Relationship between Knee Muscle Strength and Fat/Muscle Mass in Elderly Women with Knee Osteoarthritis Based on Dual-Energy X-Ray Absorptiometry
Abstract
1. Introduction
2. Materials and Methods
2.1. Participants
2.2. Experimental Process and Data Acquisition
2.3. Statistics
3. Results
3.1. Basic Information and Clinical Diagnosis of Paricipants
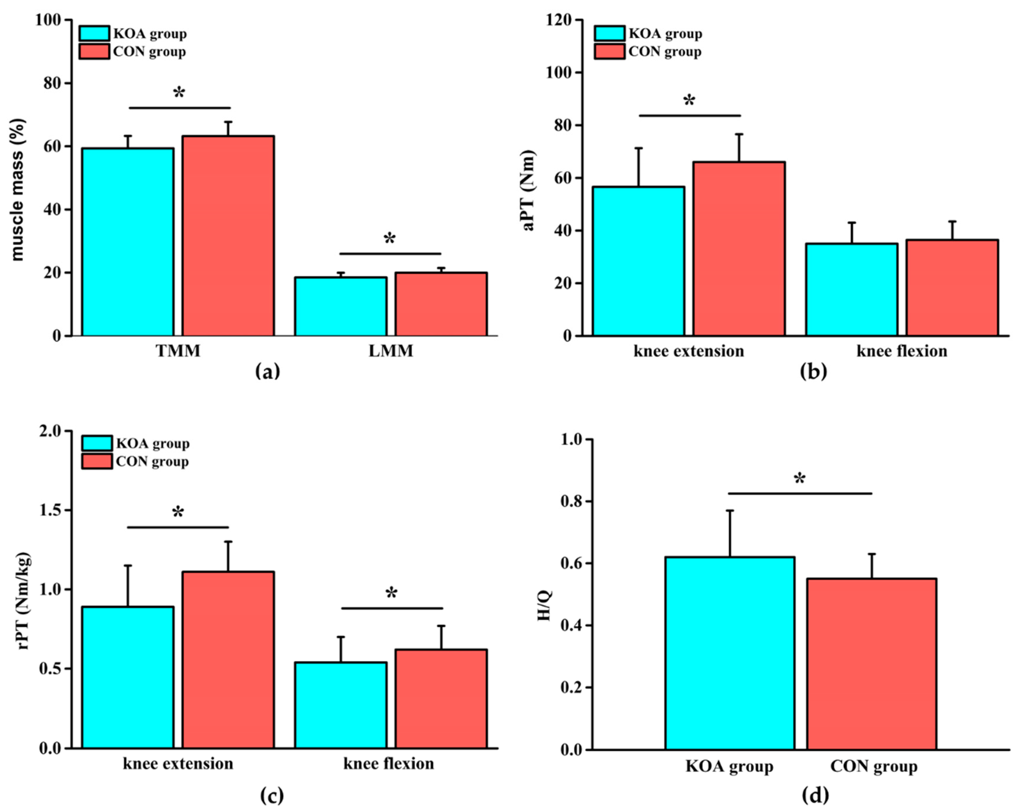
3.2. Body Composition Based on DXA and Knee Joint Muscle Strength
3.3. Correlation between Knee Joint Muscle Strength and Body Composition
4. Discussion
5. Conclusions
Author Contributions
Funding
Conflicts of Interest
References
- Lee, S.; Kim, T.N.; Kim, S.H. Sarcopenic obesity is more closely associated with knee osteoarthritis than is nonsarcopenic obesity: A cross-sectional study. Arthritis Rheum. 2012, 64, 3947–3954. [Google Scholar] [CrossRef] [PubMed]
- Hurley, M.V.; Scott, D.L.; Rees, J.; Newham, D.J. Sensorimotor changes and functional performance in patients with knee osteoarthritis. Ann. Rheum. Dis. 1997, 56, 641–648. [Google Scholar] [CrossRef] [PubMed]
- Sled, E.A.; Khoja, L.; Deluzio, K.J.; Olney, S.J.; Culham, E.G. Effect of a home program of hip abductor exercises on knee joint loading, strength, function, and pain in people with knee osteoarthritis: A clinical trial. Phys. Ther. 2010, 90, 895–904. [Google Scholar] [CrossRef] [PubMed]
- Alnahdi, A.H.; Zeni, J.A.; Snyder-Mackler, L. Muscle impairments in patients with knee osteoarthritis. Sports Health 2012, 4, 284–292. [Google Scholar] [CrossRef] [PubMed]
- Ikeda, S.; Tsumura, H.; Torisu, T. Age-related quadriceps-dominant muscle atrophy and incident radiographic knee osteoarthritis. J. Orthop. Sci. J. Jpn. Orthop. Assoc. 2005, 10, 121–126. [Google Scholar] [CrossRef]
- Petterson, S.C.; Barrance, P.; Buchanan, T.; Binder-Macleod, S.; Snyder-Mackler, L. Mechanisms underlying quadriceps weakness in knee osteoarthritis. Med. Sci. Sports Exerc. 2008, 40, 422–427. [Google Scholar] [CrossRef]
- Bliddal, H.; Christensen, R. The management of osteoarthritis in the obese patient: Practical considerations and guidelines for therapy. Obes. Rev. J. Int. Assoc. Study Obes. 2006, 7, 323–331. [Google Scholar] [CrossRef]
- Silverwood, V.; Blagojevic-Bucknall, M.; Jinks, C.; Jordan, J.L.; Protheroe, J.; Jordan, K.P. Current evidence on risk factors for knee osteoarthritis in older adults: A systematic review and meta-analysis. Osteoarthr. Cartil. 2015, 23, 507–515. [Google Scholar] [CrossRef]
- Deshpande, B.R.; Katz, J.N.; Solomon, D.H.; Yelin, E.H.; Hunter, D.J. Number of persons with symptomatic knee osteoarthritis in the US: Impact of Race and Ethnicity, Age, Sex, and Obesity. Arthritis Care Res. 2016, 68, 1743–1750. [Google Scholar] [CrossRef]
- Visser, A.W.; de Mutsert, R.; Loef, M.; le Cessie, S.; den Heijer, M.; Bloem, J.L.; Reijnierse, M.; Rosendaal, F.R.; Kloppenburg, M. The role of fat mass and skeletal muscle mass in knee osteoarthritis is different for men and women: The neo study. Osteoarthr. Cartil. 2014, 22, 197–202. [Google Scholar] [CrossRef]
