Formulation and Therapeutic Evaluation of Isoxsuprine-Loaded Nanoparticles against Diabetes-Associated Stroke
Abstract
:1. Introduction
2. Materials and Methods
2.1. Materials
2.2. Experimental Design
2.3. Preparation of CLEP Formulations
2.4. Characterization of ILEP Formulations
2.4.1. Entrapment Efficiency Measurement
2.4.2. Vesicle Size Measurement
2.5. Optimization of ILEP Formulations
2.6. Characterization of the Optimized ILEP Formulation
2.6.1. Differential Scanning Calorimetry (DSC)
2.6.2. Transmission Electron Microscopy (TEM)
2.6.3. Zeta Potential and Size Distribution
2.6.4. In Vitro Release Study
2.6.5. Ex Vivo Permeation Study
2.7. In Vivo Evaluation of Optimized ILEP Formulation
2.7.1. Animals
2.7.2. Treatment Protocol
2.7.3. Neurobehavioral Study
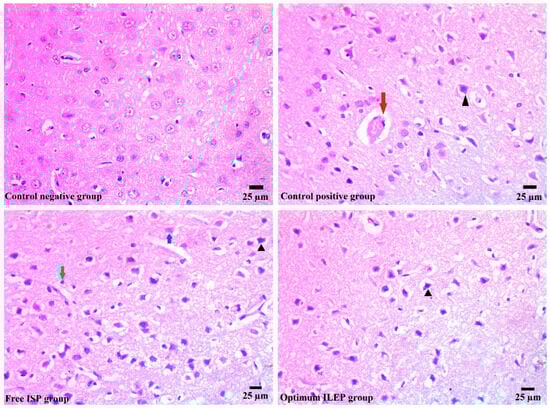
2.7.4. Histopathology Study
2.7.5. Toxicity Studies
2.8. Statistical Analysis
3. Results
3.1. Experimental Design
3.2. Characterization of ILEP Formulations
3.3. Optimization of ILEP Formulation
3.4. Characterization of Optimized ILEP Formulation
3.4.1. DSC
3.4.2. TEM
3.4.3. Zeta Potential and Size Distribution
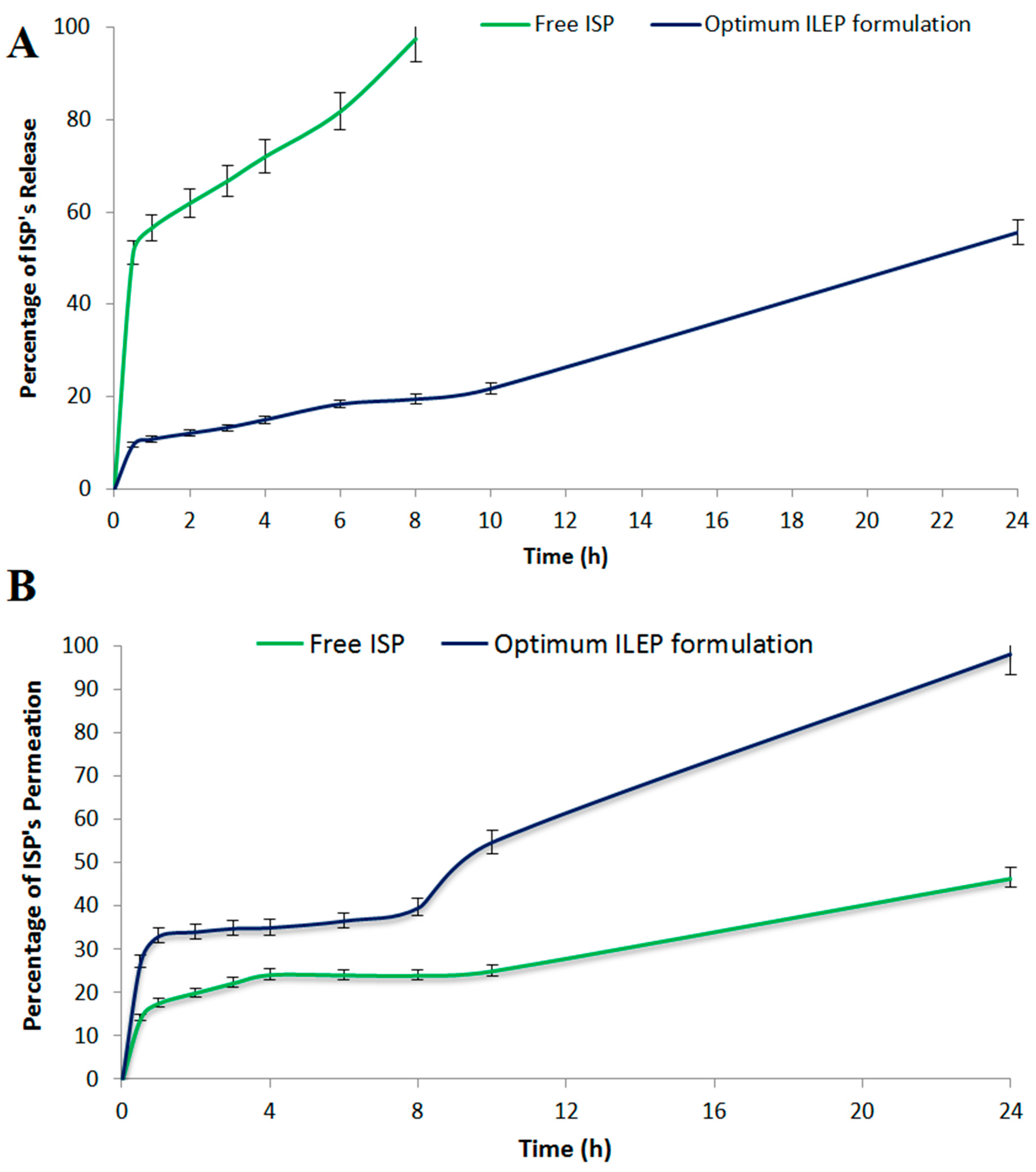
3.4.4. In Vitro Release Study
3.4.5. Ex Vivo Skin Permeation Study
3.5. In Vivo Evaluation of Optimized ILEP Formulation
3.5.1. Anti-Stroke Activity Measurement
3.5.2. Toxicity Studies
4. Discussion
5. Conclusions
Author Contributions
Funding
Institutional Review Board Statement
Informed Consent Statement
Data Availability Statement
Acknowledgments
Conflicts of Interest
References
- Mosenzon, O.; Cheng, A.Y.; Rabinstein, A.A.; Sacco, S. Diabetes and Stroke: What Are the Connections? J. Stroke 2023, 25, 26–38. [Google Scholar] [CrossRef] [PubMed]
- Tuttolomondo, A.; Maida, C.; Maugeri, R.; Iacopino, G.; Pinto, A. Relationship between diabetes and ischemic stroke: Analysis of diabetes-related risk factors for stroke and of specific patterns of stroke associated with diabetes mellitus. J Diabetes Metab 2015, 6, 544–551. [Google Scholar] [CrossRef]
- Policardo, L.; Seghieri, G.; Francesconi, P.; Anichini, R.; Franconi, F.; Seghieri, C.; Del Prato, S. Gender difference in diabetes-associated risk of first-ever and recurrent ischemic stroke. J. Diabetes Its Complicat. 2015, 29, 713–717. [Google Scholar]
- Hill, J.W.; Thompson, J.F.; Carter, M.B.; Edwards, B.S.; Sklar, L.A.; Rosenberg, G.A. Identification of isoxsuprine hydrochloride as a neuroprotectant in ischemic stroke through cell-based high-throughput screening. PLoS ONE 2014, 9, e96761. [Google Scholar] [CrossRef]
