Chronic Oral D-Galactose Induces Oxidative Stress but Not Overt Organ Dysfunction in Male Wistar Rats
Abstract
1. Introduction
2. Materials and Methods
2.1. Animal Treatment
2.2. Sample Preparations
2.3. Measurement of Oxidative Stress Parameters
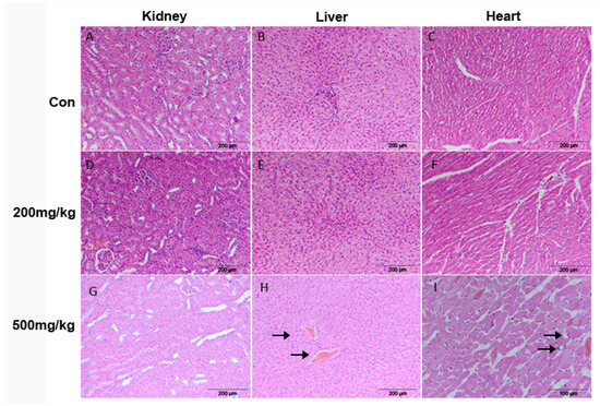
2.4. Histological Analysis
2.5. Assessment of Sera Biochemical Parameters
2.6. Data Analysis
3. Results
3.1. General Health Status
3.2. Parameters of Oxidative Stress
3.3. Histopathological Study and Biochemical Markers of Organ Function
4. Discussion
5. Conclusions
6. Experimental Consideration
Author Contributions
Funding
Institutional Review Board Statement
Data Availability Statement
Conflicts of Interest
References
- Coelho, A.I.; Berry, G.T.; Rubio-Gozalbo, M.E. Galactose metabolism and health. Curr. Opin. Clin. Nutr. Metab. Care 2015, 18, 422–427. [Google Scholar] [CrossRef] [PubMed]
- Conte, F.; van Buuringen, N.; Voermans, N.C.; Lefeber, D.J. Galactose in human metabolism, glycosylation and congenital metabolic diseases: Time for a closer look. Biochim. Biophys. Acta BBA-Gen. Subj. 2021, 1865, 129898. [Google Scholar] [CrossRef] [PubMed]
- Azman, K.F.; Safdar, A.; Zakaria, R. D-galactose-induced liver aging model: Its underlying mechanisms and potential therapeutic interventions. Exp. Gerontol. 2021, 150, 111372. [Google Scholar] [CrossRef] [PubMed]
- Bo-Htay, C.; Palee, S.; Apaijai, N.; Chattipakorn, S.C.; Chattipakorn, N. Effects of d-galactose-induced ageing on the heart and its potential interventions. J. Cell. Mol. Med. 2018, 22, 1392–1410. [Google Scholar] [CrossRef] [PubMed]
- Zeng, L.; Lin, L.; Xiao, W.; Li, Y. L-theanine protects rat kidney from D-galactose-induced injury via inhibition of the AGEs/RAGE signaling pathway. Eur. J. Pharmacol. 2022, 927, 175072. [Google Scholar] [CrossRef]
- El-Horany, H.E.-S.; Gaballah, H.H.; Helal, D.S. Berberine ameliorates renal injury in a rat model of D-galactose-induced aging through a PTEN/Akt-dependent mechanism. Arch. Physiol. Biochem. 2020, 126, 157–165. [Google Scholar] [CrossRef]
- El-Far, A.H.; Lebda, M.A.; Noreldin, A.E.; Atta, M.S.; Elewa, Y.H.A.; Elfeky, M.; Mousa, S.A. Quercetin Attenuates Pancreatic and Renal D-Galactose-Induced Aging-Related Oxidative Alterations in Rats. Int. J. Mol. Sci. 2020, 21, 4348. [Google Scholar] [CrossRef]
- Azman, K.F.; Zakaria, R. d-Galactose-induced accelerated aging model: An overview. Biogerontology 2019, 20, 763–782. [Google Scholar] [CrossRef]
