Combating White Spot Syndrome Virus (WSSV) in Global Shrimp Farming: Unraveling Its Biology, Pathology, and Control Strategies
Abstract
1. Introduction
2. Integrated Review and Analytical Methods
3. History of White Spot Syndrome Virus
4. Biology of WSSV
4.1. Taxonomy, Evolution and Protein Homology of WSSV with Other Taxa
4.2. Global Genetic Distribution of WSSV (Genome)
4.3. WSSV Genome Variation and Links to Virulence
4.4. Transmission Dynamics of WSSV
4.5. Host Species Reported to Be Naturally or Experimentally with WSSV
4.6. WSSV Virion Proteins
4.7. Molecular Mechanisms of WSSV Life Cycle: Host Protein Contributions
5. Pathology
5.1. Gross Sign of WSSV
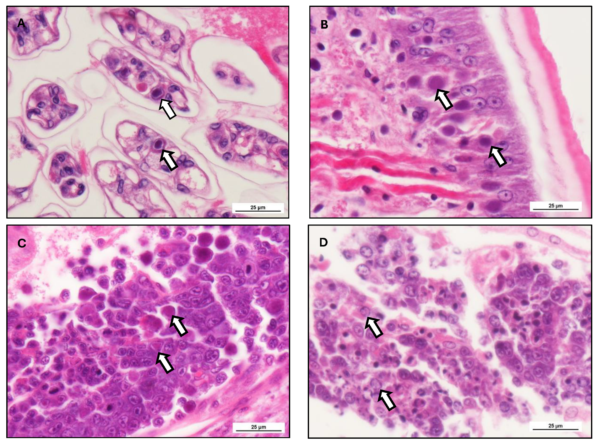
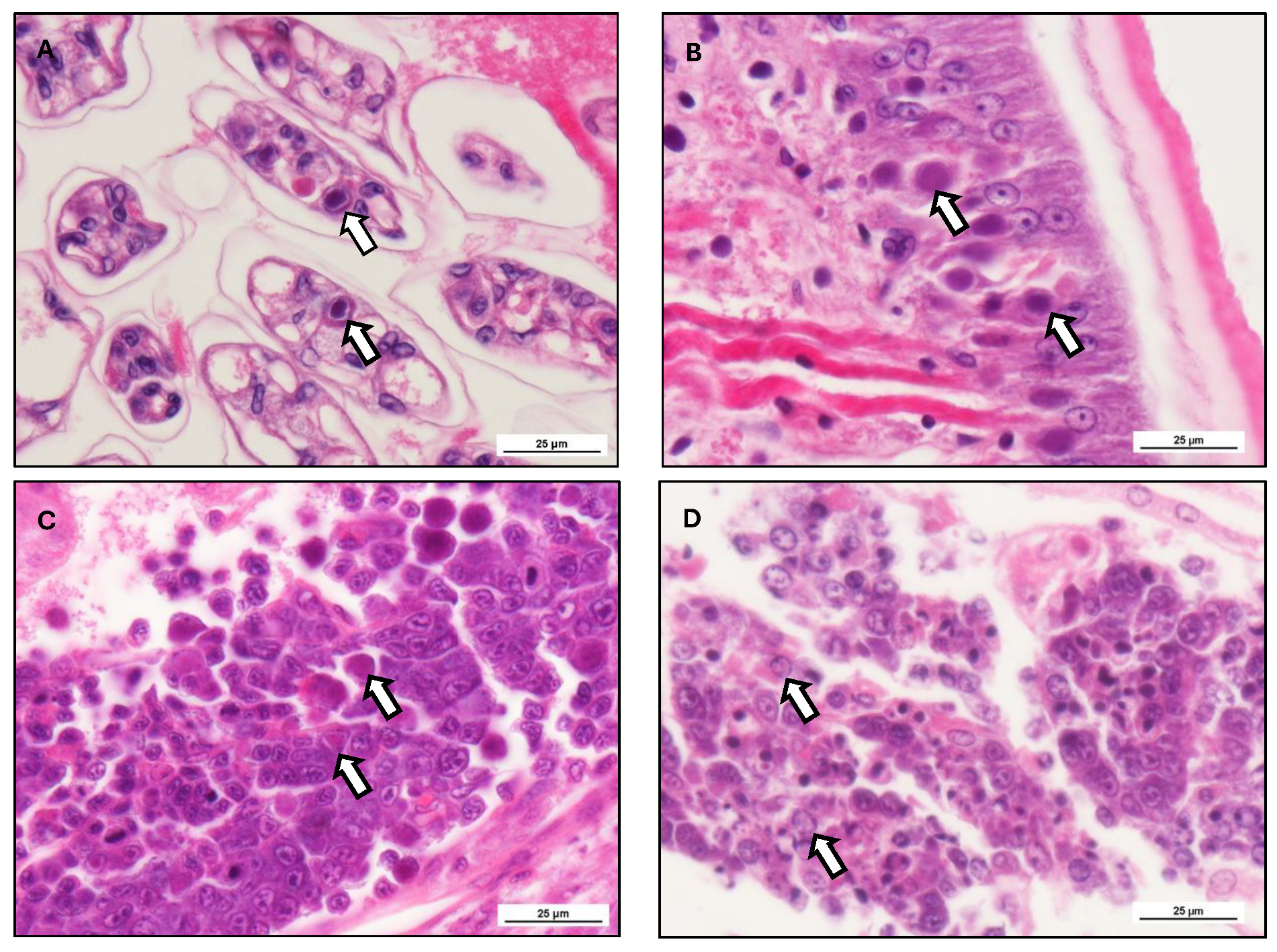
5.2. Histopathology of WSSV
5.3. Co-Infection of WSSV and Other Disease of Shrimp
6. Immunological Responses of Shrimp to WSSV
7. On-Going Research on Control Measures
8. Future Research Direction
Author Contributions
Funding
Institutional Review Board Statement
Informed Consent Statement
Data Availability Statement
Acknowledgments
Conflicts of Interest
References
- Verbruggen, B.; Bickley, L.K.; Van Aerle, R.; Bateman, K.S.; Stentiford, G.D.; Santos, E.M.; Tyler, C.R. Molecular mechanisms of white spot syndrome virus infection and perspectives on treatments. Viruses 2016, 8, 23. [Google Scholar] [CrossRef]
- Panchal, V.; Kumar, S.; Hossain, S.N.; Vasudevan, D. Structure analysis of thymidylate synthase from white spot syndrome virus reveals WSSV-specific structural elements. Int. J. Biol. Macromol. 2021, 167, 1168–1175. [Google Scholar] [CrossRef]
- Davies, R. Disease Has Cost Asia Shrimp Sector over $20bn. Available online: https://www.undercurrentnews.com/2016/09/09/disease-has-cost-asia-shrimp-sector-over-20bn/ (accessed on 13 March 2022).
- Quang, N.D.; Hoa, P.T.P.; Da, T.T.; Anh, P.H. Persistence of white spot syndrome virus in shrimp ponds and surrounding areas after an outbreak. Environ. Monit. Assess. 2009, 156, 69–72. [Google Scholar] [CrossRef]
- Cox, N.; De Swaef, E.; Corteel, M.; Van Den Broeck, W.; Bossier, P.; Dantas-Lima, J.J.; Nauwynck, H.J. The Way of Water: Unravelling White Spot Syndrome Virus (WSSV) Transmission Dynamics in Litopenaeus vannamei Shrimp. Viruses 2023, 15, 1824. [Google Scholar] [CrossRef]
- Lotz, J.M.; Soto, M.A. Model of white spot syndrome virus (WSSV) epidemics in Litopenaeus vannamei. Dis. Aquat. Org. 2002, 50, 199–209. [Google Scholar] [CrossRef]
- Hasan, N.A.; Haque, M.M.; Hinchliffe, S.J.; Guilder, J. A sequential assessment of WSD risk factors of shrimp farming in Bangladesh: Looking for a sustainable farming system. Aquaculture 2020, 526, 735348. [Google Scholar] [CrossRef]
- Wang, H.-C.; Hirono, I.; Maningas, M.B.B.; Somboonwiwat, K.; Stentiford, G.; Consortium, I.R. ICTV Virus Taxonomy Profile: Nimaviridae. J. Gen. Virol. 2019, 100, 1053–1054. [Google Scholar] [CrossRef]
- Liang, Y.; Huang, J.; Song, X.-L.; Zhang, P.-J.; Xu, H.-S. Four viral proteins of white spot syndrome virus (WSSV) that attach to shrimp cell membranes. Dis. Aquat. Org. 2005, 66, 81–85. [Google Scholar] [CrossRef]
- Xiao, B.; Fu, Q.; Niu, S.; Zhu, P.; He, J.; Li, C. Penaeidins restrict white spot syndrome virus infection by antagonizing the envelope proteins to block viral entry. Emerg. Microbes Infect. 2020, 9, 390–412. [Google Scholar] [CrossRef]
- Walker, P.J.; Mohan, C.V. Viral disease emergence in shrimp aquaculture: Origins, impact and the effectiveness of health management strategies. Rev. Aquac. 2009, 1, 125–154. [Google Scholar] [CrossRef]
- Millard, R.S.; Ellis, R.P.; Bateman, K.S.; Bickley, L.K.; Tyler, C.R.; van Aerle, R.; Santos, E.M. How do abiotic environmental conditions influence shrimp susceptibility to disease? A critical analysis focussed on White Spot Disease. J. Invertebr. Pathol. 2021, 186, 107369. [Google Scholar] [CrossRef]
- Oakey, J.; Smith, C.; Underwood, D.; Afsharnasab, M.; Alday-Sanz, V.; Dhar, A.; Sivakumar, S.; Sahul Hameed, A.S.; Beattie, K.; Crook, A. Global distribution of white spot syndrome virus genotypes determined using a novel genotyping assay. Arch. Virol. 2019, 164, 2061–2082. [Google Scholar] [CrossRef]
- Karunasagar, I.; Ababouch, L. Shrimp Viral Diseases, Import Risk Assessment and International Trade. Indian J. Virol. 2012, 23, 141–148. [Google Scholar] [CrossRef]
- Xiao, Y.; Wang, H.; Wang, C.; Gao, H.; Wang, Y.; Xu, J. Trends in and Future Research Direction of Antimicrobial Resistance in Global Aquaculture Systems: A Review. Sustainability 2023, 15, 9012. [Google Scholar] [CrossRef]
- Cock, J.; Gitterle, T.; Salazar, M.; Rye, M. Breeding for disease resistance of Penaeid shrimps. Aquaculture 2009, 286, 1–11. [Google Scholar] [CrossRef]
- Wang, W.; Sun, J.; Liu, C.; Xue, Z. Application of immunostimulants in aquaculture: Current knowledge and future perspectives. Aquac. Res. 2017, 48, 1–23. [Google Scholar] [CrossRef]
- Vijayaram, S.; Sun, Y.-Z.; Zuorro, A.; Ghafarifarsani, H.; Van Doan, H.; Hoseinifar, S.H. Bioactive immunostimulants as health-promoting feed additives in aquaculture: A review. Fish Shellfish Immunol. 2022, 130, 294–308. [Google Scholar] [CrossRef]
- He, W.; Rahimnejad, S.; Wang, L.; Song, K.; Lu, K.; Zhang, C. Effects of organic acids and essential oils blend on growth, gut microbiota, immune response and disease resistance of Pacific white shrimp (Litopenaeus vannamei) against Vibrio parahaemolyticus. Fish Shellfish Immunol. 2017, 70, 164–173. [Google Scholar] [CrossRef]
- Islam, S.I.; Mou, M.J.; Sanjida, S.; Mahfuj, S. A review on molecular detection techniques of white spot syndrome virus: Perspectives of problems and solutions in shrimp farming. Vet. Med. Sci. 2023, 9, 778–801. [Google Scholar] [CrossRef]
- Ning, J.-F.; Zhu, W.; Xu, J.-P.; Zheng, C.-Y.; Meng, X.-L. Oral delivery of DNA vaccine encoding VP28 against white spot syndrome virus in crayfish by attenuated Salmonella typhimurium. Vaccine 2009, 27, 1127–1135. [Google Scholar] [CrossRef]
- Xu, J.; Han, F.; Zhang, X. Silencing shrimp white spot syndrome virus (WSSV) genes by siRNA. Antivir. Res. 2007, 73, 126–131. [Google Scholar] [CrossRef]
- Phanse, Y.; Puttamreddy, S.; Loy, D.; Ramirez, J.V.; Ross, K.A.; Alvarez-Castro, I.; Mogler, M.; Broderick, S.; Rajan, K.; Narasimhan, B. RNA nanovaccine protects against white spot syndrome virus in shrimp. Vaccines 2022, 10, 1428. [Google Scholar] [CrossRef]
- Meier-Kolthoff, J.P.; Göker, M. VICTOR: Genome-based phylogeny and classification of prokaryotic viruses. Bioinformatics 2017, 33, 3396–3404. [Google Scholar] [CrossRef]
- Sass, C. Health Benefits of Shrimp. Available online: https://www.health.com/nutrition/calories-in-shrimp (accessed on 10 November 2022).
