Experimental Infection of Calves by Two Genetically-Distinct Strains of Rift Valley Fever Virus
Abstract
:1. Introduction
2. Materials and Methods
2.1. Virus Strains and Cell Culture
2.2. Animals and Experimental Design
2.3. Virus Isolation and Plaque Titration
2.4. Viral RNA Extraction and Real-Time RT-PCR
2.4.1. RNA Copy Number Determination
2.5. RVFV Serology
2.5.1. Anti-RVFV IgG Antibody Response
2.5.2. Plaque Reduction Neutralization Test
2.6. Blood Chemistry Analyses
2.7. Liver Pathology
2.8. Statistical Analysis
3. Results
3.1. Rectal Temperatures
3.2. RT-RCR and Viremia
3.3. Viral Load or Titers in Tissues
3.4. Serological Responses
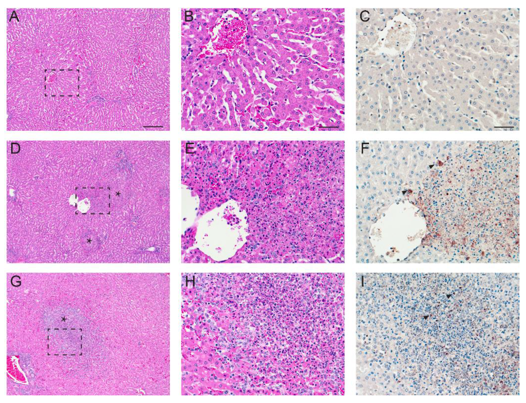
3.5. Pathology
3.6. Blood Chemistry
4. Discussion
Acknowledgments
Author Contributions
Conflicts of Interest
References
- Ikegami, T.; Makino, S. Rift valley fever vaccines. Vaccine 2009, 27, D69–D72. [Google Scholar] [CrossRef] [PubMed]
- Chevalier, V. Relevance of Rift Valley fever to public health in the European Union. Clin. Microbiol. Infect. 2013, 19, 705–708. [Google Scholar] [CrossRef] [PubMed]
- Rolin, A.I.; Berrang-Ford, L.; K, M.A. The risk of Rift Valley fever virus introduction and establishment in the United States and European Union. Emerg Microb Infect 2013, 2, e81. [Google Scholar] [CrossRef] [PubMed]
- Iranpour, M.; Turell, M.J.; Lindsay, L.R. Potential for Canadian mosquitoes to transmit Rift Valley fever virus. J. Am. Mosq. Control Assoc. 2011, 27, 363–369. [Google Scholar] [CrossRef] [PubMed]
- Turell, M.J.; Wilson, W.C.; Bennett, K.E. Potential for North American mosquitoes (Diptera: Culicidae) to transmit rift valley fever virus. J. Med. Entomol. 2010, 47, 884–889. [Google Scholar] [CrossRef] [PubMed]
- Turell, M.J.; Dohm, D.J.; Mores, C.N.; Terracina, L.; Wallette, D.L.; Hribar, L.J.; Pecor, J.E.; Blow, J.A. Potential for North American mosquitoes to transmit Rift Valley fever virus. J. Am. Mosq. Control Assoc. 2008, 24, 502–507. [Google Scholar] [CrossRef] [PubMed]
- Gerdes, G.H. Rift Valley fever. Rev. Sci. Technol. 2004, 23, 613–623. [Google Scholar] [CrossRef]
- Pepin, M.; Bouloy, M.; Bird, B.H.; Kemp, A.; Paweska, J. Rift Valley fever virus (Bunyaviridae: Phlebovirus): An update on pathogenesis, molecular epidemiology, vectors, diagnostics and prevention. Vet. Res. 2010, 41, 61. [Google Scholar] [CrossRef] [PubMed]
- Ikegami, T.; Makino, S. The pathogenesis of Rift Valley fever. Viruses 2011, 3, 493–519. [Google Scholar] [CrossRef] [PubMed]
- Nguku, P.M.; Sharif, S.K.; Mutonga, D.; Amwayi, S.; Omolo, J.; Mohammed, O.; Farnon, E.C.; Gould, L.H.; Lederman, E.; Rao, C.; et al. An investigation of a major outbreak of Rift Valley fever in Kenya: 2006–2007. Am. J. Trop. Med. Hyg. 2010, 83, 5–13. [Google Scholar] [CrossRef] [PubMed]
- Nanyingi, M.O.; Munyua, P.; Kiama, S.G.; Muchemi, G.M.; Thumbi, S.M.; Bitek, A.O.; Bett, B.; Muriithi, R.M.; Njenga, M.K. A systematic review of Rift Valley Fever epidemiology 1931–2014. Infect. Ecol. Epidemiol. 2015, 5, 1–12. [Google Scholar] [CrossRef] [PubMed]
- NIH, NIAID Emerging Infectious Diseases/Pathogens. Available online: http://www.niaid.nih.gov/topics/biodefenserelated/biodefense/pages/cata.aspx (accessed on 16 March 2016).