- Martinovic, J.; Zaric Kontic, M.; Dragic, M.; Todorovic, A.; Gusevac Stojanovic, I.; Mitrovic, N.; Grkovic, I.; Drakulic, D. Chronic oral d-galactose intake provokes age-related changes in the rat prefrontal cortex. Behav. Brain Res. 2023, 436, 114072. [Google Scholar] [CrossRef]
- Guševac Stojanović, I.; Drakulić, D.; Todorović, A.; Martinović, J.; Filipović, N.; Stojanović, Z. Acute Toxicity Assessment of Orally Administered Microplastic Particles in Adult Male Wistar Rats. Toxics 2024, 12, 167. [Google Scholar] [CrossRef]
- Kaşıkçı, E.; Çevreli, B.; Zengin, G.; Konuk, M.; Şahin, K.; Gozler, T. ANTI-OXIDATIVE EFFECTS OF GYPSOPHILA PERFOLIATA ON D-GALACTOSE INDUCED AGING IN RAT. Sigma J. Eng. Nat. Sci. 2020, 38, 1657–1664. [Google Scholar]
- Kumar, H.; Bhardwaj, K.; Valko, M.; Alomar, S.; Alwasel, S.; Cruz-Martins, N.; Singh Dhanjal, D.; Singh, R.; Kuča, K.; Verma, R.; et al. Antioxidative potential of Lactobacillus sp. in ameliorating D-galactose-induced aging. Appl. Microbiol. Biotechnol. 2022, 106, 4831–4843. [Google Scholar] [CrossRef] [PubMed]
- Wang, S.; Zhang, X.; Ke, Z.; Wen, X.; Li, W.; Liu, W.; Zhuang, X.; Liao, L. D-galactose-induced cardiac ageing: A review of model establishment and potential interventions. J. Cell. Mol. Med. 2022, 26, 5335–5359. [Google Scholar] [CrossRef]
- Yang, J.; Luo, J.; Tian, X.; Zhao, Y.; Li, Y.; Wu, X. Progress in Understanding Oxidative Stress, Aging, and Aging-Related Diseases. Antioxidants 2024, 13, 394. [Google Scholar] [CrossRef]
- Barrera, G.; Pizzimenti, S.; Daga, M.; Dianzani, C.; Arcaro, A.; Cetrangolo, G.P.; Giordano, G.; Cucci, M.A.; Graf, M.; Gentile, F. Lipid Peroxidation-Derived Aldehydes, 4-Hydroxynonenal and Malondialdehyde in Aging-Related Disorders. Antioxidants 2018, 7, 102. [Google Scholar] [CrossRef]
- Ayala, A.; Muñoz, M.F.; Argüelles, S. Lipid Peroxidation: Production, Metabolism, and Signaling Mechanisms of Malondialdehyde and 4-Hydroxy-2-Nonenal. Oxid. Med. Cell. Longev. 2014, 2014, 360438. [Google Scholar] [CrossRef]
- Zhang, H.; Forman, H.J. 4-hydroxynonenal-mediated signaling and aging. Free Radic. Biol. Med. 2017, 111, 219–225. [Google Scholar] [CrossRef]
- Frijhoff, J.; Winyard, P.G.; Zarkovic, N.; Davies, S.S.; Stocker, R.; Cheng, D.; Knight, A.R.; Taylor, E.L.; Oettrich, J.; Ruskovska, T.; et al. Clinical Relevance of Biomarkers of Oxidative Stress. Antioxid. Redox Signal. 2015, 23, 1144–1170. [Google Scholar] [CrossRef]
- El-Far, A.H.; Elewa, Y.H.A.; Abdelfattah, E.-Z.A.; Alsenosy, A.-W.A.; Atta, M.S.; Abou-Zeid, K.M.; Al Jaouni, S.K.; Mousa, S.A.; Noreldin, A.E. Thymoquinone and Curcumin Defeat Aging-Associated Oxidative Alterations Induced by D-Galactose in Rats’ Brain and Heart. Int. J. Mol. Sci. 2021, 22, 6839. [Google Scholar] [CrossRef]
