PRKAG2 Syndrome: Clinical Features, Imaging Findings and Cardiac Events
Abstract
1. Introduction
2. Materials and Methods
2.1. Genetic Testing
2.2. Clinical Evaluation and Follow-Up
3. Results
3.1. Genetics
3.2. Clinical Picture
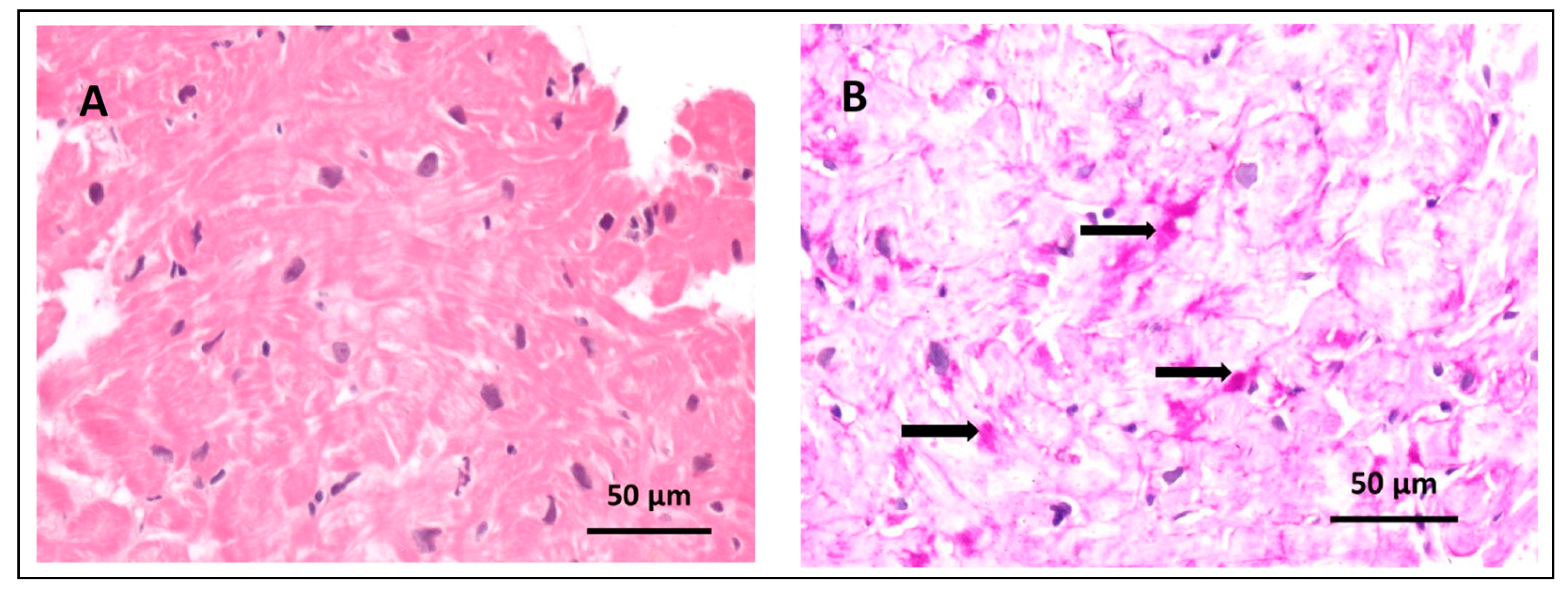
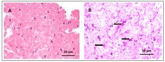
3.3. Endomyocardial Biopsy
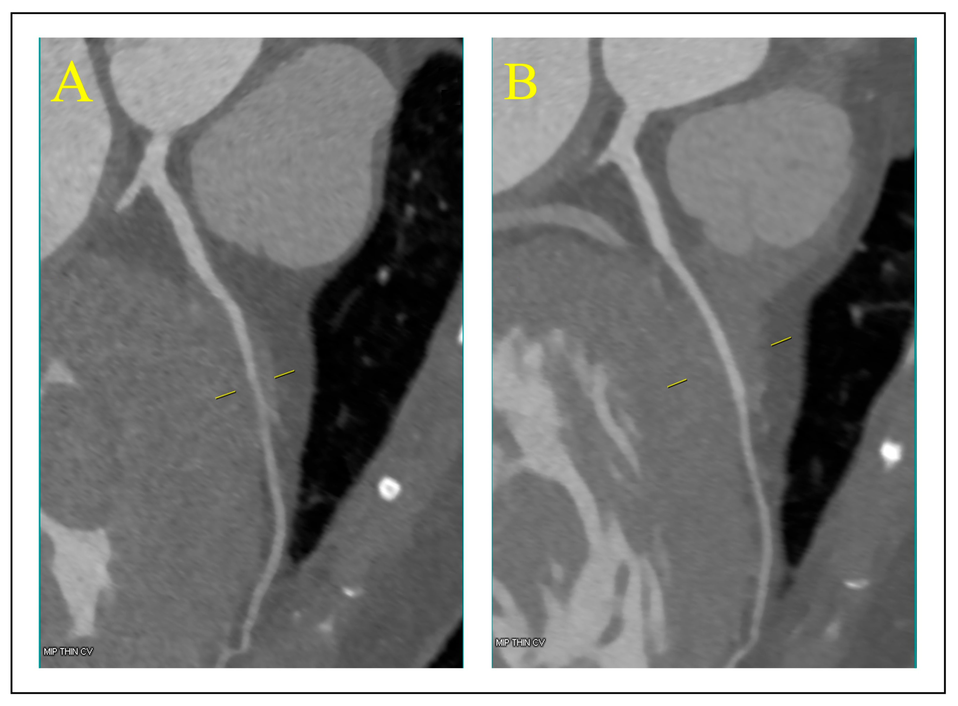
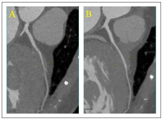
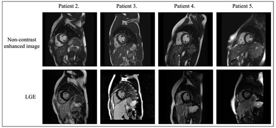
3.4. Cardiac Magnetic Resonance
3.5. Follow-Up
4. Discussion
Author Contributions
Funding
Institutional Review Board Statement
Informed Consent Statement
Data Availability Statement
Conflicts of Interest
References
- Gollob, M.H.; Green, M.S.; Tang, A.S.; Gollob, T.; Karibe, A.; Ali Hassan, A.S.; Ahmad, F.; Lozado, R.; Shah, G.; Fananapazir, L.; et al. Identification of a gene responsible for familial Wolff-Parkinson-White syndrome. N. Engl. J. Med. 2001, 344, 1823–1831. [Google Scholar] [CrossRef]
- Arad, M.; Benson, D.W.; Perez-Atayde, A.R.; McKenna, W.J.; Sparks, E.A.; Kanter, R.J.; McGarry, K.; Seidman, J.G.; Seidman, C.E. Constitutively active AMP kinase mutations cause glycogen storage disease mimicking hypertrophic cardiomyopathy. J. Clin. Investig. 2002, 109, 357–362. [Google Scholar] [CrossRef] [PubMed]
- Murphy, R.T.; Mogensen, J.; McGarry, K.; Bahl, A.; Evans, A.; Osman, E.; Syrris, P.; Gorman, G.; Farrell, M.; Holton, J.L.; et al. Adenosine monophosphate-activated protein kinase disease mimicks hypertrophic cardiomyopathy and Wolff-Parkinson-White syndrome: Natural history. J. Am. Coll. Cardiol. 2005, 45, 922–930. [Google Scholar] [CrossRef] [PubMed]
- Gollob, M.H.; Seger, J.J.; Gollob, T.N.; Tapscott, T.; Gonzales, O.; Bachinski, L.; Roberts, R. Novel PRKAG2 mutation responsible for the genetic syndrome of ventricular preexcitation and conduction system disease with childhood onset and absence of cardiac hypertrophy. Circulation 2001, 104, 3030–3033. [Google Scholar] [CrossRef] [PubMed]
- Gerull, B.; Klaassen, S.; Brodehl, A. The Genetic Landscape of Cardiomyopathies. In Genetic Causes of Cardiac Disease; Springer Nature: Cham, Switzerland, 2020; pp. 45–91. [Google Scholar] [CrossRef]