- Mandell, R.B.; Flick, R. Rift Valley fever virus: A real bioterror threat. J. Bioterror. Biodef. 2011, 2, 108. [Google Scholar] [CrossRef]
- Kortekaas, J. One Health approach to Rift Valley fever vaccine development. Antivir. Res. 2014, 106, 24–32. [Google Scholar] [CrossRef] [PubMed]
- Faburay, B. The case for a “one health” approach to combatting vector-borne diseases. Infect. Ecol. Epidemiol. 2015, 5, 1–4. [Google Scholar] [CrossRef] [PubMed]
- Smithburn, K.C. Rift Valley fever: The neurotropic adaptation of the virus and experimental use of the modified virus as a vaccine. Br. J. Exp. Pathol. 1949, 30, 1–16. [Google Scholar] [PubMed]
- Dungu, B.; Louw, I.; Lubisi, A.; Hunter, P.; von Teichman, B.F.; Bouloy, M. Evaluation of the efficacy and safety of the Rift Valley Fever Clone 13 vaccine in sheep. Vaccine 2010, 28, 4581–4587. [Google Scholar] [CrossRef] [PubMed]
- Von Teichman, B.; Engelbrecht, A.; Zulu, G.; Dungu, B.; Pardini, A.; Bouloy, M. Safety and efficacy of Rift Valley fever Smithburn and Clone 13 vaccines in calves. Vaccine 2011, 29, 5771–5777. [Google Scholar] [CrossRef] [PubMed]
- Morrill, J.C.; Jennings, G.B.; Caplen, H.; Turell, M.J.; Johnson, A.J.; Peters, C.J. Pathogenicity and immunogenicity of a mutagen-attenuated Rift Valley fever virus immunogen in pregnant ewes. Am. J. Vet. Res. 1987, 48, 1042–1047. [Google Scholar] [PubMed]
- Morrill, J.C.; Peters, C.J. Protection of MP-12-vaccinated rhesus macaques against parenteral and aerosol challenge with virulent Rift Valley fever virus. J. Infect. Dis. 2011, 204, 229–236. [Google Scholar] [CrossRef] [PubMed]
- Caplen, H.; Peters, C.J.; Bishop, D.H. Mutagen-directed attenuation of Rift Valley fever virus as a method for vaccine development. J Gen. Virol. 1985, 66, 2271–2277. [Google Scholar] [CrossRef] [PubMed]
- Hill, R.E. Issuance of a Conditional License for Rift Valley Fever Vaccine, Modified Live Virus; CVB Notices 13–12; United States Department of Agriculture: Washington, DC, USA, 2013. [Google Scholar]
- Pittman, P.R.; McClain, D.; Quinn, X.; Coonan, K.M.; Mangiafico, J.; Makuch, R.S.; Morrill, J.; Peters, C.J. Safety and immunogenicity of a mutagenized, live attenuated Rift Valley fever vaccine, MP-12, in a Phase 1 dose escalation and route comparison study in humans. Vaccine 2016, 34, 424–429. [Google Scholar] [CrossRef] [PubMed]
- Pittman, P.R.; Norris, S.L.; Brown, E.S.; Ranadive, M.V.; Schibly, B.A.; Bettinger, G.E.; Lokugamage, N.; Korman, L.; Morrill, J.C.; Peters, C.J. Rift Valley fever MP-12 vaccine Phase 2 clinical trial: Safety, immunogenicity, and genetic characterization of virus isolates. Vaccine 2016, 34, 523–530. [Google Scholar] [CrossRef] [PubMed]
