Sign in to use this feature.

Years

Between: -

Subjects

remove_circle_outline
remove_circle_outline
remove_circle_outline
remove_circle_outline

Journals

Article Types

Countries / Regions

Search Results (7)

Search Parameters:
Keywords = Bladder EpiCheck

Order results
Result details
Results per page
Select all
Export citation of selected articles as:
38 pages, 1650 KB  
Review
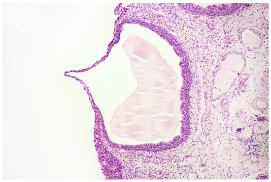
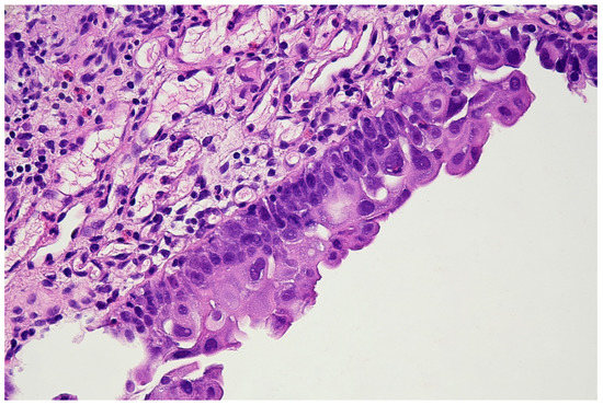
Novel Urinary Biomarkers for the Detection of Bladder Cancer
by Matthijs Oyaert, Charles Van Praet, Charlotte Delrue and Marijn M. Speeckaert
Cancers 2025, 17(8), 1283; https://doi.org/10.3390/cancers17081283 - 10 Apr 2025
Cited by 6 | Viewed by 7386
Abstract
Bladder cancer (BCa) is a highly recurrent malignancy that requires sensitive and noninvasive diagnostic and predictive markers. Conventional diagnostic tools, such as cystoscopy and urine cytology, are far from ideal in terms of sensitivity, specificity, and patient compliance. In this narrative review, the [...] Read more.
Bladder cancer (BCa) is a highly recurrent malignancy that requires sensitive and noninvasive diagnostic and predictive markers. Conventional diagnostic tools, such as cystoscopy and urine cytology, are far from ideal in terms of sensitivity, specificity, and patient compliance. In this narrative review, the development of novel urinary markers for the diagnosis of BCa is highlighted, with a focus on their application in the clinical arena, detection accuracy, and future potential. An extensive analysis of new urinary biomarkers, including proteinuria-based tests, DNA methylation biomarkers, and RNA-based molecular panels, has been conducted. Various molecular tests, such as Cxbladder®, Bladder EpiCheck®, and UroSEEK, are highly sensitive and clinically valid. Urinary biomarkers provide a promising noninvasive alternative for traditional BCa diagnostics with enhanced specificity and the possibility of early diagnosis. Future research should focus on large-scale clinical validation and standardization of biomarkers to facilitate their use in routine clinical practice. Full article
(This article belongs to the Section Cancer Biomarkers)
Show Figures

Figure 1

11 pages, 1120 KB  
Article
The Simultaneous Use of Bladder Epicheck® and Urinary Cytology Can Improve the Sensitivity and Specificity of Diagnostic Follow-Up of Urothelial Lesions: Up-to-Date Data from a Multi-Institutional Cohort
by Ludovica Pepe, Vincenzo Fiorentino, Cristina Pizzimenti, Giuseppe Riganati, Mariausilia Franchina, Marina Micali, Fernanda Russotto, Antonio Ieni, Giovanni Tuccari, Guido Fadda, Francesco Pierconti and Maurizio Martini
Diseases 2024, 12(9), 219; https://doi.org/10.3390/diseases12090219 - 18 Sep 2024
Cited by 3 | Viewed by 2510
Abstract
Background/Objectives: Bladder cancer is a prevalent urinary system malignancy and urinary cytology is widely used for its screening and follow-up. A novel diagnostic tool called Bladder Epicheck® (BE) is increasingly being used for monitoring the recurrence of non-muscle-invasive bladder cancer (NMIBC). The [...] Read more.
Background/Objectives: Bladder cancer is a prevalent urinary system malignancy and urinary cytology is widely used for its screening and follow-up. A novel diagnostic tool called Bladder Epicheck® (BE) is increasingly being used for monitoring the recurrence of non-muscle-invasive bladder cancer (NMIBC). The simultaneous use of BE and urinary cytology can increase the diagnostic performances in the follow-up of bladder neoplasms. Methods: In this multicenter study, we retrospectively evaluated the data of 322 patients in follow-up for a high-grade bladder carcinoma over a six-year period (from January 2018 to March 2024). The diagnostic performances of both cytology and BE and their combination were calculated using histology as gold standard. Results: Recurrences were diagnosed as high-grade urothelial carcinoma NMIBC in 18 cases, low-grade papillary NMIBC in 8 cases, and carcinoma in situ (CIS) in 4 cases. Cytological analysis correctly identified 26 out of 30 carcinomas, while 286 were correctly diagnosed as negative results. BE correctly identified 25 out of 30 carcinomas, 285 were correctly diagnosed as negative results. The combination of BE and urinary cytology correctly identified 29 out of 30 carcinomas, while 289 were correctly diagnosed as negative results. Conclusions: The combination of BE and cytology could be the most effective approach for follow-up diagnosis in patients with high-grade NMIBC, reducing unnecessary invasive procedures. Full article
Show Figures

