MRI Bone Abnormality of the Knee following Ultrasound Therapy: Case Report and Short Review
Abstract
1. Introduction
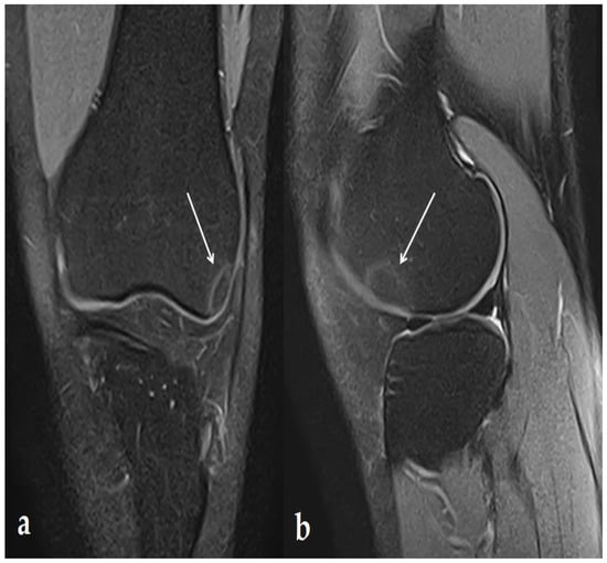
2. Case Report
3. Discussion
3.1. Knee Lesions Encountered
3.1.1. Iliotibial Band Syndrome
3.1.2. Osteonecrosis Lesions of the Knee
3.2. The Effects of Ultrasound Therapy
3.2.1. US Vibration Principles
3.2.2. Therapeutic Use of US
3.2.3. US Bone Level Consequences
- (1)
- Hypothesis of bone side effects
- (2)
- “Osteonecrosis-like” lesions reported in the literature
3.3. What Is the Role of US Treatment in Musculoskeletal Disorders?
4. Conclusions
Author Contributions
Funding
Institutional Review Board Statement
Informed Consent Statement
Data Availability Statement
Conflicts of Interest
References
- Miller, D.L.; Smith, N.B.; Bailey, M.R.; Czarnota, G.J.; Hynynen, K.; Makin, I.R.S.; Bioeffects Committee of the American Institute of Ultrasound in Medicine. Overview of Therapeutic Ultrasound Applications and Safety Considerations. J. Ultrasound. Med. 2012, 31, 623–634. [Google Scholar] [CrossRef] [PubMed]
- Ter Haar, G. Therapeutic Applications of Ultrasound. Prog. Biophys. Mol. Biol. 2007, 93, 111–129. [Google Scholar] [CrossRef]
- Tsai, W.-C.; Tang, S.-T.; Liang, F.-C. Effect of Therapeutic Ultrasound on Tendons. Am. J. Phys. Med. Rehabil. 2011, 90, 1068–1073. [Google Scholar] [CrossRef] [PubMed]
- Alexander, L.D.; Gilman, D.R.D.; Brown, D.R.; Brown, J.L.; Houghton, P.E. Exposure to Low Amounts of Ultrasound Energy Does Not Improve Soft Tissue Shoulder Pathology: A Systematic Review. Phys. Ther. 2010, 90, 14–25. [Google Scholar] [CrossRef] [PubMed]
- Baker, K.G.; Robertson, V.J.; Duck, F.A. A Review of Therapeutic Ultrasound: Biophysical Effects. Phys. Ther. 2001, 81, 1351–1358. [Google Scholar] [CrossRef]
- Panni, A.S.; Biedert, R.M.; Maffulli, N.; Tartarone, M.; Romanini, E. Overuse Injuries of the Extensor Mechanism in Athletes. Clin. Sport. Med. 2002, 21, 483–498. [Google Scholar] [CrossRef]
- Lavine, R. Iliotibial Band Friction Synd.rome. Curr. Rev. Musculoskelet. Med. 2010, 3, 18–22. [Google Scholar] [CrossRef]
- Fredericson, M.; Cookingham, C.L.; Chaudhari, A.M.; Dowdell, B.C.; Oestreicher, N.; Sahrmann, S.A. Hip Abductor Weakness in Distance Runners with Iliotibial Band Syndrome. Clin. J. Sport Med. 2000, 10, 169–175. [Google Scholar] [CrossRef]
- Taunton, J.E.; Ryan, M.B.; Clement, D.B.; McKenzie, D.C.; Lloyd-Smith, D.R.; Zumbo, B.D. A Retrospective Case-Control Analysis of 2002 Running Injuries. Br. J. Sport. Med. 2002, 36, 95–101. [Google Scholar] [CrossRef] [PubMed]
