Computed Tomography and Magnetic Resonance Imaging in Liver Iron Overload: From Precise Quantification to Prognosis Assessment
Abstract
1. Introduction
2. Precise Imaging Quantification Techniques for Liver Iron Deposition
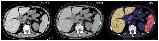
2.1. Dual-Energy CT
2.2. MRI
2.2.1. Liver-to-Muscle Signal Intensity Ratio (SIR)
2.2.2. T2 and R2 Relaxometry
2.2.3. T2* and R2* Relaxometry
2.2.4. Susceptibility-Weighted Imaging (SWI) and Quantitative Susceptibility Mapping (QSM)
2.2.5. Ultrashort TE Sequences
3. Predictive Value of Liver Iron Imaging Quantification Techniques for Disease Progression, Prognosis, and Treatment Response Assessment
4. Conclusions and Perspectives
Supplementary Materials
Author Contributions
Funding
Data Availability Statement
Conflicts of Interest
References
- Angelucci, E.; Brittenham, G.M.; McLaren, C.E.; Ripalti, M.; Baronciani, D.; Giardini, C.; Galimberti, M.; Polchi, P.; Lucarelli, G. Hepatic iron concentration and total body iron stores in thalassemia major. N. Engl. J. Med. 2000, 343, 327–331. [Google Scholar] [CrossRef]
- Bacon, B.R.; Adams, P.C.; Kowdley, K.V.; Powell, L.W.; Tavill, A.S. Diagnosis and management of hemochromatosis: 2011 practice guideline by the American Association for the Study of Liver Diseases. Hepatology 2011, 54, 328–343. [Google Scholar] [CrossRef] [PubMed]
- Hsu, C.C.; Senussi, N.H.; Fertrin, K.Y.; Kowdley, K.V. Iron overload disorders. Hepatol. Commun. 2022, 6, 1842–1854. [Google Scholar] [CrossRef] [PubMed]
- Muckenthaler, M.U.; Rivella, S.; Hentze, M.W.; Galy, B. A Red Carpet for Iron Metabolism. Cell 2017, 168, 344–361. [Google Scholar] [CrossRef] [PubMed]
- Yun, S.; Vincelette, N.D. Update on iron metabolism and molecular perspective of common genetic and acquired disorder, hemochromatosis. Crit. Rev. Oncol. Hematol. 2015, 95, 12–25. [Google Scholar] [CrossRef] [PubMed]
- Pietrangelo, A. Iron in NASH, chronic liver diseases and HCC: How much iron is too much? J. Hepatol. 2009, 50, 249–251. [Google Scholar] [CrossRef]
- Sikorska, K.; Stalke, P.; Lakomy, E.A.; Michalska, Z.; Witczak-Malinowska, K.; Stolarczyk, J. Disturbances of iron metabolism in chronic liver diseases. Med. Sci. Monit. 2003, 9 (Suppl. S3), 64–67. [Google Scholar]
- Li, L.-X.; Guo, F.-F.; Liu, H.; Zeng, T. Iron overload in alcoholic liver disease: Underlying mechanisms, detrimental effects, and potential therapeutic targets. Cell Mol. Life Sci. 2022, 79, 201. [Google Scholar] [CrossRef]
- Esposito, B.P.; Breuer, W.; Sirankapracha, P.; Pootrakul, P.; Hershko, C.; Cabantchik, Z.I. Labile plasma iron in iron overload: Redox activity and susceptibility to chelation. Blood 2003, 102, 2670–2677. [Google Scholar] [CrossRef]
- Naeem, M.; Schipf, S.; Bülow, R.; Werner, N.; Dörr, M.; Lerch, M.M.; Kühn, J.-P.; Rathmann, W.; Nauck, M.; Paulista Markus, M.R.; et al. Association between hepatic iron overload assessed by magnetic resonance imaging and glucose intolerance states in the general population. Nutr. Metab. Cardiovasc. Dis. 2022, 32, 1470–1476. [Google Scholar] [CrossRef]
