DNA Prime and Recombinant Protein Boost Vaccination Confers Chickens with Enhanced Protection against Chicken Infectious Anemia Virus
Abstract
1. Introduction
2. Materials and Methods
2.1. Expression and Purification of CIAV VP1 and VP2 Recombinant Proteins
2.2. Construction of Eukaryotic Plasmid Co-Expressing CIAV VP1 and VP2
2.3. Western Blot Analysis
2.4. IFA Assay
2.5. Evaluation of Antibody Response of Different Vaccine Immunizations
2.6. Lymphocyte Proliferation Assay and ELISA
2.7. Evaluation of Protective Efficiency of DNA Vaccine and Subunit Vaccine
2.8. Statistical Analysis
3. Results
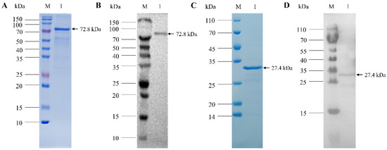
3.1. Expression of Recombinant VP1 and VP2 Proteins by E. coli Cells
3.2. Construction of CIAV VP1 and VP2 Eukaryotic Co-Expression Plasmid
3.3. Determination of Antibody Titer Induced by Different Vaccine Immunization
3.4. Effect of Different Vaccine Immunization on Cellular Immune Function
3.5. Determination of Hct and Thymus Index of Chickens after CIAV Challenge
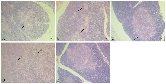
3.6. Histopathological Observation of Thymus after CIAV Challenge
3.7. Determination of Viral Load in Plasma after CIAV Challenge
4. Discussion
Author Contributions
Funding
Institutional Review Board Statement
Informed Consent Statement
Data Availability Statement
Conflicts of Interest
References
- Jeurissen, S.H.; Wagenaar, F.; Pol, J.M.; van der Eb, A.J.; Noteborn, M.H. Chicken anemia virus causes apoptosis of thymocytes after in vivo infection and of cell lines after in vitro infection. J. Virol. 1992, 66, 7383–7388. [Google Scholar] [CrossRef] [PubMed]
- Renshaw, R.W.; Soine, C.; Weinkle, T.; O’Connell, P.H.; Ohashi, K.; Watson, S.; Lucio, B.; Harrington, S.; Schat, K.A. A hypervariable region in VP1 of chicken infectious anemia virus mediates rate of spread and cell tropism in tissue culture. J. Virol. 1996, 70, 8872–8878. [Google Scholar] [CrossRef]
- Peters, M.A.; Jackson, D.C.; Crabb, B.S.; Browning, G.F. Chicken anemia virus VP2 is a novel dual specificity protein phosphatase. J. Biol. Chem. 2002, 277, 39566–39573. [Google Scholar] [CrossRef] [PubMed]
- Zhuang, S.M.; Shvarts, A.; van Ormondt, H.; Jochemsen, A.G.; van der Eb, A.J.; Noteborn, M.H. Apoptin, a protein derived from chicken anemia virus, induces p53-independent apoptosis in human osteosarcoma cells. Cancer Res. 1995, 55, 486–489. [Google Scholar]
- Danen-Van Oorschot, A.A.; Fischer, D.F.; Grimbergen, J.M.; Klein, B.; Zhuang, S.; Falkenburg, J.H.; Backendorf, C.; Quax, P.H.; Van der Eb, A.J.; Noteborn, M.H. Apoptin induces apoptosis in human transformed and malignant cells but not in normal cells. Proc. Natl. Acad. Sci. USA 1997, 94, 5843–5847. [Google Scholar] [CrossRef]
- Zhang, Y.; Zhang, X.; Cheng, A.; Wang, M.; Yin, Z.; Huang, J.; Jia, R. Apoptosis Triggered by ORF3 Proteins of the Circoviridae Family. Front. Cell Infect. Microbiol. 2020, 10, 609071. [Google Scholar] [CrossRef] [PubMed]
- Huynh, L.T.M.; Nguyen, G.V.; Do, L.D.; Dao, T.D.; Le, T.V.; Vu, N.T.; Cao, P.T.B. Chicken infectious anaemia virus infections in chickens in northern Vietnam: Epidemiological features and genetic characterization of the causative agent. Avian. Pathol. 2020, 49, 5–14. [Google Scholar] [CrossRef] [PubMed]
- Rosenberger, J.K.; Cloud, S.S. The isolation and characterization of chicken anemia agent (CAA) from broilers in the United States. Avian. Dis. 1989, 33, 707–713. [Google Scholar] [CrossRef]
