Single-Round Infectious Particle Production by DNA-Launched Infectious Clones of Bungowannah Pestivirus
Abstract
1. Introduction
2. Materials and Methods
2.1. Cells and Viruses
2.2. Plasmid Construction
2.3. cDNA Stability
2.4. Transfection and Virus Rescue
2.5. Immunofluorescence Assay
2.6. Virus Titration and Growth Kinetics
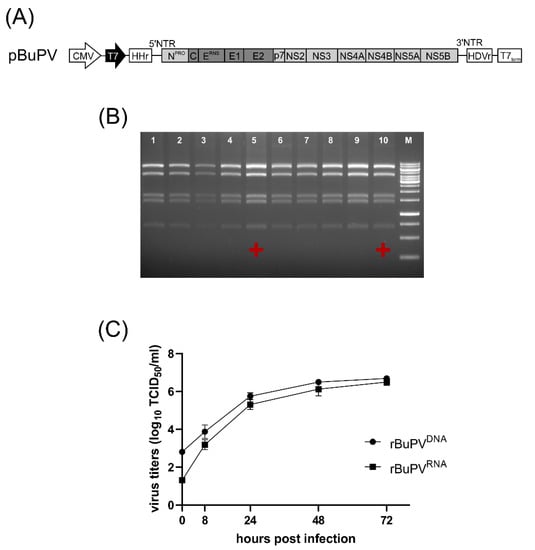
3. Results and Discussion
4. Conclusions
Supplementary Materials
Author Contributions
Funding
Acknowledgments
Conflicts of Interest
References
- Simmonds, P.; Becher, P.; Bukh, J.; Gould, E.A.; Meyers, G.; Monath, T.; Muerhoff, S.; Pletnev, A.; Rico-Hesse, R.; Smith, D.B.; et al. ICTV Virus Taxonomy Profile: Flaviviridae. J. Gen. Virol. 2017, 98, 2–3. [Google Scholar] [CrossRef] [PubMed]
- Kirkland, P.D.; Frost, M.J.; Finlaison, D.S.; King, K.R.; Ridpath, J.F.; Gu, X. Identification of a novel virus in pigs—Bungowannah virus: A possible new species of pestivirus. Virus Res. 2007, 129, 26–34. [Google Scholar] [CrossRef] [PubMed]
- McOrist, S.; Thornton, E.; Peake, A.; Walker, R.; Robson, S.; Finlaison, D.; Kirkland, P.; Reece, R.; Ross, A.; Walker, K.; et al. An infectious myocarditis syndrome affecting late-term and neonatal piglets. Aust. Vet. J. 2004, 82, 509–511. [Google Scholar] [CrossRef] [PubMed]
- Abrahante, J.E.; Zhang, J.W.; Rossow, K.; Zimmerman, J.J.; Murtaugh, M.P. Surveillance of Bungowannah pestivirus in the upper Midwestern USA. Transbound. Emerg. Dis. 2014, 61, 375–377. [Google Scholar] [CrossRef]
- Michelitsch, A.; Dalmann, A.; Wernike, K.; Reimann, I.; Beer, M. Seroprevalences of newly discovered porcine pestiviruses in German pig farms. Vet. Sci. 2019, 6, 86. [Google Scholar] [CrossRef]
- Kirkland, P.D.; Frost, M.J.; King, K.R.; Finlaison, D.S.; Hornitzky, C.L.; Gu, X.; Richter, M.; Reimann, I.; Dauber, M.; Schirrmeier, H.; et al. Genetic and antigenic characterization of Bungowannah virus, a novel pestivirus. Vet. Microbiol. 2015, 178, 252–259. [Google Scholar] [CrossRef]
- Richter, M.; König, P.; Reimann, I.; Beer, M. Npro of Bungowannah virus exhibits the same antagonistic function in the IFN induction pathway than that of other classical pestiviruses. Vet. Microbiol. 2014, 168, 340–347. [Google Scholar] [CrossRef]
- Richter, M.; Reimann, I.; Wegelt, A.; Kirkland, P.D.; Beer, M. Complementation studies with the novel “Bungowannah” virus provide new insights in the compatibility of pestivirus proteins. Virology 2011, 418, 113–122. [Google Scholar] [CrossRef]
- Richter, M.; Reimann, I.; Schirrmeier, H.; Kirkland, P.D.; Beer, M. The viral envelope is not sufficient to transfer the unique broad cell tropism of Bungowannah virus to a related pestivirus. J. Gen. Virol. 2014, 95 Pt 10, 2216–2222. [Google Scholar] [CrossRef]