- Omidkhoda, S.F.; Mehri, S.; Heidari, S.; Hosseinzadeh, H. Protective Effects of Crocin Against Hepatic Damages in D-galactose Aging Model in Rats. Iran. J. Pharm. Res. 2020, 19, 440–450. [Google Scholar] [CrossRef]
- Habieb, M.E.; Mohamed, M.A.; El Gamal, D.M.; Hawas, A.M.; Mohamed, T.M. Anti-aging effect of DL-β-hydroxybutyrate against hepatic cellular senescence induced by D-galactose or γ-irradiation via autophagic flux stimulation in male rats. Arch. Gerontol. Geriatr. 2021, 92, 104288. [Google Scholar] [CrossRef] [PubMed]
- Sette, L.H.B.C.; de Almeida Lopes, E.P. The reduction of serum aminotransferase levels is proportional to the decline of the glomerular filtration rate in patients with chronic kidney disease. Clinics (Sao Paulo) 2015, 70, 346–349. [Google Scholar] [CrossRef]
- Ray, L.; Nanda, S.K.; Chatterjee, A.; Sarangi, R.; Ganguly, S. A comparative study of serum aminotransferases in chronic kidney disease with and without end-stage renal disease: Need for new reference ranges. Int. J. Appl. Basic Med. Res. 2015, 5, 31–35. [Google Scholar] [CrossRef] [PubMed]
- Ueland, P.M.; Ulvik, A.; Rios-Avila, L.; Midttun, Ø.; Gregory, J.F. Direct and Functional Biomarkers of Vitamin B6 Status. Annu. Rev. Nutr. 2015, 35, 33–70. [Google Scholar] [CrossRef]





| Con | 200 mg/kg | 500 mg/kg | |
|---|---|---|---|
| Ketones (mmol/L) | 12.5 ± 2.5 | 23.3 ± 8.3 | 15.0 ± 0.0 |
| Urobilinogen (µmol/L) | 0.2 ± 0.0 | 0.2 ± 0.0 | 0.2 ± 0.0 |
| Proteins (g/L) | 47.5 ± 17.5 | 100 ± 0 | 166.7 ± 66.6 * |
| Specific gravity | 1.02 | 1.02 | 1.02 |
| Bilirubin (µmol/L) | negative | negative | negative |
| pH | 7.3 | 7.5 | 8 |
| Serum Glucose (mmol/L) | 6.9 ± 0.2 | 6.6 ± 0.2 | 6.3 ± 0.1 |
| PAB | AOPP | MDA | HNE | |
|---|---|---|---|---|
| Con | 100 ± 4.8 | 100 ± 3.9 | 100 ± 5.4 | 100 ± 5.6 |
| 12 months old | 80.5 ± 6.8 | 113.5 ± 4.8 | 100.6 ± 2.9 | 104.4 ± 12.3 |
| 18 months old | 91.16 ± 7.4 | 122.3 ± 6.5 | 115.1 ± 3.3 | 160.3 ± 13.9 * # |
| 24 months old | 132.3 ± 8.0 * ### $$ | 115.8 ± 9.9 | 129.7 ± 2.1 *** ### | 201.0 ± 6.2 **** #### |
| 30 months old | 134.4 ± 9.1 * ### $$ | 140.9 ± 5.0 ** # | 135.3 ± 4.9 **** #### $ | 188.4 ± 16.3 *** ### |
| PAB | AOPP | MDA | HNE | |
|---|---|---|---|---|
| Con | 100 ± 8.2 | 100 ± 5.5 | 100 ± 3.7 | 100 ± 8.1 |
| 12 months old | 115.8 ± 2.6 | 91.5 ± 4.9 | 104.7 ± 6.8 | 125.6 ± 10.7 |
| 18 months old | 114.3 ± 7.3 | 96.4 ± 5.8 | 111.5 ± 6.8 | 174.2 ± 13.0 *** # |
| 24 months old | 116.8 ± 8.2 | 86.4 ± 7.4 | 118.4 ± 7.6 | 191.8 ± 14.0 **** ## |
| 30 months old | 148.3 ± 8.5 ** # $ % | 129.6 ± 6.4 * ## $ % | 103.4 ± 6.1 | 368.9 ± 5.5 **** #### $$$$ %%%% |
