Early Feminizing Genitoplasty in Girls with Congenital Adrenal Hyperplasia (CAH)—Analysis of Unified Surgical Management
Abstract
1. Introduction
2. Patients and Methods
2.1. Virilization Assessment and Qualification for Surgery
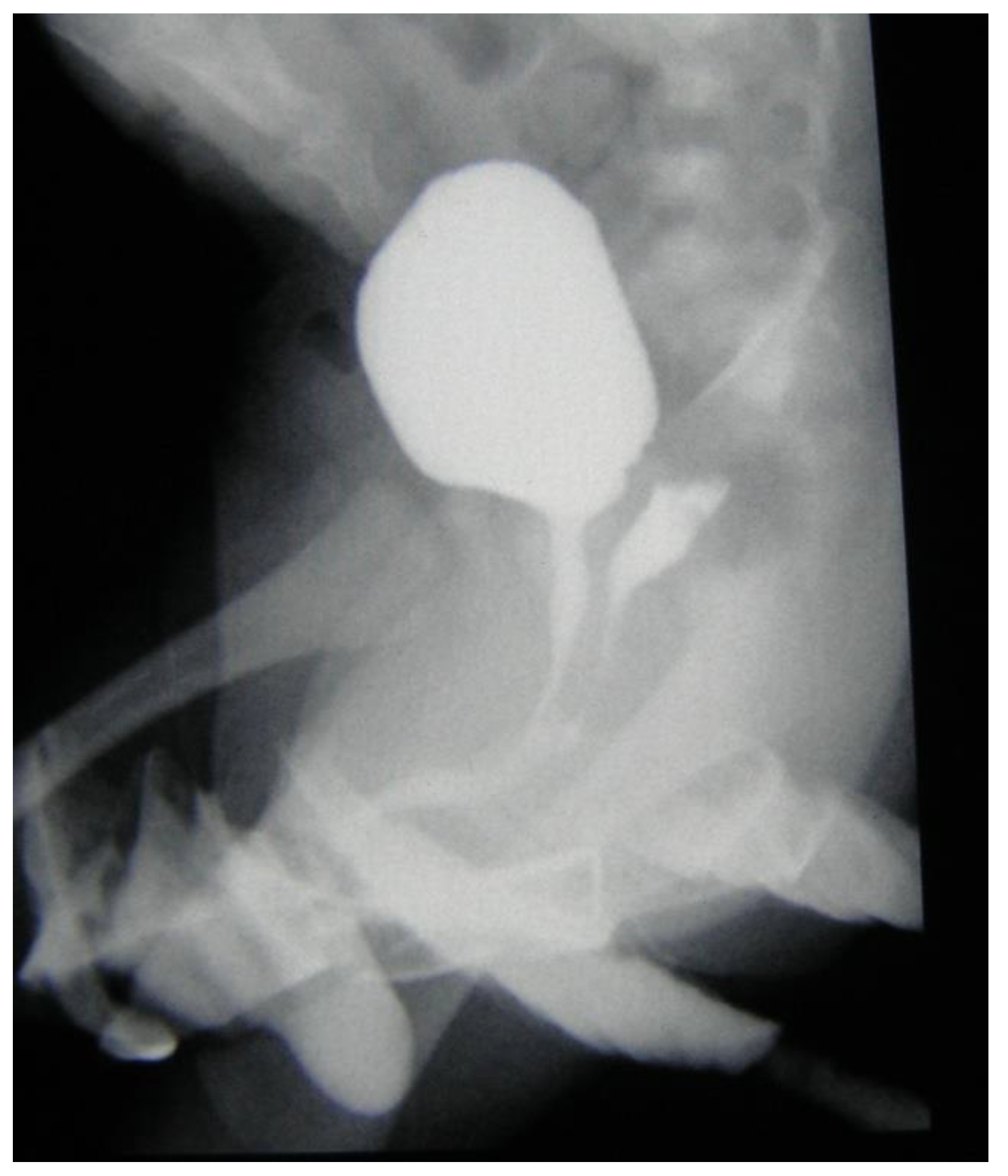
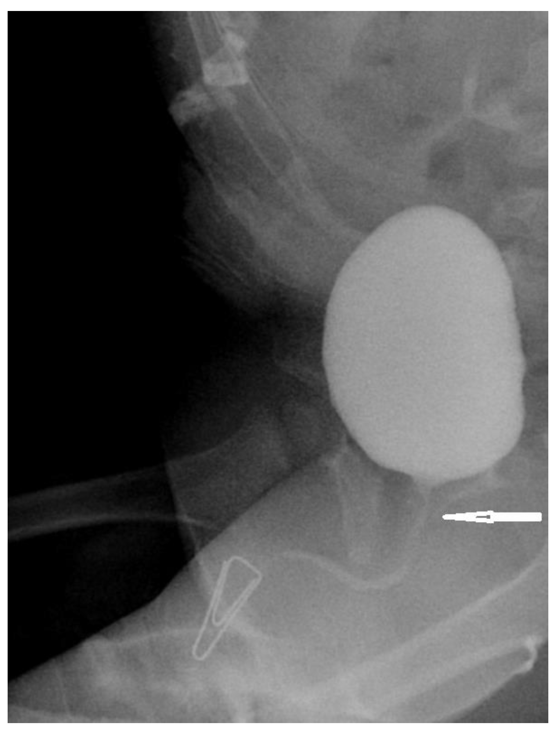
2.2. Surgical Procedures
3. Results
4. Discussion
5. Conclusions
Author Contributions
Funding
Conflicts of Interest
References
- Turcu, A.F.; Auchus, R.J. Adrenal Steroidogenesis and Congenital Adrenal Hyperplasia. Endocrinol. Metab. Clin. N. Am. 2015, 44, 275–296. [Google Scholar] [CrossRef] [PubMed]
- Vidal, I.; Gorduza, D.B.; Haraux, E.; Gay, C.-L.; Chatelain, P.; Nicolino, M.; Mure, P.-Y.; Mouriquand, P. Surgical options in disorders of sex development (dsd) with ambiguous genitalia. Best Pract. Res. Clin. Endocrinol. Metab. 2010, 24, 311–324. [Google Scholar] [CrossRef] [PubMed]
- Binet, A.; Lardy, H.; Geslin, D.; Francois-Fiquet, C.; Poli-Merol, M.L. Should we question early feminizing genitoplasty for patients with congenital adrenal hyperplasia and XX karyotype? J. Pediatr. Urol. 2016, 51, 465–468. [Google Scholar] [CrossRef] [PubMed]
- Speiser, P.W.; Arlt, W.; Auchus, R.J.; Baskin, L.S.; Conway, G.S.; Merke, D.P.; Meyer-Bahlburg, H.F.L.; Miller, W.L.; Murad, H.; Oberfield, S.E.; et al. Congenital Adrenal Hyperplasia Due to Steroid 21-Hydroxylase Deficiency: An Endocrine Society Clinical Practice Guideline. J. Clin. Endocrinol. Metab. 2018, 103, 4043–4088. [Google Scholar] [CrossRef] [PubMed]
- Hughes, I.A.; Houk, C.; Ahmed, S.F.; Lee, P.A. LWPES/ESPE Consensus Group: Consensus statement on management of intersex disorders. Arch. Dis. Child. 2006, 9, 554–563. [Google Scholar]
- Diamond, M.; Garland, J. Evidence regarding cosmetic and medically unnecessary surgery on infants. J. Pediatr. Urol. 2014, 10, 2–7. [Google Scholar] [PubMed]
- De Sutter, P. DSD: A discussion at the crossroads of medicine, human rights, and politics. Front. Pediatyrics 2020, 8, 125. [Google Scholar] [CrossRef]
- Mouriquand, P.D.E.; Gorduza, D.B.; Gay, C.-L.; Meyer-Bahlbulg, H.F.L.; Baker, L.; Baskin, L.S.; Bouvattier, C.; Braga, L.H.; Caldamore, A.C.; Duranteau, L.; et al. Surgery in disorders of sex development (DSD) with a gender issue: If (why), when, and how? J. Pediatr. Urol. 2016, 12, 139–149. [Google Scholar] [CrossRef]
- Lee, P.A.; Houk, C.P.; Husmann, D.A. Should male gender assignment be considered in the markedly virilized patients with 46, XX and congenital adrenal hyperplasia? J. Urol. 2010, 184, 1786–1792. [Google Scholar] [CrossRef]
