Appearance of Thiacloprid in the Guttation Liquid of Coated Maize Seeds
Abstract
1. Introduction
2. Materials and Methods
2.1. Maize Plantations and Sample Collection
2.2. HPLC Analysis
3. Results
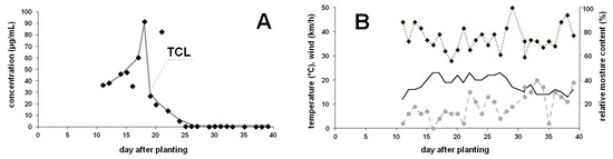
3.1. Apperance of TCL in Guttation Liquid of Maize Cultivated under Field Conditions
3.2. Effect of Maize Varieties on the TCL Levels in Guttation Liquid
3.3. Effect of TCL Doses in Seed Coating on the Levels in Guttation Liquid of Maize
3.4. Cross-Contamination
4. Discussion
4.1. TCL Levels in the Guttation Liquid of Maize Cultivated under Field Conditions
4.2. Effect of Maize Varieties on the TCL Levels in the Guttation Liquid
4.3. Effect of the Applied Dosages
4.4. Cross-Contamination
5. Conclusions
Author Contributions
Funding
Acknowledgments
Conflicts of Interest
References
- Jeschke, P.; Nauen, R.; Schindler, M.; Elbert, A. Overview of the status and global strategy for neonicotinoids. J. Agric. Food Chem. 2011, 59, 2897–2908. [Google Scholar] [CrossRef] [PubMed]
- Bass, C.; Denholm, I.; Williamson, M.S.; Nauen, R. The global status if insect resistance to neonicotinoid insecticides. Pestic. Biochem. Physiol. 2015, 121, 78–87. [Google Scholar] [CrossRef] [PubMed]
- Satar, G.; Ulusoy, M.R.; Nauen, R.; Dong, K. Neonicotinoid insecticide resistance among populations of Bemisia tabaci in the Mediterranean region of Turkey. Bull. Insectol. 2018, 71, 171–177. [Google Scholar]
- Mörtl, M.; Kereki, O.; Darvas, B.; Klátyik, S.; Vehovszky, Á.; Győri, J.; Székács, A. Study on soil mobility of two neonicotinoid insecticides. J. Chem. 2016, 2016, 4546584. [Google Scholar] [CrossRef]
- Rodríguez-Liébana, J.A.; Mingorance, M.D.; Peña, A. Thiacloprid adsorption and leaching in soil: Effect of the composition of irrigation solutions. Sci. Total Environ. 2018, 610–611, 367–376. [Google Scholar] [CrossRef]
- Zhang, P.; Ren, C.; Sun, H.; Min, L. Sorption, desorption and degradation of neonicotinoids in four agricultural soils and their effects on soil microorganisms. Sci. Total Environ. 2018, 615, 59–69. [Google Scholar] [CrossRef]
- Morrissey, C.A.; Mineau, P.; Devries, J.H.; Sanchez-Bayo, F.; Liess, M.; Cavallaro, M.C.; Liber, K. Neonicotinoid contamination of global surface waters and associated risk to aquatic invertebrates: A review. Environ. Int. 2015, 74, 291–303. [Google Scholar] [CrossRef]
- Hladik, M.L.; Kolpin, D.W. First national-scale reconnaissance of neonicotinoid insecticides in streams across the USA. Environ. Chem. 2015, 13, 12–20. [Google Scholar] [CrossRef]
- Struger, J.; Grabuski, J.; Cagampan, S.; Sverko, E.; McGoldrick, D.; Marvin, C.H. Factors influencing the occurrence and distribution of neonicotinoid insecticides in surface waters of southern Ontario, Canada. Chemosphere 2017, 169, 516–523. [Google Scholar] [CrossRef]
- Sousa, J.G.C.; Ribeiro, A.R.; Barbosa, M.O.; Pereira, M.F.R.; Silva, A.M.T. A review on environmental monitoring of water organic pollutants identified by EU guidelines. J. Hazard. Mater. 2018, 344, 146–162. [Google Scholar] [CrossRef]
- Mahai, G.; Wan, Y.; Xia, W.; Yang, S.; He, Z.; Xu, S. Neonicotinoid insecticides in surface water from the central Yangtze River, China. Chemosphere 2019, 229, 452–460. [Google Scholar] [CrossRef] [PubMed]
