Pneumoparotid and Pneumoparotitis: A Literary Review
Abstract
1. Introduction
2. Materials and Methods
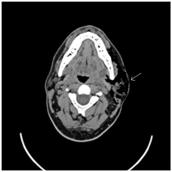
3. Results
4. Discussion
- The diameter of the duct orifice is smaller than that of the duct itself;
- The duct opening is covered by redundant mucosal layer, covering the duct orifice when there is increased intraoral pressure;
- The Stensen’s duct is compressed in its lateral course along the masseter muscle and its passage through the buccinator muscle with an increase in oral pressure.
5. Conclusions
Author Contributions
Funding
Conflicts of Interest
References
- Zuchi, D.F.; Da Silveira, P.C.; Cardoso Cde, O.; Almeida, W.M.; Feldman, C.J. Pneumoparotitis. Braz. J. Otorhinolaryngol. 2011, 77, 806. [Google Scholar] [CrossRef] [PubMed]
- McGreevy, A.E.; O’Kane, A.M.; McCaul, D.; Basha, S.I. Pneumoparotitis: A case report. Head Neck 2012, 35, E55–E59. [Google Scholar] [CrossRef] [PubMed]
- Balasubramanian, S.; Srinivas, S.; Aparna, K.R. Pneumoparotitis with subcutaneous emphysema. Indian Pediatr. 2008, 45, 58–60. [Google Scholar] [PubMed]
- McCormick, M.E.; Bawa, G.; Shah, R.K. Idiopathic recurrent pneumoparotitis. Am. J. Otolaryngol. 2013, 34, 180–182. [Google Scholar] [CrossRef]
- Garber, M.W. Pneumoparotitis: An unusual manifestation of hay fever. Am. J. Emerg. Med. 1987, 5, 40–41. [Google Scholar] [CrossRef]
- Markowitz-Spence, L.; Brodsky, L.; Seidell, G.; Stanievich, J.F. Self-induced pneumoparotitis in an adolescent. Report of a case and review of the literature. Int. J. Pediatr. Otorhinolaryngol. 1987, 14, 113–121. [Google Scholar] [CrossRef]
- David, M.L.; Kanga, J.F. Pneumoparotid. In cystic fibrosis. Clin. Pediatr. (Phila) 1988, 27, 506–508. [Google Scholar]
- Brodie, H.A.; Chole, R.A. Recurrent Pneumosialadenitis: A Case Presentation and New Surgical Intervention. Otolaryngol. Head Neck Surg. 1988, 98, 350–353. [Google Scholar] [CrossRef]
- Telfer, M.R.; Irvine, G.H. Pneumoparotitis. Br. J. Surg. 1989, 76, 978. [Google Scholar]
- Mandel, L.; Kaynar, A.; Wazen, J. Pneumoparotid: A case report. Oral Surg. Oral Med. Oral Pathol. 1991, 72, 22–24. [Google Scholar] [CrossRef]
- Piette, E.; Walker, R.T. Pneumoparotid during dental treatment. Oral Surg. Oral Med. Oral Pathol. 1991, 72, 415–417. [Google Scholar] [CrossRef]
- Takenoshita, Y.; Kawano, Y.; Oka, M. Pneumoparotis, an unusual occurrence of parotid gland swelling during dental treatment. Report of a case with a review of the literature. J. Cranio-Maxillofacial Surg. 1991, 19, 362–365. [Google Scholar] [CrossRef]
- Krief, O.; Gomori, J.M.; Gay, I. CT of pneumoparotitis. Comput. Med Imaging Graph. 1992, 16, 39–41. [Google Scholar] [CrossRef]
- Curtin, J.J.; Ridley, N.T.; Cumberworth, V.L.; Glover, G.W. Pneumoparotitis. J. Laryngol. Otol. 1992, 106, 178–179. [Google Scholar] [CrossRef]
- Ferlito, A.; Andretta, M.; Baldan, M.; Candiani, F. Non-occupational recurrent bilateral pneumoparotitis in an adolescent. J. Laryngol. Otol. 1992, 106, 558–560. [Google Scholar] [CrossRef]
- Brown, F.H.; Ogletree, R.C.; Houston, G.D. Pneumoparotitis Associated With the Use of an Air-Powder Prophylaxis Unit. J. Periodontol. 1992, 63, 642–644. [Google Scholar] [CrossRef]
