Exploring the Utility of Renal Resistive Index in Critical Care: Insights into ARDS and Cardiac Failure
Abstract
1. Introduction
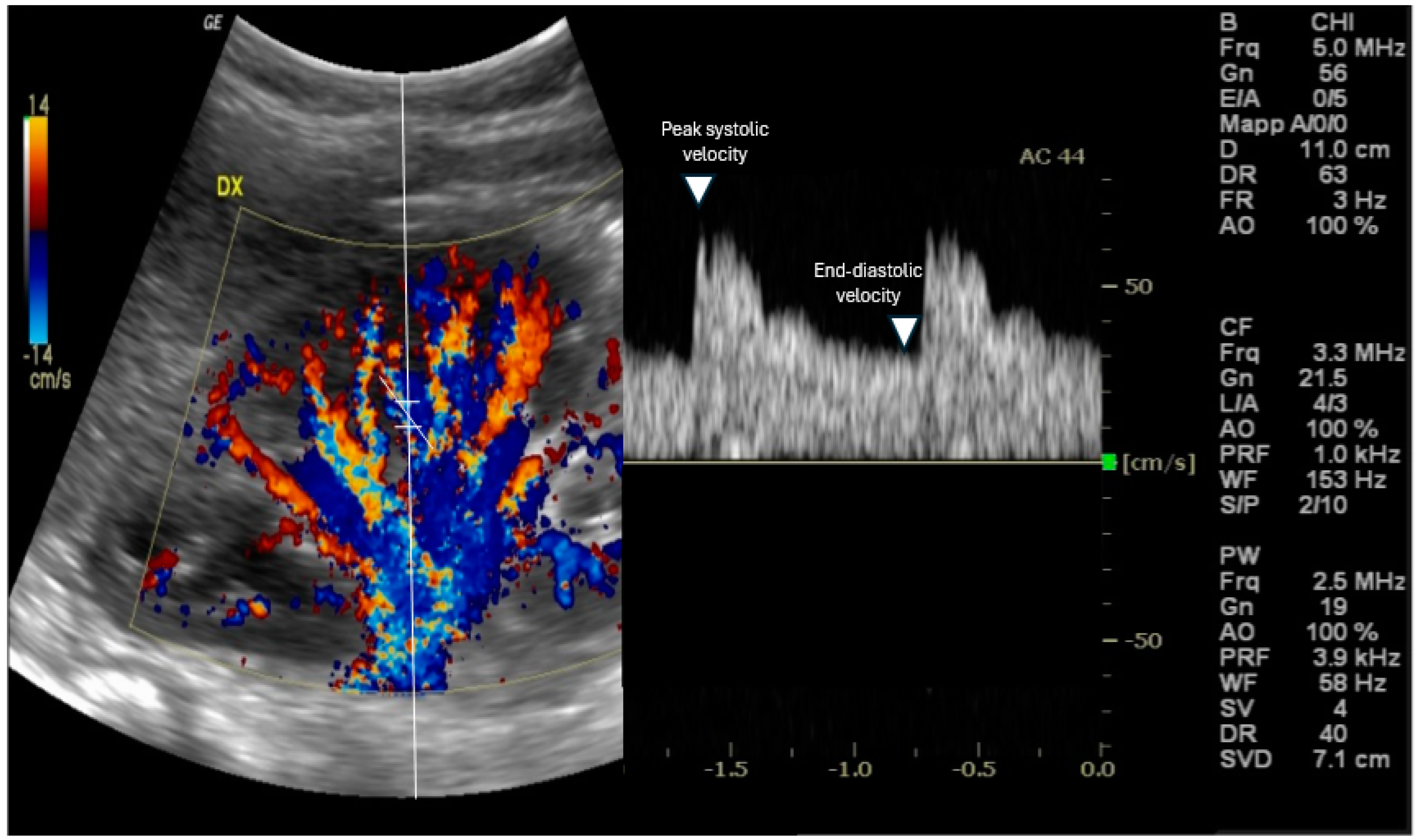
2. Measuring RRI: Methodology
- Skills: RRI measurement needs a trained operator [13] to achieve precise and repeatable results.
- Standardized ultrasound machine settings, including Doppler gain, pulse repetition frequency, and wall filter should be used to minimize variability [14].
- Measurement site: performing measurements in the same location [i.e., always at the corticomedullary junction] is better for comparison [15].
- Patient factors: breath-holding, heart-rate, and blood pressure can influence RRI and should be standardized or controlled accordingly [16].
- Time of assessment: for studies involving critically ill patients, RRI should be assessed after any intervention, as this will differ in terms of best practice [17].