- Liess, B.; Moennig, V. Ruminant pestivirus infection in pigs. Rev. Sci. Tech. 1990, 9, 151–161. [Google Scholar] [CrossRef]
- Fernelius, A.L.; Lambert, G.; Hemness, G.J. Bovine viral diarrhea virus-host cell interactions: Adaptation and growth of virus in cell lines. Am. J. Vet. Res. 1969, 30, 1561–1572. [Google Scholar] [PubMed]
- Ames, T.R. Hosts. In Bovine Viral Diarrhea Virus: Diagnosis, Management, and Control; Goyal, S.M., Ridpath, J.F., Eds.; Blackwell Publishing: Oxford, UK, 2005; p. 175. [Google Scholar]
- Nettleton, P.F. Pestivirus infections in ruminants other than cattle. Rev. Sci. Tech. 1990, 9, 131–150. [Google Scholar] [CrossRef] [PubMed]
- Løken, T. Ruminant pestivirus infections in animals other than cattle and sheep. Vet. Clin. N. Am. Food Anim. Pract. 1995, 11, 597–614. [Google Scholar] [CrossRef]
- Rasmussen, T.B.; Risager, P.C.; Fahnøe, U.; Friis, M.B.; Belsham, G.J.; Höper, D.; Reimann, I.; Beer, M. Efficient generation of recombinant RNA viruses using targeted recombination-mediated mutagenesis of bacterial artificial chromosomes containing full-length cDNA. BMC Genom. 2013, 14, 819. [Google Scholar] [CrossRef] [PubMed]
- Mischkale, K.; Reimann, I.; Zemke, J.; König, P.; Beer, M. Characterisation of a new infectious full-length cDNA clone of BVDV genotype 2 and generation of virus mutants. Vet. Microbiol. 2010, 142, 3–12. [Google Scholar] [CrossRef] [PubMed][Green Version]
- Moormann, R.J.; van Gennip, H.G.; Miedema, G.K.; Hulst, M.M.; van Rijn, P.A. Infectious RNA transcribed from an engineered full-length cDNA template of the genome of a pestivirus. J. Virol. 1996, 70, 763–770. [Google Scholar] [CrossRef] [PubMed]
- Ruggli, N.; Tratschin, J.D.; Mittelholzer, C.; Hofmann, M.A. Nucleotide sequence of classical swine fever virus strain Alfort/187 and transcription of infectious RNA from stably cloned full-length cDNA. J. Virol. 1996, 70, 3478–3487. [Google Scholar] [CrossRef]
- Vassilev, V.B.; Collett, M.S.; Donis, R.O. Authentic and chimeric full-length genomic cDNA clones of bovine viral diarrhea virus that yield infectious transcripts. J. Virol. 1997, 71, 471–478. [Google Scholar] [CrossRef]
- Kümmerer, B.M.; Meyers, G. Correlation between point mutations in NS2 and the viability and cytopathogenicity of Bovine viral diarrhea virus strain Oregon analyzed with an infectious cDNA clone. J. Virol. 2000, 74, 390–400. [Google Scholar] [CrossRef]
- Rasmussen, T.B.; Reimann, I.; Uttenthal, A.; Leifer, I.; Depner, K.; Schirrmeier, H.; Beer, M. Generation of recombinant pestiviruses using a full-genome amplification strategy. Vet. Microbiol. 2010, 142, 13–17. [Google Scholar] [CrossRef]