- Birzgalis, A.R.; Curley, J.W.; Camphor, I. Pneumoparotitis, subcutaneous emphysema and pleomorphic adenoma. J. Laryngol. Otol. 1993, 107, 349–351. [Google Scholar] [CrossRef]
- McDuffie, M.W.; Brown, F.H.; Raines, W.H. Pneumoparotitis with orthodontic treatment. Am. J. Orthod. Dentofac. Orthop. 1993, 103, 377–379. [Google Scholar] [CrossRef]
- Cook, J.N.; Layton, S.A. Bilateral parotid swelling associated with chronic obstructive pulmonary disease. A case of pneumoparotid. Oral Surgery Oral Med. Oral Pathol. 1993, 76, 157–158. [Google Scholar] [CrossRef]
- Nassimbeni, G.; Ventura, A.; Boehm, P.; Guastalla, P.; Zocconi, E. Self-Induced Pneumoparotitis. Clin. Pediatr. 1995, 34, 160–162. [Google Scholar] [CrossRef]
- Goguen, L.A.; April, M.M.; Karmody, C.S.; Carter, B.L. Self-induced Pneumoparotitis. Arch. Otolaryngol. Head Neck Surg. 1995, 121, 1426–1429. [Google Scholar] [CrossRef] [PubMed]
- Ros, S.P.; Tamayo, R.C. A case of swollen parotid gland. Pediatr. Emerg. Care 1996, 12, 205–206. [Google Scholar] [CrossRef] [PubMed]
- Gudlaugsson, Ó.; Geirsson, Á.J.; Benediktsdóttir, K. Pneumoparotitis: A new diagnostic technique and a case report. Ann. Otol. Rhinol. Laryngol. 1998, 107, 356–358. [Google Scholar] [CrossRef]
- Alcalde, R.E.; Ueyama, Y.; Lim, D.J.; Matsumura, T. Pneumoparotid: Report of a case. J. Oral Maxillofac. Surg. 1998, 56, 676–680. [Google Scholar] [CrossRef]
- Golz, A.; Joachims, H.Z.; Netzer, A.; Westerman, S.T.; Gilbert, L.M. Pneumoparotitis: Diagnosis by computed tomography. Am. J. Otolaryngol. 1999, 20, 68–71. [Google Scholar] [CrossRef]
- Sittel, C.; Jungehülsing, M.; Fischbach, R. High-resolution magnetic resonance imaging of recurrent pneumoparotitis. Ann. Otol. Rhinol. Laryngol. 1999, 108, 816–818. [Google Scholar] [CrossRef]
- Kirsch, C.M.; Shinn, J.; Porzio, R.; Trefelner, E.; Kagawa, F.T.; Wehner, J.H.; Jensen, W.A. Pneumoparotid due to spirometry. Chest 1999, 116, 1475–1478. [Google Scholar] [CrossRef]
- Martín-Granizo, R.; Herrera, M.; García-González, D.; Mas, A. Pneumoparotid in childhood: Report of two cases. J. Oral Maxillofac. Surg. 1999, 57, 1468–1471. [Google Scholar] [CrossRef]
- Han, S.; Isaacson, G. Recurrent Pneumoparotid: Cause and Treatment. Otolaryngol. Neck Surg. 2004, 131, 758–761. [Google Scholar] [CrossRef]
- Apaydin, M.; Sarsilmaz, A.; Calli, C.; Erdogan, N.; Varer, M.; Uluç, E. Giant pneumoparotitis. Eur. J. Radiol. Extra 2004, 52, 17–20. [Google Scholar] [CrossRef]
- Grainger, J.; Saravanappa, N.; Courteney-Harris, R.G. Bilateral pneumoparotid. Otolaryngol. Head Neck Surg. 2006, 134, 531–532. [Google Scholar] [CrossRef]
- Prabhu, S.P.; Tran, B. Pneumoparotitis. Pediatr. Radiol. 2008, 38, 1144. [Google Scholar] [CrossRef]
- Luaces, R.; Ferreras, J.; Patiño, B.; García-Rozado, Á.; Vazquez, I.; López-Cedrún, J.L. Pneumoparotid: A Case Report and Review of the Literature. J. Oral Maxillofac. Surg. 2008, 66, 362–365. [Google Scholar] [CrossRef]
- Faure, F.; Gaudon, I.P.; Tavernier, L.; Khalfallah, S.A.; Folia, M. A rare presentation of recurrent parotid swelling: Self-induced parotitis. Int. J. Pediatr. Otorhinolaryngol. Extra 2009, 4, 29–31. [Google Scholar] [CrossRef]
