Effect of Hepatic Impairment on the Pharmacokinetics of Baicalin in Rats: Critical Roles of Gut Microbiota and Hepatic Transporters
Abstract
1. Introduction
2. Materials and Methods
2.1. Chemicals and Reagents
2.2. Construction of CCl4-Induced Hepatic Failure Rat Model
2.3. Pharmacokinetic Experiments
2.4. Excretion Experiments
2.5. Tissue Distribution Experiment
2.6. Intestinal Flora Incubation
2.7. Isolation and Incubation of S9 Fraction in Liver and Intestines
2.8. Uptake Studies Using Transporter-Expressing HEK293 Cells
2.9. Determination of Baicalin and Baicalein
2.10. Data Analysis
3. Results
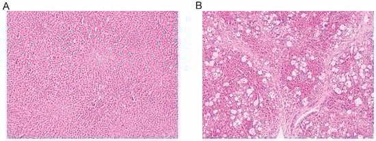
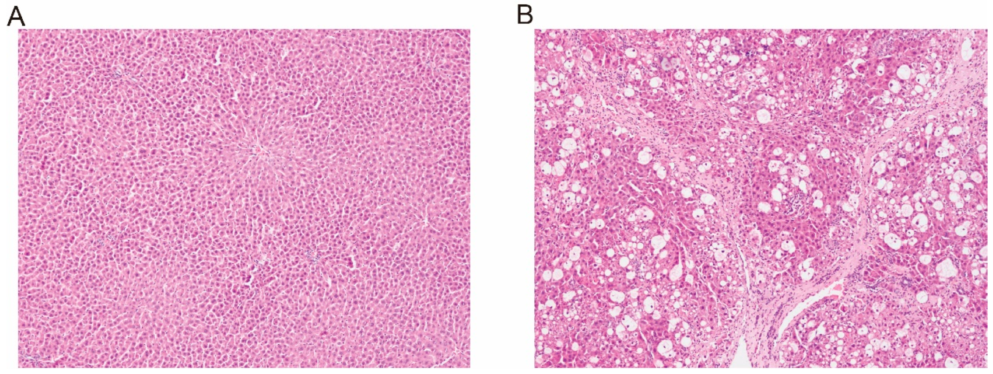
3.1. Biochemistry Parameters and Histopathologic Sections
3.2. Pharmacokinetics of Baicalin and Baicalein in Rats
3.3. Effect of Hepatic Impairment on the Hydrolysis Metabolism of Baicalin Mediated by Intestinal Microbiota
3.4. Effect of Hepatic Impairment on UGTs-Mediated Baicalein Metabolism to Baicalin
3.5. Effect of Bile Acids on the Uptake of Baicalin
4. Discussion
5. Conclusions
Supplementary Materials
Author Contributions
Funding
Institutional Review Board Statement
Informed Consent Statement
Data Availability Statement
Conflicts of Interest
Abbreviations
| AKP | Alkaline phosphatase |
| ALT | Alanine aminotransferase |
| AST | Aspartate transaminase |
| AUC0–t | Area under the concentration–time curve |
| B | Baicalein |
| BCRP | Breast cancer resistance protein |
| BDC | Bile duct-cannulated |
| BG | Baicalin |
| CCl4 | Carbon tetrachloride |
| Cmax | Plasma peak concentration |
| HE | Hematoxylin–eosin |
| HEK293 | Human embryonic kidney 293 cells |
| LC-MS/MS | Liquid chromatography tandem mass spectrometry |
| MRPs | Multidrug resistance-associated proteins |
| OATs | Organic anion transporters |
| OATPs | Organic anion transporting polypeptides |
| S9 | 9000 g supernatant |
| UGTs | Uridine 5′-diphospho-glucuronosyltransferases |
References
- Hu, Q.; Zhang, W.; Wu, Z.; Tian, X.; Xiang, J.; Li, L.; Li, Z.; Peng, X.; Wei, S.; Ma, X.; et al. Baicalin and the Liver-Gut System: Pharmacological Bases Explaining Its Therapeutic Effects. Pharmacol. Res. 2021, 165, 105444. [Google Scholar] [CrossRef] [PubMed]
- Su, H.-X.; Yao, S.; Zhao, W.-F.; Li, M.-J.; Liu, J.; Shang, W.-J.; Xie, H.; Ke, C.-Q.; Hu, H.-C.; Gao, M.-N.; et al. Anti-SARS-CoV-2 Activities in Vitro of Shuanghuanglian Preparations and Bioactive Ingredients. Acta Pharmacol. Sin. 2020, 41, 1167–1177. [Google Scholar] [CrossRef] [PubMed]
- Wen, Y.; Wang, Y.; Zhao, C.; Zhao, B.; Wang, J. The Pharmacological Efficacy of Baicalin in Inflammatory Diseases. Int. J. Mol. Sci. 2023, 24, 9317. [Google Scholar] [CrossRef] [PubMed]
- Kalapos-Kovács, B.; Magda, B.; Jani, M.; Fekete, Z.; Szabó, P.T.; Antal, I.; Krajcsi, P.; Klebovich, I. Multiple ABC Transporters Efflux Baicalin. Phytother. Res. 2015, 29, 1987–1990. [Google Scholar] [CrossRef]