- Techera, C.; Marandino, A.; Tomas, G.; Grecco, S.; Hernandez, M.; Hernandez, D.; Panzera, Y.; Perez, R. Origin, spreading and genetic variability of chicken anaemia virus. Avian. Pathol 2021, 50, 311–320. [Google Scholar] [CrossRef]
- Liu, L.; Li, Y.; Yin, M.; Zhao, P.; Guo, L.; Wang, Y. Genomic Characterization of Chicken Anemia Virus in Broilers in Shandong Province, China, 2020–2021. Front. Vet. Sci. 2022, 9, 816860. [Google Scholar] [CrossRef]
- Hoop, R.K. Persistence and vertical transmission of chicken anaemia agent in experimentally infected laying hens. Avian. Pathol. 1992, 21, 493–501. [Google Scholar] [CrossRef] [PubMed]
- Miller, M.M.; Schat, K.A. Chicken infectious anemia virus: An example of the ultimate host-parasite relationship. Avian. Dis. 2004, 48, 734–745. [Google Scholar] [CrossRef] [PubMed]
- Fatoba, A.J.; Adeleke, M.A. Chicken anemia virus: A deadly pathogen of poultry. Acta Virol. 2019, 63, 19–25. [Google Scholar] [CrossRef] [PubMed]
- Todd, D.; Connor, T.J.; Calvert, V.M.; Creelan, J.L.; Meehan, B.M.; McNulty, M.S. Molecular cloning of an attenuated chicken anaemia virus isolate following repeated cell culture passage. Avian. Pathol 1995, 24, 171–187. [Google Scholar] [CrossRef] [PubMed]
- Vaziry, A.; Silim, A.; Bleau, C.; Frenette, D.; Lamontagne, L. Chicken infectious anaemia vaccinal strain persists in the spleen and thymus of young chicks and induces thymic lymphoid cell disorders. Avian. Pathol. 2011, 40, 377–385. [Google Scholar] [CrossRef] [PubMed]
- Zhang, X.; Wu, B.; Liu, Y.; Chen, W.; Dai, Z.; Bi, Y.; Xie, Q. Assessing the efficacy of an inactivated chicken anemia virus vaccine. Vaccine 2015, 33, 1916–1922. [Google Scholar] [CrossRef]
- Pages-Mante, A.; Saubi, N.; Artigas, C.; Espuna, E. Experimental evaluation of an inactivated vaccine against chicken anaemia virus. Avian Pathol 1997, 26, 721–729. [Google Scholar] [CrossRef]
- Compagnone, M.; Pinto, E.; Salvatori, E.; Lione, L.; Conforti, A.; Marchese, S.; Rava, M.; Ryan, K.; Hall, Y.; Rayner, E.; et al. DNA-Vaccine-Induced Immune Response Correlates with Lower Viral SARS-CoV-2 Titers in a Ferret Model. Vaccines 2022, 10, 1178. [Google Scholar] [CrossRef]
- Moeini, H.; Omar, A.R.; Rahim, R.A.; Yusoff, K. Development of a DNA vaccine against chicken anemia virus by using a bicistronic vector expressing VP1 and VP2 proteins of CAV. Comp. Immunol. Microbiol. Infect. Dis. 2011, 34, 227–236. [Google Scholar] [CrossRef] [PubMed]
- Shen, S.Y.; Chang, W.C.; Yi, H.H.; Tsai, S.S.; Liu, H.J.; Liao, P.C.; Chuang, K.P. Development of a subunit vaccine containing recombinant chicken anemia virus VP1 and pigeon IFN-gamma. Vet. Immunol. Immunopathol. 2015, 167, 200–204. [Google Scholar] [CrossRef]
- Fang, L.; Zhen, Y.; Su, Q.; Zhu, H.; Guo, X.; Zhao, P. Efficacy of CpG-ODN and Freund’s immune adjuvants on antibody responses induced by chicken infectious anemia virus VP1, VP2, and VP3 subunit proteins. Poult. Sci. 2019, 98, 1121–1126. [Google Scholar] [CrossRef] [PubMed]
- Koch, G.; van Roozelaar, D.J.; Verschueren, C.A.; van der Eb, A.J.; Noteborn, M.H. Immunogenic and protective properties of chicken anaemia virus proteins expressed by baculovirus. Vaccine 1995, 13, 763–770. [Google Scholar] [CrossRef]
- Latheef, S.K.; Dhama, K.; Samad, H.A.; Wani, M.Y.; Kumar, M.A.; Palanivelu, M.; Malik, Y.S.; Singh, S.D.; Singh, R. Immunomodulatory and prophylactic efficacy of herbal extracts against experimentally induced chicken infectious anaemia in chicks: Assessing the viral load and cell mediated immunity. Virus Disease 2017, 28, 115–120. [Google Scholar] [CrossRef] [PubMed]