- Buchholz, U.J.; Finke, S.; Conzelmann, K.K. Generation of bovine respiratory syncytial virus (BRSV) from cDNA: BRSV NS2 is not essential for virus replication in tissue culture, and the human RSV leader region acts as a functional BRSV genome promoter. J. Virol. 1999, 73, 251–259. [Google Scholar] [CrossRef] [PubMed]
- Hebsgaard, S.M.; Korning, P.G.; Tolstrup, N.; Engelbrecht, J.; Rouzé, P.; Brunak, S. Splice site prediction in Arabidopsis thaliana pre-mRNA by combining local and global sequence information. Nucleic Acids Res. 1996, 24, 3439–3452. [Google Scholar] [CrossRef] [PubMed]
- Brunak, S.; Engelbrecht, J.; Knudsen, S. Prediction of human mRNA donor and acceptor sites from the DNA sequence. J. Mol. Biol. 1991, 220, 49–65. [Google Scholar] [CrossRef]
- Orbanz, J.; Finke, S. Generation of recombinant European bat lyssavirus type 1 and inter-genotypic compatibility of lyssavirus genotype 1 and 5 antigenome promoters. Arch. Virol. 2010, 155, 1631–1641. [Google Scholar] [CrossRef] [PubMed]
- Nolden, T.; Pfaff, F.; Nemitz, S.; Freuling, C.M.; Höper, D.; Müller, T.; Finke, S. Reverse genetics in high throughput: Rapid generation of complete negative strand RNA virus cDNA clones and recombinant viruses thereof. Sci. Rep. 2016, 6, 23887. [Google Scholar] [CrossRef] [PubMed]
- Dalmann, A.; Reimann, I.; Wernike, K.; Beer, M. Autonomously replicating RNAs of Bungowannah pestivirus: ERNS is not essential for the generation of infectious particles. J. Virol. 2020. [Google Scholar] [CrossRef] [PubMed]
- Hoffmann, E.; Neumann, G.; Kawaoka, Y.; Hobom, G.; Webster, R.G. A DNA transfection system for generation of influenza a virus from eight plasmids. Proc. Natl. Acad. Sci. USA 2000, 97, 6108–6113. [Google Scholar] [CrossRef]
- Steel, J.J.; Henderson, B.R.; Lama, S.B.; Olson, K.E.; Geiss, B.J. Infectious alphavirus production from a simple plasmid transfection. Virol. J. 2011, 8, 356. [Google Scholar] [CrossRef]
- Tretyakova, I.; Nickols, B.; Hidajat, R.; Jokinen, J.; Lukashevich, I.S.; Pushko, P. Plasmid DNA initiates replication of yellow fever vaccine in vitro and elicits virus-specific immune response in mice. Virology 2014, 468, 28–35. [Google Scholar] [CrossRef]
- Tan, C.W.; Tee, H.K.; Lee, M.H.; Sam, I.C.; Chan, Y.F. Enterovirus A71 DNA-launched infectious clone as a robust reverse genetic tool. PLoS ONE 2016, 11, e0162771. [Google Scholar] [CrossRef]
- Almazán, F.; González, J.M.; Pénzes, Z.; Izeta, A.; Calvo, E.; Plana-Durán, J.; Enjuanes, L. Engineering the largest RNA virus genome as an infectious bacterial artificial chromosome. Proc. Natl. Acad. Sci. USA 2000, 97, 5516–5521. [Google Scholar] [CrossRef] [PubMed]
- Li, L.; Pang, H.; Wu, R.; Zhang, Y.; Tan, Y.; Pan, Z. Development of a novel single-step reverse genetics system for the generation of classical swine fever virus. Arch. Virol. 2016, 161, 1831–1838. [Google Scholar] [CrossRef] [PubMed]
