Vitamin D—A Risk Factor for Bone Fractures in Children: A Population-Based Prospective Case–Control Randomized Cross-Sectional Study
Abstract
1. Introduction
2. Materials and Methods
2.1. Study Design
2.2. Participants
2.3. Study Procedure
2.4. Statistical Analysis
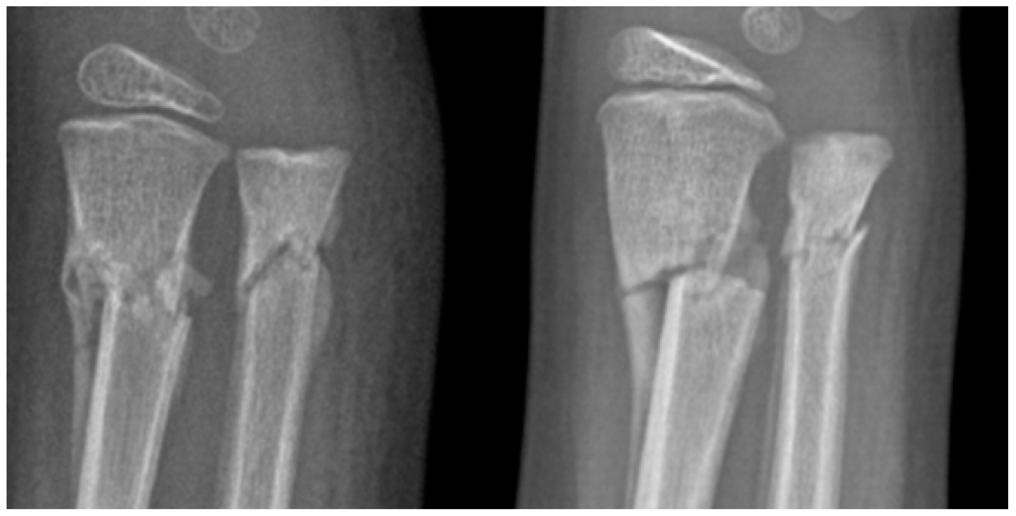
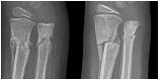
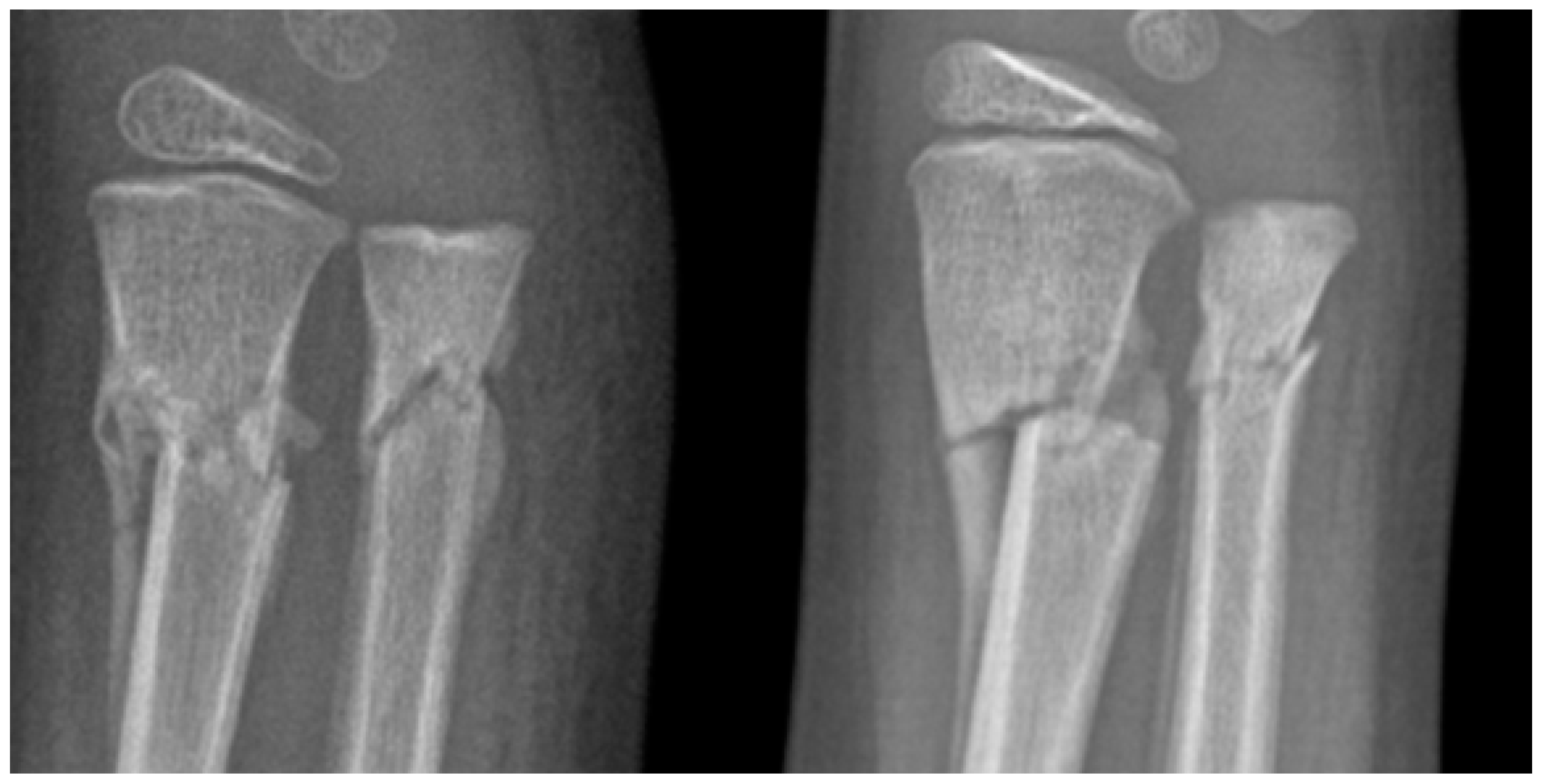
3. Results
4. Discussion
5. Conclusions
Author Contributions
Funding
Institutional Review Board Statement
Informed Consent Statement
Data Availability Statement
Acknowledgments
Conflicts of Interest
References
- Norman, A.W. Vitamin D metabolism and calcium absorption. Am. J. Med. 1979, 67, 989–998. [Google Scholar] [CrossRef] [PubMed]
- Holick, M.F.; Binkley, N.C.; Bischoff-Ferrari, H.A.; Gordon, C.M.; Hanley, D.A.; Heaney, R.P.; Murad, M.H.; Weaver, C.M. Evaluation, treatment, and prevention of Vitamin D deficiency: An Endocrine Society clinical practice guideline. J. Clin. Endocrinol. Metab. 2011, 96, 1911–1930. [Google Scholar] [CrossRef] [PubMed]
- Holick, M.F. High prevalence of Vitamin D inadequacy and implications for health. Mayo Clin. Proc. 2006, 81, 353–373. [Google Scholar] [CrossRef] [PubMed]
- Weydert, J.A. Vitamin D in Children’s Health. Children 2014, 1, 208–226. [Google Scholar] [CrossRef] [PubMed]
- Gordon, C.M.; DePeter, K.C.; Feldman, H.A.; Grace, E.; Emans, S.J. Prevalence of Vitamin D deficiency among healthy adolescents. Arch. Pediatr. Adolesc. Med. 2004, 158, 531–537. [Google Scholar] [CrossRef] [PubMed]
- Holick, M.F. Vitamin D deficiency. N. Engl. J. Med. 2007, 357, 266–281. [Google Scholar] [CrossRef] [PubMed]
- Chirita-Emandi, A.; Socolov, D.; Haivas, C.; Calapiș, A.; Gheorghiu, C.; Puiu, M. Vitamin D Status: A Different Story in the Very Young versus the Very Old Romanian Patients. PLoS ONE 2015, 10, e0128010. [Google Scholar] [CrossRef]
- Van der Gaag, E.; Brekhoff, L. Effect of Food and Vitamin D Supplements on the Serum 25(OH)D3 Concentration in Children during Winter Months. Foods 2014, 3, 4. [Google Scholar] [CrossRef]
- Önal, Z.E.; Tekin, A.; Gürbüz, T.; Sağ, Ç.; Nuhoğlu, Ç. Vitamin D status in pubertal children. Minerva Pediatr. 2021, 73, 173–179. [Google Scholar] [CrossRef]