- Ingles, J.; Goldstein, J.; Thaxton, C.; Caleshu, C.; Corty, E.W.; Crowley, S.B.; Dougherty, K.; Harrison, S.M.; McGlaughon, J.; Milko, L.V.; et al. Evaluating the Clinical Validity of Hypertrophic Cardiomyopathy Genes. Circ. Genom. Precis. Med. 2019, 12, e002460. [Google Scholar] [CrossRef]
- Song, X.W.; Su, T.; Li, B.; Huang, Y.J.; He, W.X.; Jiang, L.L.; Li, C.J.; Huang, S.Q.; Li, S.H.; Guo, Z.F.; et al. Abnormal expression of PRKAG2-AS results in dysfunction of cardiomyocytes through regulating PRKAG2 transcription by interacting with PPARG. Clin. Epigenetics 2023, 15, 178. [Google Scholar] [CrossRef]
- Arad, M.; Maron, B.J.; Gorham, J.M.; Johnson, W.H., Jr.; Saul, J.P.; Perez-Atayde, A.R.; Spirito, P.; Wright, G.B.; Kanter, R.J.; Seidman, C.E.; et al. Glycogen storage diseases presenting as hypertrophic cardiomyopathy. N. Engl. J. Med. 2005, 352, 362–372. [Google Scholar] [CrossRef]
- Lopez-Sainz, A.; Dominguez, F.; Lopes, L.R.; Ochoa, J.P.; Barriales-Villa, R.; Climent, V.; Linschoten, M.; Tiron, C.; Chiriatti, C.; Marques, N.; et al. Clinical Features and Natural History of PRKAG2 Variant Cardiac Glycogenosis. J. Am. Coll. Cardiol. 2020, 76, 186–197. [Google Scholar] [CrossRef]
- Yavari, A.; Sarma, D.; Sternick, E.B. Human γ2-AMPK Mutations. Methods Mol. Biol. 2018, 1732, 581–619. [Google Scholar] [CrossRef]
- Fidziańska, A.; Bilińska, Z.T.; Walczak, E.; Witkowski, A.; Chojnowska, L. Autophagy in transition from hypertrophic cardiomyopathy to heart failure. J. Electron. Microsc. 2010, 59, 181–183. [Google Scholar] [CrossRef]
- Hayesmoore, J.B.; Bhuiyan, Z.A.; Coviello, D.A.; du Sart, D.; Edwards, M.; Iascone, M.; Morris-Rosendahl, D.J.; Sheils, K.; van Slegtenhorst, M.; Thomson, K.L. EMQN: Recommendations for genetic testing in inherited cardiomyopathies and arrhythmias. Eur. J. Hum. Genet. 2023, 31, 1003–1009. [Google Scholar] [CrossRef] [PubMed]
- Richards, S.; Aziz, N.; Bale, S.; Bick, D.; Das, S.; Gastier-Foster, J.; Grody, W.W.; Hegde, M.; Lyon, E.; Spector, E.; et al. Standards and guidelines for the interpretation of sequence variants: A joint consensus recommendation of the American College of Medical Genetics and Genomics and the Association for Molecular Pathology. Genet. Med. 2015, 17, 405–424. [Google Scholar] [CrossRef] [PubMed]
- Arbelo, E.; Protonotarios, A.; Gimeno, J.R.; Arbustini, E.; Barriales-Villa, R.; Basso, C.; Bezzina, C.R.; Biagini, E.; Blom, N.A.; de Boer, R.A.; et al. 2023 ESC Guidelines for the management of cardiomyopathies. Eur. Heart J. 2023, 44, 3503–3626. [Google Scholar] [CrossRef]
