Deep Sequencing Data and Infectivity Assays Indicate that Chickpea Chlorotic Dwarf Virus is the Etiological Agent of the “Hard Fruit Syndrome” of Watermelon
Abstract
:1. Introduction
2. Materials and Methods
2.1 Plant Material
2.2. Nucleic Acid Extraction and Sequencing
2.3. Small RNA Bioinformatic Analysis
2.4. Validation of Candidate Viruses
2.5. Agroinfection of Watermelon Seedlings
2.6. CpCDV Detection and Replication
3. Results
3.1. Identification of Viral Sequences in the NGS Data
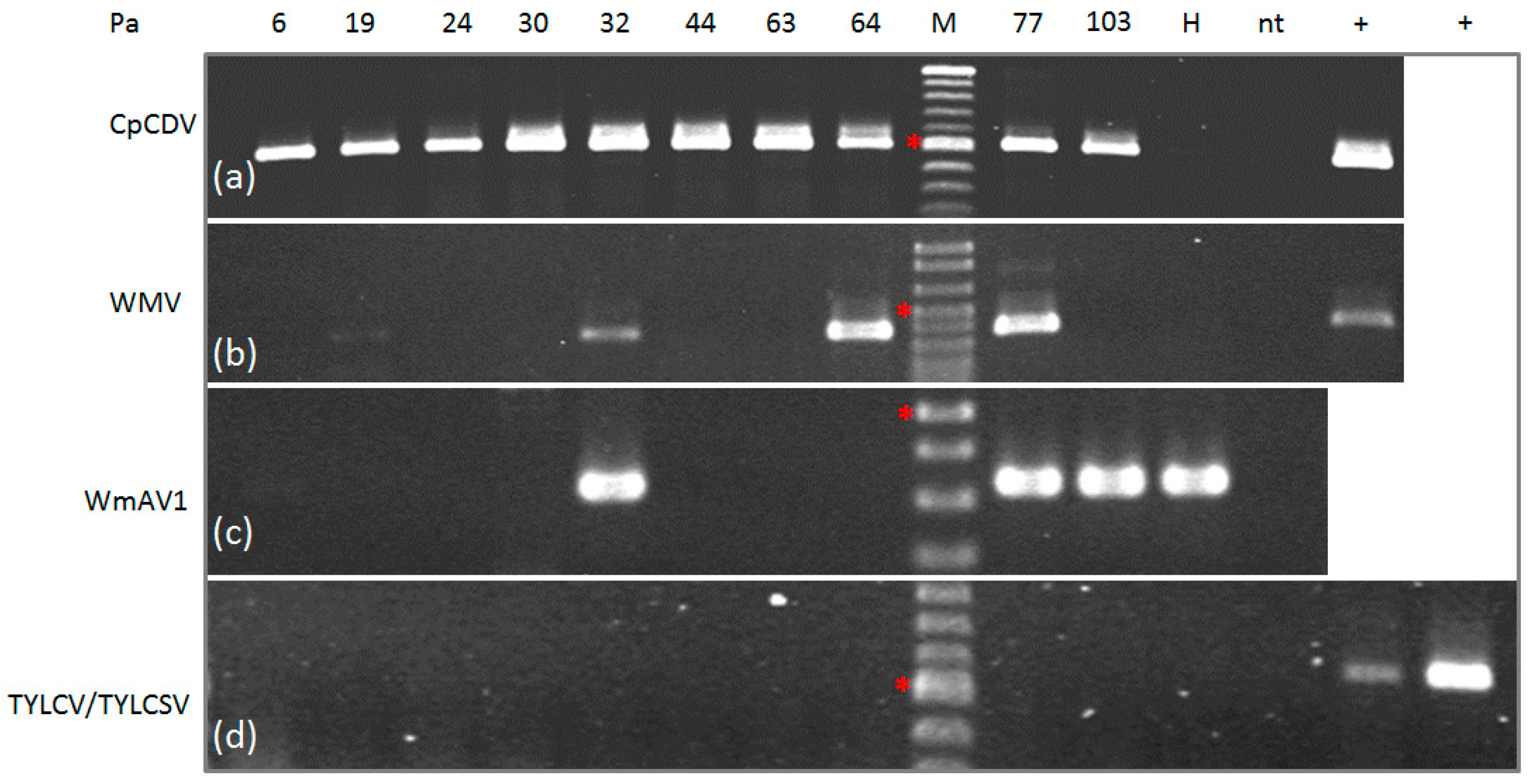
3.2. Validation of Viral Sequences by RT-PCR/PCR
3.3. CpCDV Sequence Analysis
3.4. Infectivity Assays
3.5. CpCDV Replication
4. Discussion
Supplementary Materials
Acknowledgments
Author Contributions
Conflicts of Interest
References
- Mnari-Hattab, M.; Zammouri, S.; Hajlaoui, M. First report of hard watermelon syndrome in Tunisia associated with Tomato yellow leaf curl virus infection. New Dis. Rep. 2014, 30. [Google Scholar] [CrossRef]
- Zaagueri, T.; Mnari-Hattab, M.; Zammouri, S.; Hajlaoui, M.; Accotto, G.P.; Vaira, A.M. First Report of Chickpea chlorotic dwarf virus in Watermelon (Citrullus lanatus) in Tunisia. Plant Dis. 2017, 101, 392–393. [Google Scholar] [CrossRef]
- Kanakala, S.; Sakhare, A.; Verma, H.; Malathi, V. Infectivity and the phylogenetic relationship of a mastrevirus causing chickpea stunt disease in India. Eur. J. Plant Pathol. 2013, 135, 429–438. [Google Scholar] [CrossRef]
- Horn, N.; Reddy, S.; Roberts, I.; Reddy, D. Chickpea chlorotic dwarf virus, a new leafhopper-transmitted geminivirus of chickpea in India. Ann. Appl. Biol. 1993, 122, 467–479. [Google Scholar] [CrossRef]
- Ali, M.; Kumari, S.; Makkouk, K.; Hassan, M. Chickpea chlorotic dwarf virus (CpCDV) naturally infects Phaseolus bean and other wild species in the Gezira region of Sudan. Arab J. Plant Prot. 2004, 22, 96. [Google Scholar]
- Farzadfar, S.; Pourrahim, R.; Golnaraghi, A.; Ahoonmanesh, A. PCR detection and partial molecular characterization of Chickpea chlorotic dwarf virus in naturally infected sugar beet plants in Iran. J. Plant Pathol. 2008, 90, 247–251. [Google Scholar]
- Ouattara, A.; Tiendrebeogo, F.; Lefeuvre, P.; Hoareau, M.; Claverie, S.; Traore, E.V.; Barro, N.; Traoré, O.; Varsani, A.; Lett, J.M. New strains of chickpea chlorotic dwarf virus discovered on diseased papaya and tomato plants in Burkina Faso. Arch. Virol. 2017, 162, 1791–1794. [Google Scholar] [CrossRef] [PubMed]