- Kyung, S.K.; Heurtebise, F.; Godon, A.; Rivière, M.-F.; Coatrieux, A. Head-neck and mediastinal emphysema caused by playing a wind instrument. Eur. Ann. Otorhinolaryngol. Head Neck Dis. 2010, 127, 221–223. [Google Scholar] [CrossRef]
- Mukundan, D.; Jenkins, O. A Tuba Player with Air in the Parotid Gland. N. Engl. J. Med. 2009, 360, 710. [Google Scholar] [CrossRef]
- van Ardenne, N.; Kurotova, A.; Boudewyns, A. Pneumoparotid: A rare cause of parotid swelling in a 7-year-old child. B-ENT 2011, 7, 297–300. [Google Scholar]
- Ghanem, M.; Brown, J.; McGurk, M. Pneumoparotitis: A diagnostic challenge. Int. J. Oral Maxillofac. Surg. 2012, 41, 774–776. [Google Scholar] [CrossRef]
- Potet, J.; Arnaud, F.-X.; Valbousquet, L.; Ukkola-Pons, E.; Donat-Weber, G.; Thome, A.; Péroux, E.; Teriitehau, C.; Baccialone, J. Pneumoparotid, a rare diagnosis to consider when faced with unexplained parotid swelling. Diagn. Interv. Imaging 2013, 94, 95–97. [Google Scholar] [CrossRef][Green Version]
- Konstantinidis, I.; Chatziavramidis, A.; Constantinidis, J. Conservative management of bilateral pneumoparotitis with sialendoscopy and steroid irrigation. BMJ Case Rep. 2014, 2014. [Google Scholar] [CrossRef]
- Abdullayev, R.; Saral, F.C.; Kucukebe, O.B.; Sayiner, H.S.; Bayraktar, C.; Akgun, S. Bilateral parotitis in a patient under continuous positive airway pressure treatment. Braz. J. Anesth. Engl. Ed. 2016, 66, 661–663. [Google Scholar] [CrossRef][Green Version]
- Cabello, M.; Macias, E.; Fernández-Flórez, A.; Martínez-Martínez, M.; Cobo, J.; de Carlos, F. Pneumoparotid associated with a mandibular advancement device for obstructive sleep apnea. Sleep Med. 2015, 16, 1011–1013. [Google Scholar] [CrossRef]
- Alnæs, M.; Furevik, L.L. Pneumoparotitis. Tidsskr. Nor. Laegeforen. 2017, 137, 544. [Google Scholar] [CrossRef][Green Version]
- Goates, A.J.; Lee, D.J.; Maley, J.; Lee, P.C.; Hoffman, H.T. Pneumoparotitis as a complication of long-term oronasal positive airway pressure for sleep apnea. Head Neck 2017, 40, E5–E8. [Google Scholar] [CrossRef]
- Lagunas, J.G.; Fuertes, A.F. Self-induced parapharyngeal and parotid emphysema: A case of pneumoparotitis. Oral Maxillofac. Surg. Cases 2017, 3, 81–85. [Google Scholar] [CrossRef]
- Yamazaki, H.; Kojima, R.; Nakanishi, Y.; Kaneko, A. A Case of Early Pneumoparotid Presenting With Oral Noises. J. Oral Maxillofac. Surg. 2018, 76, 67–69. [Google Scholar] [CrossRef]
- Lee, K.P.; James, V.; Ong, Y.-K.G. Emergency Department Diagnosis of Idiopathic Pneumoparotitis with Cervicofacial Subcutaneous Emphysema in a Pediatric Patient. Clin. Pract. Cases Emerg. Med. 2017, 1, 399–402. [Google Scholar] [CrossRef][Green Version]
- House, L.K.; Lewis, A.F. Pneumoparotitis. Clin. Exp. Emerg. Med. 2018, 5, 282–285. [Google Scholar] [CrossRef]
- Ambrosino, R.; Lan, R.; Romanet, I.; Le Roux, M.-K.; Gallucci, A.; Graillon, N.; Audrey, G.; Nicolas, G. Severe idiopathic pneumoparotitis: Case report and study review. Int. J. Pediatr. Otorhinolaryngol. 2019, 125, 196–198. [Google Scholar] [CrossRef]
- Flores-Orozco, E.I.; Tiznado-Orozco, G.E.; Díaz-Peña, R.; Orozco, E.I.F.; Galletti, C.; Gazia, F.; Galletti, F. Effect of a Mandibular Advancement Device on the Upper Airway in a Patient With Obstructive Sleep Apnea. J. Craniofacial Surg. 2020, 31, e32–e35. [Google Scholar] [CrossRef]