- Flegel, T.W. Major viral diseases of the black tiger prawn (Penaeus monodon) in Thailand. World J. Microbiol. Biotechnol. 1997, 13, 433–442. [Google Scholar] [CrossRef]
- Chamberlain, G. History of Shrimp Farming; The Shrimp Book Nottingham University Press: Nottingham, UK, 2010; pp. 1–34. [Google Scholar]
- Patil, P.K.; Geetha, R.; Ravisankar, T.; Avunje, S.; Solanki, H.G.; Abraham, T.J.; Vinoth, S.P.; Jithendran, K.P.; Alavandi, S.V.; Vijayan, K.K. Economic loss due to diseases in Indian shrimp farming with special reference to Enterocytozoon hepatopenaei (EHP) and white spot syndrome virus (WSSV). Aquaculture 2021, 533, 736231. [Google Scholar] [CrossRef]
- Jithendran, K.P.; Navaneeth Krishnan, A.; Jagadeesan, V.; Anandaraja, R.; Ezhil Praveena, P.; Anushya, S.; Bala Amarnath, C.; Bhuvaneswari, T. Co-infection of infectious myonecrosis virus and Enterocytozoon hepatopenaei in Penaeus vannamei farms in the east coast of India. Aquac. Res. 2021, 52, 4701–4710. [Google Scholar] [CrossRef]
- Talukder, A.S.; Punom, N.J.; Eshik, M.M.E.; Begum, M.K.; Islam, H.M.R.; Hossain, Z.; Rahman, M.S. Molecular identification of white spot syndrome virus (WSSV) and associated risk factors for white spot disease (WSD) prevalence in shrimp (Penaeus monodon) aquaculture in Bangladesh. J. Invertebr. Pathol. 2021, 179, 107535. [Google Scholar] [CrossRef]
- Chou Hy, H.C.Y.; Wang, C.H.; Chiang, H.C.; Lo, C.F. Pathogenicity of a baculovirus infection causing white spot syndrome in cultured penaeid shrimp in Taiwan. Dis. Aquat. Org. 1995, 23, 165–173. [Google Scholar] [CrossRef]
- Zhan, W.-B.; Wang, Y.-H.; Fryer, J.L.; Yu, K.-K.; Fukuda, H.; Meng, Q.-X. White Spot Syndrome Virus Infection of Cultured Shrimp in China. J. Aquat. Anim. Health 1998, 10, 405–410. [Google Scholar] [CrossRef]
- Inouye, K.; Miwa, S.; Oseko, N.; Nakano, H.; Kimura, T.; Momoyama, K.; Hiraoka, M. Mass Mortalities of Cultured Kuruma Shrimp Penaeus japonicus in Japan in 1993: Electron Microscopic Evidence of the Causative Virus. Fish Pathol. 1994, 29, 149–158. [Google Scholar] [CrossRef]
- Park, J.H.; Lee, Y.S.; Lee, S.; Lee, Y. An infectious viral disease of penaeid shrimp newly found in Korea. Dis. Aquat. Org. 1998, 34, 71–75. [Google Scholar] [CrossRef]
- Pereira Dantas Da Rocha Lima, J.J. Development of Techniques to Culture Shrimp Haemocytes and Purify White Spot Syndrome Virus (WSSV) in Order to Study WSSV-Haemocyte Interactions. Ph.D. Thesis, Ghent University, Gent, Belgium, 2013. [Google Scholar]
- Wang, Y.G.; Hassan, M.D.; Shariff, M.; Zamri, S.M.; Chen, X. Histopathology and cytopathology of white spot syndrome virus (WSSV) in cultured Penaeus monodon from peninsular Malaysia with emphasis on pathogenesis and the mechanism of white spot formation. Dis. Aquat. Org. 1999, 39, 1–11. [Google Scholar] [CrossRef]
- Sunarto, A.; Widodo; Taukhid; Koesharyani, I.; Supriyadi, H.; Gardenia, L.; Sugianti, B.; Rukmono, D. Current status of transboundary fish diseases in Indonesia: Occurrence, surveillance, research and training. In Transboundary Fish Diseases in Southeast Asia: Occurence, Surveillance, Research and Training, Proceedings of the Meeting on Current Status of Transboundary Fish Diseases in Southeast Asia: Occurence, Surveillance, Research and Training, Manila, Philippines, 23–24 June 2004; Aquaculture Department, Southeast Asian Fisheries Development Center: Bangkok, Thailand, 2004. [Google Scholar]
- Shankar, K.; Mohan, C. Epidemiological aspects of shrimp viral diseases in India—A review. J. Aquac. Trop. 1998, 13, 43–49. [Google Scholar]
- Chanratchakool, P.; Phillips, M.J. Social and economic impacts and management of shrimp disease among small-scale farmers in Thailand and Viet Nam. In FAO Fisheries Technical Paper; FAO: Rome, Italy, 2002; pp. 177–189. [Google Scholar]
- Kalaimani, N.; Ravisankar, T.; Chakravarthy, N.; Raja, S.; Santiago, T.; Ponniah, A. Economic losses due to disease incidences in shrimp farms of India. Fish. Technol. 2013, 50, 80–86. [Google Scholar]
- Evan, Y.; Putri, N.E. Status of aquatic animal health in Indonesia. In Proceedings of the International Workshop on the Promotion of Sustainable Aquaculture, Aquatic Animal Health, and Resource Enhancement in Southeast Asia, Iloilo City, Philippines, 25–27 June 2021; pp. 138–149. [Google Scholar]
- Debnath, P.; Karim, M.; Belton, B. Comparative study of the reproductive performance and White Spot Syndrome Virus (WSSV) status of black tiger shrimp (Penaeus monodon) collected from the Bay of Bengal. Aquaculture 2014, 424–425, 71–77. [Google Scholar] [CrossRef]
- Lightner, D.; Redman, R.; Poulos, B.; Nunan, L.; Mari, J.; Hasson, K. Risk of spread of penaeid shrimp viruses in the. Rev. Sci. Tech. Off. Int. Epizoot. 1997, 16, 146–160. [Google Scholar] [CrossRef]
- Rodríguez, J.; Bayot, B.; Amano, Y.; Panchana, F.; De Blas, I.; Alday, V.; Calderón, J. White spot syndrome virus infection in cultured Penaeus vannamei (Boone) in Ecuador with emphasis on histopathology and ultrastructure. J. Fish Dis. 2003, 26, 439–450. [Google Scholar] [CrossRef]
- Chamberlain, G.; Lightner, D.; Towner, R.; van Wyk, P.; Villarreal, M.; Akazawa, N.; Alvial, A. Case Study of the Outbreak of White Spot Syndrome Virus at Shrimp Farms in Mozambique and Madagascar: Impacts and Management Recommendations; Responsible Aquaculture Foundation: Portsmouth, NH, USA, 2013. [Google Scholar]
- Galavíz-Silva, L.; Molina-Garza, Z.J.; Alcocer-González, J.M.; Rosales-Encinas, J.L.; Ibarra-Gámez, C. White spot syndrome virus genetic variants detected in Mexico by a new multiplex PCR method. Aquaculture 2004, 242, 53–68. [Google Scholar] [CrossRef]
- Magbanua, F.O.; Natividad, K.T.; Migo, V.P.; Alfafara, C.G.; De La Peña, F.O.; Miranda, R.O.; Albaladejo, J.D.; Nadala, E.C., Jr.; Loh, P.C.; Mahilum-Tapay, L. White spot syndrome virus (WSSV) in cultured Penaeus monodon in the Philippines. Dis. Aquat. Org. 2000, 42, 77–82. [Google Scholar] [CrossRef]
- Stern, S.; Sonnenholzner, S. Semi-Intensive Shrimp Culture, the History of Shrimp Farming in Ecuador. In The Shrimp Book; CABI GB: Oxfordshire, UK, 2010; pp. 207–232. [Google Scholar]
- López-Téllez, N.A.; Corbalá-Bermejo, J.A.; Bustamante-Unzueta, M.L.; Silva-Ledesma, L.P.; Vidal-Martínez, V.M.; Rodriguez-Canul, R. History, impact, and status of infectious diseases of the Pacific white shrimp Penaeus vannamei (Bonne, 1831) cultivated in Mexico. J. World Aquac. Soc. 2020, 51, 334–345. [Google Scholar] [CrossRef]
- White Spot Disease; CABI International: Oxfordshire, UK, 2022; Volume CABI Compendium.
- DISEASES-Cefas, International Database on Aquatic Animal Diseases (IDOAA). Available online: https://www.cefas.co.uk/international-database-on-aquatic-animal-diseases (accessed on 26 November 2022).
- Peña Navarro, N.; Castro Vásquez, R.; Dolz, G. White spot syndrome virus and Enterocytozoon hepatopenaei in shrimp farms in Costa Rica: WSSV and EPH in white shrimp farms in Costa Rica. Agron. Mesoamerican 2020, 31, 479–489. [Google Scholar] [CrossRef]
- Stentiford, G.D.; Lightner, D.V. Cases of White Spot Disease (WSD) in European shrimp farms. Aquaculture 2011, 319, 302–306. [Google Scholar] [CrossRef]
- Rosenberry, B. World Shrimp Farming 2002; Shrimps News International: Utrecht, The Netherlands, 2002. [Google Scholar]
- Afsharnasab, M.; Kakoolaki, S.; Afzali, F. The Status of white spot syndrome virus (WSSV) in Islamic Republic of Iran. Iran. J. Fish. Sci. 2014, 13, 1021–1055. [Google Scholar]
- Cavalli, L.S.; Romano, L.A.; Marins, L.F.; Abreu, P.C. First report of White spot syndrome virus in farmed and wild penaeid shrimp from Lagoa Dos Patos estuary, southern Brazil. Braz. J. Microbiol. 2011, 42, 1176–1179. [Google Scholar] [CrossRef]
- Martorelli, S.R.; Overstreet, R.M.; Jovonovich, J.A. First report of viral pathogens WSSV and IHHNV in Argentine crustaceans. Bull. Mar. Sci. 2010, 86, 117–131. [Google Scholar]
- Tang, K.F.J.; Navarro, S.A.; Pantoja, C.R.; Aranguren, F.L.; Lightner, D.V. New genotypes of white spot syndrome virus (WSSV) and Taura syndrome virus (TSV) from the Kingdom of Saudi Arabia. Dis. Aquat. Org. 2012, 99, 179–185. [Google Scholar] [CrossRef]
- Jassim, A.A.R.; Al-Salim, N.K. Viral diseases of some species from Penaeid shrimp in Iraqi marine waters. Iraqi J. Aquac. 2015, 12, 88–100. [Google Scholar] [CrossRef]
- Knibb, W.; Le, C.; Katouli, M.; Bar, I.; Lloyd, C. Assessment of the origin of white spot syndrome virus DNA sequences in farmed Penaeus monodon in Australia. Aquaculture 2018, 494, 26–29. [Google Scholar] [CrossRef]
- Fauquet, C.M.; Mayo, M.A.; Maniloff, J.; Desselberger, U.; Ball, L.A. Virus Taxonomy: VIIIth Report of the International Committee on Taxonomy of Viruses; Academic Press: Cambridge, MA, USA, 2005. [Google Scholar]
- Miao, H.Z.; Tong, S.L.; Xu, B.; Jiang, M.; Liu, X.Y. Multiplication of the shrimp baculovirus HHNBV with primary cell cultures from lymphoid organ of Penaeus chinensis. Sheng Wu Gong Cheng Xue Bao 2000, 16, 221–224. [Google Scholar]
- Nadala, E.C.B.; Tapay, L.M.; Cao, S.; Loh, P.C. Detection of yellowhead virus and Chinese baculovirus in penaeid shrimp by the Western blot technique. J. Virol. Methods 1997, 69, 39–44. [Google Scholar] [CrossRef]
- Sahul Hameed, A.S.; Anilkumar, M.; Stephen Raj, M.L.; Jayaraman, K. Studies on the pathogenicity of systemic ectodermal and mesodermal baculovirus and its detection in shrimp by immunological methods. Aquaculture 1998, 160, 31–45. [Google Scholar] [CrossRef]
- Inouye, K.; Yamano, K.; Ikeda, N.; Kimura, T.; Nakano, H.; Momoyama, K.; Kobayashi, J.; Miyajima, S. The Penaeid Rod-shaped DNA Virus (PRDV), which Causes Penaeid Acute Viremia (PAV). Fish Pathol. 1996, 31, 39–45. [Google Scholar] [CrossRef]
- Wongteerasupaya, C.; Vickers, J.; Sriurairatana, S.; Nash, G.; Akarajamorn, A.; Boonsaeng, V.; Panyim, S.; Tassanakajon, A.; Withyachumnarnkul, B.; Flegel, T. A non-occluded, systemic baculovirus that occurs in cells of ectodermal and mesodermal origin and causes high mortality in the black tiger prawn Penaeus monodon. Dis. Aquat. Org. 1995, 21, 69–77. [Google Scholar] [CrossRef]
- Sakowski, E.G.; Munsell, E.V.; Hyatt, M.; Kress, W.; Williamson, S.J.; Nasko, D.J.; Polson, S.W.; Wommack, K.E. Ribonucleotide reductases reveal novel viral diversity and predict biological and ecological features of unknown marine viruses. Proc. Natl. Acad. Sci. USA 2014, 111, 15786–15791. [Google Scholar] [CrossRef]
- Sánchez-Paz, A. White spot syndrome virus: An overview on an emergent concern. Vet. Res. 2010, 41, 43. [Google Scholar] [CrossRef]
- Wang, S.; Li, H.; Weng, S.; Li, C.; He, J. White Spot Syndrome Virus Establishes a Novel IE1/JNK/c-Jun Positive Feedback Loop to Drive Replication. iScience 2020, 23, 100752. [Google Scholar] [CrossRef]
- Yang, F.; He, J.; Lin, X.; Li, Q.; Pan, D.; Zhang, X.; Xu, X. Complete genome sequence of the shrimp white spot bacilliform virus. J. Virol. 2001, 75, 11811–11820. [Google Scholar] [CrossRef]
- van Hulten, M.C.; Witteveldt, J.; Peters, S.; Kloosterboer, N.; Tarchini, R.; Fiers, M.; Sandbrink, H.; Lankhorst, R.K.; Vlak, J.M. The white spot syndrome virus DNA genome sequence. Virology 2001, 286, 7–22. [Google Scholar] [CrossRef]