- Inter- and intra-observer variability: these might depend on various factors, as discussed above [18].
- Reporting standards: this is a crucial factor for comparability between studies and implementation into clinical practice [19].
3. RRI in ARDS and HF: Pathophysiological Bases
4. RRI in ARDS
5. RRI in Heart Failure
6. Relationship of RRI with Other Organ Dysfunction Markers
7. Limitations and Challenges
8. Future Directions
9. Conclusions
Funding
Conflicts of Interest
References
- Pourcelot, L. Applications cliniques de l’examen Doppler transcutane. In Velocimetrie Ultrasonore Doppler; Peronneau, P., Ed.; INSERM: Paris, France, 1974; pp. 213–240. [Google Scholar]
- Tublin, M.E.; Bude, R.O.; Platt, J.F. The Resistive Index in Renal Doppler Sonography: Where Do We Stand? Am. J. Roentgenol. 2003, 180, 885–892. [Google Scholar] [CrossRef] [PubMed]
- Schnell, D.; Darmon, M. Renal Doppler to assess renal perfusion in the critically ill: A reappraisal. Intensive Care Med. 2012, 38, 1751–1760. [Google Scholar] [CrossRef] [PubMed]
- Ninet, S.; Schnell, D.; Dewitte, A.; Zeni, F.; Meziani, F.; Darmon, M. Doppler-based renal resistive index for prediction of renal dysfunction reversibility: A systematic review and meta-analysis. J. Crit. Care 2015, 30, 629–635. [Google Scholar] [CrossRef]
- Giustiniano, E.; Pugliese, L.; Calabrò, L.; Nisi, F. Renal Resistive Index: Not Only for Kidney Clinics. J. Ultrasound Med. 2022, 41, 1027–1030. [Google Scholar] [CrossRef] [PubMed]
- Theertha, K.C.; Das, S.K.; Shetty, M.S. Renal Resistive Index: Revisited. Cureus 2023, 15, e36091. [Google Scholar] [CrossRef]
- Koyner, J.L.; Murray, P.T. Mechanical Ventilation and the Kidney. Blood Purif. 2010, 29, 52–68. [Google Scholar] [CrossRef]
- Nijst, P.; Martens, P.; Dupont, M.; Tang, W.H.W.; Mullens, W. Intrarenal Flow Alterations During Transition From Euvolemia to Intravascular Volume Expansion in Heart Failure Patients. JACC Heart Fail. 2017, 5, 672–681. [Google Scholar] [CrossRef] [PubMed]
- O’Neill, W.C. Renal Resistive Index: A Case of Mistaken Identity. Hypertension 2014, 64, 915–917. [Google Scholar] [CrossRef]
- Granata, A.; Zanoli, L.; Clementi, S.; Fatuzzo, P.; Di Nicolò, P.; Fiorini, F. Resistive intrarenal index: Myth or reality? Br. J. Radiol. 2014, 87, 20140004. [Google Scholar] [CrossRef] [PubMed]
- Schnell, D.; Deruddre, S.; Harrois, A.; Pottecher, J.; Cosson, C.; Adoui, N.; Benhamou, D.; Vicaut, E.; Azoulay, E.; Duranteau, J. Renal Resistive Index Better Predicts the Occurrence of Acute Kidney Injury Than Cystatin C. Shock 2012, 38, 592–597. [Google Scholar] [CrossRef] [PubMed]
- Boddi, M.; Bonizzoli, M.; Chiostri, M.; Begliomini, D.; Molinaro, A.; Tadini Buoninsegni, L.; Gensini, G.F.; Peris, A. Renal Resistive Index and mortality in critical patients with acute kidney injury. Eur. J. Clin. Investig. 2016, 46, 242–251. [Google Scholar] [CrossRef] [PubMed]
- Schnell, D.; Reynaud, M.; Venot, M.; Le Maho, A.L.; Dinic, M.; Baulieu, M.; Ducos, G.; Terreaux, J.; Zeni, F.; Azoulay, E.; et al. Resistive Index or color-Doppler semi-quantitative evaluation of renal perfusion by inexperienced physicians: Results of a pilot study. Minerva Anestesiol. 2014, 80, 1273–1281. [Google Scholar]
- Dietrich, C.F.; Averkiou, M.; Nielsen, M.B.; Barr, R.G.; Burns, P.N.; Calliada, F.; Cantisani, V.; Choi, B.; Chammas, M.C.; Clevert, D.-A. How to perform Doppler ultrasound in pregnancy. Ultraschall Med. 2021, 42, 497–512. [Google Scholar]
- Geraci, G.; Mulè, G.; Mogavero, M.; Geraci, C.; Nardi, E.; Cottone, S. Association Between Uric Acid and Renal Hemodynamics: Pathophysiological Implications for Renal Damage in Hypertensive Patients. J. Clin. Hypertens. 2016, 18, 1007–1014. [Google Scholar] [CrossRef] [PubMed]
