Next Article in Journal
Light-Induced Cytotoxicity and Genotoxicity of a Sunscreen Agent, 2-Phenylbenzimidazole in Salmonella typhimurium TA 102 and HaCaT Keratinocytes
Previous Article in Journal
Identification of Regional Air Pollution Characteristic and the Correlation with Public Health in Taiwan
 
 
Font Type:
Arial Georgia Verdana
Font Size:
Aa Aa Aa
Line Spacing:
Column Width:
Background:
Article

Biosafety of Recombinant and Wild Type Nucleopolyhedroviruses as Bioinsecticides

by
Mohamed-Bassem Ashour
1,*,
Didair A. Ragheb
1,
El-Sayed A. El-Sheikh
1,
El-Adarosy A. Gomaa
1,
Shizuo G. Kamita
2 and
Bruce D. Hammock
2
1
Department of Plant Protection, Faculty of Agriculture, Zagazig University, Zagazig, Egypt
2
Department of Entomology and Cancer Research Center, University of California, Davis, CA 95616, USA
*
Author to whom correspondence should be addressed.
Int. J. Environ. Res. Public Health 2007, 4(2), 111-125; https://doi.org/10.3390/ijerph2007040005
Submission received: 23 January 2007 / Accepted: 30 April 2007 / Published: 30 June 2007

Abstract

:
The entomopathogenic Autographa californica (Speyer) nucleopolyhedrovirus (AcMNPV) has been genetically modified to increase its speed of kill. The potential adverse effects of a recombinant AcMNPV (AcAaIT) as well as wild type AcMNPV and wild type Spodoptera littoralis NPV (SlNPV) were studied. Cotton plants were treated with these viruses at concentrations that were adjusted to resemble the recommended field application rate (4 × 1012 PIBs/feddan, feddan = 4,200 m2) and 3rd instar larvae of S. littoralis were allowed to feed on the contaminated plants. SDS-PAGE, ELISA, and DNA analyses were used to confirm that larvae that fed on these plants were virus-infected. Polyhedra that were purified from the infected larvae were subjected to structural protein analysis. A 32 KDa protein was found in polyhedra that were isolated from all of the viruses. Subtle differences were found in the size and abundance of ODV proteins. Antisera against polyhedral proteins isolated from AcAaIT polyhedra were raised in rabbits. The terminal bleeds from rabbits were screened against four coating antigens (i.e., polyhedral proteins from AcAaIT, AcAaIT from field-infected larvae (AcAaIT-field), AcMNPV, and SlNPV) using a two-dimensional titration method with the coated antigen format. Competitive inhibition experiments were conducted in parallel to optimize antibody and coating antigen concentrations for ELISA. The IC50 values for each combination ranged from 1.42 to 163 μg/ml. AcAaIT-derived polyhedrin gave the lowest IC50 value, followed by those of SlNPV, AcAaIT-field, and AcMNPV. The optimized ELISA system showed low cross reactivity for AcMNPV (0.87%), AcAaIT-field (1.2%), and SlNPV (4.0%). Genomic DNAs isolated from AcAaIT that were passaged in larvae of S. littoralis that were reared in the laboratory or field did not show any detectable differences. Albino rats (male and female) that were treated with AcAaIT, AcMNPV or SlNPV (either orally or by intraperitoneal injection at doses of 1 × 108 or 1 × 107 PIBs/rat, respectively) appeared to be healthy and showed increased body weight at 21 days posttreatment. The effect of virus administration on hematological, serum biochemical, and histopathological parameters were determined. Slight to moderate differences were observed in most of the hematological parameters. Specifically, serum proteins were decreased markedly in female rats treated orally with SlNPV, and in male rats injected with AcAaIT. SDS-PAGE analysis also showed some changes in serum protein profiles. No marked changes in acetylcholine esterase (AChE) activity were found. Changes in serum glucose, alanine aminotransferase (ALT), aspartate aminotransferase (AST), alkaline phosphatase (ALP), bilirubin, creatinin, and urea were also observed. Immunohistochemical observation of tissues from stomach, intestine, liver, kidney, brain, spleen, and lung also showed slight changes. Fish (Tilapia nilotica) were also exposed to AcAaIT, AcMNPV or SlNPV by incorporating each of the viruses into diet (1 × 109 PIBs/group). No mortality was found in treated or untreated fish during the experimental period (28 days). Macrophage phagocytic activity of fish head kidney cells increased with time, reaching maximum values at 180 min for both treated and control fish.

Introduction

The effective control of pest insect populations is an essential prerequisite for producing food and commodities for man and domestic animals. Chemical insecticides are highly effective for maintaining pest insect populations below the economic threshold, however, problems associated with the inappropriate use of chemical pesticides such as environmental contamination, the development of insecticide resistance, and the elimination of beneficial or non-target insects must be considered. Thus, the search for safer agents and methods for plant protection has intensified in recent years. The use of biological insecticides, either as sole use biopesticides or in combination with other agents and methods in an integrated pest management system has gained momentum during the last 20 years.
Viruses comprise an important class of insect pathogen. The benefits of using insect baculoviruses for biological control have been studied for several years. The wild type baculovirus, however, has a long killing time in comparison to chemical pesticides. Molecular biological technology has been used to overcome this and other problems associated with the wild type baculovirus (reviewed in [1, 2]). The baculovirus type species, Autographa californica multiple nucleoplyhedrovirus (AcMNPV), has been commonly used as a model virus to test the efficacy of pesticidal gene cassette constructs under laboratory and field conditions for improvements in pesticidal properties. The initial strategies for improving the pesticidal activity of the baculovirus involved the insertion of genes that regulate the physiology of the target insect into the baculovirus genome [3, 4]. Insertion of an insect-selective toxin gene (e.g., aait from North African scorpion Androctonus australis) into the baculovirus genome has been one of the most effective strategies for improving insecticidal efficacy [5, 6].
The concept of biosafety is a concern associated with the use of genetically modified organisms (GMOs) and, more generally, with the introduction of nonindigenous species into natural or managed ecosystems. A relatively new concept in agricultural research, biosafety tempers the adoption of a new technology by carefully considering its potential effects on human health and the environment in general. In a series of regional policy seminars organized by ISNAR’s Biotechnology Service (IBS), biosafety was designated a high priority for countries in Southeast Asia, Africa, and Latin America, regardless of their level of indigenous technical capacity. Building competence in biosafety is thus strategically important for successfully integrating biotechnology into agricultural research. Biosafety is achieved by assessing and managing environmental risks, evaluating potential ecological consequences, and weighing these against potential benefits. A step-by-step, case-by-case approach fosters a deliberate, informed, and environmentally responsible use of biotechnology. Policymakers begin by naming a lead agency under which biosafety policy is to be implemented. The next step is usually to draft biosafety guidelines that provide a framework for administrative procedures and decision-making regarding the appropriate use of GMOs [7].
The aim of the present study was to get results that would provide a database for establishment of future environmental risk assessment protocols and guidelines for baculovirus pesticides in the local environment. This will enable the competent authorities to make informed decisions regarding GMOs and achieve biosafety protocols to protect man and biological diversity from the potential risks of modern biotechnology-based pest controlling agents.

Materials and Methods

Test Insects

A laboratory colony of Spodoptera littoralis (Boisd.) was obtained from the Institute of Plant Protection, Agricultural Research Center, Ministry of Agriculture, Dokki, Giza, Egypt. A field colony of S. littoralis was collected as egg masses from cotton fields, Sharkia province, Egypt. The insect larvae were kept at 25°C, 60–70% relative humidity on a 14:10 h day:night photoperiod. Larvae were reared on modified semi-synthetic bean diet [8] consisting of 500 gm white beans, 150 gm brewer’s yeast, 10 gm ascorbic acid, 5 gm methyl-p-hydroxy benzoate, 2 mg sorbic acid, 30 gm agar, 10 ml formalin, and 1,200 ml distilled water.

Test Animals

Rat: Male and female white rats, Rattus norvegicus, 100–120 days old with average weight of 100 ± 10 gm, were used for acute oral and injection toxicity studies.
Rabbits: New Zealand white rabbits, with average weight of 1,500 ± 100 gm, were used for raising antibody.
The rats and rabbits were obtained from the test animal farm, Faculty of Veterinary Medicine, Zagazig University, and were housed separately in metal cages with free access to food (pellet ration). The animals received a complete health ration during the experiment period.
Fish: Tilapia nilotica (ca. 10 gm/fish) were used in the macrophage phagocytosis studies. The fish were obtained from Abbassa fishponds (Abbassa Research Center, Sharkia Province, Egypt). Prior to use, the fish were acclimatized in bioassay tanks containing aerated chlorine-free tap water under laboratory conditions (i.e., natural photoperiod and temperature, 20°C, and access to a commercial dry food) for two weeks.

Test Viruses

AcMNPV and the construction of AcAaIT (a recombinant AcMNPV expressing AaIT) are described in [5]. S. littoralis NPV (SlNPV) was obtained from the Entomovirology Laboratory, Cairo University.

Propagation and Purification of Polyhedral Inclusion Bodies (PIBs)

Third instar larvae of S. littoralis were inoculated with AcMNPV, AcAaIT or SlNPV by feeding them on modified semi-synthetic diet treated with virus at a concentration of 1 × 104 PIBs/mm2. PIBs were isolated and purified from larval cadavers as described in [9]. In brief, larvae were homogenized in distilled water and the suspension was filtered through cheesecloth. The filtrate was then centrifuged at 1,000 rpm for 15 min, the pellet was resuspended in 0.5% sodium dodecyl sulfate (SDS) and 0.1% sodium deoxycholate, and incubated at 37°C for 2 h. The suspension was then filtered through two layers of cheesecloth and centrifuged at 1,000 rpm for 15 min. The pellet was then resuspended in 30 ml of distilled water and centrifuged at 1,000 rpm. This process was repeated three times. The virus preparations were mixed for 1 min in a sonicator to obtain a uniform suspension, and then layered onto a 40 to 66% (w/w) sucrose density gradient and centrifuged using a Beckman SW28 rotor at 15,000 rpm for 1 h. After centrifugation the virus band was removed from the gradient with a Pasteur pipette, washed in distilled water, and centrifuged at 8,000 rpm for 15 min. The pellet was resuspended in sterile distilled water to give a final concentration of approximately 8.5 × 108 PIBs/ml. PIB numbers were quantified using a counting chamber (Brightline Haemocytometer).

Propagation of AcAaIT in Larvae of S. littoralis Under Cotton Field Conditions

During the spring of 2004, cotton seedlings were planted (10 rows, with roughly 30 plants (10 groups of three plants) per row) in an experimental field of Zagazig University. In June of 2004, when the plants were 9 weeks old and approximately 30 cm in height, twelve groups of plants (3 plants per group) in the middle of the field were sprayed with an aqueous solution of AcAaIT polyhedra. The virus concentration was adjusted to resemble the recommended field rate of 4 × 1012 PIBs/feddan (feddan = 4,200 m2). Subsequently, 15 healthy 3rd instar S. littoralis were released at various positions of each group of plants. The plants were then covered with a mesh cage that was buried 20 cm into the soil in order to prevent escape of the larvae and to prevent other insects from feeding upon the experimental plants. Untreated plants were used as a control. The larvae were observed daily. All of the larvae were collected at 7 days post release. The average temperature and relative humidity values were 30°C and 57%, respectively, during this period.