- Kalapos-Kovács, B.; Juhász, V.; Temesszentandrási-Ambrus, C.; Magda, B.; Szabó, P.T.; Antal, I.; Klebovich, I.; Krajcsi, P. Baicalin Is a Substrate of OATP2B1 and OATP1B3. Phytother. Res. 2018, 32, 1647–1650. [Google Scholar] [CrossRef]
- Zhang, L.; Li, C.; Lin, G.; Krajcsi, P.; Zuo, Z. Hepatic Metabolism and Disposition of Baicalein via the Coupling of Conjugation Enzymes and Transporters—In Vitro and In Vivo Evidences. AAPS J. 2011, 13, 378–389. [Google Scholar] [CrossRef]
- Xu, F.; Li, Z.; Zheng, J.; Gee Cheung, F.S.; Chan, T.; Zhu, L.; Zhuge, H.; Zhou, F. The Inhibitory Effects of the Bioactive Components Isolated from Scutellaria baicalensis on the Cellular Uptake Mediated by the Essential Solute Carrier Transporters. J. Pharm. Sci. 2013, 102, 4205–4211. [Google Scholar] [CrossRef]
- Tsai, P.-L.; Tsai, T.-H. Pharmacokinetics of Baicalin in Rats and Its Interactions with Cyclosporin A, Quinidine and SKF-525A: A Microdialysis Study. Planta Medica 2004, 70, 1069–1074. [Google Scholar] [CrossRef]
- Kang, M.J.; Ko, G.S.; Oh, D.G.; Kim, J.S.; Noh, K.; Kang, W.; Yoon, W.K.; Kim, H.C.; Jeong, H.G.; Jeong, T.C. Role of Metabolism by Intestinal Microbiota in Pharmacokinetics of Oral Baicalin. Arch. Pharmacal Res. 2014, 37, 371–378. [Google Scholar] [CrossRef]
- Zhang, L.; Lin, G.; Kovács, B.; Jani, M.; Krajcsi, P.; Zuo, Z. Mechanistic Study on the Intestinal Absorption and Disposition of Baicalein. Eur. J. Pharm. Sci. 2007, 31, 221–231. [Google Scholar] [CrossRef]
- Xing, J.; Chen, X.; Sun, Y.; Luan, Y.; Zhong, D. Interaction of Baicalin and Baicalein with Antibiotics in the Gastrointestinal Tract. J. Pharm. Pharmacol. 2005, 57, 743–750. [Google Scholar] [CrossRef] [PubMed]
- Zhang, L.; Lin, G.; Zuo, Z. Involvement of UDP-Glucuronosyltransferases in the Extensive Liver and Intestinal First-Pass Metabolism of Flavonoid Baicalein. Pharm. Res. 2007, 24, 81–89. [Google Scholar] [CrossRef] [PubMed]
- Xing, J.; Chen, X.; Zhong, D. Absorption and Enterohepatic Circulation of Baicalin in Rats. Life Sci. 2005, 78, 140–146. [Google Scholar] [CrossRef] [PubMed]
- Kulik, L.; El-Serag, H.B. Epidemiology and Management of Hepatocellular Carcinoma. Gastroenterology 2019, 156, 477–491.e1. [Google Scholar] [CrossRef]
- Diep, U.; Chudow, M.; Sunjic, K.M. Pharmacokinetic Changes in Liver Failure and Impact on Drug Therapy. AACN Adv. Crit. Care 2017, 28, 93–101. [Google Scholar] [CrossRef]
- Gotoh, A.; Nara, M.; Sugiyama, Y.; Sakanaka, M.; Yachi, H.; Kitakata, A.; Nakagawa, A.; Minami, H.; Okuda, S.; Katoh, T.; et al. Use of Gifu Anaerobic Medium for Culturing 32 Dominant Species of Human Gut Microbes and Its Evaluation Based on Short-Chain Fatty Acids Fermentation Profiles. Biosci. Biotechnol. Biochem. 2017, 81, 2009–2017. [Google Scholar] [CrossRef]
- Xie, N.; Wang, H.; Qin, H.; Guo, Z.; Xue, H.; Hu, J.; Chen, X. Changes in Disposition of Ezetimibe and Its Active Metabolites Induced by Impaired Hepatic Function: The Influence of Enzyme and Transporter Activities. Pharmaceutics 2022, 14, 2743. [Google Scholar] [CrossRef]
