Hiccups as the First Symptom of a Complication of Total Gastrectomy for Gastric Cancer with a Negative Objective Abdominal Examination: A Case Report and Review of the Literature
Abstract
1. Introduction
2. Case Report
2.1. Patient History and Staging
2.2. Multimodal Approach and Treatment
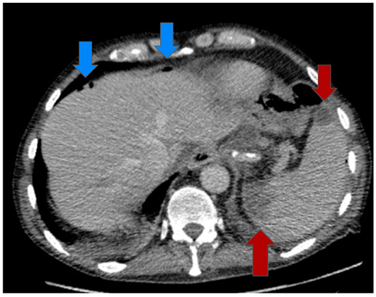
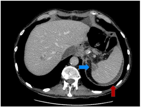
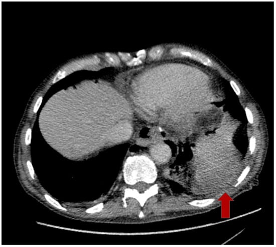
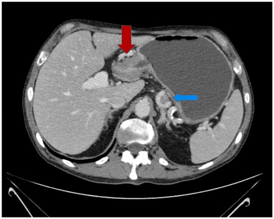
2.3. Postoperative Course
3. Discussion
4. Conclusions
Author Contributions
Funding
Institutional Review Board Statement
Informed Consent Statement
Data Availability Statement
Conflicts of Interest
Abbreviations
| AJCC | American Joint Committee on Cancer |
| CT | Computed Tomography |
| DUCA | Dutch Upper GI Cancer Audit |
| DVT | Deep Vein Thrombosis |
| FLOT | Docetaxel, Oxalilplatin, Leucovorin, 5-Fluorouracil |
| EGDS | Esophagogastroduodenoscopy |
| GC | Gastric Cancer |
| GCCG | Gastrectomy Complications Consensus Group |
| GI | Gastro-Intestinal |
| TNM | Tumor-node-metastasis system |
References
- Ferlay, J.; Laversanne, M.; Ervik, M.; Lam, F.; Colombet, M.; Mery, L.; Piñeros, M.; Znaor, A.; Soerjomataram, I.; Bray, F. Global Cancer Observatory: Cancer Tomorrow (Version 1.1). Lyon, France: International Agency for Research on Cancer. 2024. Available online: https://gco.iarc.who.int/tomorrow (accessed on 31 January 2025).
- Ferlay, J.; Colombet, M.; Soerjomataram, I.; Mathers, C.; Parkin, D.M.; Piñeros, M.; Znaor, A.; Bray, F. Estimating the global cancer incidence and mortality in 2018: GLOBOCAN sources and methods. Int. J. Cancer 2019, 144, 1941–1953. [Google Scholar] [CrossRef] [PubMed]
- Chiarello, M.M.; Fico, V.; Pepe, G.; Tropeano, G.; Adams, N.J.; Altieri, G.; Brisinda, G. Early gastric cancer: A challenge in Western countries. World J. Gastroenterol. 2022, 28, 693–703. [Google Scholar] [CrossRef] [PubMed]
- Hirota, W.K.; Zuckerman, M.J.; Adler, D.G.; Davila, R.E.; Egan, J.; Leighton, J.A.; Qureshi, W.A.; Rajan, E.; Fanelli, R.; Wheeler-Harbaugh, J.; et al. ASGE guideline: The role of endoscopy in the surveillance of premalignant conditions of the upper GI tract. Gastrointest. Endosc. 2006, 63, 570–580. [Google Scholar] [CrossRef]
- Ji, X.; Bu, Z.-D.; Yan, Y.; Li, Z.-Y.; Wu, A.-W.; Zhang, L.-H.; Zhang, J.; Wu, X.-J.; Zong, X.-L.; Li, S.-X.; et al. The 8th edition of the American Joint Committee on Cancer tumor-node-metastasis staging system for gastric cancer is superior to the 7th edition: Results from a Chinese mono-institutional study of 1663 patients. Gastric Cancer 2018, 21, 643–652. [Google Scholar] [CrossRef]
- Lordick, F.; Carneiro, F.; Cascinu, S.; Fleitas, T.; Haustermans, K.; Piessen, G.; Vogel, A.; Smyth, E. Gastric cancer: ESMO Clinical Practice Guideline for diagnosis, treatment and follow-up. Ann. Oncol. 2022, 33, 1005–1020. [Google Scholar] [CrossRef]