- Simcox, J.A.; McClain, D.A. Iron and diabetes risk. Cell Metab. 2013, 17, 329–341. [Google Scholar] [CrossRef]
- Adams, P.C.; Jeffrey, G.; Ryan, J. Haemochromatosis. Lancet 2023, 401, 1811–1821. [Google Scholar] [CrossRef]
- Kattamis, A.; Kwiatkowski, J.L.; Aydinok, Y. Thalassaemia. Lancet 2022, 399, 2310–2324. [Google Scholar] [CrossRef]
- Torti, S.V.; Torti, F.M. Iron and cancer: More ore to be mined. Nat. Rev. Cancer 2013, 13, 342–355. [Google Scholar] [CrossRef]
- Gujja, P.; Rosing, D.R.; Tripodi, D.J.; Shizukuda, Y. Iron overload cardiomyopathy: Better understanding of an increasing disorder. J. Am. Coll. Cardiol. 2010, 56, 1001–1012. [Google Scholar] [CrossRef]
- Plut, D.; Kotnik, B.F.; Pusnik, L.; Slak, P.; Snoj, Z.; Salapura, V. Reliability of haemophilia early arthropathy detection with ultrasound (HEAD-US) in children: A comparative magnetic resonance imaging (MRI) study. Radiol. Oncol. 2022, 56, 471–478. [Google Scholar] [CrossRef]
- Brittenham, G.M.; Farrell, D.E.; Harris, J.W.; Feldman, E.S.; Danish, E.H.; Muir, W.A.; Tripp, J.H.; Bellon, E.M. Magnetic-susceptibility measurement of human iron stores. N. Engl. J. Med. 1982, 307, 1671–1675. [Google Scholar] [CrossRef]
- Luo, X.F.; Xie, X.Q.; Cheng, S.; Yang, Y.; Yan, J.; Zhang, H.; Chai, W.M.; Schmidt, B.; Yan, F.H. Dual-Energy CT for Patients Suspected of Having Liver Iron Overload: Can Virtual Iron Content Imaging Accurately Quantify Liver Iron Content? Radiology 2015, 277, 95–103. [Google Scholar] [CrossRef]
- Gandon, Y.; Olivié, D.; Guyader, D.; Aubé, C.; Oberti, F.; Sebille, V.; Deugnier, Y. Non-invasive assessment of hepatic iron stores by MRI. Lancet 2004, 363, 357–362. [Google Scholar] [CrossRef]
- Koperdanova, M.; Cullis, J.O. Interpreting raised serum ferritin levels. BMJ 2015, 351, h3692. [Google Scholar] [CrossRef]
- Czaja, A.J. Review article: Iron disturbances in chronic liver diseases other than haemochromatosis—pathogenic, prognostic, and therapeutic implications. Aliment. Pharmacol. Ther. 2019, 49, 681–701. [Google Scholar] [CrossRef]
- Greffier, J.; Villani, N.; Defez, D.; Dabli, D.; Si-Mohamed, S. Spectral CT imaging: Technical principles of dual-energy CT and multi-energy photon-counting CT. Diagn. Interv. Imaging 2023, 104, 167–177. [Google Scholar] [CrossRef]
- Joe, E.; Kim, S.H.; Lee, K.B.; Jang, J.-J.; Lee, J.Y.; Lee, J.M.; Han, J.K.; Choi, B.I. Feasibility and accuracy of dual-source dual-energy CT for noninvasive determination of hepatic iron accumulation. Radiology 2012, 262, 126–135. [Google Scholar] [CrossRef]
- Liu, X.; Yu, L.; Primak, A.N.; McCollough, C.H. Quantitative imaging of element composition and mass fraction using dual-energy CT: Three-material decomposition. Med. Phys. 2009, 36, 1602–1609. [Google Scholar] [CrossRef]
- Ma, J.; Song, Z.-Q.; Yan, F.-H. Separation of hepatic iron and fat by dual-source dual-energy computed tomography based on material decomposition: An animal study. PLoS ONE 2014, 9, e110964. [Google Scholar] [CrossRef]
- Fischer, M.A.; Reiner, C.S.; Raptis, D.; Donati, O.; Goetti, R.; Clavien, P.-A.; Alkadhi, H. Quantification of liver iron content with CT-added value of dual-energy. Eur. Radiol. 2011, 21, 1727–1732. [Google Scholar] [CrossRef]
