Electroretinographical Analysis of the Effect of BGP-15 in Eyedrops for Compensating Global Ischemia–Reperfusion in the Eyes of Sprague Dawley Rats
Abstract
1. Introduction
2. Materials and Methods
2.1. Animals
2.2. Experimental Protocol
2.3. Formulation of Eyedrops
2.4. Ocular Ischemia–Reperfusion
2.5. Ocular Echography
2.6. Electroretinography
2.7. Histology
2.8. Statistical Analysis
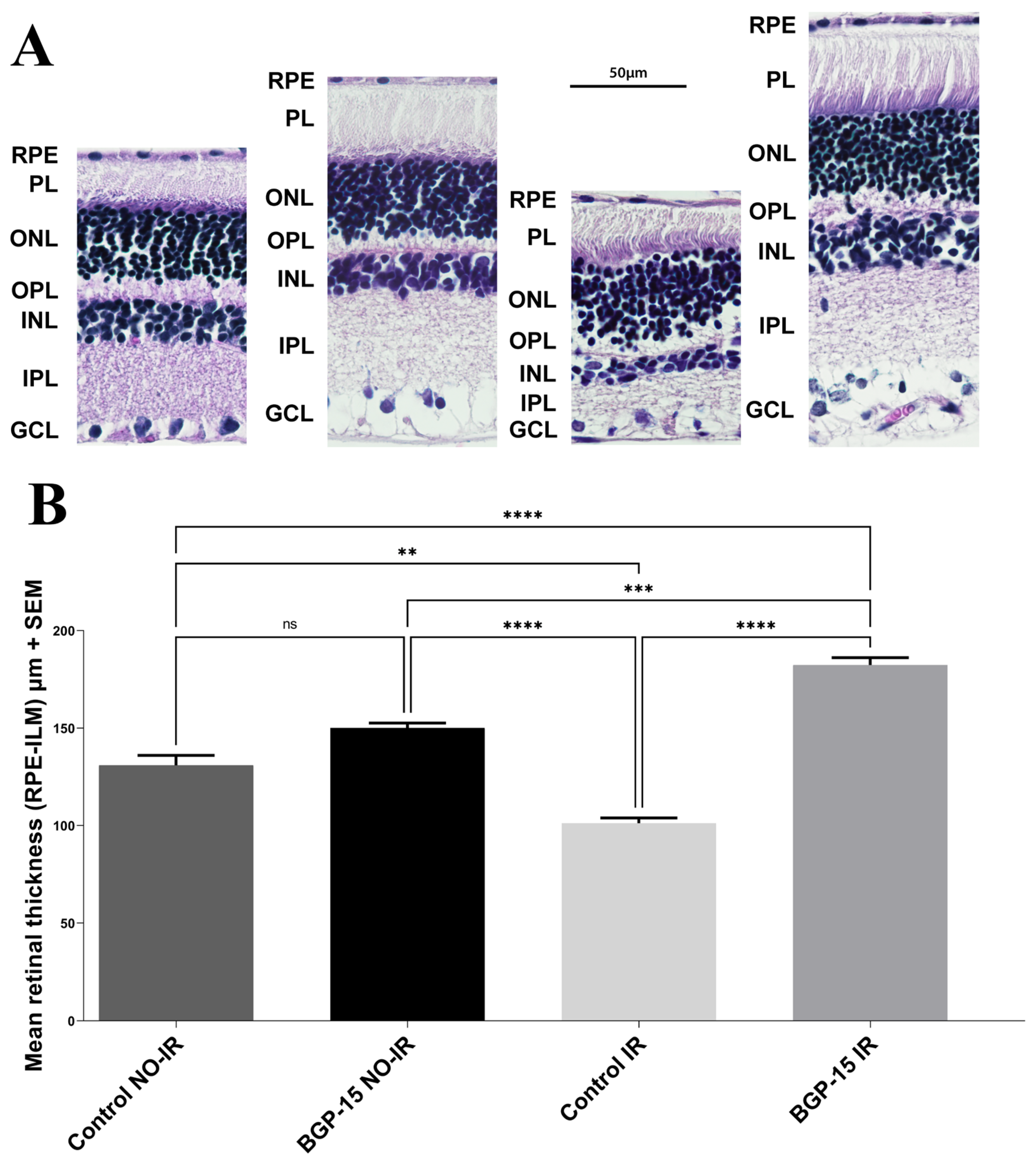
3. Results
4. Discussion
Author Contributions
Funding
Institutional Review Board Statement
Informed Consent Statement
Data Availability Statement
Acknowledgments
Conflicts of Interest
References
- Osborne, N.N.; Casson, R.J.; Wood, J.P.; Chidlow, G.; Graham, M.; Melena, J. Retinal ischemia: Mechanisms of damage and potential therapeutic strategies. Prog. Retin. Eye Res. 2004, 23, 91–147. [Google Scholar] [CrossRef]
- Hartsock, M.J.; Cho, H.; Wu, L.; Chen, W.J.; Gong, J.; Duh, E.J. A Mouse Model of Retinal Ischemia-Reperfusion Injury through Elevation of Intraocular Pressure. J. Vis. Exp. 2016, 113, e54065. [Google Scholar] [CrossRef]
- Kim, C.R.; Kim, J.H.; Park, H.L.; Park, C.K. Ischemia Reperfusion Injury Triggers TNFalpha Induced-Necroptosis in Rat Retina. Curr. Eye Res. 2017, 42, 771–779. [Google Scholar] [CrossRef] [PubMed]
- Oharazawa, H.; Igarashi, T.; Yokota, T.; Fujii, H.; Suzuki, H.; Machide, M.; Takahashi, H.; Ohta, S.; Ohsawa, I. Protection of the retina by rapid diffusion of hydrogen: Administration of hydrogen-loaded eye drops in retinal ischemia-reperfusion injury. Investig. Ophthalmol. Vis. Sci. 2010, 51, 487–492. [Google Scholar] [CrossRef] [PubMed]
- Lynch, S.K.; Abramoff, M.D. Diabetic retinopathy is a neurodegenerative disorder. Vis. Res. 2017, 139, 101–107. [Google Scholar] [CrossRef] [PubMed]
- Cunha-Vaz, J.; Ribeiro, L.; Lobo, C. Phenotypes and biomarkers of diabetic retinopathy. Prog. Retin. Eye Res. 2014, 41, 90–111. [Google Scholar] [CrossRef] [PubMed]
- Wong, T.Y.; Cheung, C.M.; Larsen, M.; Sharma, S.; Simo, R. Diabetic retinopathy. Nat. Rev. Dis. Primers 2016, 2, 16012. [Google Scholar] [CrossRef]
- Barber, A.J.; Antonetti, D.A.; Kern, T.S.; Reiter, C.E.; Soans, R.S.; Krady, J.K.; Levison, S.W.; Gardner, T.W.; Bronson, S.K. The Ins2Akita mouse as a model of early retinal complications in diabetes. Investig. Ophthalmol. Vis. Sci. 2005, 46, 2210–2218. [Google Scholar] [CrossRef]
- Barber, A.J.; Gardner, T.W.; Abcouwer, S.F. The significance of vascular and neural apoptosis to the pathology of diabetic retinopathy. Investig. Ophthalmol. Vis. Sci. 2011, 52, 1156–1163. [Google Scholar] [CrossRef]
- Tanasie, C.A.; Dan, A.O.; Ica, O.M.; Mercut, M.F.; Mitroi, G.; Taisescu, C.I.; Sfredel, V.; Corbeanu, R.I.; Mocanu, C.L.; Danielescu, C. Retinal Functional Impairment in Diabetic Retinopathy. Biomedicines 2023, 12, 44. [Google Scholar] [CrossRef]