- Ajani, J.A.; D’Amico, T.A.; Bentrem, D.J.; Chao, J.; Cooke, D.; Corvera, C.; Das, P.; Enzinger, P.C.; Enzler, T.; Fanta, P.; et al. Gastric Cancer, Version 2.2022, NCCN Clinical Practice Guidelines in Oncology. J. Natl. Compr. Cancer Netw. 2022, 20, 167–192. [Google Scholar] [CrossRef] [PubMed]
- Gertsen, E.C.; Goense, L.; Brenkman, H.J.F.; van Hillegersberg, R.; Ruurda, J.P.; Dutch Upper Gastrointestinal Cancer Audit (DUCA) Group. Identification of the clinically most relevant postoperative complications after gastrectomy: A population-based cohort study. Gastric Cancer 2020, 23, 339–348. [Google Scholar] [CrossRef]
- Zhou, J.; Yu, P.; Shi, Y.; Tang, B.; Hao, Y.; Zhao, Y.; Qian, F. Evaluation of Clavien-Dindo classification in patients undergoing total gastrectomy for gastric cancer. Med. Oncol. 2015, 32, 120. [Google Scholar] [CrossRef]
- Siani, L.M.; Ferranti, F.; De Carlo, A.; Quintiliani, A. Completely laparoscopic versus open total gastrectomy in stage I-III/C gastric cancer: Safety, efficacy and five-year oncologic outcome. Minerva Chir. 2012, 67, 319–326. [Google Scholar]
- Hiccup. Available online: http://en.wikipedia.org/wiki/Hiccup (accessed on 18 February 2025).
- He, J.; Guan, A.; Yang, T.; Fu, L.; Wang, Y.; Wang, S.; Ren, H.; Chen, L.; Zhu, Y.; Deng, B. Pathogenesis and treatment of perioperative hiccups: A narrative review. Ann. Med. 2025, 57, 2474173. [Google Scholar] [CrossRef]
- Chang, F.-Y.; Lu, C.-L. Hiccup: Mystery, nature and treatment. J. Neurogastroenterol. Motil. 2012, 18, 123–130. [Google Scholar] [CrossRef] [PubMed]
- Redondo-Cerezo, E.; Viñuelas-Chicano, M.; Pérez-Vigara, G.; Gomez-Ruiz, C.J.; Sanchez-Manjavacas, N.; Jimeno-Ayllon, C.; Perez-Sola, A. A patient with persistent hiccups and gastro-oesophageal reflux disease. Gut 2008, 57, 763. [Google Scholar] [CrossRef] [PubMed]
- Félix-Téllez, F.A.; Jiménez-Castillo, R.A.; Remes-Troche, J.M. Identifying the hiccup-induced esophagogastric wave form: A case series report using high-resolution manometry. ACG Case Rep. J. 2024, 11, e01541. [Google Scholar] [CrossRef]
- Senior, A.; Hari, C. A rare case of acute on chronic gastric volvulus with Borchardt’s triad. J. Surg. Case Rep. 2014, 2014, rju114. [Google Scholar] [CrossRef] [PubMed]
- Yang, Q.; Shang, Q.; Wei, G.Q.; Guo, Q.H.; Ka, S.Q.; Zhang, Z.Y.; Li, F.W.; Shen, X.P.; Zhang, D.K. Jinghuaweikang capsules combined with Quadruple therapy in the treatment of Helicobacter pylori infection: A multicenter, randomized, controlled, clinical study. Zhonghua Yi Xue Za Zhi 2019, 99, 295–300. [Google Scholar] [CrossRef]
- Kumar, S.; Sharma, P.; Muthu, R.; Mohakund, S. Management of empyema of gallbladder with percutaneous cholecysto-duodenal stenting in a case of hilar cholangiocarcinoma treated with common bile duct metallic stenting. Indian J. Radiol. Imaging 2011, 21, 298–300. [Google Scholar] [CrossRef] [PubMed]
- Hopkins, C.; Bansari, A.; Ladna, M.; Dideban, B. Prolonged intractable hiccups associated with HSV(I.&II) esophagitis, H. pylori gastritis. Case Rep. Infect. Dis. 2023, 2023, 3561895. [Google Scholar]