- Hernando, D.; Zhao, R.; Yuan, Q.; Aliyari Ghasabeh, M.; Ruschke, S.; Miao, X.; Karampinos, D.C.; Mao, L.; Harris, D.T.; Mattison, R.J.; et al. Multicenter Reproducibility of Liver Iron Quantification with 1.5-T and 3.0-T MRI. Radiology 2023, 306, e213256. [Google Scholar] [CrossRef]
- Reeder, S.B.; Yokoo, T.; França, M.; Hernando, D.; Alberich-Bayarri, Á.; Alústiza, J.M.; Gandon, Y.; Henninger, B.; Hillenbrand, C.; Jhaveri, K.; et al. Quantification of Liver Iron Overload with MRI: Review and Guidelines from the ESGAR and SAR. Radiology 2023, 307, e221856. [Google Scholar] [CrossRef]
- d’Assignies, G.; Paisant, A.; Bardou-Jacquet, E.; Boulic, A.; Bannier, E.; Lainé, F.; Ropert, M.; Morcet, J.; Saint-Jalmes, H.; Gandon, Y. Non-invasive measurement of liver iron concentration using 3-Tesla magnetic resonance imaging: Validation against biopsy. Eur. Radiol. 2018, 28, 2022–2030. [Google Scholar] [CrossRef]
- Alústiza, J.M.; Artetxe, J.; Castiella, A.; Agirre, C.; Emparanza, J.I.; Otazua, P.; García-Bengoechea, M.; Barrio, J.; Mújica, F.; Recondo, J.A. MR quantification of hepatic iron concentration. Radiology 2004, 230, 479–484. [Google Scholar] [CrossRef]
- Hernando, D.; Levin, Y.S.; Sirlin, C.B.; Reeder, S.B. Quantification of liver iron with MRI: State of the art and remaining challenges. J. Magn. Reson. Imaging 2014, 40, 1003–1021. [Google Scholar] [CrossRef]
- Sarigianni, M.; Liakos, A.; Vlachaki, E.; Paschos, P.; Athanasiadou, E.; Montori, V.M.; Murad, M.H.; Tsapas, A. Accuracy of magnetic resonance imaging in diagnosis of liver iron overload: A systematic review and meta-analysis. Clin. Gastroenterol. Hepatol. 2015, 13, 55–63.e5. [Google Scholar] [CrossRef]
- Paisant, A.; Boulic, A.; Bardou-Jacquet, E.; Bannier, E.; d’Assignies, G.; Lainé, F.; Turlin, B.; Gandon, Y. Assessment of liver iron overload by 3 T MRI. Abdom. Radiol. 2017, 42, 1713–1720. [Google Scholar] [CrossRef]
- Castiella, A.; Alústiza, J.M.; Emparanza, J.I.; Zapata, E.M.; Costero, B.; Díez, M.I. Liver iron concentration quantification by MRI: Are recommended protocols accurate enough for clinical practice? Eur. Radiol. 2011, 21, 137–141. [Google Scholar] [CrossRef]
- Gossuin, Y.; Roch, A.; Muller, R.N.; Gillis, P.; Lo Bue, F. Anomalous nuclear magnetic relaxation of aqueous solutions of ferritin: An unprecedented first-order mechanism. Magn. Reson. Med. 2002, 48, 959–964. [Google Scholar] [CrossRef]
- Jensen, J.H.; Chandra, R. Theory of nonexponential NMR signal decay in liver with iron overload or superparamagnetic iron oxide particles. Magn. Reson. Med. 2002, 47, 1131–1138. [Google Scholar] [CrossRef]
- St Pierre, T.G.; Clark, P.R.; Chua-anusorn, W.; Fleming, A.J.; Jeffrey, G.P.; Olynyk, J.K.; Pootrakul, P.; Robins, E.; Lindeman, R. Noninvasive measurement and imaging of liver iron concentrations using proton magnetic resonance. Blood 2005, 105, 855–861. [Google Scholar] [CrossRef]
- Health, R. FerriScan: MRI Measurement of Liver Iron Concentration. Available online: https://www.resonancehealth.com/zh/liver-cardiac-solutions/ (accessed on 6 July 2024).