- Lee, D.; Nakai, A.; Miwa, Y.; Tomita, Y.; Kunimi, H.; Chen, J.; Ikeda, S.I.; Tsubota, K.; Negishi, K.; Kurihara, T. Retinal degeneration induced in a mouse model of ischemia-reperfusion injury and its management by pemafibrate treatment. FASEB J. 2022, 36, e22497. [Google Scholar] [CrossRef] [PubMed]
- Block, F.; Schwarz, M. The b-wave of the electroretinogram as an index of retinal ischemia. Gen. Pharmacol. 1998, 30, 281–287. [Google Scholar] [CrossRef] [PubMed]
- Minhas, G.; Morishita, R.; Anand, A. Preclinical models to investigate retinal ischemia: Advances and drawbacks. Front. Neurol. 2012, 3, 75. [Google Scholar] [CrossRef]
- Lee, D.; Tomita, Y.; Miwa, Y.; Shinojima, A.; Ban, N.; Yamaguchi, S.; Nishioka, K.; Negishi, K.; Yoshino, J.; Kurihara, T. Nicotinamide Mononucleotide Prevents Retinal Dysfunction in a Mouse Model of Retinal Ischemia/Reperfusion Injury. Int. J. Mol. Sci. 2022, 23, 11228. [Google Scholar] [CrossRef] [PubMed]
- Literati-Nagy, B.; Kulcsar, E.; Literati-Nagy, Z.; Buday, B.; Peterfai, E.; Horvath, T.; Tory, K.; Kolonics, A.; Fleming, A.; Mandl, J.; et al. Improvement of insulin sensitivity by a novel drug, BGP-15, in insulin-resistant patients: A proof of concept randomized double-blind clinical trial. Horm. Metab. Res. 2009, 41, 374–380. [Google Scholar] [CrossRef] [PubMed]
- Wachal, Z.; Bombicz, M.; Priksz, D.; Hegedus, C.; Kovacs, D.; Szabo, A.M.; Kiss, R.; Nemeth, J.; Juhasz, B.; Szilvassy, Z.; et al. Retinoprotection by BGP-15, a Hydroximic Acid Derivative, in a Type II Diabetic Rat Model Compared to Glibenclamide, Metformin, and Pioglitazone. Int. J. Mol. Sci. 2020, 21, 2124. [Google Scholar] [CrossRef] [PubMed]
- Wachal, Z.; Szilagyi, A.; Takacs, B.; Szabo, A.M.; Priksz, D.; Bombicz, M.; Szilvassy, J.; Juhasz, B.; Szilvassy, Z.; Varga, B. Improved Survival and Retinal Function of Aging ZDF Rats in Long-Term, Uncontrolled Diabetes by BGP-15 Treatment. Front. Pharmacol. 2021, 12, 650207. [Google Scholar] [CrossRef] [PubMed]
- Szilagyi, A.; Takacs, B.; Szekeres, R.; Tarjanyi, V.; Bombicz, M.; Priksz, D.; Kovacs, A.; Juhasz, B.; Frecska, E.; Szilvassy, Z.; et al. Therapeutic Properties of Ayahuasca Components in Ischemia/Reperfusion Injury of the Eye. Biomedicines 2022, 10, 997. [Google Scholar] [CrossRef]
- Luke, D.R.; Tomaszewski, K.; Damle, B.; Schlamm, H.T. Review of the basic and clinical pharmacology of sulfobutylether-beta-cyclodextrin (SBECD). J. Pharm. Sci. 2010, 99, 3291–3301. [Google Scholar] [CrossRef]
- Agency, E.M. Questions and Answers on Cyclodextrins Used as Excipients in Medicinal Products for Human Use. Available online: https://www.ema.europa.eu/en/documents/report/cyclodextrins-used-excipients-report-published-support-questions-and-answers-cyclodextrins-used-excipients-medicinal-products-human-use_en.pdf (accessed on 15 February 2024).
