The p16 Antagonist Gankyrin Is Overexpressed in Melanocytic Neoplasms
Abstract
1. Introduction
2. Materials and Methods
2.1. Case Material
2.2. Immunohistochemical Stains
2.3. Statistics
3. Results
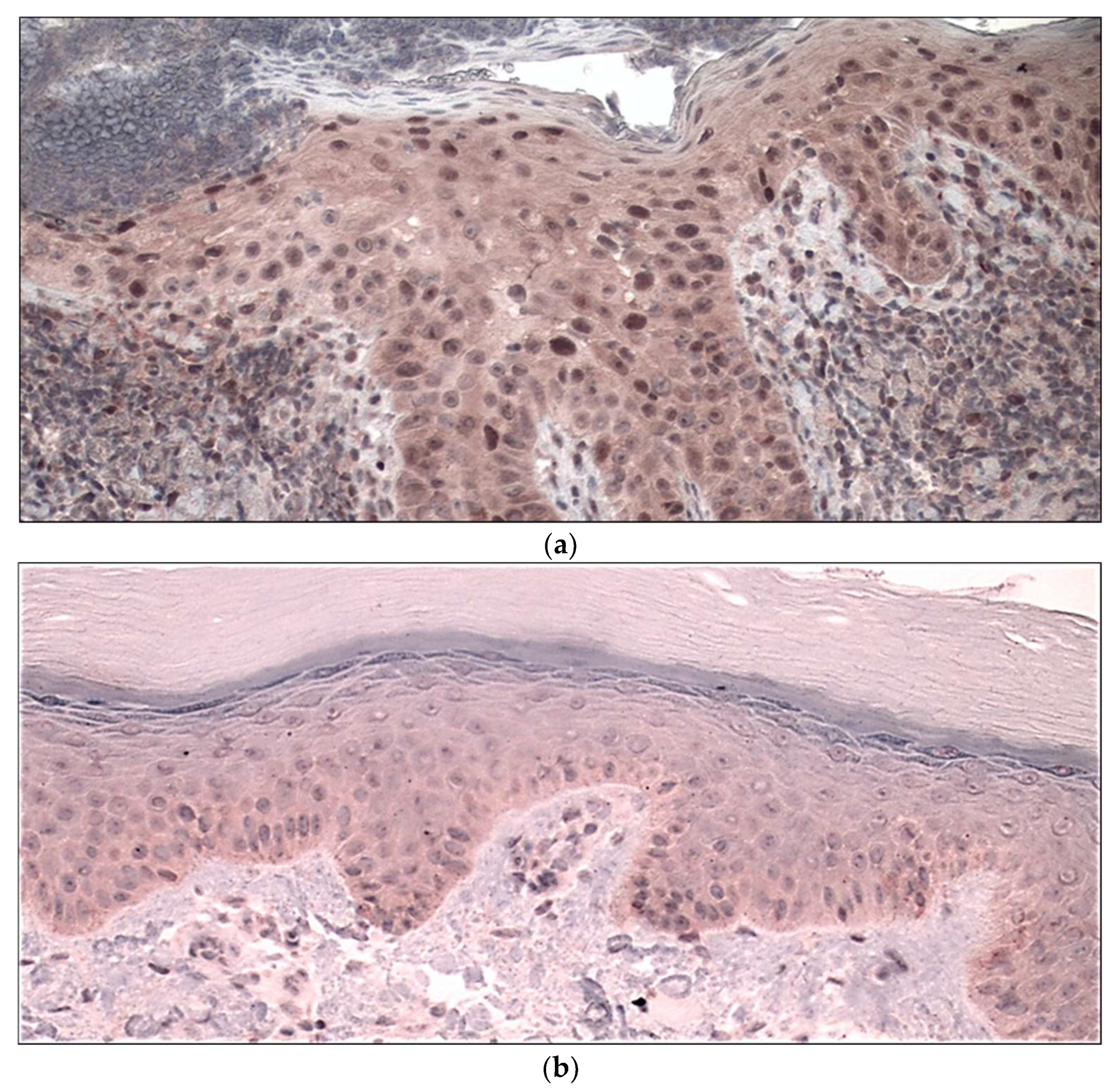
3.1. Optimization of Immunohistochemical Gankyrin Staining in Normal Skin
3.2. Gankyrin Staining in Squamous Cell Carcinomas and Basal Cell Carcinomas
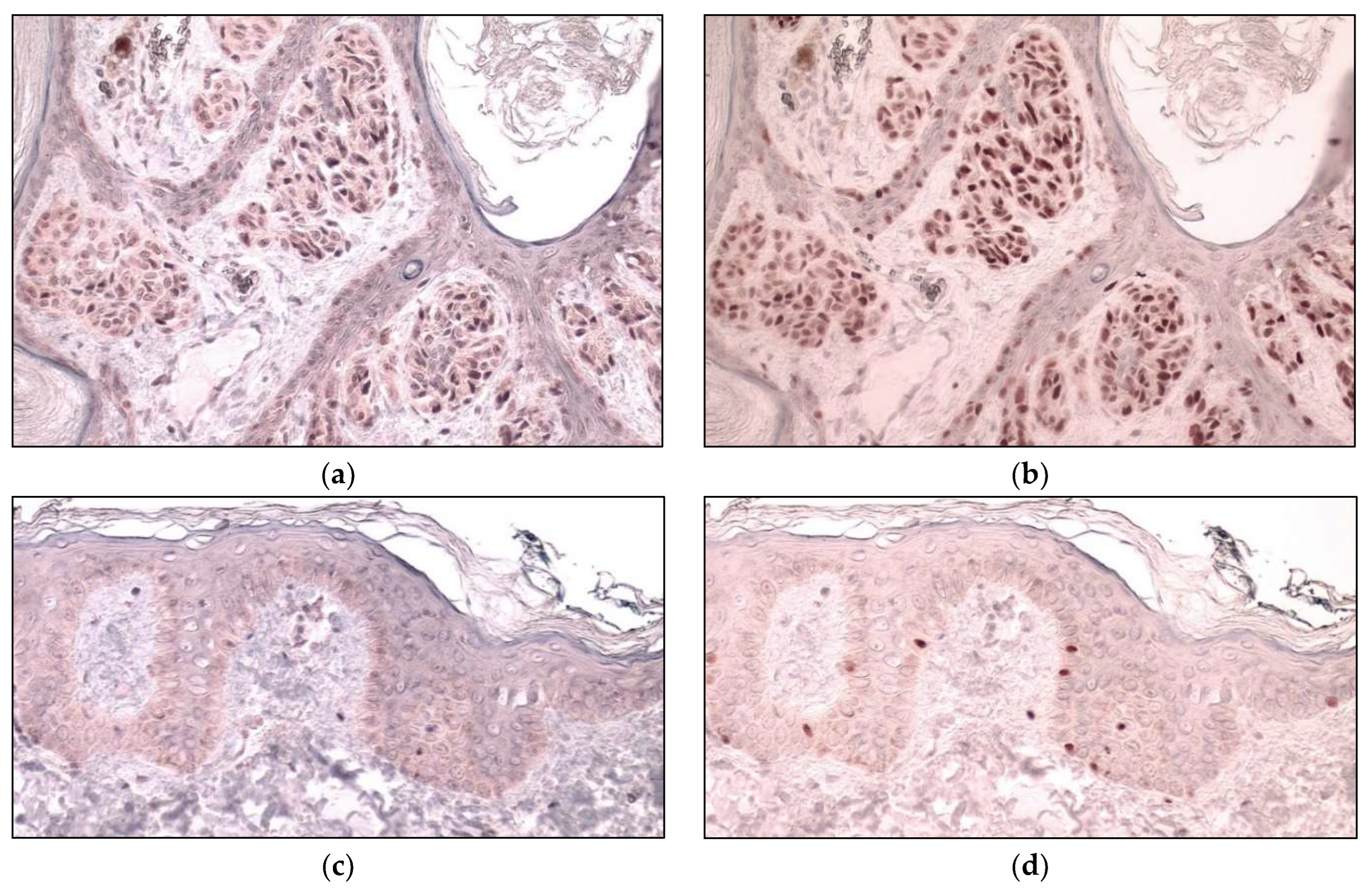
3.3. Gankyrin Staining in Melanocytic Neoplasms
4. Discussion
Author Contributions
Funding
Institutional Review Board Statement
Informed Consent Statement
Data Availability Statement
Conflicts of Interest
References
- Hori, T.; Kato, S.; Saeki, M. cDNA cloning and functional analysis of p28 (Nas6p) and p40.5 (Nas7p), two novel regulatory subunits of the 26S proteasome. Gene 1998, 216, 113–122. [Google Scholar] [CrossRef] [PubMed]
- Tomko, R.J.; Hochstrasser, M. Order of proteasomal ATPases and eukaryotic proteasome assembly. Cell Biochem. Biophys. 2011, 60, 13–20. [Google Scholar] [CrossRef] [PubMed][Green Version]
- Kaneko, T.; Hamazaki, J.; Iemura, S.I. Assembly pathway of the mammalian proteasome base subcomplex is mediated by multiple specific chaperones. Cell 2009, 137, 914–925. [Google Scholar] [CrossRef]
- Higashitsuji, H.; Itoh, K.; Nagao, Y. Reduced stability of retinoblastoma protein by gankyrin, an oncogenic ankyrin-repeat protein overexpressed in hepatomas. Nat. Med. 2000, 6, 96–99. [Google Scholar] [CrossRef]
- Li, H.; Zhang, J.; Zhen, C. Gankyrin as a potential target for tumor therapy: Evidence and perspectives. Am. J. Transl. Res. 2018, 10, 1949–1960. [Google Scholar] [PubMed]
- Kashyap, D.; Varshney, N.; Parmar, H.S. Gankyrin: At the crossroads of cancer diagnosis, disease prognosis, and development of efficient cancer therapeutics. Adv. Cancer Biol. —Metastasis 2022, 4, 100023. [Google Scholar] [CrossRef]