- Li, F.; Gao, M.; Xu, L.; Yang, F. Comparative genomic analysis of three white spot syndrome virus isolates of different virulence. Virus Genes 2017, 53, 249–258. [Google Scholar] [CrossRef]
- Marks, H.; Goldbach, R.; Vlak, J.; Van Hulten, M. Genetic variation among isolates of white spot syndrome virus. Arch. Virol. 2004, 149, 673–697. [Google Scholar] [CrossRef]
- Zwart, M.P.; Dieu, B.T.M.; Hemerik, L.; Vlak, J.M. Evolutionary trajectory of white spot syndrome virus (WSSV) genome shrinkage during spread in Asia. PLoS ONE 2010, 5, e13400. [Google Scholar] [CrossRef] [PubMed]
- Cruz-Flores, R.; Mai, H.N.; Kanrar, S.; Aranguren Caro, L.F.; Dhar, A.K. Genome reconstruction of white spot syndrome virus (WSSV) from archival Davidson’s-fixed paraffin embedded shrimp (Penaeus vannamei) tissue. Sci. Rep. 2020, 10, 13425. [Google Scholar] [CrossRef] [PubMed]
- Krishnan, K.; Katneni, V.K.; Prabhudas, S.K.; Kaikkolante, N.; Jangam, A.K.; Katneni, U.K.; Hauton, C.; Peruzza, L.; Mudagandur, S.S.; Koyadan, V.K.; et al. MRF: A tool to overcome the barrier of inconsistent genome annotations and perform comparative genomics studies for the largest animal DNA virus. Virol. J. 2023, 20, 72. [Google Scholar] [CrossRef]
- Marks, H.; van Duijse, J.J.; Zuidema, D.; van Hulten, M.C.; Vlak, J.M. Fitness and virulence of an ancestral white spot syndrome virus isolate from shrimp. Virus Res. 2005, 110, 9–20. [Google Scholar] [CrossRef]
- Kooloth Valappil, R.; Anand, D.; Kulkarni, A.; Mahapatra, M.; Kumar Sanath, H.; Bedekar Megha, K.; Kollanoor Riji, J.; Mulloorpeedikayil Rosalind, G.; Mohideenpitchai Mansoor, M.; Muthumariappan, S.; et al. Three Draft Genome Sequences of White Spot Syndrome Virus from India. Microbiol. Resour. Announc. 2021, 10, e00579-21. [Google Scholar] [CrossRef]
- Tuyen, N.; Verreth, J.; Vlak, J.; De Jong, M. Horizontal transmission dynamics of White spot syndrom5e virus by cohabitation trials in juvenile Penaeus monodon and P. vannamei. Prev. Vet. Med. 2014, 117, 286–294. [Google Scholar] [CrossRef]
- Cox, N.; De Swaef, E.; Corteel, M.; Van Den Broeck, W.; Bossier, P.; Nauwynck, H.J.; Dantas-Lima, J.J. Experimental Infection Models and Their Usefulness for White Spot Syndrome Virus (WSSV) Research in Shrimp. Viruses 2024, 16, 813. [Google Scholar] [CrossRef]
- Shekar, M.; Pradeep, B.; Karunasagar, I. White spot syndrome virus: Genotypes, Epidemiology and Evolutionary Studies. Indian J. Virol. 2012, 23, 175–183. [Google Scholar] [CrossRef]
- Kim, M.-J.; Kim, J.-O.; Jang, G.-I.; Kwon, M.-G.; Kim, K.-I. Evaluation of the Horizontal Transmission of White Spot Syndrome Virus for Whiteleg Shrimp (Litopenaeus vannamei) Based on the Disease Severity Grade and Viral Shedding Rate. Animals 2023, 13, 1676. [Google Scholar] [CrossRef]
- Pradeep, B.; Rai, P.; Mohan, S.A.; Shekhar, M.S.; Karunasagar, I. Biology, Host Range, Pathogenesis and Diagnosis of White spot syndrome virus. Indian J. Virol. Off. Organ Indian Virol. Soc. 2012, 23, 161–174. [Google Scholar] [CrossRef]
- Niu, G.-J.; Yan, M.; Li, C.; Lu, P.-y.; Yu, Z.; Wang, J.-X. Infection with white spot syndrome virus affects the microbiota in the stomachs and intestines of kuruma shrimp. Sci. Total Environ. 2022, 839, 156233. [Google Scholar] [CrossRef] [PubMed]
- Corre, V., Jr.; Faisan, J., Jr.; Carton-Kawagoshi, R.J.; Elle, B.J.; Traifalgar, R.F.; Caipang, C.M. Evidence of WSSV transmission from the rotifer (Brachionus plicatilis) to the black tiger shrimp (Penaeus monodon) postlarvae and means to control rotifer resting eggs using industrial disinfectants. Aquac. Aquar. Conserv. Legis. 2012, 5, 64–68. [Google Scholar]
- Deepti, M.; Meinam, M.; Devi, N.C.; Singh, S.K.; Devi, W.M. Aquamimicry (Copefloc technology): An innovative approach for sustainable organic farming with special reference to shrimp aquaculture. Blue Biotechnol. 2024, 1, 5. [Google Scholar] [CrossRef]
- Vijayan, K.; Anand, P.S.; Balasubramanian, C.; Rajan, J.S.; Praveena, P.E.; Aravind, R.; Sudheer, N.; Francis, B.; Panigrahi, A.; Otta, S. Vertical transmission and prevalence of white spot syndrome virus (WSSV) in the wild spawning population of the Indian white shrimp, Penaeus indicus. J. Invertebr. Pathol. 2024, 203, 108058. [Google Scholar] [CrossRef]
- Joseph, T.C.; James, R.; Rajan, L.A.; Surendran, P.; Lalitha, K. White spot syndrome virus infection: Threat to crustacean biodiversity in Vembanad Lake, India. Biotechnol. Rep. 2015, 7, 51–54. [Google Scholar] [CrossRef]
- Hossain, M.S.; Chakraborty, A.; Joseph, B.; Otta, S.; Karunasagar, I.; Karunasagar, I. Detection of new hosts for white spot syndrome virus of shrimp using nested polymerase chain reaction. Aquaculture 2001, 198, 1–11. [Google Scholar] [CrossRef]
- Otta, S.; Shubha, G.; Joseph, B.; Chakraborty, A.; Karunasagar, I.; Karunasagar, I. Polymerase chain reaction (PCR) detection of white spot syndrome virus (WSSV) in cultured and wild crustaceans in India. Dis. Aquat. Org. 1999, 38, 67–70. [Google Scholar] [CrossRef]
- Peng, S.; Lo, C.; Ho, C.; Chang, C.; Kou, G. Detection of white spot baculovirus (WSBV) in giant freshwater prawn, Macrobrachium rosenbergii, using polymerase chain reaction. Aquaculture 1998, 164, 253–262. [Google Scholar] [CrossRef]
- Pratapa, M.; Kumar, S.; Bedekar, M.; Kumar, H.S.; Rajendran, K. Pathogenicity of white spot syndrome virus (WSSV) after multiple passages in mud crab, Scylla olivacea. J. Invertebr. Pathol. 2023, 201, 108016. [Google Scholar] [CrossRef]
- Lee, C.; Kim, J.H.; Choi, S.-K.; Jeon, H.J.; Lee, S.H.; Kim, B.K.; Kim, Y.K.; Lee, K.-J.; Han, J.E. Detection of infectious white spot syndrome virus in red claw crayfish (Cherax quadricarinatus) and red swamp crayfish (Procambarus clarkii) imported into Korea. Aquaculture 2021, 544, 737117. [Google Scholar] [CrossRef]
- Wang, Y.-C.; Lo, C.-F.; Chang, P.-S.; Kou, G.-H. Experimental infection of white spot baculovirus in some cultured and wild decapods in Taiwan. Aquaculture 1998, 164, 221–231. [Google Scholar] [CrossRef]
- Van Thuong, K.; Van Tuan, V.; Li, W.; Sorgeloos, P.; Bossier, P.; Nauwynck, H. Per os infectivity of white spot syndrome virus (WSSV) in white-legged shrimp (Litopenaeus vannamei) and role of peritrophic membrane. Vet. Res. 2016, 47, 39. [Google Scholar] [CrossRef] [PubMed]
- Tidbury, H.; Ryder, D.; Thrush, M.; Pearce, F.; Peeler, E.; Taylor, N. Comparative assessment of live cyprinid and salmonid movement networks in England and Wales. Prev. Vet. Med. 2020, 185, 105200. [Google Scholar] [CrossRef] [PubMed]
- Jang, I.K.; Qiao, G.; Kim, S.-K. Effect of multiple infections with white spot syndrome virus and Vibrio anguillarum on Pacific white shrimp Litopenaeus vannamei (L.): Mortality and viral replication. J. Fish Dis. 2014, 37, 911–920. [Google Scholar] [CrossRef] [PubMed]
- Zhang, K.; Koiwai, K.; Kondo, H.; Hirono, I. White spot syndrome virus (WSSV) suppresses penaeidin expression in Marsupenaeus japonicus hemocytes. Fish Shellfish Immunol. 2018, 78, 233–237. [Google Scholar] [CrossRef]
- Yang, C.; Zhang, J.; Li, F.; Ma, H.; Zhang, Q.; Priya, T.J.; Zhang, X.; Xiang, J. A Toll receptor from Chinese shrimp Fenneropenaeus chinensis is responsive to Vibrio anguillarum infection. Fish Shellfish Immunol. 2008, 24, 564–574. [Google Scholar] [CrossRef]
- Chang, Y.-S.; Chen, T.-C.; Liu, W.-J.; Hwang, J.-S.; Kou, G.-H.; Lo, C.-F. Assessment of the Roles of Copepod Apocyclops royi and Bivalve Mollusk Meretrix lusoria in White Spot Syndrome Virus Transmission. Mar. Biotechnol. 2011, 13, 909–917. [Google Scholar] [CrossRef]
- Rajendran, K.; Vijayan, K.; Santiago, T.; Krol, R. Experimental host range and histopathology of white spot syndrome virus (WSSV) infection in shrimp, prawns, crabs and lobsters from India. J. Fish Dis. 1999, 22, 183–191. [Google Scholar] [CrossRef]
- Huang, A.-G.; He, W.-H.; Zhang, F.-L.; Wei, C.-S.; Wang, Y.-H. Natural component geniposide enhances survival rate of crayfish Procambarus clarkii infected with white spot syndrome virus. Fish Shellfish Immunol. 2022, 126, 96–103. [Google Scholar] [CrossRef]
- Desrina; Prayitno, S.B.; Verdegem, M.C.; Verreth, J.A.; Vlak, J.M. White spot syndrome virus host range and impact on transmission. Rev. Aquac. 2022, 14, 1843–1860. [Google Scholar] [CrossRef]
- Chang, Y.S.; Peng, S.E.; Yu, H.T.; Liu, F.C.; Wang, C.H.; Lo, C.F.; Kou, G.H. Genetic and phenotypic variations of isolates of shrimp Taura syndrome virus found in Penaeus monodon and Metapenaeus ensis in Taiwan. J. Gen. Virol. 2004, 85, 2963–2968. [Google Scholar] [CrossRef] [PubMed]
- Escobedo-Bonilla, C.M.; Alday-Sanz, V.; Wille, M.; Sorgeloos, P.; Pensaert, M.B.; Nauwynck, H.J. A review on the morphology, molecular characterization, morphogenesis and pathogenesis of white spot syndrome virus. J. Fish. Dis. 2008, 31, 1–18. [Google Scholar] [CrossRef] [PubMed]
- Hameed, A.S.; Balasubramanian, G.; Musthaq, S.S.; Yoganandhan, K. Experimental infection of twenty species of Indian marine crabs with white spot syndrome virus (WSSV). Dis. Aquat. Organ. 2003, 57, 157–161. [Google Scholar] [CrossRef] [PubMed]
- Li, Z.; Lin, Q.; Chen, J.; Wu, J.L.; Lim, T.K.; Loh, S.S.; Tang, X.; Hew, C.-L. Shotgun identification of the structural proteome of shrimp white spot syndrome virus and iTRAQ differentiation of envelope and nucleocapsid subproteomes. Mol. Cell. Proteom. 2007, 6, 1609–1620. [Google Scholar] [CrossRef]
- Yi, G.; Wang, Z.; Qi, Y.; Yao, L.; Qian, J.; Hu, L. Vp28 of shrimp white spot syndrome virus is involved in the attachment and penetration into shrimp cells. BMB Rep. 2004, 37, 726–734. [Google Scholar] [CrossRef]
- Tsai, J.M.; Wang, H.C.; Leu, J.H.; Hsiao, H.H.; Wang, A.H.; Kou, G.H.; Lo, C.F. Genomic and proteomic analysis of thirty-nine structural proteins of shrimp white spot syndrome virus. J. Virol. 2004, 78, 11360–11370. [Google Scholar] [CrossRef]
- Leu, J.-H.; Tsai, J.-M.; Wang, H.-C.; Wang, A.H.-J.; Wang, C.-H.; Kou, G.-H.; Lo, C.-F. The Unique Stacked Rings in the Nucleocapsid of the White Spot Syndrome Virus Virion Are Formed by the Major Structural Protein VP664, the Largest Viral Structural Protein Ever Found. J. Virol. 2005, 79, 140–149. [Google Scholar] [CrossRef]
- Xie, X.; Xu, L.; Yang, F. Proteomic Analysis of the Major Envelope and Nucleocapsid Proteins of White Spot Syndrome Virus. J. Virol. 2006, 80, 10615–10623. [Google Scholar] [CrossRef]
- Li, Q.; Chen, Y.; Yang, F. Identification of a collagen-like protein gene from white spot syndrome virus. Arch. Virol. 2004, 149, 215–223. [Google Scholar] [CrossRef]
- Tsai, J.M.; Wang, H.C.; Leu, J.H.; Wang, A.H.; Zhuang, Y.; Walker, P.J.; Kou, G.H.; Lo, C.F. Identification of the nucleocapsid, tegument, and envelope proteins of the shrimp white spot syndrome virus virion. J. Virol. 2006, 80, 3021–3029. [Google Scholar] [CrossRef]
- Huang, R.; Xie, Y.; Zhang, J.; Shi, Z. A novel envelope protein involved in White spot syndrome virus infection. J. Gen. Virol. 2005, 86, 1357–1361. [Google Scholar] [CrossRef]
- Taengchaiyaphum, S.; Nakayama, H.; Srisala, J.; Khiev, R.; Aldama-Cano, D.J.; Thitamadee, S.; Sritunyalucksana, K. Vaccination with multimeric recombinant VP28 induces high protection against white spot syndrome virus in shrimp. Dev. Comp. Immunol. 2017, 76, 56–64. [Google Scholar] [CrossRef] [PubMed]
