Consolidation and Dehydration of Waterlogged Archaeological Wood from Site Huaguangjiao No.1
Abstract
1. Introduction
2. Materials and Methods
2.1. Materials
2.2. PEG-4000 Impregnation
2.3. Drying Process
2.4. Weight Percentage Gain (WPG)
2.5. Shrinkage Percentage (SP)
2.6. Estimation of Wood Dimensional Stability
2.7. Moisture Absorption (MA)
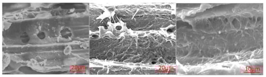
2.8. Morphological Characteristic
2.9. Chemical Structure Analysis Using FTIR Spectroscopy
2.10. Statistical Analyses
3. Results and Discussions
3.1. Weight Percentage Gain (WPG) and Shrinkage Percentage (SP)
3.2. Estimation of Wood Dimensional Stability and Moisture Absorption (MA)
3.3. FTIR Spectroscopy
3.4. Morphology
4. Conclusions
Author Contributions
Funding
Data Availability Statement
Acknowledgments
Conflicts of Interest
References
- Popescu, C.M.; Tibirna, C.M.; Vasile, C. XPS characterization of naturally aged wood. Appl. Surf. Sci. 2009, 256, 1355–1360. [Google Scholar] [CrossRef]
- Feng, X.; Chen, J.; Yu, S.; Wu, Z.; Huang, Q. Mild hydrothermal modification of beech wood (Zelkova schneideriana Hand-Mzt): Its physical, structural, and mechanical properties. Eur. J. Wood Prod. 2022, 80, 933–945. [Google Scholar] [CrossRef]
- Sun, G.R.; He, Y.R.; Wu, Z.H. Effects of thermal treatment on the dimensional stability and chemical constituents of new and aged camphorwood. BioResources 2022, 17, 4186–4195. [Google Scholar] [CrossRef]
- Fu, Y.; Yang, L.; Zhang, M.; Lin, Z.; Shen, Z. Recent advances in cellulose-based polymer electrolytes. Cellulose 2022, 29, 8997–9034. [Google Scholar] [CrossRef]
- Tahira, A.; Howard, W.; Pennington, E.R.; Kennedy, A. Mechanical strength studies on degraded waterlogged wood treated with sugars. Stud. Conserv. 2016, 62, 223–226. [Google Scholar] [CrossRef]
- Walsh-Korb, Z.; Averous, L. Recent developments in the conservation of materials properties of historical wood. Prog. Mater. Sci. 2019, 102, 167–221. [Google Scholar] [CrossRef]
- Xie, B.; Zhu, X.; Grydehøj, A. Perceiving the Silk Road Archipelago: Archipelagic relations within the ancient and 21st Century Maritime Silk Road. Isl. Stud. J. 2020, 15, 55–72. [Google Scholar] [CrossRef]
- Bao, Q. The application of big data technology in the research of ancient Chinese silk road. J. Phys. Conf. Ser. 2020, 1578, 012144. [Google Scholar] [CrossRef]
- Chen, Y.; Luo, W.; Li, N.; Wang, C. A study on provenance of marine porcelains from Huaguangjiao No. 1 after sample desalination. J. Archaeol. Sci. Rep. 2016, 5, 547–556. [Google Scholar] [CrossRef]
- Shen, D.; Li, N.; Fu, Y.; Macchioni, N.; Sozzi, L.; Tian, X.; Liu, J. Study on wood preservation state of Chinese ancient shipwreck Huaguangjiao I. J. Cult. Herit. 2018, 32, 53–59. [Google Scholar] [CrossRef]
- Han, L.; Guo, J.; Wang, K.; Gronquist, P.; Li, R.; Tian, X.; Yin, Y. Hygroscopicity of waterlogged archaeological wood from Xiaobaijiao No.1 shipwreck related to its deterioration state. Polymers 2020, 12, 834. [Google Scholar] [CrossRef]
- Ringman, R.; Beck, G.; Pilgard, A. The Importance of Moisture for Brown Rot Degradation of Modified Wood: A Critical Discussion. Forests 2019, 10, 522. [Google Scholar] [CrossRef]
- Broda, M.; Hill, C.A.S. Conservation of Waterlogged Wood—Past, Present and Future Perspectives. Forests 2021, 12, 1193. [Google Scholar] [CrossRef]
- Fejfer, M.; Majka, J.; Zborowska, M. Dimensional Stability of Waterlogged Scots Pine Wood Treated with PEG and Dried Using an Alternative Approach. Forests 2020, 11, 1254. [Google Scholar] [CrossRef]