- Wasserstrum, Y.; Larrañaga-Moreira, J.M.; Martinez-Veira, C.; Itelman, E.; Lotan, D.; Sabbag, A.; Kuperstein, R.; Peled, Y.; Freimark, D.; Barriales-Villa, R.; et al. Hypokinetic hypertrophic cardiomyopathy: Clinical phenotype, genetics, and prognosis. ESC Heart Fail. 2022, 9, 2301–2312. [Google Scholar] [CrossRef]
- Heliö, T.; Elliott, P.; Koskenvuo, J.W.; Gimeno, J.R.; Tavazzi, L.; Tendera, M.; Kaski, J.P.; Mansencal, N.; Bilińska, Z.; Carr-White, G.; et al. ESC EORP Cardiomyopathy Registry: Real-life practice of genetic counselling and testing in adult cardiomyopathy patients. ESC Heart Fail. 2020, 7, 3013–3021. [Google Scholar] [CrossRef]
- Thevenon, J.; Laurent, G.; Ader, F.; Laforêt, P.; Klug, D.; Duva Pentiah, A.; Gouya, L.; Maurage, C.A.; Kacet, S.; Eicher, J.C.; et al. High prevalence of arrhythmic and myocardial complications in patients with cardiac glycogenosis due to PRKAG2 mutations. Europace 2017, 19, 651–659. [Google Scholar] [CrossRef]
- Rubiś, P.P.; Karabinowska-Małocha, A.; Banyś, P.; Krupiński, M.; Dziewięcka, E.M.; Urbańczyk-Zawadzka, M. Progression of interstitial fibrosis in apical segments in hypertrophic cardiomyopathy: A longitudinal magnetic resonance study. Pol. Arch. Intern. Med. 2024, 134, 16850. [Google Scholar] [CrossRef]
- Szczygieł, J.A.; Michałek, P.; Truszkowska, G.; Drozd-Sokołowska, J.; Wróbel, A.; Franaszczyk, M.; Gawor-Prokopczyk, M.; Mazurkiewicz, Ł.; Ziarkiewicz, M.; Waszczuk-Gajda, A.; et al. Clinical features, etiology, and survival in patients with restrictive cardiomyopathy: A single-center experience. Kardiol. Pol. 2023, 81, 1227–1236. [Google Scholar] [CrossRef]
- Yang, K.Q.; Lu, C.X.; Zhang, Y.; Yang, Y.K.; Li, J.C.; Lan, T.; Meng, X.; Fan, P.; Tian, T.; Wang, L.P.; et al. A novel PRKAG2 mutation in a Chinese family with cardiac hypertrophy and ventricular pre-excitation. Sci. Rep. 2017, 7, 2407. [Google Scholar] [CrossRef]
- Borodzicz-Jazdzyk, S.; de Mooij, G.W.; van Loon, R.B.; Götte, M.J.W. Microvascular dysfunction in hypertrophic cardiomyopathy: Diagnostic role of noninvasive, fully automated quantitative perfusion cardiovascular magnetic resonance imaging. Pol. Arch. Intern. Med. 2024, 134, 16603. [Google Scholar] [CrossRef]