Analysis of Viral Structural Proteins by SDS-PAGE

Polyhedra and occlusion derived virions (ODVs) were prepared according to [10]. The polyhedra were dissolved by incubation in DAS buffer (0.3 M Na2CO3, 0.5 M NaCl, and 0.03 M EDTA, pH 10.5) at 37°C for 30 min. Undissolved polyhedra and heavy debris were pelleted by centrifugation at 1,500g for 5 min. The supernatant was then centrifuged at 76,690g for 30 min. to pellet the ODVs, and the ODVs were resuspended in a small volume of TE (10 mM Tris-HCl, 1 mM EDTA, pH 8.0) buffer and layered onto a 30–60% (w/v) sucrose gradient in TE. After centrifugation at 50,000g for 2 h, the bands containing ODVs were collected and washed twice with TE by centrifugation (at 76,690g for 30 min). Polyhedron and ODV proteins were analyzed by SDS-PAGE according to the method of [11]. The ODV and polyhedron proteins were boiled for 5 min in SDS-PAGE sample buffer (50 mM Tris-HCl, 2% SDS, 6% 2-mercaptoethanol, and 10% glycerol, pH 6.8), and electrophoresed through 12.5% SDS-polyacrylamide gels. Proteins were visualized by overnight staining in a solution containing 25% (v/v) methanol, 10% (v/v) acetic acid, and 0.12% (w/v) Comassie Brilliant Blue R250, and destained in 7.5% (v/v) methanol and 5% (v/v) glacial acetic acid. Low range of SDS-PAGE molecular weight standards were used for size comparison.

Raising Polyclonal Antibodies against AcAaIT polyhedrin and ELISA

Antigen Preparation

AcAaIT polyhedra were purified from moribund larvae as described above. Polyhedrin protein was purified from AcAaIT polyhedra following dissociation in 0.1 M Na2CO3 at pH 11 for 30 min. Undissolved polyhedra and heavy debris were pelleted by centrifugation at 1,500g for 5 min. The supernatants were then centrifuged at 76,690g for 30 min to pellet the ODVs. The final supernatant was taken and adjusted to pH 7.3 with 2 N HCl. Protein concentration was determined by Bradford’s reagent using a commercially available kit.

Production of Antisera

Polyclonal antibodies for the polyhedrin protein of AcAaIT were raised in albino rabbits according to [12]. The first subcutaneous injection was composed of 0.5 ml of antigen (containing ca. 1 mg of polyhedrin) and 0.5 ml of Fround’s Complete Adjuvant. The second and third injections were made by mixing the antigen (0.5 ml) with Fround’s Incomplete Adjuvant (0.5 ml). Serum samples were taken 1 week after the second and the third injections, and the titer of antibody was measured.

Enzyme-Linked Immunosorbent Assay

Enzyme-Linked immunosorbent assay (ELISA) and competitive ELISA were performed according to [13]. AcAaIT polyhedrin was used as the coating antigen. The coating antigen was diluted in coating buffer (0.5 M sodium carbonate/bicarbonate, pH 9.6) at concentrations of 20, 10, 5, 2.5 and 1.25 μg/ml and added to the microtitre plates (100 μl/well). The plates were sealed with adhesive plate sealer and incubated at 4°C overnight. The coated plates were washed 3–5 times with phosphate buffered saline tween azide (PBSTA) to remove unbound coating antigen, then serial dilutions of antiserum in PBSTA were added at 100 μl/well, followed by incubation at room temperature for 2 h. The plates were again washed 3–5 times with PBSTA. Goat anti-rabbit IgG-alkaline phosphatase conjugate diluted in PBSTA (1:2,500) was added at 100 μl/well and incubated at room temperature for 2 h. After another 3–5 times of washing, phosphatase activity was measured by adding 100 μl/well of p-nitrophenyl phosphate (1 mg/ml) in 10% diethanolamine buffer, pH 9.8, and incubated for 30 min at room temperature. The absorbance readings were recorded by using a Microplate Autoreader (Bio-TEK Instruments EL311) at a single wavelength of 450 nm. The data were collected and analyzed by linear regression analysis using the Immunosoft Program (Dynatech). Maximum binding and background binding antibody concentrations were measured where neither analyte nor antibody were added to the system.

Assay Optimization

Optimal concentrations for the coating antigen and antisera were determined by screening in a two-dimensional titration as described above and used in inhibition studies. After comparison of the competitive inhibition curves for the antisera and four coating antigen combinations (i.e., polyhedrin proteins from AcAaIT, AcAaIT from field-infected larvae (AcAaIT-field), AcMNPV, and SlNPV), the assay with the lowest IC50 was chosen for further assay development. The procedure for competitive ELISA was essentially the same as that for the indirect ELISA described above except that dilutions of NPVs proteins were incubated overnight at room temperature with the antisera in PBSTA.

Cross-Reactivity (CR)

Data were obtained from standard inhibition curves for AcAaIT polyhedrin protein and other analytes by using the optimized ELISA system. The CR was calculated as the IC50 of AcAaIT divided by the IC50 of the analyte times 100.

DNA Analysis

Restriction Endonuclease Analysis

Viral DNAs were isolated according to [14]. Polyhedra were purified from infected larvae as described above. Virions were released from polyhedra by incubation with a DAS buffer at room temperature for 30 min. Undissolved polyhedra and heavy debris were removed by low speed centrifugation at 1,500g for 5 min. The supernatant was then centrifuged through a 36–56% (wt:wt) continuous sucrose gradient at 40,320g for 120 min. to pellet the ODVs. The bands containing ODVs were collected, washed twice with double-distilled water and finally resuspended in TE (10 mM Tris/HCl, 1 mM EDTA, pH 8) buffer. In order to release the viral DNAs, the gradient-purified ODVs were incubated in TE buffer containing 1 mg/ml proteinase K at 45–50°C for 2.5 h and then for an additional 0.5 h following the addition of 1% SDS at the same temperature. Viral DNAs were extracted once with TE buffer-saturated phenol and then several times with TE buffer-saturated phenol-chloroform-isoamyl alcohol (25:24:1) until the interface was completely clean. The aqueous phase containing the viral DNA was dialyzed at 4°C for 48 h against 3 or 4 changes of 10 mM TE buffer.
For restriction endonuclease (REN) analysis of AcAaIT, 1μg of DNA was incubated with 10 U of HindIII or BamHI. Electrophoresis was performed using a horizontal 0.8% agarose gel in TAE buffer (0.04 M Tris-Acetate, 0.001 M EDTA, pH 8.0). The DNA fragments were visualized by staining with ethidium bromide.

Acute Oral and Injection Toxicity Studies of AcAaIT, AcMNPV and SlNPV in Albino Rats

Acute Oral and Injection Toxicity

The experimental and control group of rats consisted of three animals of each sex. A single dose of 1 × 108 PIBs in distilled water (maximum volume of 2 ml/100 gm body weight) was orally administrated to each animal using an ingestion needle. Rats in the untreated control group received 2 ml distilled water. Prior to exposure, the animals were fasted overnight, and prohibited from food for a further 3–4 h post administration.
The test procedures were carried out as described above, except that the test dose was administred intraperitoneal at a dose of 1 × 107 PIBs/animal in 0.9% NaCl saline (maximum volume of 1 ml/100 gm body weight).
The animals were observed for 21 days after treatment. Careful clinical examination and general observations of all animals were made daily. At the end of the observation period, the rats were sacrificed, and blood and histopathological investigations were carried out.

Blood Sampling

Blood from the sacrificed animals was divided into two samples. The first sample (about 0.5 ml) was collected in EDTA tubes, gently mixed, and used for haematological studies. The second sample (about 2.5 ml) was collected in clean centrifuge tubes and left at room temperature until clotting. After complete clot retraction, the samples were centrifuged at 5,000 rpm for 15 min at 4°C, and the serum was separated and transferred to clean microfuge tubes for chemical analysis.

Effect on Blood Cells

The blood samples that were collected in EDTA tubes were subjected to red and white blood cell, and platelet quantification. Erythrocytes and platelets were counted using an AO Bright line haemocytometer under light microscopy at 400× magnification. Blood samples for erythrocytes were diluted to 200 times original volume with physiological saline (0.9% NaCl solution) before counting, and blood samples for platelets were diluted to 20 times original volume with the same solution before counting [15]. Leukocytes were counted using an AO Bright line haemocytometer under light microscopy at 100× magnification after diluting the blood samples to 20 times original volume in a 1% acetic acid solution containing 1 mg of Leishman’s stain [16].

Effect on Blood Serum Chemistry

The serum activity of acetylcholinesterase (AChE) [17], total protein [18], alkaline phosphatase [19], aspartate aminotransferase (AST) and alanine aminotransferase (ALT) [20], glucose [21], urea [22], creatinin [23], and bilirubin [24] were estimated as described.

Electrophoretic Assay of Serum Proteins

SDS-PAGE was used to analyze serum protein levels in the albino rats following the various treatment regimes. SDS-PAGE was performed at room temperature in a vertical gel apparatus as described by [11]. The separating gel (10% acrylamide) contained 10 ml of acrylamide-bis (30%, 29.2 gm acrylamide and 0.8 gm bis-acrylamide); 7.5 ml of 2 M Tris-HCl, pH 8.8; 400 μl SDS (10%); 11.1 ml distilled water; 1.0 ml ammonium persulfate (APS 1.5%); and 15 μl TEMED. The stacking gel (3.5% acrylamide) contained 3.5 ml of acrylamide–bis (30%); 2.8 ml of 0.5 M Tris-HCl, pH 6.8; 300 μl SDS (10%); 17.7 ml distilled water; 1.0 ml APS (1.5%); and 25 μl TEMED. A trisglycine buffer, pH 8.3, system containing 3.0 gm Tris; 14.4 gm glycine; 1.0 gm SDS; and diluted to 1.0 liter with distilled water was used as the electrode buffer in a slap plate electrophoretic unit (Marysol Gel Electrophoresis system). The gel was run for 5 h with a circulating current of 35 mA/plate using a Shandon Southern Power supply. The gel was stained overnight in the staining solution (2 gm Coomassie Brilliant Blue R-250, (0.2%); 300 ml ethanol (30%); 50 ml acetic acid (5%); and 650 ml distilled water. A destaining procedure was carried out to remove background staining by immersing the gels overnight in 96% acetic acid, ethanol, and distilled water (2:12:28, v:v:v).
The protein sample for loading was prepared by mixing 20 μl of serum with 40 μl sample buffer (1 gm SDS, 1.5 ml 2-mercaptoethanol, 5 ml glycerol, and 0.02 gm bromophenol blue dissolved in 50 ml Tris, pH 6.8). The loading sample was incubated at 90°C for 5 min., then 25 μl was applied into each single slot of the slap gel. A mixture of standard proteins (phosphorylase b, serum albumin, ovalbumin, carbonic anhydrase, trypsin inhibitor, and lysozyme; 97, 66, 45, 31, 21, and 14 KDa, respectively) was used as molecular weight standards.

Histopathological Effect

Tissue specimens from stomach, intestine, liver, kidney, brain, spleen, and lung were obtained from male and female rats at 21 days post baculovirus treatment, and subjected to examination by light microscopy and photographed.

Effect of AcAaIT, AcMNPV, and SlNPV on Macrophage Phagocytosis in Fish

The fish (T. nilotica), each weighing approximately 10 gm, were divided into four groups of 10 fish per group. Three of the groups were treated with virus (AcAaIT, AcMNPV or SlNPV) that was incorporated into their standard food [25] at the rate of 1 × 109 PIBs/group for two days. The fourth group was reserved as a control. During the experimental period (30 days), the water was changed every two days.