- Hadeed, A.; Tapscott, D.C. Iliotibial Band Friction Syndrome. In StatPearls; StatPearls Publishing: Treasure Island, FL, USA, 2022. [Google Scholar]
- Strauss, E.J.; Kim, S.; Calcei, J.G.; Park, D. Iliotibial Band Syndrome: Evaluation and Management. J. Am. Acad. Orthop. Surg. 2011, 19, 728–736. [Google Scholar] [CrossRef]
- Isusi, M.; Oleaga, L.; Campo, M.; Grande, D. MRI findings in iliotibial band friction syndrome: A report of two cases. Radiologia 2007, 49, 433–435. [Google Scholar] [CrossRef]
- Muhle, C.; Ahn, J.M.; Yeh, L.; Bergman, G.A.; Boutin, R.D.; Schweitzer, M.; Jacobson, J.A.; Haghighi, P.; Trudell, D.J.; Resnick, D. Iliotibial Band Friction Syndrome: MR Imaging Findings in 16 Patients and MR Arthrographic Study of Six Cadaveric Knees. Radiology 1999, 212, 103–110. [Google Scholar] [CrossRef] [PubMed]
- Nemeth, W.C.; Sanders, B.L. The Lateral Synovial Recess of the Knee: Anatomy and Role in Chronic Iliotibial Band Friction Syndrome. Arthroscopy 1996, 12, 574–580. [Google Scholar] [CrossRef]
- Drogset, J.O.; Rossvoll, I.; Grøntvedt, T. Surgical Treatment of Iliotibial Band Friction Syndrome. A Retrospective Study of 45 Patients. Scand. J. Med. Sci. Sport. 1999, 9, 296–298. [Google Scholar] [CrossRef]
- Fredericson, M.; White, J.J.; Macmahon, J.M.; Andriacchi, T.P. Quantitative Analysis of the Relative Effectiveness of 3 Iliotibial Band Stretches. Arch Phys. Med. Rehabil. 2002, 83, 589–592. [Google Scholar] [CrossRef]
- Pedowitz, R.N. Use of Osteopathic Manipulative Treatment for Iliotibial Band Friction Syndrome. J. Am. Osteopath. Assoc. 2005, 105, 563–567. [Google Scholar]
- Pettitt, R.; Dolski, A. Corrective Neuromuscular Approach to the Treatment of Iliotibial Band Friction Syndrome: A Case Report. J. Athl. Train. 2000, 35, 96–99. [Google Scholar]
- Schwellnus, M.P.; Mackintosh, L.; Mee, J. Deep Transverse Frictions in the Treatment of Lliotibial Band Friction Syndrome in Athletes: A Clinical Trial. Physiotherapy 1992, 78, 564–568. [Google Scholar] [CrossRef]
- Ahlbäck, S.; Bauer, G.C.; Bohne, W.H. Spontaneous Osteonecrosis of the Knee. Arthritis Rheum. 1968, 11, 705–733. [Google Scholar] [CrossRef]
- Mont, M.A.; Baumgarten, K.M.; Rifai, A.; Bluemke, D.A.; Jones, L.C.; Hungerford, D.S. Atraumatic Osteonecrosis of the Knee. J. Bone Jt. Surg. Am. 2000, 82, 1279–1290. [Google Scholar] [CrossRef]
- Gorbachova, T.; Melenevsky, Y.; Cohen, M.; Cerniglia, B.W. Osteochondral Lesions of the Knee: Differentiating the Most Common Entities at MRI. RadioGraphics 2018, 38, 1478–1495. [Google Scholar] [CrossRef] [PubMed]
