HBV Pre-S1-Derived Myristoylated Peptide (Myr47): Identification of the Inhibitory Activity on the Cellular Uptake of Lipid Nanoparticles
Abstract
1. Introduction
2. Materials and Methods
2.1. Materials
2.2. Cell Culture
2.3. Liposomes (LPs)
2.4. Confocal Laser Microscopy
2.5. Flow Cytometry
2.6. Alphascreen® Assay
2.7. Bio-Layer-Interferometry (BLI) Analysis
3. Results
3.1. Inhibition of Cellular Uptake of Liposomes (LPs) by Myr47
3.2. N-Myristoylation-Dependent Interaction between Myr47 and LPs
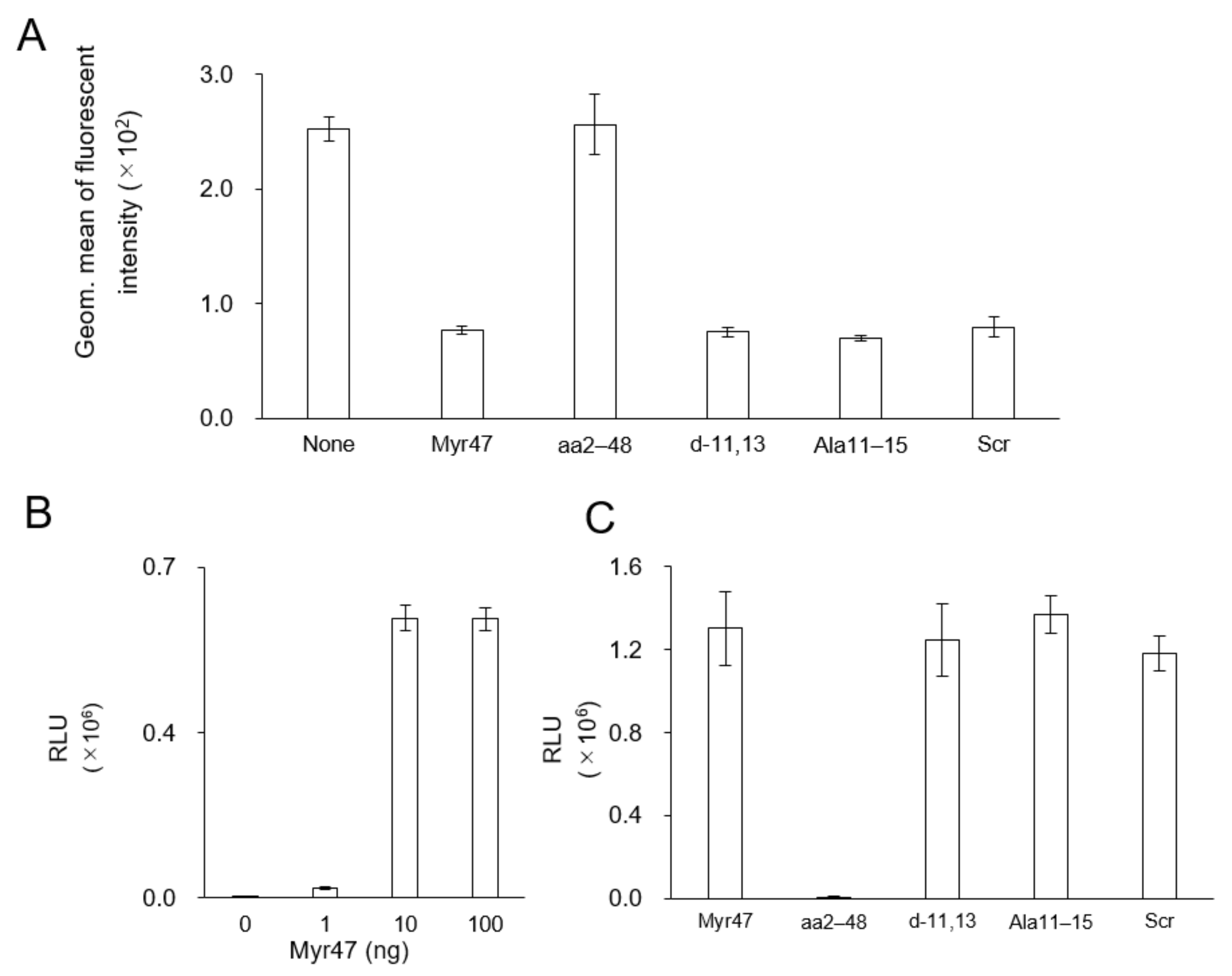
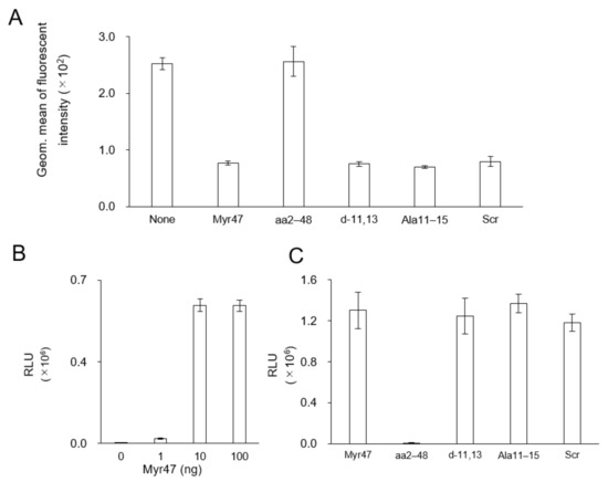
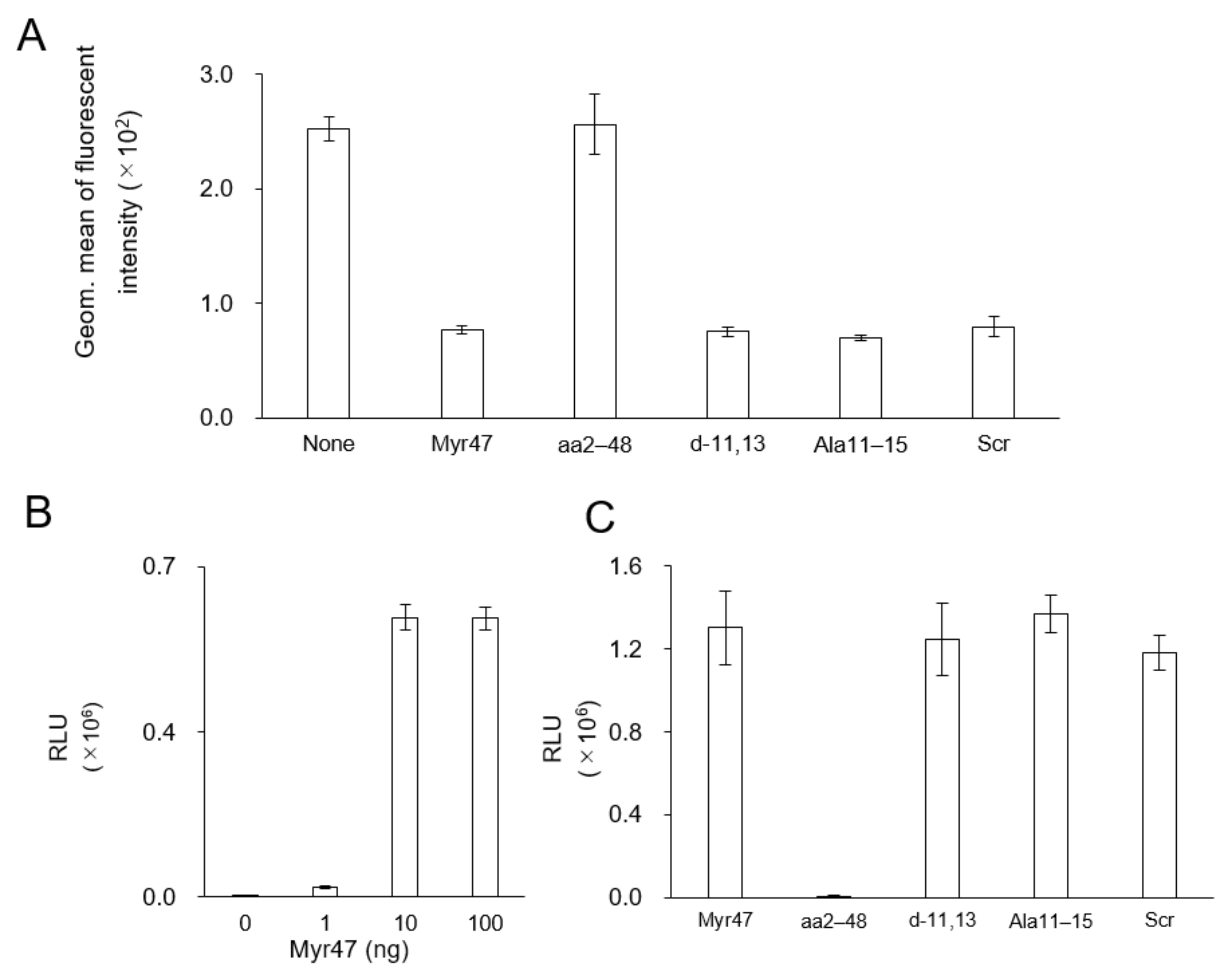
3.3. Effect of Amino Acid Sequence on the Myr47-Mediated Inhibitory Activity
3.4. Effect of Myr47 on the ApoE3 (Apolipoprotein E3)-LPs Interaction
3.5. Effect of Myr47 on the Cellular Uptake of HBsAg
4. Discussion
Author Contributions
Funding
Institutional Review Board Statement
Informed Consent Statement
Conflicts of Interest
References
- Neuveut, C.; Wei, Y.; Buendia, M.A. Mechanisms of HBV-related hepatocarcinogenesis. J. Hepatol. 2010, 52, 594–604. [Google Scholar] [CrossRef]
- Heermann, K.H.; Goldmann, U.; Schwartz, W.; Seyffarth, T.; Baumgarten, H.; Gerlich, W.H. Large surface proteins of hepatitis B virus containing the pre-s sequence. J. Virol. 1984, 52, 396–402. [Google Scholar] [CrossRef] [PubMed]
- Neurath, A.R.; Kent, S.B.H.; Strick, N.; Parker, K. Identification and chemical synthesis of a host cell receptor binding site on hepatitis B virus. Cell 1986, 46, 429–436. [Google Scholar] [CrossRef]
- Pontisso, P.; Ruvoletto, M.G.; Gerlich, W.H.; Heermann, K.H.; Bardini, R.; Alberti, A. Identification of an attachment site for human liver plasma membranes on hepatitis B virus particles. Virology 1989, 173, 522–530. [Google Scholar] [CrossRef]