| PAB | AOPP | MDA | HNE | |
|---|---|---|---|---|
| Con | 100 ± 8.4 | 100 ± 3.9 | 100 ± 9.5 | 100 ± 8.1 |
| 12 months old | 113.9 ± 6.8 | 113.5 ± 4.8 | 115.5 ± 10.1 | 125.6 ± 10.7 |
| 18 months old | 91.9 ± 4.1 | 122.3 ± 6.5 | 126.7 ± 9.8 | 174.2 ± 13.0** # |
| 24 months old | 130.5 ± 5.1 * $$ | 115.8 ± 9.9 | 169.4 ± 10.6 *** # $ | 191.8 ± 14.0 **** ## $$$$ |
| 30 months old | 144.0 ± 8.8 ** # $$$ | 140.9 ± 5.0 ** # | 132.0 ± 10.3 | 368.9 ± 5.5 **** #### $$$$ |
| Body Weight | Liver | Heart | Kidney | |
|---|---|---|---|---|
| Con | 435.0 ± 5.0 | 32.5 ± 2.3 | 2.8 ± 0.0 | 7.1 ± 0.1 |
| 200 mg/kg | 433.5 ± 12.5 | 31.9 ± 0.7 | 3.0 ± 0.1 | 6.4 ± 0.2 |
| 500 mg/kg | 400.0 ± 0.0 | 29.4 ± 0.5 | 2.97 ± 0.1 | 6.4 ± 0.0 |
Disclaimer/Publisher’s Note: The statements, opinions and data contained in all publications are solely those of the individual author(s) and contributor(s) and not of MDPI and/or the editor(s). MDPI and/or the editor(s) disclaim responsibility for any injury to people or property resulting from any ideas, methods, instructions or products referred to in the content. |
© 2025 by the authors. Licensee MDPI, Basel, Switzerland. This article is an open access article distributed under the terms and conditions of the Creative Commons Attribution (CC BY) license (https://creativecommons.org/licenses/by/4.0/).
Share and Cite
Martinovic, J.; Gusevac Stojanovic, I.; Nesic, S.; Todorovic, A.; Bobic, K.; Stankovic, S.; Drakulic, D. Chronic Oral D-Galactose Induces Oxidative Stress but Not Overt Organ Dysfunction in Male Wistar Rats. Curr. Issues Mol. Biol. 2025, 47, 161. https://doi.org/10.3390/cimb47030161
Martinovic J, Gusevac Stojanovic I, Nesic S, Todorovic A, Bobic K, Stankovic S, Drakulic D. Chronic Oral D-Galactose Induces Oxidative Stress but Not Overt Organ Dysfunction in Male Wistar Rats. Current Issues in Molecular Biology. 2025; 47(3):161. https://doi.org/10.3390/cimb47030161
Chicago/Turabian StyleMartinovic, Jelena, Ivana Gusevac Stojanovic, Sladjan Nesic, Ana Todorovic, Katarina Bobic, Sanja Stankovic, and Dunja Drakulic. 2025. "Chronic Oral D-Galactose Induces Oxidative Stress but Not Overt Organ Dysfunction in Male Wistar Rats" Current Issues in Molecular Biology 47, no. 3: 161. https://doi.org/10.3390/cimb47030161
APA StyleMartinovic, J., Gusevac Stojanovic, I., Nesic, S., Todorovic, A., Bobic, K., Stankovic, S., & Drakulic, D. (2025). Chronic Oral D-Galactose Induces Oxidative Stress but Not Overt Organ Dysfunction in Male Wistar Rats. Current Issues in Molecular Biology, 47(3), 161. https://doi.org/10.3390/cimb47030161