- Cammaroto, G.; Galletti, C.; Galletti, F.; Galletti, B.; Galletti, C.; Gay-Escoda, C. Mandibular advancement devices vs nasal-continuous positive airway pressure in the treatment of obstructive sleep apnoea. Systematic review and meta-analysis. Med. Oral Patol. Oral Y Cir. Bucal 2017, 22, e417–e424. [Google Scholar] [CrossRef]
- Giudice, A.L.; Galletti, C.; Gay-Escoda, C.; Leonardi, R. CBCT assessment of radicular volume loss after rapid maxillary expansion: A systematic review. J. Clin. Exp. Dent. 2018, 10, e484–e494. [Google Scholar] [CrossRef]
- Lasboo, A.A.; Nemeth, A.; Russell, E.J.; Siegel, G.J.; Karagianis, A. The use of the “puffed-cheek” computed tomography technique to confirm the diagnosis of pneumoparotitis. Laryngoscope 2010, 120, 967–969. [Google Scholar] [CrossRef]
- Meerleer, K.D.; Hermans, R. Images in clinical radiology: Pneumoparotitis. Jbr-Btr 2005, 88, 248. [Google Scholar]
- Galletti, B.; Freni, F.; Gazia, F.; Nicastro, V.; Abita, P.; Sireci, F.; Galletti, F. A rare case of a huge pleomorphic adenoma of minor salivary glands in the parapharyngeal space. Euromediterranean Biomed. J. 2019, 14, 7–10. [Google Scholar]
- Freni, F.; Gazia, F.; Stagno d’Alcontres, F.; Galletti, B.; Galletti, F. Use of botulinum toxin in Frey’s syndrome. Clin. Case Rep. 2019, 31, 482–485. [Google Scholar] [CrossRef]
- Moltrecht, M.; Michel, O. The woman behind Frey’s syndrome: The tragic life of Lucja Frey. Laryngoscope 2004, 114, 2205–2209. [Google Scholar] [CrossRef]


| Manuscript | Sex | Age | Clinical Presentation | Etiology | Treatment | Resolution after Diagnosis | Relapse | Complication |
|---|---|---|---|---|---|---|---|---|
| Garber et al., 1987 [5] | M | 32 | Bilateral | Hay fever (Coughing attack) | Medical | 5 days | No | |
| Markowitz et al., 1987 [6] | F | 12 | Bilateral | Self-induced | Medical and psychotherapy | 1 day | Yes | |
| David et al., 1988 [7] | F | 6 | Left | Self-induced | Medical, needle aspiration and psychotherapy | No | Parotitis | |
| Brodie et al., 1988 [8] | M | 14 | Bilateral | Self-induced | Surgery (transposition of the duct) | No | Subcutaneous emphysema | |
| Telfer et al., 1989 [9] | M | 29 | Right | Idiopathic | Surgery (treatment of drooling second Brody) | No | / | |
| Mandel et al., 1991 [10] | M | 53 | Right | Self-Induced | Behavioral | 1 day | Yes | / |
| Piette et al., 1991 [11] | F | 34 | Right | Iatrogenic (dental care) | Medical | 5 days | No | / |
| Takenoshita et al., 1991 [12] | M | 24 | Left | Iatrogenic (dental care) | Medical | 2 days | No | / |
| Krief et al., 1992 [13] | M | 10 | Bilateral | Self-induced | Medical and psychotherapy | / | Yes | Parotitis |
| Curtin et al., 1992 [14] | M | 26 | Bilateral | Self-Induced | Behavioral | / | No | / |
| Ferlito et al., 1992 [15] | M | 14 | Bilateral | Self-Induced | Medical and psychotherapy | / | Yes | |
| Brown et al., 1993 [16] | M | 30 | Left | Iatrogenic (Air-powder prophylaxis units for removing plaque) | Medical | 5 days | No | / |
| Birzgalis et al., 1993 [17] | M | 16 | Right | Self-Induced | Behavioral | / | No | Subcutaneous emphysema |
| McDuffie et al., 1993 [18] | M | 24 | Bilateral | Iatrogenic Orthodontic appliances | Behavioral (correction of orthodontic appliances) | 3 days | No | / |
