Dying “from” or “with” COVID-19 during the Pandemic: Medico-Legal Issues According to a Population Perspective
Abstract
1. Introduction
2. Materials and Methods
2.1. Toxicological Analysis
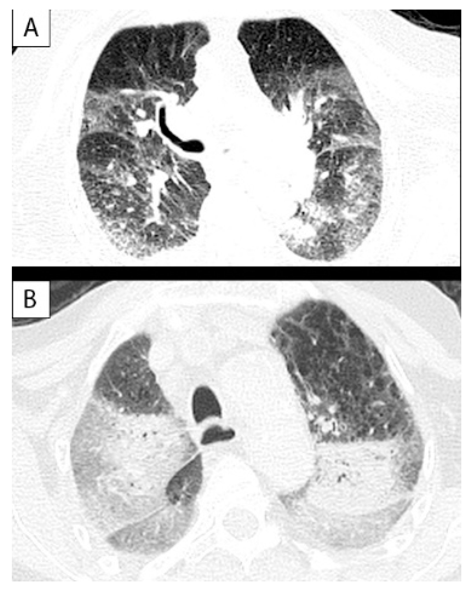
2.2. Post-Mortem CT
3. Results
4. Discussion
5. Conclusions
Author Contributions
Funding
Institutional Review Board Statement
Informed Consent Statement
Data Availability Statement
Conflicts of Interest
References
- World Health Organization. Available online: https://www.who.int/ (accessed on 31 March 2021).
- Salerno, M.; Sessa, F.; Piscopo, A.; Montana, A.; Torrisi, M.; Patanè, F.; Murabito, P.; Volti, G.L.; Pomara, C. No Autopsies on COVID-19 Deaths: A Missed Opportunity and the Lockdown of Science. J. Clin. Med. 2020, 9, 1472. [Google Scholar] [CrossRef]
- Musso, N.; Falzone, L.; Stracquadanio, S.; Bongiorno, D.; Salerno, M.; Esposito, M.; Sessa, F.; Libra, M.; Stefani, S.; Pomara, C. Post-Mortem Detection of SARS-CoV-2 RNA in Long-Buried Lung Samples. Diagnostics 2021, 11, 1158. [Google Scholar] [CrossRef] [PubMed]
- Pomara, C.; Salerno, M.; Sessa, F.; Esposito, M.; Barchitta, M.; Ledda, C.; Grassi, P.; Liberto, A.; Mattaliano, A.R.; Rapisarda, V.; et al. Safe Management Strategies in Clinical Forensic Autopsies of Confirmed COVID-19 Cases. Diagnostics 2021, 11, 457. [Google Scholar] [CrossRef]
- Sharma, R.; Agarwal, M.; Gupta, M.; Somendra, S.; Saxena, S.K. Clinical Characteristics and Differential Clinical Diagnosis of Novel Coronavirus Disease 2019 (COVID-19). In Coronavirus Disease 2019 (COVID-19). Medical Virology: From Pathogenesis to Disease Control; Saxena, S., Ed.; Springer: Singapore, 2020; pp. 55–70. [Google Scholar]
- Zou, X.; Chen, K.; Zou, J.; Han, P.; Hao, J.; Han, Z. Single-cell RNA-seq data analysis on the receptor ACE2 expression reveals the potential risk of different human organs vulnerable to 2019-nCoV infection. Front. Med. 2020, 14, 185–192. [Google Scholar] [CrossRef] [PubMed]
- Hamming, I.; Timens, W.; Bulthuis, M.L.; Lely, A.T.; Navis, G.; van Goor, H. Tissue distribution of ACE2 protein, the functional receptor for SARS coronavirus. A first step in understanding SARS pathogenesis. J. Pathol. 2004, 203, 631–637. [Google Scholar] [CrossRef]
- Cowan, L.T.; Lutsey, P.L.; Pankow, J.S.; Matsushita, K.; Ishigami, J.; Lakshminarayan, K. Inpatient and Outpatient Infection as a Trigger of Cardiovascular Disease: The ARIC Study. J. Am. Heart Assoc. 2018, 7, e009683. [Google Scholar] [CrossRef] [PubMed]
- Madjid, M.; Miller, C.C.; Zarubaev, V.V.; Marinich, I.G.; Kiselev, O.I.; Lobzin, Y.V.; Filippov, A.E.; Casscells, S.W. Influenza epidemics and acute respiratory disease activity are associated with a surge in autopsy-confirmed coronary heart disease death: Results from 8 years of autopsies in 34,892 subjects. Eur. Heart J. 2007, 28, 1205–1210. [Google Scholar] [CrossRef]
- Dhainaut, J.F.; Claessens, Y.E.; Janes, J.; Nelson, D.R. Underlying disorders and their impact on the host response to infection. Clin. Infect. Dis. 2005, 41 (Suppl. 7), S481–S484. [Google Scholar] [CrossRef] [PubMed]