- Hunter, P.; Erasmus, B.J.; Vorster, J.H. Teratogenicity of a mutagenised Rift Valley fever virus (MVP 12) in sheep. Onderstepoort J. Vet. Res. 2002, 69, 95–98. [Google Scholar] [PubMed]
- Warimwe, G.M.; Gesharisha, J.; Carr, B.V.; Otieno, S.; Otingah, K.; Wright, D.; Charleston, B.; Okoth, E.; Elena, L.-G.; Lorenzo, G.; et al. Chimpanzee Adenovirus Vaccine Provides Multispecies Protection against Rift Valley Fever. Sci. Rep. 2016, 6, 1–7. [Google Scholar] [CrossRef] [PubMed]
- Ross, T.M.; Bhardwaj, N.; Bissel, S.J.; Hartman, A.L.; Smith, D.R. Animal models of Rift Valley fever virus infection. Virus Res. 2012, 163, 417–423. [Google Scholar] [CrossRef] [PubMed]
- Bird, B.H.; Maartens, L.H.; Campbell, S.; Erasmus, B.J.; Erickson, B.R.; Dodd, K.A.; Spiropoulou, C.F.; Cannon, D.; Drew, C.P.; Knust, B.; et al. Rift Valley fever virus vaccine lacking the NSs and NSm genes is safe, nonteratogenic, and confers protection from viremia, pyrexia, and abortion following challenge in adult and pregnant sheep. J. Virol. 2011, 85, 12901–12909. [Google Scholar] [CrossRef] [PubMed]
- Weingartl, H.M.; Miller, M.; Nfon, C.; Wilson, W.C. Development of a Rift Valley fever virus viremia challenge model in sheep and goats. Vaccine 2014, 32, 2337–2344. [Google Scholar] [CrossRef] [PubMed]
- Weingartl, H.M.; Nfon, C.K.; Zhang, S.; Marszal, P.; Wilson, W.C.; Morrill, J.C.; Bettinger, G.E.; Peters, C.J. Efficacy of a recombinant Rift Valley fever virus MP-12 with NSm deletion as a vaccine candidate in sheep. Vaccine 2014, 32, 2345–2349. [Google Scholar] [CrossRef] [PubMed]
- Faburay, B.; Gaudreault, N.N.; Liu, Q.; Davis, A.S.; Shivanna, V.; Sunwoo, S.Y.; Lang, Y.; Morozov, I.; Ruder, M.; Drolet, B.; et al. Development of a sheep challenge model for Rift Valley fever. Virology 2016, 489, 128–140. [Google Scholar] [CrossRef] [PubMed]
- Miller, B.R.; Godsey, M.S.; Crabtree, M.B.; Savage, H.M.; Al-Mazrao, Y.; Al-Jeffri, M.H.; Abdoon, A.-M.M.; Al-Seghayer, S.M.; Al-Shahrani, A.M.; Ksiazek, T.G. Isolation and genetic characterization of Rift Valley fever virus from Aedes vexans arabiensis, Kingdom of Saudi Arabia. Emerg. Infect. Dis. 2002, 8, 1492–1494. [Google Scholar] [CrossRef] [PubMed]
- Madani, T.A.; Al-Mazrou, Y.Y.; Al-Jeffri, M.H.; Mishkhas, A.A.; Al-Rabeah, A.M.; Turkistani, A.M.; Al-Sayed, M.O.; Abodahish, A.A.; Khan, A.S.; Ksiazek, T.G.; et al. Rift Valley fever epidemic in Saudi Arabia: Epidemiological, clinical, and laboratory characteristics. Clin. Infect. Dis. 2003, 37, 1084–1092. [Google Scholar] [CrossRef] [PubMed]
- Sang, R.; Kioko, E.; Lutomiah, J.; Warigia, M.; Ochieng, C.; O’Guinn, M.; Lee, J.S.; Koka, H.; Godsey, M.; Hoel, D.; et al. Rift Valley fever virus epidemic in Kenya, 2006/2007: The entomologic investigations. Am. J. Trop. Med. Hyg. 2010, 83, 28–37. [Google Scholar] [CrossRef] [PubMed]