- Mohite, A.A.; Perais, J.A.; McCullough, P.; Lois, N. Retinal Ischaemia in Diabetic Retinopathy: Understanding and Overcoming a Therapeutic Challenge. J. Clin. Med. 2023, 12, 2406. [Google Scholar] [CrossRef]
- Hughes, P.M.; Olejnik, O.; Chang-Lin, J.E.; Wilson, C.G. Topical and systemic drug delivery to the posterior segments. Adv. Drug Deliv. Rev. 2005, 57, 2010–2032. [Google Scholar] [CrossRef]
- Lee, V.H.; Robinson, J.R. Topical ocular drug delivery: Recent developments and future challenges. J. Ocul. Pharmacol. 1986, 2, 67–108. [Google Scholar] [CrossRef] [PubMed]
- Maurice, D.M. Drug delivery to the posterior segment from drops. Surv. Ophthalmol. 2002, 47 (Suppl. S1), S41–S52. [Google Scholar] [CrossRef] [PubMed]
- Fenyvesi, F.; Nguyen, T.L.P.; Haimhoffer, A.; Rusznyak, A.; Vasvari, G.; Bacskay, I.; Vecsernyes, M.; Ignat, S.R.; Dinescu, S.; Costache, M.; et al. Cyclodextrin Complexation Improves the Solubility and Caco-2 Permeability of Chrysin. Materials 2020, 13, 3618. [Google Scholar] [CrossRef] [PubMed]
- Lampe, N.; Priksz, D.; Erdei, T.; Bombicz, M.; Kiss, R.; Varga, B.; Zsuga, J.; Szerafin, T.; Csanadi, Z.; Balla, G.; et al. Negative Inotropic Effect of BGP-15 on the Human Right Atrial Myocardium. J. Clin. Med. 2020, 9, 1434. [Google Scholar] [CrossRef] [PubMed]
- Paulson, R.J.; Sauer, M.V.; Lobo, R.A. Embryo implantation after human in vitro fertilization: Importance of endometrial receptivity. Fertil. Steril. 1990, 53, 870–874. [Google Scholar] [CrossRef] [PubMed]
- Zhao, Y.; Yu, B.; Xiang, Y.H.; Han, X.J.; Xu, Y.; So, K.F.; Xu, A.D.; Ruan, Y.W. Changes in retinal morphology, electroretinogram and visual behavior after transient global ischemia in adult rats. PLoS ONE 2013, 8, e65555. [Google Scholar] [CrossRef]
- Bernat, B.; Erdelyi, R.; Fazekas, L.; Garami, G.; Szekeres, R.M.; Takacs, B.; Bombicz, M.; Varga, B.; Sarkany, F.; Raduly, A.P.; et al. Drug Candidate BGP-15 Prevents Isoproterenol-Induced Arrhythmias and Alters Heart Rate Variability (HRV) in Telemetry-Implanted Rats. Pharmaceuticals 2023, 16, 359. [Google Scholar] [CrossRef]
- Szabados, E.; Literati-Nagy, P.; Farkas, B.; Sumegi, B. BGP-15, a nicotinic amidoxime derivate protecting heart from ischemia reperfusion injury through modulation of poly(ADP-ribose) polymerase. Biochem. Pharmacol. 2000, 59, 937–945. [Google Scholar] [CrossRef]
- Varga, B.; Priksz, D.; Lampe, N.; Bombicz, M.; Kurucz, A.; Szabo, A.M.; Posa, A.; Szabo, R.; Kemeny-Beke, A.; Remenyik, J.; et al. Protective Effect of Prunus Cerasus (Sour Cherry) Seed Extract on the Recovery of Ischemia/Reperfusion-Induced Retinal Damage in Zucker Diabetic Fatty Rat. Molecules 2017, 22, 1782. [Google Scholar] [CrossRef]