- Medina-Ruiz, D.; Erreguin-Luna, B.; Luna-Vázquez, F.J.; Romo-Mancillas, A.; Rojas-Molina, A.; Ibarra-Alvarado, C. Vasodilation elicited by isoxsuprine, identified by high-throughput virtual screening of compound libraries, involves activation of the NO/cGMP and H2S/KATP pathways and blockade of α1-adrenoceptors and calcium channels. Molecules 2019, 24, 987. [Google Scholar] [CrossRef] [PubMed]
- Luo, Y.; Tang, H.; Li, H.; Zhao, R.; Huang, Q.; Liu, J. Recent advances in the development of neuroprotective agents and therapeutic targets in the treatment of cerebral ischemia. Eur. J. Med. Chem. 2019, 162, 132–146. [Google Scholar] [CrossRef]
- Silva, A.S.; Zanesco, A. Physical exercise, β-adrenergic receptors, and vascular response. J. Vasc. Bras. 2010, 9, 47–56. [Google Scholar]
- Ciccarelli, M.; Santulli, G.; Pascale, V.; Trimarco, B.; Iaccarino, G. Adrenergic receptors and metabolism: Role in development of cardiovascular disease. Front. Physiol. 2013, 4, 265. [Google Scholar] [CrossRef]
- Motiejunaite, J.; Amar, L.; Vidal-Petiot, E. Adrenergic receptors and cardiovascular effects of catecholamines. In Annales D’endocrinologie.; Elsevier: Amsterdam, The Netherlands, 2021. [Google Scholar]
- Hostrup, M.; Jacobson, G.A.; Jessen, S.; Lemminger, A.K. Anabolic and lipolytic actions of beta2-agonists in humans and antidoping challenges. Drug Test. Anal. 2020, 12, 597–609. [Google Scholar] [CrossRef]
- Onslev, J.; Thomasson, M.; Wojtaszewski, J.; Bangsbo, J.; Hostrup, M. Beta2-adrenoceptor agonist salbutamol increases leg glucose uptake and metabolic rate but not muscle glycogen resynthesis in recovery from resistance exercise of the quadriceps in lean young men. bioRxiv 2021, 30, 2021-04. [Google Scholar]
- Hostrup, M.; Onslev, J. The beta2-adrenergic receptor–a re-emerging target to combat obesity and induce leanness? J. Physiol. 2022, 600, 1209–1227. [Google Scholar] [CrossRef]
- Marzo, A.; Zava, D.; Coa, K.; Dal Bo, L.; Ismaili, S.; Tavazzi, S. Pharmacokinetics of isoxsuprine hydrochloride administered orally and intramuscularly to female healthy volunteers. Arzneimittelforschung 2009, 59, 455–460. [Google Scholar] [CrossRef] [PubMed]
- Jain, P.; Kushwaha, R.; Khan, A. Formulation and Evaluation of Sustained Release Matrix Tablets of Isoxsuprine Hydrochloride by Direct Compression Method. J. Drug Deliv. Ther. 2019, 9, 80–85. [Google Scholar]
- Verma, H.; Gupta, B. Bioequivalence study of isoxsuprine hcl 40 mg (sr) capsules in healthy indian volunteers. Int. J. Pharmacol. Toxicol. Sci. 2013, 3, 17–23. [Google Scholar]