- Valdez, A.; Yepiz-Plascencia, G.; Ricca, E.; Olmos, J. First Litopenaeus vannamei WSSV 100% oral vaccination protection using CotC::Vp26 fusion protein displayed on Bacillus subtilis spores surface. J. Appl. Microbiol. 2014, 117, 347–357. [Google Scholar] [CrossRef] [PubMed]
- Chang, Y.-S.; Liu, W.-J.; Chou, T.-L.; Lee, Y.-T.; Lee, T.-L.; Huang, W.-T.; Kou, G.-H.; Lo, C.-F. Characterization of White Spot Syndrome Virus Envelope Protein VP51A and Its Interaction with Viral Tegument Protein VP26. J. Virol. 2008, 82, 12555–12564. [Google Scholar] [CrossRef] [PubMed]
- Ha, Y.M.; Soo-Jung, G.; Thi-Hoai, N.; Ra, C.H.; Kim, K.H.; Nam, Y.K.; Kim, S.K. Vaccination of shrimp (Penaeus chinensis) against white spot syndrome virus (WSSV). J. Microbiol. Biotechnol. 2008, 18, 964–967. [Google Scholar]
- Huang, P.-Y.; Leu, J.-H.; Chen, L.-L. A newly identified protein complex that mediates white spot syndrome virus infection via chitin-binding protein. J. Gen. Virol. 2014, 95, 1799–1808. [Google Scholar] [CrossRef]
- Huang, H.-T.; Chan, H.-L.; Shih, T.-Y.; Chen, L.-L. A study of the role of glucose transporter 1 (Glut1) in white spot syndrome virus (WSSV) infection. Fish Shellfish Immunol. 2015, 46, 305–314. [Google Scholar] [CrossRef]
- Kovalenko, O.V.; Yang, X.H.; Hemler, M.E. A Novel Cysteine Cross-linking Method Reveals a Direct Association between Claudin-1 and Tetraspanin CD9*. Mol. Cell. Proteom. 2007, 6, 1855–1867. [Google Scholar] [CrossRef]
- Chen, Y.-L.; Kumar, R.; Liu, C.-H.; Wang, H.-C. Litopenaeus vannamei peritrophin interacts with WSSV and AHPND-causing V. parahaemolyticus to regulate disease pathogenesis. Fish Shellfish Immunol. 2022, 126, 271–282. [Google Scholar] [CrossRef]
- Iftehimul, M.; Hasan, N.A.; Akter, M.F.; Hossain, M.A.; Tima, S.A.; Kabir, A.; Choudhury, P.; Bhowmick, A.; Pranto, S.A.; Hasan, A.M.W.; et al. In silico evaluation and therapeutic targeting of LVDD9B protein for WSSV inhibition: Molecular and ecological insights for aquaculture solutions. In Silico Pharmacol. 2025, 13, 101. [Google Scholar] [CrossRef]
- Yang, F.; Li, S.; Xiang, J.; Zhao, X.; Li, F. Transcriptome analysis reveals the regulation of the shrimp STAT on host chitin-binding domain containing proteins and energy metabolism process during WSSV infection. Fish Shellfish Immunol. 2020, 100, 345–357. [Google Scholar] [CrossRef]
- Verma, A.K.; Gupta, S.; Singh, S.P.; Nagpure, N.S. An update on mechanism of entry of white spot syndrome virus into shrimps. Fish Shellfish Immunol. 2017, 67, 141–146. [Google Scholar] [CrossRef]
- Encinas-García, T.; Mendoza-Cano, F.; Muhlia-Almazán, A.; Porchas-Cornejo, M.; Sánchez-Paz, A. A Review of Shrimp Cellular Receptors for WSSV: Potential Targets for Antiviral Strategies in Shrimp Aquaculture. Rev. Fish. Sci. Aquac. 2023, 32, 99–126. [Google Scholar] [CrossRef]
- Wang, B.; Li, F.; Xiang, J.; Gui, L.; Luo, Z.; Yan, H. Three tetraspanins from Chinese shrimp, Fenneropenaeus chinensis, may play important roles in WSSV infection. J. Fish Dis. 2010, 33, 15–29. [Google Scholar] [CrossRef]
- Gui, L.; Wang, B.; Li, F.-H.; Sun, Y.-M.; Luo, Z.; Xiang, J.-H. Blocking the large extracellular loop (LEL) domain of FcTetraspanin-3 could inhibit the infection of white spot syndrome virus (WSSV) in Chinese shrimp, Fenneropenaeus chinensis. Fish Shellfish Immunol. 2012, 32, 1008–1015. [Google Scholar] [CrossRef] [PubMed]
- Zhao, Z.-Y.; Yin, Z.-X.; Xu, X.-P.; Weng, S.-P.; Rao, X.-Y.; Dai, Z.-X.; Luo, Y.-W.; Yang, G.; Li, Z.-S.; Guan, H.-J.; et al. A Novel C-Type Lectin from the Shrimp Litopenaeus vannamei Possesses Anti-White Spot Syndrome Virus Activity. J. Virol. 2009, 83, 347–356. [Google Scholar] [CrossRef] [PubMed]
- Song, K.-K.; Li, D.-F.; Zhang, M.-C.; Yang, H.-J.; Ruan, L.-W.; Xu, X. Cloning and characterization of three novel WSSV recognizing lectins from shrimp Marsupenaeus japonicus. Fish Shellfish Immunol. 2010, 28, 596–603. [Google Scholar] [CrossRef] [PubMed]
- Villanueva, R.A.; Rouillé, Y.; Dubuisson, J. Interactions between virus proteins and host cell membranes during the viral life cycle. Int. Rev. Cytol. 2005, 245, 171–244. [Google Scholar] [CrossRef]
- Pavelka, M.; Roth, J. Receptor-Mediated Endocytosis Via Clathrin-Coated Vesicles and Virus Endocytosis. In Functional Ultrastructure: Atlas of Tissue Biology and Pathology; Springer: Vienna, Austria, 2010; pp. 92–93. [Google Scholar]
- Chen, R.Y.; Shen, K.L.; Chen, Z.; Fan, W.W.; Xie, X.L.; Meng, C.; Chang, X.J.; Zheng, L.B.; Jeswin, J.; Li, C.H.; et al. White spot syndrome virus entry is dependent on multiple endocytic routes and strongly facilitated by Cq-GABARAP in a CME-dependent manner. Sci. Rep. 2016, 6, 28694. [Google Scholar] [CrossRef]
- Attasart, P.; Kaewkhaw, R.; Chimwai, C.; Kongphom, U.; Namramoon, O.; Panyim, S. Inhibition of white spot syndrome virus replication in Penaeus monodon by combined silencing of viral rr2 and shrimp PmRab7. Virus Res. 2009, 145, 127–133. [Google Scholar] [CrossRef]
- van Hulten, M.C.W.; Westenberg, M.; Goodall, S.D.; Vlak, J.M. Identification of Two Major Virion Protein Genes of White Spot Syndrome Virus of Shrimp. Virology 2000, 266, 227–236. [Google Scholar] [CrossRef] [PubMed]
- Wang, X.W.; Xu, W.T.; Zhang, X.W.; Zhao, X.F.; Yu, X.Q.; Wang, J.X. A C-type lectin is involved in the innate immune response of Chinese white shrimp. Fish Shellfish Immunol. 2009, 27, 556–562. [Google Scholar] [CrossRef] [PubMed]
- DAWR. Report into the Cause of White Spot Syndrome Virus Outbreak in the Logan River Area of Queensland—December 2016. Interim Report. 2017; pp. 1–20. Available online: https://www.aph.gov.au/~/media/Committees/rrat_ctte/estimates/bud_1718/AG/Ag_tabled_doc3.pdf (accessed on 13 March 2022).
- Sahul Hameed, A.S.; Bonami, J.R. White Tail Disease of Freshwater Prawn, Macrobrachium rosenbergii. Indian J. Virol. Off. Organ Indian Virol. Soc. 2012, 23, 134–140. [Google Scholar] [CrossRef] [PubMed]
- Arbon, P.; Andrade Martinez, M.; Jerry, D.; Condon, K. Towards a ‘systems’ approach for viral challenge experiments in shrimp: Reporting guidelines for publication. Rev. Aquac. 2024, 16, 923–941. [Google Scholar] [CrossRef]
- Kim, M.J.; Shin, D.-J.; Jang, G.I.; Kwon, M.-G.; Kim, K.I. Influence of stocking density and interaction variability on disease progression of white spot syndrome virus-infected shrimp under different risk scenarios. Aquaculture 2025, 595, 741597. [Google Scholar] [CrossRef]
- Moser, J.R.; Marques, M.R.F. Susceptibility of Neohelice granulata (Decapoda, Varunidae) to white spot syndrome virus (WSSV). Aquac. Int. 2023, 31, 975–996. [Google Scholar] [CrossRef]
- Jiang, L.; Xiao, J.; Liu, L.; Pan, Y.; Yan, S.; Wang, Y. Characterization and prevalence of a novel white spot syndrome viral genotype in naturally infected wild crayfish, Procambarus clarkii, in Shanghai, China. VirusDisease 2017, 28, 250–261. [Google Scholar] [CrossRef]
- Matozzo, V.; Ercolini, C.; Serracca, L.; Battistini, R.; Rossini, I.; Granato, G.; Quaglieri, E.; Perolo, A.; Finos, L.; Arcangeli, G.; et al. Assessing the health status of farmed mussels (Mytilus galloprovincialis) through histological, microbiological and biomarker analyses. J. Invertebr. Pathol. 2018, 153, 165–179. [Google Scholar] [CrossRef]
- Tang, K.F.J.; Pantoja, C.R.; Redman, R.M.; Lightner, D.V. A histological variant of white spot syndrome virus (WSSV) from the Kingdom of Saudi Arabia. J. Invertebr. Pathol. 2013, 113, 82–85. [Google Scholar] [CrossRef]
- Rajendran, K.V.; Vijayan, K.K.; Santiago, T.C.; Rajan, J.J.S. White spot syndrome virus (WSSV) infection in tiger shrimp Penaeus monodon: A non-lethal histopathological rapid diagnostic method using paraffin and frozen sections. Aquac. Int. 2005, 13, 341–349. [Google Scholar] [CrossRef]
- Sweet, M.J.; Bateman, K.S. Reprint of ‘Diseases in marine invertebrates associated with mariculture and commercial fisheries’. J. Sea Res. 2016, 113, 28–44. [Google Scholar] [CrossRef]
- Ng, Y.S.; Cheng, C.-S.; Ando, M.; Tseng, Y.-T.; He, S.-T.; Li, C.-Y.; Cheng, S.-W.; Chen, Y.-M.; Kumar, R.; Liu, C.-H.; et al. White spot syndrome virus (WSSV) modulates lipid metabolism in white shrimp. Commun. Biol. 2023, 6, 546. [Google Scholar] [CrossRef]
- Yin, B.; Yan, X.; Li, S.; Liu, D.; Liu, J.; He, J.; Li, C. WSSV latency is maintained by a dynamic balance of host immune factors and disturbed by exposure to bacterial infection and low salinity. Aquaculture 2023, 575, 739747. [Google Scholar] [CrossRef]
- Pazir, M.K.; Afsharnasab, M.; Jalali Jafari, B.; Sharifpour, I.; Motalebi, A.A.; Dashtiannasab, A. Detection and identification of white spot syndrome virus (WSSV) and infectious hypodermal and hematopoietic necrosis virus (IHHNV) of Litopenaus vannamei from Bushehr and Sistan and Baloochestan provinces (Iran), during 2009-2010. Iran. J. Fish. Sci. 2011, 10, 708–726. [Google Scholar] [CrossRef]
- Dewangan, N.K.; Ayyaru, G.; Kuzhanthaivel, R.; Somasundaram Thirugnanasambandan, S.; Martin, G.G.; Daniel, K.; Ramakrishna, R.S. Incidence of simultaneous infection of infectious hypodermal and haematopoietic necrosis virus (IHHNV) and white spot syndrome virus (WSSV) in Litopenaeus vannamei. Aquaculture 2017, 471, 1–7. [Google Scholar] [CrossRef]
- Wang, F.; Li, S.; Li, F. Different Immune Responses of the Lymphoid Organ in Shrimp at Early Challenge Stage of Vibrio parahaemolyticus and WSSV. Animals 2021, 11, 2160. [Google Scholar] [CrossRef]
- Muegue, M.F.S.; Padilla, P.I.P.; Bermeo-Capunong, M.R.A.C.; Caipang, C.M.A.; Gestuveo, R.J.; Amar, M.J.A.; Geduspan, J.S. Histological Changes in the Hepatopancreas and Stomach of Litopenaeus vannamei Experimentally Induced with White Spot Syndrome Virus Infection. Uttar Pradesh J. Zool. 2023, 44, 63–72. [Google Scholar] [CrossRef]
- Vijayan, K.K.; Balasubramanian, C.P.; Jithendran, K.P.; Alavandi, S.V.; Santiago, T.C. Histopathology of Y-organ in Indian white shrimp Fenneropenaeus indicus, experimentally infected with white spot syndrome virus. Aquaculture 2003, 221, 97–106. [Google Scholar] [CrossRef]
- Gholamhoseini, B.; Afsharnasab, M.; Motallebi, A.A. Rate (ROI) and severity (SOI) of infection of white spot disease in cultured and captured Penaeidshrimps in the Persian Gulf using histopathology and polymerase chain reaction. Iran. J. Fish. Sci. 2013, 12, 335–347. [Google Scholar] [CrossRef]
- Sánchez-Martínez, J.G.; Aguirre-Guzmán, G.; Mejía-Ruíz, H. White Spot Syndrome Virus in cultured shrimp: A review. Aquac. Res. 2007, 38, 1339–1354. [Google Scholar] [CrossRef]
- Hoseinifar, S.H.; Sun, Y.-Z.; Wang, A.; Zhou, Z. Probiotics as Means of Diseases Control in Aquaculture, a Review of Current Knowledge and Future Perspectives. Front. Microbiol. 2018, 9, 2429. [Google Scholar] [CrossRef]
- Nilsen, P.; Karlsen, M.; Sritunyalucksana, K.; Thitamadee, S. White spot syndrome virus VP28 specific double-stranded RNA provides protection through a highly focused siRNA population. Sci. Rep. 2017, 7, 1028. [Google Scholar] [CrossRef]
- Kooloth Valappil, R.; Stentiford, G.D.; Bass, D. The rise of the syndrome–sub-optimal growth disorders in farmed shrimp. Rev. Aquac. 2021, 13, 1888–1906. [Google Scholar] [CrossRef]