Collection of Head Kidney Macrophages

At the end of the experimental period, the fish were taken from their containers and laid on their side. An incision was made from the anus to the pectoral fins, then perpendicularly to the top of the head using scissors. The viscera were pulled gently with forceps in order to get the head kidney. After removing the swim bladder, the head kidney was excised and placed in a petri dish with sterile Minimum Essential Medium (MEM) containing 10% fetal calf serum. All steps were carried out under aseptic conditions. Cell suspensions were prepared by teasing the tissue with a glass rod and passing them through a nylon sheath, then centrifuged at 800g for 10 min. The supernatant was discarded and the pellet was resuspended in 7 ml of sterile MEM.

Phagocytosis Assay

Phagocyte viability was evaluated by mixing 100 μl of the macrophage suspension with 100 μl of 0.4% trypan blue, and counting 100 cells under phase contrast microscopy [26]. A macrophage suspension in MEM (1 × 106 viable cells) was placed in a test tube containing formalin-killed bacteria (1 × 108Escherichia coli in 0.5 ml). Phagocytosis was allowed to proceed at 10°C, and samples were taken at 30 min intervals. Phagocytosis was quantified by mixing 100 μl of the previous suspension with 100 μl of Wright’s stain, and determining the proportion of macrophages that contained intracellular bacteria in a random count of 100 macrophages and expressed as percent phagocytosis. The results were expressed as the mean ± S.D.

Results

Analysis of Structural Proteins by SDS-PAGE

Third instar S. littoralis were inoculated by introducing them to cotton plants treated with AcAaIT at a concentration that was adjusted to resemble the recommended field application rate (4 × 1012 PIB/feddan). Under the conditions tested, all of the exposed larvae became highly infected. No marked changes in the protein profiles of the field-produced AcAaIT (in larvae of S. littoralis) were found in comparison to control laboratory-produced AcAaIT, AcMNPV, or SlNPV by SDS-PAGE (Fig. 1) and ELISA (Table 2). Specifically, a single major protein band with an estimated molecular weight of 32 KDa was identified by SDS-PAGE from polyhedra isolated from these viruses (Fig. 1A). SDS-PAGE of ODV of these viruses, however, showed some minor differences (Fig. 1B).

Enzyme-Linked Immunosorbent Assay for AcAaIT Polyhedrin Protein

Antisera against AcAaIT polyhedrin were raised in rabbits. The terminal bleeds from rabbits were screened against four coating antigens (i.e., polyhedrin from polyhedra of AcAaIT, AcAaIT-field, AcMNPV, and SlNPV) using a two-dimensional titration method with the coated antigen format.
The optimal concentrations of coating antigen, AcAaIT polyhedrin, and antisera were obtained by checkerboard titration assays (Table 1 and Fig. 2). The combination of coating antigen and antibody that resulted in the highest titer was selected for further development.
A competitive inhibition experiment was conducted in parallel to optimize antibody and coating antigen concentrations. Antibody dilution was 1:4,000 and the coating antigen concentration was 2.5 μg/ml. The lowest IC50 value was chosen as the optimal combination. The IC50 values for each combination ranged from 1.42 to 163 μg/ml (Table 2 and Fig 3). AcAaIT polyhedrin gave the lowest IC50 value, followed by polyhedrin from SlNPV, AcAaIT-field, and AcMNPV.
The cross-reactivity (CR) of the optimized ELISA system was low for wild type AcMNPV, AcAaIT-field, and wild type SlNPV (Table 3).

DNA Analysis

Agarose gel electrophoresis of restriction endonuclease HindIII or BamHI) digested DNAs from AcAaIT; AcAaIT-laboratory, or AcAaIT-field indicated that these viruses were genetically similar. Specifically, there were no detectible differences in the digestion patterns of AcAaIT DNAs that were produced in laboratory or field infected larvae (Fig. 4).

Acute Oral and Injection Toxicity of AcAaIT, AcMNPV and SlNPV in Albino Rats

Acute oral and intraperitoneal injection toxicity experiments were carried out on male and female albino rats treated with a single dose (oral: 1 × 108 PIBs/animal, intraperitoneal: 1 × 107 PIBs/animal) of AcAaIT, AcMNPV, or SlNPV. Blood samples and specimens from stomach, intestine, liver, kidney, brain, spleen, and lung were taken at 21 days post treatment and subjected to examination. Clinical observations during the experimental period showed that all rats were apparently healthy and showed a slight increase in the body weight.

Effect on Blood Cells

No marked differences were found in erythrocytes or platelet numbers in treated and untreated animals (Tables 4, 5, and 6). Leukocytes numbers increased by 65.3% and 79.8% in females treated with AcMNPV and SlNPV, respectively.

Effect on Blood Serum Chemistry

The measurement of any single serum enzyme activity or component gives little information of the condition of an organ or organ system. Thus, a “chemistry panel” that includes several enzyme tests is generally used to rule out organ malfunction and to diagnose and monitor a variety of disorders [27]. The effects of baculovirus exposure on the serum levels of several key blood components are shown in Tables 7, 8, and 9. In terms of total serum protein levels (Table 7), oral exposure to SlNPV resulted in a 13.3% increase and 21.7% decrease in male and female rats, respectively. Male rats that were injected with SlNPV, AcMNPV or AcAaIT showed 13.9%, 23.5%, and 32.2% decreases in total serum protein levels, respectively, whereas, no dramatic differences were found in female rats. SDS-PAGE analysis of serum proteins appeared to be consistent with these results (Fig. 5).
In terms of serum glucose levels (Table 7), male rats that were orally exposed to the baculoviruses did not show any significant differences. In contrast, female rats showed 36.6% and 16.4% higher glucose levels when exposed orally to SlNPV or AcMNPV, respectively; and 40.2% lower levels when orally exposed to AcAaIT. Following intraperitoneal injection, male rats showed no significant differences in glucose levels; whereas female rats showed 27.3% and 33.9% decreases following injection with SlNPV and AcAaIT, respectively.
In terms of serum acetylcholinesterase (AChE) activity (Table 7), male rats that were orally exposed to the baculoviruses did not show any significant differences. In contrast, female rats showed 12.5%, 24.5% and 14.7% lower AChE activities following oral exposure to SlNPV, AcMNPV, or AcAaIT, respectively. Male rats showed 15.2% lower AchE activity following intraperitoneal injection of AcMNPV, but no significant differences following injection with SlNPV or AcAaIT. No dramatic differences were found in AChE activities in female rats following baculovirus injection.
Serum activities/levels of alanine aminotransferase (ALT), aspartate aminotransferase (AST), alkaline phosphatase (ALP), and bilirubin (Table 8) are biomarkers for liver function. Following oral exposure with SlNPV, AcMNPV or AcAaIT, there appeared to be a general decline in most of these activities. Bilirubin levels, however, increased (30.5%) in rats that were orally exposed to SlNPV. Following interperitoneal injection, ALT activity increased in male SlNPV (44.0%) or AcMNPV (9.3%) injected rats, and female AcAaIT (56.6%) injected rats; whereas ALT activity decreased in female SlNPV- or AcMNPV-injected, and male AcAaIT-injected, rats. AST and ALP activities generally decreased (e.g., a 41.6% decrease in AST activity in male rats injected with AcAaIT). Bilirubin levels increased in SlNPV-injected rats (up to 81.8%), decreased in male rats injected with AcMNPV, and increased in male rats injected with AcAaIT.
Serum levels of creatinin and urea (Table 9) are biomarkers for kidney function. No changes in creatinin levels were found the following oral exposure of male rats to SlNPV; however, creatinin levels decreased (21.6% and 30.2%) in male rats that were orally exposed to AcMNPV or AcAaIT, respectively. In contrast, creatinin levels increased following the oral exposure of female rats to SlNPV, AcMNPV, or AcAaIT (41.4%, 25.7%, and 42.9%, respecitively). Following interperitoneal injection or SlNPV, AcMNPV, or AcAaIT, there were no major changes in creatinin levels in male rats; however, creatinin levels decreased in female rats (23.1%, 32.2%, and 31.8%, respectively). Following oral exposure to AcMNPV, urea levels increased in male and female rats. In contrast urea levels were unchanged in male and female rats that were orally exposed to SlNPV or AcAaIT. Following interperitoneal injection of SlNPV, creatinin levels increased (30.0%) in male rats. There were no dramatic differences in creatinin levels in AcMNPV- or AcAaIT-injected male or female rats.

Histopathological Effects

Tissues from stomach, intestine, liver, kidney, brain, spleen and lung were dissected from male and female rats that were orally exposed or intraperitoneally injected with SlNPV, AcMNPV or AcAaIT. The tissues were prepared at 21 days posttreatment for histochemical examination by light microscopy. The histopathological investigations (Figs. 6 and 12) revealed no gross pathological differences between the various baculoviral treatments.

Effect of the SlNPV, AcMNPV and AcAaIT on Macrophage Phagocytosis in Fish

Phagocytic activity of macrophages was determined following exposure of fish (T. nilotica) to SlNPV, AcMNPV or AcAaIT (Table 10). The fish were exposed by incorporating the virus (1 × 109 PIBs/group) into the standard diet. No mortality was induced in treated and untreated fish during the experimental period (28 days after initial treatment). Phagocytic activity increased during the time of the assay, reaching maximum values by 180 min. for both control and treated fish. However, in comparison to control macrophages, there was a general decrease in phagocytic activity in all of the baculovirus-exposed fish. This trend was most dramatic prior to the first 60 min. of the assay. In comparison to the control, the percentage reduction in phagocytic activities at 30 min. and 180 min. were 17.7% and 5.9% (SlNPV exposed); 19.5% and 1.7% (AcMNPV exposed); and 24.6% and 1.4% (AcAaIT exposed), respectively.