- Hinton, T.M.; Doran, T.J. Inhibition of chicken anaemia virus replication using multiple short-hairpin RNAs. Antiviral. Res. 2008, 80, 143–149. [Google Scholar] [CrossRef] [PubMed]
- Noteborn, M.H.; Verschueren, C.A.; Koch, G.; Van der Eb, A.J. Simultaneous expression of recombinant baculovirus-encoded chicken anaemia virus (CAV) proteins VP1 and VP2 is required for formation of the CAV-specific neutralizing epitope. J. Gen. Virol. 1998, 79, 3073–3077. [Google Scholar] [CrossRef] [PubMed][Green Version]
- Lee, M.S.; Hseu, Y.C.; Lai, G.H.; Chang, W.T.; Chen, H.J.; Huang, C.H.; Lee, M.S.; Wang, M.Y.; Kao, J.Y.; You, B.J.; et al. High yield expression in a recombinant E. coli of a codon optimized chicken anemia virus capsid protein VP1 useful for vaccine development. Microb. Cell Fact. 2011, 10, 56. [Google Scholar] [CrossRef]
- Lacorte, C.; Lohuis, H.; Goldbach, R.; Prins, M. Assessing the expression of chicken anemia virus proteins in plants. Virus Res. 2007, 129, 80–86. [Google Scholar] [CrossRef]
- Moeini, H.; Omar, A.R.; Rahim, R.A.; Yusoff, K. Improving the potency of DNA vaccine against chicken anemia virus (CAV) by fusing VP1 protein of CAV to Marek’s Disease Virus (MDV) type-1 VP22 protein. Virol. J. 2011, 8, 119. [Google Scholar] [CrossRef]
- Gurunathan, S.; Wu, C.Y.; Freidag, B.L.; Seder, R.A. DNA vaccines: A key for inducing long-term cellular immunity. Curr. Opin. Immunol. 2000, 12, 442–447. [Google Scholar] [CrossRef]
- Kardani, K.; Bolhassani, A.; Shahbazi, S. Prime-boost vaccine strategy against viral infections: Mechanisms and benefits. Vaccine 2016, 34, 413–423. [Google Scholar] [CrossRef]
- Perdiguero, B.; Asbach, B.; Gomez, C.E.; Kostler, J.; Barnett, S.W.; Koutsoukos, M.; Weiss, D.E.; Cristillo, A.D.; Foulds, K.E.; Roederer, M.; et al. Early and Long-Term HIV-1 Immunogenicity Induced in Macaques by the Combined Administration of DNA, NYVAC and Env Protein-Based Vaccine Candidates: The AUP512 Study. Front. Immunol. 2022, 13, 939627. [Google Scholar] [CrossRef] [PubMed]
- Huang, T.; Zhao, K.; Song, X.; Song, T.; Wang, X.; Zhang, X.; Yue, B.; Chu, Y. Heterologous Prime-Boost Immunization with DNA Vaccine and Modified Recombinant Proteins Enhances Immune Response against Trueperella pyogenes in Mice. Vaccines 2022, 10, 839. [Google Scholar] [CrossRef] [PubMed]
- Perez, P.; Martin-Acebes, M.A.; Poderoso, T.; Lazaro-Frias, A.; Saiz, J.C.; Sorzano, C.O.S.; Esteban, M.; Garcia-Arriaza, J. The combined vaccination protocol of DNA/MVA expressing Zika virus structural proteins as efficient inducer of T and B cell immune responses. Emerg. Microbes Infect. 2021, 10, 1441–1456. [Google Scholar] [CrossRef] [PubMed]






| NO | Primers | Sequences (5′-3′) | 
|---|---|---|
| 1 | pET-VP1-F | GGATCCATGGCTCGTCGTGCTCGTA | 
| 2 | pET-VP1-R | GTCGACCGGCGGAGAACCCCAGTA | 
| 3 | pET-VP2-F | GGATCCATGCACGGTAACGGTGGTCA | 
| 4 | pET-VP2-R | GAATTCAACGATACGAACCGGAGCC | 
| 5 | pBud-VP1-F | GGTACCGCCACCATGGCAAGACGAGCTCGCAG | 
| 6 | pBud-VP1-R | CTCGAGTCAATGGTGATGGTGATGATGGGGGGGC | 
| 7 | pBud-VP2-F | GTCGACAGCCACCATGCACGGGAACGGCGGAC | 
| 8 | pBud-VP2-R | GGATCCTCAATGGTGATGGTGATGATGCACTATA | 
| Group | Number | Immunization Treatment | 
|---|---|---|
| DNA vaccine group | 15 | Immunized with DNA vaccine at 1 day and 14 days of age (100 μg) | 
| Subunit vaccine group | 15 | Immunized with subunit vaccine at 1 day and 14 days of age (100 μg) | 
| Combined vaccine group | 15 | Immunized with DNA vaccine at 1 day of age (100 μg) and immunized with subunit vaccine at 14 days of age (100 μg) | 
| PBS control group | 15 | Injected with PBS buffer at 1 day and 14 days of age | 