- Dai, W.; Yu, W.; Xuan, L.; Tao, Z.; Xiong, J. Integrating molecular and ecological approaches to identify potential polymicrobial pathogens over a shrimp disease progression. Appl. Microbiol. Biotechnol. 2018, 102, 3755–3764. [Google Scholar] [CrossRef] [PubMed]
- Lee, C.; Jeon, H.J.; Kim, B.; Choi, S.-K.; Kim, J.H.; Han, J.E. Multiple infections of a new-type decapod hepanhamaparvovirus (DHPV) and Enterocytozoon hepatopenaei in Korea and DHPV infectivity in Penaeus vannamei. Aquaculture 2023, 563, 738922. [Google Scholar] [CrossRef]
- Dhar, A.K.; Cowley, J.A.; Hasson, K.W.; Walker, P.J. Genomic organization, biology, and diagnosis of Taura syndrome virus and yellowhead virus of penaeid shrimp. Adv. Virus Res. 2004, 63, 353–421. [Google Scholar] [CrossRef] [PubMed]
- Safeena, M.P.; Rai, P.; Karunasagar, I. Molecular Biology and Epidemiology of Hepatopancreatic parvovirus of Penaeid Shrimp. Indian J. Virol. Off. Organ Indian Virol. Soc. 2012, 23, 191–202. [Google Scholar] [CrossRef]
- Otta, S.K.; Karunasagar, I.; Karunasagar, I. Detection of monodon baculovirus and white spot syndrome virus in apparently healthy Penaeus monodon postlarvae from India by polymerase chain reaction. Aquaculture 2003, 220, 59–67. [Google Scholar] [CrossRef]
- Dewangan, N.K.; Gopalakrishnan, A.; Shankar, A.; Ramakrishna, R.S. Incidence of multiple bacterial infections in Pacific whiteleg shrimp, Litopenaeus vannamei. Aquac. Res. 2022, 53, 3890–3897. [Google Scholar] [CrossRef]
- Li, P.; Kinch, L.N.; Ray, A.; Dalia, A.B.; Cong, Q.; Nunan, L.M.; Camilli, A.; Grishin, N.V.; Salomon, D.; Orth, K. Acute Hepatopancreatic Necrosis Disease-Causing Vibrio parahaemolyticus Strains Maintain an Antibacterial Type VI Secretion System with Versatile Effector Repertoires. Appl. Environ. Microbiol. 2017, 83, e00737-17. [Google Scholar] [CrossRef]
- Saravanan, K.; Praveenraj, J.; Kiruba-Sankar, R.; Devi, V.; Biswas, U.; Kumar, T.S.; Sudhagar, A.; El-Matbouli, M.; Kumar, G. Co-Infection of Infectious Hypodermal and Hematopoietic Necrosis Virus (IHHNV) and White Spot Syndrome Virus (WSSV) in the Wild Crustaceans of Andaman and Nicobar Archipelago, India. Viruses 2021, 13, 1378. [Google Scholar] [CrossRef] [PubMed]
- Mishra, S.; Shekhar, M.; Azad, I. Concurrent infection with WSSV and MBV in Tiger prawn, Penaeus monodon (Fabricious) in West Bengal and their detection using PCR and DNA Dot-blot hybridization technique. Indian J. Biotechnol. 2005, 4, 506. [Google Scholar]
- Uma, A.; Rebecca, G.; Karthik, P.; Gangatharan, S.; Babu, S.G. Multiple Infections in Pacific White Shrimp (Penaeus vannamei) with Black Gill Disease. Indian J. Vet. Anim. Sci. Res. 2022, 48, 55–62. [Google Scholar]
- Manivannan, S.; Otta, S.K.; Karunasagar, I.; Karunasagar, I. Multiple viral infection in Penaeus monodon shrimp postlarvae in an Indian hatchery. Dis. Aquat. Org. 2002, 48, 233–236. [Google Scholar] [CrossRef]
- Orosco, F.L.; Lluisma, A.O. Prevalence, diversity and co-occurrence of the white spot syndrome virus, monodon baculovirus and Penaeus stylirostris densovirus in wild populations of Penaeus monodon in the Philippines. Dis. Aquat. Organ. 2017, 125, 199–206. [Google Scholar] [CrossRef]
- Feijó, R.G.; Kamimura, M.T.; Oliveira-Neto, J.M.; Vila-Nova, C.M.V.M.; Gomes, A.C.S.; Coelho, M.d.G.L.; Vasconcelos, R.F.; Gesteira, T.C.V.; Marins, L.F.; Maggioni, R. Infectious myonecrosis virus and white spot syndrome virus co-infection in Pacific white shrimp (Litopenaeus vannamei) farmed in Brazil. Aquaculture 2013, 380–383, 1–5. [Google Scholar] [CrossRef]
- Flegel, T.W.; Nielsen, L.; Thamavit, V.; Kongtim, S.; Pasharawipas, T. Presence of multiple viruses in non-diseased, cultivated shrimp at harvest. Aquaculture 2004, 240, 55–68. [Google Scholar] [CrossRef]
- Muthukrishnan, S.; Defoirdt, T.; Ina-Salwany, M.Y.; Yusoff, F.M.; Shariff, M.; Ismail, S.I.; Natrah, I. Vibrio parahaemolyticus and Vibrio harveyi causing Acute Hepatopancreatic Necrosis Disease (AHPND) in Penaeus vannamei (Boone, 1931) isolated from Malaysian shrimp ponds. Aquaculture 2019, 511, 734227. [Google Scholar] [CrossRef]
- Chayaburakul, K.; Nash, G.; Pratanpipat, P.; Sriurairatana, S.; Withyachumnarnkul, B. Multiple pathogens found in growth-retarded black tiger shrimp Penaeus monodon cultivated in Thailand. Dis. Aquat. Org. 2004, 60, 89–96. [Google Scholar] [CrossRef]
- Chen, S.C.; Chen, T.H.; Wang, P.C.; Chen, Y.C.; Huang, J.P.; Lin, Y.D.; Chaung, H.C.; Liaw, L.L. Metschnikowia bicuspidata and Enterococcus faecium co-infection in the giant freshwater prawn Macrobrachium rosenbergii. Dis. Aquat. Organ. 2003, 55, 161–167. [Google Scholar] [CrossRef]
- Aranguren, L.F.; Han, J.E.; Tang, K.F.J. Enterocytozoon hepatopenaei (EHP) is a risk factor for acute hepatopancreatic necrosis disease (AHPND) and septic hepatopancreatic necrosis (SHPN) in the Pacific white shrimp Penaeus vannamei. Aquaculture 2017, 471, 37–42. [Google Scholar] [CrossRef]
- Kumar, V.; Das, B.K.; Dhar, S.; Bisai, K.; Pande, G.S.J.; Zheng, X.; Parida, S.N.; Adhikari, A.; Jana, A.K. Ecytonucleospora hepatopenaei (EHP) disease prevalence and mortality in Litopenaeus vannamei: A comparative study from Eastern India shrimp farms. BMC Microbiol. 2024, 24, 523. [Google Scholar] [CrossRef]
- Thamizhvanan, S.; Sivakumar, S.; Santhosh Kumar, S.; Vinoth Kumar, D.; Suryakodi, S.; Balaji, K.; Rajkumar, T.; Vimal, S.; Abdul Majeed, S.; Taju, G.; et al. Multiple infections caused by white spot syndrome virus and Enterocytozoon hepatopenaei in pond-reared Penaeus vannamei in India and multiplex PCR for their simultaneous detection. J. Fish Dis. 2019, 42, 447–454. [Google Scholar] [CrossRef] [PubMed]
- Tang, K.F.J.; Aranguren, L.F.; Piamsomboon, P.; Han, J.E.; Maskaykina, I.Y.; Schmidt, M.M. Detection of the microsporidian Enterocytozoon hepatopenaei (EHP) and Taura syndrome virus in Penaeus vannamei cultured in Venezuela. Aquaculture 2017, 480, 17–21. [Google Scholar] [CrossRef]
- Singaravel, V.; Gopalakrishnan, A.; Martin, G.G. Multiple infections of Entrerocytozoon hepatopenaei and Hepatopancreatic parvovirus in pond-reared Penaeus vannamei in India. Aquaculture 2021, 545, 737232. [Google Scholar] [CrossRef]
- Babu, B.; Sathiyaraj, G.; Mandal, A.; Kandan, S.; Biju, N.; Palanisamy, S.; You, S.; Nisha, R.G.; Prabhu, N.M. Surveillance of disease incidence in shrimp farms located in the east coastal region of India and in vitro antibacterial efficacy of probiotics against Vibrio parahaemolyticus. J. Invertebr. Pathol. 2021, 179, 107536. [Google Scholar] [CrossRef]
- Wan Sajiri, W.M.H.; Borkhanuddin, M.H.; Kua, B.C. Occurrence of Enterocytozoon hepatopenaei (EHP) infection on Penaeus vannamei in one rearing cycle. Dis. Aquat. Org. 2021, 144, 1–7. [Google Scholar] [CrossRef]
- Kulkarni, A.; Krishnan, S.; Anand, D.; Kokkattunivarthil Uthaman, S.; Otta, S.K.; Karunasagar, I.; Kooloth Valappil, R. Immune responses and immunoprotection in crustaceans with special reference to shrimp. Rev. Aquac. 2021, 13, 431–459. [Google Scholar] [CrossRef]
- Li, F.; Xiang, J. Recent advances in researches on the innate immunity of shrimp in China. Dev. Comp. Immunol. 2013, 39, 11–26. [Google Scholar] [CrossRef]
- Abubakar, M.; Atmaca, H.T.; Zahoor, M.A.; Kul, O. Cellular Immunity-Pathogen Interactions in Infectious Diseases. J. Immunol. Res. 2015, 2015, 739783. [Google Scholar] [CrossRef]
- Liu, S.; Zheng, S.-C.; Li, Y.-L.; Li, J.; Liu, H.-P. Hemocyte-mediated phagocytosis in crustaceans. Front. Immunol. 2020, 11, 268. [Google Scholar] [CrossRef]
- Wang, X.-W.; Wang, J.-X. Diversity and multiple functions of lectins in shrimp immunity. Dev. Comp. Immunol. 2013, 39, 27–38. [Google Scholar] [CrossRef]
- Wang, X.-W.; Vasta, G.R.; Wang, J.-X. The functional relevance of shrimp C-type lectins in host-pathogen interactions. Dev. Comp. Immunol. 2020, 109, 103708. [Google Scholar] [CrossRef] [PubMed]
- Runsaeng, P.; Kwankaew, P.; Utarabhand, P. FmLC6: An ultimate dual-CRD C-type lectin from Fenneropenaeus merguiensis mediated its roles in shrimp defense immunity towards bacteria and virus. Fish Shellfish Immunol. 2018, 80, 200–213. [Google Scholar] [CrossRef] [PubMed]
- Li, M.; Li, C.; Ma, C.; Li, H.; Zuo, H.; Weng, S.; Chen, X.; Zeng, D.; He, J.; Xu, X. Identification of a C-type lectin with antiviral and antibacterial activity from pacific white shrimp Litopenaeus vannamei. Dev. Comp. Immunol. 2014, 46, 231–240. [Google Scholar] [CrossRef] [PubMed]
- Cui, C.; Liang, Q.; Tang, X.; Xing, J.; Sheng, X.; Zhan, W. Differential apoptotic responses of hemocyte subpopulations to white spot syndrome virus infection in Fenneropenaeus chinensis. Front. Immunol. 2020, 11, 594390. [Google Scholar] [CrossRef]
- Elmore, S. Apoptosis: A review of programmed cell death. Toxicol. Pathol. 2007, 35, 495–516. [Google Scholar] [CrossRef]
- Tang, X.; Cui, C.; Liang, Q.; Sheng, X.; Xing, J.; Zhan, W. Apoptosis of hemocytes is associated with the infection process of white spot syndrome virus in Litopenaeus vannamei. Fish. Shellfish Immunol. 2019, 94, 907–915. [Google Scholar] [CrossRef]
- Clarke, T.E.; Clem, R.J. Insect defenses against virus infection: The role of apoptosis. Int. Rev. Immunol. 2003, 22, 401–424. [Google Scholar] [CrossRef]
- Huang, T.; Cui, Y.; Zhang, X. Involvement of Viral MicroRNA in the Regulation of Antiviral Apoptosis in Shrimp. J. Virol. 2014, 88, 2544–2554. [Google Scholar] [CrossRef]
- Wang, W.; Zhang, X. Comparison of antiviral efficiency of immune responses in shrimp. Fish Shellfish Immunol. 2008, 25, 522–527. [Google Scholar] [CrossRef]
- Yao, D.; Su, H.; Zhu, J.; Zhao, X.; Aweya, J.J.; Wang, F.; Zhong, M.; Zhang, Y. SNPs in the Toll1 receptor of Litopenaeus vannamei are associated with immune response. Fish Shellfish Immunol. 2018, 72, 410–417. [Google Scholar] [CrossRef] [PubMed]
- Liu, Q.; Xu, D.; Jiang, S.; Huang, J.; Zhou, F.; Yang, Q.; Jiang, S.; Yang, L. Toll-receptor 9 gene in the black tiger shrimp (Penaeus monodon) induced the activation of the TLR–NF-κB signaling pathway. Gene 2018, 639, 27–33. [Google Scholar] [CrossRef] [PubMed]
- Feng, J.; Zhao, L.; Jin, M.; Li, T.; Wu, L.; Chen, Y.; Ren, Q. Toll receptor response to white spot syndrome virus challenge in giant freshwater prawns (Macrobrachium rosenbergii). Fish Shellfish Immunol. 2016, 57, 148–159. [Google Scholar] [CrossRef] [PubMed]
- Huang, Y.; Li, T.; Jin, M.; Yin, S.; Hui, K.-M.; Ren, Q. Newly identified PcToll4 regulates antimicrobial peptide expression in intestine of red swamp crayfish Procambarus clarkii. Gene 2017, 610, 140–147. [Google Scholar] [CrossRef]
- Mekata, T.; Kono, T.; Yoshida, T.; Sakai, M.; Itami, T. Identification of cDNA encoding Toll receptor, MjToll gene from kuruma shrimp, Marsupenaeus japonicus. Fish Shellfish Immunol. 2008, 24, 122–133. [Google Scholar] [CrossRef]
- Li, C.; Wang, S.; He, J. The two NF-κB pathways regulating bacterial and WSSV infection of shrimp. Front. Immunol. 2019, 10, 1785. [Google Scholar] [CrossRef]
- Yang, L.-S.; Yin, Z.-X.; Liao, J.-X.; Huang, X.-D.; Guo, C.-J.; Weng, S.-P.; Chan, S.-M.; Yu, X.-Q.; He, J.-G. A Toll receptor in shrimp. Mol. Immunol. 2007, 44, 1999–2008. [Google Scholar] [CrossRef]
- Wang, K.H.-C.; Tseng, C.-W.; Lin, H.-Y.; Chen, I.-T.; Chen, Y.-H.; Chen, Y.-M.; Chen, T.-Y.; Yang, H.-L. RNAi knock-down of the Litopenaeus vannamei Toll gene (LvToll) significantly increases mortality and reduces bacterial clearance after challenge with Vibrio harveyi. Dev. Comp. Immunol. 2010, 34, 49–58. [Google Scholar] [CrossRef]
