Differential Scanning Calorimetry, a Novel Method to Detect Uterine Ischemia-Reperfusion Injury During Autotransplantation in Experimental Sheep Model
Abstract
1. Introduction
2. Materials and Methods
2.1. Surgical Preparation, Anesthesia
2.2. Surgical Procedure
2.3. Sampling
2.4. Light Microscopy Evaluation
2.5. DSC Measurements
3. Results
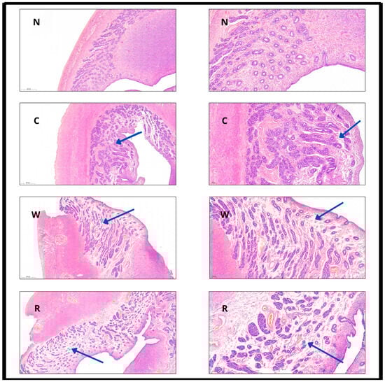
3.1. Light Microscopy Evaluation of Uterus Wall
3.2. DSC Evaluation
4. Discussion
5. Conclusions
Author Contributions
Funding
Institutional Review Board Statement
Informed Consent Statement
Data Availability Statement
Acknowledgments
Conflicts of Interest
Abbreviations
| AUFI | Absolute uterine factor infertility |
| Utx | Uterus transplantation |
| LD | Live donor |
| IRI | Ischemia-reperfusion injury |
| DSC | Differential scanning calorimetry |
| HE | Hematoxylin–eosin |
| FIGO | International Federation of Obstetrics and Gynecology |
References
- Sieunarine, K.; Zakaria, F.B.P.; Boyle, D.C.M.; Corless, D.J.; E Noakes, D.; Lindsay, I.; Lawson, A.; Ungar, L.; Del Priores, G.; Smith, J.R. Possibilities for fertility restoration: A new surgical technique. Int. Surg. 2005, 90, 249–256. [Google Scholar] [CrossRef]
- Farkas, B.; Kolumban, S.; Papp, K.S.; Fazekas, G.; Kovacs, K.; Bodis, J. Current legal standpoint on surrogacy in Hungary. J. Assist. Reprod. Genet. 2025, 42, 343. [Google Scholar] [CrossRef] [PubMed]
- Fageeh, W.; Raffa, H.; Jabbad, H.; Marzouki, A. Transplantation of the human uterus. Mol. Hum. Reprod. 2012, 18, 68–78. [Google Scholar] [CrossRef] [PubMed]
- Brännström, M.; Johannesson, L.; Dahm-Kähler, P.; Enskog, A.; Mölne, J.; Kvarnström, N.; Diaz-Garcia, C.; Hanafy, A.; Lundmark, C.; Marcickiewicz, J.; et al. First clinical uterus transplantation trial: A six-month report. Fertil. Steril. 2014, 101, 1228–1236. [Google Scholar] [CrossRef] [PubMed]
- Brännström, M.; Johannesson, L.; Bokström, H.; Kvarnström, N.; Mölne, J.; Dahm-Kähler, P.; Enskog, A.; Milenkovic, M.; Ekberg, J.; Diaz-Garcia, C.; et al. Livebirth after uterus transplantation. Lancet 2015, 14, 607–616. [Google Scholar] [CrossRef]
- Farkas, B.; Kovács, K.; Kolumbán, S.; Rozanovic, M.; Hegedűs, E.; Jancsó, G.; Bódis, J.; Fazekas, G. The experimental uterus autotransplantation sheep model. Orv. Hetil. 2024, 165, 1079–1085. (In Hungarian) [Google Scholar] [CrossRef]
- Farkas, B.; Kovács, K.; Kolumbán, S.; Papp, K.S.; Marton, Z.; Bódis, J.; Fazekas, G. Uterus transplantation, deceased donor graft removal. Orv. Hetil. 2025. in press (In Hungarian) [Google Scholar]
- Solomonov, E.; Braun, N.M.; Siman-Tov, Y.; Ben-Shachar, I. Team preparation for human uterus transplantation: Autologous transplantation in sheep model. Clin. Transpl. 2017, 31, e131137. [Google Scholar] [CrossRef]