- Acar, B.; Cakir, O.; Celikyurt, U.; Barıs, O.; Durmaz, A.; Yalnız, A.; Atıs, S.; Basova, B.N.; Ciftci, E. Exploring the link between myocardial bridging and left ventricular hypertrophy: Congenital factors or remodelling? Kardiol. Pol. 2024, 82, 976–983. [Google Scholar] [CrossRef] [PubMed]
- Ahmad, F.; Arad, M.; Musi, N.; He, H.; Wolf, C.; Branco, D.; Perez-Atayde, A.R.; Stapleton, D.; Bali, D.; Xing, Y.; et al. Increased alpha2 subunit-associated AMPK activity and PRKAG2 cardiomyopathy. Circulation 2005, 112, 3140–3148. [Google Scholar] [CrossRef] [PubMed]
- Qiu, J.; Tu, T.; Zhou, S.; Liu, Q. High prevalence of arrhythmic and myocardial complications in patients with cardiac glycogenosis due to PRKAG2 mutations: Comment. Europace 2018, 20, 1389. [Google Scholar] [CrossRef]
- Burwinkel, B.; Scott, J.W.; Bührer, C.; van Landeghem, F.K.; Cox, G.F.; Wilson, C.J.; Grahame Hardie, D.; Kilimann, M.W. Fatal congenital heart glycogenosis caused by a recurrent activating R531Q mutation in the gamma 2-subunit of AMP-activated protein kinase (PRKAG2), not by phosphorylase kinase deficiency. Am. J. Hum. Genet. 2005, 76, 1034–1049. [Google Scholar] [CrossRef]
- Porto, A.G.; Brun, F.; Severini, G.M.; Losurdo, P.; Fabris, E.; Taylor, M.R.G.; Mestroni, L.; Sinagra, G. Clinical Spectrum of PRKAG2 Syndrome. Circ. Arrhythm. Electrophysiol. 2016, 9, e003121. [Google Scholar] [CrossRef]





| Amino Acid Change (NP_077747.1) | p.Val336Leu | p.Arg302Gln | p.Phe293Leu | p.His530Arg |
|---|---|---|---|---|
| Nucleotide change (NM_0106203.4) | c.1006G>T | c.905G>A | c.877T>C | c.1589A>G |
| Coordinates (hg38) | chr7:151572709-C>A | chr7:151576412-C>T | chr7:151576440-A>G | chr7:151560613-T>C |
| Zygosity | heterozygous | heterozygous | heterozygous | heterozygous |
| MAF gnomAD v.4.1.0 | 0 | 0.000001241 | 0 | 0 |
| MAF Million Exome Variant Browser v1.1.3 | 0 | 0.000001825 | 0 | 0 |
| Bioinformatic score AlphaMissense | 0.97 Pathogenic | 1.0 Pathogenic | 1.0 Pathogenic | 1.0 Pathogenic |
| Bioinformatic score CADD | 30 Pathogenic | 30 Pathogenic | 27 Pathogenic | 25 Uncertain |
| Bioinformatic score REVEL | 0.58 Uncertain | 0.84 Pathogenic | 0.89 Pathogenic | 0.9 Pathogenic |
| ACMG classification and criteria | Likely pathogenic PM2, PM5, PP3, PP5 | Pathogenic PS3, PS4, PP1, PM2, PM5, PP3 | Likely pathogenic PS1, PM2, PP3 | Pathogenic |