- Cunha, S.; Amaral, M.; Lobo, J.S.; Silva, A. Lipid nanoparticles for nasal/intranasal drug delivery. Crit. Rev. Ther. Drug Carr. Syst. 2017, 34, 257–282. [Google Scholar] [CrossRef]
- Fasiolo, L.T.; Manniello, M.D.; Tratta, E.; Buttini, F.; Rossi, A.; Sonvico, F.; Bortolotti, F.; Russo, P.; Colombo, G. Opportunity and challenges of nasal powders: Drug formulation and delivery. Eur. J. Pharm. Sci. 2018, 113, 2–17. [Google Scholar] [CrossRef]
- Wang, X.; Liu, G.; Ma, J.; Guo, S.; Gao, L.; Jia, Y.; Li, X.; Zhang, Q. In situ gel-forming system: An attractive alternative for nasal drug delivery. Crit. Rev Ther. Drug Carr. Syst. 2013, 30, 411–434. [Google Scholar] [CrossRef]
- Gamal, A.; Saeed, H.; El-Ela, F.I.A.; Salem, H.F. Improving the antitumor activity and bioavailability of sonidegib for the treatment of skin cancer. Pharmaceutics 2021, 13, 1560. [Google Scholar] [CrossRef]
- Salem, H.F.; Gamal, A.; Saeed, H.; Tulbah, A.S. The impact of improving dermal permeation on the efficacy and targeting of liposome nanoparticles as a potential treatment for breast cancer. Pharmaceutics 2021, 13, 1633. [Google Scholar] [CrossRef] [PubMed]
- Abdulbaqi, I.M.; Darwis, Y.; Khan, N.A.K.; Abou Assi, R.; Khan, A.A. Ethosomal nanocarriers: The impact of constituents and formulation techniques on ethosomal properties, in vivo studies, and clinical trials. Int. J. Nanomed. 2016, 11, 2279. [Google Scholar] [CrossRef]
- Zhang, J.-P.; Wei, Y.-H.; Zhou, Y.; Li, Y.-Q.; Wu, X.-A. Ethosomes, binary ethosomes and transfersomes of terbinafine hydrochloride: A comparative study. Arch. Pharmacal Res. 2012, 35, 109–117. [Google Scholar] [CrossRef]
- Salem, H.F.; Gamal, A.; Saeed, H.; Kamal, M.; Tulbah, A.S. Enhancing the Bioavailability and Efficacy of Vismodegib for the Control of Skin Cancer: In Vitro and In Vivo Studies. Pharmaceuticals 2022, 15, 126. [Google Scholar] [CrossRef] [PubMed]
- Ong, S.; Ming, L.; Lee, K.; Yuen, K. Influence of the Encapsulation Efficiency and Size of Liposome on the Oral Bioavailability of Griseofulvin-Loaded Liposomes. Pharmaceutics 2016, 8, 25. [Google Scholar] [CrossRef] [PubMed]
- Pace, J.R.; Jog, R.; Burgess, D.J.; Hadden, M.K. Formulation and evaluation of itraconazole liposomes for Hedgehog pathway inhibition. J. Liposome Res. 2020, 30, 305–311. [Google Scholar] [CrossRef]
- Ullmann, K.; Leneweit, G.; Nirschl, H. How to achieve high encapsulation efficiencies for macromolecular and sensitive APIs in liposomes. Pharmaceutics 2021, 13, 691. [Google Scholar] [CrossRef]