- Moise, V.; Stanculescu, I.; Vasilca, S.; Cutrubinis, M.; Pincu, E.; Oancea, P.; Raducan, A.; Meltzer, V. Consolidation of very degraded cultural heritage wood artefacts using radiation curing of polyester resins. Radiat. Phys. Chem. 2019, 156, 314–319. [Google Scholar] [CrossRef]
- Pournou, A. Wood Deterioration by Aquatic Microorganisms. In Biodeterioration of Wooden Cultural Heritage; Springer: Berlin/Heidelberg, Germany, 2020; pp. 177–260. [Google Scholar]
- Pournou, A.; Moss, S.T.; Jones, A.M. Preliminary studies on polyalkylene glycols (PAGs) as a pre-treatment to the freeze-drying of waterlogged archaeological wood. In Proceedings of the 7th ICOM-CC Working Group on Wet Organic Archaeological Materials Conference, Grenoble, France, 19–23 October 1998; pp. 104–109. [Google Scholar]
- Broda, M. Natural Compounds for Wood Protection against Fungi—A Review. Molecules 2020, 25, 3538. [Google Scholar] [CrossRef]
- Imazu, S.; Morgòs, A. Conservation of waterlogged wood using sugar alcohol and comparison the effectiveness of lactitol, sucrose and PEG 4000 treatment. In Proceedings of the 6th ICOM Group on Wet Organic Archaeological Materials Conference, York, UK, 9–13 September 1996; pp. 235–254. [Google Scholar]
- Han, L.; Guo, J.; Tian, X.; Jiang, X.; Yin, Y. Evaluation of PEG and sugars consolidated fragile waterlogged archaeological wood using nanoindentation and ATR-FTIR imaging. Int. Biodeterior. Biodegrad. 2022, 170, 105390. [Google Scholar] [CrossRef]
- Seborg, R.M.; Inverarity, R.B. Preservation of old, waterlogged wood by treatment with polyethylene glycol. Science 1962, 136, 649–650. [Google Scholar] [CrossRef]
- Sandstrom, M.; Jalilehvand, F.; Damian, E.; Fors, Y.; Gelius, U.; Jones, M.; Salome, M. Sulfur accumulation in the timbers of King Henry VIII’s warship Mary Rose: A pathway in the sulfur cycle of conservation concern. Proc. Natl. Acad. Sci. USA 2005, 102, 14165–14170. [Google Scholar] [CrossRef]
- Hoffmann, P.; Singh, A.P.; Kim, Y.S.; Wi, S.G.; Schmitt, U. The Bremen Cog of 1380—An electron microscopic study of its degraded wood before and after stabilization with PEG. Holzforschung 2004, 58, 211–218. [Google Scholar] [CrossRef]
- Nguyen, T.D.; Sakakibara, K.; Imai, T.; Tsujii, Y.; Kohdzuma, Y.; Sugiyama, J. Shrinkage and swelling behavior of archaeological waterlogged wood preserved with slightly crosslinked sodium polyacrylate. J. Wood Sci. 2018, 64, 294–300. [Google Scholar] [CrossRef]
- Jones, S.P.; Slater, N.K.; Jones, M.; Ward, K.; Smith, A.D. Investigating the processes necessary for satisfactory freeze-drying of waterlogged archaeological wood. J. Archaeol. Sci. 2009, 36, 2177–2183. [Google Scholar] [CrossRef]
- Liu, H.; Xie, J.; Zhang, J. Moisture transfer and drying stress of eucalyptus wood during supercritical CO2 (ScCO2) dewatering and ScCO2 combined oven drying. BioResources 2022, 17, 5116–5128. [Google Scholar] [CrossRef]
- Yang, L. Effect of Temperature and Pressure of Supercritical CO2 on Dewatering, Shrinkage and Stresses of Eucalyptus Wood. Appl. Sci. 2021, 11, 8730. [Google Scholar] [CrossRef]
- Yang, L.; Liu, H. Effect of Supercritical CO2 Drying on Moisture Transfer and Wood Property of Eucalyptus urophydis. Forests 2020, 11, 1115. [Google Scholar] [CrossRef]
- Zhang, J.-W.; Liu, H.-H.; Yang, H.; Yang, L. Drying Characteristics of Eucalyptus urophylla × E. grandis with Supercritical CO2. Materials 2020, 13, 3989. [Google Scholar] [CrossRef]
- Broda, M.; Curling, S.F.; Frankowski, M. The effect of the drying method on the cell wall structure and sorption properties of waterlogged archaeological wood. Wood Sci. Technol. 2021, 55, 971–989. [Google Scholar] [CrossRef]
- GB/T 1931; Method for Determination of the Moisture Content of Wood. Standardization Administration of China: Beijing, China, 2009.