Discussion

Increased knowledge regarding the undesired side effects of chemical insecticides such as the development of insecticide resistance and elimination of non-target or beneficial insects within an ecosystem, has resulted in intensified interest in the search for safer agents and methods for plant protection. The use of biological insecticides, either alone or in combination with other agents and methods in an integrated pest management system in crops with several pests, has been studied mainly with respect to efficacy against the target pest.
Viruses comprise an important class of insect pathogenic organism. Baculoviruses have long been considered as potential biopesticides due to their narrow host specificity, environmental friendliness, and other advantageous characteristics. Natural or wild type baculoviruses, however, have long killing times. Recombinant DNA technology has been used to overcome this and other potential drawbacks that have been associated with the large-scale use of baculovirus-based biopesticides [1, 2]. To date, several pesticidal genes have been inserted into the genomes of AcMNPV and other baculoviruses that infect pest insect species. The efficacy of these constructs has been evaluated under laboratory and field conditions [16]. A major strategy for improving the insecticidal efficacy of the baculovirus has been the insertion of insect-selective neurotoxin genes into the baculovirus genome. For example, the recombinant AcAaIT was developed by inserting the aait neurotoxin gene, which was isolated from the North African scorpion A. australis, into the genome of AcMNPV [5, 6].
The pathogenicity and virulence of AcAaIT, AcMNPV, and SlNPV have been studied in both field and laboratory colonies of the Egyptian cotton worm S. littoralis[28]. In this species, pathogenicity and virulence of SlNPV at LC50, LC90, and LT50 levels appears to be the highest, followed by AcAaIT and AcMNPV. In the present study, an artificial inoculation of third instar larvae of S. littoralis was carried out by introducing healthy larvae on cotton plants (under field conditions) treated with AcAaIT. All of the exposed larvae became highly infected and died in these experiments.
The potential of AcAaIT, AcMNPV, and SlNPV to induce adverse effects in a mammal and fish were determined in this study. We hope that our findings will be useful in providing a primary database for the establishment of future environmental risk assessment protocols and guidelines with baculovirus pesticides under the local environment. This will enable the competent authorities to make informed science-based decisions regarding genetically modified organisms and achieve biosafety protocols to protect man and biological diversity from the potential risks of modern biotechnology pest control agents.
Changes in the genomic or proteomic characteristics of a released baculovirus are indicators of its stability in the field. Agarose gel electrophoresis of DNAs from AcAaIT, AcAaIT-laboratory, and AcAaIT-field indicated that the tested viruses were genetically similar, i.e., genomic differences were not found following passage in the field. Differences in viral structural proteins (e.g., polyhedrin and ODV-derived proteins) were also not detected in field-propagated virus by SDS-PAGE and ELISA analyses. Our results were consistent with previous studies [2932].
Male and female albino rats that were orally exposed or intraperitoneally injected with AcAaIT, AcMNPV or SlNPV showed no mortality over a 21 day-long observation period. Visual observation of the rats during this period showed no indications of toxicity. No or slight indications of toxicity were noted by standard hematological and clinical biochemical assays. The apparent toxicity of injected viruses to oral exposure was assumed to be related to a general foreign body response. Our findings are in general agreement with previous studies concerning the effect of NPV exposure in non insect cells and tissues NPVs [3340]. Additionally, there was no correlation between any effects induced by the wild type or recombinant baculoviruses in rats or fish.
Baculoviruses have been found only in invertebrates, no member of this family is known to infect vertebrates or higher plants [41]. Although there is a wealth of information regarding the relative safety of baculovirus-based biopesticides, major questions and hurdles still face the applied entomovirologist that is attempting to set-up a control program in an agro-ecosystem using existing baculovirus technology [4244]. Some of the questions that need to be addressed in a particular ecosytem may include the ecology of the host insect, its horizontal and vertical distributions, the application of other pesticides through the host plant developmental stages, the persistence of endogenous viral types which could recombine with the applied biopesticide, and impact on nontarget organisms and beneficial insects [45, 46].
In conclusion, our findings are in agreement with previous studies that indicate that natural and recombinant baculoviruses provide no increased threat to mammals, fish, or other non-target organisms. We believe that baculovirus-based biopesticides are safe and effective and ready for immediate use in the field.
Figure 1:. SDS-PAGE analyses of polyhedra (A) and ODVs (B) of AcAaIT (lanes 1), AcAaIT-laboratory (lanes 2), AcAaIT-field (lanes 3), AcMNPV (lanes 4), and SlNPV (lanes 5). The molecular weight of size standards (lanes M) are indicated to the left.
Figure 1:. SDS-PAGE analyses of polyhedra (A) and ODVs (B) of AcAaIT (lanes 1), AcAaIT-laboratory (lanes 2), AcAaIT-field (lanes 3), AcMNPV (lanes 4), and SlNPV (lanes 5). The molecular weight of size standards (lanes M) are indicated to the left.
Ijerph 04 00111f1
Figure 2:. Two-dimentional titration of various dilutions of serum against AcAaIT polyhedrin with different concentrations (0.0, 1.25, 2.5, 5, 10 and 20 μg/ml) of AcAaIT polyhedrin as the coating antigen.
Figure 2:. Two-dimentional titration of various dilutions of serum against AcAaIT polyhedrin with different concentrations (0.0, 1.25, 2.5, 5, 10 and 20 μg/ml) of AcAaIT polyhedrin as the coating antigen.
Ijerph 04 00111f2
Figure 3:. ELISA inhibition curves for 4 analytes: polyhedrin from AcAaIT (A), AcAaIT-field (B), AcMNPV (C), and SlNPV (D). Reagent concentrations: antiserum 1:4,000 (final dilution in wells); AcAaIT polyhedrin (2.5 μg/ml) was used as the coating antigen.
Figure 3:. ELISA inhibition curves for 4 analytes: polyhedrin from AcAaIT (A), AcAaIT-field (B), AcMNPV (C), and SlNPV (D). Reagent concentrations: antiserum 1:4,000 (final dilution in wells); AcAaIT polyhedrin (2.5 μg/ml) was used as the coating antigen.
Ijerph 04 00111f3
Figure 4:. Restriction endonuclease profiles of DNAs isolated from AcAaIT (lanes 1), AcAaIT-laboratory (lanes 2), or AcAaIT-field (lanes 3) following treatment with HindIII or BamHI and electrophoresis in a 0.8% agarose gel. The sizes of molecular weight standards of lambda phage DNA digested with HindIII (lanes M) are indicated to the left.