- Montiel-León, J.M.; Munoz, G.; Vo Duy, S.; Do, D.T.; Vaudreuil, M.A.; Goeury, K.; Guillemette, F.; Amyot, M.; Sauvé, S. Widespread occurrence and spatial distribution of glyphosate, atrazine, and neonicotinoids pesticides in the St. Lawrence and tributary rivers. Environ. Pollut. 2019, 250, 29–39. [Google Scholar] [CrossRef] [PubMed]
- Anderson, J.C.; Dubetz, C.; Palace, V.P. Neonicotinoids in the Canadian aquatic environment: A literature review on current use products with a focus on fate, exposure, and biological effects. Sci. Total Environ. 2015, 505, 409–422. [Google Scholar] [CrossRef] [PubMed]
- The Task Force on Systemic Pesticides. Worldwide Integrated Assessment of the Impacts of Systemic Pesticides on Biodiversity and Ecosystems; The Task Force on Systemic Pesticides: Notre Dame de Londres, France, 2015. [Google Scholar]
- Furlan, L.; Pozzebon, A.; Duso, C.; Simon-Delso, N.; Sánchez-Bayo, F.; Marchand, P.A.; Codato, F.; van Lexmond, M.B.; Bonmatin, J.-M. An update of the Worldwide Integrated Assessment (WIA) on systemic insecticides. Part 3: Alternatives to systemic insecticides. Environ. Sci. Pollut. Res. 2018. [Google Scholar] [CrossRef]
- Rundlöf, M.; Andersson, G.K.S.; Bommarco, R.; Fries, I.; Hederstrom, V.; Herbertsson, L.; Jonsson, O.; Klatt, B.K.; Pedersen, T.R.; Yourstone, J.; et al. Seed coating with a neonicotinoid insecticide negatively affects wild bees. Nature 2015, 521, 77–80. [Google Scholar] [CrossRef] [PubMed]
- Pisa, L.; Goulson, D.; Yang, E.-C.; Gibbons, D.; Sánchez-Bayo, F.; Mitchell, E.; Aebi, A.; van der Sluijs, J.; MacQuarrie, C.J.K.; Giorio, C.; et al. An update of the Worldwide Integrated Assessment (WIA) on systemic insecticides. Part 2: Impacts on organisms and ecosystems. Environ. Sci. Pollut. Res. Int. 2017. [Google Scholar] [CrossRef]
- The European Commission. Commission Implementing Regulation (EU) No 485/2013 of 24 May 2013 amending Implementing Regulation (EU) No 540/2011, as regards the conditions of approval of the active substances clothianidin, thiamethoxam and imidacloprid, and prohibiting the use and sale of seeds treated with plant protection products containing those active substances. Off. J. Eur. Union 2013, L 139, 12–26. Available online: https://eur-lex.europa.eu/legal-content/EN/TXT/PDF/?uri=CELEX:32013R0485&qid=1582882303243&from=EN (accessed on 7 April 2020).
- Manjon, C.; Troczka, B.J.; Zaworra, M.; Beadle, K.; Randall, E.; Hertlein, G.; Singh, K.S.; Zimmer, C.T.; Homem, R.A.; Lueke, B.; et al. Unravelling the molecular determinants of bee sensitivity to neonicotinoid insecticides. Curr. Biol. 2018, 28, 1137–1143. [Google Scholar] [CrossRef]
- Ellis, C.; Park, K.J.; Whitehorn, P.; David, A.; Goulson, D. The neonicotinoid insecticide thiacloprid impacts upon bumblebee colony development under field conditions. Environ. Sci. Techn. 2017, 51, 1727–1732. [Google Scholar] [CrossRef]
- Fryday, S.; Tiede, K.; Stein, J. Scientific services to support EFSA systematic reviews: Lot 5 Systematic literature review on the neonicotinoids (namely active substances clothianidin, thiamethoxam and imidacloprid) and the risks to bees. EFSA Support. Publ. 2015, 12, EN-756. [Google Scholar] [CrossRef]
- The European Commission. Commission Implementing Regulation (EU) No 783/2018 of 29 May 2018 amending Implementing Regulation (EU) No 540/2011 as regards the conditions of approval of the active substance imidacloprid. Off. J. Eur. Union 2018, L 132, 31–34. Available online: https://eur-lex.europa.eu/legal-content/EN/TXT/PDF/?uri=CELEX:32018R0783&from=EN (accessed on 7 April 2020).