- Klingmüller, U.; Schaller, H. Hepadnavirus infection requires interaction between the viral pre-S domain and a specific hepatocellular receptor. J. Virol. 1993, 67, 7414–7422. [Google Scholar] [CrossRef]
- Seyec, J.L.; Chouteau, P.; Cannie, I.; Guguen-Guillouzo, C.; Gripon, P. Infection process of the hepatitis B virus depends on the presence of a defined sequence in the pre-S1 domain. J. Virol. 1999, 73, 2052–2057. [Google Scholar] [CrossRef]
- Gripon, P.; Le Seyec, J.; Rumin, S.; Guguen-guillouzo, C. Myristylation of the hepatitis B virus large surface protein is essential for viral infectivity. Virology 1995, 213, 292–299. [Google Scholar] [CrossRef]
- Bruss, V.; Hagelstein, J.; Gerhardt, E.; Galle, P.R. Myristylation of the large surface protein is required for hepatitis B virus in vitro infectivity. Virology 1996, 218, 396–399. [Google Scholar] [CrossRef]
- Glebe, D.; Urban, S.; Knoop, E.V.; Çaǧ, N.; Krass, P.; Grun, S.; Bulavaite, A.; Sasnauskas, K.; Gerlich, W.H. Mapping of the hepatitis B virus attachment site by use of infection-inhibiting preS1 lipopeptides and Tupaia hepatocytes. Gastroenterology 2005, 129, 234–245. [Google Scholar] [CrossRef]
- Yan, H.; Zhong, G.; Xu, G.; He, W.; Jing, Z.; Gao, Z.; Li, W.; Yi, H.; Qi, Y.; Peng, B. Sodium taurocholate cotransporting polypeptide is a functional receptor for human hepatitis B and D virus. eLife 2012, 1, e00049. [Google Scholar] [CrossRef]
- Somiya, M.; Liu, Q.; Yoshimoto, N.; Iijima, M.; Tatematsu, K.; Nakai, T.; Kuroda, S.I. Cellular uptake of hepatitis B virus envelope L particles is independent of sodium taurocholate cotransporting polypeptide, but dependent on heparan sulfate proteoglycan. Virology 2016, 497, 23–32. [Google Scholar] [CrossRef]