- Ernst, A.; Zibrak, J.D. Carbon monoxide poisoning. N. Engl. J. Med. 1998, 339, 1603–1608. [Google Scholar] [CrossRef] [PubMed]
- Satran, D.; Henry, C.R.; Adkinson, C.; Nicholson, C.I.; Bracha, Y.; Henry, T.D. Cardiovascular manifestations of moderate to severe carbon monoxide poisoning. J. Am. Coll. Cardiol. 2005, 45, 513–516. [Google Scholar] [CrossRef] [PubMed]
- Driggin, E.; Madhavan, M.V.; Bikdeli, B.; Chuich, T.; Laracy, J.; Biondi-Zoccai, G.; Brown, T.S.; Der Nigoghossian, C.; Zidar, D.A.; Haythe, J.; et al. Cardiovascular Considerations for Patients, Health Care Workers, and Health Systems during the COVID-19 Pandemic. J. Am. Coll. Cardiol. 2020, 75, 2352–2371. [Google Scholar] [CrossRef]
- Mercatelli, D.; Giorgi, F.M. Geographic and Genomic Distribution of SARS-CoV-2 Mutations. Front. Microbiol. 2020, 11, 1800. [Google Scholar] [CrossRef] [PubMed]
- Onder, G.; Rezza, G.; Brusaferro, S. Case-Fatality Rate and Characteristics of Patients Dying in Relation to COVID-19 in Italy. JAMA 2020, 323, 1775–1776. [Google Scholar] [CrossRef]
- Riccardo, F.; Ajelli, M.; Andrianou, X.D.; Bella, A.; Del Manso, M.; Fabiani, M.; Bellino, S.; Boros, S.; Urdiales, A.M.; Marziano, V.; et al. Epidemiological characteristics of COVID-19 cases and estimates of the reproductive numbers 1 month into the epidemic, Italy, 28 January to 31 March 2020. Eurosurveillance 2020, 25, 2000790. [Google Scholar] [CrossRef] [PubMed]
- Livingston, E.; Bucher, K. Coronavirus Disease 2019 (COVID-19) in Italy. JAMA 2020, 323, 1335. [Google Scholar] [CrossRef]
- Logar, S. Care home facilities as new COVID-19 hotspots: Lombardy Region (Italy) case study. Arch. Gerontol. Geriatr. 2020, 89, 104087. [Google Scholar] [CrossRef]
- De Angelis, E.; Renzetti, S.; Volta, M.; Donato, F.; Calza, S.; Placidi, D.; Lucchini, R.G.; Rota, M. COVID-19 incidence and mortality in Lombardy, Italy: An ecological study on the role of air pollution, meteorological factors, demographic and socioeconomic variables. Environ. Res. 2021, 195, 110777. [Google Scholar] [CrossRef] [PubMed]
- Filograna, L.; Manenti, G.; Arena, V.; Dell’Aquila, M.; Pascali, V.L.; Natale, L.; Colosimo, C.; Grassi, S.; Floris, R.; Oliva, A. Claimed medical malpractice in fatal SARS-CoV-2 infections: The importance of combining ante- and post-mortem radiological data and autopsy findings for correct forensic analysis. Forensic Imaging 2021, 25, 200454. [Google Scholar] [CrossRef]
- Boccia, S.; Ricciardi, W.; Ioannidis, J.P.A. What Other Countries Can Learn From Italy During the COVID-19 Pandemic. JAMA Intern. Med. 2020, 180, 927–928. [Google Scholar] [CrossRef] [PubMed]
- World Health Organization, International Guidelines for Certification and Classification (Coding) of COVID-19 as Cause of Death. Available online: https://www.who.int/classifications/icd/Guidelines_Cause_of_Death_COVID-19.pdf?ua=1 (accessed on 31 March 2021).
