Morphometric Analysis of the Eye by Magnetic Resonance Imaging in MGST2-Gene-Deficient Mice
Abstract
1. Introduction
2. Materials and Methods
2.1. Animal and Ethics Statement
2.2. Generation of MGST2 KO Mice
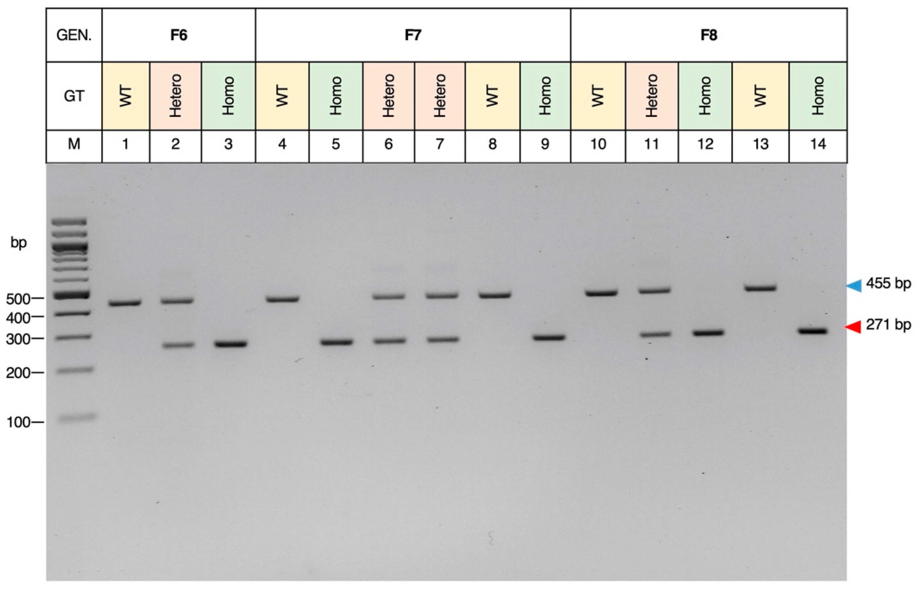
2.3. Genotyping Analysis
2.4. Sequencing Analysis
2.5. Establishment of KO Homozygous MGST2−/− Mouse Lines for the MGST2 Gene
2.6. Magnetic Resonance Imaging Analysis
2.7. Statistical Analysis
3. Results
3.1. Generation of an MGST2 KO Mouse
3.2. Magnetic Resonance Imaging of the Mice Eyes
4. Discussion
5. Conclusions
Author Contributions
Funding
Institutional Review Board Statement
Informed Consent Statement
Data Availability Statement
Acknowledgments
Conflicts of Interest
References
- Zhang, J.; Matsuo, T.; Hamasaki, I.; Sato, K. Whole Exome-Sequencing of Pooled Genomic DNA Samples to Detect Quantitative Trait Loci in Esotropia and Exotropia of Strabismus in Japanese. Life 2021, 12, 41. [Google Scholar] [CrossRef]
- Matsuo, T.; Chaomulige; Miyaji, M.; Hosoya, O.; Saito, A.; Nakazono, K. Candidate Genes in Testing Strategies for Linkage Analysis and Bioinformatic Sorting of Whole Genome Sequencing Data in Three Small Japanese Families with Idiopathic Superior Oblique Muscle Palsy. Int. J. Mol. Sci. 2022, 23, 8626. [Google Scholar] [CrossRef]
- Wang, Y.; Chen, X.; Jiang, T.; Gu, Y.; Zhang, X.; Yuan, W.; Zhao, A.; Li, R.; Wang, Z.; Hu, Z.; et al. Expanding the phenotypic spectrum of mutations in LRP2: A novel candidate gene of non-syndromic familial comitant strabismus. J. Transl. Med. 2021, 19, 495. [Google Scholar] [CrossRef]
- Ye, X.C.; Pegado, V.; Patel, M.S.; Wasserman, W.W. Strabismus genetics across a spectrum of eye misalignment disorders. Clin. Genet. 2014, 86, 103–111. [Google Scholar] [CrossRef]
- Shaaban, S.; MacKinnon, S.; Andrews, C.; Staffieri, S.E.; Maconachie, G.D.E.; Chan, W.M.; Whitman, M.C.; Morton, S.U.; Yazar, S.; MacGregor, S.; et al. Genome-Wide Association Study Identifies a Susceptibility Locus for Comitant Esotropia and Suggests a Parent-of-Origin Effect. Investig. Ophthalmol. Vis. Sci. 2019, 59, 4054–4064. [Google Scholar] [CrossRef]
- Engle, E. The Genetic Basis of Complex Strabismus. Pediatr. Res. 2006, 59, 343–348. [Google Scholar] [CrossRef] [PubMed]
- Das, V.E. Strabismus and the Oculomotor System: Insights from Macaque Models. Annu. Rev. Vis. Sci. 2016, 14, 37–59. [Google Scholar] [CrossRef] [PubMed]
- Plotnikov, D.; Shah, R.L.; Rodrigues, J.N.; Cumberland, P.M.; Rahi, J.S.; Hysi, P.G.; Atan, D.; Williams, C.; Guggenheim, J.A.; UK Biobank Eye and Vision Consortium. A commonly occurring genetic variant within the NPLOC4-TSPAN10-PDE6G gene cluster is associated with the risk of strabismus. Hum. Genet. 2019, 138, 723–737. [Google Scholar] [CrossRef] [PubMed]
