Exploring the Antimicrobial Potential of a Novel Phage-Derived Lytic Protein Against Pseudomonas aeruginosa
Abstract
1. Introduction
2. Materials and Methods
2.1. Phage Database Screening and Sequence Analysis
2.2. Development of Expression Plasmids by PCR
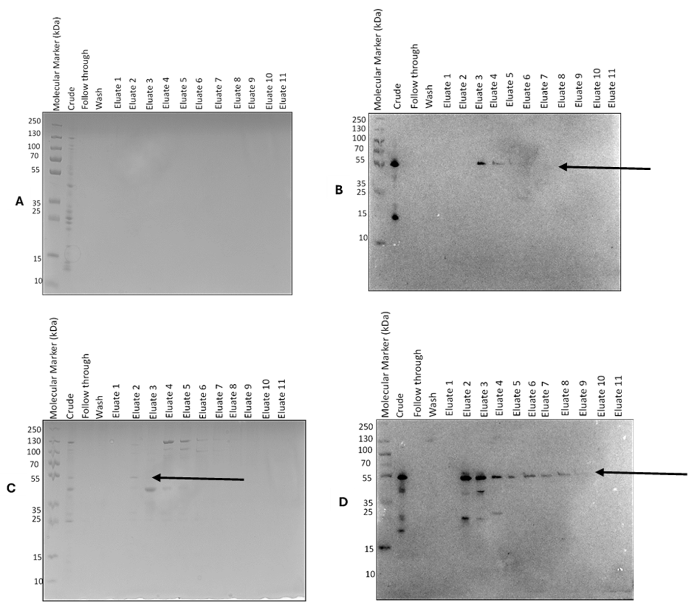
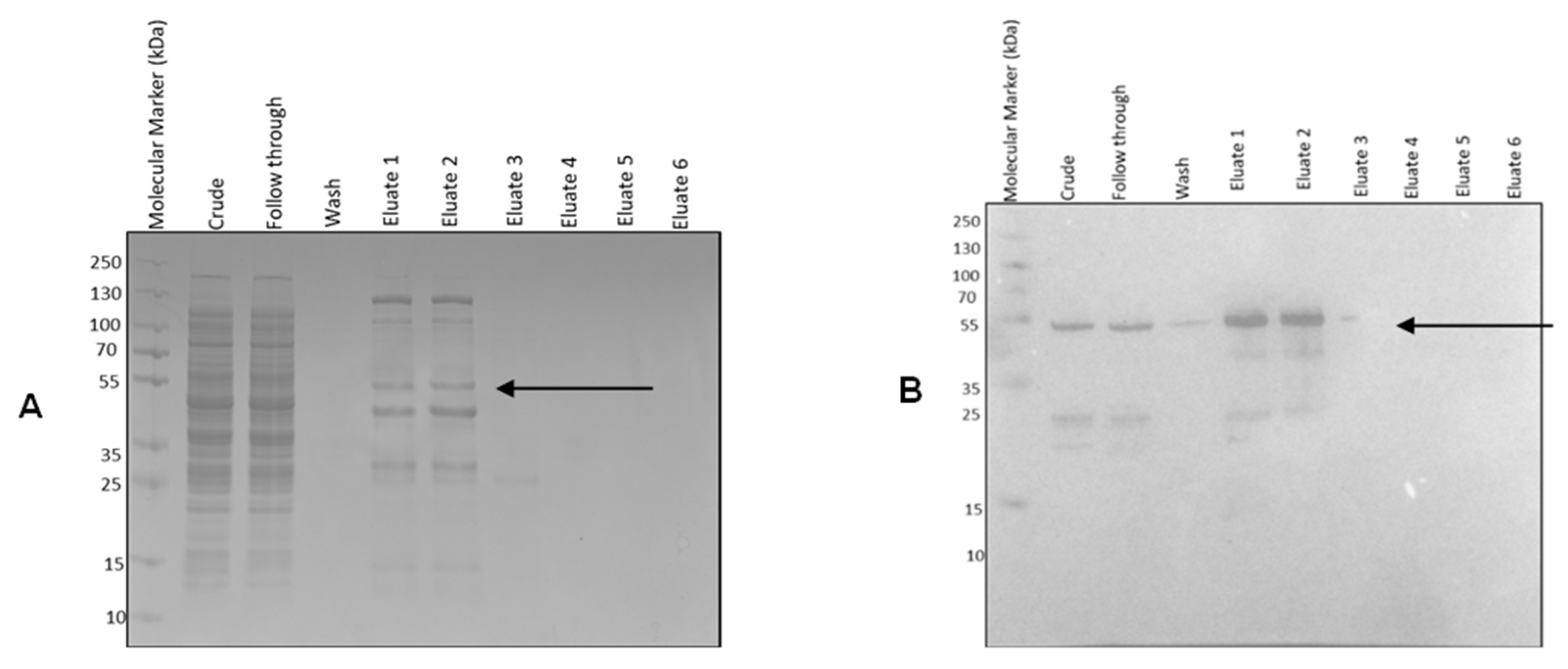
2.3. Recombinant Protein Production and Purification of Recombinant Proteins
2.4. Second Purification Step of the Purified Protein Using Ion Exchange
2.5. Mass Spectrometry Identification of Purified Lysin via In-Gel Trypsin Digest
2.6. Antimicrobial Susceptibility Test
2.7. Lysin (SM07) Cytotoxicity Studies in Normal Vero Kidney Cells
3. Results
3.1. Sequence Analysis and Cloning Lysin (SM07)
3.2. Recombinant Expression of the Phage-Derived Lytic Protein (SM07)
3.3. Identity Confirmation of the SM07 Protein Using Mass Peptide Fingerprinting
3.4. Anti-Microbial Screening of SM07 Produced Recombinantly
3.5. Cytotoxicity Studies
4. Discussion
Author Contributions
Funding
Institutional Review Board Statement
Informed Consent Statement
Data Availability Statement
Acknowledgments
Conflicts of Interest
References
- Criscuolo, E.; Spadini, S.; Lamanna, J.; Ferro, M.; Burioni, R. Bacteriophages and Their Immunological Applications against Infectious Threats. J. Immunol. Res. 2017, 2017, 3780697. [Google Scholar] [CrossRef] [PubMed]
- Górski, A.; Miedzybrodzki, R.; Borysowski, J. Phage Therapy: A Practical Approach; Springer: Cham, Switzerland, 2019. [Google Scholar] [CrossRef]
- World Health Organisation. International Organizations Unite on Critical Recommendations to Combat Drug-Resistant Infections and Prevent a Staggering Number of Deaths Each Year; World Health Organisation: New York, NY, USA, 2019.