- Qiao, L.; Luo, G.G. Human apolipoprotein E promotes hepatitis B virus infection and production. PLoS Pathog. 2019, 15, e1007874. [Google Scholar] [CrossRef] [PubMed]
- Yan, X.; Kuipers, F.; Havekes, L.M.; Havinga, R.; Dontje, B.; Poelstra, K.; Scherphof, G.L.; Kamps, J.A.A.M. The role of apolipoprotein E in the elimination of liposomes from blood by hepatocytes in the mouse. Biochem. Biophys. Res. Commun. 2005, 328, 57–62. [Google Scholar] [CrossRef] [PubMed]
- Schulze, A.; Schieck, A.; Ni, Y.; Mier, W.; Urban, S. Fine mapping of pre-S sequence requirements for hepatitis B virus large envelope protein-mediated receptor interaction. J. Virol. 2010, 84, 1989–2000. [Google Scholar] [CrossRef]
- Seethala, R.; Prabhavathi, F. Homogeneous Assays: AlphaScreen. In Handbook of Drug Screening; Marcel Dekker: New York, NY, USA, 2001; pp. 106–110. [Google Scholar]
- Johnson, D.R.; Bhatnagar, R.S.; Knoll, L.J.; Gordon, J.I. Genetic and biochemical studies of protein N-myristoylation. Ann. Rev. Biochem. 1994, 63, 869–914. [Google Scholar] [CrossRef]
- Mahley, R.W.; Ji, Z.S. Remnant lipoprotein metabolism: Key pathways involving cell-surface heparan sulfate proteoglycans and apolipoprotein E. J. Lipid Res. 1999, 40, 1–16. [Google Scholar] [CrossRef]
- Murray, D.; Ben-Tal, N.; Honig, B.; McLaughlin, S. Electrostatic interaction of myristoylated proteins with membranes: Simple physics, complicated biology. Structure 1997, 5, 985–989. [Google Scholar] [CrossRef]
- Zhang, Z.; Zehnder, B.; Damrau, C.; Urban, S. Visualization of hepatitis B virus entry novel tools and approaches to directly follow virus entry into hepatocytes. FEBS Lett. 2016, 590, 1915–1926. [Google Scholar] [CrossRef] [PubMed]
