Effects of Letrozole Treatment and Vitamin C Supplementation on Morphology, Endoplasmic Reticulum Stress, Programmed Cell Death, and Oxidative Stress in the Small Intestine of Adult Male Rats
Abstract
1. Introduction
2. Materials and Methods
3. Results
3.1. Morphology
3.2. Morphometry
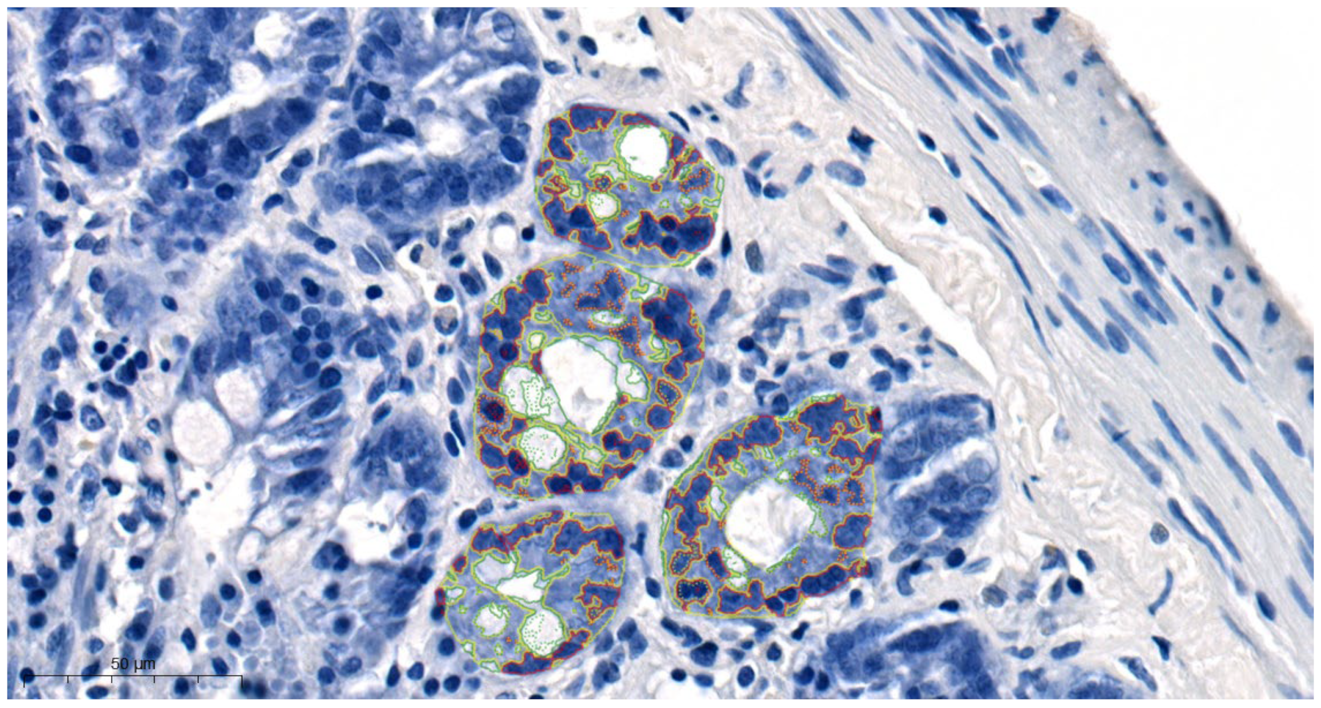
3.3. IHC Staining
3.4. Digital Analysis
4. Discussion
5. Conclusions
Author Contributions
Funding
Institutional Review Board Statement
Informed Consent Statement
Data Availability Statement
Conflicts of Interest
References
- Chen, C.; Gong, X.; Yang, X.; Shang, X.; Du, Q.; Liao, Q.; Xie, R.; Chen, Y.; Xu, J. The Roles of Estrogen and Estrogen Receptors in Gastrointestinal Disease (Review). Oncol. Lett. 2019, 18, 5673–5680. [Google Scholar] [CrossRef]
- Hong, Y.; Rashid, R.; Chen, S. Binding Features of Steroidal and Nonsteroidal Inhibitors. Steroids 2011, 76, 802–806. [Google Scholar] [CrossRef]
- Kondarewicz, A.; Kolasa, A.; Zawiślak, B.; Baranowska-Bosiacka, I.; Marchlewicz, M.; Wenda-Różewicka, L.; Wiszniewska, B. Testis Morphology in Rats Chronically Treated with Letrozole, an Aromatase Inhibitor. Folia Histochem. Cytobiol. 2011, 49, 677–684. [Google Scholar] [CrossRef]
- Misiakiewicz-Has, K.; Pilutin, A.; Wiszniewska, B. Influence of Hormonal Imbalance on the Integrity of Seminiferous Epithelium in the Testes of Adult Rats Chronically Exposed to Letrozole and Rats Exposed to Soya Isoflavones during the Prenatal Period, Lactation, and up to Sexual Maturity. Reprod. Biol. 2021, 21, 100562. [Google Scholar] [CrossRef]
- Pilutin, A.; Misiakiewicz-Has, K.; Rzeszotek, S.; Wiszniewska, B. Morphological and Morphometric Changes and Epithelial Apoptosis Are Induced in the Rat Epididymis by Long-Term Letrozole Treatment. Eur. J. Histochem. EJH 2021, 65, 3259. [Google Scholar] [CrossRef]
- Pilutin, A.; Misiakiewicz-Has, K.; Kolasa-Wołosiuk, A.; Trybek, G.; Urban, F.; Marchlewicz, M.; Leszczyński, B.; Wróbel, A.; Wiszniewska, B. Morphology and Serum and Bone Tissue Calcium and Magnesium Concentrations in the Bones of Male Rats Chronically Treated with Letrozole, a Nonsteroidal Cytochrome P450 Aromatase Inhibitor. Connect. Tissue Res. 2021, 62, 454–463. [Google Scholar] [CrossRef]
- Hussain, T.; Kandeel, M.; Metwally, E.; Murtaza, G.; Kalhoro, D.H.; Yin, Y.; Tan, B.; Chughtai, M.I.; Yaseen, A.; Afzal, A.; et al. Unraveling the Harmful Effect of Oxidative Stress on Male Fertility: A Mechanistic Insight. Front. Endocrinol. 2023, 14, 1070692. [Google Scholar] [CrossRef]
