossRef]
- Woodward, C.L.N.; Hall, A.M.; Williams, I.G.; Madge, S.; Copas, A.; Nair, D.; Edwards, S.G.; Johnson, M.A.; Connolly, J.O. Tenofovir-associated renal and bone toxicity. HIV Med. 2009, 10, 482–487. [Google Scholar] [CrossRef]
- Mateo, L.; Holgado, S.; Mariñoso, M.L.; Pérez-Andrés, R.; Bonjoch, A.; Romeu, J.; Olivé, A. Hypophosphatemic osteomalacia induced by tenofovir in HIV-infected patients. Clin. Rheumatol. 2016, 35, 1271–1279. [Google Scholar] [CrossRef]
- Parsonage, M.J.; Wilkins, E.G.L.; Snowden, N.; Issa, B.G.; Savage, M.W. The development of hypophosphataemic osteomalacia withmyopathy in two patients with HIV infection receivingtenofovir therapy. HIV Med. 2005, 6, 341–346. [Google Scholar] [CrossRef] [PubMed]
- Available online: https://clinicalinfo.hiv.gov/sites/default/files/guidelines/documents/AdultandAdolescentGL.pdf (accessed on 3 April 2021).


| At Presentation | 2–3 Months after Hospitalization | Reference Range | |
|---|---|---|---|
| Laboratory Testing | |||
| Calcium (mg/dl) | 8.6 | 9.8 | 8.4–10.2 |
| Phosphate (mg/dl) | 1.7 | 4.5 | 2.5–4.6 |
| 25-OH Vitamin D (ng/mL) | 33 | 47 (at 4 months) | 25–100 “adequate” >30 |
| 1,25(OH)2 vitamin D (pg/mL) | 48 | 18–72 | |
| Chloride (meq/L) | 113 | 108 | 98–107 |
| Bicarbonate (meq/L) | 20 | 22 | 21–31 |
| Alkaline Phosphatase (IU/dl) | 258 | 280 | 38–126 |
| Creatinine (mg/dl) (baseline 1.2) | 1.7 | 1.3 | |
| eGFR (ml/min) | 31 | 43 | |
| PTH (pg/mL) | 80 | 58 | 10–65 |
| Fractional PO4 excretion, urine (%) | 62.3 | <5 | |
| UA | +250 glucose, +300 protein | +100 protein, +100 glucose |
Publisher’s Note: MDPI stays neutral with regard to jurisdictional claims in published maps and institutional affiliations. |
© 2021 by the authors. Licensee MDPI, Basel, Switzerland. This article is an open access article distributed under the terms and conditions of the Creative Commons Attribution (CC BY) license (https://creativecommons.org/licenses/by/4.0/).
Share and Cite
Rao, M.; Dadey, L.; Glowa, T.; Veldkamp, P. Fanconi Syndrome Leading to Hypophosphatemic Osteomalacia Related to Tenofovir Use. Infect. Dis. Rep. 2021, 13, 448-453. https://doi.org/10.3390/idr13020044
Rao M, Dadey L, Glowa T, Veldkamp P. Fanconi Syndrome Leading to Hypophosphatemic Osteomalacia Related to Tenofovir Use. Infectious Disease Reports. 2021; 13(2):448-453. https://doi.org/10.3390/idr13020044
Chicago/Turabian StyleRao, Mana, Liam Dadey, Thomas Glowa, and Peter Veldkamp. 2021. "Fanconi Syndrome Leading to Hypophosphatemic Osteomalacia Related to Tenofovir Use" Infectious Disease Reports 13, no. 2: 448-453. https://doi.org/10.3390/idr13020044
APA StyleRao, M., Dadey, L., Glowa, T., & Veldkamp, P. (2021). Fanconi Syndrome Leading to Hypophosphatemic Osteomalacia Related to Tenofovir Use. Infectious Disease Reports, 13(2), 448-453. https://doi.org/10.3390/idr13020044