Figure 1

10 pages, 282 KB  
Article
Methylation Analysis of Urinary Sample in Non-Muscle-Invasive Bladder Carcinoma: Frequency and Management of Invalid Result
by Francesco Pierconti, E. D. Rossi, V. Fiorentino, A. Bakacs, A. Carlino, E. Navarra, E. Sacco, A. Totaro, G. Palermo, L. M. Larocca and M. Martini
Biomedicines 2023, 11(12), 3288; https://doi.org/10.3390/biomedicines11123288 - 12 Dec 2023
Cited by 5 | Viewed by 1584
Abstract
Background: Numerous studies showed that methylation analysis represents a newly developed urinary marker based on DNA methylation changes in a panel of genomic biomarkers and it could represent a valid tool in terms of the diagnosis and prediction of high-grade urothelial carcinoma recurrences. [...] Read more.
Background: Numerous studies showed that methylation analysis represents a newly developed urinary marker based on DNA methylation changes in a panel of genomic biomarkers and it could represent a valid tool in terms of the diagnosis and prediction of high-grade urothelial carcinoma recurrences. One of the limits of the use of this new molecular method during a follow-up is represented by the number of invalid tests in routine practice. Method: A total of 782 patients with a diagnosis of non-muscle-invasive high-grade carcinoma (NMIBC) was studied. The Bladder EpiCheck test (BE) was performed together with cytology in all cases within 1 year after the end of treatment. In 402 patients, the urinary samples were voided urine (UV), while, in 380 cases, the samples were collected after bladder washing (IU). For all the patients with invalid BE results, a second BE test was performed following the instructions for use that indicated the test should be repeated with a new urinary sample in the case of an invalid result. Results: Analyzing the two different groups (UV and IU), we found the invalid BE results seemed to be not related to urinary samples (p = 0.13 Fisher’s exact test), suggesting that the collection method was not relevant in order to reduce the number of invalid tests. Conclusions: In the follow-up for NMIBC, for patients for whom a BE test is planned, a combined approach of cytology and a methylation test is recommended in order to repeat the BE test with an invalid result only in those cases with a cytological diagnosis of atypical urothelial cells (AUC) suspicious for high-grade urothelial carcinoma (SHGUC) and high-grade urothelial carcinoma (HGUC). Full article
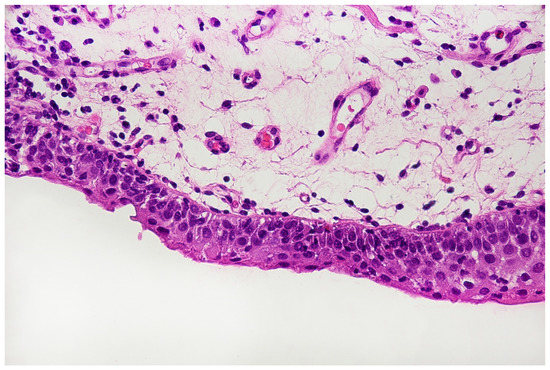
17 pages, 1034 KB  
Review
Bladder Epicheck Test: A Novel Tool to Support Urothelial Carcinoma Diagnosis in Urine Samples
by Vincenzo Fiorentino, Cristina Pizzimenti, Mariausilia Franchina, Esther Diana Rossi, Pietro Tralongo, Angela Carlino, Luigi Maria Larocca, Maurizio Martini, Guido Fadda and Francesco Pierconti
Int. J. Mol. Sci. 2023, 24(15), 12489; https://doi.org/10.3390/ijms241512489 - 6 Aug 2023
Cited by 21 | Viewed by 4586
Abstract
Bladder cancer and upper urothelial tract carcinoma are common diseases with a high risk of recurrence, thus necessitating follow-up after initial treatment. The management of non-muscle invasive bladder carcinoma (NMIBC) after transurethral resection involves surveillance, intravesical therapy, and cytology with cystoscopy. Urinary cytology, [...] Read more.
Bladder cancer and upper urothelial tract carcinoma are common diseases with a high risk of recurrence, thus necessitating follow-up after initial treatment. The management of non-muscle invasive bladder carcinoma (NMIBC) after transurethral resection involves surveillance, intravesical therapy, and cytology with cystoscopy. Urinary cytology, cystoscopy, and radiological evaluation of the upper urinary tract are recommended during follow-up in the international urological guidelines. Cystoscopy is the standard examination for the first assessment and follow-up of NMIBC, and urine cytology is a widely used urinary test with high sensitivity for high-grade urothelial carcinoma (HGUC) and carcinoma in situ (CIS). In recent years, various urinary assays, including DNA methylation markers, have been used to detect bladder tumors. Among these, the Bladder EpiCheck test is one of the most widely used and is based on analysis of the methylation profile of urothelial cells to detect bladder neoplasms. This review assesses the importance of methylation analysis and the Bladder EpiCheck test as urinary biomarkers for diagnosing urothelial carcinomas in patients in follow-up for NMIBC, helping cytology and cystoscopy in doubtful cases. A combined approach of cytology and methylation analysis is suggested not only to diagnose HGUC, but also to predict clinical and histological recurrences. Full article
(This article belongs to the Special Issue New Molecular Mechanisms and Advanced Therapies for Solid Tumors)
Show Figures