- Aslam, B.; Arshad, M.I.; Aslam, M.A.; Muzammil, S.; Siddique, A.B.; Yasmeen, N.; Khurshid, M.; Rasool, M.; Ahmad, M.; Rasool, M.H.; et al. Bacteriophage Proteome: Insights and Potentials of an Alternate to Antibiotics. Infect. Dis. Ther. 2021, 10, 1171–1193. [Google Scholar] [CrossRef] [PubMed]
- Tadesse, B.T.; Ashley, E.A.; Ongarello, S.; Havumaki, J.; Wijegoonewardena, M.; González, I.J.; Dittrich, S. Antimicrobial resistance in Africa: A systematic review. BMC Infect. Dis. 2017, 17, 616. [Google Scholar] [CrossRef] [PubMed]
- Ventola, C.L. The Antibiotic Resistance Crisis: Part 1: Causes and threats. Pharm. Ther. 2015, 40, 277–283. [Google Scholar]
- Bhatia, P.; Sharma, A.; George, A.J.; Anvitha, D.; Kumar, P.; Dwivedi, V.P.; Chandra, N.S. Antibacterial activity of medicinal plants against ESKAPE: An update. Heliyon 2021, 7, e06310. [Google Scholar] [CrossRef]
- Mulani, M.S.; Kamble, E.E.; Kumkar, S.N.; Tawre, M.S.; Pardesi, K.R. Emerging Strategies to Combat ESKAPE Pathogens in the Era of Antimicrobial Resistance: A Review. Front. Microbiol. 2019, 10, 539. [Google Scholar] [CrossRef]
- Khan, H.A.; Baig, F.K.; Mehboob, R. Nosocomial infections: Epidemiology, prevention, control and surveillance. Asian Pac. J. Trop. Biomed. 2017, 7, 478–482. [Google Scholar] [CrossRef]
- Abubakar, U.; Amir, O.; Rodríguez-Baño, J. Healthcare-associated infections in Africa: A systematic review and meta-analysis of point prevalence studies. J. Pharm. Policy Pract. 2022, 15, 99. [Google Scholar] [CrossRef]
- Mtimka, S.; Pillay, P.; Kwezi, L.; Pooe, O.J.; Tsekoa, T.L. An Exploratory Review of the Potential of Lytic Proteins and Bacteriophages for the Treatment of Tuberculosis. Microorganisms 2024, 12, 570. [Google Scholar] [CrossRef]
- Fischetti, V.A. Development of Phage Lysins as Novel Therapeutics: A Historical Perspective. Viruses 2018, 10, 310. [Google Scholar] [CrossRef]
- Lin, D.M.; Koskella, B.; Lin, H.C. Phage therapy: An alternative to antibiotics in the age of multi-drug resistance. World J. Gastrointest. Pharmacol. Ther. 2017, 8, 162–173. [Google Scholar] [CrossRef] [PubMed]
- Fernandes, S.; São-José, C. More than a hole: The holin lethal function may be required to fully sensitize bacteria to the lytic action of canonical endolysins. Mol. Microbiol. 2016, 102, 92–106. [Google Scholar] [CrossRef] [PubMed]
- Gerstmans, H.; Criel, B.; Briers, Y. Synthetic biology of modular endolysins. Biotechnol. Adv. 2018, 36, 624–640. [Google Scholar] [CrossRef] [PubMed]
- Torres-Barceló, C.; Hochberg, M.E. Evolutionary Rationale for Phages as Complements of Antibiotics. Trends Microbiol. 2016, 24, 249–256. [Google Scholar] [CrossRef]
- Holger, D.; Kebriaei, R.; Morrisette, T.; Lev, K.; Alexander, J.; Rybak, M. Clinical Pharmacology of Bacteriophage Therapy: A Focus on Multidrug-Resistant Pseudomonas aeruginosa Infections. Antibiotics 2021, 10, 556. [Google Scholar] [CrossRef]
- Schmelcher, M.; Donovan, D.M.; Loessner, M.J. Bacteriophage endolysins as novel antimicrobials. Future Microbiol. 2012, 7, 1147–1171. [Google Scholar] [CrossRef]