- Pfotenhauer, K.M.; Shubrook, J.H. Vitamin D Deficiency, Its Role in Health and Disease, and Current Supplementation Recommendations. J. Osteopath. Med. 2017, 117, 301–305. [Google Scholar] [CrossRef]
- Bischoff-Ferrari, H.A.; Giovannucci, E.; Willett, W.C.; Dietrich, T.; Dawson-Hughes, B. Estimation of optimal serum concentrations of 25-hydroxyVitamin D for multiple health outcomes. Am. J. Clin. Nutr. 2006, 84, 18–28. [Google Scholar] [CrossRef] [PubMed]
- Clutton, J.; Perera, A. Vitamin D insufficiency and deficiency in patients with fractures of the fifth metatarsal. Foot Edinb. Scotl. 2016, 27, 50–52. [Google Scholar] [CrossRef] [PubMed]
- Bhan, A.; Rao, A.D.; Rao, D.S. Osteomalacia as a result of Vitamin D deficiency. Endocrinol. Metab. Clin. N. Am. 2010, 39, 321–331. [Google Scholar] [CrossRef] [PubMed]
- Rovner, A.J.; O’Brien, K.O. Hypovitaminosis D among healthy children in the United States: A review of the current evidence. Arch. Pediatr. Adolesc. Med. 2008, 162, 513–519. [Google Scholar] [CrossRef]
- Laing, E.M.; Lewis, R.D. New Concepts in Vitamin D Requirements for Children and Adolescents: A Controversy Revisited. Front. Horm. Res. 2018, 50, 42–65. [Google Scholar] [CrossRef]
- Alshamrani, H.A.; Alloub, H.; Burke, D.; Offiah, A.C. Vitamin D intake, calcium intake and physical activity among children with wrist and ankle injuries and the association with fracture risk. Nutr. Health 2019, 25, 113–118. [Google Scholar] [CrossRef]
- Soliman, A.; Sanctis, V.; Kassem, I.; Elalaily, R.; Bedair, S. Vitamin D deficiency in adolescents. Indian J. Endocrinol. Metab. 2014, 18, 9. [Google Scholar] [CrossRef]
- Herdea, A.; Dragomirescu, M.-C.; Ulici, A.; Lungu, C.N.; Charkaoui, A. Controlling the Progression of Curvature in Children and Adolescent Idiopathic Scoliosis Following the Administration of Melatonin, Calcium, and Vitamin D. Children 2022, 9, 758. [Google Scholar] [CrossRef]
- Herdea, A.; Charkaoui, A.; Ulici, A. Prevalence of 25-OH-Vitamin D and Calcium Deficiency in Adolescent Idiopathic Scoliosis. J. Med. Life 2020, 13, 260–264. [Google Scholar] [CrossRef]
- Perez-Rossello, J.M.; Feldman, H.A.; Kleinman, P.K.; Connolly, S.A.; Fair, R.A.; Myers, R.M.; Gordon, C.M. Rachitic changes, demineralization, and fracture risk in healthy infants and toddlers with Vitamin D deficiency. Radiology 2012, 262, 234–241. [Google Scholar] [CrossRef]