- Krishnasamy, P.; Hall, M.; Robbins, S.R. The role of skeletal muscle in the pathophysiology and management of knee osteoarthritis. Rheumatol. Oxf. Engl. 2018, 57, 22–33. [Google Scholar] [CrossRef] [PubMed]
- Segal, N.A.; Glass, N.A.; Torner, J.; Yang, M.; Felson, D.T.; Sharma, L.; Nevitt, M.; Lewis, C.E. Quadriceps weakness predicts risk for knee joint space narrowing in women in the MOST cohort. Osteoarthr. Cartil. 2010, 18, 769–775. [Google Scholar] [CrossRef] [PubMed]
- Vincent, H.K.; Heywood, K.; Connelly, J.; Hurley, R.W. Obesity and weight loss in the treatment and prevention of osteoarthritis. PM R J. Inj. Funct. Rehabil. 2012, 4, 59–67. [Google Scholar] [CrossRef] [PubMed]
- Bennell, K.L.; Wrigley, T.V.; Hunt, M.A.; Lim, B.W.; Hinman, R.S. Update on the role of muscle in the genesis and management of knee osteoarthritis. Rheum. Dis. Clin. N. Am. 2013, 39, 145–176. [Google Scholar] [CrossRef] [PubMed]
- Lange, A.K.; Vanwanseele, B.; Fiatarone Singh, M.A. Strength training for treatment of osteoarthritis of the knee: A systematic review. Arthritis Rheum. 2008, 59, 1488–1494. [Google Scholar] [CrossRef] [PubMed]
- Georgiev, T.; Angelov, A.K. Modifiable risk factors in knee osteoarthritis: Treatment implications. Rheumatol. Int. 2019, 39, 1145–1157. [Google Scholar] [CrossRef] [PubMed]
- Luan, X.; Tian, X.; Zhang, H.; Huang, R.; Li, N.; Chen, P.; Wang, R. Exercise as a prescription for patients with various diseases. J. Sport Health Sci. 2019, 8, 422–441. [Google Scholar] [CrossRef]
- Nevill, A.M.; Holder, R.L.; Stewart, A.D. Modeling elite male athletes’ peripheral bone mass, assessed using regional dual x-ray absorptiometry. Bone 2003, 32, 62–68. [Google Scholar] [CrossRef]
- Sim, L.H.; van Doorn, T. Radiographic measurement of bone mineral: Reviewing dual energy x-ray absorptiometry. Australas. Phys. Eng. Sci. Med. 1995, 18, 65–80. [Google Scholar]
- Hind, K.; Slater, G.; Oldroyd, B.; Lees, M.; Thurlow, S.; Barlow, M.; Shepherd, J. Interpretation of dual-energy x-ray absorptiometry-derived body composition change in athletes: A review and recommendations for best practice. J. Clin. Densitom. Off. J. Int. Soc. Clin. Densitom. 2018, 21, 429–443. [Google Scholar] [CrossRef]
- Altman, R.; Asch, E.; Bloch, D.; Bole, G.; Borenstein, D.; Brandt, K.; Christy, W.; Cooke, T.D.; Greenwald, R.; Hochberg, M.; et al. Development of criteria for the classification and reporting of osteoarthritis. classification of osteoarthritis of the knee. Diagnostic and Therapeutic Criteria Committee of the American Rheumatism Association. Arthritis Rheum. 1986, 29, 1039–1049. [Google Scholar] [CrossRef] [PubMed]
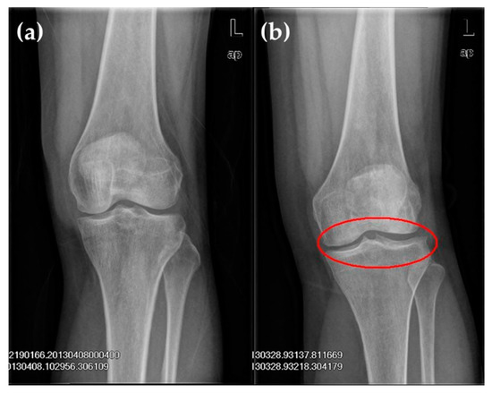
- Kellgren, J.H.; Lawrence, J.S. Radiological assessment of osteo-arthrosis. Ann. Rheum. Dis. 1957, 16, 494–502. [Google Scholar] [CrossRef] [PubMed]
- Laurin, C.A.; Dussault, R.; Levesque, H.P. The tangential x-ray investigation of the patellofemoral joint: X-ray technique, diagnostic criteria and their interpretation. Clin. Orthop. Relat. Res. 1979, 144, 16–26. [Google Scholar] [CrossRef]