- Dawson, S.; Higashitsuji, H.; Wilkinson, A.J. Gankyrin: A new oncoprotein and regulator of pRb and p53. Trends Cell Biol. 2006, 16, 229–233. [Google Scholar] [CrossRef] [PubMed]
- Mayer, R.J.; Fujita, J. Gankyrin, the 26S proteasome, the cell cycle and cancer. Biochem. Soc. Trans. 2006, 34, 746–748. [Google Scholar] [CrossRef]
- Higashitsuji, H.; Higashitsuji, H.; Itoh, K. The onkoprotein gankyrin binds to MDM2/HDM2, enhancing ubiquitylation and degradation of p53. Cancer Cell 2005, 8, 75–87. [Google Scholar] [CrossRef]
- Higashitsuji, H.; Liu, Y.; Mayer, R.J. The oncoprotein gankyrin negatively regulates both p53 and RB by enhancing proteosomal degradation. Cell Cycle 2005, 4, 1335–1337. [Google Scholar] [CrossRef]
- Krzywda, S.; Brzozowski, A.M.; Higashitsuji, H. The crystal structure of gankyrin, an oncoprotein found in complexes with cyclin-dependent kinase 4, a 19S proteosomal ATPase regulator, and the tumor suppressors Rb and p53. J. Biol. Chem. 2004, 279, 1541–1545. [Google Scholar] [CrossRef] [PubMed]
- Li, J.; Tsai, M.D. Novel insights into the INK4-CDK4/6-Rb pathway: Counter action of gankyrin against INK4 proteins regulates the CDK4-mediated phosphorylation of Rb. Biochemistry 2002, 41, 3977–3983. [Google Scholar] [CrossRef] [PubMed]
- Mahajan, A.; Guo, Y.; Yuan, C. Dissection of protein-protein interaction and CDK4 inhibition in the oncogenic versus tumor suppressing functions of gankyrin and p16. J. Mol. Biol. 2007, 373, 990–1005. [Google Scholar] [CrossRef]
- D’Souza, A.M.; Cast, A.; Kumbaji, M. Small molecule cjoc42 improves chemo-sensitivity and increases levels of tumor suppressor proteins in hepatoblastoma cells and in mice by inhibiting oncogene gankyrin. Front. Pharmacol. 2021, 12, 580722. [Google Scholar] [CrossRef]