- Brännström, M.; Wranning, C.A.; Altchek, A. Experimental uterus transplantation. Hum. Reprod. Update 2010, 16, 329–345. [Google Scholar] [CrossRef]
- Wilhelm, F.; Kovács, K.A.; Vértes, Z.; Lőrinczy, D. Human uterus in pregnancy, as it can be monitored by DSC (differential scanning calorimetric) examination. A preliminary study. J. Thermal Anal. Calorim. 2007, 89, 863–865. [Google Scholar] [CrossRef]
- Csík, G.; Zupkó, I.; Regdon, G., Jr.; Falkay, G.; Lőrinczy, D. DSC investigation of early pregnant uterus of the rat. J. Thermal Anal. Calorim. 2009, 95, 695–698. [Google Scholar] [CrossRef]
- Zupkó, I.; Csík, G.; Falkay, G.; Regdon, G., Jr.; Lőrinczy, D. Calorimetric investigation of rat myometrium as a function of gestational age. Thermochim. Acta 2009, 496, 26–29. [Google Scholar] [CrossRef]
- Nedvig, K.; Ferencz, A.; Rőth, E.; Lőrinczy, D. DSC examination of intestinal tissue following warm ischemia reperfusion injury. J. Thermal Anal. Calorim. 2009, 95, 775–779. [Google Scholar] [CrossRef]
- Ferencz, A.; Nedvig, K.; Lőrinczy, D. DSC examination of intestinal tissue following cold preservation. Thermochim. Acta 2010, 497, 41–45. [Google Scholar] [CrossRef]
- Ferencz, A.; Nedvig, K.; Lőrinczy, D. DSC, as a new method to verify the exact warm and cold ischemic injury during small bowel surgery. Thermochim. Acta 2010, 509, 50–55. [Google Scholar] [CrossRef]
- Ferencz, A.; Nedvig, K.; László, E.; Magyarlaki, T.; Lőrinczy, D. DSC examination of kidney tissue following warm ischemia and reperfusion injury. Thermochim. Acta 2011, 525, 161–166. [Google Scholar] [CrossRef]
- Lőrinczy, D. Thermal analysis in biological medical applications. J. Thermal Anal. Calorim. 2017, 130, 1263–1280. [Google Scholar] [CrossRef]
- Könczöl, F.; Farkas, N.; Dergez, T.; Belagyi, J.; Lőrinczy, D. Effect of tetracaine on erythrocyte membrane by DSC and EPR. J. Thermal Anal. Calorim. 2005, 82, 201–206. [Google Scholar] [CrossRef]
- Benkő, L.; Danis, J.; Czompo, M.; Hubmann, R.; Ferencz, A.; Jancsó, G.; Szántó, Z.; Zólyomi, A.; Könczöl, F.; Bellyei, Á.; et al. DSC examination of the oesophagus after two different self-expandable stents implantation: An experimental study. J. Thermal Anal. Calorim. 2006, 83, 715–720. [Google Scholar] [CrossRef]
- Szabó, I.; Bognár, G.; Kereskai, L.; Szász, K.; Lőrinczy, D. Differential scanning calorimetric histological examinations of the long head of the biceps in cadavers. J. Thermal Anal. Calorim. 2007, 88, 343–349. [Google Scholar] [CrossRef]
- Pintér Cs Bognár, G.; Horváth, B.; Sydo, T.; Ligeti, E.; Pulai, J.; Lőrinczy, D. DSC analysis of human fat tissue in idiopathic avascular necrosis of the femoral head—A preliminary study. J. Thermal Anal. Calorim. 2009, 95, 781–785. [Google Scholar] [CrossRef]