- Munns, C.F.; Shaw, N.; Kiely, M.; Specker, B.L.; Thacher, T.D.; Ozono, K.; Michigami, T.; Tiosano, D.; Mughal, M.Z.; Mäkitie, O.; et al. Global Consensus Recommendations on Prevention and Management of Nutritional Rickets. J. Clin. Endocrinol. Metab. 2016, 101, 394–415. [Google Scholar] [CrossRef] [PubMed]
- Jones, I.E.; Williams, S.M.; Dow, N.; Goulding, A. How Many Children Remain Fracture-Free During Growth? A Longitudinal Study of Children and Adolescents Participating in the Dunedin Multidisciplinary Health and Development Study. Osteoporos. Int. 2002, 13, 990–995. [Google Scholar] [CrossRef]
- Hedström, E.M.; Svensson, O.; Bergström, U.; Michno, P. Epidemiology of fractures in children and adolescents: Increased incidence over the past decade: A population-based study from northern Sweden. Acta Orthop. 2010, 81, 148–153. [Google Scholar] [CrossRef] [PubMed]
- Golden, N.H.; Carey, D.E. Vitamin D in Health and Disease in Adolescents: When to Screen, Whom to Treat, and How to Treat. Adolesc. Med. State Art Rev. 2016, 27, 125–139. [Google Scholar] [PubMed]
- Karpiński, M.; Galicka, A.; Milewski, R.; Popko, J.; Badmaev, V.; Stohs, S.J. Association between Vitamin D Receptor Polymorphism and Serum Vitamin D Levels in Children with Low-Energy Fractures. J. Am. Coll. Nutr. 2017, 36, 64–71. [Google Scholar] [CrossRef] [PubMed]
- Al-Daghri, N.M.; Aljohani, N.; Rahman, S.; Sabico, S.; Al-Attas, O.S.; Alokail, M.S.; Al-Ajlan, A.; Chrousos, G.P. Serum 25-hydroxyVitamin D status among Saudi children with and without a history of fracture. J. Endocrinol. Investig. 2016, 39, 1125–1130. [Google Scholar] [CrossRef] [PubMed]
- Thompson, R.M.; Dean, D.M.; Goldberg, S.; Kwasny, M.J.; Langman, C.B.; Janicki, J.A. Vitamin D Insufficiency and Fracture Risk in Urban Children. J. Pediatr. Orthop. 2017, 37, 368–373. [Google Scholar] [CrossRef]
- Fabricant, P.D.; Dy, C.J.; McLaren, S.H.; Rauck, R.C.; Ipp, L.S.; Doyle, S.M. Low Vitamin D Levels in Children with Fractures: A Comparative Cohort Study. HSS J. 2015, 11, 249–257. [Google Scholar] [CrossRef]
- Augustine, L.F.; Nair, K.M.; Kulkarni, B. Sun exposure as a strategy for acquiring Vitamin D in developing countries of tropical region: Challenges & way forward. Indian J. Med. Res. 2021, 154, 423–432. [Google Scholar] [CrossRef]