- Lahmer, T.; Rasch, S.; Schnappauf, C.; Schmid, R.M.; Huber, W. Influence of volume administration on Doppler-based renal resistive index, renal hemodynamics and renal function in medical intensive care unit patients with septic-induced acute kidney injury: A pilot study. Int. Urol. Nephrol. 2016, 48, 1327–1334. [Google Scholar] [CrossRef]
- Oliveira, R.A.G.; Mendes, P.V.; Park, M.; Taniguchi, L.U. Factors associated with renal Doppler resistive index in critically ill patients: A prospective cohort study. Ann. Intensive Care 2019, 9, 23. [Google Scholar] [CrossRef] [PubMed]
- Corradi, F.; Brusasco, C.; Vezzani, A.; Palermo, S.; Altomonte, F.; Moscatelli, P.; Pelosi, P. Hemorrhagic Shock in Polytrauma Patients: Early Detection with Renal Doppler Resistive Index Measurements. Radiology 2011, 260, 112–118. [Google Scholar] [CrossRef]
- Schnell, D.; Darmon, M. Bedside Doppler ultrasound for the assessment of renal perfusion in the ICU: Advantages and limitations of the available techniques. Crit. Ultrasound J. 2015, 7, 8. [Google Scholar] [CrossRef] [PubMed]
- Bellomo, R.; Kellum, J.A.; Ronco, C. Acute kidney injury. Lancet 2012, 380, 756–766. [Google Scholar] [CrossRef]
- Koyner, J.L.; Murray, P.T. Mechanical Ventilation and Lung–Kidney Interactions. Clin. J. Am. Soc. Nephrol. 2008, 3, 562–570. [Google Scholar] [CrossRef] [PubMed]
- Sharfuddin, A.A.; Molitoris, B.A. Pathophysiology of ischemic acute kidney injury. Nat. Rev. Nephrol. 2011, 7, 189–200. [Google Scholar] [CrossRef] [PubMed]
- Pinsky, M.R. Cardiovascular Issues in Respiratory Care. Chest 2005, 128, 592S–597S. [Google Scholar] [CrossRef] [PubMed]
- Kuiper, J.W.; Groeneveld, A.B.J.; Slutsky, A.S.; Plötz, F.B. Mechanical ventilation and acute renal failure. Crit. Care Med. 2005, 33, 1408–1415. [Google Scholar] [CrossRef]
- Lionetti, V.; Recchia, F.A.; Marco Ranieri, V. Overview of ventilator-induced lung injury mechanisms. Curr. Opin. Crit. Care 2005, 11, 82–86. [Google Scholar] [CrossRef]
- Luecke, T.; Pelosi, P. Clinical review:Positive end-expiratory pressure and cardiac output. Crit. Care 2005, 9, 607. [Google Scholar] [CrossRef]
- Darmon, M.; Schortgen, F.; Leon, R.; Moutereau, S.; Mayaux, J.; Di Marco, F.; Devaquet, J.; Brun-Buisson, C.; Brochard, L. Impact of mild hypoxemia on renal function and renal resistive index during mechanical ventilation. Intensive Care Med. 2009, 35, 1031–1038. [Google Scholar] [CrossRef]
- Mullens, W.; Abrahams, Z.; Francis, G.S.; Sokos, G.; Taylor, D.O.; Starling, R.C.; Young, J.B.; Tang, W.H.W. Importance of Venous Congestion for Worsening of Renal Function in Advanced Decompensated Heart Failure. J. Am. Coll. Cardiol. 2009, 53, 589–596. [Google Scholar] [CrossRef] [PubMed]
- Nohria, A.; Hasselblad, V.; Stebbins, A.; Pauly, D.F.; Fonarow, G.C.; Shah, M.; Yancy, C.W.; Califf, R.M.; Stevenson, L.W.; Hill, J.A. Cardiorenal Interactions:insights from the ESCAPE trial. J. Am. Coll. Cardiol. 2008, 51, 1268–1274. [Google Scholar] [CrossRef]
- Gnanaraj, J.F.; Von Haehling, S.; Anker, S.D.; Raj, D.S.; Radhakrishnan, J. The relevance of congestion in the cardio-renal syndrome. Kidney Int. 2013, 83, 384–391. [Google Scholar] [CrossRef] [PubMed]
- Damman, K.; Van Deursen, V.M.; Navis, G.; Voors, A.A.; Van Veldhuisen, D.J.; Hillege, H.L. Increased Central Venous Pressure Is Associated With Impaired Renal Function and Mortality in a Broad Spectrum of Patients With Cardiovascular Disease. J. Am. Coll. Cardiol. 2009, 53, 582–588. [Google Scholar] [CrossRef]