| ClinVar classification | Conflicting (pathogenic—1x, unknown significance—1x) | Pathogenic (20x) | - | Pathogenic (5x) |
| Protein domain | CBS1 | CBS1 | CBS1 | CBS4 |
| Patient | 1 | 2 | 3 | 4 | 5 | 6 | 7 | |
|---|---|---|---|---|---|---|---|---|
| PRKAG2 variant | Val336Leu | Val336Leu | Arg302 Gln | Arg302Gln | Arg302Gln | Phe293Leu | His530Arg | |
| Status | roband | relative | proband | relative | relative | proband | proband | |
| Gender | male | female | male | female | female | female | female | |
| Initial Evaluation | Age at onset | 16 years | 63 years | 30 years | 44 years | 43 years | 46 years | 21 years |
| Symptoms at onset | chest pain, fatigue, dizziness, palpitations | palpitations, chest pain | palpitations | dizziness | asymptomatic | chest pain, fatigue, palpitations | syncope, palpitations | |
| Age at first evaluation | 29 years | 66 years | 30 years | 44 years | 43 years | 48 years | 38 years | |
| NYHA class | III | I | I | I | I | III | II | |
| Other diseases | stroke | hyperten-sion, CAD, cholelithiasis, thrombocytopenia | paroxysmal SVT | No | No | hypertension, diabetes mellitus, CKD | rheumatic fever (at age 2 and 9) CKD | |
| Initial ECG | Rhythm | SR | SR | SR | SB | SB | SR | AFl |
| PR (ms) | 194 | 120 | 113 | 127 | 150 | 140 | NA | |
| QRS (ms) | 150 | 110 | 128 | 146 | 130 | 135 | NA | |
| Preexcitation | No | Yes | Yes | No | No | No | NA | |
| CCD | RBBB | No | No | IVCD | RBBB, LAFB | IVCD | LBBB (earlier) | |
| LVH | Yes | No | No | Yes | Yes | Yes | NA | |
| Initial ECHO | LAD (mm) | 52 | 41 | 42 | 34 | 39 | 48 | 48 |
| LVMWT (mm) | 18 | 11 | 15 | 13 | 12 | 24 | 14 | |
| LVEF (%) | 50 | 73 | 65 | 60 | 65 | 60 | 45 | |
| RVSP (mmHg) | 120 | 40 | 30 | 24 | 29 | 80 | 40 | |
| Follow-Up | Time (years) | 17.9 | 24.7 | 2.7 | 8.2 | 13.1 | 9.4 | 25.0 |
| Outcome (age in years) | progressive HF; sudden death (33) | myocardial infarction (72), LVH progression (76) | stable (only 2 SVT episodes) | stable | stable (new hypertension) | progressive HF; CKD progression to end-stage renal failure (dialyses) | AFl ablation (30); ineffective AF ablations (48); progressive HF; coexisting CKD | |
| LVMWT (mm) | 20 | 17 | 15 | 14 | 12 | 27 | 26 | |
| LVEF (%) | 30 | 60 | 60 | 67 | 65 | 73 | 45 | |
