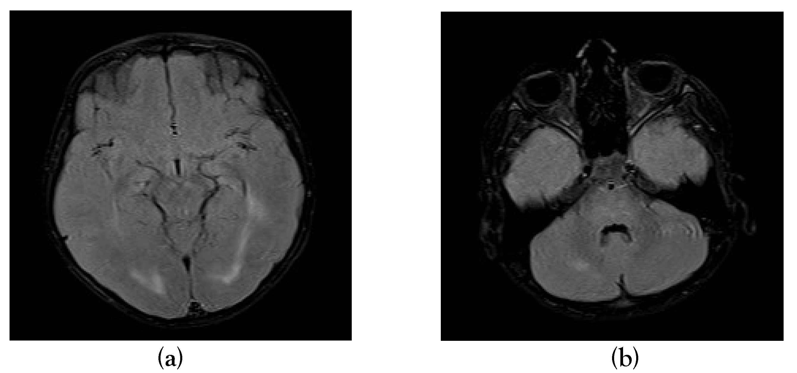
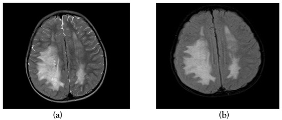
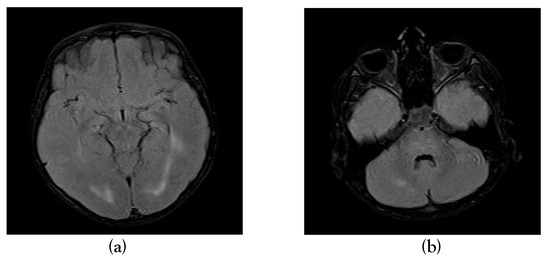
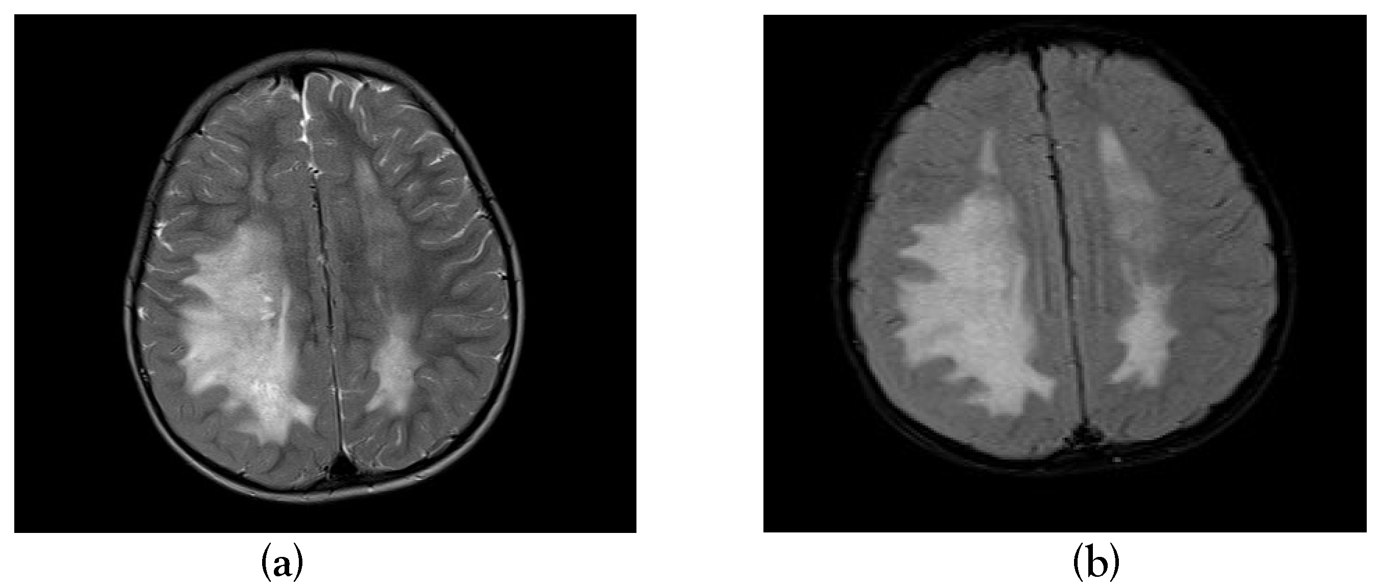
A Case Report of Acute Disseminated Encephalomyelitis Following Severe Dengue in a Child
Abstract
Consent
Author Contributions
Funding
Conflicts of interest
References
- Stanaway, J.D.; Shepard, D.S.; Undurraga, E.A.; et al. The global burden of dengue: an analysis from the Global Burden of Disease Study 2013. Lancet Infect Dis 2016, 16, 712–723. [Google Scholar] [CrossRef] [PubMed]
- Md-Sani, S.S.; Md-Noor, J.; Han, W.H.; et al. Prediction of mortality in severe dengue cases. BMC Infect Dis 2018, 18, 232. [Google Scholar] [CrossRef] [PubMed]
- United Nations. Sustainable Development Goals (SDGs). Available online: https://sustainabledevelopment.un.org/topics/sustainab ledevelopmentgoals (accessed on 16 December 2019).