- The European Commission. Commission Implementing Regulation (EU) No 784/2018 of 29 May 2018 amending Implementing Regulation (EU) No 540/2011 as regards the conditions of approval of the active substance clothianidin. Off. J. Eur. Union 2018, L 132, 35–39. Available online: https://eur-lex.europa.eu/legal-content/EN/TXT/PDF/?uri=CELEX:32018R0784&from=EN (accessed on 7 April 2020).
- The European Commission. Commission Implementing Regulation (EU) 785/2018 of 29 May 2018 amending Implementing Regulation (EU) No 540/2011 as regards the conditions of approval of the active substance thiamethoxam. Off. J. Eur. Union 2018, L 132, 40–44. Available online: https://eur-lex.europa.eu/legal-content/EN/TXT/PDF/?uri=CELEX:32018R0785&from=EN (accessed on 7 April 2020).
- Gouvernement. Ban on neonicotinoid insecticides: France is leading the way in Europe; Gouvernement: Paris, France, 2018. Available online: https://www.gouvernement.fr/en/ban-on-neonicotinoid-insecticides-france-is-leading-the-way-in-europe (accessed on 7 April 2020).
- The European Commission. Commission Implementing Decision (EU) 2020/23 of 13 January 2020 concerning the non-renewal of the approval of the active substance thiacloprid, in accordance with Regulation (EC) No 1107/2009 of the European Parliament and of the Council concerning the placing of plant protection products on the market, and amending the Annex to Commission Implementing Regulation (EU) No 540/2011 . Off. J. Eur. Union 2020, L 8, 8–11. Available online: https://eur-lex.europa.eu/legal-content/EN/TXT/PDF/?uri=CELEX:32018D0840&from=EN (accessed on 7 April 2020).
- European Food Safety Authority (EFSA). Conclusion on the peer review of the pesticide risk assessment of the active substance thiacloprid. EFSA J. 2019, 17, 5595. [Google Scholar] [CrossRef]
- US-EPA. Pesticide Fact Sheet Thiacloprid; US-EPA: Washington, DC, USA, 2003.
- US-EPA. Schedule for Review of Neonicotinoid Pesticides; US-EPA: Washington, DC, USA, 2019.
- US EPA. Proposed Interim Registration Review Decision for Neonicotinoids; US-EPA: Washington, DC, USA, 2020.
- Girolami, V.; Mazzon, L.; Squartini, A.; Mori, N.; Marzaro, M.; Di Bernardo, A.; Greatti, M.; Giorio, C.; Tapparo, A. Translocation of neonicotinoids insecticides from coated seeds to seedling guttation drops: A novel way of intoxication for bees. J. Econ. Entomol. 2009, 102, 1808–1815. [Google Scholar] [CrossRef] [PubMed]
- Wood, T.J.; Goulson, D. The environmental risks of neonicotinoid pesticides: A review of the evidence post 2013. Environ. Sci. Pollut. Res. 2017, 24, 17285–17325. [Google Scholar] [CrossRef] [PubMed]
- Schmolke, A.; Kearns, B.; O’Neill, B. Plant guttation water as a potential route for pesticide exposure in honey bees: A review of recent literature. Apidologie 2018, 49, 637–646. [Google Scholar] [CrossRef]
- Tapparo, A.; Giorio, C.; Marzaro, M.; Marton, D.; Solda, L.; Girolami, V. Rapid analysis of neonicotinoid insecticides in guttation drops of corn seedlings obtained from coated seeds. J. Environ. Monit. 2011, 13, 1564–1568. [Google Scholar] [CrossRef]
- Mörtl, M.; Darvas, B.; Vehovszky, Á.; Győri, J.; Székács, A. Occurrence of neonicotinoids in guttation liquid of maize–soil mobility and cross-contamination. Int. J. Environ. Anal. Chem. 2017, 97, 868–884. [Google Scholar] [CrossRef]
- Schenke, D.; Wirtz, I.P.; Lorenz, S.; Pistorius, J.; Heimbach, U. Two-year field data on neonicotinoid concentrations in guttation drops of seed treated maize (Zea mays). Data Brief 2018, 21, 299–306. [Google Scholar] [CrossRef]