- Amoretti, M.C.; Lalumera, E. COVID-19 as the underlying cause of death: Disentangling facts and values. Hist. Philos. Life Sci. 2021, 43, 4. [Google Scholar] [CrossRef] [PubMed]
- Cobos-Siles, M.; Cubero-Morais, P.; Arroyo-Jiménez, I.; Rey-Hernández, M.; Hernández-Gómez, L.; Vargas-Parra, D.J.; González-Fernández, M.; Cazorla-González, M.; Gabella-Martín, M.; Ruíz-Albi, T.; et al. Cause-specific death in hospitalized individuals infected with SARS-CoV-2: More than just acute respiratory failure or thromboembolic events. Intern. Emerg. Med. 2020, 15, 1533–1544. [Google Scholar] [CrossRef]
- Slater, T.A.; Straw, S.; Drozd, M.; Kamalathasan, S.; Cowley, A.; Witte, K.K. Dying ‘due to’ or ‘with’ COVID-19: A cause of death analysis in hospitalised patients. Clin. Med. 2020, 20, e189–e190. [Google Scholar] [CrossRef] [PubMed]
- Grippo, F.; Navarra, S.; Orsi, C.; Manno, V.; Grande, E.; Crialesi, R.; Frova, L.; Marchetti, S.; Pappagallo, M.; Simeoni, S.; et al. The Role of COVID-19 in the Death of SARS-CoV-2-Positive Patients: A Study Based on Death Certificates. J. Clin. Med. 2020, 9, 3459. [Google Scholar] [CrossRef]
- Li, B.; Yang, J.; Zhao, F.; Zhi, L.; Wang, X.; Liu, L.; Bi, Z.; Zhao, Y. Prevalence and impact of cardiovascular metabolic diseases on COVID-19 in China. Clin. Res. Cardiol. 2020, 109, 531–538. [Google Scholar] [CrossRef] [PubMed]
- Bavishi, C.; Maddox, T.M.; Messerli, F.H. Coronavirus Disease 2019 (COVID-19) Infection and Renin Angiotensin System Blockers. JAMA Cardiol. 2020, 5, 745–747. [Google Scholar] [CrossRef] [PubMed]
- Sheth, A.R.; Grewal, U.S.; Patel, H.P.; Thakkar, S.; Garikipati, S.; Gaddam, J.; Bawa, D. Possible mechanisms responsible for acute coronary events in COVID-19. Med. Hypotheses 2020, 143, 110125. [Google Scholar] [CrossRef] [PubMed]
- Huang, C.; Wang, Y.; Li, X.; Ren, L.; Zhao, J.; Hu, Y.; Zhang, L.; Fan, G.; Xu, J.; Gu, X.; et al. Clinical features of patients infected with 2019 novel coronavirus in Wuhan, China. Lancet 2020, 395, 497–506. [Google Scholar] [CrossRef]
- Wang, D.; Hu, B.; Hu, C.; Zhu, F.; Liu, X.; Zhang, J.; Wang, B.; Xiang, H.; Cheng, Z.; Xiong, Y.; et al. Clinical Characteristics of 138 Hospitalized Patients With 2019 Novel Coronavirus-Infected Pneumonia in Wuhan, China. JAMA 2020, 323, 1061–1069. [Google Scholar] [CrossRef]
- Williamson, E.; Walker, A.; Bhaskaran, K.; Bacon, S.; Bates, C.; Morton, C.; Curtis, H.; Mehrkar, A.; Evans, D.; Inglesby, P.; et al. OpenSAFELY: Factors associated with COVID-19-related hospital death in the linked electronic health records of 17 million adult NHS patients. MedRxiv 2020. [Google Scholar] [CrossRef]
- Santesmasses, D.; Castro, J.P.; Zenin, A.A.; Shindyapina, A.V.; Gerashchenko, M.V.; Zhang, B.; Kerepesi, C.; Yim, S.H.; Fedichev, P.O.; Gladyshev, V.N. COVID-19 is an emergent disease of aging. Aging Cell 2020, 19, e13230. [Google Scholar] [CrossRef]
- Mahendra, M.; Nuchin, A.; Kumar, R.; Shreedhar, S.; Mahesh, P.A. Predictors of mortality in patients with severe COVID-19 pneumonia—A retrospective study. Adv. Respir. Med. 2021, 89, 135–144. [Google Scholar] [CrossRef]
- Diao, B.; Wang, C.; Tan, Y.; Chen, X.; Liu, Y.; Ning, L.; Chen, L.; Li, M.; Liu, Y.; Wang, G.; et al. Reduction and Functional Exhaustion of T Cells in Patients With Coronavirus Disease 2019 (COVID-19). Front. Immunol. 2020, 11, 827. [Google Scholar] [CrossRef]
- Yang, W.; Sirajuddin, A.; Zhang, X.; Liu, G.; Teng, Z.; Zhao, S.; Lu, M. The role of imaging in 2019 novel coronavirus pneumonia (COVID-19). Eur. Radiol. 2020, 30, 4874–4882. [Google Scholar] [CrossRef]