- Murthy, J.M. Neurological complication of dengue infection. Neurol India 2010, 58, 581–584. [Google Scholar] [CrossRef] [PubMed]
- Carod-Artal, F.J.; Wichmann, O.; Farrar, J.; Gascón, J. Neurological complications of dengue virus infection. Lancet Neurol 2013, 12, 906–919. [Google Scholar] [CrossRef] [PubMed]
- Domingues, R.B.; Kuster, G.W.; Onuki-Castro, F.L.; Souza, V.A.; Levi, J.E.; Pannuti, C.S. Involvement of the central nervous system in patients with dengue virus infection. J Neurol Sci 2008, 267, 36–40. [Google Scholar] [CrossRef] [PubMed]
- Sundaram, C.; Uppin, S.G.; Dakshinamurthy, K.; Borgahain, R. Acute disseminated encephalomyelitis following dengue hemorrhagic fever. Neurol India 2010, 58, 599–601. [Google Scholar] [CrossRef] [PubMed]
- World Health Organization. Dengue guidelines for diagnosis, treatment, prevention and control; WHO Press: Geneva, Switzerland, 2009. [Google Scholar]
- Ramos, C.; Sánchez, G.; Pando, R.H.; et al. Dengue virus in the brain of a fatal case of hemorrhagic dengue fever. J Neurovirol 1998, 4, 465–468. [Google Scholar] [CrossRef] [PubMed]
- Wan Sulaiman, W.A.; Inche Mat, L.N.; Hashim, H.Z.; et al. Acute disseminated encephalomyelitis in dengue viral infection. J Clin Neurosci 2017, 43, 25–31. [Google Scholar] [CrossRef] [PubMed]
- Wingerchuk, D.M. Post infectious encephalomyelitis. Curr Neurol Neurosci Rep 2003, 3, 256–264. [Google Scholar] [CrossRef] [PubMed]
- Chaudhry, L.A.; Babur, W.; Chaudhry, G.A.; Al-Atawi, F.E.; Robert, A.A. Acute disseminated encephalomyelitis: a call to the clinicians for keeping this rare condition on clinical radar. Pan Afr Med J 2018, 29, 138. [Google Scholar] [CrossRef] [PubMed]
- Kamel, M.G.; Nam, N.T.; Han, N.H.B.; et al. Post-dengue acute disseminated encephalomyelitis: A case report and meta-analysis. PLoS Negl Trop Dis 2017, 11, e0005715. [Google Scholar] [CrossRef] [PubMed]
- Jugpal, T.S.; Dixit, R.; Garg, A.; et al. Spectrum of findings on magnetic resonance imaging of the brain in patients with neurological manifestations of dengue fever. Radiol Bras 2017, 50, 285–290. [Google Scholar] [CrossRef] [PubMed]
- Karoli, R.; Siddiqi, Z.; Fatima, J.; Maini, S. Was it a case of acute disseminated encephalomyelitis? A rare association following dengue fever. J Neurosci Rural Pract 2013, 4, 318–321. [Google Scholar] [CrossRef] [PubMed]
- Gala, H.C.; Avasthi, B.S.; Lokeshwar, M.R. Dengue shock syndrome with two atypical complications. Indian J Pediatr 2012, 79, 386–388. [Google Scholar] [CrossRef] [PubMed]



© GERMS 2020.
Share and Cite
Kamath, N.; Mounica, K.; Kanthila, J.; Kamath, S.P.; Rao, S.S. A Case Report of Acute Disseminated Encephalomyelitis Following Severe Dengue in a Child. GERMS 2020, 10, 115-119. https://doi.org/10.18683/germs.2020.1193
Kamath N, Mounica K, Kanthila J, Kamath SP, Rao SS. A Case Report of Acute Disseminated Encephalomyelitis Following Severe Dengue in a Child. GERMS. 2020; 10(2):115-119. https://doi.org/10.18683/germs.2020.1193
Chicago/Turabian StyleKamath, Nutan, Kamineni Mounica, Jayashree Kanthila, Sowmini P Kamath, and Suchetha S Rao. 2020. "A Case Report of Acute Disseminated Encephalomyelitis Following Severe Dengue in a Child" GERMS 10, no. 2: 115-119. https://doi.org/10.18683/germs.2020.1193
APA StyleKamath, N., Mounica, K., Kanthila, J., Kamath, S. P., & Rao, S. S. (2020). A Case Report of Acute Disseminated Encephalomyelitis Following Severe Dengue in a Child. GERMS, 10(2), 115-119. https://doi.org/10.18683/germs.2020.1193