- Zhang, S.; Liu, Y.; Peng, N.; Chen, X. Qualitative and Quantitative Determination of the Primary Active Components and Metabolites in Human Plasma after Oral Administration of Shuanghuanglian Liquid. J. Sep. Sci. 2022, 45, 2956–2967. [Google Scholar] [CrossRef]
- Ferslew, B.C.; Johnston, C.K.; Tsakalozou, E.; Bridges, A.S.; Paine, M.F.; Jia, W.; Stewart, P.W.; Barritt, A.S.; Brouwer, K.L.R. Altered Morphine Glucuronide and Bile Acid Disposition in Patients with Nonalcoholic Steatohepatitis. Clin. Pharmacol. Ther. 2015, 97, 419–427. [Google Scholar] [CrossRef]
- Kojima, H.; Sakurai, S.; Yoshiji, H.; Uemura, M.; Yoshikawa, M.; Fukui, H. The Role of Radixin in Altered Localization of Canalicular Conjugate Export Pump Mrp2 in Cholestatic Rat Liver. Hepatol. Res. 2008, 38, 202–210. [Google Scholar] [CrossRef]
- Brandoni, A.; Villar, S.R.; Picena, J.C.; Anzai, N.; Endou, H.; Torres, A.M. Expression of Rat Renal Cortical OAT1 and OAT3 in Response to Acute Biliary Obstruction. Hepatology 2006, 43, 1092–1100. [Google Scholar] [CrossRef] [PubMed]
- VanWert, A.L.; Gionfriddo, M.R.; Sweet, D.H. Organic Anion Transporters: Discovery, Pharmacology, Regulation and Roles in Pathophysiology. Biopharm. Drug Dispos. 2010, 31, 1–71. [Google Scholar] [CrossRef] [PubMed]
- Zhang, C.-L.; Xu, Y.-J.; Xiang, D.; Yang, J.-Y.; Lei, K.; Liu, D. Pharmacokinetic Characteristics of Baicalin in Rats with 17α-Ethynyl-Estradiol-Induced Intrahepatic Cholestasis. Curr. Med. Sci. 2018, 38, 167–173. [Google Scholar] [CrossRef] [PubMed]
- Liu, L.; Deng, Y.-X.; Liang, Y.; Pang, X.-Y.; Liu, X.-D.; Liu, Y.-W.; Yang, J.-S.; Xie, L.; Wang, G.-J. Increased Oral AUC of Baicalin in Streptozotocin-Induced Diabetic Rats Due to the Increased Activity of Intestinal Beta-Glucuronidase. Planta Medica 2010, 76, 70–75. [Google Scholar] [CrossRef]
- Huo, X.-K.; Wang, B.; Zheng, L.; Cong, H.-J.; Xiang, T.; Wang, S.-M.; Sun, C.-P.; Wang, C.; Zhang, L.; Deng, S.; et al. Comparative Pharmacokinetic Study of Baicalin and Its Metabolites after Oral Administration of Baicalin and Chaiqin Qingning Capsule in Normal and Febrile Rats. J. Chromatogr. B 2017, 1059, 14–20. [Google Scholar] [CrossRef]
- Lake, A.D.; Novak, P.; Fisher, C.D.; Jackson, J.P.; Hardwick, R.N.; Billheimer, D.D.; Klimecki, W.T.; Cherrington, N.J. Analysis of Global and Absorption, Distribution, Metabolism, and Elimination Gene Expression in the Progressive Stages of Human Nonalcoholic Fatty Liver Disease. Drug Metab. Dispos. 2011, 39, 1954–1960. [Google Scholar] [CrossRef]
- Liu, S.; Yang, X. Intestinal Flora Plays a Role in the Progression of Hepatitis-Cirrhosis-Liver Cancer. Front. Cell. Infect. Microbiol. 2023, 13, 1140126. [Google Scholar] [CrossRef]
- Li, P.; Zhang, R.; Zhou, J.; Guo, P.; Liu, Y.; Shi, S. Vancomycin Relieves Tacrolimus-Induced Hyperglycemia by Eliminating Gut Bacterial Beta-Glucuronidase Enzyme Activity. Gut Microbes 2024, 16, 2310277. [Google Scholar] [CrossRef]









| Parameter | Control Rats | CCl4-Induced Rats |
|---|---|---|
| Liver index (g/kg) | 33.1 ± 2.30 | 43.7 ± 6.0 *** |