- Merchant, A.C.; Mercer, R.L.; Jacobsen, R.H.; Cool, C.R. Roentgenographic analysis of patellofemoral congruence. J. Bone Jt. Surg. Am. Vol. 1974, 56, 1391–1396. [Google Scholar] [CrossRef]
- Karlsson, M.K.; Magnusson, H.; Coster, M.; Karlsson, C.; Rosengren, B.E. Patients with knee osteoarthritis have a phenotype with higher bone mass, higher fat mass, and lower lean body mass. Clin. Orthop. Relat. Res. 2015, 473, 258–264. [Google Scholar] [CrossRef]
- Abbate, L.M.; Stevens, J.; Schwartz, T.A.; Renner, J.B.; Helmick, C.G.; Jordan, J.M. Anthropometric measures, body composition, body fat distribution, and knee osteoarthritis in women. Obes. Silver Spring Md. 2006, 14, 1274–1281. [Google Scholar] [CrossRef]
- Lementowski, P.W.; Zelicof, S.B. Obesity and osteoarthritis. Am. J. Orthop. 2008, 37, 148–151. [Google Scholar]
- Muehleman, C.; Margulis, A.; Bae, W.C.; Masuda, K. Relationship between knee and ankle degeneration in a population of organ donors. BMC Med. 2010, 8, 48. [Google Scholar] [CrossRef]
- Spinoso, D.H.; Bellei, N.C.; Marques, N.R.; Navega, M.T. Quadriceps muscle weakness influences the gait pattern in women with knee osteoarthritis. Adv. Rheumatol. 2018, 58, 26. [Google Scholar] [CrossRef]
- Hassan, B.S.; Doherty, S.A.; Mockett, S.; Doherty, M. Effect of pain reduction on postural sway, proprioception, and quadriceps strength in subjects with knee osteoarthritis. Ann. Rheum. Dis. 2002, 61, 422–428. [Google Scholar] [CrossRef]
- Messier, S.P.; Loeser, R.F.; Hoover, J.L.; Semble, E.L.; Wise, C.M. Osteoarthritis of the knee: Effects on gait, strength, and flexibility. Arch. Phys. Med. Rehabil. 1992, 73, 29–36. [Google Scholar] [PubMed]
- Hall, K.D.; Hayes, K.W.; Falconer, J. Differential strength decline in patients with osteoarthritis of the knee: Revision of a hypothesis. Arthritis Care Res. Off. J. Arthritis Health Prof. Assoc. 1993, 6, 89–96. [Google Scholar] [CrossRef] [PubMed]
- Chang, A.H.; Lee, S.J.; Zhao, H.; Ren, Y.; Zhang, L.Q. Impaired varus-valgus proprioception and neuromuscular stabilization in medial knee osteoarthritis. J. Biomech. 2014, 47, 360–366. [Google Scholar] [CrossRef] [PubMed]
- Wild, C.Y.; Steele, J.R.; Munro, B.J. Insufficient hamstring strength compromises landing technique in adolescent girls. Med. Sci. Sports Exerc. 2013, 45, 497–505. [Google Scholar] [CrossRef]
- Kellis, E.; Baltzopoulos, V. Isokinetic eccentric exercise. Sports Med. (Auckland, N.Z.) 1995, 19, 202–222. [Google Scholar] [CrossRef]
- Patsika, G.; Kellis, E.; Kofotolis, N.; Salonikidis, K.; Amiridis, I.G. Synergetic and antagonist muscle strength and activity in women with knee osteoarthritis. J. Geriatr. Phys. Ther. 2014, 37, 17–23. [Google Scholar] [CrossRef]
- Tan, J.; Balci, N.; Sepici, V.; Gener, F.A. Isokinetic and isometric strength in osteoarthrosis of the knee. A comparative study with healthy women. Am. J. Phys. Med. Rehabil. 1995, 74, 364–369. [Google Scholar] [CrossRef]