- Bertoldo, F.; Cianferotti, L.; Di Monaco, M.; Falchetti, A.; Fassio, A.; Gatti, D.; Gennari, L.; Giannini, S.; Girasole, G.; Gonnelli, S.; et al. Definition, Assessment, and Management of Vitamin D Inadequacy: Suggestions, Recommendations, and Warnings from the Italian Society for Osteoporosis, Mineral Metabolism and Bone Diseases (SIOMMMS). Nutrients 2022, 14, 4148. [Google Scholar] [CrossRef]
- Kwon, D.H.; Krieser, D.; Harris, C.; Khot, A.; Ebeling, P.R.; Rodda, C.P. High prevalence of vitamin D deficiency in 2–17 year olds presenting with acute fractures in southern Australia. Bone Rep. 2016, 5, 153–157. [Google Scholar] [CrossRef] [PubMed]
- Scheimberg, I.; Perry, L. Does Low Vitamin D Have a Role in Pediatric Morbidity and Mortality? An Observational Study of Vitamin D in a Cohort of 52 Postmortem Examinations. Pediatr. Dev. Pathol. 2014, 17, 455–464. [Google Scholar] [CrossRef] [PubMed]
- Mansour, M.M.H.K.; Alhadidi, K.M. Vitamin D deficiency in children living in Jeddah, Saudi Arabia. Indian J. Endocrinol. Metab. 2012, 16, 263–269. [Google Scholar] [CrossRef]
- El-Sakka, A.; Penon, C.; Hegazy, A.; Elbatrawy, S.; Gobashy, A.; Moreira, A. Evaluating Bone Health in Egyptian Children with Forearm Fractures: A Case Control Study. Int. J. Pediatr. 2016, 2016, 7297092. [Google Scholar] [CrossRef] [PubMed]
- Gorter, E.A.; Oostdijk, W.; Felius, A.; Krijnen, P.; Schipper, I.B. Vitamin D Deficiency in Pediatric Fracture Patients: Prevalence, Risk Factors, and Vitamin D Supplementation. J. Clin. Res. Pediatr. Endocrinol. 2016, 8, 445–451. [Google Scholar] [CrossRef] [PubMed]
- Minkowitz, B.; Cerame, B.; Poletick, E.; Nguyen, J.T.; Formoso, N.D.; Luxenberg, S.L.; Lee, B.H.; Lane, J.M.; Morris-Essex Pediatric Bone Health Group. Low Vitamin D Levels are Associated with Need for Surgical Correction of Pediatric Fractures. J. Pediatr. Orthop. 2017, 37, 23–29. [Google Scholar] [CrossRef] [PubMed]
- Parchi, P.; Andreani, L.; Piolanti, N.; Niccolai, F.; Cervi, V.; Lisanti, M. Effect of vitamin D in fracture healing in a child: Case report. Arch. Osteoporos. 2014, 9, 170. [Google Scholar] [CrossRef] [PubMed]