- Kanabar, D.; Goyal, M.; Kane, E.I. Small-molecule gangkyrin inhibition as a therapeutic strategy for breast and lung cancer. J. Med. Chem. 2022, 65, 8975–8997. [Google Scholar] [CrossRef]
- Sudharsan, M.; Chikhale, R.; Nanaware, P.P. A druggable pocket on PSMD10/gankyrin that can accommodate an interface peptide and doxorubicin. Eur. J. Pharmacol. 2022, 915, 174718. [Google Scholar]
- Aoude, L.G.; Wadt, K.A.; Pritchard, A.L. Genetics of familial melanoma: 20 years after CDKN2A. Pigment. Cell Melanoma Res. 2015, 28, 148–160. [Google Scholar] [CrossRef]
- Michaloglou, C.; Vredeveld, L.C.W.; Soengas, M.S. BRAFE600-associated senescence-like cell cycle arrest of human naevi. Nature 2005, 436, 720–724. [Google Scholar] [CrossRef]
- Bennett, D.C. Genetics of melanoma progression: The rise and fall of cell senescence. Pigment Cell Mel. Res. 2016, 29, 122–140. [Google Scholar] [CrossRef]
- Ming, Z.; Lim, S.J.; Rizos, H. Genetic alterations in the INK4A/ARF locus: Effects on melanoma development and progression. Biomolecules 2020, 10, 1447. [Google Scholar] [CrossRef]
- Koretz, K.; Leman, J.; Brandt, I. Metachromasia of 3-amino-9-ethylcarbazole (AEC) and its prevention in immunoperoxidase techniques. Histochemistry 1987, 86, 471–478. [Google Scholar] [CrossRef] [PubMed]
- Ando, S.; Matsuoka, T.; Kawai, K. Expression of the oncoprotein gankyrin and phosphorylated retinoblastoma protein in human testis and testicular germ cell tumor. Int. J. Urol. 2014, 21, 992–998. [Google Scholar] [CrossRef]
- Piipponen, M.; Riihila, P.; Nissinen, L. The role of p53 in progression of cutaneous squamous cell carcinoma. Cancers 2021, 13, 4507. [Google Scholar] [CrossRef] [PubMed]
- Newton-Bishop, J.A.; Bishop, D.T.; Harland, M. Melanoma Genomics. Acta Derm. Venereol. 2020, 100, adv00138. [Google Scholar] [CrossRef]