- Cernooka, E.; Rumnieks, J.; Zrelovs, N.; Tars, K.; Kazaks, A. Diversity of the lysozyme fold: Structure of the catalytic domain from an unusual endolysin encoded by phage Enc34. Sci. Rep. 2022, 12, 5005. [Google Scholar] [CrossRef]
- Low, L.Y.; Yang, C.; Perego, M.; Osterman, A.; Liddington, R.C. Structure and Lytic Activity of a Bacillus anthracis Prophage Endolysin. J. Biol. Chem. 2005, 280, 35433–35439. [Google Scholar] [CrossRef]
- Haas, J.; Roth, S.; Arnold, K.; Kiefer, F.; Schmidt, T.; Bordoli, L.; Schwede, T. The Protein Model Portal—A comprehensive resource for protein structure and model information. Database 2013, 2013, bat031. [Google Scholar] [CrossRef]
- Russell, D.A.; Hatfull, G.F. PhagesDB: The actinobacteriophage database. Bioinformatics 2017, 33, 784–786. [Google Scholar] [CrossRef]
- Hall, T.A. BioEdit: A user-friendly biological sequence alignment program for Windows 95/98/NT. Nucleic Acids Symp. Ser. 1999, 41, 95–98. [Google Scholar]
- Scholz, M.; Lo, C.-C.; Chain, P.S.G. Improved Assemblies Using a Source-Agnostic Pipeline for MetaGenomic Assembly by Merging (MeGAMerge) of Contigs. Sci. Rep. 2014, 4, 6480. [Google Scholar] [CrossRef] [PubMed]
- Altschul, S.F.; Gish, W.; Miller, W.; Myers, E.W.; Lipman, D.J. Basic local alignment search tool. J. Mol. Biol. 1990, 215, 403–410. [Google Scholar] [CrossRef] [PubMed]
- Gasteiger, E.; Hoogland, C.; Gattiker, A.; Duvaud, S.; Wilkins, M.R.; Appel, R.D.; Bairoch, A. Protein Identification and Analysis Tools on the ExPASy Server. In The Proteomics Protocols Handbook; Springer Protocols Handbooks; Humana Press Inc.: Totowa, NJ, USA, 2005. [Google Scholar] [CrossRef]
- Seymour, S.L.; Hunter, C.L. ProteinPilotTM Software Overview: High Quality. In Depth Protein Identification and Protein Expression Analysis; Biomarkers and Omics; SCIEX: Framingham, MA, USA, 2015. [Google Scholar]
- Mcfarland, J. The Nephelometer: An Instrument for Estimating the Number of Bacteria in Suspensions Used for Calculating the Opsonic Index and for Vaccines. J. Am. Med. Assoc. 1907, 49, 1176–1178. [Google Scholar] [CrossRef]
- Eloff, J.N. A Sensitive and Quick Microplate Method to Determine the Minimal Inhibitory Concentration of Plant Extracts for Bacteria. Planta Medica 1998, 64, 711–713. [Google Scholar] [CrossRef]
- Gondil, V.S.; Harjai, K.; Chhibber, S. Endolysins as emerging alternative therapeutic agents to counter drug-resistant infections. Int. J. Antimicrob. Agents 2020, 55, 105844. [Google Scholar] [CrossRef]
- Park, Y.; Lim, J.; Kong, M.; Ryu, S.; Rhee, S. Structure of bacteriophage SPN1S endolysin reveals an unusual two-module fold for the peptidoglycan lytic and binding activity. Mol. Microbiol. 2014, 92, 316–325. [Google Scholar] [CrossRef]
- Schmitz, J.E.; Schuch, R.; Fischetti, V.A. Identifying Active Phage Lysins through Functional Viral Metagenomics. Appl. Environ. Microbiol. 2010, 76, 7181–7187. [Google Scholar] [CrossRef]
- Luong, T.; Salabarria, A.-C.; Roach, D.R. Phage Therapy in the Resistance Era: Where Do We Stand and Where Are We Going? Clin. Ther. 2020, 42, 1659–1680. [Google Scholar] [CrossRef]
- Cummins, P.; Rochfort, K.; O’Connor, B.F. Ion-Exchange Chromatography: Basic Principles and Application. In Protein Chromatography: Methods and Protocols; Springer: New York, NY, USA, 2017. [Google Scholar] [CrossRef]
