Sign in to use this feature.

Years

Between: -

Subjects

remove_circle_outline
remove_circle_outline

Journals

Article Types

Countries / Regions

Search Results (1)

Search Parameters:
Keywords = Strombocarpa section

Order results
Result details
Results per page
Select all
Export citation of selected articles as:
19 pages, 7906 KB  
Article
Genetic Characterization of an Endangered Chilean Endemic Species, Prosopis burkartii Muñoz, Reveals its Hybrids Parentage
by Roberto Contreras, Liesbeth van den Brink, Boris Burgos, Marlene González and Sandra Gacitúa
Plants 2020, 9(6), 744; https://doi.org/10.3390/plants9060744 - 12 Jun 2020
Cited by 12 | Viewed by 3902
Abstract
The hybridization of Prosopis burkartii, a critically endangered endemic species, and the identification of its paternal species has not been genetically studied before. In this study we aimed to genetically confirm the origin of this species. To resolve the parental status of [...] Read more.
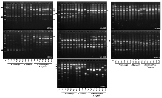
The hybridization of Prosopis burkartii, a critically endangered endemic species, and the identification of its paternal species has not been genetically studied before. In this study we aimed to genetically confirm the origin of this species. To resolve the parental status of P. burkartii, inter-simple sequence repeat (ISSR), simple sequence repeats (SSR) and intron trnL molecular markers were used, and compared with Chilean species from the Algarobia and Strombocarpa sections. Out of seven ISSRs, a total of 70 polymorphic bands were produced in four species of the Strombocarpa section. An Multi-dimensional scaling (MDS) and Bayasian (STRUCTURE) analysis showed signs of introgression of genetic material in P. burkartii. Unweighted pair group method with arithmetic average (UPGMA) cluster analysis showed three clusters, and placed the P. burkartii cluster nested within the P. tamarugo group. Sequencing of the trnL intron showed a fragment of 535 bp and 529 bp in the species of the Algarobia and Strombocarpa sections, respectively. Using maximum parsimony (MP) and maximum likelihood (ML) trees with the trnL intron, revealed four clusters. A species-specific diagnostic method was performed, using the trnL intron Single Nucleotide Polymorphism (SNP). This method identified if individuals of P. burkartii inherited their maternal DNA from P. tamarugo or from P. strombulifera. We deduced that P. tamarugo and P. strombulifera are involved in the formation of P. burkartii. Full article
Show Figures

Graphical abstract

Back to TopTop