- Zhou, F.; Yu, T.; Du, R.; Fan, G.; Liu, Y.; Liu, Z.; Xiang, J.; Wang, Y.; Song, B.; Gu, X.; et al. Clinical course and risk factors for mortality of adult inpatients with COVID-19 in Wuhan, China: A retrospective cohort study. Lancet 2020, 395, 1054–1062. [Google Scholar] [CrossRef]
- Lippi, G.; Rastelli, G.; Meschi, T.; Borghi, L.; Cervellin, G. Pathophysiology, clinics, diagnosis and treatment of heart involvement in carbon monoxide poisoning. Clin. Biochem. 2012, 45, 1278–1285. [Google Scholar] [CrossRef] [PubMed]
- Fisher, A.B.; Hyde, R.W.; Baue, A.E.; Reif, J.S.; Kelly, D.F. Effect of carbon monoxide on function and structure of the lung. J. Appl. Physiol. 1969, 26, 4–12. [Google Scholar] [CrossRef] [PubMed]
- King, M.S.; Eisenberg, R.; Newman, J.H.; Tolle, J.J.; Harrell, F.E., Jr.; Nian, H.; Ninan, M.; Lambright, E.S.; Sheller, J.R.; Johnson, J.E.; et al. Constrictive bronchiolitis in soldiers returning from Iraq and Afghanistan. N. Engl. J. Med. 2011, 365, 222–230. [Google Scholar] [CrossRef]
- Travis, W.D.; Colby, T.V.; Koss, M.N.; Rosado-de-Christenson, M.L.; Muller, N.L.; King, T.E., Jr. Non-Neoplastic Disorders of the Lower Respiratory Tract; Donald West King MD: Washington, DC, USA, 2002. [Google Scholar]
- Tabary, M.; Khanmohammadi, S.; Araghi, F.; Dadkhahfar, S.; Tavangar, S.M. Pathologic features of COVID-19: A concise review. Pathol. Res. Pract. 2020, 216, 153097. [Google Scholar] [CrossRef] [PubMed]
- Edler, C.; Schröder, A.S.; Aepfelbacher, M.; Fitzek, A.; Heinemann, A.; Heinrich, F.; Klein, A.; Langenwalder, F.; Lütgehetmann, M.; Meißner, K.; et al. Dying with SARS-CoV-2 infection-an autopsy study of the first consecutive 80 cases in Hamburg, Germany. Int. J. Legal Med. 2020, 134, 1275–1284. [Google Scholar] [CrossRef]
- Sone, S.; Higashihara, T.; Kotake, T.; Morimoto, S.; Miura, T. Pulmonary manifestations in acute carbon monoxide poisoning. Am. J. Roentgenol. Radium. Ther. Nucl. Med. 1974, 120, 865–871. [Google Scholar] [CrossRef][Green Version]
- De-Giorgio, F.; Vetrugno, G. Is histological examination always necessary to determine a cause of death? Of course it is! Forensic Sci. Med. Pathol. 2014, 10, 477–478. [Google Scholar] [CrossRef] [PubMed]
- De-Giorgio, F.; Vetrugno, G. Does the principle of cost/benefit analysis apply to forensic pathology? Am. J. Forensic Med. Pathol. 2010, 31, 300. [Google Scholar] [CrossRef] [PubMed]
- Foschi, N.; Ragonese, M.; Grassi, V.M.; De Matteis, V.; De-Giorgio, F. The periprostatic venous plexus: An unusual source of fatal pulmonary embolism during corporoplasty. Int. J. Legal Med. 2017, 131, 713–717. [Google Scholar] [CrossRef] [PubMed]
- De-Giorgio, F.; Lodise, M.; Pascali, V.L.; Spagnolo, A.G.; d’Aloja, E.; Arena, V. An unusual case showing fatal rupture of a gastric ulcer or gastromalacia? The importance/role of histology for differential diagnosis. J. Forensic Sci. 2015, 60, 240–242. [Google Scholar] [CrossRef]
- Arena, V.; Valerio, L.; Arena, E.; De-Giorgio, F.; Stigliano, E.; Monego, G.; Capelli, A. Isolated eosinophilic coronary arteritis. J. Clin. Pathol. 2010, 63, 469–471. [Google Scholar] [CrossRef]
- Cittadini, F.; De-Giorgio, F.; Cina, A.; Pascali, V.L. Reliable Postmortem Computed Tomography Scan Diagnosis of COVID-19 Pneumonia. Am. J. Forensic Med. Pathol. 2020, 41, 239–240. [Google Scholar] [CrossRef]