| Age Group: | 2–3 Years | 4–7 Years | 8–10 Years | 11–14 Years | 15–17 Years | Total | |||||
|---|---|---|---|---|---|---|---|---|---|---|---|
| Gender: | M | F | M | F | M | F | M | F | M | F | |
| Control group | 0 | 1 | 34 | 104 | 21 | 56 | 101 | 8 | 6 | 0 | 331 |
| Study group | 1 | 28 | 45 | 39 | 46 | 46 | 135 | 7 | 10 | 0 | 357 |
| Reference group | 103 | 84 | 95 | 103 | 105 | 98 | 97 | 107 | 39 | 58 | 889 |
| Total | 104 | 113 | 174 | 246 | 172 | 200 | 333 | 122 | 55 | 58 | 1577 |
| Age Group (Years): | 2–3 | 4–6 | 7–10 | 11–14 | 15–17 | Total | |||||
|---|---|---|---|---|---|---|---|---|---|---|---|
| Gender: | M | F | M | F | M | F | M | F | M | F | |
| Fractured group | 1 | 29 | 79 | 143 | 67 | 102 | 236 | 15 | 16 | 0 | 688 |
| Vitamin D level (ng/mL) | 29.00 | 32.38 | 25.65 | 28.49 | 26.57 | 27.45 | 21.80 | 21.88 | 21.10 | - | 25.29 |
| Unfractured group | 103 | 84 | 95 | 103 | 105 | 98 | 97 | 107 | 39 | 58 | 889 |
| Vitamin D level (ng/mL) | 38.05 | 38.45 | 34.43 | 33.24 | 30.31 | 27.58 | 27.66 | 24.86 | 26.83 | 24.62 | 30.99 |
| Total | 104 | 113 | 174 | 246 | 172 | 200 | 333 | 122 | 55 | 58 | 1577 |
| Vitamin D level (ng/mL) | 37.97 | 36.89 | 30.96 | 31.35 | 28.65 | 27.50 | 23.51 | 24.50 | 25.16 | 24.62 | 28.50 |
| Control Group | Study Group | |||||
|---|---|---|---|---|---|---|
| Fracture Type | Total | Mean. Vit. D3 (ng/mL) | Mean Calcium (mg/dL) | Total | Mean. Vit. D3 (ng/mL) | Mean Calcium (mg/dL) |
| 1/3 distal of both forearm bones | 76 | 26.76 | 9.99 | 76 | 24.8 | 10.3 |
| 1/3 middle radius | 75 | 17.9 | 9.8 | 76 | 24.14 | 9.8 |
| Buckle fracture of the radius | 44 | 21.35 | 9.86 | 72 | 23.92 | 9.93 |
| 1/3 distal radius | 40 | 13.3 | 9.75 | 54 | 17.9 | 10.2 |
| 1/3 middle of both bones forearm | 40 | 24.23 | 9.87 | 45 | 24.5 | 9.67 |
| Buckle fracture of both bones of the forearm | 27 | 25.8 | 9.8 | 10 | 24.57 | 9.16 |
| Blood Levels | Date | Mean | Dispersion | p-Value |
|---|---|---|---|---|
| Vitamin D | Initial | 23.92 | 46.46 | 1.20 × 10−31 |
| After 6 months | 44.76 | 21.55 | ||
| Calcium (mg/dL) | Initial | 9.98 | 0.13 | 0.13 |
| After 6 months | 10.05 | 0.04 |
| Age (Years) | Insufficient | Deficient | Normal | Total |
|---|---|---|---|---|
| Fractured (total): | 216 | 301 | 171 | 688 |
| 2–3 | 0 | 21 | 9 | 30 |