- Akhtar, S.; Khan, A.; Briddon, R. A distinct strain of Chickpea chlorotic dwarf virus infecting pepper in Oman. Plant Dis. 2014, 98, 286. [Google Scholar] [CrossRef]
- Zia-Ur-Rehman, M.; Hameed, U.; Herrmann, H.W.; Iqbal, M.; Haider, M.; Brown, J.K. First report of Chickpea chlorotic dwarf virus infecting tomato crops in Pakistan. Plant Dis. 2015. [Google Scholar] [CrossRef]
- Zia-Ur-Rehman, M.; Hameed, U.; Ali, C.; Haider, M.; Brown, J. First Report of Chickpea chlorotic dwarf virus Infecting Okra in Pakistan. Plant Dis. 2017. [Google Scholar] [CrossRef]
- Manzoor, M.; Ilyas, M.; Shafiq, M.; Haider, M.; Shahid, A.; Briddon, R. A distinct strain of Chickpea chlorotic dwarf virus (genus Mastrevirus, family Geminiviridae) identified in cotton plants affected by leaf curl disease. Arch. Virol. 2014, 159, 1217–1221. [Google Scholar] [CrossRef] [PubMed]
- Fahmy, I.F.; Taha, O.; El-Ashry, A.N. First genome analysis and molecular characterization of Chickpea chlorotic dwarf virus Egyptian isolate infecting squash. Virus Dis. 2015, 26, 33–41. [Google Scholar] [CrossRef] [PubMed]
- Hameed, U.; Zia-Ur-Rehman, M.; Ali, S.; Haider, M.; Brown, J. First Report of Chickpea chlorotic dwarf virus Infecting Cucumber in Pakistan. Plant Dis. 2017, 101, 848. [Google Scholar] [CrossRef]
- Kraberger, S.; Kumari, S.G.; Hamed, A.A.; Gronenborn, B.; Thomas, J.E.; Sharman, M.; Harkins, G.W.; Muhire, B.M.; Martin, D.P.; Varsani, A. Molecular diversity of Chickpea chlorotic dwarf virus in Sudan: High rates of intra-species recombination—A driving force in the emergence of new strains. Infect. Genet. Evol. 2015, 29, 203–215. [Google Scholar] [CrossRef] [PubMed]
- Kraberger, S.; Harkins, G.; Kumari, S.; Thomas, J.; Schwinghamer, M.; Sharman, M.; Collings, D.A.; Briddon, R.W.; Martin, D.P.; Varsani, A. Evidence that dicot-infecting mastreviruses are particularly prone to inter-species recombination and have likely been circulating in Australia for longer than in Africa and the Middle East. Virology 2013, 444, 282–291. [Google Scholar] [CrossRef] [PubMed]
- Human Genetic Foundation Sequencing Service. Available online: http://www.hugef-torino.org/site/index.php (accessed on 28 October 2016).