- Iacoviello, M.; Nonarella, A.; Guida, P. Renal resistive index predicts worsening renal function in chronic heart failure patients. J. Am. Coll. Cardiol. 2011, 57, E237. [Google Scholar]
- Geraci, G.; Buccheri, D.; Zanoli, L.; Fatuzzo, P.; Di Natale, K.; Zammuto, M.M.; Nardi, E.; Geraci, C.; Mancia, E.; Zambelli, G.; et al. Renal haemodynamics and coronary atherosclerotic burden are associated in patients with hypertension and mild coronary artery disease. Exp. Ther. Med. [Internet] 2019, 17, 3255–3263. [Google Scholar] [CrossRef] [PubMed]
- Schrier, R.W.; Abraham, W.T. Hormones and Hemodynamics in Heart Failure. Epstein FH, curatore. N. Engl. J. Med. 1999, 341, 577–585. [Google Scholar] [CrossRef] [PubMed]
- Ciccone, M.M.; Iacoviello, M.; Gesualdo, L.; Puzzovivo, A.; Antoncecchi, V.; Doronzo, A.; Monitillo, F.; Citarelli, G.; Paradies, V.; Favale, S. The renal arterial resistance index: A marker of renal function with an independent and incremental role in predicting heart failure progression. Eur. J. Heart Fail. 2014, 16, 210–216. [Google Scholar] [CrossRef] [PubMed]
- Fogagnolo, A.; Grasso, S.; Dres, M.; Gesualdo, L.; Murgolo, F.; Morelli, E.; Ottaviani, I.; Marangoni, E.; Volta, C.A.; Spadaro, S. Focus on renal blood flow in mechanically ventilated patients with SARS-CoV-2: A prospective pilot study. J. Clin. Monit. Comput. 2022, 36, 161–167. [Google Scholar] [CrossRef] [PubMed]
- Giustiniano, E.; Nisi, F.; Ruggieri, N.; Cecconi, M. Value of renal resistive index in COVID-19 ARDS patients: An early inflammation alert for the lung-kidney cross-talk? Recent. Prog. Med. 2021, 112, 216–218. [Google Scholar]
- Garcia Cruz, E.; Broca Garcia, B.E.; Manzur Sandoval, D.; Gopar-Nieto, R.; Gonzalez Ruiz, F.J.; Diaz Gallardo, L. Renal Resistive Index as a Predictor of Acute Kidney Injury and Mortality in COVID-19 Critically Ill Patients. Blood Purif. 2022, 51, 309–316. [Google Scholar] [CrossRef] [PubMed]
- Yang, A.; Yang, J.; Zhou, B.; Qian, J.; Jiang, L.; Jiang, Z.; Lu, G. Effects of dexmedetomidine administration on outcomes in critically ill patients with acute kidney injury: A propensity score-matching analysis. Clin. Nephrol. 2023, 100, 28–36. [Google Scholar] [CrossRef] [PubMed]
- Deruddre, S.; Cheisson, G.; Mazoit, J.X.; Vicaut, E.; Benhamou, D.; Duranteau, J. Renal arterial resistance in septic shock: Effects of increasing mean arterial pressure with norepinephrine on the renal resistive index assessed with Doppler ultrasonography. Intensive Care Med. 2007, 33, 1557–1562. [Google Scholar] [CrossRef]
- La Via, L.; Vasile, F.; Perna, F.; Zawadka, M. Prediction of fluid responsiveness in critical care: Current evidence and future perspective. Trends Anaesth. Crit. Care 2024, 54, 101316. [Google Scholar] [CrossRef]
- Schneider, A.G.; Goodwin, M.D.; Schelleman, A.; Bailey, M.; Johnson, L.; Bellomo, R. Contrast-enhanced ultrasound to evaluate changes in renal cortical perfusion around cardiac surgery: A pilot study. Crit. Care 2013, 17, R138. [Google Scholar] [CrossRef]
- Darabont, R.; Mihalcea, D.; Vinereanu, D. Current Insights into the Significance of the Renal Resistive Index in Kidney and Cardiovascular Disease. Diagnostics 2023, 13, 1687. [Google Scholar] [CrossRef] [PubMed]
- McDonagh, T.A.; Metra, M.; Adamo, M.; Gardner, R.S.; Baumbach, A.; Böhm, M.; Burri, H.; Butler, J.; Čelutkienė, J.; Chioncel, O.; et al. 2021 ESC guidelines for the diagnosis and treatment of acute and chronic heart failure: Developed by the Task Force for the diagnosis and treatment of acute and chronic heart failure of the European Society of Cardiology (ESC). With the special contribution of the Heart Failure Association (HFA) of the ESC. Eur. J. Heart Fail. 2022, 24, 4–131. [Google Scholar] [PubMed]