- Gaudreault, N.N.; Indran, S.V.; Bryant, P.K.; Richt, J.A.; Wilson, W.C. Comparison of Rift Valley fever virus replication in North American livestock and wildlife cell lines. Front. Microbiol. 2015, 6, 664. [Google Scholar] [CrossRef] [PubMed]
- Wilson, W.C.; Romito, M.; Jasperson, D.C.; Weingartl, H.; Binepal, Y.S.; Maluleke, M.R.; Wallace, D.B.; van Vuren, P.J.; Paweska, J.T. Development of a Rift Valley fever real-time RT-PCR assay that can detect all three genome segments. J. Virol. Methods 2013, 193, 426–431. [Google Scholar] [CrossRef] [PubMed]
- Copy number calculator for realtime PCR. Available online: http://scienceprimer.com/copy-number-calculator-for-realtime-pcr (accessed on 7 May 2016).
- Faburay, B.; Wilson, W.; McVey, D.S.; Drolet, B.S.; Weingartl, H.; Madden, D.; Young, A.; Ma, W.; Richt, J.A. Rift Valley fever virus structural and nonstructural proteins: Recombinant protein expression and immunoreactivity against antisera from sheep. Vector Borne Zoonotic Dis. 2013, 13, 619–629. [Google Scholar] [CrossRef] [PubMed]
- Faburay, B.; Lebedev, M.; McVey, D.S.; Wilson, W.; Morozov, I.; Young, A.; Richt, J.A. A glycoprotein subunit vaccine elicits a strong rift valley Fever virus neutralizing antibody response in sheep. Vector Borne Zoonotic Dis. 2014, 14, 746–756. [Google Scholar] [CrossRef] [PubMed]
- Drolet, B.S.; Weingartl, H.M.; Jiang, J.; Neufeld, J.; Marszal, P.; Lindsay, R.; Miller, M.M.; Czub, M.; Wilson, W.C. Development and evaluation of one-step rRT-PCR and immunohistochemical methods for detection of Rift Valley fever virus in biosafety level 2 diagnostic laboratories. J. Virol. Methods 2012, 179, 373–382. [Google Scholar] [CrossRef] [PubMed]
- Indran, S.V.; Ikegami, T. Novel approaches to develop Rift Valley fever vaccines. Front. Cell. Infect. Microbiol. 2012, 2, 131. [Google Scholar] [CrossRef] [PubMed]
- Morrill, J.C.; Laughlin, R.C.; Lokugamage, N.; Wu, J.; Pugh, R.; Kanani, P.; Adams, L.G.; Makino, S.; Peters, C.J. Immunogenicity of a recombinant Rift Valley fever MP-12-NSm deletion vaccine candidate in calves. Vaccine 2013, 31, 4988–4994. [Google Scholar] [CrossRef] [PubMed]
- Mansfield, K.L.; Banyard, A.C.; McElhinney, L.; Johnson, N.; Horton, D.L.; Hernández-Triana, L.M.; Fooks, A.R. Rift Valley fever virus: A review of diagnosis and vaccination, and implications for emergence in Europe. Vaccine 2015, 33, 5520–5531. [Google Scholar] [CrossRef] [PubMed]
- Rippy, M.K.; Topper, M.J.; Mebus, C.A.; Morrill, J.C. Rift Valley fever virus-induced encephalomyelitis and hepatitis in calves. Vet. Pathol. 1992, 29, 495–502. [Google Scholar] [CrossRef] [PubMed]
