Sign in to use this feature.

Years

Between: -

Subjects

remove_circle_outline
remove_circle_outline

Journals

Article Types

Countries / Regions

Search Results (1)

Search Parameters:
Keywords = a-synucleopathies

Order results
Result details
Results per page
Select all
Export citation of selected articles as:
18 pages, 2608 KB  
Article
Disease-Specific Changes in Reelin Protein and mRNA in Neurodegenerative Diseases
by Laia Lidón, Laura Urrea, Franc Llorens, Vanessa Gil, Ignacio Alvarez, Monica Diez-Fairen, Miguel Aguilar, Pau Pastor, Inga Zerr, Daniel Alcolea, Alberto Lleó, Enric Vidal, Rosalina Gavín, Isidre Ferrer and Jose Antonio Del Rio
Cells 2020, 9(5), 1252; https://doi.org/10.3390/cells9051252 - 19 May 2020
Cited by 13 | Viewed by 6082
Abstract
Reelin is an extracellular glycoprotein that modulates neuronal function and synaptic plasticity in the adult brain. Decreased levels of Reelin activity have been postulated as a key factor during neurodegeneration in Alzheimer’s disease (AD) and in aging. Thus, changes in levels of full-length [...] Read more.
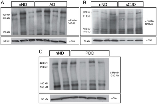
Reelin is an extracellular glycoprotein that modulates neuronal function and synaptic plasticity in the adult brain. Decreased levels of Reelin activity have been postulated as a key factor during neurodegeneration in Alzheimer’s disease (AD) and in aging. Thus, changes in levels of full-length Reelin and Reelin fragments have been revealed in cerebrospinal fluid (CSF) and in post-mortem brains samples of AD patients with respect to non-AD patients. However, conflicting studies have reported decreased or unchanged levels of full-length Reelin in AD patients compared to control (nND) cases in post-mortem brains and CSF samples. In addition, a compelling analysis of Reelin levels in neurodegenerative diseases other than AD is missing. In this study, we analyzed brain levels of RELN mRNA and Reelin protein in post-mortem frontal cortex samples from different sporadic AD stages, Parkinson’s disease with dementia (PDD), and Creutzfeldt-Jakob disease (sCJD), obtained from five different Biobanks. In addition, we measured Reelin protein levels in CSF samples of patients with mild cognitive impairment (MCI), dementia, or sCJD diagnosis and a group of neurologically healthy cases. The results indicate an increase in RELN mRNA in the frontal cortex of advanced stages of AD and in sCJD(I) compared to controls. This was not observed in PDD and early AD stages. However, Reelin protein levels in frontal cortex samples were unchanged between nND and advanced AD stages and PDD. Nevertheless, they decreased in the CSF of patients with dementia in comparison to those not suffering with dementia and patients with MCI. With respect to sCJD, there was a tendency to increase in brain samples in comparison to nND and to decrease in the CSF with respect to nND. In conclusion, Reelin levels in CSF cannot be considered as a diagnostic biomarker for AD or PDD. However, we feel that the CSF Reelin changes observed between MCI, patients with dementia, and sCJD might be helpful in generating a biomarker signature in prodromal studies of unidentified dementia and sCJD. Full article
(This article belongs to the Section Cellular Pathology)
Show Figures

Figure 1

Back to TopTop