- Manolagas, S.C. From Estrogen-Centric to Aging and Oxidative Stress: A Revised Perspective of the Pathogenesis of Osteoporosis. Endocr. Rev. 2010, 31, 266–300. [Google Scholar] [CrossRef] [PubMed]
- Cao, S.S.; Kaufman, R.J. Endoplasmic Reticulum Stress and Oxidative Stress in Cell Fate Decision and Human Disease. Antioxid. Redox Signal. 2014, 21, 396–413. [Google Scholar] [CrossRef] [PubMed]
- Bhattarai, K.R.; Riaz, T.A.; Kim, H.-R.; Chae, H.-J. The Aftermath of the Interplay between the Endoplasmic Reticulum Stress Response and Redox Signaling. Exp. Mol. Med. 2021, 53, 151–167. [Google Scholar] [CrossRef] [PubMed]
- Wang, C.; Wang, P.; Liu, J.-C.; Zhao, Z.-A.; Guo, R.; Li, Y.; Liu, Y.-S.; Li, S.-G.; Zhao, Z.-G. Interaction of Estradiol and Endoplasmic Reticulum Stress in the Development of Esophageal Carcinoma. Front. Endocrinol. 2020, 11, 410. [Google Scholar] [CrossRef] [PubMed]
- Betteridge, D.J. What is oxidative stress? Metabolism 2000, 49, 3–8. [Google Scholar] [CrossRef]
- Nandi, A.; Yan, L.-J.; Jana, C.K.; Das, N. Role of catalase in oxidative stress- and age-associated degenerative diseases. Oxid. Med. Cell. Longev. 2019, 2019, 9613090. [Google Scholar] [CrossRef] [PubMed]
- Almanza, A.; Carlesso, A.; Chintha, C.; Creedican, S.; Doultsinos, D.; Leuzzi, B.; Luís, A.; McCarthy, N.; Montibeller, L.; More, S.; et al. Endoplasmic Reticulum Stress Signalling—From Basic Mechanisms to Clinical Applications. FEBS J. 2019, 286, 241–278. [Google Scholar] [CrossRef] [PubMed]
- Rzeszotek, S.; Trybek, G.; Tarnowski, M.; Serwin, K.; Jaroń, A.; Schneider, G.; Kolasa, A.; Wiszniewska, B. Colostrum-Induced Temporary Changes in the Expression of Proteins Regulating the Epithelial Barrier Function in the Intestine. Foods 2022, 11, 685. [Google Scholar] [CrossRef] [PubMed]
- Aitken, R.J.; Roman, S.D. Antioxidant Systems and Oxidative Stress in the Testes. Oxid. Med. Cell. Longev. 2008, 1, 15–24. [Google Scholar] [CrossRef]
- Aumailley, L.; Dubois, M.J.; Brennan, T.A.; Garand, C.; Paquet, E.R.; Pignolo, R.J.; Marette, A.; Lebel, M. Serum Vitamin C Levels Modulate the Lifespan and Endoplasmic Reticulum Stress Response Pathways in Mice Synthesizing a Nonfunctional Mutant WRN Protein. FASEB J. 2018, 32, 3623–3640. [Google Scholar] [CrossRef] [PubMed]
- Kosik-Bogacka, D.I.; Baranowska-Bosiacka, I.; Marchlewicz, M.; Kolasa, A.; Jakubowska, K.; Olszewska, M.; Łanocha, N.; Wiernicki, I.; Millo, B.; Wiszniewska, B.; et al. The effect of L-ascorbic acid and/or tocopherol supplementation on electrophysiological parameters of the colon of rats chronically exposed to lead. Med. Sci. Monit. 2011, 17, BR16–BR26. [Google Scholar] [CrossRef]