- Li, C.; Huang, J.; Li, Y.; He, F.; Li, D.; Sun, Y.; Han, W.; Li, S.; Qiu, H.J. Efficient and stable rescue of classical swine fever virus from cloned cDNA using an RNA polymerase II system. Arch. Virol. 2013, 158, 901–907. [Google Scholar] [CrossRef] [PubMed]
- Yamanaka, A.; Moi, M.L.; Takasaki, T.; Kurane, I.; Matsuda, M.; Suzuki, R.; Konishi, E. Utility of Japanese encephalitis virus subgenomic replicon-based single-round infectious particles as antigens in neutralization tests for Zika virus and three other flaviviruses. J. Virol. Methods 2017, 243, 164–171. [Google Scholar] [CrossRef] [PubMed]
- Suzuki, R.; Ishikawa, T.; Konishi, E.; Matsuda, M.; Watashi, K.; Aizaki, H.; Takasaki, T.; Wakita, T. Production of single-round infectious chimeric flaviviruses with DNA-based Japanese encephalitis virus replicon. J. Gen. Virol. 2014, 95 Pt 1, 60–65. [Google Scholar] [CrossRef]
- Yamanaka, A.; Suzuki, R.; Konishi, E. Evaluation of single-round infectious, chimeric dengue type 1 virus as an antigen for dengue functional antibody assays. Vaccine 2014, 32, 4289–4295. [Google Scholar] [CrossRef]
- Li, W.; Ma, L.; Guo, L.P.; Wang, X.L.; Zhang, J.W.; Bu, Z.G.; Hua, R.H. West Nile virus infectious replicon particles generated using a packaging-restricted cell line is a safe reporter system. Sci. Rep. 2017, 7, 3286. [Google Scholar] [CrossRef]
- Khromykh, A.A.; Varnavski, A.N.; Westaway, E.G. Encapsidation of the flavivirus kunjin replicon RNA by using a complementation system providing Kunjin virus structural proteins in trans. J. Virol. 1998, 72, 5967–5977. [Google Scholar] [CrossRef]
- van Gennip, H.G.; Bouma, A.; van Rijn, P.A.; Widjojoatmodjo, M.N.; Moormann, R.J. Experimental non-transmissible marker vaccines for classical swine fever (CSF) by trans-complementation of Erns or E2 of CSFV. Vaccine 2002, 20, 1544–1556. [Google Scholar] [CrossRef]
- Gehrke, R.; Ecker, M.; Aberle, S.W.; Allison, S.L.; Heinz, F.X.; Mandl, C.W. Incorporation of tick-borne encephalitis virus replicons into virus-like particles by a packaging cell line. J. Virol. 2003, 77, 8924–8933. [Google Scholar] [CrossRef]
- Reimann, I.; Meyers, G.; Beer, M. Trans-complementation of autonomously replicating Bovine viral diarrhea virus replicons with deletions in the E2 coding region. Virology 2003, 307, 213–227. [Google Scholar] [CrossRef][Green Version]
- Scholle, F.; Girard, Y.A.; Zhao, Q.; Higgs, S.; Mason, P.W. trans-Packaged West Nile virus-like particles: Infectious properties in vitro and in infected mosquito vectors. J. Virol. 2004, 78, 11605–11614. [Google Scholar] [CrossRef] [PubMed]
- Widjojoatmodjo, M.N.; van Gennip, H.G.; Bouma, A.; van Rijn, P.A.; Moormann, R.J. Classical swine fever virus Erns deletion mutants: Trans-complementation and potential use as nontransmissible, modified, live-attenuated marker vaccines. J. Virol. 2000, 74, 2973–2980. [Google Scholar] [CrossRef] [PubMed][Green Version]