- Zywiel, M.G.; McGrath, M.S.; Seyler, T.M.; Marker, D.R.; Bonutti, P.M.; Mont, M.A. Osteonecrosis of the Knee: A Review of Three Disorders. Orthop. Clin. North Am. 2009, 40, 193–211. [Google Scholar] [CrossRef] [PubMed]
- Kon, E.; Ronga, M.; Filardo, G.; Farr, J.; Madry, H.; Milano, G.; Andriolo, L.; Shabshin, N. Bone Marrow Lesions and Subchondral Bone Pathology of the Knee. Knee Surg. Sport. Traumatol. Arthrosc. 2016, 24, 1797–1814. [Google Scholar] [CrossRef]
- Ad, A.; Hm, A.M. Clinical and Radiological Outcomes of Extracorporeal Shock Wave Therapy in Early-Stage Femoral Head Osteonecrosis. Adv. Orthop. 2018, 2018, 7410246. [Google Scholar] [CrossRef]
- Osmani, F.; Thakkar, S.; Vigdorchik, J. The Utility of Conservative Treatment Modalities in the Management of Osteonecrosis. Bull. Hosp. Jt. Dis. 2013 2017, 75, 186–192. [Google Scholar] [PubMed]
- Dalecki, D. Mechanical Bioeffects of Ultrasound. Annu. Rev. Biomed. Eng. 2004, 6, 229–248. [Google Scholar] [CrossRef]
- Rooney, J.A.; Nyborg, W.L. Acoustic Radiation Pressure in a Traveling Plane Wave. Am. J. Phys. 1972, 40, 1825–1830. [Google Scholar] [CrossRef]
- Izadifar, Z.; Babyn, P.; Chapman, D. Mechanical and Biological Effects of Ultrasound: A Review of Present Knowledge. Ultrasound. Med. Biol. 2017, 43, 1085–1104. [Google Scholar] [CrossRef]
- Available online: http://docplayer.fr/78916196-Interactions-ultrasons-tissus-biologiques.html (accessed on 21 August 2022).
- Draper, D.O.; Castel, J.C.; Castel, D. Rate of Temperature Increase in Human Muscle during 1 MHz and 3 MHz Continuous Ultrasound. J. Orthop. Sport. Phys. Ther. 1995, 22, 142–150. [Google Scholar] [CrossRef]
- Hayes, B.T.; Merrick, M.A.; Sandrey, M.A.; Cordova, M.L. Three-MHz Ultrasound Heats Deeper Into the Tissues Than Originally Theorized. J. Athl. Train. 2004, 39, 230–234. [Google Scholar]
- Crépon, F.; Darlas, Y. Électrothérapie. Ondes mécaniques, ondes électromagnétiques et « biofeedback ». EMC Kinésithérapie Médecine Phys. Réadaptation 2008, 4, 1–14. [Google Scholar] [CrossRef]
- Giombini, A.; Giovannini, V.; Cesare, A.D.; Pacetti, P.; Ichinoseki-Sekine, N.; Shiraishi, M.; Naito, H.; Maffulli, N. Hyperthermia Induced by Microwave Diathermy in the Management of Muscle and Tendon Injuries. Br. Med. Bull. 2007, 83, 379–396. [Google Scholar] [CrossRef] [PubMed]
- Leung, M.; Cheing, G. Effects of Deep and Superficial Heating in the Management of Frozen Shoulder. Acta Derm. Venereol. 2008, 40, 145–150. [Google Scholar] [CrossRef] [PubMed]
- Robertson, V.J.; Ward, A.R.; Jung, P. The Effect of Heat on Tissue Extensibility: A Comparison of Deep and Superficial Heating. Arch. Phys. Med. Rehabil. 2005, 86, 819–825. [Google Scholar] [CrossRef]