- Wang, Y.L.; Uhara, H.; Yamazaki, Y. Immunohistochemical detection of CDK4 and p16INK4 proteins in cutaneous malignant melanoma. Br. J. Dermatol. 1996, 134, 269–275. [Google Scholar] [CrossRef]
- Lee, W.J.; Skalamera, D.; Dahmer-Heath, M. Genome-wide overexpression screen identified genes able to bypass p16-mediated senescence in melanoma. SLAS Discov. 2017, 22, 298–308. [Google Scholar] [CrossRef]
- Georgieva, J.; Sinha, P.; Schadendorf, D. Expression of cyclins and cyclin dependent kinases in human benign and malignant melanocytic lesions. J. Clin. Pathol. 2001, 54, 229–235. [Google Scholar] [CrossRef]
- Comel, A.; Sorrentino, G.; Capaci, V. The cytoplasmic side of p53’s oncosuppressive activities. FEBS Lett. 2014, 588, 2600–2609. [Google Scholar] [CrossRef]
- Sherr, C.J.; Roberts, J.M. CDK inhibitors: Positive and negative regulators of G1-phase progression. Genes Dev. 1999, 13, 1501–1512. [Google Scholar] [CrossRef]
- Dawson, S.; Apcher, S.; Mee, M. Gankyrin is an ankyrin-repeat oncoprotein that interacts with CDK4 kinase and the S6 ATPase of the 26 S proteasome. J. Biol. Chem. 2002, 277, 10893–10902. [Google Scholar] [CrossRef]
- Nagao, T.; Higashitsuji, H.; Nonoguchi, K. MAGE-A4 interacts with the liver oncoprotein gankyrin and suppresses its tumorigenic activity. J. Biol. Chem. 2003, 278, 10668–10674. [Google Scholar] [CrossRef] [PubMed]
- Canepa, E.T.; Scassa, M.E.; Ceruti, J.M. INK4 proteins, a family of mammalian CDK inhibitors with novel biological functions. IUBMB Life 2007, 59, 419–426. [Google Scholar] [CrossRef] [PubMed]
- Taylor, L.A.; O’Day, C.; Dentchev, T. p15 expression differentiates nevus from melanoma. Am. J. Pathol. 2016, 186, 3094–3099. [Google Scholar] [CrossRef][Green Version]
- Ma, S.A.; O’Day, C.; Dentchev, T. Expression of p15 in a spectrum of spitzoid melanocytic neoplasms. J. Cutan. Pathol. 2019, 46, 310–316. [Google Scholar] [CrossRef] [PubMed]