- Gonzalez, R.; Ludwikowski, B.M. Should CAH in female be classified as DSD? Front. Pediatr. 2016, 4, 48. [Google Scholar] [CrossRef][Green Version]
- Springer, A.; Tekgul, S.; Subramaniam, R. An update of current practice in hypospadias surgery. Eur. Urol. Suppl. 2017, 16, 8–15. [Google Scholar] [CrossRef]
- Weber, D.M.; Schonbucher, V.B.; Gobet, R.; Gerber, A.; Landolt, M.A. Is there an ideal age for hypospadias repair? A pilot study. J. Pediatr. Urol. 2009, 5, 345–350. [Google Scholar] [CrossRef] [PubMed]
- Nordenskjold, A.; Holmdahl, G.; Frisen, L.; Falhammae, H.; Filipsson, H.; Thoren, M.; Janson, P.O.; Hagenfeldt, K. Type of mutation and surgical procedure affect long-term quality of life for women with congenital adrenal hyperplasia. J. Clin. Endocrinol. Metab. 2008, 93, 380–386. [Google Scholar] [CrossRef] [PubMed]
- Wisniewski, A.B.; Migeon, C.J.; Malouf, M.A.; Gearhart, J.P. Psychosexual outcome in women affected by congenital adrenal hyperplasia due to 21-hydroxylase deficiency. J. Urol. 2004, 171, 2497–2501. [Google Scholar] [CrossRef]
- Jesus, L.E. Feminizing genitoplasties: Where are we now? J. Pediatr. Urol. 2018, 14, 407–415. [Google Scholar] [CrossRef]
- Meyer-Bahlburg, H.F.L.; Khuri, J.; Reyes-Portillo, J.; Ehrhardt, A.A.; New, M.I. Stigma associated with classical congenital adrenal hyperplasia in women’s sexual lives. Sex. Behav. 2017, 47, 943–951. [Google Scholar] [CrossRef]
- Almasri, J.; Zaiem, F.; Robriguez-Gutierez, R.; Tamhane, S.U.; Iqbal, A.M.; Prokop, L.J.; Speiser, P.W.; Baskin, L.S.; Bancos, I.; Murad, M.H. Genital reconstructive surgery in females with congenital adrenal hyperplasia: A systematic review and meta-analysis. J. Clin. Endocrynol. Metab. 2018, 103, 4089–4096. [Google Scholar] [CrossRef]
- Bernabé, K.J.; Nokoff, N.J.; Galan, D.; Felsen, D.; Aston, C.E.; Austin, P.; Baskin, L.; Chan, Y.M.; Cheng, E.Y.; Diamond, D.A.; et al. Preliminary report: Surgical outcomes following genitoplasty in children with moderate to severe genital atypia. J. Pediatr. Urol. 2018, 14, 157.e1–157.e8. [Google Scholar]
- Lesma, A.; Bocciardi, A.; Montorsi, F.; Rigatti, P. Passerini-Glazel feminizing genitoplasty: Modifications in 17 years of experience with 82 cases. Eur. Urol. 2007, 52, 1638–1644. [Google Scholar] [CrossRef]
- Samuelson, M.L.; Baker, L.A. Autologous buccal mucosa vulvovaginoplasty for high urogenital sinus. J. Pediatr. Urol. 2006, 2, 486–488. [Google Scholar] [CrossRef]
- Ludwikowski, B.; Oesch-Hayward, I.; Gonzalez, R. Total urogenital sinus mobilization: Expanded applications. BJU Int. 1999, 83, 820–822. [Google Scholar] [PubMed]