| 4–6 | 37 | 43 | 50 | 130 |
| 7–10 | 69 | 120 | 72 | 261 |
| 11–14 | 104 | 107 | 40 | 251 |
| 15–17 | 6 | 10 | 0 | 16 |
| Unfractured (total): | 165 | 329 | 395 | 889 |
| 2–3 | 12 | 48 | 127 | 187 |
| 4–6 | 24 | 67 | 107 | 198 |
| 7–10 | 44 | 81 | 78 | 203 |
| 11–14 | 59 | 86 | 59 | 204 |
| 15–17 | 26 | 47 | 24 | 97 |
| Total | 381 | 630 | 566 | 1577 |
Disclaimer/Publisher’s Note: The statements, opinions and data contained in all publications are solely those of the individual author(s) and contributor(s) and not of MDPI and/or the editor(s). MDPI and/or the editor(s) disclaim responsibility for any injury to people or property resulting from any ideas, methods, instructions or products referred to in the content. |
© 2023 by the authors. Licensee MDPI, Basel, Switzerland. This article is an open access article distributed under the terms and conditions of the Creative Commons Attribution (CC BY) license (https://creativecommons.org/licenses/by/4.0/).
Share and Cite
Herdea, A.; Ionescu, A.; Dragomirescu, M.-C.; Ulici, A. Vitamin D—A Risk Factor for Bone Fractures in Children: A Population-Based Prospective Case–Control Randomized Cross-Sectional Study. Int. J. Environ. Res. Public Health 2023, 20, 3300. https://doi.org/10.3390/ijerph20043300
Herdea A, Ionescu A, Dragomirescu M-C, Ulici A. Vitamin D—A Risk Factor for Bone Fractures in Children: A Population-Based Prospective Case–Control Randomized Cross-Sectional Study. International Journal of Environmental Research and Public Health. 2023; 20(4):3300. https://doi.org/10.3390/ijerph20043300
Chicago/Turabian StyleHerdea, Alexandru, Adelina Ionescu, Mihai-Codrut Dragomirescu, and Alexandru Ulici. 2023. "Vitamin D—A Risk Factor for Bone Fractures in Children: A Population-Based Prospective Case–Control Randomized Cross-Sectional Study" International Journal of Environmental Research and Public Health 20, no. 4: 3300. https://doi.org/10.3390/ijerph20043300
APA StyleHerdea, A., Ionescu, A., Dragomirescu, M.-C., & Ulici, A. (2023). Vitamin D—A Risk Factor for Bone Fractures in Children: A Population-Based Prospective Case–Control Randomized Cross-Sectional Study. International Journal of Environmental Research and Public Health, 20(4), 3300. https://doi.org/10.3390/ijerph20043300