- Dahm-Kähler, P.; Wranning, C.; Lundmark, C.; Enskog, A.; Mölne, J.; Marcickiewicz, J.; El-Akouri, R.R.; McCracken, J.; Brännström, M. Transplantation of the uterus in the sheep: Methodology and early reperfusion events. J. Obstet. Gynaecol. Res. 2008, 34, 784–793. [Google Scholar] [CrossRef] [PubMed]
- El-Akouri, R.R.; Kurlberg, G.; Dindelegan, G.; Molne, J.; Wallin, A.; Brannstrom, M. Heterotopic uterine transplantation by vascular anastomosis in the mouse. J. Endocrinol. 2002, 174, 157–166. [Google Scholar] [CrossRef]
- Wranning, C.A.; Akhi, S.N.; Kurlberg, G.; Brannstrom, M. Uterus transplantation in the rat: Model development, surgical learning and morphological evaluation of healing. Acta Obstet. Gynecol. Scand. 2008, 87, 1239–1247. [Google Scholar] [CrossRef]
- Sieunarine, K.; Hakim, N.S.; Corless, D.J.; Noakes, D.E.; Ungar, L.; Del Priore, G.; Smith, J.R. Is it feasible to use a large vessel patch with a uterine allograft en bloc for uterine transplantation? Int. Surg. 2005, 90, 257–261. [Google Scholar] [CrossRef] [PubMed]
- Enskog, A.; Johannesson, L.; Chai, D.C.; Dahm-Kähler, P.; Marcickiewicz, J.; Nyachieo, A.; Mwenda, J.M.; Brännström, M. Uterus transplantation in the baboon: Methodology and long-term function after auto-transplantation. Hum. Reprod. 2010, 25, 1980–1987. [Google Scholar] [CrossRef]
- Del Priore, G.; Schlatt, S.; Malanowska-Stega, J. Uterus transplant techniques in primates: 10 years’ experience. Exp. Clin. Transpl. 2008, 6, 87–94. [Google Scholar]
- Wranning, C.A.; El-Akouri, R.R.; Lundmark, C.; Dahm-Kähler, P.; Mölne, J.; Enskog, A.; Brännström, M. Auto-transplantation of the uterus in the domestic pig. J. Obstet. Gynaecol. Res. 2006, 32, 358–367. [Google Scholar] [CrossRef]
- Milliez, J. Uterine transplantation FIGO committee for the ethical aspects of human reproduction and women’s health. Int. J. Gynaecol. Obstet. 2009, 106, 270. [Google Scholar] [CrossRef]
- Kisu, I.; Matoba, Y.; Banno, K.; Aoki, D. Nonhuman primate research in uterus transplantation. In Uterus Transplantation; Brännnström, M., Ed.; Springer Nature: Cham, Switzerland, 2020; pp. 57–67. [Google Scholar]
- Saso, S.; Petts, G.; Thum, M.; Corless, D.; Boyd, M.; Noakes, D.; Del Priore, G.; Ghaem-Maghami, S.; Smith, J.R. Achieving uterine auto-transplantation in a sheep model using iliac vessel anastomosis: A short-term viability study. Acta Obstet. Gynecol. Scand. 2015, 94, 245–252. [Google Scholar] [CrossRef]
- Favre-Inhofer, A.; Carbonnel, M.; Revaux, A.; Sandra, O.; Mougenot, V.; Bosc, R.; Gélin, V.; Rafii, A.; Hersant, B.; Vialard, F.; et al. Critical steps for initiating an animal uterine transplantation model in sheep: Experience from a case series. Int. J. Surg. 2018, 60, 245–251. [Google Scholar] [CrossRef]