- Tripathi, N.K. Production and Purification of Recombinant Proteins from Escherichia coli. ChemBioEng Rev. 2016, 3, 116–133. [Google Scholar] [CrossRef]
- Fekete, S.; Beck, A.; Veuthey, J.; Guillarme, D. Ion-exchange chromatography for the characterization of biopharmaceuticals. J. Pharm. Biomed. Anal. 2015, 113, 43–55. [Google Scholar] [CrossRef]
- Blaschke, T.; Werner, A.; Hasse, H. Microcalorimetric study of the adsorption of native and mono-PEGylated bovine serum albumin on anion-exchangers. J. Chromatogr. A 2013, 1277, 58–68. [Google Scholar] [CrossRef] [PubMed]
- Hamza, M.; Ali, A.; Khan, S.; Ahmed, S.; Attique, Z.; Rehman, S.U.; Khan, A.; Ali, H.; Rizwan, M.; Munir, A.; et al. nCOV-19 peptides mass fingerprinting identification, binding, and blocking of inhibitors flavonoids and anthraquinone of Moringa oleifera and hydroxychloroquine. J. Biomol. Struct. Dyn. 2020, 39, 4089–4099. [Google Scholar] [CrossRef] [PubMed]
- Walmagh, M.; Briers, Y.; Dos Santos, S.B.; Azeredo, J.; Lavigne, R. Characterization of Modular Bacteriophage Endolysins from Myoviridae Phages OBP, 201φ2-1 and PVP-SE1. PLoS ONE 2012, 7, e36991. [Google Scholar] [CrossRef] [PubMed]
- Schmelcher, M.; Shabarova, T.; Eugster, M.R.; Eichenseher, F.; Tchang, V.S.; Banz, M.; Loessner, M.J. Rapid Multiplex Detection and Differentiation of Listeria Cells by Use of Fluorescent Phage Endolysin Cell Wall Binding Domains. Appl. Environ. Microbiol. 2010, 76, 5745–5756. [Google Scholar] [CrossRef]
- Yamada, N.; Nishida, T.; Chikama, T.I. Pseudomonas aeruginosa Infections. Jpn. J. Clin. Ophthalmol. 2009, 63, 305–326. [Google Scholar] [CrossRef]
- Ajuebor, J.; McAuliffe, O.; O’Mahony, J.; Ross, R.P.; Hill, C.; Coffey, A. Bacteriophage Endolysins and their Applications. Sci. Prog. 2016, 99, 183–199. [Google Scholar] [CrossRef]
- Schuch, R.; Nelson, D.; Fischetti, V.A. A bacteriolytic agent that detects and kills Bacillus anthracis. Nature 2002, 418, 884–889. [Google Scholar] [CrossRef]
- Kovacik, A.; Tvrda, E.; Jambor, T.; Fulopova, D.; Kovacikova, E.; Hleba, L.; Kołodziejczyk, Ł.M.; Hlebova, M.; Gren, A.; Massanyi, P. Cytotoxic effect of aminoglycoside antibiotics on the mammalian cell lines. J. Environ. Sci. Health Part A 2020, 56, 1–8. [Google Scholar] [CrossRef]






| Strain | Control Antibiotic | Test Samples | Activity | MIC |
|---|---|---|---|---|
| Acinetobacter baumannii BAA747 | Cefixime 30 μg | Phosphate Buffer (PBS, negative control 1) | R’ | ND |
| Empty vector pET-30b (+) vector (negative control 2) | R’ | ND | ||
| Expression strain BL-21 (AI) (negative control 3) | R’ | ND | ||
| Clarified Crude Lysate of SM07 | R | ND | ||
| Purified SM07 | R | ND | ||
| ESCCO ATCC 25922 | Augmentin 30 μg | Phosphate Buffer (PBS, negative control 1) | R’ | ND |
| Empty pET-30b(+) vector (negative control 2) | R’ | ND | ||
| Expression strain BL-21 (AI) (negative control 3) | R’ | ND | ||
| Clarified Crude Lysate of SM07 | R | ND | ||
| Purified SM07 | R | ND | ||
| Staphylococcus aureus ATCC977BA | Cefotaxime 30 µg | Phosphate Buffer (PBS, negative control 1) | R’ | ND |