- Fujita, K.; Somiya, M.; Kuroda, S.; Hinuma, S. Induction of lipid droplets in non-macrophage cells as well as macrophages by liposomes and exosomes. Biochem. Biophys. Res. Commun. 2019, 510, 184–190. [Google Scholar] [CrossRef] [PubMed]
- Fujita, K.; Koide, N.; Somiya, M.; Kuroda, S.; Hinuma, S. A regulatory role of scavenger receptor class B type 1 in endocytosis and lipid droplet formation induced by liposomes containing phosphatidylethanolamine in HEK293T cells. Biochim. Biophys. Acta Mol. Cell. Res. 2021, 1868, 118859. [Google Scholar] [CrossRef] [PubMed]
- Koide, N.; Fujita, K.; Kuroda, S.; Hinuma, S. Binding of liposomes composed of phosphatidylcholine to scavenger receptor class B type 1 and its modulation by phosphatidic acid in HEK293T cells. Biochim. Biophys. Acta Mol. Cell. Res. 2021, 1868, 119043. [Google Scholar] [CrossRef] [PubMed]
- Izdebska, M.; Piątkowska-Chmiel, I.; Korolczuk, A.; Herbet, M.; Gawrońska-Grzywacz, M.; Gieroba, R.; Sysa, M.; Czajkowska-Bania, K.; Cygal, M.; Korga, A.; et al. The beneficial effects of resveratrol on steatosis and mitochondrial oxidative stress in HepG2 cells. Can. J. Physiol. Pharmacol. 2017, 95, 1442–1453. [Google Scholar] [CrossRef] [PubMed]
- Xiong, J.; Zhang, H.; Wang, Y.; Wang, A.; Bian, J.; Huang, H.; Zheng, Y.; Sang, X.; Xu, Y.; Lu, X.; et al. Hepatitis B virus infection and the risk of nonalcoholic fatty liver disease: A meta-analysis. Oncotarget 2017, 8, 107295–107302. [Google Scholar] [CrossRef] [PubMed]






| Name | Sequence |
|---|---|
| Myr47 | Myr-GTNLSVPNPLGFFPDHQLDPAFGANSNNPDWDFNPNKDQWPEANQVK-biotin |