- St Pierre, T.G.; El-Beshlawy, A.; Elalfy, M.; Al Jefri, A.; Al Zir, K.; Daar, S.; Habr, D.; Kriemler-Krahn, U.; Taher, A. Multicenter validation of spin-density projection-assisted R2-MRI for the noninvasive measurement of liver iron concentration. Magn. Reson. Med. 2014, 71, 2215–2223. [Google Scholar] [CrossRef]
- Pavitt, H.L.; Aydinok, Y.; El-Beshlawy, A.; Bayraktaroglu, S.; Ibrahim, A.S.; Hamdy, M.M.; Pang, W.; Sharples, C.; St Pierre, T.G. The effect of reducing repetition time TR on the measurement of liver R2 for the purpose of measuring liver iron concentration. Magn. Reson. Med. 2011, 65, 1346–1351. [Google Scholar] [CrossRef]
- De Novo Classification Request for Ferriscan R2-MRI Analysis System Decision Summary. Available online: https://www.accessdata.fda.gov/scripts/cdrh/cfdocs/cfRL/TextSearch.cfm (accessed on 6 July 2024).
- Resonance Health. Available online: https://secure.ferriscan.com/ (accessed on 6 July 2024).
- Wood, J.C.; Enriquez, C.; Ghugre, N.; Tyzka, J.M.; Carson, S.; Nelson, M.D.; Coates, T.D. MRI R2 and R2* mapping accurately estimates hepatic iron concentration in transfusion-dependent thalassemia and sickle cell disease patients. Blood 2005, 106, 1460–1465. [Google Scholar] [CrossRef]
- Garbowski, M.W.; Carpenter, J.-P.; Smith, G.; Pennell, D.J.; Porter, J.B. Calibration of Improved T2* Method for the Estimation of Liver Iron Concentration in Transfusional Iron Overload. Blood 2009, 114, 2004. [Google Scholar] [CrossRef]
- Bacigalupo, L.; Paparo, F.; Zefiro, D.; Viberti, C.M.; Cevasco, L.; Gianesin, B.; Pinto, V.M.; Rollandi, G.A.; Wood, J.C.; Forni, G.L. Comparison between different software programs and post-processing techniques for the MRI quantification of liver iron concentration in thalassemia patients. Radiol. Med. 2016, 121, 751–762. [Google Scholar] [CrossRef]
- Hankins, J.S.; McCarville, M.B.; Loeffler, R.B.; Smeltzer, M.P.; Onciu, M.; Hoffer, F.A.; Li, C.-S.; Wang, W.C.; Ware, R.E.; Hillenbrand, C.M. R2* magnetic resonance imaging of the liver in patients with iron overload. Blood 2009, 113, 4853–4855. [Google Scholar] [CrossRef]
- Garbowski, M.W.; Carpenter, J.-P.; Smith, G.; Roughton, M.; Alam, M.H.; He, T.; Pennell, D.J.; Porter, J.B. Biopsy-based calibration of T2* magnetic resonance for estimation of liver iron concentration and comparison with R2 Ferriscan. J. Cardiovasc. Magn. Reson. 2014, 16, 40. [Google Scholar] [CrossRef]
- Henninger, B.; Zoller, H.; Rauch, S.; Finkenstedt, A.; Schocke, M.; Jaschke, W.; Kremser, C. R2* relaxometry for the quantification of hepatic iron overload: Biopsy-based calibration and comparison with the literature. Rofo 2015, 187, 472–479. [Google Scholar] [CrossRef]
- Kühn, J.-P.; Hernando, D.; Muñoz del Rio, A.; Evert, M.; Kannengiesser, S.; Völzke, H.; Mensel, B.; Puls, R.; Hosten, N.; Reeder, S.B. Effect of multipeak spectral modeling of fat for liver iron and fat quantification: Correlation of biopsy with MR imaging results. Radiology 2012, 265, 133–142. [Google Scholar] [CrossRef]
