Sign in to use this feature.

Years

Between: -

Subjects

remove_circle_outline
remove_circle_outline
remove_circle_outline

Journals

Article Types

Countries / Regions

Search Results (3)

Search Parameters:
Keywords = anomalous right coronary artery from the pulmonary artery (ARCAPA)

Order results
Result details
Results per page
Select all
Export citation of selected articles as:
3 pages, 358 KB  
Interesting Images
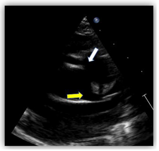
An Uncommon Cause of Angina
by David S. Majdalany, Elaina A. Blickenstaff, Francois Marcotte and Jason H. Anderson
Diagnostics 2025, 15(17), 2241; https://doi.org/10.3390/diagnostics15172241 - 4 Sep 2025
Viewed by 685
Abstract
Coronary anomalies, although rare, should be considered when young patients present with angina. Clinical suspicion and multi-modality imaging including coronary angiography and tomographic imaging should be pursued for symptomatic patients such as the one we are presenting with anomalous right coronary artery from [...] Read more.
Coronary anomalies, although rare, should be considered when young patients present with angina. Clinical suspicion and multi-modality imaging including coronary angiography and tomographic imaging should be pursued for symptomatic patients such as the one we are presenting with anomalous right coronary artery from the pulmonary artery. She was promptly referred for surgical intervention with re-implantation of the right coronary artery onto the aorta. Full article
Show Figures

Figure 1

7 pages, 2617 KB  
Case Report
Anomalous Right Coronary Artery in the Setting of Active Tuberculosis: A Multidisciplinary Management Challenge
by Ana Peruničić, Matija Furtula, Stefan Veljković, Jovana Lakčević, Armin Šljivo, Valentina Balint, Slobodan Tomić, Sanja Vučinić, Milovan Bojić and Aleksandra Nikolić
Life 2025, 15(5), 736; https://doi.org/10.3390/life15050736 - 1 May 2025
Viewed by 896
Abstract
Anomalous origin of the right coronary artery from the pulmonary artery (ARCAPA) is a rare congenital coronary anomaly, with an uncertain prevalence and often diagnosed incidentally. This case report presents a 62-year-old male with ARCAPA diagnosed during an evaluation for chest surgery. The [...] Read more.
Anomalous origin of the right coronary artery from the pulmonary artery (ARCAPA) is a rare congenital coronary anomaly, with an uncertain prevalence and often diagnosed incidentally. This case report presents a 62-year-old male with ARCAPA diagnosed during an evaluation for chest surgery. The patient had a history of colon cancer and active tuberculosis, complicating the clinical management. He reported chest pain, shortness of breath, and palpitations, with atrial fibrillation observed on a 24 h Holter ECG. Coronary angiography revealed robust collateral circulation and a suspected anomalous origin of the right coronary artery, confirmed by CT imaging. The patient’s stress MRI showed mildly reduced left and right ventricular ejection fractions and perfusion deficits in the apical segments (2/17) of the septal and inferior walls. Given the patient’s comorbidities, including active tuberculosis, the Heart team decided on a non-operative management approach, focusing on careful monitoring and pharmacological management rather than immediate surgery. This case emphasizes the complexity of managing ARCAPA in the context of significant comorbidities, highlighting the importance of individualized, multidisciplinary treatment strategies. Early diagnosis using advanced imaging techniques is crucial, and a non-operative approach can be considered in patients with preserved left ventricular function and no significant ischemia, as demonstrated in this case. Full article
(This article belongs to the Special Issue Advanced Heart Failure and Transplant Cardiology)
Show Figures

Figure 1

11 pages, 2993 KB  
Case Report
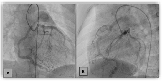
Challenging Diagnosis of Anomalous Origin of the Right Coronary Artery from the Pulmonary Artery
by Hiyam Mahmoud, Eliza Cinteză, Cristiana Voicu, Irina Mărgărint, Iulian Rotaru, Amelia Aria, Tammam Youssef and Alin Nicolescu
Diagnostics 2022, 12(11), 2671; https://doi.org/10.3390/diagnostics12112671 - 3 Nov 2022
Cited by 5 | Viewed by 3130
Abstract
Anomalous origin of the right coronary artery (RCA) from the pulmonary artery, ARCAPA, is an extremely rare congenital heart disease. Only 200 cases were reported from 1885 to the present. Patients diagnosed with ARCAPA can be either asymptomatic or can experience symptoms, such [...] Read more.
Anomalous origin of the right coronary artery (RCA) from the pulmonary artery, ARCAPA, is an extremely rare congenital heart disease. Only 200 cases were reported from 1885 to the present. Patients diagnosed with ARCAPA can be either asymptomatic or can experience symptoms, such as heart murmur, dyspnea, or angina, shortly after birth or around 40–60 years of life. Usually, those with isolated ARCAPA are diagnosed later in life compared to those who associate other structural cardiac defects. We report two cases of anomalous origin of the right coronary artery at the level of the pulmonary artery trunk (ARCAPA) that were diagnosed by invasive coronary angiography. Although asymptomatic, general recommendations suggest an early corrective intervention to prevent complications such as myocardial ischemia and cardiac dysfunction, which can lead to sudden cardiac death. Full article
(This article belongs to the Section Medical Imaging and Theranostics)
Show Figures

Figure 1

Back to TopTop