| Cook et al., 1993 [19] | F | 44 | Bilateral | Coughing attack | None | No | ||
| Nassimbeni et al., 1995 [20] | M | 12 | Bilateral | Self-induced | Psychotherapy | No | Subcutaneous emphysema | |
| M | 9 | Right | Self-induced | Surgery (parotidectomy) | Yes | Abscess | ||
| Goguen et al., 1995 [21] | M | 9 | Right | Self-induced | Behavioral | 1 day | No | |
| F | 9 | Bilateral | Self-Induced | Medical and psychotherapy | Yes | Parotitis | ||
| M | 13 | Bilateral | Self-Induced | Psychotherapy | Yes | |||
| Ros et al., 1996 [22] | M | 3 | Left | Self-Induced | None | 1 day | No | |
| Gudlaugsson et al., 1998 [23] | F | 16 | Bilateral | Self-induced | Medical and psychotherapy | Yes | Subcutaneous emphysema, pneumomediastinum | |
| Alcalde et al., 1998 [24] | M | 29 | Right | Idiopathic | Needle aspiration, medical and bite | No | ||
| Golz et al., 1999 [25] | M | 10 | Bilateral | Self-induced | Psychotherapy | No | ||
| Sittel et al., 1999 [26] | F | 14 | Bilateral | Self-induced | Medical and psychotherapy | Yes | ||
| Kirsch et al., 1999 [27] | M | 41 | Left | Iatrogenic Spirometry | None | 1 day | Yes | |
| Martín-Granizo et al., 1999 [28] | F | 5 | Bilateral | Idiopathic | Medical | 2 days | Yes | |
| F | 8 | Right | Coughing attack | Medical | ||||
| Han et al., 2004 [29] | M | 13 | Rigt | Self-induced | Medical and surgery (duct ligation) | 2 days | No | Subcutaneous emphysema |
| Apaydin et al., 2004 [30] | M | 50 | Left | Idiopathic | Surgery (parotidectomy) | After surgery | No | |
| Grainger et al., 2006 [31] | F | 12 | Bilateral | Idiopathic | Medical | 2 days | Yes | |
| Balasubramanian et al., 2008 [3] | M | 11 | Bilateral | Self-induced | Medical and psychotherapy | Yes | Subcutaneous emphysema | |
| Prabhu et al., 2008 [32] | M | 12 | Bilateral | Self-induced | Medical and psychotherapy | Yes | ||
| Luaces et al., 2008 [33] | M | 11 | Right | Self-induced | Medical | 28 days | Yes | Subcutaneous emphysema |
| Faure et al., 2009 [34] | M | 9 | Left | Self-induced | Medical and psychotherapy | Yes | ||
| Kyung et al., 2010 [35] | F | 7 | Bilateral | Self-induced | Medical and behavioral | 3 days | No | Subcutaneous emphysema, pneumomediastinum |
| Zuchi et al., 2011 [1] | F | 50 | left | Idiopathic | Medical | 14 days | No | Parotitis |
| Mukundan et al., 2011 [36] | M | 13 | Left | Self-induced | Medical | No | ||
| van Ardenne et al., 2011 [37] | F | 7 | Right | Self-induced | Medical and Behavioral | 30 days | No | |
| Ghanem et al., 2012 [38] | M | 46 | Unilateral | Idiopathic | Sialendoscopy | Yes | Parotitis | |
| Potet et al., 2012 [39] | F | 44 | Left | Idiopathic | Medical | No | Parotitis | |
| McGreevy et al., 2013 [2] | M | 48 | Right | Idiopathic | Surgery (parotidectomy) | After surgery | Parotitis (before surgery) | |
| McCormick et al., 2013 [4] | M | 7 | Bilateral | Idiopathic | Medical | Yes | ||
| Konstantinidis et al., 2014 [40] | M | 61 | Right | Idiopathic | Sialendoscopy with corticosteroids | Yes | Parotitis | |
| Abdullayev et al., 2014 [41] | M | 36 | Bilateral | Iatrogenic CPAP | Behavioral (stopping CPAP) | 1 day | No | |
| Cabello et al., 2015 [42] | M | 42 | Right | Iatrogenic MAD | Behavioral (regulating MAD) | No | ||
