Sign in to use this feature.

Years

Between: -

Subjects

remove_circle_outline
remove_circle_outline
remove_circle_outline

Journals

Article Types

Countries / Regions

Search Results (2)

Search Parameters:
Keywords = primary renal angiosarcoma

Order results
Result details
Results per page
Select all
Export citation of selected articles as:
6 pages, 1047 KB  
Case Report
Primary Renal Angiosarcoma: Rare Tumour with Lethal Outcomes
by Zilvinas Venclovas, Aurelija Alksnyte, Urte Rimsaite, Tomas Navickis, Mindaugas Jievaltas and Daimantas Milonas
Medicina 2024, 60(6), 885; https://doi.org/10.3390/medicina60060885 - 28 May 2024
Viewed by 1906
Abstract
Introduction: Renal haemangioma is a benign tumour, and due to its characteristics, it must be distinguished from malignant diseases. We present a clinical case of primary renal angiosarcoma initially mistaken for haemangioma due to their similarity. Case report: A 58-year-old man [...] Read more.
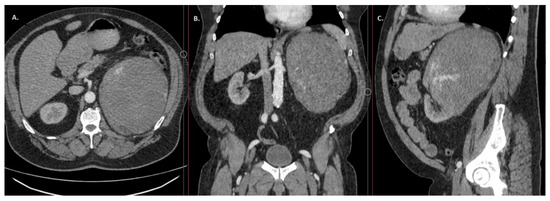
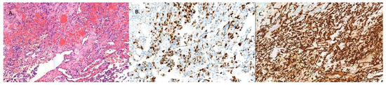
Introduction: Renal haemangioma is a benign tumour, and due to its characteristics, it must be distinguished from malignant diseases. We present a clinical case of primary renal angiosarcoma initially mistaken for haemangioma due to their similarity. Case report: A 58-year-old man was admitted to the hospital with suspicion of pulmonary embolism. The patient complained of pain on the left side. An ultrasound and CT scan of the abdomen showed a tumour mass ~20.5 × 17.2 × 15.4 cm in size in the projection of the left kidney. On CT images, there were data for clear cell renal clear cell carcinoma (ccRCC). A left nephrectomy was performed. However, histological examination revealed renal haemangioma. Three months later, the patient presented to the hospital with abdominal and lumbar pain. A CT scan showed multiple small hypoechoic foci up to 2 cm in size in the liver, lungs, and intra-abdominally, with the most data for carcinosis. Histological re-verification of the left kidney showed a renal vascular tumour with pronounced signs of infarction and necrosis with the majority of the evidence supporting angiosarcoma. Despite treatment, the patient’s outcome was fatal. Conclusions: Based on the clinical presentation, radiological images and histological examination data, the tumour was initially misdiagnosed as kidney haemangioma. Due to the rarity of this tumour, there are no established treatment protocols or clinical guidelines for managing primary kidney angiosarcoma. Full article
(This article belongs to the Section Oncology)
Show Figures

Figure 1

4 pages, 2679 KB  
Case Report
Anastomosing Hemangioma of the Kidney: Radiologic and Pathologic Distinctions of a Kidney Cancer Mimic
by P.M. Cheon, R. Rebello, A. Naqvi, S. Popovic, M. Bonert and A. Kapoor
Curr. Oncol. 2018, 25(3), 220-223; https://doi.org/10.3747/co.25.3927 - 1 Jun 2018
Cited by 28 | Viewed by 1405
Abstract
Anastomosing hemangioma (AH) is a rare subtype of primary vascular tumour that can, clinically and radiologically, present similarly to malignant renal tumours such as renal cell carcinoma (RCC) and angiosarcoma. Rarely seen in the genitourinary system, the ah we report here occurred in [...] Read more.
Anastomosing hemangioma (AH) is a rare subtype of primary vascular tumour that can, clinically and radiologically, present similarly to malignant renal tumours such as renal cell carcinoma (RCC) and angiosarcoma. Rarely seen in the genitourinary system, the ah we report here occurred in a 40-year-old male patient diagnosed initially with rcc based on imaging and successfully treated by laparoscopic left radical nephrectomy, with adrenal sparing and perihilar lymph node dissection. The pathologic diagnosis of ah can be challenging on small biopsy specimens; we therefore opine that it is appropriate to excise these lesions to facilitate diagnosis and definitively exclude common renal cancers. However, in this review, we describe some radiologic and pathologic distinctions between ah and malignant tumours. Full article
Back to TopTop