- Reetz, J.E.; Schulz, W.; Seitz, W.; Spiteller, M.; Zühlke, S.; Armbruster, W.; Wallner, K. Uptake of neonicotinoid insecticides by water-foraging honey bees (Hymenoptera: Apidae) through guttation fluid of winter oilseed rape. J. Econ. Entomol. 2016, 109, 31–40. [Google Scholar] [CrossRef]
- Hoffmann, E.J.; Castle, S.J. Imidacloprid in melon guttation fluid: A potential mode of exposure for pest and beneficial organisms. J. Econ. Entomol. 2012, 105, 67–71. [Google Scholar] [CrossRef]
- Larson, J.L.; Redmond, C.T.; Potter, D.A. Mowing mitigates bioactivity of neonicotinoid insecticides in nectar of flowering lawn weeds and turfgrass guttation. Environ. Toxicol. Chem. 2015, 34, 127–132. [Google Scholar] [CrossRef]
- Mörtl, M.; Darvas, B.; Vehovszky, Á.; Győri, J.; Székács, A. Contamination of the guttation liquid of two common weeds with neonicotinoids from coated maize seeds planted in close proximity. Sci. Total Environ. 2019, 649, 1137–1143. [Google Scholar] [CrossRef]
- Mörtl, M.; Vehovszky, Á.; Klátyik, S.; Takács, E.; Győri, J.; Székács, A. Neonicotinoids: Spreading, translocation and aquatic toxicity. Int. J. Environ. Res. Publ. Health 2020, 17, 2006. [Google Scholar] [CrossRef] [PubMed]
- Singh, S. Guttation: Mechanism, momentum and modulation. Bot. Rev. 2016, 82, 149–182. [Google Scholar] [CrossRef]
- Goulson, D. An overview of the environmental risks posed by neonicotinoid insecticides. J. Appl. Ecol. 2013, 50, 977–987. [Google Scholar] [CrossRef]
- Alford, A.; Krupke, C.H. Translocation of the neonicotinoid seed treatment clothianidin in maize. PLoS ONE 2017, 12, e0173836. [Google Scholar] [CrossRef]




| Variety | Category | Average Mass (g/kernel) | Daily Guttation Intensity (µL/plant/day) 1 | Daily Excreted TCL (ng/plant/day) 2 |
|---|---|---|---|---|
| DK 440 | commercial | 0.19 | 36.2 | 103.5 |
| DKC 4964 – Die Sandra | 0.30 | 30.4 | 97.3 | |
| GKT 372 | 0.26 | 44.8 | 15.3 | |
| Blue | landrace | 0.29 | 37.5 | 42.7 |
| White Kiskun | 0.17 | 27.4 | 26.4 | |
| Mindszenti | 0.39 | 27.5 | 22.5 | |
| Dakota black | heirloom | 0.11 | 18.1 | 77.2 |
| Strawberry red | 0.07 | 16.2 | 27.0 | |
| Glass gem | 0.16 | 40.4 | 40.3 |
© 2020 by the authors. Licensee MDPI, Basel, Switzerland. This article is an open access article distributed under the terms and conditions of the Creative Commons Attribution (CC BY) license (http://creativecommons.org/licenses/by/4.0/).
Share and Cite
Mörtl, M.; Takács, E.; Klátyik, S.; Székács, A. Appearance of Thiacloprid in the Guttation Liquid of Coated Maize Seeds. Int. J. Environ. Res. Public Health 2020, 17, 3290. https://doi.org/10.3390/ijerph17093290
Mörtl M, Takács E, Klátyik S, Székács A. Appearance of Thiacloprid in the Guttation Liquid of Coated Maize Seeds. International Journal of Environmental Research and Public Health. 2020; 17(9):3290. https://doi.org/10.3390/ijerph17093290
Chicago/Turabian StyleMörtl, Mária, Eszter Takács, Szandra Klátyik, and András Székács. 2020. "Appearance of Thiacloprid in the Guttation Liquid of Coated Maize Seeds" International Journal of Environmental Research and Public Health 17, no. 9: 3290. https://doi.org/10.3390/ijerph17093290
APA StyleMörtl, M., Takács, E., Klátyik, S., & Székács, A. (2020). Appearance of Thiacloprid in the Guttation Liquid of Coated Maize Seeds. International Journal of Environmental Research and Public Health, 17(9), 3290. https://doi.org/10.3390/ijerph17093290