- Muraki, N.; Asahina, K.; Hori, K.; Inanaga, R.; Matsui, K.; Shinozaki, M. Intra-abdominal abscess caused by mycobacteroides abscessus in a peritoneal dialysis patient: A case report. Intern. Med. 2024, 10, 232–236. [Google Scholar] [CrossRef]
- McVey, F.K.; Goodman, N.W. Gastro-oesophageal reflux and hiccough on induction of anaesthesia. Anaesthesia 1992, 47, 712. [Google Scholar] [CrossRef]
- Khatri, S.; Hannurkar, P. Understanding and treating laryngeal mask airway-induced intraoperative hiccups. Cureus 2024, 16, e69782. [Google Scholar] [CrossRef]
- Neumann, M.; Lazo, K.G.; Stover, D. Sarcoidosis presenting as hiccups. Respirol. Case Rep. 2020, 8, e00605. [Google Scholar] [CrossRef] [PubMed]
- Yoshida, Y.; Nakajima, Y.; Tokuda, K.; Kidani, R. Recurrent hiccups caused by malposition of the peritoneal catheter of a lumboperitoneal shunt: A case report. No Shinkei Geka 2016, 44, 129–133. [Google Scholar] [CrossRef] [PubMed]
- Arroyo-Cózar, M.; Grau Delgado, J.; Gabaldón Conejos, T. Hiccups induced by midazolam during sedation in flexible bronchoscopy. Arch. Bronconeumol. 2012, 48, 103. [Google Scholar] [CrossRef]
- Tammineedi, S.N.; Singla, R.; Cornejo Leon, M.; Kohli, M.; Saini, C.; Pitiliya, A. Unforeseen effects: Hiccups unveiled by high-dose steroids in demyelination. eNeurologicalSci 2024, 35, 100509. [Google Scholar] [CrossRef]
- Xausa, G.; Escher, M.; Singovski, S.; Hentsch, L. Recurrent persistent hiccups on opioid treatment: A case report and literature review. J. Pain Palliat. Care Pharmacother. 2023, 37, 82–90. [Google Scholar] [CrossRef]
- Visser, M.R.; Voeten, D.M.; Gisbertz, S.S.; Ruurda, J.P.; Henegouwen, M.I.v.B.; van Hillegersberg, R.; The Dutch Upper Gastrointestinal Cancer Audit (DUCA) Group. Outcomes after gastrectomy according to the Gastrectomy Complications Consensus Group (GCCG) in the Dutch Upper GI Cancer Audit (DUCA). Gastric Cancer 2024, 27, 1124–1135. [Google Scholar] [CrossRef]
- Chen, G.; Wang, J.; Chen, K.; Kang, M.; Zhang, H.; Jin, X.; Lin, L.; Chen, J. Relationship Between Postoperative Complications and the Prognosis of Gastric Carcinoma Patients Who Underwent Surgical Resection: A Systematic Review and Meta-Analysis. Cancer Control J. Moffitt Cancer Cent. 2021, 28, 10732748211011955. [Google Scholar] [CrossRef]
- Obana, A.; Iwasaki, K.; Suwa, T. Impact of postoperative complications on gastric cancer survival. Surgery 2025, 178, 108873. [Google Scholar] [CrossRef] [PubMed]
- Buzelé, R.; Barbier, L.; Sauvanet, A.; Fantin, B. Medical complications following splenectomy. J. Visc. Surg. 2016, 153, 277–286. [Google Scholar] [CrossRef]
- Zhang, C.; Shaw, N. A curious case of hiccups during laparoscopic surgery. J. Anaesthesiol. Clin. Pharmacol. 2021, 37, 304–305. [Google Scholar] [CrossRef]