- Sanfilippo, P.G.; Hammond, C.J.; Staffieri, S.E.; Kearns, L.S.; Melissa Liew, S.H.; Barbour, J.M.; Hewitt, A.W.; Ge, D.; Snieder, H.; Mackinnon, J.R.; et al. Heritability of strabismus: Genetic influence is specific to eso-deviation and independent of refractive error. Twin Res. Hum. Genet. 2012, 15, 624–630. [Google Scholar] [CrossRef] [PubMed]
- Maconachie, G.D.; Gottlob, I.; McLean, R.J. Risk factors and genetics in common comitant strabismus: A systematic review of the literature. JAMA Ophthalmol 2013, 131, 1179–1186. [Google Scholar] [CrossRef] [PubMed]
- Shaaban, S.; Matsuo, T.; Fujiwara, H.; Itoshima, E.; Furuse, T.; Hasebe, S.; Zhang, Q.; Ott, J.; Ohtsuki, H. Chromosomes 4q28.3 and 7q31.2 as new susceptibility loci for comitant strabismus. Investig. Ophthalmol. Vis. Sci. 2009, 50, 654–661. [Google Scholar] [CrossRef]
- Zhang, J.; Matsuo, T. MGST2 and WNT2 are candidate genes for comitant strabismus susceptibility in Japanese patients. Peer J. 2017, 5, e3935. [Google Scholar] [CrossRef]
- Jakobsson, P.J.; Morgenstern, R.; Mancini, J.; Ford-Hutchinson, A.; Persson, B. Membrane-associated proteins in eicosanoid and glutathione metabolism (MAPEG). A widespread protein superfamily. Am. J. Respir. Crit. Care Med. 2000, 161, S20–S24. [Google Scholar] [CrossRef]
- Martinez Molina, D.; Eshaghi, S.; Nordlund, P. Catalysis within the lipid bilayer-structure and mechanism of the MAPEG family of integral membrane proteins. Curr. Opin. Struct. Biol. 2008, 18, 442–449. [Google Scholar] [CrossRef]
- Thulasingam, M.; Orellana, L.; Nji, E.; Ahmad, S.; Rinaldo-Matthis, A.; Haeggström, J.Z. Crystal structures of human MGST2 reveal synchronized conformational changes regulating catalysis. Nat. Commun. 2021, 12, 1728. [Google Scholar] [CrossRef]
- Zhao, G.; Zhao, W.; Cui, X.; Xu, B.; Liu, Q.; Li, H.; Guo, X. Identification of an MGST2 gene and analysis of its function in antioxidant processes in Apis cerana cerana. Arch. Insect. Biochem. Physiol. 2021, 106, e21770. [Google Scholar] [CrossRef] [PubMed]
- Ahmad, S.; Thulasingam, M.; Palombo, I.; Daley, D.O.; Johnson, K.A.; Morgenstern, R.; Haeggström, J.Z.; Rinaldo-Matthis, A. Trimeric microsomal glutathione transferase 2 displays one third of the sites reactivity. Biochim. Biophys. Acta 2015, 1854, 1365–1371. [Google Scholar] [CrossRef] [PubMed]
- Rubinstein, M.; Dvash, E. Leukotrienes and kidney diseases. Curr. Opin. Nephrol. Hypertens. 2018, 27, 42–48. [Google Scholar] [CrossRef] [PubMed]
- Horii, T.; Morita, S.; Kimura, M.; Terawaki, N.; Shibutani, M.; Hatada, I. Efficient generation of conditional knockout mice via sequential introduction of lox sites. Sci. Rep. 2017, 7, 7891. [Google Scholar] [CrossRef] [PubMed]
- Horii, T.; Kobayashi, R.; Hatada, I. Generation of Floxed Mice by Sequential Electroporation. Methods Mol. Biol. 2023, 2637, 135–147. [Google Scholar] [PubMed]
