Sign in to use this feature.

Years

Between: -

Subjects

remove_circle_outline
remove_circle_outline
remove_circle_outline

Journals

Article Types

Countries / Regions

Search Results (1)

Search Parameters:
Keywords = BDHHC3

Order results
Result details
Results per page
Select all
Export citation of selected articles as:
16 pages, 2260 KB  
Article
Palmitoylation of the Bovine Foamy Virus Envelope Glycoprotein Is Required for Viral Replication
by Keli Chai, Zhaohuan Wang, Yali Xu, Junshi Zhang, Juan Tan and Wentao Qiao
Viruses 2021, 13(1), 31; https://doi.org/10.3390/v13010031 - 27 Dec 2020
Cited by 6 | Viewed by 2949
Abstract
Membrane proteins of enveloped viruses have been reported to undergo palmitoylation, a post-translational modification often having a critical role in the function of these viral proteins and hence viral replication. In this study, we report that the foamy virus (FV) envelope (Env) glycoprotein [...] Read more.
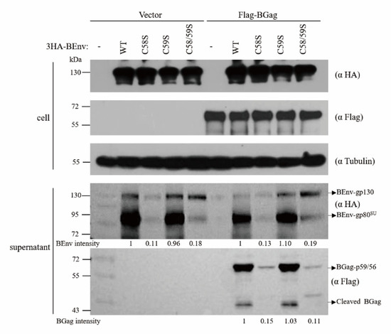
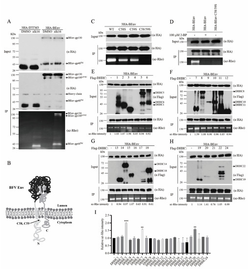
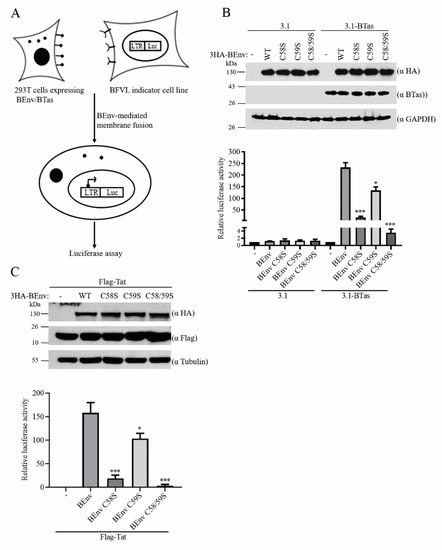
Membrane proteins of enveloped viruses have been reported to undergo palmitoylation, a post-translational modification often having a critical role in the function of these viral proteins and hence viral replication. In this study, we report that the foamy virus (FV) envelope (Env) glycoprotein is palmitoylated. Specifically, we found that bovine foamy virus (BFV) Env (BEnv) is palmitoylated at amino acid positions C58 and C59 by BDHHC3 and BDHHC20 in a DHHC motif-dependent manner. In addition, mutations C58S and C58/59S significantly decrease cell surface expression of BEnv, subviral particle (SVP) egress, and its membrane fusion activity, thus ultimately inhibiting BFV replication. The C59S mutation exerts a minor effect in this regard. Taken together, these data demonstrate that the function of BEnv in the context of BFV replication is under the regulation of palmitoylation. Full article
(This article belongs to the Section Animal Viruses)
Show Figures

Figure 1

Back to TopTop