- Foissac, X.; Svanella-Dumas, L.; Dulucq, M.; Candresse, T.; Gentit, P. Polyvalent detection of fruit tree tricho, capillo and foveaviruses by nested RT-PCR using degenerated and inosine containing primers (PDO RT-PCR). In XVIII International Symposium on Virus and Virus-like Diseases of Temperate Fruit Crops-Top Fruit Diseases. Acta Hortic. 2001, 550, 37–44. [Google Scholar] [CrossRef]
- FastQC Software. Available online: http://www.bioinformatics.babraham.ac.uk/projects/fastqc (accessed on 6 November 2016).
- Fastx-Toolkit Software. Available online: http://hannonlab.cshl.edu/fastx_toolkit/ (accessed on 8 November 2016).
- Zheng, Y.; Gao, S.; Padmanabhan, C.; Li, R.; Galvez, M.; Gutierrez, D.; Fuentes, S.; Ling, K.S.; Kreuze, J.; Fei, Z. VirusDetect: An automated pipeline for efficient virus discovery using deep sequencing of small RNAs. Virology 2017, 500, 130–138. [Google Scholar] [CrossRef] [PubMed]
- Accotto, G.P.; Navas-Castillo, J.; Noris, E.; Moriones, E.; Louro, D. Typing of Tomato Yellow Leaf Curl Viruses in Europe. Eur. J. Plant Pathol. 2000, 106, 179–186. [Google Scholar] [CrossRef]
- Kheyr-Pour, A.; Bendahmane, M.; Matzeit, V.; Accotto, G.P.; Crespi, S.; Gronenborn, B. Tomato yellow leaf curl virus from sardinia is a whitefly-transmitted monoparatite geminivirus. Nucleic Acids Res. 1991, 19, 6763–6769. [Google Scholar] [CrossRef] [PubMed]
- Noris, E.; Accotto, G.P.; Tavazza, R.; Brunetti, A.; Crespi, S.; Tavazza, M. Resistance to tomato yellow leaf curl Geminivirus in Nicotiana benthamiana plants transformed with a truncated viral C1 gene. Virology 1996, 224, 130–138. [Google Scholar] [CrossRef] [PubMed]
- Accotto, G.P.; Vaira, A.M.; Noris, E.; Vecchiati, M. Using non-radioactive probes on plants: A few examples. J. Biolumin. Chemilumin. 1998, 13, 295–301. [Google Scholar] [CrossRef]
- Martin, R.R.; Zhou, J.; Tzanetakis, I.E. Blueberry latent virus: An amalgam of the Partitiviridae and Totiviridae. Virus Res. 2011, 155, 175–180. [Google Scholar] [CrossRef] [PubMed]
- Mumtaz, H.; Kumari, S.; Mansoor, S.; Martin, D.; Briddon, R. Analysis of the sequence of a dicot-infecting mastrevirus (family Geminiviridae) originating from Syria. Virus Genes 2011, 42, 422–428. [Google Scholar] [CrossRef] [PubMed]
- Muhire, B.; Martin, D.P.; Brown, J.K.; Navas-Castillo, J.; Moriones, E.; Zerbini, F.M.; Rivera-Bustamante, R.; Malathi, V.G.; Briddon, R.W.; Varsani, A. A genome-wide pairwise-identity-based proposal for the classification of viruses in the genus Mastrevirus (family Geminiviridae). Arch. Virol. 2013, 158, 1411–1424. [Google Scholar] [CrossRef] [PubMed]
- Muhire, B.M.; Varsani, A.; Martin, D.P. SDT: A virus classification tool based on pairwise sequence alignment and identity calculation. PLoS ONE 2014, 9, e108277. [Google Scholar] [CrossRef] [PubMed]