- Wranning, C.A.; Marcickiewicz, J.; Enskog, A.; Dahm-Kahler, P.; Hanafy, A.; Brannstrom, M. Fertility after autologous ovine uterine-tubalovarian transplantation by vascular anastomosis to the external iliac vessels. Hum. Reprod. 2010, 25, 1973–1979. [Google Scholar] [CrossRef]
- Ramirez, E.R.; Nessetti, D.K.R.; Nessetti, M.B.; Khatamee, M.; Wolfson, M.R.; Shaffer, T.H.; Ramirez, V.Z.; Ramirez, H.A. Pregnancy and outcome of uterine allotransplantation and assisted reproduction in sheep. J. Minim. Invasive Gynecol. 2011, 18, 238–245. [Google Scholar] [CrossRef] [PubMed]
- Brännström, M. Domestic species research in uterus transplantation. In Uterus Transplantation; Brännström, M., Ed.; Springer Nature: Cham, Switzerland, 2020; pp. 51–57. [Google Scholar]
- Mendilcioglu, I.; Dogan, N.U.; Ozkan, O.; Bahceci, M.; Boynukalin, K.; Dogan, S.; Ozkan, O. Pregnancy management and outcome after uterus transplantation. Ultrasound Obstet. Gynecol. 2023, 62, 328–335. [Google Scholar] [CrossRef] [PubMed]
- Tamás, P.; Betlehem, J.; Szekeres-Barthó, J.; Kovács, K.; Wami, G.A.; Vértes, V.; Bódis, J. The two faces of preeclampsia. Orv Hetil. 2022, 163, 663–669. (In Hungarian) [Google Scholar] [CrossRef]
- Brännström, M. Human preclinical research in uterus transplantation. In Uterus Transplantation; Brännström, M., Ed.; Springer Nature: Cham, Switzerland, 2020; pp. 69–72. [Google Scholar]
- Racho El-Akouri, R.; Wranning, C.A.; Molne, J.; Kurlberg, G.; Brannstrom, M. Pregnancy in transplanted mouse uterus after long-term cold ischaemic preservation. Hum. Reprod. 2003, 18, 2024–2030. [Google Scholar] [CrossRef] [PubMed]
- Luo, X.; Yu, S.; Liu, B.; Zheng, Q.; Zhou, X.; An, K.; Zhong, J.; Wu, L.; Dai, H.; Qi, Z.; et al. Determination of Maximum Tolerable Cold Ischemia Time in a Mouse Model of Cervical Heterotopic Uterus Transplantation. Transplantation 2024, 108, e207–e217. [Google Scholar] [CrossRef]
- Wranning, C.A.; Akhi, S.N.; Diaz-Garcia, C.; Brannstrom, M. Pregnancy after syngeneic uterus transplantation and spontaneous mating in the rat. Hum. Reprod. 2011, 26, 553–558. [Google Scholar] [CrossRef]
- Tricard, J.; Ponsonnard, S.; Tholance, Y.; Mesturoux, L.; Lachatre, D.; Couquet, C.; Terro, F.; Yardin, C.; Marquet, P.; Piccardo, A.; et al. Uterus tolerance to extended cold ischemic storage after auto-transplantation in ewes. Eur. J. Obstet. Gynecol. Reprod. Biol. 2017, 214, 162–167. [Google Scholar] [CrossRef]
- Wranning, C.; Mölne, J.; El-Akouri, R.; Kurlberg, G.; Brännström, M. Short-term ischaemic storage of human uterine myometrium-basic studies towards uterine transplantation. Hum. Reprod. 2005, 20, 2736–2744. [Google Scholar] [CrossRef][Green Version]
- Sieunarine, K.; Lindsay, I.; Ungar, L.; Del Priore, G.; Smith, J.R. Cold ischaemic preservation of human uterine tissue. Int. Surg. 2008, 93, 366–372. [Google Scholar] [PubMed]





| Sample n = 6 | TLM/°C | TMM/°C | TM1/2/°C | THM/°C | ΔHMcal/Jg−1 | |