Figure 4:. Restriction endonuclease profiles of DNAs isolated from AcAaIT (lanes 1), AcAaIT-laboratory (lanes 2), or AcAaIT-field (lanes 3) following treatment with HindIII or BamHI and electrophoresis in a 0.8% agarose gel. The sizes of molecular weight standards of lambda phage DNA digested with HindIII (lanes M) are indicated to the left.
Ijerph 04 00111f4
Figure 5:. SDS-PAGE of serum proteins from rats at 21 days post oral treatment (panel 1) or intraperitoneal injection (panel 2) of baculovirus: control males (lanes b and k), control females (lanes c and l), SlNPV exposed males (lanes d and m), SlNPV exposed females (lanes e and n), AcMNPV exposed males (lanes f and o), AcMMPV exposed females (lanes g and p), AcAaIT exposed males (lanes h and q), AcAaIT exposed females (lanes i and r). The sizes of molecular weight standards (lanes a and j) are indicated to the left of panel 1.
Figure 5:. SDS-PAGE of serum proteins from rats at 21 days post oral treatment (panel 1) or intraperitoneal injection (panel 2) of baculovirus: control males (lanes b and k), control females (lanes c and l), SlNPV exposed males (lanes d and m), SlNPV exposed females (lanes e and n), AcMNPV exposed males (lanes f and o), AcMMPV exposed females (lanes g and p), AcAaIT exposed males (lanes h and q), AcAaIT exposed females (lanes i and r). The sizes of molecular weight standards (lanes a and j) are indicated to the left of panel 1.
Ijerph 04 00111f5
Figure 6:. Histopathology of liver from female rats treated with saline (a) showing normal hepatic parenchyma; AcAaIT (b) showing mild reversible degenerative changes (MDC) in a few hepatocytes; AcMNPV (c) showing mild leukocyte aggregation (MLA) in the portal area; and SlNPV (d) showing vascular and hydropic degeneration (D) of some hepatocytes (H&E ×300).
Figure 6:. Histopathology of liver from female rats treated with saline (a) showing normal hepatic parenchyma; AcAaIT (b) showing mild reversible degenerative changes (MDC) in a few hepatocytes; AcMNPV (c) showing mild leukocyte aggregation (MLA) in the portal area; and SlNPV (d) showing vascular and hydropic degeneration (D) of some hepatocytes (H&E ×300).
Ijerph 04 00111f6
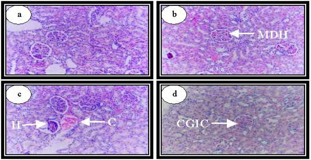
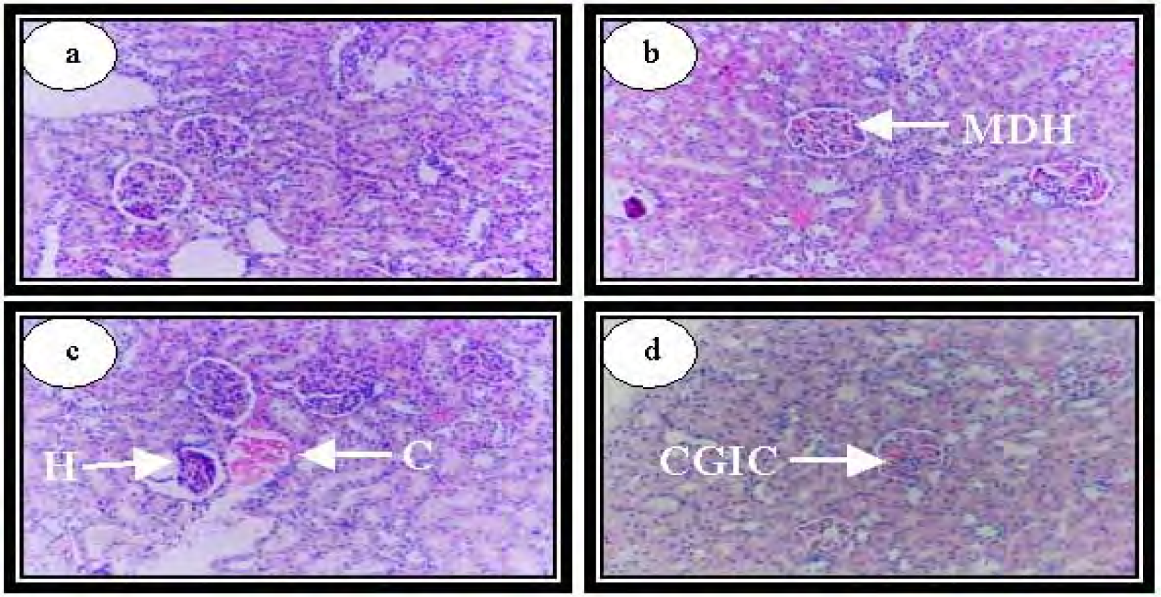
Figure 7:. Histopathology of kidney from female rats treated with saline (a) showing normal renal tissue structures; AcAaIT (b) showing mild dilation and hyperemia (MDH) of glomerular capillaries; AcMNPV (c) showing congested (C) renal blood vessels and hypercellularly (H) of some glomeruli; and SlNPV (d) showing congested glomeruli and interregnal capillaries (CGIC) (H&E ×300).
Figure 7:. Histopathology of kidney from female rats treated with saline (a) showing normal renal tissue structures; AcAaIT (b) showing mild dilation and hyperemia (MDH) of glomerular capillaries; AcMNPV (c) showing congested (C) renal blood vessels and hypercellularly (H) of some glomeruli; and SlNPV (d) showing congested glomeruli and interregnal capillaries (CGIC) (H&E ×300).
Ijerph 04 00111f7
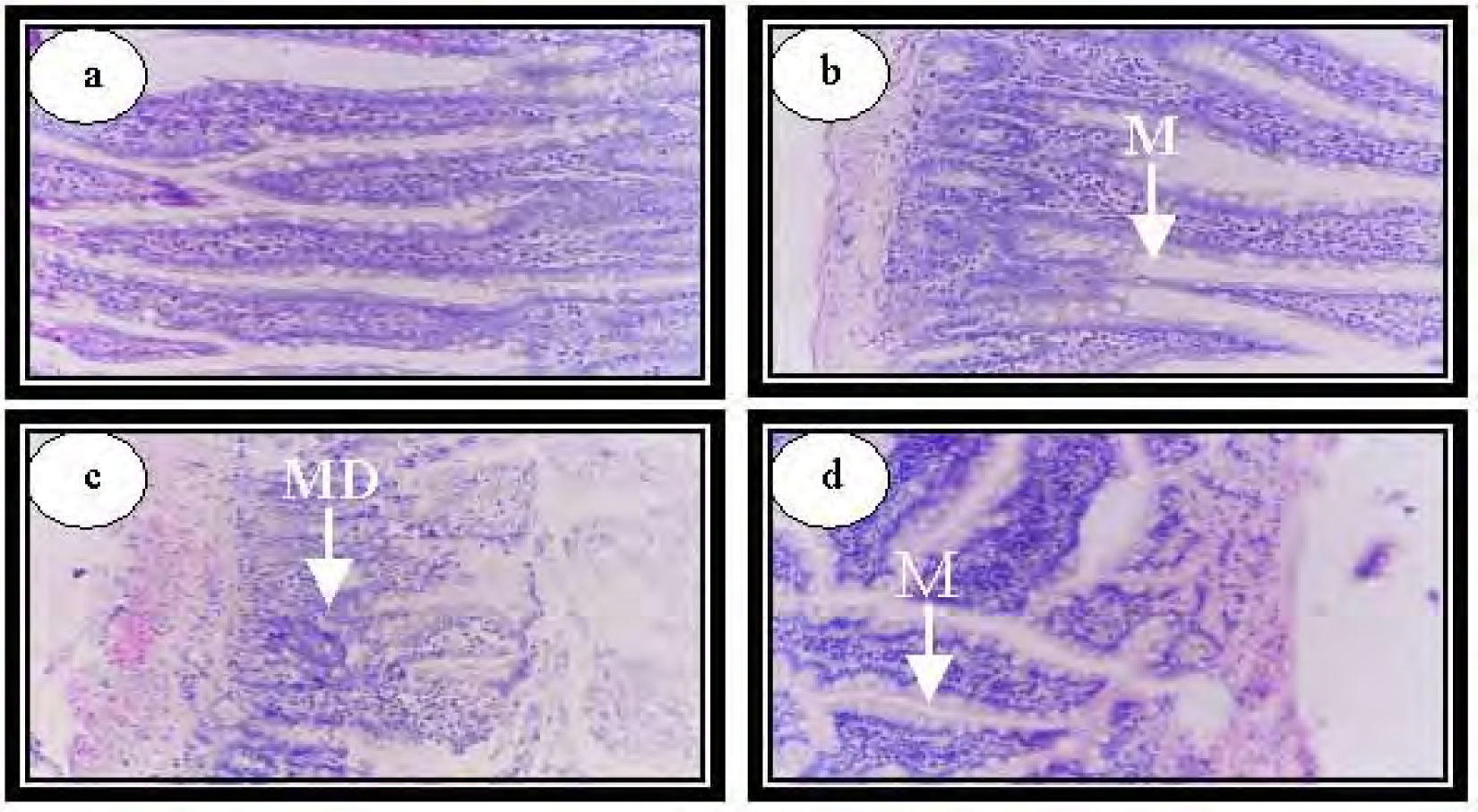
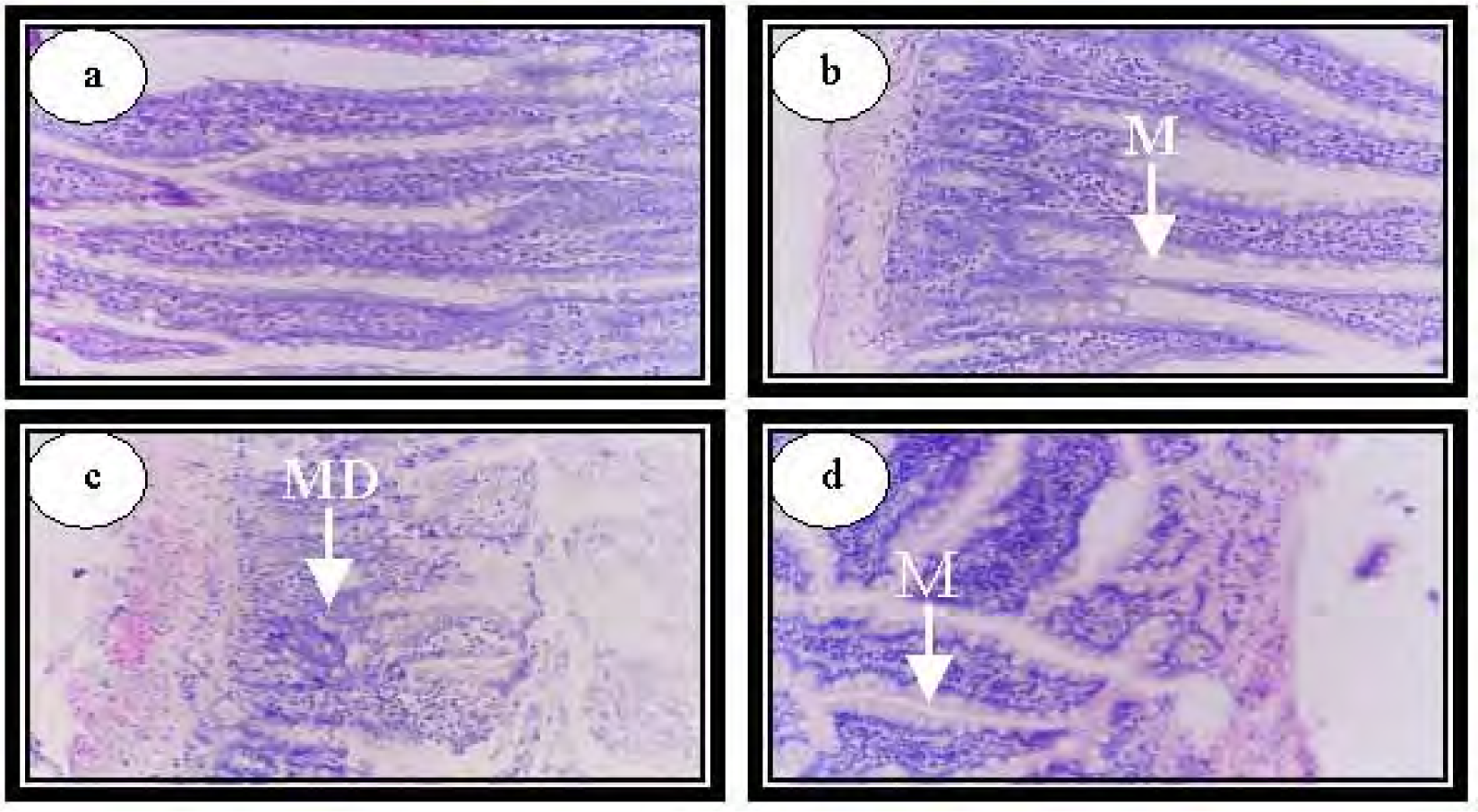
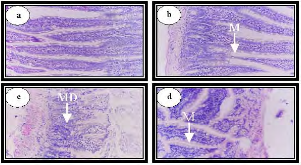
Figure 8:. Histopathology of intestine from female rats treated with saline (a) showing showing apparently normal intestinal mucosa; AcAaIT (b) showing metaplasia (M) to goblet cells in the villus epithelium; AcMNPV (c) showing mucinous degeneration (MD); and SlNPV (d) showing mild mucus and metaplasia (M) of intestinal epithelium to global cells (H&E ×300).
Figure 8:. Histopathology of intestine from female rats treated with saline (a) showing showing apparently normal intestinal mucosa; AcAaIT (b) showing metaplasia (M) to goblet cells in the villus epithelium; AcMNPV (c) showing mucinous degeneration (MD); and SlNPV (d) showing mild mucus and metaplasia (M) of intestinal epithelium to global cells (H&E ×300).
Ijerph 04 00111f8
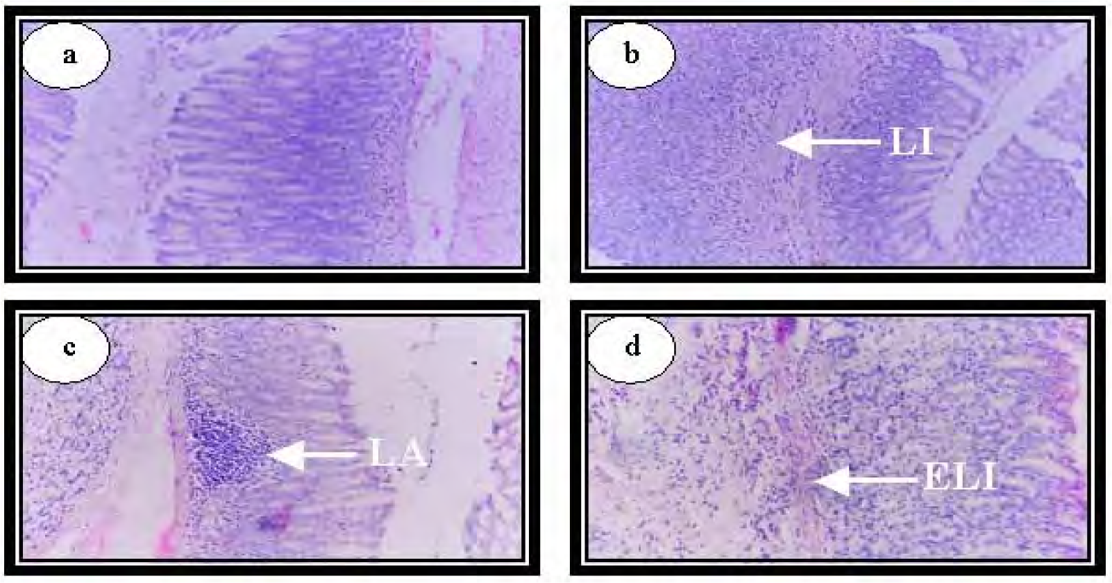
Figure 9:. Histopathology of stomach from female rats treated with saline (a) showing normal gastric mucosa; AcAaIT (b) showing leukocytic infiltration (LI) in mucosa and submucosa; AcMNPV (c) showing lymphocytic aggregation (LA) in gastric mucosa; and SlNPV (d) showing edema and leukocytic infiltration (ELI) in gastric submucosa (H&E s300).
Figure 9:. Histopathology of stomach from female rats treated with saline (a) showing normal gastric mucosa; AcAaIT (b) showing leukocytic infiltration (LI) in mucosa and submucosa; AcMNPV (c) showing lymphocytic aggregation (LA) in gastric mucosa; and SlNPV (d) showing edema and leukocytic infiltration (ELI) in gastric submucosa (H&E s300).
Ijerph 04 00111f9
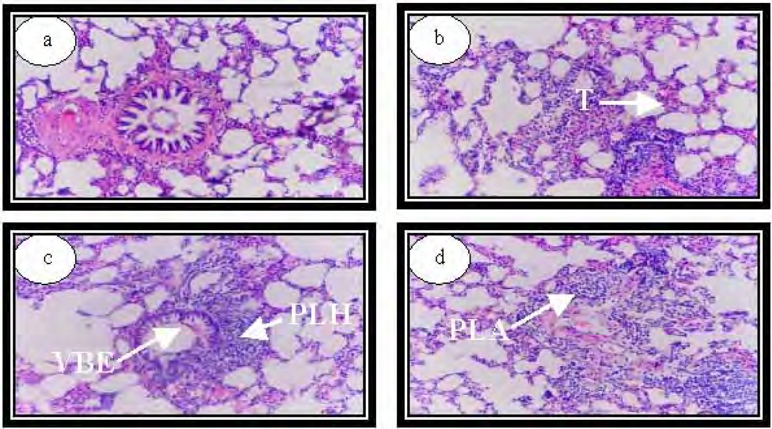
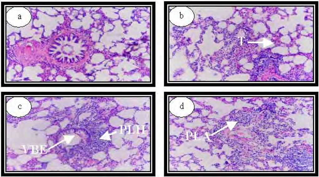
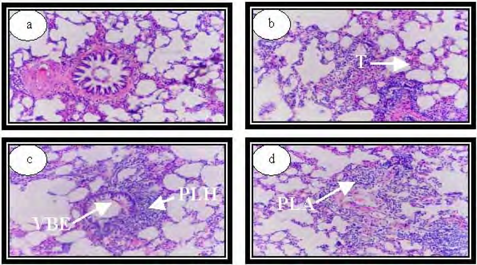
Figure 10:. Histopathology of lung from female rats treated with saline (a) showing normal pulmonary tissue; AcAaIT (b) showing mild thickening (T) of some interaveolar septa; AcMNPV (c) showing vaculated bronchialar epithelium (VBE) and peribronchial lymphoid hyperplasia (PLH); and SlNPV (d) showing perivascular lymphoid aggregates (PLA) (H&E ×300).
Figure 10:. Histopathology of lung from female rats treated with saline (a) showing normal pulmonary tissue; AcAaIT (b) showing mild thickening (T) of some interaveolar septa; AcMNPV (c) showing vaculated bronchialar epithelium (VBE) and peribronchial lymphoid hyperplasia (PLH); and SlNPV (d) showing perivascular lymphoid aggregates (PLA) (H&E ×300).
Ijerph 04 00111f10
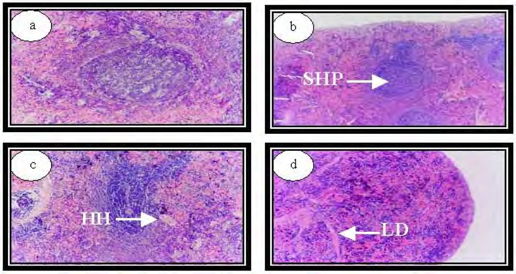
Figure 11:. Histopathology of spleen from female rats treated with saline (a) showing normal splenic tissue; AcAaIT (b) showing scattered hemosidrin pigment (SHP) in the splenic red pulps; AcMNPV (c) showing mild hyperplasia of white pulps and hemosidrosis (HH); and SlNPV (d) showing mild lymphoid depletion (LD) (H&E ×300).
Figure 11:. Histopathology of spleen from female rats treated with saline (a) showing normal splenic tissue; AcAaIT (b) showing scattered hemosidrin pigment (SHP) in the splenic red pulps; AcMNPV (c) showing mild hyperplasia of white pulps and hemosidrosis (HH); and SlNPV (d) showing mild lymphoid depletion (LD) (H&E ×300).
Ijerph 04 00111f11
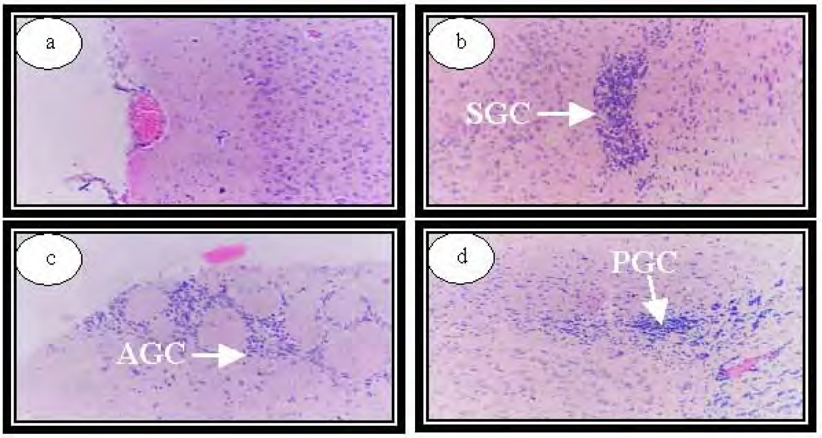
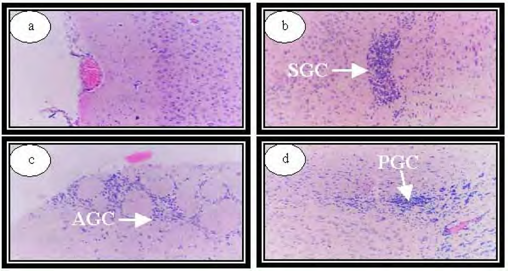
Figure 12:. Histopathology of brain from female rats treated with saline (a) showing normal brain tissue; AcAait (b) showing scatterd glial cells (SGC) within the brain tissue; AcMNPV (c) showing aggregation of glial cells (AGC) between nerve fibers; and SlNPV (d) showing proliferation of glial cells (PGC) in the cerebral cortex (H&E ×300).
Figure 12:. Histopathology of brain from female rats treated with saline (a) showing normal brain tissue; AcAait (b) showing scatterd glial cells (SGC) within the brain tissue; AcMNPV (c) showing aggregation of glial cells (AGC) between nerve fibers; and SlNPV (d) showing proliferation of glial cells (PGC) in the cerebral cortex (H&E ×300).
Ijerph 04 00111f12
Table 1:. Absorbance at 450 nm using different concentrations of antigen and different dilutions of serum antibody.
Table 1:. Absorbance at 450 nm using different concentrations of antigen and different dilutions of serum antibody.
Antibody dilutionsAntigen concentrations*