| Number of Cases | Negative | Positive | ||||
|---|---|---|---|---|---|---|
| 1+ | 2+ | 3+ | Total | (%) | ||
| Melanocytic nevus | 18 | 5 | 10 | 3 | 13 a,b | (72) |
| Banal compound nevus | 7 | 0 | 4 | 3 | 7 | |
| Spitz nevus | 4 | 2 | 2 | 0 | 2 | |
| Congenital nevus | 3 | 2 | 1 | 0 | 1 | |
| Dysplastic nevus | 4 | 1 | 3 | 0 | 3 | |
| Melanoma | 10 | 3 | 5 | 2 | 7 c,d | (70) |
| In situ | 4 | 2 | 1 | 1 | 2 | |
| Invasive | 6 | 1 | 4 | 1 | 5 | |
| Basal cell carcinoma | 10 | 10 | 0 | 0 | 0 a,d | (0) |
| Squamous cell carcinoma | 20 | 17 | 3 | 0 | 3 b,c | (15) |
| In situ | 7 | 4 | 3 | 0 | 3 | |
| Invasive | 13 | 13 | 0 | 0 | 0 | |
Publisher’s Note: MDPI stays neutral with regard to jurisdictional claims in published maps and institutional affiliations. |
© 2022 by the authors. Licensee MDPI, Basel, Switzerland. This article is an open access article distributed under the terms and conditions of the Creative Commons Attribution (CC BY) license (https://creativecommons.org/licenses/by/4.0/).
Share and Cite
Moradi, S.; Ehrig, T. The p16 Antagonist Gankyrin Is Overexpressed in Melanocytic Neoplasms. J. Mol. Pathol. 2022, 3, 319-328. https://doi.org/10.3390/jmp3040027
Moradi S, Ehrig T. The p16 Antagonist Gankyrin Is Overexpressed in Melanocytic Neoplasms. Journal of Molecular Pathology. 2022; 3(4):319-328. https://doi.org/10.3390/jmp3040027
Chicago/Turabian StyleMoradi, Sara, and Torsten Ehrig. 2022. "The p16 Antagonist Gankyrin Is Overexpressed in Melanocytic Neoplasms" Journal of Molecular Pathology 3, no. 4: 319-328. https://doi.org/10.3390/jmp3040027
APA StyleMoradi, S., & Ehrig, T. (2022). The p16 Antagonist Gankyrin Is Overexpressed in Melanocytic Neoplasms. Journal of Molecular Pathology, 3(4), 319-328. https://doi.org/10.3390/jmp3040027