Figure 1

9 pages, 934 KB  
Article
Usefulness of the Urine Methylation Test (Bladder EpiCheck®) in Follow-Up Patients with Non-Muscle Invasive Bladder Cancer and Cytological Diagnosis of Atypical Urothelial Cells—An Institutional Study
by Karla B. Peña, Francesc Riu, Anna Hernandez, Carmen Guilarte, Joan Badia and David Parada
J. Clin. Med. 2022, 11(13), 3855; https://doi.org/10.3390/jcm11133855 - 3 Jul 2022
Cited by 10 | Viewed by 3196
Abstract
Urothelial bladder cancer is a heterogeneous disease and one of the most common cancers worldwide. Bladder cancer ranges from low-grade tumors that recur and require long-term invasive surveillance to high-grade tumors with high mortality. After the initial contemporary treatment in non-muscle invasive bladder [...] Read more.
Urothelial bladder cancer is a heterogeneous disease and one of the most common cancers worldwide. Bladder cancer ranges from low-grade tumors that recur and require long-term invasive surveillance to high-grade tumors with high mortality. After the initial contemporary treatment in non-muscle invasive bladder cancer, recurrence and progression rates remain high. Follow-up of these patients involves the use of cystoscopies, cytology, and imaging of the upper urinary tract in selected patients. However, in this context, both cystoscopy and cytology have limitations. In the follow-up of bladder cancer, the finding of urothelial cells with abnormal cytological characteristics is common. The main objective of our study was to evaluate the usefulness of a urine DNA methylation test in patients with urothelial bladder cancer under follow-up and a cytological finding of urothelial cell atypia. In addition, we analyzed the relationship between the urine DNA methylation test, urine cytology, and subsequent cystoscopy study. It was a prospective and descriptive cohort study conducted on patients presenting with non-muscle invasive urothelial carcinoma between 1 January 2018 and 31 May 2022. A voided urine sample and a DNA methylation test was extracted from each patient. A total of 70 patients, 58 male and 12 female, with a median age of 70.03 years were studied. High-grade urothelial carcinoma was the main histopathological diagnosis. Of the cytologies, 41.46% were cataloged as atypical urothelial cells. The DNA methylation test was positive in 17 urine samples, 51 were negative and 2 were invalid. We demonstrated the usefulness of a DNA methylation test in the follow-up of patients diagnosed with urothelial carcinoma. The methylation test also helps to diagnose urothelial cell atypia. Full article
(This article belongs to the Special Issue Urothelial Carcinoma: Clinical Diagnosis and Treatment)
Show Figures