- Gonzalez Gomez, A.; Syed, S.; Marshall, K.; Hosseinidoust, Z. Liposomal nanovesicles for efficient encapsulation of staphylococcal antibiotics. ACS Omega 2019, 4, 10866–10876. [Google Scholar] [CrossRef]
- Imam, S.S.; Alshehri, S.; Altamimi, M.A.; Hussain, A.; Qamar, W.; Gilani, S.J.; Zafar, A.; Alruwaili, N.; Alanazi, S.; Almutairy, B. Formulation of piperine–chitosan-coated liposomes: Characterization and in vitro cytotoxic evaluation. Molecules 2021, 26, 3281. [Google Scholar] [CrossRef] [PubMed]
- El-Ela, F.I.A.; Gamal, A.; Elbanna, H.A.; ElBanna, A.H.; Salem, H.F.; Tulbah, A.S. In Vitro and In Vivo Evaluation of the Effectiveness and Safety of Amygdalin as a Cancer Therapy. Pharmaceuticals 2022, 15, 1306. [Google Scholar] [CrossRef] [PubMed]
- Sayed, O.M.; Abo El-Ela, F.I.; Kharshoum, R.M.; Salem, H.F. Treatment of basal cell carcinoma via binary ethosomes of vismodegib: In vitro and in vivo studies. AAPS PharmSciTech 2020, 21, 51. [Google Scholar]
- Salem, H.F.; Kharshoum, R.M.; Gamal, F.A.; Abo El-Ela, F.I.; Abdellatif, K.R. Treatment of breast cancer with engineered novel pH-sensitive triaryl-(Z)-olefin niosomes containing hydrogel: An in vitro and in vivo study. J. Liposome Res. 2020, 30, 126–135. [Google Scholar] [CrossRef] [PubMed]
- Ding, P.-F.; Zhang, H.-S.; Wang, J.; Gao, Y.-Y.; Mao, J.-N.; Hang, C.-H.; Li, W. Insulin resistance in ischemic stroke: Mechanisms and therapeutic approaches. Front. Endocrinol. 2022, 13, 1092431. [Google Scholar] [CrossRef] [PubMed]
- Akbarzadeh, A.; Norouzian, D.; Mehrabi, M.; Jamshidi, S.; Farhangi, A.; Verdi, A.A. Induction of diabetes by streptozotocin in rats. Indian J. Clin. Biochem. 2007, 22, 60–64. [Google Scholar] [CrossRef] [PubMed]
- Ekeanyanwu, R.C.; Njoku, O.U. Acute and subacute oral toxicity study on the flavonoid rich fraction of Monodora tenuifolia seed in albino rats. Asian Pac. J. Trop. Biomed. 2014, 4, 194–202. [Google Scholar] [CrossRef] [PubMed]
- Kumar, R.; Salwe, K.J.; Kumarappan, M. Evaluation of antioxidant, hypolipidemic, and antiatherogenic property of lycopene and astaxanthin in atherosclerosis-induced rats. Pharmacogn. Res. 2017, 9, 161. [Google Scholar]
- Hill, J.W. Treatment and Prevention of Stroke and Other Neurological Disorders. US Patent App. 16/242,404, 2019. Google Patents. [Google Scholar]
- Ashafaq, M.; Alam, M.I.; Khan, A.; Islam, F.; Khuwaja, G.; Hussain, S.; Ali, R.; Alshahrani, S.; Makeen, H.; Alhazmi, H. Nanoparticles of resveratrol attenuates oxidative stress and inflammation after ischemic stroke in rats. Int. Immunopharmacol. 2021, 94, 107494. [Google Scholar] [CrossRef] [PubMed]