| aa2–48 | GTNLSVPNPLGFFPDHQLDPAFGANSNNPDWDFNPNKDQWPEANQVK-biotin |
| Ala11–15 | Myr-GTNLSVPNPAAAAADHQLDPAFGANSNNPDWDFNPNKDQWPEANQVK-biotin |
| d-11,13 | Myr-GTNLSVPNLFFPDHQLDPAFGANSNNPDWDFNPNKDQWPEANQVK-biotin |
| Scrambled (Scr) | Myr-TNNDPFKRTDLAWNGFDSVAQNDLLPNPPFNNWGDGSHQPADAKPFTK-biotin |
Publisher’s Note: MDPI stays neutral with regard to jurisdictional claims in published maps and institutional affiliations. |
© 2021 by the authors. Licensee MDPI, Basel, Switzerland. This article is an open access article distributed under the terms and conditions of the Creative Commons Attribution (CC BY) license (https://creativecommons.org/licenses/by/4.0/).
Share and Cite
Nanahara, M.; Chang, Y.-T.; Somiya, M.; Kuroda, S. HBV Pre-S1-Derived Myristoylated Peptide (Myr47): Identification of the Inhibitory Activity on the Cellular Uptake of Lipid Nanoparticles. Viruses 2021, 13, 929. https://doi.org/10.3390/v13050929
Nanahara M, Chang Y-T, Somiya M, Kuroda S. HBV Pre-S1-Derived Myristoylated Peptide (Myr47): Identification of the Inhibitory Activity on the Cellular Uptake of Lipid Nanoparticles. Viruses. 2021; 13(5):929. https://doi.org/10.3390/v13050929
Chicago/Turabian StyleNanahara, Masaya, Ya-Ting Chang, Masaharu Somiya, and Shun’ichi Kuroda. 2021. "HBV Pre-S1-Derived Myristoylated Peptide (Myr47): Identification of the Inhibitory Activity on the Cellular Uptake of Lipid Nanoparticles" Viruses 13, no. 5: 929. https://doi.org/10.3390/v13050929
APA StyleNanahara, M., Chang, Y.-T., Somiya, M., & Kuroda, S. (2021). HBV Pre-S1-Derived Myristoylated Peptide (Myr47): Identification of the Inhibitory Activity on the Cellular Uptake of Lipid Nanoparticles. Viruses, 13(5), 929. https://doi.org/10.3390/v13050929