| Group | Number | Immunization Treatment | CIAV Challenge | 
|---|---|---|---|
| DNA vaccine group | 15 | Immunized with DNA vaccine at 1 day and 14 days of age (100 μg) | Challenged with 1000 EID50 CIAV at 21 days of age | 
| Subunit vaccine group | 15 | Immunized with subunit vaccine at 1 day and 14 days of age (100 μg) | Challenged with 1000 EID50 CIAV at 21 days of age | 
| Combined vaccine group | 15 | Immunized with DNA vaccine at 1 day of age (100 μg) and immunized with subunit vaccine at 14 days of age (100 μg) | Challenged with 1000 EID50 CIAV at 21 days of age | 
| Infection control group | 15 | - | Challenged with 1000 EID50 CIAV at 21 days of age | 
| Blank control group | 15 | - | - | 
| Group | 1 w Post CIAV Challenge | 2 w Post CIAV Challenge | 
|---|---|---|
| DNA vaccine group | 0.38 ± 0.04 b | 0.33 ± 0.05 b | 
| Subunit vaccine group | 0.40 ± 0.02 b | 0.34 ± 0.03 b | 
| Combined vaccine group | 0.42 ± 0.03 a | 0.38 ± 0.02 a | 
| Infection control group | 0.38 ± 0.04 b | 0.29 ± 0.02 c | 
| Blank control group | 0.46 ± 0.03 a | 0.41 ± 0.02 a | 
| Group | 1 w Post CIAV Challenge | 2 w Post CIAV Challenge | 
|---|---|---|
| DNA vaccine group | 3.04 ± 0.42 b | 3.28 ± 0.68 b | 
| Subunit vaccine group | 3.40 ± 0.94 b | 3.29 ± 1.21 b | 
| Combined vaccine group | 3.45 ± 1.74 b | 3.96 ± 0.68 a | 
| Infection control group | 2.85 ± 1.25 c | 2.83 ± 0.55 c | 
| Blank control group | 3.93 ± 1.36 a | 4.01 ± 0.92 a | 
| Group | Viral Load (1 w Post Challenge, log10) | Viral Load (2 w Post Challenge, log10) | Positive Rate | Mortality Rate | 
|---|---|---|---|---|
| DNA vaccine group | 4.41 ± 0.47 b | 3.83 ± 0.72 b | 8/15 | 1/15 | 
| Subunit vaccine group | 3.65 ± 0.54 c | 2.48 ± 0.41 b | 6/15 | 0/15 | 
| Combined vaccine group | 2.33 ± 0.40 d | 1.65 ± 0.25 c | 4/15 | 0/15 | 
| Infection control group | 5.93 ± 0.66 a | 4.85 ± 0.47 a | 15/15 | 3/15 | 
| Blank control group | - | - | 0/15 | 0/15 | 
| Publisher’s Note: MDPI stays neutral with regard to jurisdictional claims in published maps and institutional affiliations. | 
© 2022 by the authors. Licensee MDPI, Basel, Switzerland. This article is an open access article distributed under the terms and conditions of the Creative Commons Attribution (CC BY) license (https://creativecommons.org/licenses/by/4.0/).
Share and Cite
Liu, L.; Yin, M.; Li, Y.; Su, H.; Fang, L.; Sun, X.; Chang, S.; Zhao, P.; Wang, Y. DNA Prime and Recombinant Protein Boost Vaccination Confers Chickens with Enhanced Protection against Chicken Infectious Anemia Virus. Viruses 2022, 14, 2115. https://doi.org/10.3390/v14102115
Liu L, Yin M, Li Y, Su H, Fang L, Sun X, Chang S, Zhao P, Wang Y. DNA Prime and Recombinant Protein Boost Vaccination Confers Chickens with Enhanced Protection against Chicken Infectious Anemia Virus. Viruses. 2022; 14(10):2115. https://doi.org/10.3390/v14102115
Chicago/Turabian StyleLiu, Ling, Mingrong Yin, Yang Li, Hong Su, Lichun Fang, Xiaolong Sun, Shuang Chang, Peng Zhao, and Yixin Wang. 2022. "DNA Prime and Recombinant Protein Boost Vaccination Confers Chickens with Enhanced Protection against Chicken Infectious Anemia Virus" Viruses 14, no. 10: 2115. https://doi.org/10.3390/v14102115
APA StyleLiu, L., Yin, M., Li, Y., Su, H., Fang, L., Sun, X., Chang, S., Zhao, P., & Wang, Y. (2022). DNA Prime and Recombinant Protein Boost Vaccination Confers Chickens with Enhanced Protection against Chicken Infectious Anemia Virus. Viruses, 14(10), 2115. https://doi.org/10.3390/v14102115
 
         
                                                

 
       