- Wood, R.W.; Loomis, A.L. XXXVIII. The Physical and Biological Effects of High-Frequency Sound-Waves of Great Intensity. Lond. Edinb. Dublin Philos. Mag. J. Sci. 1927, 4, 417–436. [Google Scholar] [CrossRef]
- Khanna, A.; Nelmes, R.T.C.; Gougoulias, N.; Maffulli, N.; Gray, J. The Effects of LIPUS on Soft-Tissue Healing: A Review of Literature. Br. Med. Bull. 2009, 89, 169–182. [Google Scholar] [CrossRef]
- Phenix, C.P.; Togtema, M.; Pichardo, S.; Zehbe, I.; Curiel, L. High Intensity Focused Ultrasound Technology, Its Scope and Applications in Therapy and Drug Delivery. J. Pharm. Pharm. Sci. 2014, 17, 136–153. [Google Scholar] [CrossRef]
- Available online: https://now.aapmr.org/therapeutic-modalities/#relevance-to-clinical-practice/-specific-techniques (accessed on 21 August 2022).
- Lin, G.; Reed-Maldonado, A.B.; Lin, M.; Xin, Z.; Lue, T.F. Effects and Mechanisms of Low-Intensity Pulsed Ultrasound for Chronic Prostatitis and Chronic Pelvic Pain Syndrome. Int. J. Mol. Sci. 2016, 17, 1057. [Google Scholar] [CrossRef]
- Dijkman, B.G.; Sprague, S.; Bhandari, M. Low-Intensity Pulsed Ultrasound: Nonunions. Indian J. Orthop. 2009, 43, 141–148. [Google Scholar] [CrossRef]
- Warden, S.J.; Fuchs, R.K.; Kessler, C.K.; Avin, K.G.; Cardinal, R.E.; Stewart, R.L. Ultrasound Produced by a Conventional Therapeutic Ultrasound Unit Accelerates Fracture Repair. Phys. Ther. 2006, 86, 1118–1127. [Google Scholar] [CrossRef]
- Duarte, L.R. The Stimulation of Bone Growth by Ultrasound. Arch Orthop. Trauma. Surg. 1983, 101, 153–159. [Google Scholar] [CrossRef]
- Pilla, A.A.; Mont, M.A.; Nasser, P.R.; Khan, S.A.; Figueiredo, M.; Kaufman, J.J.; Siffert, R.S. Non-Invasive Low-Intensity Pulsed Ultrasound Accelerates Bone Healing in the Rabbit. J. Orthop. Trauma. 1990, 4, 246–253. [Google Scholar] [CrossRef]
- Yang, K.H.; Parvizi, J.; Wang, S.J.; Lewallen, D.G.; Kinnick, R.R.; Greenleaf, J.F.; Bolander, M.E. Exposure to Low-Intensity Ultrasound Increases Aggrecan Gene Expression in a Rat Femur Fracture Model. J. Orthop. Res. 1996, 14, 802–809. [Google Scholar] [CrossRef]
- Busse, J.W.; Bhandari, M.; Einhorn, T.A.; Schemitsch, E.; Heckman, J.D.; Tornetta, P.; Leung, K.-S.; Heels-Ansdell, D.; Makosso-Kallyth, S.; Della Rocca, G.J.; et al. Re-Evaluation of Low Intensity Pulsed Ultrasound in Treatment of Tibial Fractures (TRUST): Randomized Clinical Trial. BMJ 2016, 355, i5351. [Google Scholar] [CrossRef][Green Version]
- Martínez de Albornoz, P.; Khanna, A.; Longo, U.G.; Forriol, F.; Maffulli, N. The Evidence of Low-Intensity Pulsed Ultrasound for in Vitro, Animal and Human Fracture Healing. Br. Med. Bull. 2011, 100, 39–57. [Google Scholar] [CrossRef]