- Hernando, D.; Kramer, J.H.; Reeder, S.B. Multipeak fat-corrected complex R2* relaxometry: Theory, optimization, and clinical validation. Magn. Reson. Med. 2013, 70, 1319–1331. [Google Scholar] [CrossRef]
- Feng, Y.; He, T.; Gatehouse, P.D.; Li, X.; Harith Alam, M.; Pennell, D.J.; Chen, W.; Firmin, D.N. Improved MRI R2 * relaxometry of iron-loaded liver with noise correction. Magn. Reson. Med. 2013, 70, 1765–1774. [Google Scholar] [CrossRef]
- Bashir, M.R.; Wolfson, T.; Gamst, A.C.; Fowler, K.J.; Ohliger, M.; Shah, S.N.; Alazraki, A.; Trout, A.T.; Behling, C.; Allende, D.S.; et al. Hepatic R2* is more strongly associated with proton density fat fraction than histologic liver iron scores in patients with nonalcoholic fatty liver disease. J. Magn. Reson. Imaging 2019, 49, 1456–1466. [Google Scholar] [CrossRef]
- Luetkens, J.A.; Klein, S.; Träber, F.; Schmeel, F.C.; Sprinkart, A.M.; Kuetting, D.L.R.; Block, W.; Uschner, F.E.; Schierwagen, R.; Hittatiya, K.; et al. Quantification of Liver Fibrosis at T1 and T2 Mapping with Extracellular Volume Fraction MRI: Preclinical Results. Radiology 2018, 288, 748–754. [Google Scholar] [CrossRef]
- França, M.; Alberich-Bayarri, Á.; Martí-Bonmatí, L.; Oliveira, P.; Costa, F.E.; Porto, G.; Vizcaíno, J.R.; Gonzalez, J.S.; Ribeiro, E.; Oliveira, J.; et al. Accurate simultaneous quantification of liver steatosis and iron overload in diffuse liver diseases with MRI. Abdom. Radiol. 2017, 42, 1434–1443. [Google Scholar] [CrossRef]
- Hu, H.H.; Börnert, P.; Hernando, D.; Kellman, P.; Ma, J.; Reeder, S.; Sirlin, C. ISMRM workshop on fat-water separation: Insights, applications and progress in MRI. Magn. Reson. Med. 2012, 68, 378–388. [Google Scholar] [CrossRef]
- Reeder, S.B.; Hu, H.H.; Sirlin, C.B. Proton density fat-fraction: A standardized MR-based biomarker of tissue fat concentration. J. Magn. Reson. Imaging 2012, 36, 1011–1014. [Google Scholar] [CrossRef]
- Yokoo, T.; Serai, S.D.; Pirasteh, A.; Bashir, M.R.; Hamilton, G.; Hernando, D.; Hu, H.H.; Hetterich, H.; Kühn, J.-P.; Kukuk, G.M.; et al. Linearity, Bias, and Precision of Hepatic Proton Density Fat Fraction Measurements by Using MR Imaging: A Meta-Analysis. Radiology 2018, 286, 486–498. [Google Scholar] [CrossRef]
- Colgan, T.J.; Zhao, R.; Roberts, N.T.; Hernando, D.; Reeder, S.B. Limits of Fat Quantification in the Presence of Iron Overload. J. Magn. Reson. Imaging 2021, 54, 1166–1174. [Google Scholar] [CrossRef]
- Liu, C.-Y.; McKenzie, C.A.; Yu, H.; Brittain, J.H.; Reeder, S.B. Fat quantification with IDEAL gradient echo imaging: Correction of bias from T(1) and noise. Magn. Reson. Med. 2007, 58, 354–364. [Google Scholar] [CrossRef]
- Roberts, N.T.; Hernando, D.; Holmes, J.H.; Wiens, C.N.; Reeder, S.B. Noise properties of proton density fat fraction estimated using chemical shift-encoded MRI. Magn. Reson. Med. 2018, 80, 685–695. [Google Scholar] [CrossRef]