- Smith, D.R.; Bird, B.H.; Lewis, B.; Johnston, S.C.; McCarthy, S.; Keeney, A.; Botto, M.; Donnelly, G.; Shamblin, J.; Albarino, C.G.; et al. Development of a novel nonhuman primate model for Rift Valley fever. J. Virol. 2012, 86, 2109–2120. [Google Scholar] [CrossRef] [PubMed]





| Histopathology Score | Description |
|---|---|
| 0 | Multifocal, peri-portal, mild lymphoplasmacytic (lymphocytes and plasma cells) inflammation (background lesion) |
| 1 | Multifocal, mid-zonal to central foci of lymphohistiocytic (lymphocytes and macrophages) inflammation with lesser numbers of plasma cells and occasional single hepatocyte necrosis accompanied by low numbers of neutrophils |
| 2 | Multifocal, up to 1-mm areas of mid-zonal to central lymphohistiocytic inflammation involving up to 5% of the examined parenchyma; in the foci with central necrosis, the inflammation shifts to predominantly neutrophils; less than 5% of examined parenchyma involved |
| 3 | As prior, but including scattered necrotic foci that have >1 mm-diameter areas and involving up to 20% of the hepatic tissue reviewed; scattered hepatocyte apoptosis is additionally present |
| 4 | Greater than 20% of the hepatic parenchyma involved with lesions, as described previously; additionally, there is prominent multifocal hemorrhage |
| Days Post-Infection | |||||||||
|---|---|---|---|---|---|---|---|---|---|
| Strain | No. | 0 | 1 | 2 | 3 | 4 | 5 | 6 | 7 |
| SA01 | 33 | 39.4 | 38.7 | 38.8 | 39.0 | 38.6 | 39.8 | 38.3 | |
| 34 | 39.2 | 38.8 | 39.6 | 38.9 | 38.7 | 38.5 | |||
| 37 | 38.9 | 38.9 | 38.8 | 39.0 | 38.7 | ||||
| 39 | 39.1 | 38.4 | 39.8 | 39.2 | 38.8 | 38.9 | 38.6 | ||
| 43 | 39.8 | 38.9 | 39.5 | ||||||
| Ken06 | 36 | 39.4 | 39.3 | 38.3 | 38.7 | 38.8 | |||
| 38 | 38.9 | 38.9 | |||||||
| 40 | 39.0 | 38.8 | 38.8 | 38.9 | 38.8 | 39.3 | 38.5 | ||
| 41 | 39.2 | 39.1 | 39.8 | ||||||
| 44 | 39.4 | 39.7 | 39.5 | 39.1 | 38.3 | 38.3 | 38.5 | ||
| Control | 35 | 39.1 | 39.4 | 38.8 | 38.6 | 38.4 | 38.7 | 38.3 | 38.3 |
| 42 | 39.0 | 38.5 | 38.9 | 39.3 | 38.6 | 38.8 | 38.5 | ||
| Days Post-Infection | |||||||||||
|---|---|---|---|---|---|---|---|---|---|---|---|
| 3 | 4 | 5 | 10 | 20 | |||||||
| Ct | Titer | Ct | Titer | Ct | Titer | Ct | Titer | Ct | Titer | ||
| SA01 | Brain | ND | - | ND | - | ND | - | ND | - | ND | - |
| Kidney | ND | - | 37 | - | 26 | 1.5 × 102 | ND | - | ND | - | |
| Liver | 30 | 4.0 × 10° | 30 | - | 29 | - | 37 | - | ND | - | |
| Spleen | 31 | - | 33 | - | 32 | - | 33 | - | 38 | - | |
| Ken06 | Brain | 34 | - | 31 | - | 38 | - | ND | - | ND | - |
| Kidney | 28 | - | 23 | 1.4 × 105 | ND | - | ND | - | ND | - | |
| Liver | 20 | 2.1 × 105 | 18 | 3.9 × 106 | 38 | - | ND | - | ND | - | |