- GB/T 1933; Method for Determination of the Density of Wood. Standardization Administration of China: Beijing, China, 2009.
- GB/T 2677.6-1994; Fibrous Raw Material. Determination of Solvent Extractives. Standardization Administration of China: Beijing, China, 1994.
- Gao, J.; Li, J.; Qiu, J.; Guo, M. Degradation assessment of waterlogged wood at Haimenkou site. Frat. Integrità Strutt. 2014, 8, 495–501. [Google Scholar]
- Mori, M.; Kuhara, S.; Kobayashi, K.; Suzuki, S. Nondestructive visualization of polyethylene glycol impregnation in wood using ultrashort echo time 3D imaging. J. Cult. Herit. 2021, 50, 43–48. [Google Scholar] [CrossRef]
- Gregory, M. Wood identification: An annotated bibliography. Iawa J. 1980, 1, 3–41. [Google Scholar] [CrossRef]
- Sehlstedt-Persson, S.M.B. High-temperature drying of Scots pine. A comparison between HT-and LT-drying. Holz als Roh-und Werkstoff 1995, 53, 95–99. [Google Scholar] [CrossRef]
- Derkowski, A.; Mirski, R.; Majka, J. Determination of sorption isotherms of scots pine (Pinus sylvestris L.) Wood strands loaded with melamine-urea-phenol-formaldehyde (Mupf) resin. Wood Res. 2015, 60, 201–210. [Google Scholar]
- Sivrikaya, H.; Hosseinpourpia, R.; Ahmed, S.A.; Adamopoulos, S. Vacuum-heat treatment of Scots pine (Pinus sylvestris L.) wood pretreated with propanetriol. Wood Mater. Sci. Eng. 2022, 17, 328–336. [Google Scholar] [CrossRef]
- Han, L.; Tian, X.; Keplinger, T.; Zhou, H.; Li, R.; Svedstrom, K.; Burgert, I.; Yin, Y.; Guo, J. Even visually intact cell walls in waterlogged archaeological wood are chemically deteriorated and mechanically fragile: A case of a 170 Year-old shipwreck. Molecules 2020, 25, 1113. [Google Scholar] [CrossRef]
- Liu, Y.; Liu, H.; Shen, Z. Nanocellulose Based Filtration Membrane in Industrial Waste Water Treatment: A Review. Materials 2021, 14, 5398. [Google Scholar] [CrossRef]
- Antonelli, F.; Galotta, G.; Sidoti, G.; Zikeli, F.; Nisi, R.; Davidde Petriaggi, B.; Romagnoli, M. Cellulose and lignin nano-scale consolidants for waterlogged archaeological wood. Front. Chem. 2020, 8, 32. [Google Scholar] [CrossRef]
- Bjurhager, I.; Halonen, H.; Lindfors, E.L.; Iversen, T.; Almkvist, G.; Gamstedt, E.K.; Berglund, L.A. State of degradation in archeological oak from the 17th century Vasa ship: Substantial strength loss correlates with reduction in (holo) cellulose molecular weight. Biomacromolecules 2012, 13, 2521–2527. [Google Scholar] [CrossRef]
- Chaochanchaikul, K.; Jayaraman, K.; Rosarpitak, V.; Sombatsompop, N. Influence of lignin content on photodegradation in wood/HDPE composites under UV weathering. BioResources 2012, 7, 38–55. [Google Scholar]
- Jiang, J.; Li, J.; Gao, Q. Effect of flame retardant treatment on dimensional stability and thermal degradation of wood. Constr. Build. Mater. 2015, 75, 74–81. [Google Scholar] [CrossRef]
- Popescu, M.C.; Jones, D.; Krzisnik, D.; Humar, M. Determination of the effectiveness of a combined thermal/chemical wood modification by the use of FTIR spectroscopy and chemometric methods. J. Mol. Struct. 2020, 1200, 127–133. [Google Scholar] [CrossRef]
- Timar, M.C.; Tuduce Trăistaru, A.A.; Patachia, S.; Croitoru, C. An investigation of consolidates penetration on wood—Part 2: FTIR Spectroscopy. ProLigno 2011, 7, 25–38. [Google Scholar]