- Hernando, D.; Liang, Z.-P.; Kellman, P. Chemical shift-based water/fat separation: A comparison of signal models. Magn. Reson. Med. 2010, 64, 811–822. [Google Scholar] [CrossRef]
- Yu, H.; Shimakawa, A.; McKenzie, C.A.; Brodsky, E.; Brittain, J.H.; Reeder, S.B. Multiecho water-fat separation and simultaneous R2* estimation with multifrequency fat spectrum modeling. Magn. Reson. Med. 2008, 60, 1122–1134. [Google Scholar] [CrossRef]
- Bydder, M.; Yokoo, T.; Hamilton, G.; Middleton, M.S.; Chavez, A.D.; Schwimmer, J.B.; Lavine, J.E.; Sirlin, C.B. Relaxation effects in the quantification of fat using gradient echo imaging. Magn. Reson. Imaging 2008, 26, 347–359. [Google Scholar] [CrossRef]
- Yu, H.; Shimakawa, A.; Hines, C.D.G.; McKenzie, C.A.; Hamilton, G.; Sirlin, C.B.; Brittain, J.H.; Reeder, S.B. Combination of complex-based and magnitude-based multiecho water-fat separation for accurate quantification of fat-fraction. Magn. Reson. Med. 2011, 66, 199–206. [Google Scholar] [CrossRef]
- Hernando, D.; Hines, C.D.G.; Yu, H.; Reeder, S.B. Addressing phase errors in fat-water imaging using a mixed magnitude/complex fitting method. Magn. Reson. Med. 2012, 67, 638–644. [Google Scholar] [CrossRef] [PubMed]
- Colgan, T.J.; Hernando, D.; Sharma, S.D.; Reeder, S.B. The effects of concomitant gradients on chemical shift encoded MRI. Magn. Reson. Med. 2017, 78, 730–738. [Google Scholar] [CrossRef]
- Artz, N.S.; Haufe, W.M.; Hooker, C.A.; Hamilton, G.; Wolfson, T.; Campos, G.M.; Gamst, A.C.; Schwimmer, J.B.; Sirlin, C.B.; Reeder, S.B. Reproducibility of MR-based liver fat quantification across field strength: Same-day comparison between 1.5T and 3T in obese subjects. J. Magn. Reson. Imaging 2015, 42, 811–817. [Google Scholar] [CrossRef]
- Hernando, D.; Cook, R.J.; Qazi, N.; Longhurst, C.A.; Diamond, C.A.; Reeder, S.B. Complex confounder-corrected R2* mapping for liver iron quantification with MRI. Eur. Radiol. 2021, 31, 264–275. [Google Scholar] [CrossRef] [PubMed]
- Sharma, S.D.; Fischer, R.; Schoennagel, B.P.; Nielsen, P.; Kooijman, H.; Yamamura, J.; Adam, G.; Bannas, P.; Hernando, D.; Reeder, S.B. MRI-based quantitative susceptibility mapping (QSM) and R2* mapping of liver iron overload: Comparison with SQUID-based biomagnetic liver susceptometry. Magn. Reson. Med. 2017, 78, 264–270. [Google Scholar] [CrossRef]
- Schweser, F.; Deistung, A.; Reichenbach, J.R. Foundations of MRI phase imaging and processing for Quantitative Susceptibility Mapping (QSM). Z. Med. Phys. 2016, 26, 6–34. [Google Scholar] [CrossRef] [PubMed]
- Sirlin, C.B.; Reeder, S.B. Magnetic resonance imaging quantification of liver iron. Magn. Reson. Imaging Clin. N. Am. 2010, 18, 359–381. [Google Scholar] [CrossRef]
- Sharma, S.D.; Hernando, D.; Horng, D.E.; Reeder, S.B. Quantitative susceptibility mapping in the abdomen as an imaging biomarker of hepatic iron overload. Magn. Reson. Med. 2015, 74, 673–683. [Google Scholar] [CrossRef] [PubMed]