- Gioia, M.I.; Parisi, G.; Grande, D.; Albanese, M.; Alcidi, G.; Correale, M.; Brunetti, N.D.; Ciccone, M.M.; Iacoviello, M. Effects of sacubitril/valsartan on the renal resistance index. J. Clin. Med. 2022, 11, 3683. [Google Scholar] [CrossRef] [PubMed]
- Husain-Syed, F.; Birk, H.; Ronco, C.; Schörmann, T.; Tello, K.; Richter, M.J.; Wilhelm, J.; Sommer, N.; Steyerberg, E.; Bauer, P.; et al. Doppler-Derived Renal Venous Stasis Index in the Prognosis of Right Heart Failure. J. Am. Heart Assoc. 2019, 8, e013584. [Google Scholar] [CrossRef] [PubMed]
- Fotopoulou, G.; Poularas, I.; Kokkoris, S.; Charitidou, E.; Boletis, I.; Brountzos, E.; Benetos, A.; Zakynthinos, S.; Routsi, C. Renal Resistive Index on Intensive Care Unit Admission Correlates with Tissue Hypoperfusion Indices and Predicts Clinical Outcome. Shock 2022, 57, 501–507. [Google Scholar] [CrossRef] [PubMed]
- Ennezat, P.V.; Maréchaux, S.; Six-Carpentier, M.; Pinçon, C.; Sediri, I.; Delsart, P.; Gras, M.; Mounier-Vehier, C.; Gautier, C.; Montaigne, D.; et al. Renal resistance index and its prognostic significance in patients with heart failure with preserved ejection fraction. Nephrol. Dial. Transplant. 2011, 26, 3908–3913. [Google Scholar] [CrossRef] [PubMed]
- Geraci, G.; Mulè, G.; Paladino, G.; Zammuto, M.M.; Castiglia, A.; Scaduto, E.; Zotta, G.; Geraci, C.; Granata, A.; Mansueto, P.; et al. Relationship between kidney findings and systemic vascular damage in elderly hypertensive patients without overt cardiovascular disease. J. Clin. Hypertens. 2017, 19, 1339–1347. [Google Scholar] [CrossRef]
- Geraci, G.; Zammuto, M.M.; Cottone, S.; Mulè, G. Renal resistive index: Beyond the hemodynamics. J. Clin. Hypertens. 2020, 22, 1288–1289. [Google Scholar] [CrossRef] [PubMed]
- Mulè, G.; Geraci, G.; Geraci, C.; Morreale, M.; Cottone, S. The renal resistive index: Is it a misnomer? Intern. Emerg. Med. 2015, 10, 889–891. [Google Scholar] [CrossRef] [PubMed]
- Tomii, D.; Horiuchi, Y.; Gonda, Y.; Yoshiura, D.; Nakajima, M.; Sekiguchi, M.; Watanabe, Y.; Nakamura, K.; Setoguchi, N.; Nakase, M.; et al. The role of the renal resistance index in patients with heart failure with reduced or preserved ejection fraction. J. Cardiol. 2021, 78, 301–307. [Google Scholar] [CrossRef] [PubMed]
- Barone, R.; Goffredo, G.; Di Terlizzi, V.; Alcidi, G.; Tabella, E.; Centola, A.; Campanale, G.; Ruggiero, A.; Cuculo, A.; Di Biase, M.; et al. Renal resistance index independently predicts worsening of renal function after coronary angiography. Int. J. Cardiovasc. Imaging 2023, 39, 43–50. [Google Scholar] [CrossRef] [PubMed]
- Tudoran, M.; Tudoran, C. Acute heart failure syndrome: The relationship between renal resistive index and NT-proBNP as a predictor for the outcome. Med. Ultrason. 2017, 19, 295–301. [Google Scholar]
- Samoni, S.; Villa, G.; De Rosa, S.; Husain-Syed, F.; Guglielmetti, G.; Tofani, L.; De Cal, M.; Nalesso, F.; Meola, M.; Ronco, C. Ultrasonographic Intraparenchymal Renal Resistive Index Variation for Assessing Renal Functional Reserve in Patients Scheduled for Cardiac Surgery: A Pilot Study. Blood Purif. 2022, 51, 147–154. [Google Scholar] [CrossRef] [PubMed]
- Barua, S.; Robson, D.; Eckford, H.; Macdonald, P.; Muthiah, K.; Hayward, C.S. Renal resistive index in patients supported with a durable continuous flow left ventricular assist device. Artif. Organs 2024, 48, 1366–1371. [Google Scholar] [CrossRef] [PubMed]
- Bossard, G.; Bourgoin, P.; Corbeau, J.J.; Huntzinger, J.; Beydon, L. Early detection of postoperative acute kidney injury by Doppler renal resistive index in cardiac surgery with cardiopulmonary bypass. Br. J. Anaesth. 2011, 107, 891–898. [Google Scholar] [CrossRef]