- Lindhardt, T.B.; Gutiérrez-Jiménez, E.; Liang, Z.; Hansen, B. Male and Female C57BL/6 Mice Respond Differently to Awake Magnetic Resonance Imaging Habituation. Front. Neurosci. 2022, 16, 853527. [Google Scholar] [CrossRef]
- Fiedorowicz, M.; Wełniak-Kamińska, M.; Świątkiewicz, M.; Orzeł, J.; Chorągiewicz, T.; Toro, M.D.; Rejdak, R.; Bogorodzki, P.; Grieb, P. Changes of Ocular Dimensions as a Marker of Disease Progression in a Murine Model of Pigmentary Glaucoma. Front. Pharmacol. 2020, 11, 573238. [Google Scholar] [CrossRef] [PubMed]
- Dvash, E.; Har-Tal, M.; Barak, S.; Meir, O.; Rubinstein, M. Leukotriene C4 is the major trigger of stress-induced oxidative DNA damage. Nat. Commun. 2015, 6, 10112. [Google Scholar] [CrossRef]
- Nishida, T.; Saika, S. Cornea and sclera: Anatomy and physiology. Cornea 2010, 1, 3–24. [Google Scholar] [CrossRef] [PubMed]
- Verkicharla, P.K.; Mathur, A.; Mallen, E.A.; Pope, J.M.; Atchison, D.A. Eye shape and retinal shape, and their relation to peripheral refraction. Ophthalmic Physiol. Opt. 2012, 32, 184–199. [Google Scholar] [CrossRef] [PubMed]
- Ludwig, I.H.; Clark, R.A.; Stager, D.R., Sr. New strabismus surgical techniques. J. AAPOS 2013, 17, 79–88. [Google Scholar] [CrossRef]
- Au, J.M.; Kancherla, S.; Hamade, M.; Mendoza, M.; Chan, K.C. In vivo MRI evaluation of early postnatal development in normal and impaired rat eyes. Sci. Rep. 2021, 11, 15513. [Google Scholar] [CrossRef] [PubMed]
- Llorente, L.; Barbero, S.; Cano, D.; Dorronsoro, C.; Marcos, S. Myopic versus hyperopic eyes: Axial length, corneal shape and optical aberrations. J. Vis. 2004, 4, 288–298. [Google Scholar] [CrossRef] [PubMed]
- Stone, R.A.; Flitcroft, D.I. Ocular shape and myopia. Ann. Acad. Med. Singap. 2004, 33, 7–15. [Google Scholar] [CrossRef]
- Tatewaki, Y.; Mutoh, T.; Omodaka, K.; Thyreau, B.; Matsudaira, I.; Furukawa, H.; Yamada, K.; Kunitoki, K.; Kawashima, R.; Nakazawa, T.; et al. Morphological prediction of glaucoma by quantitative analyses of ocular shape and volume using 3-dimensional T2-weighted MR images. Sci. Rep. 2019, 9, 15148. [Google Scholar] [CrossRef]
- Topilow, N.J.; Tran, A.Q.; Koo, E.B.; Alabiad, C.R. Etiologies of Proptosis: A review. Intern. Med. Rev. 2020, 6, 10. [Google Scholar] [CrossRef]
- Ambekar, R.; Toussaint, K.C., Jr.; Wagoner Johnson, A. The effect of keratoconus on the structural, mechanical, and optical properties of the cornea. J. Mech. Behav. Biomed. Mater. 2011, 4, 223–236. [Google Scholar] [CrossRef]
- Aerts, I.; Lumbroso-Le, R.L.; Gauthier-Villars, M.; Brisse, H.; Doz, F.; Desjardins, L. Retinoblastoma. Orphanet J. Rare Dis. 2006, 1, 31. [Google Scholar] [CrossRef] [PubMed]
- Cavodeassi, F.; Creuzet, S.; Etchevers, H.C. The hedgehog pathway and ocular developmental anomalies. Hum. Genet. 2019, 138, 917–936. [Google Scholar] [CrossRef]