- Krafft, A.J.; Loeffler, R.B.; Song, R.; Tipirneni-Sajja, A.; McCarville, M.B.; Robson, M.D.; Hankins, J.S.; Hillenbrand, C.M. Quantitative ultrashort echo time imaging for assessment of massive iron overload at 1.5 and 3 Tesla. Magn. Reson. Med. 2017, 78, 1839–1851. [Google Scholar] [CrossRef]
- Galle, P.R.; Forner, A.; Llovet, J.M.; Mazzaferro, V.; Piscaglia, F.; Raoul, J.L.; Schirmacher, P.; Vilgrain, V. European Association for the Study of the Liver EASL Clinical Practice Guidelines: Management of hepatocellular carcinoma. J. Hepatol. 2018, 69, 182–236. [Google Scholar] [CrossRef]
- França, M.; Martí-Bonmatí, L.; Silva, S.; Oliveira, C.; Alberich Bayarri, Á.; Vilas Boas, F.; Pessegueiro-Miranda, H.; Porto, G. Optimizing the management of hereditary haemochromatosis: The value of MRI R2* quantification to predict and monitor body iron stores. Br. J. Haematol. 2018, 183, 491–493. [Google Scholar] [CrossRef] [PubMed]
- Che, J.; Luo, T.; Huang, L.; Lu, Q.; Yan, D.; Meng, Y.; Xie, J.; Chen, W.; Chen, J.; Long, L. Magnetic Resonance Imaging Quantification of the Liver Iron Burden and Volume Changes Following Treatment With Thalidomide in Patients With Transfusion-Dependent ß-Thalassemia. Front. Pharmacol. 2022, 13, 810668. [Google Scholar] [CrossRef]
- Wermke, M.; Schmidt, A.; Middeke, J.M.; Sockel, K.; von Bonin, M.; Schönefeldt, C.; Mair, S.; Plodeck, V.; Laniado, M.; Weiss, G.; et al. MRI-based liver iron content predicts for nonrelapse mortality in MDS and AML patients undergoing allogeneic stem cell transplantation. Clin. Cancer Res. 2012, 18, 6460–6468. [Google Scholar] [CrossRef]
- Alkindi, S.; Panjwani, V.; Al-Rahbi, S.; Al-Saidi, K.; Pathare, A.V. Iron Overload in Patients With Heavily Transfused Sickle Cell Disease-Correlation of Serum Ferritin With Cardiac T2* MRI (CMRTools), Liver T2* MRI, and R2-MRI (Ferriscan®). Front. Med. 2021, 8, 731102. [Google Scholar] [CrossRef] [PubMed]
- Kamble, R.T.; Selby, G.B.; Mims, M.; Kharfan-Dabaja, M.A.; Ozer, H.; George, J.N. Iron overload manifesting as apparent exacerbation of hepatic graft-versus-host disease after allogeneic hematopoietic stem cell transplantation. Biol. Blood Marrow Transplant. 2006, 12, 506–510. [Google Scholar] [CrossRef] [PubMed]
- Wood, J.C. Guidelines for quantifying iron overload. Hematol. Am. Soc. Hematol. Educ. Program. 2014, 2014, 210–215. [Google Scholar] [CrossRef]
- Kee, Y.; Sandino, C.M.; Syed, A.B.; Cheng, J.Y.; Shimakawa, A.; Colgan, T.J.; Hernando, D.; Vasanawala, S.S. Free-breathing mapping of hepatic iron overload in children using 3D multi-echo UTE cones MRI. Magn. Reson. Med. 2021, 85, 2608–2621. [Google Scholar] [CrossRef]
- Boll, D.T.; Marin, D.; Redmon, G.M.; Zink, S.I.; Merkle, E.M. Pilot study assessing differentiation of steatosis hepatis, hepatic iron overload, and combined disease using two-point dixon MRI at 3 T: In vitro and in vivo results of a 2D decomposition technique. AJR Am. J. Roentgenol. 2010, 194, 964–971. [Google Scholar] [CrossRef]