- He, Z.B.; Yang, F.; Wang, Z.Y.; Zhao, Z.J.; Yi, S.L. Reducing wood drying time by application of ultrasound pretreatment. Dry. Technol. 2016, 34, 1141–1146. [Google Scholar] [CrossRef]







| Wood Samples | Maximum Moisture (%) | Basic Density (g/cm3) | Acid-Insoluble Lignin (%) | Holocellulose (%) |
|---|---|---|---|---|
| 1# | 514.64 (40.81) 1 | 0.171 (0.007) | 59.76 (2.78) | 40.67 (1.67) |
| 2# | 742.89 (40.55) | 0.153 (0.006) | 61.45 (1.93) | 39.60 (1.09) |
| 3# | 1146.45 (70.26) | 0.142 (0.005) | 62.98 (1.82) | 36.60 (1.05) |
| Consolidation and Dehydration Effects | Shrinkage Percentage | WPG | |||
|---|---|---|---|---|---|
| Tangential (%) | Radial (%) | Longitudinal (%) | Volume (%) | ||
| Degradation degree | |||||
| 1# | 5.08 b | 2.20 b | 0.69 b | 7.81 c | 108.61 c |
| 2# | 4.97 b | 3.09 a | 1.30 a | 9.11 b | 166.39 b |
| 3# | 6.10 a | 3.58 a | 1.23 a | 10.57 a | 266.50 a |
| Dehydration method | |||||
| FD | 5.25 a | 2.78 a | 1.00 a | 8.80 b | 177.46 a |
| SCD | 5.52 a | 3.14 a | 1.15 a | 9.52 a | 183.54 a |
| p-values | |||||
| Degradation degree | <0.0001 | 0.012 | 0.027 | <0.0001 | <0.0001 |
| Dehydration method | 0.215 | 0.315 | 0.426 | 0.048 | 0.071 |
| Degradation degree × dehydration method | 0.931 | 0.090 | 0.155 | 0.110 | 0.003 |
| Consolidation and Dehydration Effects | Wood Dimensional Stability | MA | |||
|---|---|---|---|---|---|
| Tangential (%) | Radial (%) | Longitudinal (%) | Volume (%) | ||
| Degradation degree | |||||
| 1# | 2.41 a | 1.03 b | 0.53 b | 4.02 a | 3.94 a |
| 2# | 2.09 a | 1.71 a | 1.01 a | 4.89 a | 4.22 a |
| 3# | 2.22 a | 1.82 a | 0.99 a | 5.11 a | 3.47 a |
| Dehydration method | |||||
| FD | 2.37 a | 1.47 a | 0.79 a | 4.70 a | 3.64 a |
| SCD | 3.11 a | 1.57 a | 0.90 a | 4.65 a | 4.12 a |
| p values | |||||
| Degradation degree | 0.489 | 0.001 | 0.027 | 0.049 | 0.315 |
| Dehydration method | 0.237 | 0.529 | 0.426 | 0.900 | 0.246 |
| Degradation degree × dehydration method | 0.035 | 0.245 | 0.155 | 0.318 | 0.478 |
Publisher’s Note: MDPI stays neutral with regard to jurisdictional claims in published maps and institutional affiliations. |
© 2022 by the authors. Licensee MDPI, Basel, Switzerland. This article is an open access article distributed under the terms and conditions of the Creative Commons Attribution (CC BY) license (https://creativecommons.org/licenses/by/4.0/).
Share and Cite
Liu, X.; Tu, X.; Ma, W.; Zhang, C.; Huang, H.; Varodi, A.M. Consolidation and Dehydration of Waterlogged Archaeological Wood from Site Huaguangjiao No.1. Forests 2022, 13, 1919. https://doi.org/10.3390/f13111919
Liu X, Tu X, Ma W, Zhang C, Huang H, Varodi AM. Consolidation and Dehydration of Waterlogged Archaeological Wood from Site Huaguangjiao No.1. Forests. 2022; 13(11):1919. https://doi.org/10.3390/f13111919
Chicago/Turabian StyleLiu, Xinyou, Xinwei Tu, Wanrong Ma, Changjun Zhang, Houyi Huang, and Anca Maria Varodi. 2022. "Consolidation and Dehydration of Waterlogged Archaeological Wood from Site Huaguangjiao No.1" Forests 13, no. 11: 1919. https://doi.org/10.3390/f13111919
APA StyleLiu, X., Tu, X., Ma, W., Zhang, C., Huang, H., & Varodi, A. M. (2022). Consolidation and Dehydration of Waterlogged Archaeological Wood from Site Huaguangjiao No.1. Forests, 13(11), 1919. https://doi.org/10.3390/f13111919