- Vaiman, M.; Gottlieb, P.; Bekerman, I. Quantitative relations between the eyeball, the optic nerve, and the optic canal important for intracranial pressure monitoring. Head Face Med. 2014, 10, 32. [Google Scholar] [CrossRef]
- Haskell, M.W.; Nielsen, J.F.; Noll, D.C. Off-resonance artifact correction for MRI: A review. NMR Biomed. 2023, 36, e4867. [Google Scholar] [CrossRef]
- Theocharis, S.; Pappas, E.P.; Seimenis, I.; Kouris, P.; Dellios, D.; Kollias, G.; Karaiskos, P. Geometric distortion assessment in 3T MR images used for treatment planning in cranial Stereotactic Radiosurgery and Radiotherapy. PLoS ONE 2022, 23, e0268925. [Google Scholar] [CrossRef]
- Chang, H.; Fitzpatrick, J.M. A technique for accurate magnetic resonance imaging in the presence of field inhomogeneities. IEEE Trans. Med. Imaging 1992, 11, 319–329. [Google Scholar] [CrossRef] [PubMed]
- Kitada, M.; Matsuo, T.; Yamane, T.; Hasebe, S.; Ohtsuki, H. Different levels of TIMPs and MMPs in human lateral and medial rectus muscle tissue excised from strabismic patients. Strabismus 2003, 11, 145–155. [Google Scholar] [CrossRef] [PubMed]
- Yamane, T.; Matsuo, T.; Hasebe, S.; Ohtsuki, H. Clinical correlations of aggrecan in the resected medial rectus muscle of patients with intermittent exotropia. Acta Med. Okayama 2003, 57, 199–204. [Google Scholar]







| Horizontal Plane | Sagittal Plane | ||||||||
|---|---|---|---|---|---|---|---|---|---|
| Genotype | WT | MGST2+/− | p | WT | MGST2+/− | p | WT | MGST2+/− | p |
| Volume (mm3) | Axis Angle (°) | Axis Angle (°) | |||||||
| L | 21.88 ± 1.99 | 22.2 ± 0.97 | 0.63 | 28.42 ± 1.9 | 31.75 ± 4.5 | 0.24 | 33.12 ± 3.3 | 32.16 ± 2.3 | 0.46 |
| R | 22.25 ± 1.81 | 22.53 ± 1.6 | 0.73 | 28.87 ± 4.1 | 28.73 ± 4.9 | 0.95 | 33.76 ± 2.9 | 32.75 ± 3.3 | 0.65 |
| L + R | 22.13 ± 1.9 | 22.2 ± 1.3 | 0.51 | 28.64 ± 3.4 | 27.68 ± 5.3 | 0.33 | 33.44 ± 2.9 | 32.46 ± 2.7 | 0.52 |
| Horizontal Plane (A) | |||||||||
| Genotype | WT | MGST2−/− | p | WT | MGST2−/− | p | WT | MGST2−/− | p |
| Axis Angle (°) | Volume (mm3) | Width (mm) | |||||||
| L | 23.06 ± 1.54 | 23.19 ± 1.52 | 0.97 | 22.3 ± 0.68 | 22.3 ± 0.68 | 0.17 | 3.29 ± 0.07 | 3.39 ± 0.07 | 0.07 |
| R | 23.24 ± 3.49 | 23.5 ± 0.83 | 0.88 | 21.9 ± 1.01 | 23.8 ± 0.24 | 0.07 | 3.31 ± 0.05 | 3.41 ± 0.04 | 0.02 |
| L + R | 23.16 ± 2.57 | 24.16 ± 1.53 | 0.92 | 22.1 ± 0.97 | 23.4 ± 1.33 | 0.01 | 3.3 ± 0.05 | 3.40 ± 0.06 | 0.005 |
| Genotype | WT | MGST2−/− | p | WT | MGST2−/− | p | |||
| Axis Length (mm) | Area (mm2) | ||||||||
| L | 3.34 ± 0.03 | 3.33 ± 0.05 | 0.86 | 9.32 ± 0.25 | 9.53 ± 0.25 | 0.23 | |||
| R | 3.34 ± 0.04 | 3.32 ± 0.04 | 0.61 | 9.14 ± 0.17 | 9.38 ± 0.23 | 0.1 | |||
| L + R | 3.33 ± 0.03 | 3.31 ± 0.03 | 0.64 | 9.23 ± 0.23 | 9.45 ± 0.24 | 0.046 | |||
| Equatorial Plane (B) | |||||||||
| Genotype | WT | MGST2−/− | p | WT | MGST2−/− | p | WT | MGST2−/− | p |