| Spleen | 24 | 1.2 × 103 | 22 | 2.9 × 105 | ND | - | 35 | - | 36 | - | |
| Days Post Infection | |||||||||
|---|---|---|---|---|---|---|---|---|---|
| Strain | No. | 0 | 4 | 5 | 6 | 7 | 10 | 14 | 21 |
| SA01 | 33 | - | - | 10 | 40 | 160 | 640 | 1280 | 1280 |
| 39 | - | - | 10 | 160 | 320 | >1280 | |||
| 34 | - | - | - | ||||||
| 37 | - | - | |||||||
| 43 | - | ||||||||
| Mean | 10 | 100 | 240 | 960 | |||||
| Ken06 | 40 | - | - | 40 | 40 | 80 | 1280 | 640 | >1280 |
| 44 | - | - | 40 | 80 | 320 | 1280 | |||
| 36 | - | - | - | ||||||
| 38 | - | ND | |||||||
| 41 | - | ||||||||
| Mean | 40 | 60 | 200 | 1280 | |||||
| Strain | Calf No. | Days PI | H Score | IHC | PCR | Titer |
|---|---|---|---|---|---|---|
| SA01 | 43 | 3 | 3 | + | + | 4.0 × 10° |
| 37 | 4 | 2.5 | + | + | - | |
| 34 | 5 | 3 | + | + | - | |
| 39 | 10 | 2 | - | - | - | |
| 33 | 21 | 1 | - | - | - | |
| Ken06 | 41 | 3 | 3 | + | + | 2.1 × 105 |
| 38 | 4 | 4 | + | + | 3.9 × 106 | |
| 36 | 5 | 1 | + * | - | - | |
| 44 | 10 | 2 | - | - | - | |
| 40 | 21 | 1 | - | - | - | |
| Mock | 35 | 20 | 0 | - | - | - |
| 42 | 20 | 0 | - | - | - |
© 2016 by the authors; licensee MDPI, Basel, Switzerland. This article is an open access article distributed under the terms and conditions of the Creative Commons Attribution (CC-BY) license (http://creativecommons.org/licenses/by/4.0/).
Share and Cite
Wilson, W.C.; Davis, A.S.; Gaudreault, N.N.; Faburay, B.; Trujillo, J.D.; Shivanna, V.; Sunwoo, S.Y.; Balogh, A.; Endalew, A.; Ma, W.; et al. Experimental Infection of Calves by Two Genetically-Distinct Strains of Rift Valley Fever Virus. Viruses 2016, 8, 145. https://doi.org/10.3390/v8050145
Wilson WC, Davis AS, Gaudreault NN, Faburay B, Trujillo JD, Shivanna V, Sunwoo SY, Balogh A, Endalew A, Ma W, et al. Experimental Infection of Calves by Two Genetically-Distinct Strains of Rift Valley Fever Virus. Viruses. 2016; 8(5):145. https://doi.org/10.3390/v8050145
Chicago/Turabian StyleWilson, William C., A. Sally Davis, Natasha N. Gaudreault, Bonto Faburay, Jessie D. Trujillo, Vinay Shivanna, Sun Young Sunwoo, Aaron Balogh, Abaineh Endalew, Wenjun Ma, and et al. 2016. "Experimental Infection of Calves by Two Genetically-Distinct Strains of Rift Valley Fever Virus" Viruses 8, no. 5: 145. https://doi.org/10.3390/v8050145
APA StyleWilson, W. C., Davis, A. S., Gaudreault, N. N., Faburay, B., Trujillo, J. D., Shivanna, V., Sunwoo, S. Y., Balogh, A., Endalew, A., Ma, W., Drolet, B. S., Ruder, M. G., Morozov, I., McVey, D. S., & Richt, J. A. (2016). Experimental Infection of Calves by Two Genetically-Distinct Strains of Rift Valley Fever Virus. Viruses, 8(5), 145. https://doi.org/10.3390/v8050145