- Tipirneni-Sajja, A.; Loeffler, R.B.; Krafft, A.J.; Sajewski, A.N.; Ogg, R.J.; Hankins, J.S.; Hillenbrand, C.M. Ultrashort echo time imaging for quantification of hepatic iron overload: Comparison of acquisition and fitting methods via simulations, phantoms, and in vivo data. J. Magn. Reson. Imaging 2019, 49, 1475–1488. [Google Scholar] [CrossRef]
- Tipirneni-Sajja, A.; Krafft, A.J.; McCarville, M.B.; Loeffler, R.B.; Song, R.; Hankins, J.S.; Hillenbrand, C.M. Radial Ultrashort TE Imaging Removes the Need for Breath-Holding in Hepatic Iron Overload Quantification by R2* MRI. AJR Am. J. Roentgenol. 2017, 209, 187–194. [Google Scholar] [CrossRef] [PubMed]
- Hu, F.; Yang, R.; Huang, Z.; Wang, M.; Yuan, F.; Xia, C.; Wei, Y.; Song, B. 3D Multi-Echo Dixon technique for simultaneous assessment of liver steatosis and iron overload in patients with chronic liver diseases: A feasibility study. Quant. Imaging Med. Surg. 2019, 9, 1014–1024. [Google Scholar] [CrossRef] [PubMed]
- World Health Organization. Use of Ferritin Concentrations to Assess Iron Status in Individuals and Populations; World Health Organization: Geneva, Switzerland, 2023. [Google Scholar]
- British Columbia. High Ferritin and Iron Overload—Investigation and Management. 2023. Available online: https://www2.gov.bc.ca/gov/content/health/practitioner-professional-resources/bc-guidelines/iron-overload (accessed on 10 October 2024).





Disclaimer/Publisher’s Note: The statements, opinions and data contained in all publications are solely those of the individual author(s) and contributor(s) and not of MDPI and/or the editor(s). MDPI and/or the editor(s) disclaim responsibility for any injury to people or property resulting from any ideas, methods, instructions or products referred to in the content. |
© 2024 by the authors. Licensee MDPI, Basel, Switzerland. This article is an open access article distributed under the terms and conditions of the Creative Commons Attribution (CC BY) license (https://creativecommons.org/licenses/by/4.0/).
Share and Cite
Zhou, X.; Jia, X.; Chen, Y.; Song, B. Computed Tomography and Magnetic Resonance Imaging in Liver Iron Overload: From Precise Quantification to Prognosis Assessment. Biomedicines 2024, 12, 2456. https://doi.org/10.3390/biomedicines12112456
Zhou X, Jia X, Chen Y, Song B. Computed Tomography and Magnetic Resonance Imaging in Liver Iron Overload: From Precise Quantification to Prognosis Assessment. Biomedicines. 2024; 12(11):2456. https://doi.org/10.3390/biomedicines12112456
Chicago/Turabian StyleZhou, Xinrui, Xinyuan Jia, Yidi Chen, and Bin Song. 2024. "Computed Tomography and Magnetic Resonance Imaging in Liver Iron Overload: From Precise Quantification to Prognosis Assessment" Biomedicines 12, no. 11: 2456. https://doi.org/10.3390/biomedicines12112456
APA StyleZhou, X., Jia, X., Chen, Y., & Song, B. (2024). Computed Tomography and Magnetic Resonance Imaging in Liver Iron Overload: From Precise Quantification to Prognosis Assessment. Biomedicines, 12(11), 2456. https://doi.org/10.3390/biomedicines12112456