- Montanholi, Y.; Fontoura, A.; Swanson, K.; Coomber, B.; Yamashiro, S.; Miller, S. Small intestine histomorphometry of beef cattle with divergent feed efficiency. Acta Vet. Scand. 2013, 55, 9. [Google Scholar] [CrossRef]
- Shilpi, S.; Shivvedi, R.; Singh, A.; Kumar, A.; Saraogi, G.K.; Jain, V.; Khatri, K. Vitamin-C: Properties, Function and Application in Cancer Therapy. J. Cancer Prev. Curr. Res. 2018, 9, 331–334. [Google Scholar] [CrossRef][Green Version]
- Kondo, T.; Hayashi, S. Mechanisms of Cell Height Changes That Mediate Epithelial Invagination. Dev. Growth Differ. 2015, 57, 313–323. [Google Scholar] [CrossRef]
- Zhao, L.; Quan, Y.; Wang, J.; Wang, F.; Zheng, Y.; Zhou, A. Vitamin C Inhibit the Proliferation, Migration and Epithelial-Mesenchymal-Transition of Lens Epithelial Cells by Destabilizing HIF-1α. Int. J. Clin. Exp. Med. 2015, 8, 15155–15163. [Google Scholar]
- Metzler, M.; Pfeiffer, E. Effects of Estrogens on Microtubule Polymerization in Vitro: Correlation with Estrogenicity. Environ. Health Perspect. 1995, 103, 21–22. [Google Scholar] [CrossRef] [PubMed]
- Marchlewicz, M.; Wiszniewska, B.; Kurzawa, R.; Wenda-Rózewicka, L. Possible Involvement of Microtubules and Microfilaments of the Epididymal Epithelial Cells in 17beta-Estradiol Synthesis. Folia Histochem. Cytobiol. 2004, 42, 19–27. [Google Scholar] [CrossRef] [PubMed]
- Aizu-Yokota, E.; Susaki, A.; Sato, Y. Natural Estrogens Induce Modulation of Microtubules in Chinese Hamster V79 Cells in Culture. Cancer Res. 1995, 55, 1863–1868. [Google Scholar] [PubMed]
- Wada-Hiraike, O.; Imamov, O.; Hiraike, H.; Hultenby, K.; Schwend, T.; Omoto, Y.; Warner, M.; Gustafsson, J.A. Role of estrogen receptor beta in colonic epithelium. Proc. Natl. Acad. Sci. USA 2006, 103, 2959–2964. [Google Scholar] [CrossRef] [PubMed]
- Amer, S.A.; Mohamed, W.A.M.; Gharib, H.S.A.; Al-Gabri, N.A.; Gouda, A.; Elabbasy, M.T.; Abd El-Rahman, G.I.; Omar, A.E. Changes in the Growth, Ileal Digestibility, Intestinal Histology, Behavior, Fatty Acid Composition of the Breast Muscles, and Blood Biochemical Parameters of Broiler Chickens by Dietary Inclusion of Safflower Oil and Vitamin C. BMC Vet. Res. 2021, 17, 68. [Google Scholar] [CrossRef] [PubMed]
- Mikirova, N.; Jackson, N.; Riordan, N. The effect of high dose IV vitamin C on plasma antioxidant capacity and level of oxidative stress in cancer patients and healthy subjects. JOM 2007, 22, 153–160. [Google Scholar]