- Hadfield, J.; Thomas, J.E.; Schwinghamer, M.W.; Kraberger, S.; Stainton, D.; Dayaram, A.; Parry, J.N.; Pande, D.; Martin, D.P.; Varsani, A. Molecular characterisation of dicot-infecting mastreviruses from Australia. Virus Res. 2012, 166, 13–22. [Google Scholar] [CrossRef] [PubMed]
- Thomas, J.; Parry, J.; Schwinghamer, M.; Dann, E. Two novel mastreviruses from chickpea (Cicer arietinum) in Australia. Arch. Virol. 2010, 155, 1777–1788. [Google Scholar] [CrossRef] [PubMed]
- Hadidi, A.; Flores, R.; Candresse, T.; Barba, M. Next-Generation Sequencing and Genome Editing in Plant Virology. Front. Microbiol. 2016, 7. [Google Scholar] [CrossRef] [PubMed]
- Boukhris-Bouhachem, S.; Chabbouh, N.; Harbi, M.; Danet, J.L. (Eds.) Les Cicadiaires Vecteurs Potentiels de Phytopathogènes en Vignoble Tunisien (Hemiptera: Cicadomorpha: Fulgoromorpha); Annales de la Société Entomologique de France; Taylor & Francis Group: Abingdon, UK, 2007. [Google Scholar]
- Mnari, M.; Cherif, C.; Jebari, H. Importance des virus des Cucurbitacées en Tunisie et étude des souches du virus de la mosaïque du concombre. Ann. Inst. Natl. Rech. Agron. Tunis. 1990, 63, 15. [Google Scholar]
- Mnari-Hattab, M.; Jebari, H.; Zouba, A. Identification et distribution des virus responsables de mosaiques chez les cucurbitacées en Tunisie. Eur. Public Prosec. Off. Bull. 2008, 38, 497–506. [Google Scholar] [CrossRef]
- Adams, M.J.; Lefkowitz, E.J.; King, A.M.Q.; Carstens, E.B. Ratification vote on taxonomic proposals to the International Committee on Taxonomy of Viruses (2014). Arch. Virol. 2014, 159, 2831–2841. [Google Scholar] [CrossRef] [PubMed]
- Liu, W.; Chen, J. A double-stranded RNA as the genome of a potential virus infecting. Virus Genes 2009, 39, 126–131. [Google Scholar] [CrossRef] [PubMed]
- Sabanadzovic, S.; Valverde, R.A.; Brown, J.K.; Martin, R.R.; Tzanetakis, I.E. Southern tomato virus: The link between the families Totiviridae and Partitiviridae. Virus Res. 2009, 140, 130–137. [Google Scholar] [CrossRef] [PubMed]
- Sabanadzovic, S.; Ghanem-Sabanadzovic, N.A.; Valverde, R. A novel monopartite dsRNA virus from rhododendron. Arch. Virol. 2010, 155, 1859–1863. [Google Scholar] [CrossRef] [PubMed]
- Nibert, M.L.; Pyle, J.D.; Firth, A.E. A+1 ribosomal frameshifting motif prevalent among plant amalgaviruses. Virology 2016, 498, 201–208. [Google Scholar] [CrossRef] [PubMed]





| Sample | Cultivar | Area of Collection |
|---|---|---|
| Pa 6/016 | Crimson | Kairouan (Ouled Achour) |
| Pa 19/016 | Crimson | Kairouan (Reggada) |
| Pa 24/016 | Crimson | Kairouan (Reggada) |
| Pa 30/016 | Crimson | Kairouan (Chebika) |
| Pa 32/016 | Crimson | Kairouan (Chebika) |
| Pa 44/016 | Crimson | Kairouan (Sidi Ali Ben Salem) |
| Pa 63/016 | Crimson | Zaghouan (Nadhour) |
| Pa 64/016 | Crimson | Zaghouan (Nadhour) |
| Pa 77/016 | Charleston Gray | Béja (Medjez El Bab) |
| Pa 103/016 | Crimson | Jendouba (Bou Salem) |
| Primers | Sequences | Targeted Virus-Amplicon Size | Targeted Contigs |
|---|---|---|---|