- Wang, P.-H.; Liang, J.-P.; Gu, Z.-H.; Wan, D.-H.; Weng, S.-P.; Yu, X.-Q.; He, J.-G. Molecular cloning, characterization and expression analysis of two novel Tolls (LvToll2 and LvToll3) and three putative Spätzle-like Toll ligands (LvSpz1–3) from Litopenaeus vannamei. Dev. Comp. Immunol. 2012, 36, 359–371. [Google Scholar] [CrossRef]
- Hou, F.; He, S.; Liu, Y.; Zhu, X.; Sun, C.; Liu, X. RNAi knock-down of shrimp Litopenaeus vannamei Toll gene and immune deficiency gene reveals their difference in regulating antimicrobial peptides transcription. Dev. Comp. Immunol. 2014, 44, 255–260. [Google Scholar] [CrossRef]
- Guanzon, D.A.V.; Maningas, M.B.B. Functional elucidation of LvToll 3 receptor from P. vannamei through RNA interference and its potential role in the shrimp antiviral response. Dev. Comp. Immunol. 2018, 84, 172–180. [Google Scholar] [CrossRef] [PubMed]
- Assavalapsakul, W.; Panyim, S. Molecular cloning and tissue distribution of the Toll receptor in the black tiger shrimp, Penaeus monodon. Genet. Mol. Res. 2012, 11, 484–493. [Google Scholar] [CrossRef] [PubMed]
- Wang, Z.; Chen, Y.-H.; Dai, Y.-J.; Tan, J.-M.; Huang, Y.; Lan, J.-F.; Ren, Q. A novel vertebrates Toll-like receptor counterpart regulating the anti-microbial peptides expression in the freshwater crayfish, Procambarus clarkii. Fish Shellfish Immunol. 2015, 43, 219–229. [Google Scholar] [CrossRef]
- Lan, J.-F.; Zhao, L.-J.; Wei, S.; Wang, Y.; Lin, L.; Li, X.-C. PcToll2 positively regulates the expression of antimicrobial peptides by promoting PcATF4 translocation into the nucleus. Fish Shellfish Immunol. 2016, 58, 59–66. [Google Scholar] [CrossRef]
- Lan, J.-F.; Wei, S.; Wang, Y.-Q.; Dai, Y.-J.; Tu, J.-G.; Zhao, L.-J.; Li, X.-C.; Qin, Q.-W.; Chen, N.; Lin, L. PcToll3 was involved in anti-Vibrio response by regulating the expression of antimicrobial peptides in red swamp crayfish, Procambarus clarkii. Fish Shellfish Immunol. 2016, 57, 17–24. [Google Scholar] [CrossRef]
- Srisuk, C.; Longyant, S.; Senapin, S.; Sithigorngul, P.; Chaivisuthangkura, P. Molecular cloning and characterization of a Toll receptor gene from Macrobrachium rosenbergii. Fish Shellfish Immunol. 2014, 36, 552–562. [Google Scholar] [CrossRef]
- Wang, P.-H.; Gu, Z.-H.; Huang, X.-D.; Liu, B.-D.; Deng, X.-x.; Ai, H.-S.; Wang, J.; Yin, Z.-X.; Weng, S.-P.; Yu, X.-Q.; et al. An immune deficiency homolog from the white shrimp, Litopenaeus vannamei, activates antimicrobial peptide genes. Mol. Immunol. 2009, 46, 1897–1904. [Google Scholar] [CrossRef]
- Lan, J.-F.; Zhou, J.; Zhang, X.-W.; Wang, Z.-H.; Zhao, X.-F.; Ren, Q.; Wang, J.-X. Characterization of an immune deficiency homolog (IMD) in shrimp (Fenneropenaeus chinensis) and crayfish (Procambarus clarkii). Dev. Comp. Immunol. 2013, 41, 608–617. [Google Scholar] [CrossRef]
- Wang, S.; Li, H.; Lǚ, K.; Qian, Z.; Weng, S.; He, J.; Li, C. Identification and characterization of transforming growth factor β-activated kinase 1 from Litopenaeus vannamei involved in anti-bacterial host defense. Fish Shellfish Immunol. 2016, 52, 278–288. [Google Scholar] [CrossRef]
- Li, C.; Weng, S.; He, J. WSSV–host interaction: Host response and immune evasion. Fish Shellfish Immunol. 2019, 84, 558–571. [Google Scholar] [CrossRef]
- Zhu, F.; Zhang, X. The antiviral vp28-siRNA expressed in bacteria protects shrimp against white spot syndrome virus (WSSV). Aquaculture 2011, 319, 311–314. [Google Scholar] [CrossRef]
- Sabin, L.R.; Cherry, S. Small creatures use small RNAs to direct antiviral defenses. Eur. J. Immunol. 2013, 43, 27–33. [Google Scholar] [CrossRef]
- Kaewkascholkul, N.; Somboonviwat, K.; Asakawa, S.; Hirono, I.; Tassanakajon, A.; Somboonwiwat, K. Shrimp miRNAs regulate innate immune response against white spot syndrome virus infection. Dev. Comp. Immunol. 2016, 60, 191–201. [Google Scholar] [CrossRef] [PubMed]
- He, Y.; Zhang, X. Comprehensive characterization of viral miRNAs involved in white spot syndrome virus (WSSV) infection. RNA Biol. 2012, 9, 1019–1029. [Google Scholar] [CrossRef] [PubMed]
- He, Y.; Yang, K.; Zhang, X. Viral MicroRNAs Targeting Virus Genes Promote Virus Infection in Shrimp In Vivo. J. Virol. 2014, 88, 1104–1112. [Google Scholar] [CrossRef] [PubMed]
- Lulijwa, R.; Rupia, E.J.; Alfaro, A.C. Antibiotic use in aquaculture, policies and regulation, health and environmental risks: A review of the top 15 major producers. Rev. Aquac. 2020, 12, 640–663. [Google Scholar] [CrossRef]
- Kumar, S.; Verma, A.K.; Singh, S.P.; Awasthi, A. Immunostimulants for shrimp aquaculture: Paving pathway towards shrimp sustainability. Environ. Sci. Pollut. Res. 2023, 30, 25325–25343. [Google Scholar] [CrossRef]
- Mariot, L.V.; Bolívar, N.; Coelho, J.D.R.; Goncalves, P.; Colombo, S.M.; do Nascimento, F.V.; Schleder, D.D.; Hayashi, L. Diets supplemented with carrageenan increase the resistance of the Pacific white shrimp to WSSV without changing its growth performance parameters. Aquaculture 2021, 545, 737172. [Google Scholar] [CrossRef]
- Zhang, X.; Shan, L.-P.; Zhao, Q.; Liu, L.; OuYang, X.; Hu, Y.; Fei, C.-J.; Chen, J. Taxifolin inhibits WSSV infection and transmission by increasing the innate immune response in Litopenaeus vannamei. Viruses 2022, 14, 2731. [Google Scholar] [CrossRef]
- Gong, J.; Pan, X.; Zhou, X.; Zhu, F. Dietary quercetin protects Cherax quadricarinatus against white spot syndrome virus infection. J. Invertebr. Pathol. 2023, 198, 107931. [Google Scholar] [CrossRef]
- Galib, M.R.H.; Ghosh, A.K.; Sabbir, W. Dietary impact of Ocimum tenuiflorum leaf extract on the growth metrics and immune responses of shrimp (Penaeus monodon) against white spot syndrome virus (WSSV). Heliyon 2024, 11, e41583. [Google Scholar] [CrossRef]
- Ferdous, M.A.; Islam, S.I.; Habib, N.; Almehmadi, M.; Allahyani, M.; Alsaiari, A.A.; Shafie, A. CRISPR-Cas genome editing technique for fish disease management: Current study and future perspective. Microorganisms 2022, 10, 2012. [Google Scholar] [CrossRef] [PubMed]
- Pudgerd, A.; Saedan, S.; Santimanawong, W.; Weerachatyanukul, W.; Jariyapong, P.; Chaijarasphong, T.; Jongsomchai, K.; Sritunyalucksana, K.; Vanichviriyakit, R.; Chotwiwatthanakun, C. Genome editing of WSSV CRISPR/Cas9 and immune activation extends the survival of infected Penaeus vannamei. Sci. Rep. 2024, 14, 26306. [Google Scholar] [CrossRef] [PubMed]
- Govindaraju, K.; Dilip Itroutwar, P.; Veeramani, V.; Ashok Kumar, T.; Tamilselvan, S. Application of nanotechnology in diagnosis and disease management of white spot syndrome virus (WSSV) in aquaculture. J. Clust. Sci. 2020, 31, 1163–1171. [Google Scholar] [CrossRef]
- Namitha, R.; Santhiya, P.; Singh, I.B.; Dharani, G.; Kannan, M.; Govindaraju, K. Preparation and characterization of silica nanoparticles using beach sand and their anti-viral activity against white spot syndrome virus (WSSV): In vitro and in silico studies. Aquac. Int. 2024, 32, 4359–4370. [Google Scholar] [CrossRef]
- Salehpour, R.; Biuki, N.A.; Mohammadi, M.; Dashtiannasab, A.; Ebrahimnejad, P. The dietary effect of fucoidan extracted from brown seaweed, Cystoseira trinodis (C. Agardh) on growth and disease resistance to WSSV in shrimp Litopenaeus vannamei. Fish Shellfish Immunol. 2021, 119, 84–95. [Google Scholar] [CrossRef]
- Citarasu, T. Herbal biomedicines: A new opportunity for aquaculture industry. Aquac. Int. 2010, 18, 403–414. [Google Scholar] [CrossRef]
- Ghosh, A.K. Functionality of probiotics on the resistance capacity of shrimp against white spot syndrome virus (WSSV). Fish Shellfish Immunol. 2023, 140, 108942. [Google Scholar] [CrossRef]
- Huang, T.; Zhang, X. Host defense against DNA virus infection in shrimp is mediated by the siRNA pathway. Eur. J. Immunol. 2013, 43, 137–146. [Google Scholar] [CrossRef]
- Bindhu, F.; Velmurugan, S.; Donio, M.B.S.; Michaelbabu, M.; Citarasu, T. Influence of Agathi grandiflora active principles inhibit viral multiplication and stimulate immune system in Indian white shrimp Fenneropenaeus indicus against white spot syndrome virus infection. Fish Shellfish Immunol. 2014, 41, 482–492. [Google Scholar] [CrossRef]
- Rajashekar Reddy, C.B.; Dinesh, S.; Anusha, N.; Itami, T.; Rajasekhara Reddy, S.; Sudhakaran, R. Antiviral activity of 3-(1-chloropiperidin-4-yl)-6-fluoro benzisoxazole 2 against White spot syndrome virus in Freshwater crab, Paratelphusa hydrodomous. Aquac. Res. 2016, 8, 2677–2681. [Google Scholar] [CrossRef]
- Xie, Q.; Liu, Y.; Luo, F.; Yi, Q.; Wang, Y.; Deng, L.; Dai, J.; Feng, T. Antiviral activity of cathelicidin 5, a peptide from Alligator sinensis, against WSSV in caridean shrimp Exopalaemon modestus. Fish Shellfish Immunol. 2019, 93, 82–89. [Google Scholar] [CrossRef]
- Sinurat, E.; Saepudin, E.; Hudiyono, S. Immunostimulatory activity of brown seaweed-derived fucoidans at different molecular weights and purity levels towards white spot syndrome virus (WSSV) in shrimp Litopenaeus vannamei. J. Appl. Pharm. Sci. 2016, 6, 82–91. [Google Scholar] [CrossRef]
- Rudtanatip, T.; Asuvapongpatana, S.; Withyachumnarnkul, B.; Wongprasert, K. Sulfated galactans isolated from the red seaweed Gracilaria fisheri target the envelope proteins of white spot syndrome virus and protect against viral infection in shrimp haemocytes. J. Gen. Virol. 2014, 95, 1126–1134. [Google Scholar] [CrossRef] [PubMed]
- Zhang, Y.; Wen, J.; Xu, Y.; Wang, H.; Lu, L.; Song, R.; Zou, J. Epigallocatechin-3-gallate inhibits replication of white spot syndrome virus in the freshwater crayfish Procambarus clarkii. J. Fish Dis. 2022, 45, 445–450. [Google Scholar] [CrossRef] [PubMed]
- Sun, Z.C.; Chen, C.; Xu, F.F.; Li, B.K.; Shen, J.L.; Wang, T.; Jiang, H.F.; Wang, G.X. Evaluation of the antiviral activity of naringenin, a major constituent of Typha angustifolia, against white spot syndrome virus in crayfish Procambarus clarkii. J. Fish Dis. 2021, 44, 1503–1513. [Google Scholar] [CrossRef]
- Palanikumar, P.; Benitta, D.J.D.; Lelin, C.; Thirumalaikumar, E.; Michaelbabu, M.; Citarasu, T. Effect of Argemone mexicana active principles on inhibiting viral multiplication and stimulating immune system in Pacific white leg shrimp Litopenaeus vannamei against white spot syndrome virus. Fish Shellfish Immunol. 2018, 75, 243–252. [Google Scholar] [CrossRef]
- Dekham, K.; Jones, S.M.; Jitrakorn, S.; Charoonnart, P.; Thadtapong, N.; Intuy, R.; Dubbs, P.; Siripattanapipong, S.; Saksmerprome, V.; Chaturongakul, S. Functional and genomic characterization of a novel probiotic Lactobacillus johnsonii KD1 against shrimp WSSV infection. Sci. Rep. 2023, 13, 21610. [Google Scholar] [CrossRef]
- Sekar, A.; Kim, M.; Jeon, H.; Kim, K. Screening and selection of bacteria inhibiting white spot syndrome virus infection to Litopenaeus vannamei. Biochem. Biophys. Rep. 2019, 19, 100663. [Google Scholar] [CrossRef]
- Rodríguez, J.; Espinosa, Y.; Echeverría, F.; Cárdenas, G.; Román, R.; Stern, S. Exposure to probiotics and β-1, 3/1, 6-glucans in larviculture modifies the immune response of Penaeus vannamei juveniles and both the survival to White Spot Syndrome Virus challenge and pond culture. Aquaculture 2007, 273, 405–415. [Google Scholar] [CrossRef]