- Varga, B.; Gesztelyi, R.; Bombicz, M.; Haines, D.; Szabo, A.M.; Kemeny-Beke, A.; Antal, M.; Vecsernyes, M.; Juhasz, B.; Tosaki, A. Protective effect of alpha-melanocyte-stimulating hormone (alpha-MSH) on the recovery of ischemia/reperfusion (I/R)-induced retinal damage in a rat model. J. Mol. Neurosci. 2013, 50, 558–570. [Google Scholar] [CrossRef]
- Biro, K.; Palhalmi, J.; Toth, A.J.; Kukorelli, T.; Juhasz, G. Bimoclomol improves early electrophysiological signs of retinopathy in diabetic rats. Neuroreport 1998, 9, 2029–2033. [Google Scholar] [CrossRef]
- Henstridge, D.C.; Bruce, C.R.; Drew, B.G.; Tory, K.; Kolonics, A.; Estevez, E.; Chung, J.; Watson, N.; Gardner, T.; Lee-Young, R.S.; et al. Activating HSP72 in rodent skeletal muscle increases mitochondrial number and oxidative capacity and decreases insulin resistance. Diabetes 2014, 63, 1881–1894. [Google Scholar] [CrossRef] [PubMed]
- Gombos, I.; Crul, T.; Piotto, S.; Gungor, B.; Torok, Z.; Balogh, G.; Peter, M.; Slotte, J.P.; Campana, F.; Pilbat, A.M.; et al. Membrane-lipid therapy in operation: The HSP co-inducer BGP-15 activates stress signal transduction pathways by remodeling plasma membrane rafts. PLoS ONE 2011, 6, e28818. [Google Scholar] [CrossRef] [PubMed]
- Sumegi, K.; Fekete, K.; Antus, C.; Debreceni, B.; Hocsak, E.; Gallyas, F., Jr.; Sumegi, B.; Szabo, A. BGP-15 Protects against Oxidative Stress- or Lipopolysaccharide-Induced Mitochondrial Destabilization and Reduces Mitochondrial Production of Reactive Oxygen Species. PLoS ONE 2017, 12, e0169372. [Google Scholar] [CrossRef] [PubMed]
- Ohlen, S.B.; Russell, M.L.; Brownstein, M.J.; Lefcort, F. BGP-15 prevents the death of neurons in a mouse model of familial dysautonomia. Proc. Natl. Acad. Sci. USA 2017, 114, 5035–5040. [Google Scholar] [CrossRef]
- Chesler, K.; Motz, C.; Vo, H.; Douglass, A.; Allen, R.S.; Feola, A.J.; Pardue, M.T. Initiation of L-DOPA Treatment after Detection of Diabetes-Induced Retinal Dysfunction Reverses Retinopathy and Provides Neuroprotection in Rats. Transl. Vis. Sci. Technol. 2021, 10, 8. [Google Scholar] [CrossRef]
- Allen, R.S.; Feola, A.; Motz, C.T.; Ottensmeyer, A.L.; Chesler, K.C.; Dunn, R.; Thule, P.M.; Pardue, M.T. Retinal Deficits Precede Cognitive and Motor Deficits in a Rat Model of Type II Diabetes. Investig. Ophthalmol. Vis. Sci. 2019, 60, 123–133. [Google Scholar] [CrossRef]
- Cao, W.; Zaharia, M.; Drumheller, A.; Lafond, G.; Brunette, J.R.; Jolicoeur, F.B. Dextromethorphan attenuates the effects of ischemia on rabbit electroretinographic oscillatory potentials. Doc. Ophthalmol. 1993, 84, 247–256. [Google Scholar] [CrossRef]
- Wachtmeister, L. Oscillatory potentials in the retina: What do they reveal. Prog. Retin. Eye Res. 1998, 17, 485–521. [Google Scholar] [CrossRef]
- Li, S.Y.; Fung, F.K.; Fu, Z.J.; Wong, D.; Chan, H.H.; Lo, A.C. Anti-inflammatory effects of lutein in retinal ischemic/hypoxic injury: In vivo and in vitro studies. Investig. Ophthalmol. Vis. Sci. 2012, 53, 5976–5984. [Google Scholar] [CrossRef] [PubMed]