- Huang, Y.-N.; Yang, L.-Y.; Wang, J.-Y.; Lai, C.-C.; Chiu, C.-T.; Wang, J.-Y. L-Ascorbate Protects Against Methamphetamine-Induced Neurotoxicity of Cortical Cells via Inhibiting Oxidative Stress, Autophagy, and Apoptosis. Mol. Neurobiol. 2017, 54, 125–136. [Google Scholar] [CrossRef] [PubMed]
- Chimento, A.; De Luca, A.; Avena, P.; De Amicis, F.; Casaburi, I.; Sirianni, R.; Pezzi, V. Estrogen Receptors-Mediated Apoptosis in Hormone-Dependent Cancers. Int. J. Mol. Sci. 2022, 23, 1242. [Google Scholar] [CrossRef]
- Monroe, D.G.; Berger, R.R.; Sanders, M.M. Tissue-Protective Effects of Estrogen Involve Regulation of Caspase Gene Expression. Mol. Endocrinol. 2002, 16, 1322–1331. [Google Scholar] [CrossRef][Green Version]
- Henderson, V.W. The Epidemiology of Estrogen Replacement Therapy and Alzheimer’s Disease. Neurology 1997, 48, 27S–35S. [Google Scholar] [CrossRef]
- Alvarez, R.J.; Gips, S.J.; Moldovan, N.; Wilhide, C.C.; Milliken, E.E.; Hoang, A.T.; Hruban, R.H.; Silverman, H.S.; Dang, C.V.; Goldschmidt-Clermont, P.J. 17β-Estradiol Inhibits Apoptosis of Endothelial Cells. Biochem. Biophys. Res. Commun. 1997, 237, 372–381. [Google Scholar] [CrossRef] [PubMed]
- Pentikäinen, V.; Erkkilä, K.; Suomalainen, L.; Parvinen, M.; Dunkel, L. Estradiol Acts as a Germ Cell Survival Factor in the Human Testis in Vitro. J. Clin. Endocrinol. Metab. 2000, 85, 2057–2067. [Google Scholar] [CrossRef] [PubMed]
- Nicholson, D. Caspase Structure, Proteolytic Substrates, and Function during Apoptotic Cell Death. Cell Death Differ. 1999, 6, 1028–1042. [Google Scholar] [CrossRef]
- Chandra, J.; Samali, A.; Orrenius, S. Triggering and Modulation of Apoptosis by Oxidative Stress. Free Radic. Biol. Med. 2000, 29, 323–333. [Google Scholar] [CrossRef]
- Vissers, M.C.M.; Lee, W.-G.; Hampton, M.B. Regulation of Apoptosis by Vitamin C. J. Biol. Chem. 2001, 276, 46835–46840. [Google Scholar] [CrossRef] [PubMed]
- Elliot, S.J.; Catanuto, P.; Pereira-Simon, S.; Xia, X.; Pastar, I.; Thaller, S.; Head, C.R.; Stojadinovic, O.; Tomic-Canic, M.; Glassberg, M.K. Catalase, a therapeutic target in the reversal of estro-gen-mediated aging. Mol. Ther. 2022, 30, 947–962. [Google Scholar] [CrossRef]
- Sushma Reddy, P.; Begum, N.; Mutha, S.; Bakshi, V. Beneficial effect of Curcumin in Letrozole induced polycystic ovary syndrome. Asian Pac. J. Reprod. 2016, 5, 116–122. [Google Scholar] [CrossRef]