- Patel, M.L.; Mishra, H.; Sachan, R.; Singh, V.K.; Gangwar, R.; Ali, W. Diagnostic Accuracy of Plasma Cystatin C and Renal Resistive Index for Acute Kidney Injury in Critically Ill Patients: A Prospective Observational Study. Niger. Med. J. 2023, 64, 692–703. [Google Scholar] [CrossRef] [PubMed] [PubMed Central]
- Koratala, A.; Romero-González, G.; Soliman-Aboumarie, H.; Kazory, A. Unlocking the Potential of VExUS in Assessing Venous Congestion: The Art of Doing It Right. Cardiorenal Med. 2024, 14, 350–374. [Google Scholar] [CrossRef]
- La Via, L.; Astuto, M.; Dezio, V.; Muscarà, L.; Palella, S.; Zawadka, M.; Vignon, F.; Sanfilippo, F. Agreement between subcostal and transhepatic longitudinal imaging of the inferior vena cava for the evaluation of fluid responsiveness: A systematic review. J. Crit. Care 2022, 71, 154108. [Google Scholar] [CrossRef] [PubMed]
- Sanfilippo, F.; La Via, L.; Dezio, V.; Amelio, P.; Genoese, G.; Franchi, F.; Messina, A.; Robba, C.; Noto, A. Inferior vena cava distensibility from subcostal and trans-hepatic imaging using both M-mode or artificial intelligence: A prospective study on mechanically ventilated patients. Intensive Care Med. Exp. 2023, 11, 40. [Google Scholar] [CrossRef] [PubMed]
- Beaubien-Souligny, W.; Benkreira, A.; Robillard, P.; Bouabdallaoui, N.; Chassé, M.; Desjardins, G.; Lamarche, Y.; White, M.; Bouchard, J.; Denault, A. Alterations in Portal Vein Flow and Intrarenal Venous Flow Are Associated With Acute Kidney Injury After Cardiac Surgery: A Prospective Observational Cohort Study. J. Am. Heart Assoc. 2018, 7, e009961. [Google Scholar] [CrossRef]
- Nguyen, H.B.; Losey, T.; Rasmussen, J.; Oliver, R.; Guptill, M.; Wittlake, W.A.; Corbett, S.W. Interrater reliability of cardiac output measurements by transcutaneous Doppler ultrasound: Implications for noninvasive hemodynamic monitoring in the ED. Am. J. Emerg. Med. 2006, 24, 828–835. [Google Scholar] [CrossRef] [PubMed]
- Ponte, B.; Pruijm, M.; Ackermann, D.; Vuistiner, P.; Eisenberger, U.; Guessous, I.; Rousson, V.; Mohaupt, M.G.; Alwan, H.; Ehret, G.; et al. Reference Values and Factors Associated with Renal Resistive Index in a Family-Based Population Study. Hypertension 2014, 63, 136–142. [Google Scholar] [CrossRef]
- Bude, R.O.; Rubin, J.M. Relationship between the Resistive Index and Vascular Compliance and Resistance. Radiology 1999, 211, 411–417. [Google Scholar] [CrossRef] [PubMed]
- Rim, S.J.; Leong-Poi, H.; Lindner, J.R.; Wei, K.; Fisher, N.G.; Kaul, S. Decrease in Coronary Blood Flow Reserve During Hyperlipidemia Is Secondary to an Increase in Blood Viscosity. Circulation 2001, 104, 2704–2709. [Google Scholar] [CrossRef] [PubMed]
- Radermacher, J.; Chavan, A.; Bleck, J.; Vitzthum, A.; Stoess, B.; Gebel, M.J.; Galanski, M.; Koch, K.M.; Haller, H. Use of Doppler Ultrasonography to Predict the Outcome of Therapy for Renal-Artery Stenosis. N. Engl. J. Med. 2001, 344, 410–417. [Google Scholar] [CrossRef] [PubMed]
- Dewitte, A.; Coquin, J.; Meyssignac, B.; Joannès-Boyau, O.; Fleureau, C.; Roze, H.; Ripoche, J.; Janvier, G.; Combe, C.; Ouattara, A. Doppler resistive index to reflect regulation of renal vascular tone during sepsis and acute kidney injury. Crit. Care 2012, 16, R165. [Google Scholar] [CrossRef]
- Samoni, S.; Nalesso, F.; Meola, M.; Villa, G.; De Cal, M.; De Rosa, S.; Petrucci, I.; Brendolan, A.; Rosner, M.H.; Ronco, C. Intra-Parenchymal Renal Resistive Index Variation (IRRIV) Describes Renal Functional Reserve (RFR): Pilot Study in Healthy Volunteers. Front. Physiol. 2016, 7, 286. [Google Scholar] [CrossRef] [PubMed]