20 μg/ml10 μg/ml5 μg/ml2.5 μg/ml1.25 μg/ml0.0 μg/ml
1:10000.4270.4170.4160.4140.3990.075
1:20000.4110.4030.4090.3970.3920.074
1:40000.3860.3910.3810.3730.370.071
1:80000.3450.3490.3540.3450.3180.076
1:160000.2790.2950.310.2990.2620.073
1:320000.2180.2530.2530.2490.2290.075
1:640000.1730.1980.210.2030.1750.078
0.00.0750.0710.0790.0760.0710.074
*The antigen was AcAaIT polyhedrin.
Table 2:. Selected competitive ELISA screening data against AcAaIT. AcAaIT polyhedrin was used as the coating antigen.
Table 2:. Selected competitive ELISA screening data against AcAaIT. AcAaIT polyhedrin was used as the coating antigen.
AnalytesCoating antigen μg/mlAntiserum dilutionIC50 μg/mlAbsorbanceSlopeIntercept

minmax
AcAaIT2.51/40001.420.0990.2390.454.93
AcAaIT-field2.51/4000122.930.1950.2960.374.23
AcMNPV2.51/4000163.380.1090.3230.843.15
SlNPV2.51/400035.190.150.2820.354.46
Table 3:. Cross-reactivity of serum against AcAaIT polyhedrin
Table 3:. Cross-reactivity of serum against AcAaIT polyhedrin
Origin of polyhedrin proteinCross-reactivity* (%)
AcAaIT100
AcAaIT-field1.2
AcMNPV0.87
SlNPV4.0
*Cross-reactivity was calculated as (IC50 of AcAaIT/IC50 of analyte) × 100. AcAaIT polyhedrin was used as the coating antigen.
Table 4:. Leucocyte numbers following oral or intraperitoneal injection treatment of rats with SlNPV, AcMNPV or AcAaIT.
Table 4:. Leucocyte numbers following oral or intraperitoneal injection treatment of rats with SlNPV, AcMNPV or AcAaIT.
GroupsOralInjection

MaleFemaleMaleFemale
Control17.08±3.36*12.00±2.5416.92±3.0810.57±2.74
SlNPV15.17±2.47 (−11.2)**15.43±3.8 (+28.6)16.63±4.34 (−1.7)19.00±1.53 (+79.8)
AcMNPV13.82±3.91 (−19.1)19.83±0.29 (+65.3)16.80±4.2 (−0.7)16.15±3.70 (+52.8)
AcAaIT15.17±4.33 (−11.2)14.03±2.53 (+16.9)14.92±2.15 (−11.8)14.48±2.98 (+37.1)
-Each rat was given a single oral dose (1 × 108 PIBs/rat) or injection (1 × 107 PIBs/rat).
*Number of white blood cells/mm3 (mean ± S.D.) × 1,000 at 21 days post treatment.
**Values in parentheses are % differences [(treated – control) / control × 100].
Table 5:. Erythrocyte numbers following oral or intraperitoneal injection treatment of rats with SlNPV, AcMNPVor AcAaIT.
Table 5:. Erythrocyte numbers following oral or intraperitoneal injection treatment of rats with SlNPV, AcMNPVor AcAaIT.
GroupsOralInjection

MaleFemaleMaleFemale
Control7.9±0.5*10.5±0.97.8±1.79.6±1.3
SlNPV9.4±1.04 (+18.2)**10.8±1.2 (+2.4)9.2±1.4 (+18.4)7.2±1.4 (−7.3)
AcMNPV8.5±1.1(+7.5)10.3±1.1 (−1.9)7.2±1.3 (−24.7)10.2±1.9 (+5.7)
AcAaIT7.3±1.9 (−8.0)10.1±0.7 (−4.0)7.9±0.5 (+1.2)10.3±3.8 (+7.0)
-Each rat was given a single oral dose (1 × 108 PIBs/rat) or injection (1 × 107 PIBs/rat).
*Number of red blood cells/mm3 (mean ± S.D.) × 106 at 21 days post treatment.
**Values in parentheses are % differences [(treated – control) / control × 100].
Table 6:. Platelet numbers following oral or intraperitoneal injection treatment of rats with SlNPV, AcMNPV or AcAaIT.
Table 6:. Platelet numbers following oral or intraperitoneal injection treatment of rats with SlNPV, AcMNPV or AcAaIT.
GroupsOralInjection

MaleFemaleMaleFemale
Control261.3±16.2*310.7±64.3280.7±70.5263.7±41.7
SlNPV219.7±28.4 (−15.9)**281±45.4(−9.5)259±50.5 (−7.7)260±18.02 (−1.4)
AcMNPV283.7±11.6 (+8.5)338.7±52.4 (+9.0)303±43.3 (+8.0)342±82.4 (+29.7)
AcAaIT238±23.3 (−8.9)330±63.5 (+6.2)269.3±48.9 (−4.0)276±58.8 (+4.7)
-Each rat was given a single oral dose (1 × 108 PIBs/rat) or injection (1 × 107 PIBs/rat).
*Number of platelets/mm3 (mean ± S.D.) × 1,000 at 21 days post treatment.
**Values in parentheses are % differences [(treated – control) / control × 100].
Table 7:. Levels of total protein, glucose, and acetylcholinesterase in rat serum at 21 days after oral or intraperitoneal administration of SlNPV, AcMNPV or AcAaIT
Table 7:. Levels of total protein, glucose, and acetylcholinesterase in rat serum at 21 days after oral or intraperitoneal administration of SlNPV, AcMNPV or AcAaIT
GroupSerum Level

OralInjection

Total protein (gm/dl)Glucose (mg/dl)Acetylcholinesterase (U/L)Total protein (gm/dl)Glucose (mg/dl)Acetylcholinesterase (U/L)
ControlMale6.9 ± 0.6*133.8 ± 12.05.1 ± 0.99.5 ± 1.5147.9 ± 20.66.0 ± 0.6***
Female8.7 ± 1.4138.3 ± 18.86.7 ± 0.98.1 ± 0.3180.1 ± 35.05.6 ± 0.8