- Hu, B.; Zhang, Y.; Zhou, J.; Li, J.; Deng, F.; Wang, Z.; Song, J. Low-Intensity Pulsed Ultrasound Stimulation Facilitates Osteogenic Differentiation of Human Periodontal Ligament Cells. PLoS ONE 2014, 9, e95168. [Google Scholar] [CrossRef]
- Loyola-Sánchez, A.; Richardson, J.; Beattie, K.A.; Otero-Fuentes, C.; Adachi, J.D.; MacIntyre, N.J. Effect of Low-Intensity Pulsed Ultrasound on the Cartilage Repair in People with Mild to Moderate Knee Osteoarthritis: A Double-Blinded, Randomized, Placebo-Controlled Pilot Study. Arch Phys. Med. Rehabil. 2012, 93, 35–42. [Google Scholar] [CrossRef]
- Aiyer, R.; Noori, S.A.; Chang, K.-V.; Jung, B.; Rasheed, A.; Bansal, N.; Ottestad, E.; Gulati, A. Therapeutic Ultrasound for Chronic Pain Management in Joints: A Systematic Review. Pain. Med. 2020, 21, 1437–1448. [Google Scholar] [CrossRef]
- Roebroeck, M.E.; Dekker, J.; Oostendorp, R.A. The Use of Therapeutic Ultrasound by Physical Therapists in Dutch Primary Health Care. Phys. Ther. 1998, 78, 470–478. [Google Scholar] [CrossRef][Green Version]
- Warden, S.J. A New Direction for Ultrasound Therapy in Sports Medicine. Sport. Med. 2003, 33, 95–107. [Google Scholar] [CrossRef]
- Wong, R.A.; Schumann, B.; Townsend, R.; Phelps, C.A. A Survey of Therapeutic Ultrasound Use by Physical Therapists Who Are Orthopaedic Certified Specialists. Phys. Ther. 2007, 87, 986–994. [Google Scholar] [CrossRef]
- Ter Haar, G.; Dyson, M.; Oakley, E.M. The Use of Ultrasound by Physiotherapists in Britain, 1985. Ultrasound. Med. Biol. 1987, 13, 659–663. [Google Scholar] [CrossRef]
- Robertson, V.J.; Baker, K.G. A Review of Therapeutic Ultrasound: Effectiveness Studies. Phys. Ther. 2001, 81, 1339–1350. [Google Scholar] [CrossRef]
- Dyson, M.; Pond, J.B.; Woodward, B.; Broadbent, J. The Production of Blood Cell Stasis and Endothelial Damage in the Blood Vessels of Chick Embryos Treated with Ultrasound in a Stationary Wave Field. Ultrasound. Med. Biol. 1974, 1, 133–148. [Google Scholar] [CrossRef]
- Payton, O.D.; Lamb, R.L.; Kasey, M.E. Effects of Therapeutic Ultrasound on Bone Marrow in Dogs. Phys. Ther. 1975, 55, 20–27. [Google Scholar] [CrossRef]
- Guidelines for the Safe Use of Ultrasound: Part I—Medical and Paramedical Applications (Excerpt from Safety Code 23, 1989)—Canada.ca. Available online: https://www.canada.ca/en/health-canada/services/environmental-workplace-health/reports-publications/radiation/guidelines-safe-use-ultrasound-part-medical-paramedical-applications-excerpt-safety-code-23-1989-health-canada.html (accessed on 5 May 2021).