| CpCDV-CP-F/R 1 | GCAGAATCAAGGGCGAAGAG CGGACCGGGACCATAGTAAG | CpCDV 501 bp | CONTIG494 |
| WMV-CP-F/R | TGATGAGCAGATGGGTGTGA GCTGTTAATTCCCGCGAGAG | WMV 379 bp | CONTIG1352 |
| WmAV1-F/R | TTGCCTGGTCGTGTCTTGAT GCTCAACGATGACAGATGCT | WmAV1 333 bp | CONTIG917 |
| TY1(+)/TY2(-) 2 | GCCCATGTA(T/C)CG(A/G)AAGCC GG(A/G)TTAGA(A/G)GCATG(A/C)GTAC | TYLCV/TYLCSV 580 bp | - |
| Viral Species | Genus | Genome Length (nt) | No. of Contigs | Contigs Length (Min–Max) (nt) | No. of Reads | RPKM | Type of Analysis |
|---|---|---|---|---|---|---|---|
| Chickpea chlorotic dwarf virus (complete genome) | Mastrevirus | 2573 | 9 | 46–2702 | 3,197,315 | 59,331 | BLASTn |
| Watermelon mosaic virus (complete genome) | Potyvirus | 10,051 | 80 | 41–10051 | 402,821 | 1913 | BLASTn |
| Blueberry latent virus/ Rhododendron virus A (fusion protein) | Amalgavirus | 3162/3231 | 10 | 53–423 | 29,626 | 447/437 | BLASTx |
| Ambrosia asymptomatic virus 2 (polyprotein) | Badnavirus | 624 | 1 | 134 | 708 | 54 | BLASTx |
| Cassava vein mosaic virus (ORF3 protein) | Cavemovirus | 1956 | 2 | 103–244 | 3506 | 85 | BLASTx |
| Plant | Cultivar | CpCDV Infection in Plants 1 | Fruits Tested 2 | CpCDV Infection in Fruits 3 |
|---|---|---|---|---|
| 4/27 | Sugar Baby | + | 1 2 3 4 | + ++ + + |
| 6/11 | Bontà | +++ | 1 4 2 | ++ + |
| 6/14 | Bontà | +++ | 1 | ++ |
| 6/21 | Sentinel | +++ | 1 5 | ++ |
| 8/27 | Sentinel | − | 1 | − |
| Healthy | Bontà | − | 1 | − |
© 2017 by the authors. Licensee MDPI, Basel, Switzerland. This article is an open access article distributed under the terms and conditions of the Creative Commons Attribution (CC BY) license (http://creativecommons.org/licenses/by/4.0/).
Share and Cite
Zaagueri, T.; Miozzi, L.; Mnari-Hattab, M.; Noris, E.; Accotto, G.P.; Vaira, A.M. Deep Sequencing Data and Infectivity Assays Indicate that Chickpea Chlorotic Dwarf Virus is the Etiological Agent of the “Hard Fruit Syndrome” of Watermelon. Viruses 2017, 9, 311. https://doi.org/10.3390/v9110311
Zaagueri T, Miozzi L, Mnari-Hattab M, Noris E, Accotto GP, Vaira AM. Deep Sequencing Data and Infectivity Assays Indicate that Chickpea Chlorotic Dwarf Virus is the Etiological Agent of the “Hard Fruit Syndrome” of Watermelon. Viruses. 2017; 9(11):311. https://doi.org/10.3390/v9110311
Chicago/Turabian StyleZaagueri, Takoua, Laura Miozzi, Monia Mnari-Hattab, Emanuela Noris, Gian Paolo Accotto, and Anna Maria Vaira. 2017. "Deep Sequencing Data and Infectivity Assays Indicate that Chickpea Chlorotic Dwarf Virus is the Etiological Agent of the “Hard Fruit Syndrome” of Watermelon" Viruses 9, no. 11: 311. https://doi.org/10.3390/v9110311
APA StyleZaagueri, T., Miozzi, L., Mnari-Hattab, M., Noris, E., Accotto, G. P., & Vaira, A. M. (2017). Deep Sequencing Data and Infectivity Assays Indicate that Chickpea Chlorotic Dwarf Virus is the Etiological Agent of the “Hard Fruit Syndrome” of Watermelon. Viruses, 9(11), 311. https://doi.org/10.3390/v9110311