- Zhao, Y.; Li, D.; Zhu, Z.; Sun, Y. Improved neuroprotective effects of gallic acid-loaded chitosan nanoparticles against ischemic stroke. Rejuvenation Res. 2020, 23, 284–292. [Google Scholar] [CrossRef] [PubMed]
- Tabassum, R.; Vaibhav, K.; Shrivastava, P.; Khan, A.; Ejaz Ahmed, M.; Javed, H.; Islam, F.; Ahmad, S.; Saeed, S.; Safhi, M. Centella asiatica attenuates the neurobehavioral, neurochemical and histological changes in transient focal middle cerebral artery occlusion rats. Neurol. Sci. 2013, 34, 925–933. [Google Scholar]
- Porwal, M.; Khan, N.A.; Maheshwari, K.K. Evaluation of acute and subacute oral toxicity induced by ethanolic extract of Marsdenia tenacissima leaves in experimental rats. Sci. Pharm. 2017, 85, 29. [Google Scholar] [CrossRef] [PubMed]
- Shen, L.-N.; Zhang, Y.-T.; Wang, Q.; Xu, L.; Feng, N.-P. Enhanced in vitro and in vivo skin deposition of apigenin delivered using ethosomes. Int. J. Pharm. 2014, 460, 280–288. [Google Scholar] [CrossRef] [PubMed]
- Li, G.; Fan, Y.; Fan, C.; Li, X.; Wang, X.; Li, M.; Liu, Y. Tacrolimus-loaded ethosomes: Physicochemical characterization and in vivo evaluation. Eur. J. Pharm. Biopharm. 2012, 82, 49–57. [Google Scholar] [CrossRef]
- Abdelbary, A.A.; AbouGhaly, M.H. Design and optimization of topical methotrexate loaded niosomes for enhanced management of psoriasis: Application of Box–Behnken design, in-vitro evaluation and in-vivo skin deposition study. Int. J. Pharm. 2015, 485, 235–243. [Google Scholar] [CrossRef]
- Awan, Z.A.; AlGhamdi, S.A.; Alhakamy, N.A.; Okbazghi, S.Z.; Alfaleh, M.A.; Badr-Eldin, S.M. Optimized 2-methoxyestradiol invasomes fortified with apamin: A promising approach for suppression of A549 lung cancer cells. Drug Deliv. 2022, 29, 1536–1548. [Google Scholar] [CrossRef] [PubMed]
- Akhtar, N.; Pathak, K. Cavamax W7 composite ethosomal gel of clotrimazole for improved topical delivery: Development and comparison with ethosomal gel. AAPS Pharmscitech 2012, 13, 344–355. [Google Scholar] [CrossRef]
- Tawfik, M.A.; Tadros, M.I.; Mohamed, M.I.; Nageeb El-Helaly, S. Low-frequency versus high-frequency ultrasound-mediated transdermal delivery of agomelatine-loaded invasomes: Development, optimization and in-vivo pharmacokinetic assessment. Int. J. Nanomed. 2020, 15, 8893–8910. [Google Scholar] [CrossRef] [PubMed]
- Babaie, S.; Del Bakhshayesh, A.R.; Ha, J.W.; Hamishehkar, H.; Kim, K.H. Invasome: A novel nanocarrier for transdermal drug delivery. Nanomaterials 2020, 10, 341. [Google Scholar] [CrossRef]