| Medication | NA | ASA, BB, ACE-I, CCB, indapamide, statin | none | none | ARB, CCB | BB, ACE-I, CCB, loop diuretics, clonidine, statin, allopurinol | VKA, BB, ARNI, torasemide, MRA, SGLT2-I, statin | |
| CIED (age at implantation) | ICD-VR (32) | No | No | DDD (51) | DDD (43) | No | DDD (21), CRT-D (56) |
Disclaimer/Publisher’s Note: The statements, opinions and data contained in all publications are solely those of the individual author(s) and contributor(s) and not of MDPI and/or the editor(s). MDPI and/or the editor(s) disclaim responsibility for any injury to people or property resulting from any ideas, methods, instructions or products referred to in the content. |
© 2025 by the authors. Licensee MDPI, Basel, Switzerland. This article is an open access article distributed under the terms and conditions of the Creative Commons Attribution (CC BY) license (https://creativecommons.org/licenses/by/4.0/).
Share and Cite
Sudomir, M.; Chmielewski, P.; Truszkowska, G.; Kłopotowski, M.; Śpiewak, M.; Legatowicz-Koprowska, M.; Gawor-Prokopczyk, M.; Szczygieł, J.; Zakrzewska-Koperska, J.; Kruk, M.; et al. PRKAG2 Syndrome: Clinical Features, Imaging Findings and Cardiac Events. Biomedicines 2025, 13, 751. https://doi.org/10.3390/biomedicines13030751
Sudomir M, Chmielewski P, Truszkowska G, Kłopotowski M, Śpiewak M, Legatowicz-Koprowska M, Gawor-Prokopczyk M, Szczygieł J, Zakrzewska-Koperska J, Kruk M, et al. PRKAG2 Syndrome: Clinical Features, Imaging Findings and Cardiac Events. Biomedicines. 2025; 13(3):751. https://doi.org/10.3390/biomedicines13030751
Chicago/Turabian StyleSudomir, Maria, Przemysław Chmielewski, Grażyna Truszkowska, Mariusz Kłopotowski, Mateusz Śpiewak, Marta Legatowicz-Koprowska, Monika Gawor-Prokopczyk, Justyna Szczygieł, Joanna Zakrzewska-Koperska, Mariusz Kruk, and et al. 2025. "PRKAG2 Syndrome: Clinical Features, Imaging Findings and Cardiac Events" Biomedicines 13, no. 3: 751. https://doi.org/10.3390/biomedicines13030751
APA StyleSudomir, M., Chmielewski, P., Truszkowska, G., Kłopotowski, M., Śpiewak, M., Legatowicz-Koprowska, M., Gawor-Prokopczyk, M., Szczygieł, J., Zakrzewska-Koperska, J., Kruk, M., Krzysztoń-Russjan, J., Grzybowski, J., Płoski, R., & Bilińska, Z. T. (2025). PRKAG2 Syndrome: Clinical Features, Imaging Findings and Cardiac Events. Biomedicines, 13(3), 751. https://doi.org/10.3390/biomedicines13030751