- Newman, A.B.; Haggerty, C.L.; Goodpaster, B.; Harris, T.; Kritchevsky, S.; Nevitt, M.; Miles, T.P.; Visser, M. Strength and muscle quality in a well-functioning cohort of older adults: The health, aging and body composition study. J. Am. Geriatr. Soc. 2003, 51, 323–330. [Google Scholar] [CrossRef]
- Henriksen, M.; Christensen, R.; Danneskiold-Samsoe, B.; Bliddal, H. Changes in lower extremity muscle mass and muscle strength after weight loss in obese patients with knee osteoarthritis: A prospective cohort study. Arthritis Rheum. 2012, 64, 438–442. [Google Scholar] [CrossRef]
- Hootman, J.M.; Helmick, C.G. Projections of US prevalence of arthritis and associated activity limitations. Arthritis Rheum. 2006, 54, 226–229. [Google Scholar] [CrossRef]
- Segal, N.A.; Findlay, C.; Wang, K.; Torner, J.C.; Nevitt, M.C. The longitudinal relationship between thigh muscle mass and the development of knee osteoarthritis. Osteoarthr. Cartil. 2012, 20, 1534–1540. [Google Scholar] [CrossRef] [PubMed]
- Slemenda, C.W.; Brandt, K.D.; Heilman, D.K.; Mazzuca, S.A.; Wolinsky, F.D. Quadriceps weakness and osteoarthritis of the knee. Ann. Intern. Med. 1997, 127, 97–104. [Google Scholar] [CrossRef] [PubMed]
- Annesi, J. Relations of change in fruit and vegetable intake with overall energy reduction and physical activity with weight change: Assessing theory-based psychosocial mediators. J. Sport Health Sci. 2018, 8, 394–399. [Google Scholar] [CrossRef] [PubMed]
- Charette, S.L.; McEvoy, L.; Pyka, G.; Snow-Harter, C.; Guido, D.; Wiswell, R.A.; Marcus, R. Muscle hypertrophy response to resistance training in older women. J. Appl. Physiol. Bethesda Md. 1985 1991, 70, 1912–1916. [Google Scholar] [CrossRef] [PubMed]
- Bannuru, R.R.; Osani, M.C.; Vaysbrot, E.E.; Arden, N.K.; Bennell, K.; Bierma-Zeinstra, S.M.A.; Kraus, V.B.; Lohmander, L.S.; Abbott, J.H.; Bhandari, M.; et al. Oarsi guidelines for the non-surgical management of knee, hip, and polyarticular osteoarthritis. Osteoarthr. Cartil. 2019, 27, 1578–1589. [Google Scholar] [CrossRef] [PubMed]
- Wang, X.Q.; Huang, L.Y.; Liu, Y.; Li, J.X.; Wu, X.; Li, H.P.; Wang, L. Effects of tai chi program on neuromuscular function for patients with knee osteoarthritis: Study protocol for a randomized controlled trial. Trials 2013, 14, 375. [Google Scholar] [CrossRef]
- Zhu, Q.; Huang, L.; Wu, X.; Wang, L.; Zhang, Y.; Fang, M.; Liu, Y.; Li, J.X. Effects of Tai Ji Quan training on gait kinematics in older Chinese women with knee osteoarthritis: A randomized controlled trial. J. Sport Health Sci. 2016, 5, 297–303. [Google Scholar] [CrossRef]


| Grade | X-ray Imaging Features |
|---|---|
| 0 | Normal |
| I | The joint gap is suspected to be narrowed; there may be osteophyma |
| II | Obvious osteophyma; the joint gap is suspected to be narrowed |
| III | Moderate osteophyma; the joint gap is obviously narrowed with sclerotic change |
| IV | Massive osteophyma; the joint gap is obviously narrowed with severe sclerotic lesions and obvious deformities |