- Banerjee, C.; Chimowitz, M.I. Stroke caused by atherosclerosis of the major intracranial arteries. Circ. Res. 2017, 120, 502–513. [Google Scholar] [CrossRef] [PubMed]
- Li, D.; Dai, W.; Cai, Y.; Han, Y.; Yao, G.; Chen, H.; Yuan, C.; Xiao, L.; Zhao, X. Atherosclerosis in stroke-related vascular beds and stroke risk: A 3-D MR vessel wall imaging study. Ann. Clin. Transl. Neurol. 2018, 5, 1599–1610. [Google Scholar] [CrossRef]
- Lian, N.; Tong, J.; Li, W.; Wu, J.; Li, Y. Ginkgetin ameliorates experimental atherosclerosis in rats. Biomed. Pharmacother. 2018, 102, 510–516. [Google Scholar] [CrossRef]
- Hadaegh, F.; Mohebi, R.; Cheraghi, L.; Tohidi, M.; Moghaddam, N.B.; Bozorogmanesh, M. Do different metabolic syndrome definitions predict cerebrovascular events and coronary heart disease independent of their components? 9 years follow-up of the Tehran lipid and glucose study. Stroke 2012, 43, 1669–1671. [Google Scholar] [CrossRef]
- Wouters, K.; Shiri-Sverdlov, R.; van Gorp, P.J.; van Bilsen, M.; Hofker, M.H. Understanding hyperlipidemia and atherosclerosis: Lessons from genetically modified apoe and ldlr mice. Clin. Chem. Lab. Med. (CCLM) 2005, 43, 470–479. [Google Scholar] [CrossRef]
- Nangare, S.; Dugam, S. Smart invasome synthesis, characterizations, pharmaceutical applications, and pharmacokinetic perspective: A review. Future J. Pharm. Sci. 2020, 6, 1–21. [Google Scholar] [CrossRef]







| Independent Variables | Coded Values | |||||||
|---|---|---|---|---|---|---|---|---|
| −1 | 0 | +1 | ||||||
| X1: concentration of propylene glycol (%) | 5 | 10 | 15 | |||||
| X2: concentration of phospholipid (%) | 1 | 3 | 5 | |||||
| X3: concentration of ethanol (%) | 0 | 5 | 10 | |||||
| Dependent Variables | Model | Lack of Fit | F-value | p-value | Constraints | |||
| Y1: Entrapment efficiency (%) | Quadratic | 0.8584 | 3499.20 | <0.0001 | Maximize | |||
| Y2: Vesicle size (nm) | Quadratic | 0.4792 | 1337.81 | <0.0001 | Minimize | |||
| Run | Factors Levels in Actual Values | Responses (n = 3) | |||
|---|---|---|---|---|---|
| X1: Concentration of Propylene Glycol (%) | X2: Concentration of Phospholipid (%) | X3: Concentration of Ethanol (%) | Entrapment Efficiency (% ± SD) | Vesicle Size (nm ± SD) | |
| F1 | 10 | 1 | 10 | 78.84 ± 0.22 | 141.77 ± 4.90 |
| F2 | 10 | 1 | 0 | 74.30 ± 0.30 | 195.53 ± 4.80 |
| F3 | 10 | 3 | 5 | 84.27 ± 0.25 | 217.33 ± 3.79 |
| F4 | 5 | 3 | 10 | 85.66 ± 0.24 | 203.00 ± 3.61 |