- Li, X.; Ye, Z.; Pei, S.; Zheng, D.; Zhu, L. Neuroprotective effect of minocycline on rat retinal ischemia-reperfusion injury. Mol. Vis. 2021, 27, 438–456. [Google Scholar] [PubMed]
- Jacquemot, N.; Wersinger, E.; Brabet, P.; Cia, D. Hydrogen Peroxide Affects the Electroretinogram of Isolated Perfused Rat Retina. Curr. Eye Res. 2023, 48, 1179–1188. [Google Scholar] [CrossRef] [PubMed]
- Moren, H.; Gesslein, B.; Andreasson, S.; Malmsjo, M. Multifocal electroretinogram for functional evaluation of retinal injury following ischemia-reperfusion in pigs. Graefes Arch. Clin. Exp. Ophthalmol. 2010, 248, 627–634. [Google Scholar] [CrossRef] [PubMed]
- Kim, B.J.; Braun, T.A.; Wordinger, R.J.; Clark, A.F. Progressive morphological changes and impaired retinal function associated with temporal regulation of gene expression after retinal ischemia/reperfusion injury in mice. Mol. Neurodegener. 2013, 8, 21. [Google Scholar] [CrossRef]
- Wang, N.; Yang, Y.; Liu, Y.; Huang, L.; Gu, M.; Wu, Y.; Xu, L.; Sun, H.; Guo, W. Magnolol limits NFkappaB-dependent inflammation by targeting PPARgamma relieving retinal ischemia/reperfusion injury. Int. Immunopharmacol. 2022, 112, 109242. [Google Scholar] [CrossRef] [PubMed]
- Goit, R.K.; Taylor, A.W.; Lo, A.C.Y. Anti-inflammatory alpha-Melanocyte-Stimulating Hormone Protects Retina after Ischemia/Reperfusion Injury in Type I Diabetes. Front. Neurosci. 2022, 16, 799739. [Google Scholar] [CrossRef]
- Tong, N.; Zhang, Z.; Gong, Y.; Yin, L.; Wu, X. Diosmin protects rat retina from ischemia/reperfusion injury. J. Ocul. Pharmacol. Ther. 2012, 28, 459–466. [Google Scholar] [CrossRef]
- Shi, Y.; Liu, Y.; Wu, C.; Liu, X.; Hu, W.; Yang, Z.; Li, Z.; Li, Y.; Deng, C.; Wei, K.; et al. N,N-Dimethyl-3beta-hydroxycholenamide attenuates neuronal death and retinal inflammation in retinal ischemia/reperfusion injury by inhibiting Ninjurin 1. J. Neuroinflammation 2023, 20, 91. [Google Scholar] [CrossRef]
- Tasi, W.C.; Petersen-Jones, S.M.; Huang, P.Y.; Lin, C.T. The neuroprotective effects of lidocaine and methylprednisolone in a rat model of retinal ischemia-reperfusion injury. J. Vet. Med. Sci. 2012, 74, 307–313. [Google Scholar] [CrossRef]
- Dvoriantchikova, G.; Lypka, K.R.; Adis, E.V.; Ivanov, D. Multiple types of programmed necrosis such as necroptosis, pyroptosis, oxytosis/ferroptosis, and parthanatos contribute simultaneously to retinal damage after ischemia-reperfusion. Sci. Rep. 2022, 12, 17152. [Google Scholar] [CrossRef]
- Mori, F.; Hikichi, T.; Takahashi, J.; Nagaoka, T.; Yoshida, A. Dysfunction of active transport of blood-retinal barrier in patients with clinically significant macular edema in type 2 diabetes. Diabetes Care 2002, 25, 1248–1249. [Google Scholar] [CrossRef]