- Wakeman, C.J.; Dobbs, B.R.; Frizelle, F.A.; Bissett, I.P.; Dennett, E.R.; Hill, A.G.; Thompson-Fawcett, M.W. The impact of splenectomy on outcome after resection for colorectal cancer: A multicenter, nested, paired cohort study. Dis. Colon Rectum 2008, 51, 213–217. [Google Scholar] [CrossRef] [PubMed]
- Shen, J.G.; Cheong, J.H.; Hyung, W.J.; Kim, J.; Choi, S.H.; Noh, S.H. Adverse effect of splenectomy on recurrence in total gastrectomy cancer patients with perioperative transfusion. Am. J. Surg. 2006, 192, 301–305. [Google Scholar] [CrossRef] [PubMed]
- Vallet-Regí, M.; Manzano, M.; Rodriguez-Mañas, L.; Checa López, M.; Aapro, M.; Balducci, L. Management of Cancer in the Older Age Person: An Approach to Complex Medical Decisions. Oncologist 2017, 22, 335–342. [Google Scholar] [CrossRef] [PubMed]
- Hansen, B.J.; Rosenberg, J. Persistent postoperative hiccups: A review. Acta Anaesthesiol. Scand. 1993, 37, 643–646. [Google Scholar] [CrossRef]
- Souadjian, J.V.; Cain, J.C. Intractable hiccup. Etiologic factors in 220 cases. Postgrad. Med. 1968, 43, 72–77. [Google Scholar] [CrossRef]





Disclaimer/Publisher’s Note: The statements, opinions and data contained in all publications are solely those of the individual author(s) and contributor(s) and not of MDPI and/or the editor(s). MDPI and/or the editor(s) disclaim responsibility for any injury to people or property resulting from any ideas, methods, instructions or products referred to in the content. |
© 2025 by the authors. Licensee MDPI, Basel, Switzerland. This article is an open access article distributed under the terms and conditions of the Creative Commons Attribution (CC BY) license (https://creativecommons.org/licenses/by/4.0/).
Share and Cite
Lamacchia, F.; Mattara, G.; Tolin, F.; Maddalon, B.; Pilati, P. Hiccups as the First Symptom of a Complication of Total Gastrectomy for Gastric Cancer with a Negative Objective Abdominal Examination: A Case Report and Review of the Literature. Gastroenterol. Insights 2025, 16, 21. https://doi.org/10.3390/gastroent16030021
Lamacchia F, Mattara G, Tolin F, Maddalon B, Pilati P. Hiccups as the First Symptom of a Complication of Total Gastrectomy for Gastric Cancer with a Negative Objective Abdominal Examination: A Case Report and Review of the Literature. Gastroenterology Insights. 2025; 16(3):21. https://doi.org/10.3390/gastroent16030021
Chicago/Turabian StyleLamacchia, Francesco, Genny Mattara, Francesca Tolin, Beatrice Maddalon, and Pierluigi Pilati. 2025. "Hiccups as the First Symptom of a Complication of Total Gastrectomy for Gastric Cancer with a Negative Objective Abdominal Examination: A Case Report and Review of the Literature" Gastroenterology Insights 16, no. 3: 21. https://doi.org/10.3390/gastroent16030021
APA StyleLamacchia, F., Mattara, G., Tolin, F., Maddalon, B., & Pilati, P. (2025). Hiccups as the First Symptom of a Complication of Total Gastrectomy for Gastric Cancer with a Negative Objective Abdominal Examination: A Case Report and Review of the Literature. Gastroenterology Insights, 16(3), 21. https://doi.org/10.3390/gastroent16030021

