Sign in to use this feature.

Years

Between: -

Subjects

remove_circle_outline

Journals

Article Types

Countries / Regions

Search Results (1)

Search Parameters:
Keywords = extraluminal tracheal prosthesis (ELP)

Order results
Result details
Results per page
Select all
Export citation of selected articles as:
12 pages, 10990 KB  
Case Report
Tracheal External Support Using a Polypropylene Linear Prosthesis for Tracheal Stent Fracture in a Dog: A Case Report
by Tomohiro Yoshida, Ryou Tanaka, Kazuyuki Terai, Aki Takeuchi, Akari Hatanaka, Daisuke Ito and Takashi Tanaka
Animals 2026, 16(2), 171; https://doi.org/10.3390/ani16020171 - 7 Jan 2026
Viewed by 4
Abstract
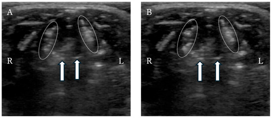
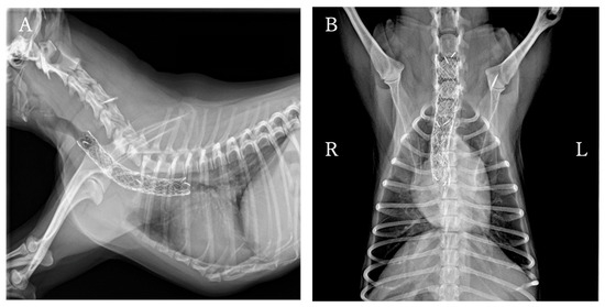
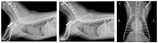
Tracheal stent fracture is a major complication of endoluminal tracheal stent (ELS) for canine tracheal collapse, and optimal management strategies remain unclear. A 4-year-old Yorkshire Terrier presented with respiratory distress caused by complete ELS fracture. Imaging and bronchoscopy revealed intraluminal protrusion of fractured [...] Read more.
Tracheal stent fracture is a major complication of endoluminal tracheal stent (ELS) for canine tracheal collapse, and optimal management strategies remain unclear. A 4-year-old Yorkshire Terrier presented with respiratory distress caused by complete ELS fracture. Imaging and bronchoscopy revealed intraluminal protrusion of fractured stent segments, ventral tracheal cartilage invagination, and marked luminal deformation. A polypropylene linear prosthesis (PLLP) was selected as an external tracheal support. Its continuous band-like structure allowed broad and uniform reinforcement of the tracheal wall and redistribution of mechanical stress. PLLP placement successfully restored a near-normal tracheal contour and stabilized the fractured stent without introducing additional intraluminal material. Postoperative bronchoscopy confirmed improved tracheal patency, and no further deformation or stent damage was observed despite several months of altered airway dynamics associated with laryngeal paralysis. This case suggests that PLLP may represent a valid surgical option for managing tracheal stent fracture in dogs. Full article
(This article belongs to the Special Issue Surgical Procedures and Postoperative Complications in Animals)
Show Figures

Figure 1

Back to TopTop