- Geraci, G.; Sorce, A.; Mulè, G. The “Renocentric Theory” of Renal Resistive Index: Is It Time for a Copernican Revolution? J. Rheumatol. 2020, 47, 486–489. [Google Scholar] [CrossRef] [PubMed]
- Haitsma Mulier, J.L.G.; Rozemeijer, S.; Röttgering, J.G.; Spoelstra-de Man, A.M.E.; Elbers, P.W.G.; Tuinman, P.R. Renal resistive index as an early predictor and discriminator of acute kidney injury in critically ill patients; A prospective observational cohort study. PLoS ONE 2018, 13, e0197967. [Google Scholar] [CrossRef] [PubMed]
- Bude, R.O.; DiPietro, M.A.; Platt, J.F.; Rubin, J.M.; Miesowicz, S.; Lundquist, C. Age dependency of the renal resistive index in healthy children. Radiology 1992, 184, 469–473. [Google Scholar] [CrossRef] [PubMed]

| Authors | Country | Sample Size | Study Design | Aim | Outcome | 
|---|---|---|---|---|---|
| Fogagnolo et al. (2022) [36] | Italia | 30 | Prospective, observational pilot study | To compare RRI and renal venous flow (RVF) in ARDS patients with SARS-CoV-2 and in patients with ARDS due to other etiologies. | Patients with SARS-COV-2 ARDS had higher RRI values than patients with ARDS (0.71 [0.67–0.78] vs. 0.64 [0.60–0.74], p = 0.04). A linear correlation was found between PEEP and RRI in patients with SARS-COV-2 ARDS (r2 = 0.31; p = 0.03) but not in patients with ARDS. A more pronounced impairment in renal blood flow was found in mechanically ventilated patients with SARS-COV-2 ARDS compared with patients with “classical” ARDS. | 
| Giustiniano et al. (2021) [37] | Italy | 105 | Prospective | To analyze RRI and other hemodynamic, respiratory, and inflammation parameters in critically ill patients affected by severe COVID-19 with ARDS aiming at verifying their modifications during supine and prone positioning and any mutual correlations or interplay with RRI. | Before and during prone positioning, none of the analyzed parameters changed significantly. Pearson’s correlation coefficient showed a moderate association between CRP and RRI (r = 0.496; 95% CI, 0.165–0.726) (p = 0.005) and between RRI and creatinine (r = 0.425; 95% CI, 0.077–0.681) (p = 0.019). CRP and creatinine showed a weak correlation (r = 0.321; 95% CI, −0.059–0.620) (p = 0.096). | 
| Cruz et al. (2021) [38] | Mexico | 65 | Prospective | To determine the role of RRI in predicting AKI and adverse outcomes in critically ill patients with COVID-19. | Of the patients who developed AKI, 68% had RRI ≥ 0.7. In addition, 75% of the patients who required RRT had RRI ≥ 0.7. In the adjusted Cox model, an RRI ≥ 0.7 was associated with higher mortality (HR 2.86, 95% CI: 1.19–6.82, p = 0.01). | 
| Authors | Country | Sample Size | Study Design | Aim | Outcome | 
|---|---|---|---|---|---|
| Nijst et al.(2017) [8] | Belgium | 56 | Prospective | To assess the intrarenal flow in heart failure (HF) patients during the transition from euvolemia to intravascular volume overload and the relationship between intrarenal flow and diuretic efficiency. | In response to volume expansion, VII increased significantly in HFrEF patients (0.4 ± 0.3 to 0.7 ± 0.2; p < 0.001) and in HFpEF patients (0.4 ± 0.3 to 0.7 ± 0.2; p = 0.002) but not in healthy subjects (0.2 ± 0.2 to 0.3 ± 0.1; p = 0.622). This outcome was reversed after loop diuretic administration. In contrast, RRI did not change significantly after volume expansion. | 
| Iacoviello et al. (2016) [32] | Italy | 266 | Prospective, observational | To verify the value of RRI as a predictor of worsening renal function (WRF) in a group of chronic heart failure (CHF) outpatients. | RRI was associated with WRF in a univariate (OR: 1.13; 95% CI: 1.07–1.20) as well as in a forward stepwise multivariate logistic regression analysis (OR: 1.09; 95% CI: 1.03–1.16; p = 0.005) including the other univariate predictors. | 