| Empty pET-30b(+) vector (negative control 2) | R’ | ND | ||
| Expression strain BL-21 (AI) (negative control 3) | R’ | ND | ||
| Clarified Crude Lysate of SM07 | R | ND | ||
| Purified SM07 | R | ND | ||
| Enterococcus faecalis ATCC51299 | Augmentin 30 μg | Phosphate Buffer (PBS, negative control 1) | R’ | ND |
| Empty pET-30b(+) vector (negative control 2) | R’ | ND | ||
| Expression strain BL-21 (AI) (negative control 3) | R’ | ND | ||
| Clarified Crude Lysate of SM07 | R | ND | ||
| Purified SM07 | R | ND | ||
| Pseudomonas aeruginosa ATCC27853 | Cefotaxime 30 µg | Phosphate Buffer (PBS, negative control 1) | R’ | ND |
| Empty pET-30b(+) vector (negative control 2) | R’ | ND | ||
| Expression strain BL-21 (AI), (negative control 3) | R’ | ND | ||
| Clarified Crude Lysate of SM07 | R | ND | ||
| Purified SM07 | Y | 4 µg/mL | ||
| Escherichia coli ATCC35218 | Augmentin 30 μg | Phosphate Buffer (PBS, negative control 1) | R’ | ND |
| Empty pET-30b(+) vector (negative control 2) | R’ | ND | ||
| Expression strain BL-21 (AI), (negative control 3) | R’ | ND | ||
| Clarified Crude Lysate of SM07 | R | ND | ||
| Purified SM07 | R | ND |
Disclaimer/Publisher’s Note: The statements, opinions and data contained in all publications are solely those of the individual author(s) and contributor(s) and not of MDPI and/or the editor(s). MDPI and/or the editor(s) disclaim responsibility for any injury to people or property resulting from any ideas, methods, instructions or products referred to in the content. |
© 2026 by the authors. Licensee MDPI, Basel, Switzerland. This article is an open access article distributed under the terms and conditions of the Creative Commons Attribution (CC BY) license.
Share and Cite
Mtimka, S.; Malatji, K.B.; Sakyi, P.O.; Nogbou, N.D.; Musyoki, A.M.; Mamputha, S.; Kwezi, L.; Kwofie, S.K.; Pooe, O.J.; Tsekoa, T.L. Exploring the Antimicrobial Potential of a Novel Phage-Derived Lytic Protein Against Pseudomonas aeruginosa. Curr. Issues Mol. Biol. 2026, 48, 318. https://doi.org/10.3390/cimb48030318
Mtimka S, Malatji KB, Sakyi PO, Nogbou ND, Musyoki AM, Mamputha S, Kwezi L, Kwofie SK, Pooe OJ, Tsekoa TL. Exploring the Antimicrobial Potential of a Novel Phage-Derived Lytic Protein Against Pseudomonas aeruginosa. Current Issues in Molecular Biology. 2026; 48(3):318. https://doi.org/10.3390/cimb48030318
Chicago/Turabian StyleMtimka, Sibongile, Kanyane Bridgett Malatji, Patrick Opare Sakyi, Noel David Nogbou, Andrew Munyalo Musyoki, Sipho Mamputha, Lusisizwe Kwezi, Samuel Kojo Kwofie, Ofentse Jacob Pooe, and Tsepo Lebiletsa Tsekoa. 2026. "Exploring the Antimicrobial Potential of a Novel Phage-Derived Lytic Protein Against Pseudomonas aeruginosa" Current Issues in Molecular Biology 48, no. 3: 318. https://doi.org/10.3390/cimb48030318
APA StyleMtimka, S., Malatji, K. B., Sakyi, P. O., Nogbou, N. D., Musyoki, A. M., Mamputha, S., Kwezi, L., Kwofie, S. K., Pooe, O. J., & Tsekoa, T. L. (2026). Exploring the Antimicrobial Potential of a Novel Phage-Derived Lytic Protein Against Pseudomonas aeruginosa. Current Issues in Molecular Biology, 48(3), 318. https://doi.org/10.3390/cimb48030318