- Noma, H.; Mimura, T.; Kuse, M.; Shimada, K. Association of electroretinogram and morphological findings in central retinal vein occlusion with macular edema. Clin. Ophthalmol. 2014, 8, 191–197. [Google Scholar] [CrossRef]
- Pinhas, A.; Dubow, M.; Shah, N.; Cheang, E.; Liu, C.L.; Razeen, M.; Gan, A.; Weitz, R.; Sulai, Y.N.; Chui, T.Y.; et al. Fellow Eye Changes in Patients with Nonischemic Central Retinal Vein Occlusion: Assessment of Perfused Foveal Microvascular Density and Identification of Nonperfused Capillaries. Retina 2015, 35, 2028–2036. [Google Scholar] [CrossRef]










| Disclaimer/Publisher’s Note: The statements, opinions and data contained in all publications are solely those of the individual author(s) and contributor(s) and not of MDPI and/or the editor(s). MDPI and/or the editor(s) disclaim responsibility for any injury to people or property resulting from any ideas, methods, instructions or products referred to in the content. | 
© 2024 by the authors. Licensee MDPI, Basel, Switzerland. This article is an open access article distributed under the terms and conditions of the Creative Commons Attribution (CC BY) license (https://creativecommons.org/licenses/by/4.0/).
Share and Cite
Takács, B.; Szilágyi, A.; Priksz, D.; Bombicz, M.; Szabó, A.M.; Pelles-Taskó, B.; Rusznyák, Á.; Haimhoffer, Á.; Gesztelyi, R.; Szilvássy, Z.; et al. Electroretinographical Analysis of the Effect of BGP-15 in Eyedrops for Compensating Global Ischemia–Reperfusion in the Eyes of Sprague Dawley Rats. Biomedicines 2024, 12, 637. https://doi.org/10.3390/biomedicines12030637
Takács B, Szilágyi A, Priksz D, Bombicz M, Szabó AM, Pelles-Taskó B, Rusznyák Á, Haimhoffer Á, Gesztelyi R, Szilvássy Z, et al. Electroretinographical Analysis of the Effect of BGP-15 in Eyedrops for Compensating Global Ischemia–Reperfusion in the Eyes of Sprague Dawley Rats. Biomedicines. 2024; 12(3):637. https://doi.org/10.3390/biomedicines12030637
Chicago/Turabian StyleTakács, Barbara, Anna Szilágyi, Dániel Priksz, Mariann Bombicz, Adrienn Mónika Szabó, Beáta Pelles-Taskó, Ágnes Rusznyák, Ádám Haimhoffer, Rudolf Gesztelyi, Zoltán Szilvássy, and et al. 2024. "Electroretinographical Analysis of the Effect of BGP-15 in Eyedrops for Compensating Global Ischemia–Reperfusion in the Eyes of Sprague Dawley Rats" Biomedicines 12, no. 3: 637. https://doi.org/10.3390/biomedicines12030637
APA StyleTakács, B., Szilágyi, A., Priksz, D., Bombicz, M., Szabó, A. M., Pelles-Taskó, B., Rusznyák, Á., Haimhoffer, Á., Gesztelyi, R., Szilvássy, Z., Juhász, B., & Varga, B. (2024). Electroretinographical Analysis of the Effect of BGP-15 in Eyedrops for Compensating Global Ischemia–Reperfusion in the Eyes of Sprague Dawley Rats. Biomedicines, 12(3), 637. https://doi.org/10.3390/biomedicines12030637
 
        