- Yang, X.; Wang, B.; Jiang, K.; Xu, K.; Zhong, C.; Liu, M.; Wang, L. The combined analysis of transcriptomics and metabolomics reveals the mechanisms by which dietary quercetin regulates growth and immunity in Penaeus vannamei. Fish Shellfish Immunol. 2024, 149, 109579. [Google Scholar] [CrossRef]
- Chen, Z.; Fan, D.; Pan, L.; Su, C.; Ding, Y.; Lu, M. Study of effects of dietary quercetin (Que) on growth performance and disease resistance mechanism of Litopenaeus vannamei. Aquaculture 2023, 563, 738887. [Google Scholar] [CrossRef]
- Luna-González, A.; Almaraz-Salas, J.C.; Fierro-Coronado, J.A.; del Carmen Flores-Miranda, M.; González-Ocampo, H.A.; Peraza-Gómez, V. The prebiotic inulin increases the phenoloxidase activity and reduces the prevalence of WSSV in whiteleg shrimp (Litopenaeus vannamei) cultured under laboratory conditions. Aquaculture 2012, 362, 28–32. [Google Scholar] [CrossRef]
- Mustafa, A.; Buentello, A.; Gatlin, D.; Lightner, D.; Hume, M.; Lawrence, A. Dietary supplementation of galactooligosaccharides (GOS) in Pacific white shrimp, Litopenaeus vannamei, cultured in a recirculating system and its effects on gut microflora, growth, stress, and immune response. J. Immunoass. Immunochem. 2019, 40, 662–675. [Google Scholar] [CrossRef] [PubMed]
- Tan, K.; Zhang, H.; Lim, L.-S.; Ma, H.; Li, S.; Zheng, H. Roles of carotenoids in invertebrate immunology. Front. Immunol. 2020, 10, 3041. [Google Scholar] [CrossRef]
- Zafilaza, A.; Andriantsimahavandy, A.; Randrianarivo, R.H. Use Essential Oil and Power of Antihelium Tsihanimposa to Eliminate the White Spot Syndrome Virus (WSSV) in Organic Shrimp Culture in Madagascar. Eur. J. Med. Health Sci. 2020, 2, 1–7. [Google Scholar] [CrossRef]
- Babikian, H.; Babikyan, Y.; Jha, R.K.; Wisoyo, S.D.; Asih, Y.; Srisombat, S. Performance of natural oil blend formulation (NOBF) against white spot syndrome virus (WSSV) agent in Penaeus vannamei boone, 1931. Int. J. Fish. Aquat. Stud. 2020, 8, 200–208. [Google Scholar] [CrossRef]
- Tomazelli Júnior, O.; Kuhn, F.; Mendonça Padilha, P.; Nunes Nesi, C.; Mestres, M.; Dal Magro, J.; De Lamo Castellví, S. Effect of microencapsulated thyme essential oil on white spot virus-infected Litopenaeus vannamei. Aquac. Int. 2018, 26, 1459–1468. [Google Scholar] [CrossRef]
- Tariq, S.; Wani, S.; Rasool, W.; Shafi, K.; Bhat, M.A.; Prabhakar, A.; Shalla, A.H.; Rather, M.A. A comprehensive review of the antibacterial, antifungal and antiviral potential of essential oils and their chemical constituents against drug-resistant microbial pathogens. Microb. Pathog. 2019, 134, 103580. [Google Scholar] [CrossRef]
- Bai, Y.; He, L.; Sun, M.; Zhou, X.; Xu, Z. Dark-field visual counting of white spot syndrome virus using gold nanoparticle probe. Aquaculture 2023, 562, 738797. [Google Scholar] [CrossRef]
- Krishnankutty Chandrika, S.; Thavarool Puthiyedathu, S. Challenges and prospects of Viral Envelope protein VP28-based control strategies to combat white spot syndrome virus in penaeid shrimps: A review. Rev. Aquac. 2021, 13, 734–743. [Google Scholar] [CrossRef]
- Rattanarojpong, T.; Khankaew, S.; Khunrae, P.; Vanichviriyakit, R.; Poomputsa, K. Recombinant baculovirus mediates dsRNA specific to rr2 delivery and its protective efficacy against WSSV infection. J. Biotechnol. 2016, 229, 44–52. [Google Scholar] [CrossRef] [PubMed]
- Weerachatyanukul, W.; Pooljun, C.; Hirono, I.; Kondo, H.; Chotwiwatthanakun, C.; Jariyapong, P. Infectious hypodermal and hematopoietic necrosis virus-like particle (IHHNV-VLP) induces peroxiredoxin expression and activity in Fenneropenaeus merguiensis. Fish Shellfish Immunol. 2022, 121, 53–61. [Google Scholar] [CrossRef] [PubMed]
- Ramos-Carreño, S.; Giffard-Mena, I.; Zamudio-Ocadiz, J.N.; Nuñez-Rivera, A.; Valencia-Yañez, R.; Ruiz-Garcia, J.; Viana, M.T.; Cadena-Nava, R.D. Antiviral therapy in shrimp through plant virus VLP containing VP28 dsRNA against WSSV. Beilstein J. Org. Chem. 2021, 17, 1360–1373. [Google Scholar] [CrossRef]
- Ruiz-Guerrero, E.A.; Giffard-Mena, I.; Viana, M.T.; Ramos-Carreño, S.; Sánchez-Serrano, S. Use of brome mosaic virus-like particles in feed, to deliver dsRNA targeting the white spot syndrome virus vp28 gene, reduces Penaeus vannamei mortality. Dis. Aquat. Org. 2023, 156, 15–28. [Google Scholar] [CrossRef]
- Abo-Al-Ela, H.G. RNA interference in aquaculture: A small tool for big potential. J. Agric. Food Chem. 2021, 69, 4343–4355. [Google Scholar] [CrossRef]
- Itsathitphaisarn, O.; Thitamadee, S.; Weerachatyanukul, W.; Sritunyalucksana, K. Potential of RNAi applications to control viral diseases of farmed shrimp. J. Invertebr. Pathol. 2017, 147, 76–85. [Google Scholar] [CrossRef]
- Jonjaroen, V.; Charoonnart, P.; Jitrakorn, S.; Payongsri, P.; Surarit, R.; Saksmerprome, V.; Niamsiri, N. Nanoparticles-based double-stranded RNA delivery as an antiviral agent in shrimp aquaculture. Rev. Aquac. 2024, 16, 1647–1673. [Google Scholar] [CrossRef]
- Du, Y.; Hu, X.; Miao, L.; Chen, J. Current status and development prospects of aquatic vaccines. Front. Immunol. 2022, 13, 1040336. [Google Scholar] [CrossRef]
- Mugunthan, S.P.; Loganathan, N.; Shanmugaraj, B.; Chandra, H.M. A narrative review on the white spot syndrome virus and the perspective of vaccine development. Vacunas 2025, 26, 100382. [Google Scholar] [CrossRef]
- Wikumpriya, G.C.; Prabhatha, M.W.S.; Lee, J.; Kim, C.-H. Epigenetic modulations for prevention of infectious diseases in shrimp aquaculture. Genes 2023, 14, 1682. [Google Scholar] [CrossRef] [PubMed]
- Feng, S.; Wang, C.; Hu, S.; Wu, Q.; Li, A. Recent progress in the development of white spot syndrome virus vaccines for protecting shrimp against viral infection. Arch. Virol. 2017, 162, 2923–2936. [Google Scholar] [CrossRef] [PubMed]
- Li, L.; Hong, Y.; Qiu, H.; Yang, F.; Li, F. VP19 is important for the envelope coating of white spot syndrome virus. Virus Res. 2019, 270, 197666. [Google Scholar] [CrossRef]
- Sanjuktha, M.; Stalin Raj, V.; Aravindan, K.; Alavandi, S.; Poornima, M.; Santiago, T. Comparative efficacy of double-stranded RNAs targeting WSSV structural and nonstructural genes in controlling viral multiplication in Penaeus monodon. Arch. Virol. 2012, 157, 993–998. [Google Scholar] [CrossRef]
- Alenton, R.R.R.; Kondo, H.; Hirono, I.; Maningas, M.B.B. Gene silencing of VP9 gene impairs WSSV infectivity on Macrobrachium rosenbergii. Virus Res. 2016, 214, 65–70. [Google Scholar] [CrossRef]
- Kulkarni, A.D.; Caipang, C.M.; Kiron, V.; Rombout, J.H.; Fernandes, J.M.; Brinchmann, M.F. Evaluation of immune and apoptosis related gene responses using an RNAi approach in vaccinated Penaeus monodon during oral WSSV infection. Mar. Genom. 2014, 18, 55–65. [Google Scholar] [CrossRef]
- Wang, F.; Li, S.; Xiang, J.; Li, F. Transcriptome analysis reveals the activation of neuroendocrine-immune system in shrimp hemocytes at the early stage of WSSV infection. BMC Genom. 2019, 20, 247. [Google Scholar] [CrossRef]
- Wei, C.; Pan, L.; Zhang, X.; Tong, R. Comparative transcriptome analysis of eyestalk from the white shrimp Litopenaeus vannamei after the injection of dopamine. Gene 2020, 763, 145115. [Google Scholar] [CrossRef]
- Diwan, A.; Ninawe, A.; Harke, S. Gene editing (CRISPR-Cas) technology and fisheries sector. Can. J. Biotechnol. 2017, 1, 65–72. [Google Scholar] [CrossRef]
- Thamizhvanan, S.; Nafeez Ahmed, A.; Vinoth Kumar, D.; Vimal, S.; Majeed, S.A.; Taju, G.; Hauton, C.; Sahul Hameed, A. Silencing of prophenoloxidase (proPO) gene in freshwater prawn, Macrobrachium rosenbergii, makes them susceptible to white spot syndrome virus (WSSV). J. Fish Dis. 2021, 44, 573–584. [Google Scholar] [CrossRef]
- Sun, B.; Wang, Z.; Zhu, F. The crustin-like peptide plays opposite role in shrimp immune response to Vibrio alginolyticus and white spot syndrome virus (WSSV) infection. Fish Shellfish Immunol. 2017, 66, 487–496. [Google Scholar] [CrossRef]







| Country/Region | Year | Country | Year |
|---|---|---|---|
| Mozambique | 2019 | Ecuador | 2019 |
| China | 2019 | Bangladesh | 2012 |
| India | 2018 | Brunei Darussalam | 2013 |
| Indonesia | 2019 | Colombia | 2005 |
| Japan | 2020 | El Salvador | 2005 |
| Malaysia | 2009 | Honduras | 2013 |
| The Philippines | 2019 | Hong Kong | 2013 |
| South Korea | 2019 | Iran | 2013 |
| Taiwan | 2019 | Madagascar | 2013 |
| Thailand | 2019 | Myanmar (Burma) | 2012 |
| Vietnam | 2019 | Nicaragua | 2013 |
| Costa Rica | 2019 | Peru | 2013 |
| Mexico | 2019 | Iran | 2011 |
| Panama | 2019 | Saudi Arabia | 2012 |
| United States | 2020 | Venezuela | 2011 |
| Australia | 2020 | Argentina | 2010 |
| Brazil | 2019 |
| Scientific Name | Common Name | Type | Detection Method |
|---|---|---|---|
| Alpheus brevicristatus | Snapping shrimp | N | Nested PCR |
| Alpheus lobidens | Apping shrimp | N | Nested PCR |
| Aristeus sp. | Red shrimp | N | Nested PCR |
| Exopalaemon orientalis | Oriental prawn | N, E | Nested PCR, DNA Probe |
| Penaeus aztecus | Northern brown shrimp | N, E | PCR, Histo |
| Penaeus duorarum | Pink shrimp | N, E | Histo |
| penaeus penicillatus | Rod Tail Shrimp | N | Nested PCR |
| penaeus chinensis | Chinese white shrimp | N | Histo, Electron microscope |
| Penaeus vannamei | Whiteleg shrimp | N, E | TEM, PCR, Histo |
| Penaeus setiferus | Atlantic white shrimp | N, E | PCR, Histo |
| Macrobrachium rosenbergii | Giant freshwater shrimp | N, E | Nested PCR, Southern blot, Histo |
| Macrobrachium idella | Sunset shrimp | E | Southern blot, Histo |
| Marsupenaeus japonicus | Kuruma shrimp | N, E | TEM, PCR, Histo |
| Metapenaeus ensis | Greasyback shrimp | N, E | PCR, DNA Probe |
| Metapenaeus dobsoni | Kadal shrimp | N, E | PCR, DNA Probe |
| Metapenaeus lysianassa | Bird shrimp | N | PCR, Histo |
| Metapenaeus monoceros | Speckled shrimp | N, E | Nested PCR, DNA Probe, Histo |
| Metapenaeus elegans | Fine shrimp | N | Nested PCR |
| Palaemon adspersus | Baltic prawn | E | TEM, Dot Blots, ISH, 1-step PCR |
| Palaemon styliferus | Grass shrimp | N | Nested PCR, DNA Probe, Histo |
| Parapenaeopsis stylifera | Kiddi shrimp | N | Nested PCR, DNA Probe |
| Penaeus monodon | Giant tiger shrimp | N, E | TEM, PCR, Histo |
| Penaeus indicus | Indian white prawn | N, E | TEM, Histo |
| Penaeus merguiensis | Banana prawn | N | ISH, Histo |
| Penaeus semiculcatus | Green tiger prawn | N, E | PCR |
| Penaeus schmitti | Southern white shrimp | E | Histo, ISH |
| Penaeus duorarum | Northern pink shrimp | N/E | Histo |
| Penaeus stylirostris | Northern white shrimp | N/E | TEM, PCR, Histo |
| Solenocera indica | Coastal mud shrimp | N | PCR, DNA Probe |
| Trachypenaeus curvirostris | Southern rough shrimp | N, E | LAMP, 2-step PCR |
| Atergatis integerrimus | Bashful crab | E | PCR, Histo |
| Cancer pagurus | Edible or rock crab | E | TEM, ISH, Histo, 1-step PCR |
| Calappa lophos | Box crab | N, E | PCR |
| Calappa philargius | Box crab | E | PCR, Histo |
| Callinectes arcuatus | Swimming crab | N | PCR |
| Callinectes sapidus | Blue crab | N | ISH, PCR |
| Carcinus maenas | Littoral crab | E | TEM, DNA hybridization, PCR |
| Charybdis annulata | Swimming crab | N, E | Histo, PCR |
| Charybdis cruciata | Red sea crab | N | PCR |