| ALT (U/L) | 23.2 ± 5.60 | 192 ± 21 **** |
| AST (U/L) | 80.6 ± 14.2 | 180 ± 30 **** |
| AKP (U/L) | 4598 ± 936 | 12,982 ± 887 **** |
| TBA (µmol/L) | 39.1 ± 2.80 | 264 ± 61 **** |
| Route of Administration | Analyte | Pharmacokinetic Parameters | Control Rats | CCl4-Induced Rats |
|---|---|---|---|---|
| Intravenous | BG | C5-min (ng/mL) | 11,420 ± 1144 | 8484 ± 2047 |
| t1/2 (h) | 2.42 ± 0.22 | 4.46 ± 2.17 | ||
| Ke (1/h) | 0.288 ± 0.026 | 0.195 ± 0.098 | ||
| CL (mL/h/kg) | 648 ± 167 | 2343 ± 197 | ||
| Vd (L/kg) | 2.27 ± 0.65 | 15.4 ± 8.8 | ||
| AUC0–t (h·ng/mL) | 16,218 ± 3705 | 4278 ± 335 | ||
| B | Cmax (ng/mL) | 133 ± 140 | 94.8 ± 51.2 | |
| tmax (h) | 0.083 | 0.12 ± 0.07 | ||
| t1/2 (h) | 6.16 ± 2.59 | 4.89 ± 1.35 | ||
| AUC0–t (h·ng/mL) | 55.7 ± 26.0 | 29.9 ± 2.76 | ||
| Oral | BG | Cmax (ng/mL) | 1258 ± 390 | 445 ± 110 |
| tmax (h) | 2.65 ± 1.26 | 2.60 ± 1.36 | ||
| t1/2 (h) | 12.3 ± 9.03 | 8.00 ± 1.24 | ||
| AUC0–t (h·ng/mL) | 5055 ± 1411 | 2395 ± 888 | ||
| B | Cmax (ng/mL) | 5.04 ± 1.21 | 2.30 ± 0.66 | |
| tmax (h) | 2.60 ± 0.80 | 1.70 ± 0.60 | ||
| t1/2 (h) | 39.9 ± 23.3 | 39.2 ± 11.2 | ||
| AUC0–t (h·ng/mL) | 32.6 ± 8.06 | 29.4 ± 13.2 |
Disclaimer/Publisher’s Note: The statements, opinions and data contained in all publications are solely those of the individual author(s) and contributor(s) and not of MDPI and/or the editor(s). MDPI and/or the editor(s) disclaim responsibility for any injury to people or property resulting from any ideas, methods, instructions or products referred to in the content. |
© 2025 by the authors. Licensee MDPI, Basel, Switzerland. This article is an open access article distributed under the terms and conditions of the Creative Commons Attribution (CC BY) license (https://creativecommons.org/licenses/by/4.0/).
Share and Cite
Li, P.; Tian, Y.; Wang, H.; Ji, Y.; Zeng, H.; Zhang, S.; Gao, X.; Chen, X. Effect of Hepatic Impairment on the Pharmacokinetics of Baicalin in Rats: Critical Roles of Gut Microbiota and Hepatic Transporters. Pharmaceutics 2025, 17, 851. https://doi.org/10.3390/pharmaceutics17070851
Li P, Tian Y, Wang H, Ji Y, Zeng H, Zhang S, Gao X, Chen X. Effect of Hepatic Impairment on the Pharmacokinetics of Baicalin in Rats: Critical Roles of Gut Microbiota and Hepatic Transporters. Pharmaceutics. 2025; 17(7):851. https://doi.org/10.3390/pharmaceutics17070851
Chicago/Turabian StyleLi, Ping, Yihua Tian, Hong Wang, Yuting Ji, Huiying Zeng, Shengman Zhang, Xiuli Gao, and Xiaoyan Chen. 2025. "Effect of Hepatic Impairment on the Pharmacokinetics of Baicalin in Rats: Critical Roles of Gut Microbiota and Hepatic Transporters" Pharmaceutics 17, no. 7: 851. https://doi.org/10.3390/pharmaceutics17070851
APA StyleLi, P., Tian, Y., Wang, H., Ji, Y., Zeng, H., Zhang, S., Gao, X., & Chen, X. (2025). Effect of Hepatic Impairment on the Pharmacokinetics of Baicalin in Rats: Critical Roles of Gut Microbiota and Hepatic Transporters. Pharmaceutics, 17(7), 851. https://doi.org/10.3390/pharmaceutics17070851