| Width (mm) | Height (mm) | Area (mm2) | |||||||
| L | 3.23 ± 0.04 | 3.29 ± 0.06 | 0.15 | 3.18 ± 0.03 | 3.22 ± 0.04 | 0.22 | 8.96 ± 0.18 | 9.17 ± 0.19 | 0.12 |
| R | 3.22 ± 0.06 | 3.32 ± 0.02 | 0.01 | 3.11 ± 0.08 | 3.24 ± 0.07 | 0.04 | 8.56 ± 0.33 | 9.19 ± 0.25 | 0.001 |
| L + R | 3.22 ± 0.05 | 3.10 ± 0.05 | 0.002 | 3.15 ± 0.08 | 3.23 ± 0.06 | 0.02 | 8.76 ± 0.33 | 9.18 ± 0.21 | 0.003 |
| Sagittal Plane (C) | |||||||||
| Genotype | WT | MGST2−/− | p | WT | MGST2−/− | p | WT | MGST2−/− | p |
| Axis Angle (°) | Axis Length (mm) | Height (mm) | |||||||
| L | 22.8 ± 3.72 | 26.4 ± 3.99 | 0.17 | 3.39 ± 0.03 | 3.39 ± 0.06 | 0.95 | 3.29 ± 0.06 | 3.38 ± 0.03 | 0.045 |
| R | 23.4 ± 4.26 | 21.8 ± 3.77 | 0.53 | 3.37 ± 0.04 | 3.34 ± 0.03 | 0.17 | 3.00 ± 0.2 | 3.27 ± 0.25 | 0.034 |
| L + R | 23.1 ± 3.78 | 24.1 ± 4.39 | 0.59 | 3.38 ± 0.04 | 3.36 ± 0.05 | 0.46 | 3.26 ± 0.07 | 3.34 ± 0.06 | 0.025 |
| Area (mm2) | |||||||||
| L | 8.83 ± 0.22 | 9.00 ± 0.25 | 0.29 | ||||||
| R | 8.45 ± 0.16 | 8.93 ± 0.18 | 0.002 | ||||||
| L + R | 8.64 ± 0.27 | 8.97 ± 0.21 | 0.008 | ||||||
Disclaimer/Publisher’s Note: The statements, opinions and data contained in all publications are solely those of the individual author(s) and contributor(s) and not of MDPI and/or the editor(s). MDPI and/or the editor(s) disclaim responsibility for any injury to people or property resulting from any ideas, methods, instructions or products referred to in the content. |
© 2024 by the authors. Licensee MDPI, Basel, Switzerland. This article is an open access article distributed under the terms and conditions of the Creative Commons Attribution (CC BY) license (https://creativecommons.org/licenses/by/4.0/).
Share and Cite
Chaomulige; Matsuo, T.; Sugimoto, K.; Miyaji, M.; Hosoya, O.; Ueda, M.; Kobayashi, R.; Horii, T.; Hatada, I. Morphometric Analysis of the Eye by Magnetic Resonance Imaging in MGST2-Gene-Deficient Mice. Biomedicines 2024, 12, 370. https://doi.org/10.3390/biomedicines12020370
Chaomulige, Matsuo T, Sugimoto K, Miyaji M, Hosoya O, Ueda M, Kobayashi R, Horii T, Hatada I. Morphometric Analysis of the Eye by Magnetic Resonance Imaging in MGST2-Gene-Deficient Mice. Biomedicines. 2024; 12(2):370. https://doi.org/10.3390/biomedicines12020370
Chicago/Turabian StyleChaomulige, Toshihiko Matsuo, Kohei Sugimoto, Mary Miyaji, Osamu Hosoya, Masashi Ueda, Ryosuke Kobayashi, Takuro Horii, and Izuho Hatada. 2024. "Morphometric Analysis of the Eye by Magnetic Resonance Imaging in MGST2-Gene-Deficient Mice" Biomedicines 12, no. 2: 370. https://doi.org/10.3390/biomedicines12020370
APA StyleChaomulige, Matsuo, T., Sugimoto, K., Miyaji, M., Hosoya, O., Ueda, M., Kobayashi, R., Horii, T., & Hatada, I. (2024). Morphometric Analysis of the Eye by Magnetic Resonance Imaging in MGST2-Gene-Deficient Mice. Biomedicines, 12(2), 370. https://doi.org/10.3390/biomedicines12020370