| Geraci et al.(2019) [33] | Italy | 130 | Retrospective | To examine the associations between renal hemodynamics, coronary atherosclerotic burden, and carotid atherosclerotic disease. | Intrarenal vascular alterations were significantly correlated with coronary artery disease in patients with low atherosclerotic burden (GS ≤ 30 or cIMT ≤ 0.90 mm), whereas this association was not identified in those with severe coronary artery disease (GS > 30). | 
| Ciccone et al. (2014) [35] | Italy | 250 | Prospective | To evaluate the clinical correlates of RRI in a group of outpatients affected by CHF as well as its role in predicting HF progression. | RRI was associated with events in a univariate [hazard ratio (HR) 1.14; 95% confidence interval (CI) 1.09–1.19; p < 0.001] as well as in a multivariate Cox regression analysis (HR 1.08; 95% CI 1.02–1.13; p = 0.004). | 
| Ennezat et al. (2011) [48] | France | 180 | Prospective | To investigate the clinical relevance of intrarenal vascular hemodynamics in assessing the prognostic value of RRI for all-cause mortality or hospitalization for HF decompensation. | Mean RRI was an independent predictor of poor outcomes [hazard ratio = 1.06 95% confidence interval (1.01–1.10), p = 0.007] and remained significantly associated with the outcome after adjustment for univariate predictors that included low mean blood pressure, low hemoglobin concentration, and low glomerular filtration rate. | 
| Tomii et al. (2021) [52] | Japan | 330 | Retrospective | To investigate the determining factors of RRI in HF patients with preserved ejection fraction (HFpEF) and with reduced EF (HFrEF). | Cox proportional hazard analysis revealed an association of RRI with the composite outcome in both HFrEF (HR 1.08; 95% CI 1.03–1.14) and HFpEF (HR 1.07; 95% CI 1.03–1.12) without an interaction (p for interaction = 0.770). | 
| Disclaimer/Publisher’s Note: The statements, opinions and data contained in all publications are solely those of the individual author(s) and contributor(s) and not of MDPI and/or the editor(s). MDPI and/or the editor(s) disclaim responsibility for any injury to people or property resulting from any ideas, methods, instructions or products referred to in the content. | 
© 2025 by the authors. Licensee MDPI, Basel, Switzerland. This article is an open access article distributed under the terms and conditions of the Creative Commons Attribution (CC BY) license (https://creativecommons.org/licenses/by/4.0/).
Share and Cite
Cuttone, G.; Geraci, G.; La Via, L.; Sorbello, M.; Pappalardo, F.; Carollo, C. Exploring the Utility of Renal Resistive Index in Critical Care: Insights into ARDS and Cardiac Failure. Biomedicines 2025, 13, 519. https://doi.org/10.3390/biomedicines13020519
Cuttone G, Geraci G, La Via L, Sorbello M, Pappalardo F, Carollo C. Exploring the Utility of Renal Resistive Index in Critical Care: Insights into ARDS and Cardiac Failure. Biomedicines. 2025; 13(2):519. https://doi.org/10.3390/biomedicines13020519
Chicago/Turabian StyleCuttone, Giuseppe, Giulio Geraci, Luigi La Via, Massimiliano Sorbello, Federico Pappalardo, and Caterina Carollo. 2025. "Exploring the Utility of Renal Resistive Index in Critical Care: Insights into ARDS and Cardiac Failure" Biomedicines 13, no. 2: 519. https://doi.org/10.3390/biomedicines13020519
APA StyleCuttone, G., Geraci, G., La Via, L., Sorbello, M., Pappalardo, F., & Carollo, C. (2025). Exploring the Utility of Renal Resistive Index in Critical Care: Insights into ARDS and Cardiac Failure. Biomedicines, 13(2), 519. https://doi.org/10.3390/biomedicines13020519
 
        




 
       