- Ludwikowski, B.M.; González, R. The surgical correction of urogenital sinus in patients with DSD: 15 years after description of total urogenital mobilization in children. Front. Pediatr. 2013, 1, 41. [Google Scholar] [PubMed]
- Speiser, P.W.; Azziz, R.; Baskin, L.S.; Ghizzoni, L.; Hensle, T.W.; Merke, D.P.; Meyer-Bahlburg, H.F.; Miller, W.L.; Montori, V.M.; Oberfield, S.E.; et al. Endocrine Society. Congenital adrenal hyperplasia due to steroid 21-hydroxylase deficiency: An Endocrine Society clinical practice guideline. J. Clin. Endocrinol. Metab. 2010, 95, 4133–4160. [Google Scholar] [CrossRef] [PubMed]
- Wang, L.C.; Poppas, D.P. Surgical outcomes and complications of reconstructive surgery in the female congenital adrenal hyperplasia patient: What every endocrinologist should know. J. Ster. Bioch. Mol. Biol. 2017, 165, 137–144. [Google Scholar] [CrossRef] [PubMed]



| Confluence n (%) | Prader Rating | |
|---|---|---|
| Score | n (%) | |
| Low 19 (61) | 3° | 7 (22.6) |
| 4° | 11 (35.5) | |
| 5° | 1 (3.2) | |
| High 12 (39) | 4° | 10 (32.2) |
| 5° | 2 (6.4) | |
| Confluence n (%) | Complications | |
|---|---|---|
| Type | n (%) | |
| Low 19 (61) | rectal injury | 1 (3.2) |
| atheroma | 2 (6.4) | |
| vaginal stricture | 1 (3.2) | |
| High 12 (39) | severe bleeding | 1 (3.2) |
© 2020 by the authors. Licensee MDPI, Basel, Switzerland. This article is an open access article distributed under the terms and conditions of the Creative Commons Attribution (CC BY) license (http://creativecommons.org/licenses/by/4.0/).
Share and Cite
Kudela, G.; Gawlik, A.; Koszutski, T. Early Feminizing Genitoplasty in Girls with Congenital Adrenal Hyperplasia (CAH)—Analysis of Unified Surgical Management. Int. J. Environ. Res. Public Health 2020, 17, 3852. https://doi.org/10.3390/ijerph17113852
Kudela G, Gawlik A, Koszutski T. Early Feminizing Genitoplasty in Girls with Congenital Adrenal Hyperplasia (CAH)—Analysis of Unified Surgical Management. International Journal of Environmental Research and Public Health. 2020; 17(11):3852. https://doi.org/10.3390/ijerph17113852
Chicago/Turabian StyleKudela, Grzegorz, Aneta Gawlik, and Tomasz Koszutski. 2020. "Early Feminizing Genitoplasty in Girls with Congenital Adrenal Hyperplasia (CAH)—Analysis of Unified Surgical Management" International Journal of Environmental Research and Public Health 17, no. 11: 3852. https://doi.org/10.3390/ijerph17113852
APA StyleKudela, G., Gawlik, A., & Koszutski, T. (2020). Early Feminizing Genitoplasty in Girls with Congenital Adrenal Hyperplasia (CAH)—Analysis of Unified Surgical Management. International Journal of Environmental Research and Public Health, 17(11), 3852. https://doi.org/10.3390/ijerph17113852