| Alnæs et al., 2017 [43] | F | 10 | Left | Self-induced | Medical and behavioral | 1 day | Yes | Subcutaneous emphysema |
| Goates et al., 2017 [44] | M | 53 | Left | Iatrogenic CPAP | Behavioral (nasal CPAP) | 1 day | No | |
| M | 54 | Right | Iatrogenic CPAP | Behavioral (nasal CPAP) | 1 day | No | ||
| Lagunas et al., 2017 [45] | M | 13 | Bilateral | Self-induced | Medical and behavioral | 1 day | Yes | Subcutaneous emphysema |
| Yamazaki et al., 2017 [46] | M | 53 | Bilateral | Self-induced | Medical and behavioral | No | ||
| Lee et al., 2018 [47] | M | 11 | Bilateral | Idiopathic | Medical | 4 days | Subcutaneous emphysema, pneumomediastinum | |
| House et al., 2018 [48] | M | 34 | Bilateral | Self-induced | Medical and psychotherapy | Yes | Subcutaneous emphysema, parotitis | |
| Ambrosino et al., 2019 [49] | M | 12 | Bilateral | Idiopathic | Medical | Yes | Subcutaneous emphysema |
| Results | M ± SD n (%) |
|---|---|
| Gender | |
| Male | 39/54 (72.2%) |
| Female | 15/54 (27.8%) |
| Age (Years) | 22.3 ± 17.7 |
| Clinical Presentation | |
| Bilateral | 26/54 (48.1%) |
| Monolateral | 28/54 (51.9%) |
| Etiology | |
| Self-induced | 29/54 (53.7%) |
| Idiopathic | 13/54 (24.1%) |
| Iatrogenic | 9/54 (16.6%) |
| Coughing attack | 3/54 (5.5%) |
| Treatment | |
| Medical | 29/54 (53.7%) |
| Psychotherapy | 14/54 (25.9%) |
| Behavioral | 14/54 (25.9%) |
| Surgery | 6/54 (11.1%) |
| Needle aspiration | 2/54 (3.7%) |
| Sialendoscopy | 2/54 (3.7%) |
| None | 3/54 (5.5%) |
| Resolution after Diagnosis (Days) | 4.5 ± 7.8 |
| Relapse | |
| Yes | 23/54 (42.6%) |
| No | 28/54 (51.8%) |
| Unspecified | 3/54 (5.5%) |
| Complications | |
| Subcutaneous emphysema | 13/54 (24.1%) |
| Pneumomediastinum | 3/54 (5.5%) |
| Abscess | 1/54 (1.8%) |
| Parotitis | 8/54 (14.8%) |
© 2020 by the authors. Licensee MDPI, Basel, Switzerland. This article is an open access article distributed under the terms and conditions of the Creative Commons Attribution (CC BY) license (http://creativecommons.org/licenses/by/4.0/).
Share and Cite
Gazia, F.; Freni, F.; Galletti, C.; Galletti, B.; Bruno, R.; Galletti, C.; Meduri, A.; Galletti, F. Pneumoparotid and Pneumoparotitis: A Literary Review. Int. J. Environ. Res. Public Health 2020, 17, 3936. https://doi.org/10.3390/ijerph17113936
Gazia F, Freni F, Galletti C, Galletti B, Bruno R, Galletti C, Meduri A, Galletti F. Pneumoparotid and Pneumoparotitis: A Literary Review. International Journal of Environmental Research and Public Health. 2020; 17(11):3936. https://doi.org/10.3390/ijerph17113936
Chicago/Turabian StyleGazia, Francesco, Francesco Freni, Cosimo Galletti, Bruno Galletti, Rocco Bruno, Cosimo Galletti, Alessandro Meduri, and Francesco Galletti. 2020. "Pneumoparotid and Pneumoparotitis: A Literary Review" International Journal of Environmental Research and Public Health 17, no. 11: 3936. https://doi.org/10.3390/ijerph17113936
APA StyleGazia, F., Freni, F., Galletti, C., Galletti, B., Bruno, R., Galletti, C., Meduri, A., & Galletti, F. (2020). Pneumoparotid and Pneumoparotitis: A Literary Review. International Journal of Environmental Research and Public Health, 17(11), 3936. https://doi.org/10.3390/ijerph17113936