|---|---|---|---|---|---|---|
| Uterine wall | 47.5 ± 0.2 | 60.2 ± 0.6 | 3.8 ± 0.2 | 82.4 ± 0.5 | 3.40 ± 0.53 | ![]() |
| 1 h cold ischemia | 53.8 ± 0.4 | 60.9 ± 0.5 | 3.2 ± 0.2 | 82.4 ± 0.5 | 3.18 ± 0.24 | |
| 0.5 h warm ischemia | - | 59.9 ± 0.3 | 3.6 ± 0.3 | 78.7 ± 0.4 | 2.69 ± 0.31 | |
| 0.5 h reperfusion | 53.8 ± 0.4 | 60.6 ± 0.3 | 4.2 ± 0.3 | 82.4 ± 0.5 | 2.62 ± 0.22 | |
| Endometrium | 51.1 ± 0.4 | 57.7 ± 0.8 | 4.3 ± 0.3 | 78.6 ± 0.4 | 2.23 ± 0.10 | ![]() |
| 1 h cold ischemia | 52.0 ± 0.4 | 59.8 ± 0.8 | 3.6 ± 0.2 | 80.0 ± 0.5 | 2.75 ± 0.23 | |
| 0.5 h warm ischemia | - | 58.4 ± 1.0 | 5.7 ± 0.3 | 78.6 ± 0.4 | 2.74 ± 0.25 | |
| 0.5 h reperfusion | - | 59.1 ± 1.0 | 3.2 ± 0.2 | 78.8 ± 0.4 | 2.68 ± 0.21 | |
| Myometrium | 50.8 ± 0.3 | 56.9 ± 1.2 | 2.5 ± 0.2 | - | 3.51 ± 0.98 | ![]() |
| 1 h cold ischemia | 52.6 ± 0.4 | 60.1 ± 0.2 | 5.6 ± 0.3 | 84.4 ± 0.5 | 2.94 ± 0.50 | |
| 0.5 h warm ischemia | 53.9 ± 0.5 | 60.3 ± 0.5 | 3.3 ± 0.2 | 81.2 ± 0.4 | 3.20 ± 0.39 | |
| 0.5 h reperfusion | 52.6 ± 0.4 | 59.8 ± 0.5 | 3.3 ± 0.2 | 78.8 ± 0.4 | 2.49 ± 0.53 | |
Disclaimer/Publisher’s Note: The statements, opinions and data contained in all publications are solely those of the individual author(s) and contributor(s) and not of MDPI and/or the editor(s). MDPI and/or the editor(s) disclaim responsibility for any injury to people or property resulting from any ideas, methods, instructions or products referred to in the content. |
© 2025 by the authors. Licensee MDPI, Basel, Switzerland. This article is an open access article distributed under the terms and conditions of the Creative Commons Attribution (CC BY) license (https://creativecommons.org/licenses/by/4.0/).
Share and Cite
Fazekas, G.; Farkas, B.; Lorinczy, D. Differential Scanning Calorimetry, a Novel Method to Detect Uterine Ischemia-Reperfusion Injury During Autotransplantation in Experimental Sheep Model. Biomedicines 2025, 13, 2388. https://doi.org/10.3390/biomedicines13102388
Fazekas G, Farkas B, Lorinczy D. Differential Scanning Calorimetry, a Novel Method to Detect Uterine Ischemia-Reperfusion Injury During Autotransplantation in Experimental Sheep Model. Biomedicines. 2025; 13(10):2388. https://doi.org/10.3390/biomedicines13102388
Chicago/Turabian StyleFazekas, Gabor, Balint Farkas, and Denes Lorinczy. 2025. "Differential Scanning Calorimetry, a Novel Method to Detect Uterine Ischemia-Reperfusion Injury During Autotransplantation in Experimental Sheep Model" Biomedicines 13, no. 10: 2388. https://doi.org/10.3390/biomedicines13102388
APA StyleFazekas, G., Farkas, B., & Lorinczy, D. (2025). Differential Scanning Calorimetry, a Novel Method to Detect Uterine Ischemia-Reperfusion Injury During Autotransplantation in Experimental Sheep Model. Biomedicines, 13(10), 2388. https://doi.org/10.3390/biomedicines13102388