| Basic Information/Clinical Diagnosis | KOA Group (n = 25) | CON Group (n = 22) |
|---|---|---|
| Age (years) | 64.42 ± 2.95 | 62.25 ± 2.38 |
| Height (cm) | 155.92 ± 5.90 | 157.07 ± 4.11 |
| Weight (kg) | 62.80 ± 9.30 * | 55.79 ± 5.2 |
| K–L grading | ||
| Grade 0 | 0 | - |
| Grade I | 6 | - |
| Grade II | 14 | - |
| Grade III | 5 | - |
| Grade IV | 0 | - |
| WOMAC scoring | ||
| Pain (0–50 points) | 10.8 | - |
| Stiffness (0–20 points) | 3.96 | - |
| Body function (0–170 points) | 35.32 | - |
| Total score (0–240 points) | 50.08 | - |
| Body Composition/Peak Torque | KOA Group (n = 25) | CON Group (n = 22) |
|---|---|---|
| Muscle mass | ||
| TMM (%) | 59.36 ± 3.94 * | 63.24 ± 4.50 |
| LMM (%) | 18.47 ± 1.49 * | 19.96 ± 1.51 |
| Fat mass | ||
| TFM (%) | 35.65 ± 4.18 | 33.00 ± 6.93 |
| LFM (%) | 9.29 ± 1.87 | 9.43 ± 2.03 |
| Extension | ||
| aPT (Nm) | 56.61 ± 14.69 * | 66.02 ± 10.57 |
| rPT (Nm/kg) | 0.89 ± 0.26 * | 1.11 ± 0.19 |
| Flexion | ||
| aPT (Nm) | 35.01 ± 7.96 | 36.43 ± 7.00 |
| rPT (Nm/kg) | 0.54 ± 0.16 * | 0.62 ± 0.15 |
| H/Q | 0.62 ± 0.15 * | 0.55 ± 0.08 |
| Group | rPT (Nm/kg) | Correlation Coefficient r | |||
|---|---|---|---|---|---|
| TFM (%) | TMM (%) | LFM (%) | LMM (%) | ||
| KOA group | Extension | −0.385 * | 0.338 | 0.079 | 0.414 * |
| Flexion | −0.503 * | 0.462 * | 0.100 | 0.532 * | |
| CON group | Extension | −0.701 * | 0.510 * | −0.490 * | 0.478 * |
| Flexion | −0.573 * | 0.690 * | −0.539 * | 0.624 * | |
© 2020 by the authors. Licensee MDPI, Basel, Switzerland. This article is an open access article distributed under the terms and conditions of the Creative Commons Attribution (CC BY) license (http://creativecommons.org/licenses/by/4.0/).
Share and Cite
Zhang, X.; Pan, X.; Deng, L.; Fu, W. Relationship between Knee Muscle Strength and Fat/Muscle Mass in Elderly Women with Knee Osteoarthritis Based on Dual-Energy X-Ray Absorptiometry. Int. J. Environ. Res. Public Health 2020, 17, 573. https://doi.org/10.3390/ijerph17020573
Zhang X, Pan X, Deng L, Fu W. Relationship between Knee Muscle Strength and Fat/Muscle Mass in Elderly Women with Knee Osteoarthritis Based on Dual-Energy X-Ray Absorptiometry. International Journal of Environmental Research and Public Health. 2020; 17(2):573. https://doi.org/10.3390/ijerph17020573
Chicago/Turabian StyleZhang, Xini, Xiaoyu Pan, Liqin Deng, and Weijie Fu. 2020. "Relationship between Knee Muscle Strength and Fat/Muscle Mass in Elderly Women with Knee Osteoarthritis Based on Dual-Energy X-Ray Absorptiometry" International Journal of Environmental Research and Public Health 17, no. 2: 573. https://doi.org/10.3390/ijerph17020573
APA StyleZhang, X., Pan, X., Deng, L., & Fu, W. (2020). Relationship between Knee Muscle Strength and Fat/Muscle Mass in Elderly Women with Knee Osteoarthritis Based on Dual-Energy X-Ray Absorptiometry. International Journal of Environmental Research and Public Health, 17(2), 573. https://doi.org/10.3390/ijerph17020573