- Pandey, V.; Singh, A.; Singh, A.; Krishna, A.; Pandey, U.; Bhusan Tripathi, Y. Role of oxidative stress and low-grade inflammation in letrozole-induced poly-cystic ovary syndrome in the rat. Rep. Biol. 2016, 16, 70–77. [Google Scholar] [CrossRef]
- Kaźmierczak-Barańska, J.; Boguszewska, K.; Adamus-Grabicka, A.; Karwowski, B.T. Two Faces of Vitamin C—Antioxidative and Pro-Oxidative Agent. Nutrients 2020, 12, 1501. [Google Scholar] [CrossRef] [PubMed]
- Schenkel, P.C.; Fernandes, R.O.; Viegas, V.U.; Campos, C.; Fernandes, T.R.; Araujo, A.S.; Belló-Klein, A. Catalase influence in the regulation of coronary resistance by estrogen: Joint action of nitric oxide and hydrogen peroxide. Oxid. Med. Cell. Longev. 2014, 2014, 159852. [Google Scholar] [CrossRef] [PubMed]
- Sheng-Huang, C.; Chieh-Hsin, C.; Mu-Chun, Y.; Wen-Tung, H.; Chia-Ying, H.; Ya-Ting, H.; Wan-Ling, S.U.; Jiuan-Jen, S.; Chih-Yang, H.; Jer-Yuh, L. Effects of estrogen on glutathione and catalase levels in hu-man erythrocyte during menstrual cycle. Biomed. Rep. 2015, 3, 266–268. [Google Scholar] [CrossRef] [PubMed]





| No. | Group | Description | Treatment | 
|---|---|---|---|
| I | CTRL | Control group | A bread pellet | 
| II | CTRL+C | Control group supplemented with vitamin C | A bread pellet + water with vitamin C, at a dose of 500 mg/L of water | 
| III | LET | Letrozole-treated group | A bread pellet with LET at a dose of 1 mg/kg b. w./day | 
| IV | LET+C | Letrozole-treated and vitamin C-supplemented group | A bread pellet with LET at a dose of 1 mg/kg b. w./day + water with vitamin C at a dose of 500 mg/L | 
| Groups | ||||
|---|---|---|---|---|
| CTRL | CTRL+C | LET | LET+C | |
| Epithelium thickness [µm] X ± SD Me | 25.18 ± 5.25 25.01 | 22.95 ± 5.38 23.29 | 18.19 ± 5.72 17.42 * | 14.59 ± 3.62 13.78 # | 
| Crypt area [µm2] X ± SD Me | 1462.35 ± 347.68 1418.367 | 1523.86 ± 533.43 1459.98 | 1651.31 ± 519.98 1592.32 * | 1867.65 ± 608.13 1771.39 # | 
| Crypt perimeter [µm] X ± SD Me | 144.48 ± 20.63 142.82 | 145.22 ± 26.05 143.28 | 153.32 ± 25.14 151.06 * | 162.97 ± 27.35 162.28 # | 
| Cell size [µm2] X ± SD Me | 55.97 ± 17.4 54.84 | 62.46 ± 29.50 55.37 | 69.37 ± 23.91 62.90 * | 76.74 ± 26.59 72.73 | 
| Nuclei number X ± SD Me | 23.9 ± 4.02 23.00 | 23.16 ± 3.79 22.00 | 23.86 ± 4.11 23.00 | 23.90 ± 4.71 23.00 | 
| PERK [% of area] X ± SD Me | 0.58 ± 0.24 0.51 | 2.34 ± 2.08 1.67 | 2.40 ± 0.72 2.15 * | 4.77 ± 2.73 4.28 # | 
| Catalase [% of area] X ± SD Me | 0.67 ± 0.29 0.58 | 0.41 ± 0.12 0.40 | 0.22 ± 0.05 0.21 * | 1.79 ± 0.97 1.71 # | 