- Maurer, R.; Stettler, P.; Ruggli, N.; Hofmann, M.A.; Tratschin, J.D. Oronasal vaccination with classical swine fever virus (CSFV) replicon particles with either partial or complete deletion of the E2 gene induces partial protection against lethal challenge with highly virulent CSFV. Vaccine 2005, 23, 3318–3328. [Google Scholar] [CrossRef]
- Reimann, I.; Semmler, I.; Beer, M. Packaged replicons of bovine viral diarrhea virus are capable of inducing a protective immune response. Virology 2007, 366, 377–386. [Google Scholar] [CrossRef]
- Chang, D.C.; Liu, W.J.; Anraku, I.; Clark, D.C.; Pollitt, C.C.; Suhrbier, A.; Hall, R.A.; Khromykh, A.A. Single-round infectious particles enhance immunogenicity of a DNA vaccine against West Nile virus. Nat. Biotechnol. 2008, 26, 571–577. [Google Scholar] [CrossRef]
- Miyazaki, J.; Takaki, S.; Araki, K.; Tashiro, F.; Tominaga, A.; Takatsu, K.; Yamamura, K. Expression vector system based on the chicken beta-actin promoter directs efficient production of interleukin-5. Gene 1989, 79, 269–277. [Google Scholar]
- Yamshchikov, V.; Mishin, V.; Cominelli, F. A new strategy in design of +RNA virus infectious clones enabling their stable propagation in E. coli. Virology 2001, 281, 272–280. [Google Scholar] [CrossRef]
- Shiu, J.S.; Liu, S.T.; Chang, T.J.; Ho, W.C.; Lai, S.S.; Chang, Y.S. The presence of RNA splicing signals in the cDNA construct of the E2 gene of classical swine fever virus affected its expression. J. Virol. Methods 1997, 69, 223–230. [Google Scholar] [CrossRef]
- Roby, J.A.; Bielefeldt-Ohmann, H.; Prow, N.A.; Chang, D.C.; Hall, R.A.; Khromykh, A.A. Increased expression of capsid protein in trans enhances production of single-round infectious particles by West Nile virus DNA vaccine candidate. J. Gen. Virol. 2014, 95 Pt 10, 2176–2191. [Google Scholar] [CrossRef]
- Martin, A.; Staeheli, P.; Schneider, U. RNA polymerase II-controlled expression of antigenomic RNA enhances the rescue efficacies of two different members of the Mononegavirales independently of the site of viral genome replication. J. Virol. 2006, 80, 5708–5715. [Google Scholar] [CrossRef] [PubMed]
- Kanai, Y.; Kawagishi, T.; Nouda, R.; Onishi, M.; Pannacha, P.; Nurdin, J.A.; Nomura, K.; Matsuura, Y.; Kobayashi, T. Development of stable rotavirus reporter expression systems. J. Virol. 2019, 93. [Google Scholar] [CrossRef] [PubMed]



| Construct | Primer | Sequence 5′-3′ |
|---|---|---|
| pBV_opt | Ph_Donor_C-Erns_F | GCCTGCCTATTGGTCGTGCCCGTGGGCTCCACCAACGTGACACAATG |
| Ph_Donor_Erns_R | TCACCCCTAAGTCTGCATCGTATCTGCATGTGACTGCGCACTC | |