Figure 1

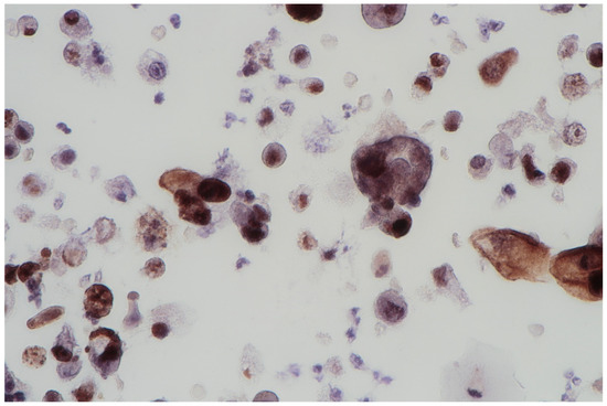
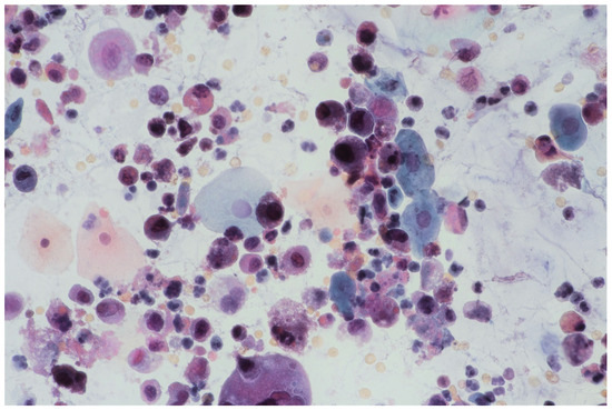
18 pages, 5578 KB  
Article
The Usefulness of Cell-Based and Liquid-Based Urine Tests in Clarifying the Diagnosis and Monitoring the Course of Urothelial Carcinoma. Identification of Novel, Potentially Actionable, RB1 and ERBB2 Somatic Mutations
by Tadeusz Kałużewski, Grzegorz K. Przybylski, Michał Bednarek, Sławomir Glazar, Magdalena Grabiec, Adam Jędrzejczyk, Łukasz Kępczyński, Izabela Kubiak, Dorota Kucharska, Agnieszka Morel, Magdalena Owczarek, Marek Rożniecki, Jordan Sałamunia, Dominika Szewczyk, Jarosław Szwalski and Bogdan Kałużewski
J. Pers. Med. 2021, 11(5), 362; https://doi.org/10.3390/jpm11050362 - 30 Apr 2021
Cited by 1 | Viewed by 2688
Abstract
Bladder cancer is one of the most common cancers in global statistics. One of the issues associated with this disease is the high incidence of cases with delayed diagnosis and what factors correlate with worse treatment outcomes. A possible reason for this may [...] Read more.
Bladder cancer is one of the most common cancers in global statistics. One of the issues associated with this disease is the high incidence of cases with delayed diagnosis and what factors correlate with worse treatment outcomes. A possible reason for this may be the rather limited availability of non-invasive diagnostic tools. This short communication presents a case of a 68 year old male patient after an ineffective therapy, carried on for several years with symptoms commonly associated with prostate overgrowth that masked a carcinoma in situ of the urinary bladder. Implementation of several diagnostic techniques, including urine sediment cytology, immunocytochemistry, the fluorescence in situ hybridisation technique, the Bladder EpiCheck test and whole-genome sequencing, enabled the establishment of a correct diagnosis, implementation of appropriate treatment and provision of patient-friendly monitoring. The described case emphasises the usefulness of cell-based and liquid-based urine tests in bladder cancer diagnostic procedures. Full article
Show Figures

Graphical abstract

9 pages, 222 KB  
Review
The Bladder EpiCheck Test as a Non-Invasive Tool Based on the Identification of DNA Methylation in Bladder Cancer Cells in the Urine: A Review of Published Evidence
by Mariangela Mancini, Marialaura Righetto, Sara Zumerle, Monica Montopoli and Filiberto Zattoni
Int. J. Mol. Sci. 2020, 21(18), 6542; https://doi.org/10.3390/ijms21186542 - 8 Sep 2020
Cited by 50 | Viewed by 6239
Abstract
Recently, there has been a great effort to develop tests based on non-invasive urinary biomarkers (NMIBCs). These tests are based on the fact that NMIBCs are heterogeneous at the molecular level and can be divided into different molecular groups useful to predict prognosis [...] Read more.
Recently, there has been a great effort to develop tests based on non-invasive urinary biomarkers (NMIBCs). These tests are based on the fact that NMIBCs are heterogeneous at the molecular level and can be divided into different molecular groups useful to predict prognosis and response to treatment. The assessment of epigenetic alterations, such as DNA methylation, represents a promising cancer biomarker. DNA methylation is an epigenetic modification that affects gene expression without modifying the DNA sequence. Several studies have highlighted the presence of methylated loci in the context of bladder cancer, indicating its potential application as a diagnostic and prognostic biomarker. One of the novel assays based on a DNA methylation profile, the Bladder EpiCheck, analyzes DNA from spontaneous urine, detecting disease-specific DNA methylation patterns in bladder cancer patients. This test, due to its non-invasive nature and highly promising performance could, in future, become an invaluable tool in the follow-up of bladder cancer patients. Potential new applications could include diagnosis and surveillance of upper-tract disease, for the replacement of invasive testing and ureteroscopy. Full article
(This article belongs to the Special Issue Biomarkers for Diagnosis and Prognosis in Urological Tumors)
Back to TopTop