| Caspase-3 [% of area] X ± SD Me | 4.56 ± 3.56 3.91 | 4.48 ± 4.76 3.26 | 18.75 ± 12.13 16.89 * | 9.19 ± 9.71 6.33 # | 
| Disclaimer/Publisher’s Note: The statements, opinions and data contained in all publications are solely those of the individual author(s) and contributor(s) and not of MDPI and/or the editor(s). MDPI and/or the editor(s) disclaim responsibility for any injury to people or property resulting from any ideas, methods, instructions or products referred to in the content. | 
© 2024 by the authors. Licensee MDPI, Basel, Switzerland. This article is an open access article distributed under the terms and conditions of the Creative Commons Attribution (CC BY) license (https://creativecommons.org/licenses/by/4.0/).
Share and Cite
Pilutin, A.; Rzeszotek, S.; Wilk, A.; Klimaszewska, K.; Łukasiewicz, J.; Mafuta, R.L.; Nagendran, T.; Ndambara, R.; Wiszniewska, B. Effects of Letrozole Treatment and Vitamin C Supplementation on Morphology, Endoplasmic Reticulum Stress, Programmed Cell Death, and Oxidative Stress in the Small Intestine of Adult Male Rats. Curr. Issues Mol. Biol. 2024, 46, 1943-1954. https://doi.org/10.3390/cimb46030127
Pilutin A, Rzeszotek S, Wilk A, Klimaszewska K, Łukasiewicz J, Mafuta RL, Nagendran T, Ndambara R, Wiszniewska B. Effects of Letrozole Treatment and Vitamin C Supplementation on Morphology, Endoplasmic Reticulum Stress, Programmed Cell Death, and Oxidative Stress in the Small Intestine of Adult Male Rats. Current Issues in Molecular Biology. 2024; 46(3):1943-1954. https://doi.org/10.3390/cimb46030127
Chicago/Turabian StylePilutin, Anna, Sylwia Rzeszotek, Aleksandra Wilk, Klaudia Klimaszewska, Julia Łukasiewicz, Rufaro Lynnette Mafuta, Thanushan Nagendran, Rupia Ndambara, and Barbara Wiszniewska. 2024. "Effects of Letrozole Treatment and Vitamin C Supplementation on Morphology, Endoplasmic Reticulum Stress, Programmed Cell Death, and Oxidative Stress in the Small Intestine of Adult Male Rats" Current Issues in Molecular Biology 46, no. 3: 1943-1954. https://doi.org/10.3390/cimb46030127
APA StylePilutin, A., Rzeszotek, S., Wilk, A., Klimaszewska, K., Łukasiewicz, J., Mafuta, R. L., Nagendran, T., Ndambara, R., & Wiszniewska, B. (2024). Effects of Letrozole Treatment and Vitamin C Supplementation on Morphology, Endoplasmic Reticulum Stress, Programmed Cell Death, and Oxidative Stress in the Small Intestine of Adult Male Rats. Current Issues in Molecular Biology, 46(3), 1943-1954. https://doi.org/10.3390/cimb46030127
 
        

 
       