SlNPVMale7.8 ± 0.9 (+13.3)**128.6 ± 12.3 (−3.9)5.6 ± 0.9 (+10.5)8.2 ± 0.5 (−13.9)141.4 ± 37.0 (−4.4)6.2 ± 0.6 (+3.8)
Female6.8 ± 0.1 (−21.7)188.9 ± 11.5 (+36.6)5.9 ± 1.0 (−12.5)8.2 ± 0.8 (+1.1)130.8 ± 8.7 (−27.3)5.9 ± 0.9 (+6.2)

AcMNPVMale7.0 ± 0.8 (+1.7)136.2 ± 4.8 (+1.8)5.3 ± 0.4 (+3.5)7.3 ± 1.0 (−23.5)141.5 ± 25.7 (−4.3)5.1 ± 0.5 (−15.2)
Female7.9 ± 0.6 (−9.5)161.1 ± 33.4 (+16.4)5.1 ± 1.0 (−24.5)7.7 ± 0.4 (−4.2)163.7 ± 24.1 (−9.1)6.0 ± 0.9 (+7.6)

AcAaITMale6.9 ± 0.4 (−0.4)155.1 ± 9.0 (+0.2)4.8 ± 0.9 (−4.9)6.4 ± 0.6 (−32.2)141.9 ± 22.9 (−4.1)5.6 ± 1.1 (−5.3)
Female9.4 ± 1.04 (+8.2)82.7 ± 12.7 (−40.2)5.7 ± 0.7 (−14.7)8.7 ± 1.8 (+7.8)119.1 ± 12.8 (−33.9)5.0 ± 1.0 (−10.7)
Rats were given a single oral dose (1×108PIB/rat) or injection (1×107PIB/rat).
*Values are the mean ± S.D. of 3 rats × 1 replicate each, 21 days post treatment.
**Values in parentheses are % differences [(treated – control) ×100/ control].
***Values of Acetylcholinesterase in thousand.
Table 8:. Levels of alanine aminotransferase (ALT), aspartate aminotransferase (AST), alkaline phosphatase (ALP), and bilirubin in rat serum at 21 days after oral or intraperitoneal administration of SlNPV, AcMNPV or AcAaIT
Table 8:. Levels of alanine aminotransferase (ALT), aspartate aminotransferase (AST), alkaline phosphatase (ALP), and bilirubin in rat serum at 21 days after oral or intraperitoneal administration of SlNPV, AcMNPV or AcAaIT
GroupsSerum Level

OralInjection

ALT (U/L)AST (U/L)ALP (U/L)Bilirubin (mg/dl)ALT (U/L)AST (U/L)ALP (U/L)Bilirubin (mg/dl)
ControlMale12.2 ± 2.1*31.3 ± 1.3105.4 ± 8.30.31 ± 0.0610.0 ± 0.530.8 ± 1.8 72.7 ± 13.70.33 ± 0.07
Female8.0 ± 1.624.8 ± 3.381.8 ± 5.50.21 ± 0.048.8 ± 2.424.0 ± 1.376.4 ± 9.40.20 ± 0.03

SlNPVMale10.0 ± 1.3 (−18.1)**25.8 ± 0.8 (−17.6)67.3 ± 8.3 (−36.2)0.34 ± 0.07 (+8.04)14.4 ± 1.7 (+44.0)25.3 ± 1.4 (−17.8)70.9 ± 10.9 (−2.5)0.38 ± 0.03 (+12.9)
Female6.9 ± 0.6 (−13.3)18.7 ± 3.8 (−24.8)72.7 ± 13.7 (−11.1)0.28 ± 0.02 (+30.5)7.2 ± 1.9 (−18.9)19.8 ± 1.4 (−17.4)61.8 ± 8.3 (−19.0)0.36 ± 0.04 (+81.8)

AcMNPVMale10.1 ± 1.3 (−17.0)26.2 ± 1.04 (−16.5)87.3 ± 5.5 (−17.2)0.21 ± 0.04 (−34.5)10.9 ± 1.1 (+9.3)27.2 ± 2.8 (−11.9)58.2 ± 8.3 (−20.0)0.27 ± 0.05 (−18.3)
Female6.7 ± 0.5 (−15.8)18.2 ± 1.5 (−26.8)74.5 ± 11.4 (−8.9)0.20 ± 0.04 (−1.7)6.5 ± 0.8 (−26.4)20.3 ± 2.8 (−15.3)69.1 ± 8.3 (−9.5)0.20 ± 0.03 (0.00)

AcAaITMale8.1 ± 1.6 (−33.2)17.7 ± 0.8 (−43.6)78.2 ± 11.4 (−25.8)0.29 ± 0.03 (−8.04)8.6 ± 0.9 (−14.3)18.0 ± 1.0 (−41.6)65.4 ± 10.9 (−10.0)0.40 ± 0.04 (+19.4)
Female7.4 ± 1.3 (−7.1)21.7 ± 3.7 (−12.8)83.6 ± 11.4 (+2.2)0.13 ± 0.01 (−37.3)13.8 ± 0.8 (+56.6)17.7 ± 3.8 (−26.4)70.9 ± 9.4 (−7.1)0.18 ± 0.01 (−7.3)
Rats were given a single oral dose (1 × 108 PIBs/rat) or injection (1 × 107 PIBs/rat)
*Values are the mean ± S.D. of the values from 3 rats at 21 days post treatment.
**Values in parentheses are % differences [(treated – control)/control × 100].
Table 9:. Levels creatinin and urea in rat serum at 21 days after oral or intraperitoneal administration of SlNPV, AcMNPV or AcAaIT
Table 9:. Levels creatinin and urea in rat serum at 21 days after oral or intraperitoneal administration of SlNPV, AcMNPV or AcAaIT
GroupsSerum Level

OralInjection

Creatinin (mg/dl)Urea (mg/dl)Creatinin (mg/dl)Urea (mg/dl)
ControlMale3.63 ± 0.41*43.7 ± 3.53.17 ± 0.1343.0 ± 4.5
Female2.15 ± 0.0739.1 ± 2.73.82 ± 0.1345.9 ± 9.2

SlNPVMale3.64 ± 0.31 (+0.4)**44.2 ± 2.2 (+1.1)3.36 ± 0.22 (+6.1)55.8 ± 4.8 (+30.0)
Female3.04 ± 0.10 (+41.4)38.2 ± 7.3 (−2.2)2.94 ± 0.30 (−23.1)42.6 ± 3.0 (−7.2)

AcMNPVMale2.84 ± 0.03 (−21.6)48.3 ± 10.1 (+10.5)3.22 ± 0.01 (+1.5)45.7 ± 8.2 (+6.3)
Female2.70 ± 0.11 (+25.7)43.5 ± 12.4 (+11.3)2.59 ± 0.12 (−32.2)46.4 ± 5.9 (+1.03)

AcAaITMale2.53 ± 0.05 (−30.2)42.7 ± 5.0 (−2.2)3.09 ± 0.03 (41.7 ± 4.3 (−2.9)
Female3.07 ± 0.14 (+42.9)40.2 ± 8.9 (+2.8)2.61 ± 0.17 (42.2 ± 2.6 (−8.1)
Rats were given a single oral dose (1 × 108 PIBs/rat) or injection (1 × 107 PIBs/rat)
*Values are the mean ± S.D. of the values from 3 rats at 21 days post treatment.
**Values in parentheses are % differences [(treated – control)/control × 100].
Table 10:. Phagocytic activity of head kidney cells from T. nilotica exposed to SlNPV, AcMNPV or AcAaIT.
Table 10:. Phagocytic activity of head kidney cells from T. nilotica exposed to SlNPV, AcMNPV or AcAaIT.
TreatmentPhagocytic activity (mean ± S.D.)

30 min60 min90 min120 min150 min180 min
Control73.3±5.878.3±7.686.7±7.693.3±1.593.3±1.594.3±2.5
SlNPV60.3±9.0 (−17.7)*71.0±5.3 (−9.3)80.7±5.1 (−6.9)84.0±7.9 (−9.9)86.7±5.8 (−7.1)88.7±7.8 (−5.9)
AcMNPV59.0±3.6 (−19.5)67.0±6.1 (−14.4)75.0±5.0 (−13.5)83.3±5.8 (−10.7)92.3±3.1 (−1.1)92.7±3.5 (−1.7)
AcAaIT55.3±5.0 (−24.6)66.7±5.8 (−14.8)80.7±7.0 (−6.9)88.0±4.4 (−5.7)90.3±0.6 (−3.2)93.0±1.7 (−1.4)
*Values in parentheses are % differences [(treated – control)/control × 100].

Acknowledgments

We thank the Laboratory of Entomovirology at Cairo University for providing the wild type SlNPV. We are also grateful for the assistance provided by Dr. Salah Ali Mostafa of the Microbial Molecular Biology Laboratory (MMBL), Agricultural Genetic Engineering Research Institute (AGERI), Agricultural Research Center; and Dr. Abdel-Monem Aly, Prof. of Pathology, Faculty of Veterinary Medicine, Zagazig University. This project was partially supported by the National Research Initiative of the USDA Cooperative State Research, Education and Extension Service (CSREES), grant #2007-35607-17830.