| F5 | 5 | 3 | 0 | 81.32 ± 0.25 | 261.33 ± 5.51 |
| F6 | 15 | 3 | 0 | 82.90 ± 0.19 | 230.60 ± 3.67 |
| F7 | 5 | 1 | 5 | 75.85 ± 0.26 | 179.83 ± 7.15 |
| F8 | 10 | 3 | 5 | 84.33 ± 0.22 | 215.67 ± 7.02 |
| F9 | 10 | 5 | 10 | 94.34 ± 0.24 | 369.67 ± 4.51 |
| F10 | 15 | 5 | 5 | 93.01 ± 0.21 | 372.13 ± 6.74 |
| F11 | 15 | 1 | 5 | 77.30 ± 0.22 | 151.80 ± 9.82 |
| F12 | 15 | 3 | 10 | 87.46 ± 0.27 | 170.47 ± 3.88 |
| F13 | 10 | 5 | 0 | 90.00 ± 0.19 | 424.57 ± 5.52 |
| F14 | 5 | 5 | 5 | 91.40 ± 0.27 | 405.67 ± 7.02 |
| F15 | 10 | 3 | 5 | 84.31 ± 0.24 | 213.33 ± 4.51 |
Disclaimer/Publisher’s Note: The statements, opinions and data contained in all publications are solely those of the individual author(s) and contributor(s) and not of MDPI and/or the editor(s). MDPI and/or the editor(s) disclaim responsibility for any injury to people or property resulting from any ideas, methods, instructions or products referred to in the content. |
© 2023 by the authors. Licensee MDPI, Basel, Switzerland. This article is an open access article distributed under the terms and conditions of the Creative Commons Attribution (CC BY) license (https://creativecommons.org/licenses/by/4.0/).
Share and Cite
Abou-Taleb, H.A.; Aldosari, B.N.; Zaki, R.M.; Afzal, O.; Tulbah, A.S.; Shahataa, M.G.; Abo El-Ela, F.I.; Salem, H.F.; Fouad, A.G. Formulation and Therapeutic Evaluation of Isoxsuprine-Loaded Nanoparticles against Diabetes-Associated Stroke. Pharmaceutics 2023, 15, 2242. https://doi.org/10.3390/pharmaceutics15092242
Abou-Taleb HA, Aldosari BN, Zaki RM, Afzal O, Tulbah AS, Shahataa MG, Abo El-Ela FI, Salem HF, Fouad AG. Formulation and Therapeutic Evaluation of Isoxsuprine-Loaded Nanoparticles against Diabetes-Associated Stroke. Pharmaceutics. 2023; 15(9):2242. https://doi.org/10.3390/pharmaceutics15092242
Chicago/Turabian StyleAbou-Taleb, Heba A., Basmah Nasser Aldosari, Randa Mohammed Zaki, Obaid Afzal, Alaa S. Tulbah, Mary Girgis Shahataa, Fatma I. Abo El-Ela, Heba F. Salem, and Amr Gamal Fouad. 2023. "Formulation and Therapeutic Evaluation of Isoxsuprine-Loaded Nanoparticles against Diabetes-Associated Stroke" Pharmaceutics 15, no. 9: 2242. https://doi.org/10.3390/pharmaceutics15092242
APA StyleAbou-Taleb, H. A., Aldosari, B. N., Zaki, R. M., Afzal, O., Tulbah, A. S., Shahataa, M. G., Abo El-Ela, F. I., Salem, H. F., & Fouad, A. G. (2023). Formulation and Therapeutic Evaluation of Isoxsuprine-Loaded Nanoparticles against Diabetes-Associated Stroke. Pharmaceutics, 15(9), 2242. https://doi.org/10.3390/pharmaceutics15092242