| Ph_Donor_Erns_F | GTTGACGGTTACACCGAGGTGGTGGAGAAGGCCAGGTCAAGTGG | |
| Bungo_2534R | CGCTAATGCGTACATGAATTC | |
| Bungo_Npro_Mut_Donor_F | CTTTGTACAAACCAAGAGAGATGTGAGGGATCCAAGTGTGTA | |
| Bungo_1079R | GTGGCATCTGGTGGTCTAG | |
| Bungo_Donor_IV_F | GGCACTTGTATTGACAAAGAGGGTAGCGTGCAATGCTACATAGGGGA | |
| Bungo_Donor_IV_R_new | TCTTTAGTTCCCTCTTCGGCGCGTACTAAACCGACGAAGTAGACCAC | |
| Bungo_Donor_V_F | GCCTACACACACCCTGGAGGTGTAAGCAGTGTGATGCATGTCACCGC | |
| Bungo_6186_R | CACCGAACCTATGTATTTTTGACATCACTGCCAACTGTTC | |
| Bungo_Donor_VI_F | ATCACCAAATCCAACAAATTCTCGAGGGTGGGAAAGAATATGTCGGCCAAGCCTA | |
| Bungo_Donor_VI_R_new | GGACCCCCCATAGACCGTATTTCTTGATGTCACCGGCATGCTCTTGCAAGTATTC | |
| Bungo_Donor_VII_F | GGCCAGAAAAATTGCCAGTAGTAAGGGCCCAGACCAGTACCAAAG | |
| Bungo_Donor_VII_R | CTGGTTGACCACTTCCCCTTTGTCCTTCTCTTATGTAGACGTTTC | |
| Bungo_Donor_VIII_F | GTAGATGATTGGATGGAAGGAGATTATGTAGAAGAAAAAAGACC | |
| Bungo_Donor_VIII_R | GGCCCCTTGATCGCAAAGGCTTCGCCAAAACTTTTCTCAGTTATC | |
| Bungo_Donor_IX_F | GGTCAACCAGACACTAGCGCTGGAAATAGTATGTTGAATGTACT | |
| Bungo_Donor_IX_R | GACAAGCAGGCATATTCTTCGTACGAGGGGGTTCCAAGAATAC | |
| pBuPV | Bungo_LLHR_F | CGTCGTTATACCTGATGAGTCCGTGAGGACGAAACCCGGAGTCCCGGGTCGTATAACGACAGTAGTTCAA |
| Bungo_LLHR_R | TTCGGATGCCCAGGTCGGACCGCGAGGAGGTGGAGATGCCATGCCGACCCAGGGCTTTTTGGAACTGTGC | |
| pHaHd_F | TGGGTCGGCATGGCATCTCC | |
| pHaHd_R | GACCCGGGACTCCGGGTTTCGTCCTCACGGACTCATCAGGTATAACGACGACTAGCCAGCTTG | |
| pBuPV∆ERNS | Bungo_dERNS_F | CATCTAGCAGCAGACTATGAAAGTAAGATTGAAAACACCAAGA |
| Bungo_2164R | CATCACGAAGTCCCTGTTGTC |
© 2020 by the authors. Licensee MDPI, Basel, Switzerland. This article is an open access article distributed under the terms and conditions of the Creative Commons Attribution (CC BY) license (http://creativecommons.org/licenses/by/4.0/).
Share and Cite
Dalmann, A.; Wernike, K.; Snijder, E.J.; Oreshkova, N.; Reimann, I.; Beer, M. Single-Round Infectious Particle Production by DNA-Launched Infectious Clones of Bungowannah Pestivirus. Viruses 2020, 12, 847. https://doi.org/10.3390/v12080847
Dalmann A, Wernike K, Snijder EJ, Oreshkova N, Reimann I, Beer M. Single-Round Infectious Particle Production by DNA-Launched Infectious Clones of Bungowannah Pestivirus. Viruses. 2020; 12(8):847. https://doi.org/10.3390/v12080847
Chicago/Turabian StyleDalmann, Anja, Kerstin Wernike, Eric J. Snijder, Nadia Oreshkova, Ilona Reimann, and Martin Beer. 2020. "Single-Round Infectious Particle Production by DNA-Launched Infectious Clones of Bungowannah Pestivirus" Viruses 12, no. 8: 847. https://doi.org/10.3390/v12080847
APA StyleDalmann, A., Wernike, K., Snijder, E. J., Oreshkova, N., Reimann, I., & Beer, M. (2020). Single-Round Infectious Particle Production by DNA-Launched Infectious Clones of Bungowannah Pestivirus. Viruses, 12(8), 847. https://doi.org/10.3390/v12080847