References

  1. Kamita, SG; Kang, K–d; Inceoglu, AB; Hammock, BD. Genetically modified baculoviruses for pest insect control. In Comprehensive Molecular Insect Science; Volume 6, Gilbert, LI, Iatrou, K, Gill, SS, Eds.; Elsevier: Oxford, 2005; pp. 271–322. [Google Scholar]
  2. Inceoglu, AB; Kamita, SG; Hammock, BD. Genetically modified baculoviruses: a historical overview and future outlook. Adv. Virus Res 2006, 68, 323–360. [Google Scholar]
  3. Eldridge, R; Horodyski, FM; Morton, DB; O’Reilly, DR; Truman, JW; Riddiford, LM; Miller, LK. Expression of an eclosion hormone gene in insect cells using baculovirus vectors. Insect Biochem 1991, 21, 341–351. [Google Scholar]
  4. Maeda, S; Volrath, SL; Hanzlik, TN; Harper, SA; Majima, K; Maddox, DW; Hammock, BD; Fowler, E. Insecticidal effects of an insect-specific neurotoxin expressed by a recombinant baculovirus. Virology 1991, 184, 777–780. [Google Scholar]
  5. McCutchen, BF; Choudary, PV; Crenshaw, R; Maddox, D; Kamita, SG; Palekar, N; Volrath, S; Fowler, E; Hammock, BD; Maeda, S. Development of a recombinant baculovirus expressing an insect-selective neurotoxin: potential for pest control. Bio/Technology 1991, 9, 848–852. [Google Scholar]
  6. Stewart, LM; Hirst, M; Ferber, ML; Merryweather, AT; Cayley, PJ; Possee, RD. Construction of an improved baculovirus insecticide containing an insect-specific toxin gene. Nature (London) 1991, 352, 85–88. [Google Scholar]
  7. Traynor, PL. Biosafety management: key to the environmentally responsible use of biotechnology. In CAB International. Managing Agricultural Biotechnology. Addressing Research Program Needs and Policy Implications; Cohen, JI, Ed.; 1999. [Google Scholar]
  8. Gelernter, WD; Toscano, NC; Kido, K; Federici, BA. Comparison of a nuclear polyhedrosis virus and chemical insecticides of the beet armyworm (Lepidoptera: Noctuidae) on head lettuce. J. Econ. Entomol 1986, 79, 714–717. [Google Scholar]
  9. Martin, AE. Biological and biochemical comparison of Mamestra configurata and Mamestra brassicae nuclear polyhedrosis virus isolates pathogenic for the Bertha Armyworm, Maestra configurata (Lepidoptera: Noctuidae). J. Invertebr. Pathol 1990, 56, 47–56. [Google Scholar]
  10. Takayoshi, I; Nakai, M; Okuno, S; Takatsuka, J; Kunimi, Y. Characterization of Adoxophes honmai single-nucleocapsid nucleopolyhedrovirus: morphology, structure and effects on larvae. J. Invertebr. Pathol 2003, 83, 206–214. [Google Scholar]
  11. Laemmli, UK. Cleavage of structural proteins during the assembly of the head bacteriophage T4. Nature 1970, 227, 680–685. [Google Scholar]
  12. Volkman, LE; Falcon, LA. Use of monoclonal antibody in an enzyme-linked immunosorbent assay to detect the presence of Trichoplusia ni (Lepidoptera: Noctuidae) S nuclear polyhedrosis virus polyhedrin in T. ni larvae. J. Econ. Entomol 1982, 75, 868–871. [Google Scholar]
  13. Harrison, RO; Broun, L; Gee, SJ; Brien, DJ; Hammock, BD. Evaluation of an enzyme-linked immunosorbent assay (ELISA) for the direct analysis of molinate (ordram) in field water. Food Agric. Immunol 1989, 1, 37–51. [Google Scholar]
  14. Escribano, A; Williams, T; Goulson, D; Cave, RD; Chapman, JW; Caballero, P. Selection of a nucleopolyhedrovirus for control of Spodoptera frugiperda(Lepidoptera: Noctuidae): structural, genetic and biological comparison of four isolates from the Americas. J. Econ. Entomol 1999, 92(5), 1079–1085. [Google Scholar]
  15. Wintrobe, MM. Clinical Hematology; Lea and Febiger: Philadelphia, 1965. [Google Scholar]
  16. Hepler, OE. Manual of Clinical Laboratory Method; Spring-field, IL; Thomas, 1966. [Google Scholar]
  17. Waber, H. Dtsch. Med. Wschr 1966, 91, 1927.
  18. Henry, RJ. Clinical chemistry; Harper & Row Publishers: New York, P.; 1964; p. 181. [Google Scholar]
  19. Kind, PRN; King, EJ. Estimation of plasma phosphate by determination of hydrolysed phenol with amino-antipyrine. J. Clin. Path 1954, 7, 322–326. [Google Scholar]
  20. Reitman, S; Frankel, S. A colourmetric method for determination of serum glutamic oxaloacetic and glutamic pyruvic transaminases. Am. J. Clin. Path 1957, 28, 56–63. [Google Scholar]
  21. Trinder, P. Enzymatic determination of glucose in blood serum. Ann. Clinic. Biochem 1969, 6, 24. [Google Scholar]
  22. Patton, CJ; Crouch, SR. Anal. Chem 1977, 49, 464–469.
  23. Henry, RJ. Clinical chemistry, principles and technics, 2nd Edition ed; Harper and Row; P.; 1974; p. 525. [Google Scholar]
  24. Jendrassik, L. Biochem 1938, 7297, 7281.
  25. U.S. Environmental Protection Agency. Microbial Pesticide Test Guidelines OPPTS 885.4200, Freshwater Fish Testing, Tier I. Prevention, Pesticides and Toxic Substances (7101), EPA712–C–96–332,. February 1996. http://www.epa.gov/pesticides/biopesticides/regtools/guidelines/microbial-gdlns.htm.
  26. Weeks, BA; Kavas, AF. Macrophage chemotaxis and phagocytosis in guinea pigs: influence of age and nutrition. J. Reticuloendothel. Soc 1979, 26, 502–506. [Google Scholar]
  27. Bioshop, ML; Duben-Engelkirk, JL; Fody, EP. Clinical chemistry principles, procedures, correlations; Lippincott Williams & Wilkins. A Wolters Klower company: Philadelphia, Baltimor, New York, London, Buenos Aires, Hong Kong. Sydney, Tokyo, 2000. [Google Scholar]
  28. Ashour, MB; Ragheb Didiar, A; Gomaa, EA; El-Sheikh, EA; Kamita, SG; Hammock, BD. Comparative susceptibility of Spodoptera littoralis(Lepidoptera: Noctuidae) larvae to recombinant and wild nuclear polyhedrosis viruses. Zagazig J. Agric. Res. 2006, 33(1), 119–134. [Google Scholar]
  29. Brown, DA; Allen, CJ; Bignell, GN. The use of a protein A conjugate in an indirect enzyme-linked immunosorbent assay (ELISA) of four closely related baculoviruses from Spodoptera species. J. Gen Virol 1982, 62(2), 375–378. [Google Scholar]
  30. Kimman, TG; Leeuw, O; Kochan, G; Szewczyk, B; Rooij, E; Jacobs, L; Kramps, JA; Peeters, B. An indirect double-antibody sandwich enzyme-linked immunosorbent assay (ELISA) using baculovirus-expressed antigen for the detection of antibodies to glycoprotein E of pseudorabies virus and comparison of the method with blocking ELISAs. Clinical and Diagnostic Laboratory Immunology 1996, 3(2), 167–174. [Google Scholar]
  31. Ishii, T; Nakai, M; Okuno, S; Takatsuka, J; Kunimi, Y. Characterization of Adoxophyes honmai single-nucleocapsid nucleopolyhedrovirus: morphology, structure and effects on larvae. J. Invert. Pathol 2003, 83, 206–214. [Google Scholar]
  32. Lange, M; Wang, H; Zhihong, H; Jehle, JA. Towards a molecular identification and classification system of lepidopteran-specific baculoviruses. Virology 2004, 325(1), 36–47. [Google Scholar]
  33. Weir, RJ. Final Report: Acute Oral Administration--Rats; Acute Eye Application--Rabbits. Projects No. 183-119 and No. 183-140. (Hazleton Laboratories, Inc. for U.S. Dept. of Agriculture, unpublished study; CDL: 223569-Q). MRID No. 0049114,. 1967. [Google Scholar]
  34. Martignoni, ME. Study of nucleopolyhedrosis virus in heterologous cells. Unpublished report included in USDA 1976b. 1968. [Google Scholar]
  35. Litton Bionetics Inc. Subacute toxicity - dogs: nucleopolyhedrosis virus (NPV) of the gypsy moth. Final report, January 15 1975; 5, + app. Submitted to U.S. Department of Agriculture, Forest Service, Northeastern Forest Experiment Station, Forest Insect and Disease Laboratory, Hamden, CT. Summarized in USDA, 1995, 1975a. [Google Scholar]
  36. Litton Bionetics Inc. 2-Year carcinogenicity study in rats: nucleopolyhedrosis virus (NPV) of the gypsy moth. Final report, January 15 1975; 4, + app. Submitted to U.S. Department of Agriculture, Forest Service, Northeastern Forest Experiment Station, Forest Insect and Disease Laboratory, Hamden, CT. Summarized in USDA, 1995, 1975b. [Google Scholar]
  37. Banowetz, GM; Fryer, JL. Exposure of two salmonid cell lines to the tussock moth nucleopolyhedrosis virus. Oregon State University report included in USDA 1976, 1976b. [Google Scholar]
  38. Banowetz, GM; Fryer, JL; Iwai, PJ; Martignoni, ME. Effects of the douglas-fir tussock moth nucleopolyhedrosis virus (Baculovirus) on three species of salmonid fish. USDA For. Ser. Res. Pap. PNW-214, 6p. Pac. Northwest For. and Range Exp. Stn., Portland, OR. Barr WF. Letter with data summary to Harold Flak, USDA, dated January 9, 1976. Included in USDA 1988, section 7.3.7(a), 1976.
  39. Lilja, H. Acute Toxicity/Pathogenicity Study with Microbial Pesticide: TM-Biocontrol-1: [on Mice]: Lab Project No: 90G-0355. Unpublished study prepared by Toxikon Corp. 12 p. MRID No. 41738703. 1980. [Google Scholar]
  40. Kreutzweiser, DP; Ebling, PM; Holmes, SB. Infectivity and effects of gypsy moth and spruce budworm nuclear polyhedrosis viruses ingested by rainbow trout. Ecotoxicol. Environ. Saf. 1997, 38(1), 63–70. [Google Scholar]
  41. Tinsley, TW; Kelly, DC. Taxonomy and nomenclature of insect pathogenic viruses. In In Viral Insecticides for Biological Control; Maramorosch, KE, Ed.; Academic Press: New York, 1985; Volume 3. [Google Scholar]
  42. Lery, X; Abol-Ela, S; Gianotty, J. First isolation of viral clones from the Tunisian isolate of the potato tuber moth (Phthorimaea operculella) granulosis virus in vitro. Bull. Fac. Agric. Univ. Cairo 1997. [Google Scholar]
  43. Benz, G. Synergism of microorganism and chemical insecticides. In Microbial Control of Insects and Mites; Burgess, HD, Hussey, NW, Eds.; Academic Press: New York, 1971; p. 327. [Google Scholar]
  44. Brooks, DR; Mc-Lennam, DA. Phylogeny, Ecology, Behavior: A research program in comparative biology; The University of Chicago Press: IL, 1991; Volume 68. [Google Scholar]
  45. Ignoffo, CM. Specificity to insect viruses. Bull. Entomol. Soc. Am 1968, 14, 265. [Google Scholar]
  46. Groner, A. Specificity and safety of baculoviruses. In The Biology of Baculoviruses; Granados, RR, Federici, BA, Eds.; CRC Press: Boca Raton, FL, 1986; Volume 1, p. 177. [Google Scholar]

Share and Cite

MDPI and ACS Style

Ashour, M.-B.; Ragheb, D.A.; El-Sheikh, E.-S.A.; Gomaa, E.-A.A.; Kamita, S.G.; Hammock, B.D. Biosafety of Recombinant and Wild Type Nucleopolyhedroviruses as Bioinsecticides. Int. J. Environ. Res. Public Health 2007, 4, 111-125. https://doi.org/10.3390/ijerph2007040005

AMA Style

Ashour M-B, Ragheb DA, El-Sheikh E-SA, Gomaa E-AA, Kamita SG, Hammock BD. Biosafety of Recombinant and Wild Type Nucleopolyhedroviruses as Bioinsecticides. International Journal of Environmental Research and Public Health. 2007; 4(2):111-125. https://doi.org/10.3390/ijerph2007040005

Chicago/Turabian Style

Ashour, Mohamed-Bassem, Didair A. Ragheb, El-Sayed A. El-Sheikh, El-Adarosy A. Gomaa, Shizuo G. Kamita, and Bruce D. Hammock. 2007. "Biosafety of Recombinant and Wild Type Nucleopolyhedroviruses as Bioinsecticides" International Journal of Environmental Research and Public Health 4, no. 2: 111-125. https://doi.org/10.3390/ijerph2007040005

APA Style

Ashour, M.-B., Ragheb, D. A., El-Sheikh, E.-S. A., Gomaa, E.-A. A., Kamita, S. G., & Hammock, B. D. (2007). Biosafety of Recombinant and Wild Type Nucleopolyhedroviruses as Bioinsecticides. International Journal of Environmental Research and Public Health, 4(2), 111-125. https://doi.org/10.3390/ijerph2007040005

Article Metrics

Back to TopTop