| Charybdis feriata | Coral crab | E | Nested PCR |
| Charybdis granulata | Swimming crab | E | Nested PCR |
| Charybdis hoplites | Swimming crab | N | PCR |
| Charybdis lucifera | Swimming crab | N, E | Histo, PCR |
| Charybdis natator | Hairyback crab | N | Histo, PCR |
| Demania splendida | E | Histo, PCR | |
| Doclea hybrida | E | Histo, PCR | |
| Gelasimus marionis nitidus | N | PCR | |
| Grapsus albolineatus | Rock crab | E | Histo, PCR |
| Halimede ochtodes | Hairy crab | E | Histo, PCR |
| Helice tridens | Shore crab | N | 2-step PCR |
| Liocarcinus depurator | Harbor crab | E | TEM, Dot blots, ISH, PCR |
| Liocarcinus puber | Velvet swimming crab | E | TEM, Dot blots, ISH, PCR |
| Lithodes maja | Deepsea king crab | E | Histo, PCR |
| Macrophthalmus sulcatus | Ghost/fiddler crab | N | PCR, DNA Probe |
| Mantura sp. | N | PCR | |
| Matuta miersi | Moon crab | E | Histo, PCR |
| Matuta planipes | Moon crab | N | PCR |
| Metopograpsus messor | Purple climber crab | N | PCR, DNA Probe |
| Menippe rumphii | Stone crab | E | Histo, PCR |
| Paradorippe granulata | E | Histo, PCR | |
| Parthenope prensor | Elbow crab | E | Histo, PCR |
| Parathelphusa hydrodomous | E | PCR, Histo | |
| Parathelphusa pulvinata | E | PCR, Histo | |
| Philyra syndactyla | Purse crab | E | PCR, Histo |
| Podophthalmus vigil | Long-eyed swimming crab | E | PCR, Histo |
| Portunus pelagicus | Sand crab | N, E | PCR |
| Portunus sanguinolentus | Blood spot crab | N, E | PCR, Histo |
| Pseudograpsus intermedius | Mosaic crab | N | Nested PCR, DNA Probe, Histo |
| Scylla serrata | Mud crab | N, E | PCR, Histo |
| Scylla tranquebarica | Mangrove crab | N, E | PCR, TEM |
| Scylla olivacea | Orange mud crab | E | qPCR |
| Sesarma sp. | Marsh crabs | N, E | PCR, Histo |
| Somanniathelphusa sp. | Black rice crab | E | PCR, Histo |
| Thalamita danae | Swimming crab | E | PCR, Histo |
| Acetes sp. | Krill | E | PCR, Histo |
| Panulirus homarus | Scalloped spiny lobster | E | Histo, Bioassay |
| Panulirus longipes | Longlegged spiny lobster | E | Nested PCR |
| Panulirus ornatus | Ornata spiny lobster | E | Histo, Bioassay |
| Panulirus penicillatus | Pronghorn spiny lobster | N, E | PCR |
| Panulirus polyphagus | Mud spiny lobster | E | Histo, Bioassay |
| Panulirus versicolor | Painted spiny lobster | E | Nested PCR |
| Scyllarus arctus | Small European locust lobster | E | TEM, Dot Blots, ISH, PCR |
| Artemia | E | Nested PCR | |
| Artemia franciscana | E | Nested PCR | |
| Schmackeria dubia | Copepoda | N | PCR |
| Squilla mantis | Mantis shrimp | N | Nested PCR, DNA Probe |
| Marphysa gravelyi | Polychaeta | N | 2-step PCR |
| Brachionus urceus | Rotifera | E | Nested PCR |
| Ephydridae sp. | Shore fly | N | Nested PCR |
| Astacus leptodactylus | Turkish crayfish | E | TEM, Dot Blots, ISH, 1-step PCR |
| Astacus astacus | Broad-fingered crayfish | E | PCR |
| Cherax destructor albidus | Yabby | E | DNA Probe, Histo |
| Cherax quadricarinatus | Australian redclaw | E | TEM, ISH, Nested PCR |
| Orconectes limosus | Spinycheek crayfish | E | TEM, Dot Blots, ISH, 1-step PCR |
| Orconectes punctimanus | Spothanded Crayfish | N | DNA Probe, southern blot, PCR |
| Pacifastacus leniusculus | Signal crayfish | E | Histo, PCR, ISH |
| Procambarus clarkii | Red swamp crayfish | E | Histo, PCR |
| Protein Names | A. A ** Residues Size | Apparent Size (kDa) | Location in WSSV Virion | WSSV-CN ORF | References |
|---|---|---|---|---|---|
| VP187 | 1606 | 174 | Envelope | wsv209 | [109] |
| VP180 | 1684 | 169 | Envelope | wsv001 | |
| VP150 | 1301 | 144 | Envelope | wsv011 | |
| VP136B | 1243 | 136 | Envelope | wsv465 | |
| VP124 | 1219 | 136 | Envelope | wsv216 | |
| VP110 | 972 | 110 | Envelope | wsv035 | |
| VP90 | 856 | 96 | Envelope | wsv327 | |
| VP75 | 786 | 75 | Envelope | wsv332 | |
| VP56 (VP60A) | 465 | 60 | Envelope | wsv325 | |
| VP55 | 448 | 55 | Envelope | wsv526 | |
| VP53A | 1301 | 144 | Envelope | wsv011 | |
| VP53B | 968 | 53 | Envelope | wsv115 | |
| VP52A | 486 | 51 | Envelope | wsv238 | |
| VP38 | 283 | 32 | Envelope | wsv259 | |
| VP33 (VP36B) | 281 | 32 | Envelope | wsv254 | |
| VP32 | 278 | 32 | Envelope | wsv198 | |
| VP28 | 204 | 28 | Envelope | wsv421 | |
| VP22 | 891 | 100 | Envelope | wsv303 | |
| VP19 | 121 | 19 | Envelope | wsv414 | |
| VP13A | 100 | 13 | Envelope | wsv284 | |
| VP12 (VP12A) | 95 | 11 | Envelope | wsv009 | |
| VP12B | 68 | 7 | Envelope | wsv386 | |
| VP11 | 433 | 11 | Envelope | wsv338 | |
| WSSV189 | - | - | ND * | wsv134 | |
| WSSV471 | - | - | ND * | wsv412 | |
| VP95 | 95 | 11 | Tegument | wsv442 | |
| VP39A | 419 | 39 | Tegument | wsv306 | |
| VP36A | 297 | 36 | Tegument | wsv077 | |
| VP26 | 204 | 26 | Tegument | wsv311 | |
| VP24 | 208 | 24 | Tegument | wsv002 | |
| WSSV458 | - | - | ND * | wsv399 | |
| WSSV186 | - | - | ND * | wsv131 | |
| VP160B | 1280 | 143.8 | Nucleocapsid | wsv037 | [113] |
| VP53C | 489 | 53 | Envelope | wsv269 | [111] |
| VP52B (VP51B) | 384 | 46 | Envelope | wsv256 | |
| VP41A | 292 | 33 | Envelope | wsv237 | |
| VP41B | 300 | 34 | Envelope | wsv242 | |
| VP39 (VP39B) | 419 | 39 | Envelope | wsv339 | |
| VP38B | 309 | 35 | Envelope | wsv390 | |
| VP31 | 261 | 31 | Envelope | wsv340 | |
| VP13 (VP13B) | 117 | 13 | Envelope | wsv321 | |
| VP14 | 97 | 11 | Envelope | wsv293a | |
| VP664 | 6077 | 664 | Nucleocapsid | wsv360 | |
| VP190 | 1565 | 174 | Nucleocapsid | wsv289 | |
| VP136 | 1218 | 135 | Nucleocapsid | wsv271 | |
| VP60 (VP60B) | 544 | 62 | Nucleocapsid | wsv415 | |
| VP51 (VP51C) | 466 | 62 | Nucleocapsid | wsv308 | |
| VP15 | 80 | 15 | Nucleocapsid | wsv214 | |
| VP76 (VP73) | 674 | 76 | Nucleocapsid | wsv220 | [114] |
| Species | Clinical Sign Observed | Reference |
|---|---|---|
| Penaeus monodon | White spots, lethargy, soft shell, erratic swimming, reddish body | [11] |
| Penaeus vannamei | White patches, gill necrosis, soft cuticle, lethargy | |
| Marsupenaeus japonicus | White spots, disorientation, loose appendages, lethargy | |
| Penaeus chinensis | Soft body, white spots, gill necrosis, lethargy | [101] |
| Scylla olivacea | White spots on carapace, necrosis, lethargy | [141] |
| Neohelice granulata | White spots, lethargy, body discoloration | |
| Procambarus clarkii | White spots, abnormal swimming, lethargy | [142] |
| Macrobrachium rosenbergii | Red body, gill necrosis, lethargy | [138] |
| Metapenaeus ensis | Lethargy, body redness, white spots | [83] |
| Exopalaemon orientalis | White spots, soft exoskeleton, decreased mobility | |
| Calappa lophos | Lethargy, body discoloration, white spots |
| Target Organ | Histopathological Degeneration | Reference |
|---|---|---|
| Epidermis and cuticular epithelium | Nuclear hypertrophy, intranuclear inclusion bodies, necrosis, epithelial detachment | [149] |
| Gills | Lamellar sloughing, epithelial fusion, necrosis, presence of viral inclusion bodies | [150] |
| Lymphoid organ and haematopoietic tissues | Formation of LOS, haemocyte infiltration, apoptotic bodies | [151] |
| Hepatopancreas and digestive system | Hepatopancreatic tubular degeneration, bacterial co-infection, severe necrosis in midgut epithelium | [152] |
| Y-organ (endocrine gland) | Destruction of molting gland cells, hypertrophic changes affecting growth and reproduction | [153] |
| Host Species | First Pathogen | Second Pathogen | Type of Infection | Reference |
|---|---|---|---|---|
| Homologous co-infection | ||||
| Viral co-infections | ||||
| Litopenaeus vannamei | Infectious hypodermal and haematopoietic necrosis virus (IHHNV) | White Spot Syndrome Virus (WSSV) | Synergistic | [150,165] |
| Penaeus monodon | IHHNV | WSSV | Synergistic | [166] |
| Penaeus monodon | WSSV | Monodon baculovirus | Antagonistic | [167,168] |
| Penaeus monodon | Monodon baculovirus | IHHNV | ||
| Penaeus monodon | Monodon baculovirus | Hepatopancreatic parvovirus | Synergistic | [169] |
| Penaeus monodon | WSSV | Penaeus stylirostris densovirus | Synergistic | [170] |
| Litopenaeus vannamei | Infectious myonecrosis virus | WSSV | Synergistic | [171] |
| Penaeus monodon | Hepatopancreatic parvovirus | WSSV | Antagonistic | [172] |
| Penaeus monodon | Hepatopancreatic parvovirus | IHHNV | Antagonistic | |
| Bacterial co-infections | ||||
| Litopenaeus vannamei | Vibrio parahaemolyticus | Vibrio harveyi | Synergistic | [173] |
| Parasitic co-infections | ||||
| Penaeus monodon | Microsporidian | Gregarine | Synergistic | [174] |
| Heterologous co-infection | ||||
| Parasitic and bacterial co-infections | ||||
| Macrobrachium rosenbergii | Metschnikowia bicuspidata | Enterococcus faecium | Synergistic | [175] |
| Penaeus vannamei | Enterocytozoon hepatopenaei | Vibrio parahaemolyticus | Synergistic | [176,177] |
| Penaeus vannamei | Enterocytozoon hepatopenaei | V. campbellii | Antagonistic | |
| Parasitic and viral co-infections | ||||
| Penaeus vannamei | Enterocytozoon hepatopenaei | WSSV | Synergistic | [178] |
| Penaeus vannamei | Infectious myonecrosis virus | Enterocytozoon hepatopenaei | Synergistic | [29] |
| Penaeus vannamei | Enterocytozoon hepatopenaei | Taura syndrome virus | Synergistic | [179] |
| Penaeus vannamei | Enterocytozoon hepatopenaei | Hepatopancreatic parvovirus | Synergistic | [180] |
| Penaeus monodon | Monodon baculovirus | Microsporidian | Synergistic | [174] |
| Monodon baculovirus | Gregarine | |||
| Hepatopancreatic parvovirus | Microsporidian | |||
| Bacterial and viral co-infections | ||||
| Penaeus monodon | Vibrio parahaemolyticus | WSSV | Synergistic | [181] |
Disclaimer/Publisher’s Note: The statements, opinions and data contained in all publications are solely those of the individual author(s) and contributor(s) and not of MDPI and/or the editor(s). MDPI and/or the editor(s) disclaim responsibility for any injury to people or property resulting from any ideas, methods, instructions or products referred to in the content. |
© 2025 by the authors. Licensee MDPI, Basel, Switzerland. This article is an open access article distributed under the terms and conditions of the Creative Commons Attribution (CC BY) license (https://creativecommons.org/licenses/by/4.0/).
Share and Cite
Iftehimul, M.; Hasan, N.A.; Bass, D.; Bashar, A.; Haque, M.M.; Santi, M. Combating White Spot Syndrome Virus (WSSV) in Global Shrimp Farming: Unraveling Its Biology, Pathology, and Control Strategies. Viruses 2025, 17, 1463. https://doi.org/10.3390/v17111463
Iftehimul M, Hasan NA, Bass D, Bashar A, Haque MM, Santi M. Combating White Spot Syndrome Virus (WSSV) in Global Shrimp Farming: Unraveling Its Biology, Pathology, and Control Strategies. Viruses. 2025; 17(11):1463. https://doi.org/10.3390/v17111463
Chicago/Turabian StyleIftehimul, Md., Neaz A. Hasan, David Bass, Abul Bashar, Mohammad Mahfujul Haque, and Morena Santi. 2025. "Combating White Spot Syndrome Virus (WSSV) in Global Shrimp Farming: Unraveling Its Biology, Pathology, and Control Strategies" Viruses 17, no. 11: 1463. https://doi.org/10.3390/v17111463
APA StyleIftehimul, M., Hasan, N. A., Bass, D., Bashar, A., Haque, M. M., & Santi, M. (2025). Combating White Spot Syndrome Virus (WSSV) in Global Shrimp Farming: Unraveling Its Biology, Pathology, and Control Strategies. Viruses, 17(11), 1463. https://doi.org/10.3390/v17111463