- De-Giorgio, F.; Cittadini, F.; Cina, A.; Cavarretta, E.; Biondi-Zoccai, G.; Vetrugno, G.; Natale, L.; Colosimo, C.; Pascali, V.L. Use of post-mortem chest computed tomography in Covid-19 pneumonia. Forensic Sci. Int. 2021, 325, 110851. [Google Scholar] [CrossRef]



| Groups | Case | Age | Gender | Comorbidity |
|---|---|---|---|---|
| Group A | 1 | 72 | F |
|
| 2 | 79 | F |
| |
| 3 | 90 | F | Not available | |
| 4 | 91 | F | Not available | |
| Group B | 5 | 89 | F |
|
| 6 | 87 | F |
| |
| 7 | 99 | F |
| |
| 8 | 89 | F |
| |
| 9 | 71 | F | Not available |
| Groups | Case # | Autopsy | Histology | Cause of Death |
|---|---|---|---|---|
| Group A | 1 |
|
| Sudden cardiac death in COVID-19 |
| 2 |
|
| COVID-19 pneumonia | |
| 3 |
|
| COVID-19 pneumonia | |
| 4 |
|
| COVID-19 pneumonia | |
| Group B | 5 |
|
| CO intoxication (COHb 55%) |
| 6 |
|
| CO intoxication (COHb 50%) | |
| 7 |
|
| CO intoxication (COHb 55%) | |
| 8 |
|
| CO intoxication (COHb 40%) | |
| 9 |
|
| CO intoxication (COHb 40%) |
| CT Finding | Case 1 | Case 2 | Case 3 | Case 4 | Case 5 | Case 6 | Case 7 | Case 8 | Case 9 |
|---|---|---|---|---|---|---|---|---|---|
| Ground glass opacities | x | x | x | x | x | x | x | x | x |
| -Peripheral | x | ||||||||
| -Bilateral | x | x | x | x | x | x | x | x | x |
| -Multilobar | x | x | x | x | x | x | x | x | x |
| -no gravitational distribution | x | x | x | x | |||||
| “Crazy paving” pattern | x | ||||||||
| Alveolar consolidations | x | x | x | x | |||||
| Lymphadenopathies | x | ||||||||
| Pleural effusion | x | x | x | x | x | x | x | x |
Publisher’s Note: MDPI stays neutral with regard to jurisdictional claims in published maps and institutional affiliations. |
© 2021 by the authors. Licensee MDPI, Basel, Switzerland. This article is an open access article distributed under the terms and conditions of the Creative Commons Attribution (CC BY) license (https://creativecommons.org/licenses/by/4.0/).
Share and Cite
De-Giorgio, F.; Grassi, V.M.; Bergamin, E.; Cina, A.; Del Nonno, F.; Colombo, D.; Nardacci, R.; Falasca, L.; Conte, C.; d’Aloja, E.; et al. Dying “from” or “with” COVID-19 during the Pandemic: Medico-Legal Issues According to a Population Perspective. Int. J. Environ. Res. Public Health 2021, 18, 8851. https://doi.org/10.3390/ijerph18168851
De-Giorgio F, Grassi VM, Bergamin E, Cina A, Del Nonno F, Colombo D, Nardacci R, Falasca L, Conte C, d’Aloja E, et al. Dying “from” or “with” COVID-19 during the Pandemic: Medico-Legal Issues According to a Population Perspective. International Journal of Environmental Research and Public Health. 2021; 18(16):8851. https://doi.org/10.3390/ijerph18168851
Chicago/Turabian StyleDe-Giorgio, Fabio, Vincenzo M. Grassi, Eva Bergamin, Alessandro Cina, Franca Del Nonno, Daniele Colombo, Roberta Nardacci, Laura Falasca, Celeste Conte, Ernesto d’Aloja, and et al. 2021. "Dying “from” or “with” COVID-19 during the Pandemic: Medico-Legal Issues According to a Population Perspective" International Journal of Environmental Research and Public Health 18, no. 16: 8851. https://doi.org/10.3390/ijerph18168851
APA StyleDe-Giorgio, F., Grassi, V. M., Bergamin, E., Cina, A., Del Nonno, F., Colombo, D., Nardacci, R., Falasca, L., Conte, C., d’Aloja, E., Damiani, G., & Vetrugno, G. (2021). Dying “from” or “with” COVID-19 during the Pandemic: Medico-Legal Issues According to a Population Perspective. International Journal of Environmental Research and Public Health, 18(16), 8851. https://doi.org/10.3390/ijerph18168851