- van der Windt, D.A.W.M.; van der Heijden, G.J.M.G.; van den Berg, S.G.M.; Ter Riet, G.; de Winter, A.F.; Bouter, L.M. Ultrasound Therapy for Musculoskeletal Disorders: A Systematic Review. Pain 1999, 81, 257–271. [Google Scholar] [CrossRef]
- Al-Abbad, H.; Allen, S.; Morris, S.; Reznik, J.; Biros, E.; Paulik, B.; Wright, A. The Effects of Shockwave Therapy on Musculoskeletal Conditions Based on Changes in Imaging: A Systematic Review and Meta-Analysis with Meta-Regression. BMC Musculoskelet Disord. 2020, 21, 275. [Google Scholar] [CrossRef]
- van den Bekerom, M.P.J.; van der Windt, D.A.W.M.; Ter Riet, G.; van der Heijden, G.J.; Bouter, L.M. Therapeutic Ultrasound for Acute Ankle Sprains. Eur. J. Phys. Rehabil. Med. 2012, 48, 325–334. [Google Scholar] [CrossRef]
- Yeh, L.-R.; Chen, C.K.H.; Tsai, M.-Y.; Teng, H.-C.; Lin, K.-L. Focal Bone Abnormality as a Complication of Ultrasound Diathermy: A Report of Eight Cases. Radiology 2011, 260, 192–198. [Google Scholar] [CrossRef]
- Kim, S.J.J.; Kang, Y.; Kim, D.H.; Lim, J.Y.; Park, J.H.; Oh, J.H. Focal Bone Marrow Lesions: A Complication of Ultrasound Diathermy. Clin. Shoulder Elb. 2019, 22, 40–45. [Google Scholar] [CrossRef]
- Smith, N.B.; Temkin, J.M.; Shapiro, F.; Hynynen, K. Thermal Effects of Focused Ultrasound Energy on Bone Tissue. Ultrasound. Med. Biol. 2001, 27, 1427–1433. [Google Scholar] [CrossRef]
- Gam, A.N.; Johannsen, F. Ultrasound Therapy in Musculoskeletal Disorders: A Meta-Analysis. Pain 1995, 63, 85–91. [Google Scholar] [CrossRef]
- Dewhirst, M.W.; Viglianti, B.L.; Lora-Michiels, M.; Hanson, M.; Hoopes, P.J. Basic Principles of Thermal Dosimetry and Thermal Thresholds for Tissue Damage from Hyperthermia. Int. J. Hyperth. 2003, 19, 267–294. [Google Scholar] [CrossRef]





Publisher’s Note: MDPI stays neutral with regard to jurisdictional claims in published maps and institutional affiliations. |
© 2022 by the authors. Licensee MDPI, Basel, Switzerland. This article is an open access article distributed under the terms and conditions of the Creative Commons Attribution (CC BY) license (https://creativecommons.org/licenses/by/4.0/).
Share and Cite
Moussadikine, I.; Nguyễn, M.-V.; Nich, C.; Arrigoni, P.-P.; Quinette, Y.; Crenn, V. MRI Bone Abnormality of the Knee following Ultrasound Therapy: Case Report and Short Review. Int. J. Environ. Res. Public Health 2022, 19, 14202. https://doi.org/10.3390/ijerph192114202
Moussadikine I, Nguyễn M-V, Nich C, Arrigoni P-P, Quinette Y, Crenn V. MRI Bone Abnormality of the Knee following Ultrasound Therapy: Case Report and Short Review. International Journal of Environmental Research and Public Health. 2022; 19(21):14202. https://doi.org/10.3390/ijerph192114202
Chicago/Turabian StyleMoussadikine, Ismaël, Mỹ-Vân Nguyễn, Christophe Nich, Pierre-Paul Arrigoni, Yonis Quinette, and Vincent Crenn. 2022. "MRI Bone Abnormality of the Knee following Ultrasound Therapy: Case Report and Short Review" International Journal of Environmental Research and Public Health 19, no. 21: 14202. https://doi.org/10.3390/ijerph192114202
APA StyleMoussadikine, I., Nguyễn, M.-V., Nich, C., Arrigoni, P.-P., Quinette, Y., & Crenn, V. (2022). MRI Bone Abnormality of the Knee following Ultrasound Therapy: Case Report and Short Review. International Journal of Environmental Research and Public Health, 19(21), 14202. https://doi.org/10.3390/ijerph192114202

